Spandidos Publications Logo
  • About
    • About Spandidos
    • Aims and Scopes
    • Abstracting and Indexing
    • Editorial Policies
    • Reprints and Permissions
    • Job Opportunities
    • Terms and Conditions
    • Contact
  • Journals
    • All Journals
    • Oncology Letters
      • Oncology Letters
      • Information for Authors
      • Editorial Policies
      • Editorial Board
      • Aims and Scope
      • Abstracting and Indexing
      • Bibliographic Information
      • Archive
    • International Journal of Oncology
      • International Journal of Oncology
      • Information for Authors
      • Editorial Policies
      • Editorial Board
      • Aims and Scope
      • Abstracting and Indexing
      • Bibliographic Information
      • Archive
    • Molecular and Clinical Oncology
      • Molecular and Clinical Oncology
      • Information for Authors
      • Editorial Policies
      • Editorial Board
      • Aims and Scope
      • Abstracting and Indexing
      • Bibliographic Information
      • Archive
    • Experimental and Therapeutic Medicine
      • Experimental and Therapeutic Medicine
      • Information for Authors
      • Editorial Policies
      • Editorial Board
      • Aims and Scope
      • Abstracting and Indexing
      • Bibliographic Information
      • Archive
    • International Journal of Molecular Medicine
      • International Journal of Molecular Medicine
      • Information for Authors
      • Editorial Policies
      • Editorial Board
      • Aims and Scope
      • Abstracting and Indexing
      • Bibliographic Information
      • Archive
    • Biomedical Reports
      • Biomedical Reports
      • Information for Authors
      • Editorial Policies
      • Editorial Board
      • Aims and Scope
      • Abstracting and Indexing
      • Bibliographic Information
      • Archive
    • Oncology Reports
      • Oncology Reports
      • Information for Authors
      • Editorial Policies
      • Editorial Board
      • Aims and Scope
      • Abstracting and Indexing
      • Bibliographic Information
      • Archive
    • Molecular Medicine Reports
      • Molecular Medicine Reports
      • Information for Authors
      • Editorial Policies
      • Editorial Board
      • Aims and Scope
      • Abstracting and Indexing
      • Bibliographic Information
      • Archive
    • World Academy of Sciences Journal
      • World Academy of Sciences Journal
      • Information for Authors
      • Editorial Policies
      • Editorial Board
      • Aims and Scope
      • Abstracting and Indexing
      • Bibliographic Information
      • Archive
    • International Journal of Functional Nutrition
      • International Journal of Functional Nutrition
      • Information for Authors
      • Editorial Policies
      • Editorial Board
      • Aims and Scope
      • Abstracting and Indexing
      • Bibliographic Information
      • Archive
    • International Journal of Epigenetics
      • International Journal of Epigenetics
      • Information for Authors
      • Editorial Policies
      • Editorial Board
      • Aims and Scope
      • Abstracting and Indexing
      • Bibliographic Information
      • Archive
    • Medicine International
      • Medicine International
      • Information for Authors
      • Editorial Policies
      • Editorial Board
      • Aims and Scope
      • Abstracting and Indexing
      • Bibliographic Information
      • Archive
  • Articles
  • Information
    • Information for Authors
    • Information for Reviewers
    • Information for Librarians
    • Information for Advertisers
    • Conferences
  • Language Editing
Spandidos Publications Logo
  • About
    • About Spandidos
    • Aims and Scopes
    • Abstracting and Indexing
    • Editorial Policies
    • Reprints and Permissions
    • Job Opportunities
    • Terms and Conditions
    • Contact
  • Journals
    • All Journals
    • Biomedical Reports
      • Information for Authors
      • Editorial Policies
      • Editorial Board
      • Aims and Scope
      • Abstracting and Indexing
      • Bibliographic Information
      • Archive
    • Experimental and Therapeutic Medicine
      • Information for Authors
      • Editorial Policies
      • Editorial Board
      • Aims and Scope
      • Abstracting and Indexing
      • Bibliographic Information
      • Archive
    • International Journal of Epigenetics
      • Information for Authors
      • Editorial Policies
      • Editorial Board
      • Aims and Scope
      • Abstracting and Indexing
      • Bibliographic Information
      • Archive
    • International Journal of Functional Nutrition
      • Information for Authors
      • Editorial Policies
      • Editorial Board
      • Aims and Scope
      • Abstracting and Indexing
      • Bibliographic Information
      • Archive
    • International Journal of Molecular Medicine
      • Information for Authors
      • Editorial Policies
      • Editorial Board
      • Aims and Scope
      • Abstracting and Indexing
      • Bibliographic Information
      • Archive
    • International Journal of Oncology
      • Information for Authors
      • Editorial Policies
      • Editorial Board
      • Aims and Scope
      • Abstracting and Indexing
      • Bibliographic Information
      • Archive
    • Medicine International
      • Information for Authors
      • Editorial Policies
      • Editorial Board
      • Aims and Scope
      • Abstracting and Indexing
      • Bibliographic Information
      • Archive
    • Molecular and Clinical Oncology
      • Information for Authors
      • Editorial Policies
      • Editorial Board
      • Aims and Scope
      • Abstracting and Indexing
      • Bibliographic Information
      • Archive
    • Molecular Medicine Reports
      • Information for Authors
      • Editorial Policies
      • Editorial Board
      • Aims and Scope
      • Abstracting and Indexing
      • Bibliographic Information
      • Archive
    • Oncology Letters
      • Information for Authors
      • Editorial Policies
      • Editorial Board
      • Aims and Scope
      • Abstracting and Indexing
      • Bibliographic Information
      • Archive
    • Oncology Reports
      • Information for Authors
      • Editorial Policies
      • Editorial Board
      • Aims and Scope
      • Abstracting and Indexing
      • Bibliographic Information
      • Archive
    • World Academy of Sciences Journal
      • Information for Authors
      • Editorial Policies
      • Editorial Board
      • Aims and Scope
      • Abstracting and Indexing
      • Bibliographic Information
      • Archive
  • Articles
  • Information
    • For Authors
    • For Reviewers
    • For Librarians
    • For Advertisers
    • Conferences
  • Language Editing
Login Register Submit
  • This site uses cookies
  • You can change your cookie settings at any time by following the instructions in our Cookie Policy. To find out more, you may read our Privacy Policy.

    I agree
Search articles by DOI, keyword, author or affiliation
Search
Advanced Search
presentation
Oncology Letters
Join Editorial Board Propose a Special Issue
Print ISSN: 1792-1074 Online ISSN: 1792-1082
Journal Cover
August 2013 Volume 6 Issue 2

Full Size Image

Sign up for eToc alerts
Recommend to Library

Journals

International Journal of Molecular Medicine

International Journal of Molecular Medicine

International Journal of Molecular Medicine is an international journal devoted to molecular mechanisms of human disease.

International Journal of Oncology

International Journal of Oncology

International Journal of Oncology is an international journal devoted to oncology research and cancer treatment.

Molecular Medicine Reports

Molecular Medicine Reports

Covers molecular medicine topics such as pharmacology, pathology, genetics, neuroscience, infectious diseases, molecular cardiology, and molecular surgery.

Oncology Reports

Oncology Reports

Oncology Reports is an international journal devoted to fundamental and applied research in Oncology.

Experimental and Therapeutic Medicine

Experimental and Therapeutic Medicine

Experimental and Therapeutic Medicine is an international journal devoted to laboratory and clinical medicine.

Oncology Letters

Oncology Letters

Oncology Letters is an international journal devoted to Experimental and Clinical Oncology.

Biomedical Reports

Biomedical Reports

Explores a wide range of biological and medical fields, including pharmacology, genetics, microbiology, neuroscience, and molecular cardiology.

Molecular and Clinical Oncology

Molecular and Clinical Oncology

International journal addressing all aspects of oncology research, from tumorigenesis and oncogenes to chemotherapy and metastasis.

World Academy of Sciences Journal

World Academy of Sciences Journal

Multidisciplinary open-access journal spanning biochemistry, genetics, neuroscience, environmental health, and synthetic biology.

International Journal of Functional Nutrition

International Journal of Functional Nutrition

Open-access journal combining biochemistry, pharmacology, immunology, and genetics to advance health through functional nutrition.

International Journal of Epigenetics

International Journal of Epigenetics

Publishes open-access research on using epigenetics to advance understanding and treatment of human disease.

Medicine International

Medicine International

An International Open Access Journal Devoted to General Medicine.

Journal Cover
August 2013 Volume 6 Issue 2

Full Size Image

Sign up for eToc alerts
Recommend to Library

  • Article
  • Citations
    • Cite This Article
    • Download Citation
    • Create Citation Alert
    • Remove Citation Alert
    • Cited By
  • Similar Articles
    • Related Articles (in Spandidos Publications)
    • Similar Articles (Google Scholar)
    • Similar Articles (PubMed)
  • Download PDF
  • Download XML
  • View XML
Case Report

Primary desmoplastic small round cell tumor of the testis: A case report and review of the literature

  • Authors:
    • Lang He
    • Shimin Wen
    • Xin Hu
    • Cuihua Guo
    • Cheng Yi
  • View Affiliations / Copyright

    Affiliations: Department of Abdominal Cancer, Cancer Center of West China Hospital, West China Medical School, Sichuan University, Chengdu, Sichuan 610041, P.R. China, Cancer Center, The Second Affiliated Clinical Medicine School of North Sichuan Medical College, Nanchong Central Hospital, Nanchong, Sichuan 637000, P.R. China
  • Pages: 565-567
    |
    Published online on: June 25, 2013
       https://doi.org/10.3892/ol.2013.1421
  • Expand metrics +
Metrics: Total Views: 0 (Spandidos Publications: | PMC Statistics: )
Metrics: Total PDF Downloads: 0 (Spandidos Publications: | PMC Statistics: )
Cited By (CrossRef): 0 citations Loading Articles...

This article is mentioned in:



Abstract

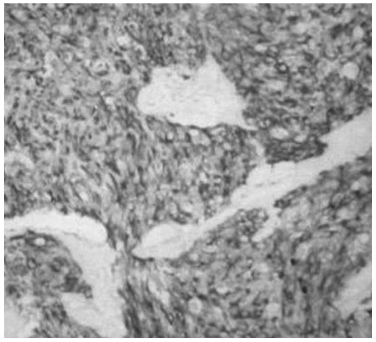
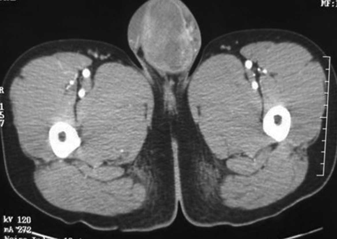
Desmoplastic small round cell tumors (DSRCTs) are extremely rare and mainly affect adolescents and young adults. The tumors are usually involved with the abdominal area and/or the pelvic peritoneum. Only a small number of cases have been reported concerning DSRCTs of the testicular region. The present study reports a case of DSRCT of the testis with radical orchectomy and systemic chemotherapy, leaving the patient disease-free for 14 months. However, the patient died of multiple metastasis 12 months later. Furthermore there is a review of the English literature to analyze the incidence, site of origin, imaging and pathological characteristics of DSRCT.
View Figures

Figure 1

Figure 2

Figure 3

Figure 4

View References

1. 

Gerald WL and Rosai J: Case 2. Desmoplastic small cell tumor with divergent differentiation. Pediatr Pathol. 9:177–183. 1989. View Article : Google Scholar : PubMed/NCBI

2. 

Cummings OW, Ulbright TM, Young RH, Dei Tos AP, Fletcher CD and Hull MT: Desmoplastic small round cell tumors of the paratesticular region. A report of six cases Am J Surg Pathol. 21:219–225. 1997. View Article : Google Scholar : PubMed/NCBI

3. 

Choi JK, van Hoeven K, Brooks JJ and Gupta PK: Desmoplastic small round cell tumor presenting in pleural fluid and accompanied by desmin-positive mesothelial cells. Acta Cytol. 39:377–378. 1995.PubMed/NCBI

4. 

Roganovich J, Bisogno G, Cecchetto G, et al: Paratesticular desmoplastic small round cell tumor: case report and review of the literature. J Surg Oncol. 71:269–272. 1999. View Article : Google Scholar : PubMed/NCBI

5. 

Takhtani D, Saleeb SF and Teplick SK: General case of the day. Desmoplastic small round cell tumor of the abdomen with scrotal metastases. Radiographics. 19:252–254. 1999.PubMed/NCBI

6. 

Chang F: Desmoplastic small round cell tumors: cytologic, histologic, and immunohistochemical features. Arch Pathol Lab Med. 130:728–732. 2006.PubMed/NCBI

7. 

Ordóñez NG: Desmoplastic small round cell tumor: I: a histopathologic study of 39 cases with emphasis on unusual histological patterns. Am J Surg Pathol. 22:1303–1313. 1998.PubMed/NCBI

8. 

Yoshizawa J, Maie M, Eto T, et al: A case of intra-abdominal desmoplastic small-round-cell tumor with elevated serum CA125. Pediatr Surg Int. 18:238–240. 2002. View Article : Google Scholar : PubMed/NCBI

9. 

Kretschmar CS, Colbach C, Bhan I and Crombleholme M: Desmoplastic small cell tumor: a report of three cases and a review of the literature. J Pediatr Hematol Oncol. 18:293–298. 1996. View Article : Google Scholar : PubMed/NCBI

10. 

Gerald WL, Miller HK, Battifora H, et al: Intra-abdominal desmoplastic small round-cell tumor: Report of 19 cases of a distinctive type of high-grade polyphenotypic malignancy affecting young individuals. Am J Surg Pathol. 15:499–513. 1991. View Article : Google Scholar

11. 

Bellah R, Suzuki-Bordalo L, Brecher E, et al: Desmoplastic small round cell tumor in the abdomen and pelvis: report of CT findings in 11 affected children and young adults. AJR Am J Roentgenol. 184:1910–1914. 2005. View Article : Google Scholar : PubMed/NCBI

12. 

Tateishi U, Hasegawa T, Kusumoto M, et al: Desmoplastic small round cell tumor: imaging findings associated with clinicopathologic features. J Comput Assist Tomogr. 26:579–583. 2002. View Article : Google Scholar : PubMed/NCBI

13. 

Mazuryk M, Paterson AH, Temple W, et al: Benefit of aggressive multimodality therapy with autologous stem cell support for intra-abdominal desmoplastic small round cell tumor. Bone Marrow Transplant. 21:961–963. 1998. View Article : Google Scholar : PubMed/NCBI

14. 

Quaglia MP and Brennan MF: The clinical approach to desmoplastic small round cell tumor. Surg Oncol. 9:77–81. 2000. View Article : Google Scholar : PubMed/NCBI

Related Articles

  • Abstract
  • View
  • Download
  • Twitter
Copy and paste a formatted citation
Spandidos Publications style
He L, Wen S, Hu X, Guo C and Yi C: Primary desmoplastic small round cell tumor of the testis: A case report and review of the literature. Oncol Lett 6: 565-567, 2013.
APA
He, L., Wen, S., Hu, X., Guo, C., & Yi, C. (2013). Primary desmoplastic small round cell tumor of the testis: A case report and review of the literature. Oncology Letters, 6, 565-567. https://doi.org/10.3892/ol.2013.1421
MLA
He, L., Wen, S., Hu, X., Guo, C., Yi, C."Primary desmoplastic small round cell tumor of the testis: A case report and review of the literature". Oncology Letters 6.2 (2013): 565-567.
Chicago
He, L., Wen, S., Hu, X., Guo, C., Yi, C."Primary desmoplastic small round cell tumor of the testis: A case report and review of the literature". Oncology Letters 6, no. 2 (2013): 565-567. https://doi.org/10.3892/ol.2013.1421
Copy and paste a formatted citation
x
Spandidos Publications style
He L, Wen S, Hu X, Guo C and Yi C: Primary desmoplastic small round cell tumor of the testis: A case report and review of the literature. Oncol Lett 6: 565-567, 2013.
APA
He, L., Wen, S., Hu, X., Guo, C., & Yi, C. (2013). Primary desmoplastic small round cell tumor of the testis: A case report and review of the literature. Oncology Letters, 6, 565-567. https://doi.org/10.3892/ol.2013.1421
MLA
He, L., Wen, S., Hu, X., Guo, C., Yi, C."Primary desmoplastic small round cell tumor of the testis: A case report and review of the literature". Oncology Letters 6.2 (2013): 565-567.
Chicago
He, L., Wen, S., Hu, X., Guo, C., Yi, C."Primary desmoplastic small round cell tumor of the testis: A case report and review of the literature". Oncology Letters 6, no. 2 (2013): 565-567. https://doi.org/10.3892/ol.2013.1421
Follow us
  • Twitter
  • LinkedIn
  • Facebook
About
  • Spandidos Publications
  • Careers
  • Cookie Policy
  • Privacy Policy
How can we help?
  • Help
  • Live Chat
  • Contact
  • Email to our Support Team