Spandidos Publications Logo
  • About
    • About Spandidos
    • Aims and Scopes
    • Abstracting and Indexing
    • Editorial Policies
    • Reprints and Permissions
    • Job Opportunities
    • Terms and Conditions
    • Contact
  • Journals
    • All Journals
    • Oncology Letters
      • Oncology Letters
      • Information for Authors
      • Editorial Policies
      • Editorial Board
      • Aims and Scope
      • Abstracting and Indexing
      • Bibliographic Information
      • Archive
    • International Journal of Oncology
      • International Journal of Oncology
      • Information for Authors
      • Editorial Policies
      • Editorial Board
      • Aims and Scope
      • Abstracting and Indexing
      • Bibliographic Information
      • Archive
    • Molecular and Clinical Oncology
      • Molecular and Clinical Oncology
      • Information for Authors
      • Editorial Policies
      • Editorial Board
      • Aims and Scope
      • Abstracting and Indexing
      • Bibliographic Information
      • Archive
    • Experimental and Therapeutic Medicine
      • Experimental and Therapeutic Medicine
      • Information for Authors
      • Editorial Policies
      • Editorial Board
      • Aims and Scope
      • Abstracting and Indexing
      • Bibliographic Information
      • Archive
    • International Journal of Molecular Medicine
      • International Journal of Molecular Medicine
      • Information for Authors
      • Editorial Policies
      • Editorial Board
      • Aims and Scope
      • Abstracting and Indexing
      • Bibliographic Information
      • Archive
    • Biomedical Reports
      • Biomedical Reports
      • Information for Authors
      • Editorial Policies
      • Editorial Board
      • Aims and Scope
      • Abstracting and Indexing
      • Bibliographic Information
      • Archive
    • Oncology Reports
      • Oncology Reports
      • Information for Authors
      • Editorial Policies
      • Editorial Board
      • Aims and Scope
      • Abstracting and Indexing
      • Bibliographic Information
      • Archive
    • Molecular Medicine Reports
      • Molecular Medicine Reports
      • Information for Authors
      • Editorial Policies
      • Editorial Board
      • Aims and Scope
      • Abstracting and Indexing
      • Bibliographic Information
      • Archive
    • World Academy of Sciences Journal
      • World Academy of Sciences Journal
      • Information for Authors
      • Editorial Policies
      • Editorial Board
      • Aims and Scope
      • Abstracting and Indexing
      • Bibliographic Information
      • Archive
    • International Journal of Functional Nutrition
      • International Journal of Functional Nutrition
      • Information for Authors
      • Editorial Policies
      • Editorial Board
      • Aims and Scope
      • Abstracting and Indexing
      • Bibliographic Information
      • Archive
    • International Journal of Epigenetics
      • International Journal of Epigenetics
      • Information for Authors
      • Editorial Policies
      • Editorial Board
      • Aims and Scope
      • Abstracting and Indexing
      • Bibliographic Information
      • Archive
    • Medicine International
      • Medicine International
      • Information for Authors
      • Editorial Policies
      • Editorial Board
      • Aims and Scope
      • Abstracting and Indexing
      • Bibliographic Information
      • Archive
  • Articles
  • Information
    • Information for Authors
    • Information for Reviewers
    • Information for Librarians
    • Information for Advertisers
    • Conferences
  • Language Editing
Spandidos Publications Logo
  • About
    • About Spandidos
    • Aims and Scopes
    • Abstracting and Indexing
    • Editorial Policies
    • Reprints and Permissions
    • Job Opportunities
    • Terms and Conditions
    • Contact
  • Journals
    • All Journals
    • Biomedical Reports
      • Information for Authors
      • Editorial Policies
      • Editorial Board
      • Aims and Scope
      • Abstracting and Indexing
      • Bibliographic Information
      • Archive
    • Experimental and Therapeutic Medicine
      • Information for Authors
      • Editorial Policies
      • Editorial Board
      • Aims and Scope
      • Abstracting and Indexing
      • Bibliographic Information
      • Archive
    • International Journal of Epigenetics
      • Information for Authors
      • Editorial Policies
      • Editorial Board
      • Aims and Scope
      • Abstracting and Indexing
      • Bibliographic Information
      • Archive
    • International Journal of Functional Nutrition
      • Information for Authors
      • Editorial Policies
      • Editorial Board
      • Aims and Scope
      • Abstracting and Indexing
      • Bibliographic Information
      • Archive
    • International Journal of Molecular Medicine
      • Information for Authors
      • Editorial Policies
      • Editorial Board
      • Aims and Scope
      • Abstracting and Indexing
      • Bibliographic Information
      • Archive
    • International Journal of Oncology
      • Information for Authors
      • Editorial Policies
      • Editorial Board
      • Aims and Scope
      • Abstracting and Indexing
      • Bibliographic Information
      • Archive
    • Medicine International
      • Information for Authors
      • Editorial Policies
      • Editorial Board
      • Aims and Scope
      • Abstracting and Indexing
      • Bibliographic Information
      • Archive
    • Molecular and Clinical Oncology
      • Information for Authors
      • Editorial Policies
      • Editorial Board
      • Aims and Scope
      • Abstracting and Indexing
      • Bibliographic Information
      • Archive
    • Molecular Medicine Reports
      • Information for Authors
      • Editorial Policies
      • Editorial Board
      • Aims and Scope
      • Abstracting and Indexing
      • Bibliographic Information
      • Archive
    • Oncology Letters
      • Information for Authors
      • Editorial Policies
      • Editorial Board
      • Aims and Scope
      • Abstracting and Indexing
      • Bibliographic Information
      • Archive
    • Oncology Reports
      • Information for Authors
      • Editorial Policies
      • Editorial Board
      • Aims and Scope
      • Abstracting and Indexing
      • Bibliographic Information
      • Archive
    • World Academy of Sciences Journal
      • Information for Authors
      • Editorial Policies
      • Editorial Board
      • Aims and Scope
      • Abstracting and Indexing
      • Bibliographic Information
      • Archive
  • Articles
  • Information
    • For Authors
    • For Reviewers
    • For Librarians
    • For Advertisers
    • Conferences
  • Language Editing
Login Register Submit
  • This site uses cookies
  • You can change your cookie settings at any time by following the instructions in our Cookie Policy. To find out more, you may read our Privacy Policy.

    I agree
Search articles by DOI, keyword, author or affiliation
Search
Advanced Search
presentation
Oncology Letters
Join Editorial Board Propose a Special Issue
Print ISSN: 1792-1074 Online ISSN: 1792-1082
Journal Cover
September 2013 Volume 6 Issue 3

Full Size Image

Sign up for eToc alerts
Recommend to Library

Journals

International Journal of Molecular Medicine

International Journal of Molecular Medicine

International Journal of Molecular Medicine is an international journal devoted to molecular mechanisms of human disease.

International Journal of Oncology

International Journal of Oncology

International Journal of Oncology is an international journal devoted to oncology research and cancer treatment.

Molecular Medicine Reports

Molecular Medicine Reports

Covers molecular medicine topics such as pharmacology, pathology, genetics, neuroscience, infectious diseases, molecular cardiology, and molecular surgery.

Oncology Reports

Oncology Reports

Oncology Reports is an international journal devoted to fundamental and applied research in Oncology.

Experimental and Therapeutic Medicine

Experimental and Therapeutic Medicine

Experimental and Therapeutic Medicine is an international journal devoted to laboratory and clinical medicine.

Oncology Letters

Oncology Letters

Oncology Letters is an international journal devoted to Experimental and Clinical Oncology.

Biomedical Reports

Biomedical Reports

Explores a wide range of biological and medical fields, including pharmacology, genetics, microbiology, neuroscience, and molecular cardiology.

Molecular and Clinical Oncology

Molecular and Clinical Oncology

International journal addressing all aspects of oncology research, from tumorigenesis and oncogenes to chemotherapy and metastasis.

World Academy of Sciences Journal

World Academy of Sciences Journal

Multidisciplinary open-access journal spanning biochemistry, genetics, neuroscience, environmental health, and synthetic biology.

International Journal of Functional Nutrition

International Journal of Functional Nutrition

Open-access journal combining biochemistry, pharmacology, immunology, and genetics to advance health through functional nutrition.

International Journal of Epigenetics

International Journal of Epigenetics

Publishes open-access research on using epigenetics to advance understanding and treatment of human disease.

Medicine International

Medicine International

An International Open Access Journal Devoted to General Medicine.

Journal Cover
September 2013 Volume 6 Issue 3

Full Size Image

Sign up for eToc alerts
Recommend to Library

  • Article
  • Citations
    • Cite This Article
    • Download Citation
    • Create Citation Alert
    • Remove Citation Alert
    • Cited By
  • Similar Articles
    • Related Articles (in Spandidos Publications)
    • Similar Articles (Google Scholar)
    • Similar Articles (PubMed)
  • Download PDF
  • Download XML
  • View XML
Article

-216G/T (rs712829), a functional variant of the EGFR promoter, is associated with the pleural metastasis of lung adenocarcinoma

  • Authors:
    • Haisheng Guo
    • Yunhui Xing
    • Ruibao Liu
    • Shaoping Chen
    • Xia Bian
    • Fang Wang
    • Chunmei Yang
    • Xunguo Wang
  • View Affiliations / Copyright

    Affiliations: Department of Oncology, Dongying People's Hospital, Dongying, Shandong 257091, P.R. China, Department of Tuberculosis, Shengli Hospital of Shengli Oilfield, Dongying, Shandong 257075, P.R. China
  • Pages: 693-698
    |
    Published online on: July 3, 2013
       https://doi.org/10.3892/ol.2013.1442
  • Expand metrics +
Metrics: Total Views: 0 (Spandidos Publications: | PMC Statistics: )
Metrics: Total PDF Downloads: 0 (Spandidos Publications: | PMC Statistics: )
Cited By (CrossRef): 0 citations Loading Articles...

This article is mentioned in:



Abstract

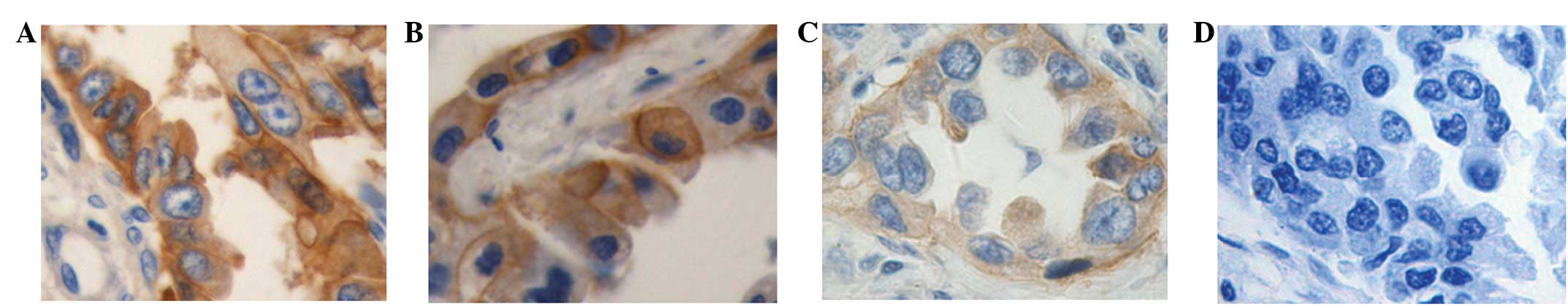
Numerous mutations and variants in the epidermal growth factor receptor (EGFR) gene have been demonstrated to be associated with the occurrence, metastasis and prognosis of various types of tumors, including lung cancer. Thus, the present study aimed to investigate whether ‑216G/T (rs712829), a functional polymorphism of the EGFR promoter that is able to induce EGFR activation and overexpression, is associated with the pleural metastasis of lung adenocarcinoma. The study subjects were comprised of 326 patients with primary lung adenocarcinoma and 312 matched cases with pleural metastasis. The ‑216G/T genotypes were determined in all subjects by PCR amplification and direct DNA sequencing, and EGFR expression was also evaluated by immunohistochemical staining in the primary tumor tissues with various ‑216G/T genotype backgrounds. The results showed that the frequencies of allele T and genotypes G/T and T/T in the pleural metastasis group were significantly higher compared with those in the non‑metastasis group, with adjusted ORs of 1.46 (95% CI, 1.015‑1.963) for G/T and 1.97 (95% CI, 1.051‑3.152) for T/T. Furthermore, the expression of the EGFR protein was higher in the primary lung adenocarcinoma tissues with ‑216T/T and ‑216G/T compared with those with ‑216G/G (P<0.05). These results collectively indicate that the ‑216G/T polymorphism in the EGFR promoter is associated with the risk of the pleural metastasis of lung adenocarcinoma and that this effect may be associated with ‑216G/T‑induced overexpression of the EGFR protein.
View Figures

Figure 1

Figure 2

View References

1 

Jemal A, Siegel R, Xu J and Ward E: Cancer statistics, 2010. CA Cancer J Clin. 60:277–300. 2010. View Article : Google Scholar

2 

Govindan R, Page N, Morgensztern D, Read W, Tierney R, Vlahiotis A, et al: Changing epidemiology of small-cell lung cancer in the United States over the last 30 years: analysis of the surveillance, epidemiologic, and end results database. J Clin Oncol. 24:4539–4544. 2006.PubMed/NCBI

3 

Wahbah M, Boroumand N, Castro C, El-Zeky F and Eltorky M: Changing trends in the distribution of the histologic types of lung cancer: a review of 4,439 cases. Ann Diagn Pathol. 11:89–96. 2007. View Article : Google Scholar : PubMed/NCBI

4 

Kerr KM: Pulmonary adenocarcinomas: classification and reporting. Histopathology. 54:12–27. 2009. View Article : Google Scholar : PubMed/NCBI

5 

Yarden Y and Sliwkowski MX: Untangling the ErbB signalling network. Nat Rev Mol Cell Biol. 2:127–137. 2001. View Article : Google Scholar : PubMed/NCBI

6 

Sharma SV, Bell DW, Settleman J and Haber DA: Epidermal growth factor receptor mutations in lung cancer. Nat Rev Cancer. 7:169–181. 2007. View Article : Google Scholar : PubMed/NCBI

7 

Selvaggi G, Novello S, Torri V, Leonardo E, De Giuli P, Borasio P, et al: Epidermal growth factor receptor overexpression correlates with a poor prognosis in completely resected non-small-cell lung cancer. Ann Oncol. 15:28–32. 2004. View Article : Google Scholar : PubMed/NCBI

8 

Fontanini G, Vignati S, Bigini D, Mussi A, Lucchi H, Angeletti CA, et al: Epidermal growth factor receptor (EGFr) expression in non-small cell lung carcinomas correlates with metastatic involvement of hilar and mediastinal lymph nodes in the squamous subtype. Eur J Cancer. 31A:178–183. 1995. View Article : Google Scholar : PubMed/NCBI

9 

Rao C, Hu Q, Ma J, Li J, Zhang C, Shen L and Wei Q: Comparison of the epidermal growth factor receptor protein expression between primary non-small cell lung cancer and paired lymph node metastases: implications for targeted nuclide radiotherapy. J Exp Clin Cancer Res. 29:72010. View Article : Google Scholar

10 

Veale D, Kerr N, Gibson GJ, Kelly PJ and Harris AL: The relationship of quantitative epidermal growth factor receptor expression in non-small cell lung cancer to long term survival. Br J Cancer. 68:162–165. 1993. View Article : Google Scholar : PubMed/NCBI

11 

Scagliotti GV, Selvaggi G, Novello S and Hirsch FR: The biology of epidermal growth factor receptor in lung cancer. Clin Cancer Res. 10:4227s–4232s. 2004. View Article : Google Scholar : PubMed/NCBI

12 

Jänne PA, Engelman JA and Johnson BE: Epidermal growth factor receptor mutations in non-small-cell lung cancer: implications for treatment and tumor biology. J Clin Oncol. 23:3227–3234. 2005.PubMed/NCBI

13 

Eberhard DA, Giaccone G and Johnson BE; Non-Small-Cell Lung Cancer Working Group. Biomarkers of response to epidermal growth factor receptor inhibitors in Non-Small-Cell Lung Cancer Working Group: standardization for use in the clinical trial setting. J Clin Oncol. 26:983–994. 2008. View Article : Google Scholar : PubMed/NCBI

14 

Pao W and Chmielecki J: Rational, biologically based treatment of EGFR-mutant non-small-cell lung cancer. Nat Rev Cancer. 10:760–774. 2010. View Article : Google Scholar : PubMed/NCBI

15 

Rowinsky EK: The erbB family: targets for therapeutic development against cancer and therapeutic strategies using monoclonal antibodies and tyrosine kinase inhibitors. Annu Rev Med. 55:433–457. 2004. View Article : Google Scholar

16 

Araújo A, Ribeiro R, Azevedo I, Coelho A, Soares M, Sousa B, et al: Genetic polymorphisms of the epidermal growth factor and related receptor in non-small cell lung cancer - a review of the literature. Oncologist. 12:201–210. 2007.PubMed/NCBI

17 

Choi JE, Park SH, Kim KM, Lee WK, Kam S, Cha SI, et al: Polymorphisms in the epidermal growth factor receptor gene and the risk of primary lung cancer: a case-control study. BMC Cancer. 7:1992007. View Article : Google Scholar : PubMed/NCBI

18 

Nomura M, Shigematsu H, Li L, Suzuki M, Takahashi T, Estess P, et al: Polymorphisms, mutations, and amplification of the EGFR gene in non-small cell lung cancers. PLoS Med. 4:e1252007. View Article : Google Scholar : PubMed/NCBI

19 

Kosaka T, Yatabe Y, Endoh H, Kuwano H, Takahashi T and Mitsudomi T: Mutations of the epidermal growth factor receptor gene in lung cancer: biological and clinical implications. Cancer Res. 64:8919–8923. 2004. View Article : Google Scholar

20 

Kageyama R, Merlino GT and Pastan I: A transcription factor active on the epidermal growth factor receptor gene. Proc Natl Acad Sci USA. 85:5016–5020. 1988. View Article : Google Scholar : PubMed/NCBI

21 

Chen LL, Clawson ML, Bilgrami S and Carmichael G: A sequence-specific single-stranded DNA-binding protein that is responsive to epidermal growth factor recognizes an S1 nuclease-sensitive region in the epidermal growth factor receptor promoter. Cell Growth Differ. 4:975–983. 1993.

22 

Liu W, Innocenti F, Wu MH, Desai AA, Dolan ME, Cook EH Jr and Ratain MJ: A functional common polymorphism in a Sp1 recognition site of the epidermal growth factor receptor gene promoter. Cancer Res. 65:46–53. 2005.PubMed/NCBI

23 

Johnson AC, Ishii S, Jinno Y, Pastan I and Merlino GT: Epidermal growth factor receptor gene promoter. Deletion analysis and identification of nuclear protein binding sites. J Biol Chem. 263:5693–5699. 1988.PubMed/NCBI

24 

Kageyama R, Merlino GT and Pastan I: Epidermal growth factor (EGF) receptor gene transcription. Requirement for Sp1 and an EGF receptor-specific factor. J Biol Chem. 263:6329–6336. 1988.PubMed/NCBI

25 

Grinstein E, Jundt F, Weinert I, Wernet P and Royer HD: Sp1 as G1 cell cycle phase specific transcription factor in epithelial cells. Oncogene. 21:1485–1492. 2002. View Article : Google Scholar : PubMed/NCBI

26 

McKibbin T, Zhao W, Tagen M, Daw NC, Furman WL, McGregor LM, et al: Epidermal growth factor receptor polymorphisms and risk for toxicity in paediatric patients treated with gefitinib. Eur J Cancer. 46:2045–2051. 2010. View Article : Google Scholar : PubMed/NCBI

27 

Bandrés E, Barricarte R, Cantero C, Honorato B, Malumbres R, Zárate R, et al: Epidermal growth factor receptor (EGFR) polymorphisms and survival in head and neck cancer patients. Oral Oncol. 43:713–719. 2007.

28 

Liu G, Gurubhagavatula S, Zhou W, Wang Z, Yeap BY, Asomaning K, et al: Epidermal growth factor receptor polymorphisms and clinical outcomes in non-small-cell lung cancer patients treated with gefitinib. Pharmacogenomics J. 8:129–138. 2008. View Article : Google Scholar : PubMed/NCBI

29 

Gregorc V, Hidalgo M, Spreafico A, Cusatis G, Ludovini V, Ingersoll RG, et al: Germline polymorphisms in EGFR and survival in patients with lung cancer receiving gefitinib. Clin Pharmacol Ther. 83:477–484. 2008. View Article : Google Scholar : PubMed/NCBI

30 

Shepherd FA, Crowley J, Van Houtte P, et al: The international Association For the Study of Lung Cancer Staging Project: proposals regarding the clinical staging of small cell lung cancer in the forthcoming (seventh) edition of the tumor node, metastasis classification for lung cancer. J Thorac Oncol. 2:1067–1077. 2007. View Article : Google Scholar

31 

Nagashio R, Sato Y, Matsumoto T, Kageyama T, Satoh Y, Shinichiro R, et al: Expression of RACK1 is a novel biomarker in pulmonary adenocarcinomas. Lung Cancer. 69:54–59. 2010. View Article : Google Scholar : PubMed/NCBI

32 

Kato T, Daigo Y, Aragaki M, Ishikawa K, Sato M, Kondo S and Kaji M: Overexpression of MAD2 predicts clinical outcome in primary lung cancer patients. Lung Cancer. 74:124–131. 2011. View Article : Google Scholar : PubMed/NCBI

33 

Wu SG, Chang YL, Lin JW, et al: Including total EGFR staining in scoring improves EGFR mutations detection by mutation-specific antibodies and EGFR TKIs response prediction. Plos One. 6:e233032011. View Article : Google Scholar : PubMed/NCBI

34 

Wu SG, Gow CH, Yu CJ, Chang YL, Yang CH, Hsu YC, et al: Frequent epidermal growth factor receptor gene mutations in malignant pleural effusion of lung adenocarcinoma. Eur Respir J. 32:924–930. 2008. View Article : Google Scholar : PubMed/NCBI

35 

Han HS, Eom DW, Kim JH, Kim KH, Shin HM, An JY, et al: EGFR mutation status in primary lung adenocarcinomas and corresponding metastatic lesions: discordance in pleural metastases. Clin Lung Cancer. 12:380–386. 2011. View Article : Google Scholar : PubMed/NCBI

36 

Wang H, Zhou M, Shi B, Zhang Q, Jiang H, Sun Y, et al: Identification of an exon 4-deletion variant of epidermal growth factor receptor with increased metastasis-promoting capacity. Neoplasia. 13:461–471. 2011.PubMed/NCBI

37 

Sasaki H, Yukiue H, Mizuno K, Sekimura A, Konishi A, Yano M, et al: Elevated serum epidermal growth factor receptor level is correlated with lymph node metastasis in lung cancer. Int J Clin Oncol. 8:79–82. 2003. View Article : Google Scholar : PubMed/NCBI

38 

Yang Z, Bagheri-Yarmand R, Wang RA, Adam L, Papadimitrakopoulou VV, Clayman GL, et al: The epidermal growth factor receptor tyrosine kinase inhibitor ZD1839 (Iressa) suppresses c-Src and Pak1 pathways and invasiveness of human cancer cells. Clin Cancer Res. 10:658–667. 2004. View Article : Google Scholar : PubMed/NCBI

39 

Zhang D, LaFortune TA, Krishnamurthy S, Esteva FJ, Cristofanilli M, Liu P, et al: Epidermal growth factor receptor tyrosine kinase inhibitor reverses mesenchymal to epithelial phenotype and inhibits metastasis in inflammatory breast cancer. Clin Cancer Res. 15:6639–6648. 2009. View Article : Google Scholar

40 

Moutinho C, Mateus AR, Milanezi F, Carneiro F, Seruca R and Suriano G: Epidermal growth factor receptor structural alterations in gastric cancer. BMC Cancer. 8:102008. View Article : Google Scholar : PubMed/NCBI

41 

Ueno S, Mojic M, Ohashi Y, Higashi N, Hayakawa Y and Irimura T: Asialoglycoprotein receptor promotes cancer metastasis by activating the EGFR-ERK pathway. Cancer Res. 71:6419–6427. 2011. View Article : Google Scholar : PubMed/NCBI

42 

Xue C, Wyckoff J, Liang F, Sidani M, Violini S, Tsai KL, et al: Epidermal growth factor receptor overexpression results in increased tumor cell motility in vivo coordinately with enhanced intravasation and metastasis. Cancer Res. 66:192–197. 2006. View Article : Google Scholar : PubMed/NCBI

43 

Price JT, Wilson HM and Haites NE: Epidermal growth factor (EGF) increases the in vitro invasion, motility and adhesion interactions of the primary renal carcinoma cell line, A704. Eur J Cancer. 32A:1977–1982. 1996. View Article : Google Scholar : PubMed/NCBI

44 

Turner T, Chen P, Goodly LJ and Wells A: EGF receptor signaling enhances in vivo invasiveness of DU-145 human prostate carcinoma cells. Clin Exp Metastasis. 14:409–418. 1996. View Article : Google Scholar : PubMed/NCBI

45 

Shigematsu H, Lin L, Takahashi T, Nomura M, Suzuki M, Wistuba II, et al: Clinical and biological features associated with epidermal growth factor receptor gene mutations in lung cancers. J Natl Cancer Inst. 97:339–346. 2005. View Article : Google Scholar : PubMed/NCBI

46 

Kobayashi S, Boggon TJ, Dayaram T, Jänne PA, Kocher O, Meyerson M, et al: EGFR mutation and resistance of non-small-cell lung cancer to gefitinib. N Engl J Med. 352:786–792. 2005. View Article : Google Scholar : PubMed/NCBI

47 

Amador ML, Oppenheimer D, Perea S, Maitra A, Cusatis G, Iacobuzio-Donahue C, et al: An epidermal growth factor receptor intron 1 polymorphism mediates response to epidermal growth factor receptor inhibitors. Cancer Res. 64:9139–9143. 2004. View Article : Google Scholar : PubMed/NCBI

48 

Dubey S, Stephenson P, Levy DE, Miller JA, Keller SM, Schiller JH, et al: EGFR dinucleotide repeat polymorphism as a prognostic indicator in non-small cell lung cancer. J Thorac Oncol. 1:406–412. 2006. View Article : Google Scholar : PubMed/NCBI

49 

Dong J, Dai J, Shu Y, Pan S, Xu L, Chen W, et al: Polymorphisms in EGFR and VEGF contribute to non-small-cell lung cancer survival in a Chinese population. Carcinogenesis. 31:1080–1086. 2010. View Article : Google Scholar : PubMed/NCBI

50 

Paez JG, Jänne PA, Lee JC, Tracy S, Greulich H, Gabriel S, et al: EGFR mutations in lung cancer: correlation with clinical response to gefitinib therapy. Science. 304:1497–1500. 2004. View Article : Google Scholar : PubMed/NCBI

51 

Lynch TJ, Bell DW, Sordella R, Gurubhagavatula S, Okimoto RA, Brannigan BW, et al: Activating mutations in the epidermal growth factor receptor underlying responsiveness of non-small-cell lung cancer to gefitinib. N Engl J Med. 350:2129–2139. 2004. View Article : Google Scholar : PubMed/NCBI

52 

Pao W, Miller V, Zakowski M, Doherty J, Politi K, Sarkaria I, et al: EGF receptor gene mutations are common in lung cancers from ‘never smokers’ and are associated with sensitivity of tumors to gefitinib and erlotinib. Proc Natl Acad Sci USA. 101:13306–13311. 2004.

Related Articles

  • Abstract
  • View
  • Download
  • Twitter
Copy and paste a formatted citation
Spandidos Publications style
Guo H, Xing Y, Liu R, Chen S, Bian X, Wang F, Yang C and Wang X: -216G/T (rs712829), a functional variant of the EGFR promoter, is associated with the pleural metastasis of lung adenocarcinoma. Oncol Lett 6: 693-698, 2013.
APA
Guo, H., Xing, Y., Liu, R., Chen, S., Bian, X., Wang, F. ... Wang, X. (2013). -216G/T (rs712829), a functional variant of the EGFR promoter, is associated with the pleural metastasis of lung adenocarcinoma. Oncology Letters, 6, 693-698. https://doi.org/10.3892/ol.2013.1442
MLA
Guo, H., Xing, Y., Liu, R., Chen, S., Bian, X., Wang, F., Yang, C., Wang, X."-216G/T (rs712829), a functional variant of the EGFR promoter, is associated with the pleural metastasis of lung adenocarcinoma". Oncology Letters 6.3 (2013): 693-698.
Chicago
Guo, H., Xing, Y., Liu, R., Chen, S., Bian, X., Wang, F., Yang, C., Wang, X."-216G/T (rs712829), a functional variant of the EGFR promoter, is associated with the pleural metastasis of lung adenocarcinoma". Oncology Letters 6, no. 3 (2013): 693-698. https://doi.org/10.3892/ol.2013.1442
Copy and paste a formatted citation
x
Spandidos Publications style
Guo H, Xing Y, Liu R, Chen S, Bian X, Wang F, Yang C and Wang X: -216G/T (rs712829), a functional variant of the EGFR promoter, is associated with the pleural metastasis of lung adenocarcinoma. Oncol Lett 6: 693-698, 2013.
APA
Guo, H., Xing, Y., Liu, R., Chen, S., Bian, X., Wang, F. ... Wang, X. (2013). -216G/T (rs712829), a functional variant of the EGFR promoter, is associated with the pleural metastasis of lung adenocarcinoma. Oncology Letters, 6, 693-698. https://doi.org/10.3892/ol.2013.1442
MLA
Guo, H., Xing, Y., Liu, R., Chen, S., Bian, X., Wang, F., Yang, C., Wang, X."-216G/T (rs712829), a functional variant of the EGFR promoter, is associated with the pleural metastasis of lung adenocarcinoma". Oncology Letters 6.3 (2013): 693-698.
Chicago
Guo, H., Xing, Y., Liu, R., Chen, S., Bian, X., Wang, F., Yang, C., Wang, X."-216G/T (rs712829), a functional variant of the EGFR promoter, is associated with the pleural metastasis of lung adenocarcinoma". Oncology Letters 6, no. 3 (2013): 693-698. https://doi.org/10.3892/ol.2013.1442
Follow us
  • Twitter
  • LinkedIn
  • Facebook
About
  • Spandidos Publications
  • Careers
  • Cookie Policy
  • Privacy Policy
How can we help?
  • Help
  • Live Chat
  • Contact
  • Email to our Support Team