Spandidos Publications Logo
  • About
    • About Spandidos
    • Aims and Scopes
    • Abstracting and Indexing
    • Editorial Policies
    • Reprints and Permissions
    • Job Opportunities
    • Terms and Conditions
    • Contact
  • Journals
    • All Journals
    • Oncology Letters
      • Oncology Letters
      • Information for Authors
      • Editorial Policies
      • Editorial Board
      • Aims and Scope
      • Abstracting and Indexing
      • Bibliographic Information
      • Archive
    • International Journal of Oncology
      • International Journal of Oncology
      • Information for Authors
      • Editorial Policies
      • Editorial Board
      • Aims and Scope
      • Abstracting and Indexing
      • Bibliographic Information
      • Archive
    • Molecular and Clinical Oncology
      • Molecular and Clinical Oncology
      • Information for Authors
      • Editorial Policies
      • Editorial Board
      • Aims and Scope
      • Abstracting and Indexing
      • Bibliographic Information
      • Archive
    • Experimental and Therapeutic Medicine
      • Experimental and Therapeutic Medicine
      • Information for Authors
      • Editorial Policies
      • Editorial Board
      • Aims and Scope
      • Abstracting and Indexing
      • Bibliographic Information
      • Archive
    • International Journal of Molecular Medicine
      • International Journal of Molecular Medicine
      • Information for Authors
      • Editorial Policies
      • Editorial Board
      • Aims and Scope
      • Abstracting and Indexing
      • Bibliographic Information
      • Archive
    • Biomedical Reports
      • Biomedical Reports
      • Information for Authors
      • Editorial Policies
      • Editorial Board
      • Aims and Scope
      • Abstracting and Indexing
      • Bibliographic Information
      • Archive
    • Oncology Reports
      • Oncology Reports
      • Information for Authors
      • Editorial Policies
      • Editorial Board
      • Aims and Scope
      • Abstracting and Indexing
      • Bibliographic Information
      • Archive
    • Molecular Medicine Reports
      • Molecular Medicine Reports
      • Information for Authors
      • Editorial Policies
      • Editorial Board
      • Aims and Scope
      • Abstracting and Indexing
      • Bibliographic Information
      • Archive
    • World Academy of Sciences Journal
      • World Academy of Sciences Journal
      • Information for Authors
      • Editorial Policies
      • Editorial Board
      • Aims and Scope
      • Abstracting and Indexing
      • Bibliographic Information
      • Archive
    • International Journal of Functional Nutrition
      • International Journal of Functional Nutrition
      • Information for Authors
      • Editorial Policies
      • Editorial Board
      • Aims and Scope
      • Abstracting and Indexing
      • Bibliographic Information
      • Archive
    • International Journal of Epigenetics
      • International Journal of Epigenetics
      • Information for Authors
      • Editorial Policies
      • Editorial Board
      • Aims and Scope
      • Abstracting and Indexing
      • Bibliographic Information
      • Archive
    • Medicine International
      • Medicine International
      • Information for Authors
      • Editorial Policies
      • Editorial Board
      • Aims and Scope
      • Abstracting and Indexing
      • Bibliographic Information
      • Archive
  • Articles
  • Information
    • Information for Authors
    • Information for Reviewers
    • Information for Librarians
    • Information for Advertisers
    • Conferences
  • Language Editing
Spandidos Publications Logo
  • About
    • About Spandidos
    • Aims and Scopes
    • Abstracting and Indexing
    • Editorial Policies
    • Reprints and Permissions
    • Job Opportunities
    • Terms and Conditions
    • Contact
  • Journals
    • All Journals
    • Biomedical Reports
      • Information for Authors
      • Editorial Policies
      • Editorial Board
      • Aims and Scope
      • Abstracting and Indexing
      • Bibliographic Information
      • Archive
    • Experimental and Therapeutic Medicine
      • Information for Authors
      • Editorial Policies
      • Editorial Board
      • Aims and Scope
      • Abstracting and Indexing
      • Bibliographic Information
      • Archive
    • International Journal of Epigenetics
      • Information for Authors
      • Editorial Policies
      • Editorial Board
      • Aims and Scope
      • Abstracting and Indexing
      • Bibliographic Information
      • Archive
    • International Journal of Functional Nutrition
      • Information for Authors
      • Editorial Policies
      • Editorial Board
      • Aims and Scope
      • Abstracting and Indexing
      • Bibliographic Information
      • Archive
    • International Journal of Molecular Medicine
      • Information for Authors
      • Editorial Policies
      • Editorial Board
      • Aims and Scope
      • Abstracting and Indexing
      • Bibliographic Information
      • Archive
    • International Journal of Oncology
      • Information for Authors
      • Editorial Policies
      • Editorial Board
      • Aims and Scope
      • Abstracting and Indexing
      • Bibliographic Information
      • Archive
    • Medicine International
      • Information for Authors
      • Editorial Policies
      • Editorial Board
      • Aims and Scope
      • Abstracting and Indexing
      • Bibliographic Information
      • Archive
    • Molecular and Clinical Oncology
      • Information for Authors
      • Editorial Policies
      • Editorial Board
      • Aims and Scope
      • Abstracting and Indexing
      • Bibliographic Information
      • Archive
    • Molecular Medicine Reports
      • Information for Authors
      • Editorial Policies
      • Editorial Board
      • Aims and Scope
      • Abstracting and Indexing
      • Bibliographic Information
      • Archive
    • Oncology Letters
      • Information for Authors
      • Editorial Policies
      • Editorial Board
      • Aims and Scope
      • Abstracting and Indexing
      • Bibliographic Information
      • Archive
    • Oncology Reports
      • Information for Authors
      • Editorial Policies
      • Editorial Board
      • Aims and Scope
      • Abstracting and Indexing
      • Bibliographic Information
      • Archive
    • World Academy of Sciences Journal
      • Information for Authors
      • Editorial Policies
      • Editorial Board
      • Aims and Scope
      • Abstracting and Indexing
      • Bibliographic Information
      • Archive
  • Articles
  • Information
    • For Authors
    • For Reviewers
    • For Librarians
    • For Advertisers
    • Conferences
  • Language Editing
Login Register Submit
  • This site uses cookies
  • You can change your cookie settings at any time by following the instructions in our Cookie Policy. To find out more, you may read our Privacy Policy.

    I agree
Search articles by DOI, keyword, author or affiliation
Search
Advanced Search
presentation
Oncology Letters
Join Editorial Board Propose a Special Issue
Print ISSN: 1792-1074 Online ISSN: 1792-1082
Journal Cover
December 2013 Volume 6 Issue 6

Full Size Image

Sign up for eToc alerts
Recommend to Library

Journals

International Journal of Molecular Medicine

International Journal of Molecular Medicine

International Journal of Molecular Medicine is an international journal devoted to molecular mechanisms of human disease.

International Journal of Oncology

International Journal of Oncology

International Journal of Oncology is an international journal devoted to oncology research and cancer treatment.

Molecular Medicine Reports

Molecular Medicine Reports

Covers molecular medicine topics such as pharmacology, pathology, genetics, neuroscience, infectious diseases, molecular cardiology, and molecular surgery.

Oncology Reports

Oncology Reports

Oncology Reports is an international journal devoted to fundamental and applied research in Oncology.

Experimental and Therapeutic Medicine

Experimental and Therapeutic Medicine

Experimental and Therapeutic Medicine is an international journal devoted to laboratory and clinical medicine.

Oncology Letters

Oncology Letters

Oncology Letters is an international journal devoted to Experimental and Clinical Oncology.

Biomedical Reports

Biomedical Reports

Explores a wide range of biological and medical fields, including pharmacology, genetics, microbiology, neuroscience, and molecular cardiology.

Molecular and Clinical Oncology

Molecular and Clinical Oncology

International journal addressing all aspects of oncology research, from tumorigenesis and oncogenes to chemotherapy and metastasis.

World Academy of Sciences Journal

World Academy of Sciences Journal

Multidisciplinary open-access journal spanning biochemistry, genetics, neuroscience, environmental health, and synthetic biology.

International Journal of Functional Nutrition

International Journal of Functional Nutrition

Open-access journal combining biochemistry, pharmacology, immunology, and genetics to advance health through functional nutrition.

International Journal of Epigenetics

International Journal of Epigenetics

Publishes open-access research on using epigenetics to advance understanding and treatment of human disease.

Medicine International

Medicine International

An International Open Access Journal Devoted to General Medicine.

Journal Cover
December 2013 Volume 6 Issue 6

Full Size Image

Sign up for eToc alerts
Recommend to Library

  • Article
  • Citations
    • Cite This Article
    • Download Citation
    • Create Citation Alert
    • Remove Citation Alert
    • Cited By
  • Similar Articles
    • Related Articles (in Spandidos Publications)
    • Similar Articles (Google Scholar)
    • Similar Articles (PubMed)
  • Download PDF
  • Download XML
  • View XML
Article

HER2 status in advanced gastric carcinoma: A retrospective multicentric analysis from Sicily

  • Authors:
    • A. Ieni
    • V. Barresi
    • G. Giuffrè
    • R. A. Caruso
    • S. Lanzafame
    • L. Villari
    • E. Salomone
    • E. Roz
    • D. Cabibi
    • V. Franco
    • G. Certo
    • A. Labate
    • C. Nagar
    • E. Magliolo
    • B. Broggi
    • C. Fazzari
    • F. Italia
    • G. Tuccari
  • View Affiliations / Copyright

    Affiliations: Department of Human Pathology, University of Messina, Messina, Sicily, Italy, Department of Anatomy, Diagnostic Pathology, Legal Medicine and Public Health, University of Catania, Catania, Sicily, Italy, Pathological Anatomy Unit, Vittorio Emanuele II University Hospital, Catania, Sicily, Italy, Health Home Service ‘La Maddalena’, Palermo, Sicily, Italy, Department of Human Pathology, University of Palermo, Palermo, Sicily, Italy, Health Home Service ‘IOMI‑Cappellani’, Messina, Sicily, Italy, Pathological Anatomy Unit, ASP 6 Palermo, Palermo, Sicily, Italy, Pathological Anatomy Unit, ASP 5 Messina, Messina, Sicily, Italy, Pathological Anatomy Unit, ASP 8 Siracusa, Siracusa, Sicily, Italy, Humanitas Center of Oncology, Catania, Sicily, Italy, Oncopathology Laboratory, Floridia, Siracusa, Sicily, Italy
  • Pages: 1591-1594
    |
    Published online on: October 10, 2013
       https://doi.org/10.3892/ol.2013.1611
  • Expand metrics +
Metrics: Total Views: 0 (Spandidos Publications: | PMC Statistics: )
Metrics: Total PDF Downloads: 0 (Spandidos Publications: | PMC Statistics: )
Cited By (CrossRef): 0 citations Loading Articles...

This article is mentioned in:



Abstract

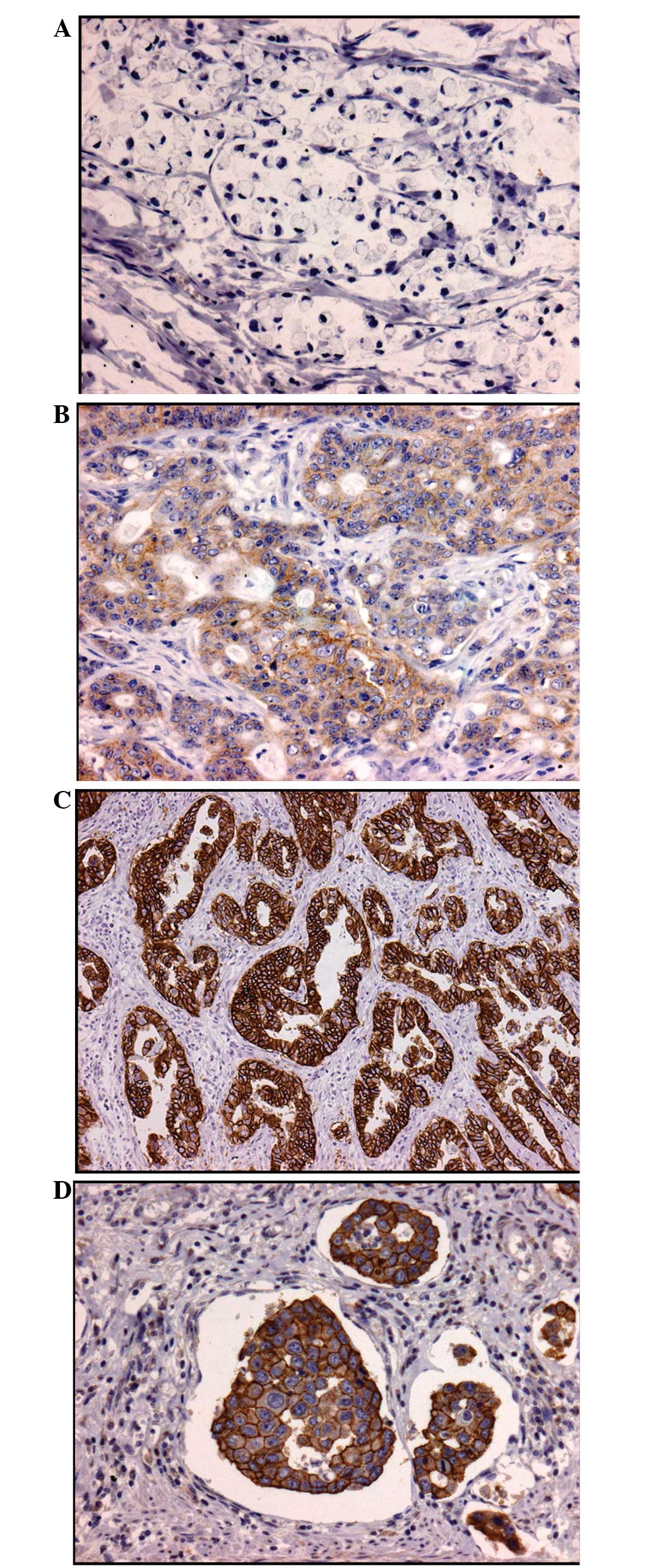
According to the ToGA trial, HER2 has been shown to be predictive for the success of treatment with trastuzumab in advanced gastric cancer (AGC). A number of studies have analyzed HER‑2/neu overexpression in gastric carcinoma and identified the rate of HER2 positivity to be markedly varied. To date, the prevalence of HER2 overexpression in Sicilian people with AGC is unknown. Therefore, in the present study, a retrospective immunohistochemical analysis of HER2 was performed in a cohort of 304 AGC samples that were obtained from the archives of 10 Sicilian anatomopathological diagnostic units in order to verify the positive rate of HER2‑positive cases. Furthermore, the characteristics of histotype, grade, stage and Ki‑67 expression were also analyzed. HER2 overexpression was encountered in 17.43% of all the gastric adenocarcinomas, which was consistent with the results that have been reported elsewhere in the literature. A progressive increase in HER2 overexpression was observed, from the poorly cohesive histotype to the tubular adenocarcinomas and gastric hepatoid adenocarcinomas. HER2 overexpression was significantly associated with a high grade, advanced stage and high Ki‑67 labeling index. Further investigations performed jointly by pathologists and oncologists within the geographical area of the present study should confirm that the association of trastuzumab with chemotherapy results in an improvement of survival in patients with AGC.
View Figures

Figure 1

View References

1 

Ross JS and McKenna BJ: The HER-2/neu oncogene in tumors of the gastrointestinal tract. Cancer Invest. 19:554–568. 2001. View Article : Google Scholar : PubMed/NCBI

2 

Latif Z, Watters AD, Bartlett JM, et al: Gene amplification and overexpression of HER2 in renal cell carcinoma. BJU Int. 89:5–9. 2002. View Article : Google Scholar : PubMed/NCBI

3 

Leyland-Jones B: Trastuzumab therapy for the metastatic patient: does the primary match? Ann Oncol. 13:993–994. 2002. View Article : Google Scholar : PubMed/NCBI

4 

Oxley JD, Winkler MH, Gillatt DA and Peat DS: Her-2/neu oncogene amplification in clinically localised prostate cancer. J Clin Pathol. 55:118–120. 2002. View Article : Google Scholar : PubMed/NCBI

5 

Haddad R, Colevas AD, Krane JF, et al: Herceptin in patients with advanced or metastatic salivary gland carcinomas. A phase II study. Oral Oncol. 39:724–727. 2003. View Article : Google Scholar : PubMed/NCBI

6 

Latif Z, Watters AD, Dunn I, et al: HER2/neu gene amplification and protein overexpression in G3 pT2 transitional cell carcinoma of the bladder: a role for anti-HER2 therapy? Eur J Cancer. 40:56–63. 2004. View Article : Google Scholar : PubMed/NCBI

7 

Hansel DE, Ashfaq R, Rahman A, et al: A subset of pancreatic adenocarcinomas demonstrates coamplification of topoisomerase IIalpha and HER2/neu: use of immunolabeling and multicolor FISH for potential patient screening and treatment. Am J Clin Pathol. 123:28–35. 2005. View Article : Google Scholar

8 

Ugocsai K, Mándoky L, Tiszlavicz L and Molnár J: Investigation of HER2 overexpression in non-small cell lung cancer. Anticancer Res. 25:3061–3066. 2005.PubMed/NCBI

9 

Tapia C, Savic S, Wagner U, et al: HER2 gene status in primary breast cancers and matched distant metastases. Breast Cancer Res. 9:R312007. View Article : Google Scholar : PubMed/NCBI

10 

Bang YJ, Van Cutsem E, Feyereislova A, et al; ToGA Trial Investigators. Trastuzumab in combination with chemotherapy versus chemotherapy alone for treatment of HER2-positive advanced gastric or gastro-oesophageal junction cancer (ToGA): a phase 3, open-label, randomised controlled trial. Lancet. 376:687–697. 2010. View Article : Google Scholar

11 

Tanner M, Hollmén M, Junttila TT, et al: Amplification of HER-2 in gastric carcinoma: association with Topoisomerase IIalpha gene amplification, intestinal type, poor prognosis and sensitivity to trastuzumab. Ann Oncol. 16:273–278. 2005. View Article : Google Scholar : PubMed/NCBI

12 

Hede K: Gastric cancer: trastuzumab trial results spur search for other targets. J Natl Cancer Inst. 101:1306–1307. 2009. View Article : Google Scholar : PubMed/NCBI

13 

Moelans CB, Milne AN, Morsink FH, et al: Low frequency of HER2 amplification and overexpression in early onset gastric cancer. Cell Oncol (Dordr). 34:89–95. 2011. View Article : Google Scholar : PubMed/NCBI

14 

Gravalos C and Jimeno A: HER2 in gastric cancer: a new prognostic factor and a novel therapeutic target. Ann Oncol. 19:1523–1529. 2008. View Article : Google Scholar : PubMed/NCBI

15 

Rüschoff J, Dietel M, Baretton G, et al: HER2 diagnostics in gastric cancer-guideline validation and development of standardized immunohistochemical testing. Virchows Arch. 457:299–307. 2010.PubMed/NCBI

16 

Giuffrè G, Ieni A, Barresi V, et al: HER2 status in unusual histological variants of gastric adenocarcinomas. J Clin Pathol. 65:237–241. 2012.PubMed/NCBI

17 

Crocetti E; AIRTUM Working Group. Incidence and mortality cancer trends of the Italian Network of Cancer Registries (AIRTUM), 1998–2005. Epidemiol Prev. 33(Suppl 1): 36–37. 2009.

18 

Bosman FT, Carneiro F, Hruban RH and Theise ND: WHO Classification of Tumours of the Digestive System. 4th edition. IARC; Lyon, France: 2010

19 

Albarello L, Pecciarini L and Doglioni C: HER2 testing in gastric cancer. Adv Anat Pathol. 18:53–59. 2011. View Article : Google Scholar

20 

Barros-Silva JD, Leitão D, Afonso L, et al: Association of ERBB2 gene status with histopathological parameters and disease-specific survival in gastric carcinoma patients. Br J Cancer. 100:487–493. 2009. View Article : Google Scholar

21 

Marx AH, Tharun L, Muth J, et al: HER-2 amplification is highly homogenous in gastric cancer. Hum Pathol. 40:769–777. 2009. View Article : Google Scholar : PubMed/NCBI

22 

Grabsch H, Sivakumar S, Gray S, et al: HER2 expression in gastric cancer: Rare, heterogeneous and of no prognostic values - conclusions from 924 cases of two independent series. Cell Oncol. 32:57–65. 2010.PubMed/NCBI

23 

Yan B, Yau EX, Bte Omar SS, et al: A study of HER2 gene amplification and protein expression in gastric cancer. J Clin Pathol. 63:839–842. 2010. View Article : Google Scholar : PubMed/NCBI

24 

Jørgensen JT: Targeted HER2 treatment in advanced gastric cancer. Oncology. 78:26–33. 2010.

25 

Hofmann M, Stoss O, Shi D, et al: Assessment of a HER2 scoring system for gastric cancer: results from a validation study. Histopathology. 52:797–805. 2008. View Article : Google Scholar : PubMed/NCBI

26 

Yano T, Doi T, Ohtsu A, et al: Comparison of HER2 gene amplification assessed by fluorescence in situ hybridization and HER2 protein expression assessed by immunohistochemistry in gastric cancer. Oncol Rep. 15:65–71. 2006.PubMed/NCBI

27 

Kumashiro Y, Yao T, Aishima S, et al: Hepatoid adenocarcinoma of the stomach: histogenesis and progression in association with intestinal phenotype. Hum Pathol. 38:857–863. 2007. View Article : Google Scholar : PubMed/NCBI

28 

Gálvez-Muñoz E, Gallego-Plazas J, Gonzalez-Orozco V, et al: Hepatoid adenocarcinoma of the stomach - a different histology for not so different gastric adenocarcinoma: a case report. Int Semin Surg Oncol. 6:132009.PubMed/NCBI

29 

Jouret-Mourin A, Hoorens A, De Hertogh G, et al: Analysis of HER2 expression and gene amplification in adenocarcinoma of the stomach and the gastro-oesophageal junction: rationale for the Belgian way of working. Acta Gastroenterol Belg. 75:9–13. 2012.PubMed/NCBI

Related Articles

  • Abstract
  • View
  • Download
  • Twitter
Copy and paste a formatted citation
Spandidos Publications style
Ieni A, Barresi V, Giuffrè G, Caruso RA, Lanzafame S, Villari L, Salomone E, Roz E, Cabibi D, Franco V, Franco V, et al: HER2 status in advanced gastric carcinoma: A retrospective multicentric analysis from Sicily. Oncol Lett 6: 1591-1594, 2013.
APA
Ieni, A., Barresi, V., Giuffrè, G., Caruso, R.A., Lanzafame, S., Villari, L. ... Tuccari, G. (2013). HER2 status in advanced gastric carcinoma: A retrospective multicentric analysis from Sicily. Oncology Letters, 6, 1591-1594. https://doi.org/10.3892/ol.2013.1611
MLA
Ieni, A., Barresi, V., Giuffrè, G., Caruso, R. A., Lanzafame, S., Villari, L., Salomone, E., Roz, E., Cabibi, D., Franco, V., Certo, G., Labate, A., Nagar, C., Magliolo, E., Broggi, B., Fazzari, C., Italia, F., Tuccari, G."HER2 status in advanced gastric carcinoma: A retrospective multicentric analysis from Sicily". Oncology Letters 6.6 (2013): 1591-1594.
Chicago
Ieni, A., Barresi, V., Giuffrè, G., Caruso, R. A., Lanzafame, S., Villari, L., Salomone, E., Roz, E., Cabibi, D., Franco, V., Certo, G., Labate, A., Nagar, C., Magliolo, E., Broggi, B., Fazzari, C., Italia, F., Tuccari, G."HER2 status in advanced gastric carcinoma: A retrospective multicentric analysis from Sicily". Oncology Letters 6, no. 6 (2013): 1591-1594. https://doi.org/10.3892/ol.2013.1611
Copy and paste a formatted citation
x
Spandidos Publications style
Ieni A, Barresi V, Giuffrè G, Caruso RA, Lanzafame S, Villari L, Salomone E, Roz E, Cabibi D, Franco V, Franco V, et al: HER2 status in advanced gastric carcinoma: A retrospective multicentric analysis from Sicily. Oncol Lett 6: 1591-1594, 2013.
APA
Ieni, A., Barresi, V., Giuffrè, G., Caruso, R.A., Lanzafame, S., Villari, L. ... Tuccari, G. (2013). HER2 status in advanced gastric carcinoma: A retrospective multicentric analysis from Sicily. Oncology Letters, 6, 1591-1594. https://doi.org/10.3892/ol.2013.1611
MLA
Ieni, A., Barresi, V., Giuffrè, G., Caruso, R. A., Lanzafame, S., Villari, L., Salomone, E., Roz, E., Cabibi, D., Franco, V., Certo, G., Labate, A., Nagar, C., Magliolo, E., Broggi, B., Fazzari, C., Italia, F., Tuccari, G."HER2 status in advanced gastric carcinoma: A retrospective multicentric analysis from Sicily". Oncology Letters 6.6 (2013): 1591-1594.
Chicago
Ieni, A., Barresi, V., Giuffrè, G., Caruso, R. A., Lanzafame, S., Villari, L., Salomone, E., Roz, E., Cabibi, D., Franco, V., Certo, G., Labate, A., Nagar, C., Magliolo, E., Broggi, B., Fazzari, C., Italia, F., Tuccari, G."HER2 status in advanced gastric carcinoma: A retrospective multicentric analysis from Sicily". Oncology Letters 6, no. 6 (2013): 1591-1594. https://doi.org/10.3892/ol.2013.1611
Follow us
  • Twitter
  • LinkedIn
  • Facebook
About
  • Spandidos Publications
  • Careers
  • Cookie Policy
  • Privacy Policy
How can we help?
  • Help
  • Live Chat
  • Contact
  • Email to our Support Team