Spandidos Publications Logo
  • About
    • About Spandidos
    • Aims and Scopes
    • Abstracting and Indexing
    • Editorial Policies
    • Reprints and Permissions
    • Job Opportunities
    • Terms and Conditions
    • Contact
  • Journals
    • All Journals
    • Oncology Letters
      • Oncology Letters
      • Information for Authors
      • Editorial Policies
      • Editorial Board
      • Aims and Scope
      • Abstracting and Indexing
      • Bibliographic Information
      • Archive
    • International Journal of Oncology
      • International Journal of Oncology
      • Information for Authors
      • Editorial Policies
      • Editorial Board
      • Aims and Scope
      • Abstracting and Indexing
      • Bibliographic Information
      • Archive
    • Molecular and Clinical Oncology
      • Molecular and Clinical Oncology
      • Information for Authors
      • Editorial Policies
      • Editorial Board
      • Aims and Scope
      • Abstracting and Indexing
      • Bibliographic Information
      • Archive
    • Experimental and Therapeutic Medicine
      • Experimental and Therapeutic Medicine
      • Information for Authors
      • Editorial Policies
      • Editorial Board
      • Aims and Scope
      • Abstracting and Indexing
      • Bibliographic Information
      • Archive
    • International Journal of Molecular Medicine
      • International Journal of Molecular Medicine
      • Information for Authors
      • Editorial Policies
      • Editorial Board
      • Aims and Scope
      • Abstracting and Indexing
      • Bibliographic Information
      • Archive
    • Biomedical Reports
      • Biomedical Reports
      • Information for Authors
      • Editorial Policies
      • Editorial Board
      • Aims and Scope
      • Abstracting and Indexing
      • Bibliographic Information
      • Archive
    • Oncology Reports
      • Oncology Reports
      • Information for Authors
      • Editorial Policies
      • Editorial Board
      • Aims and Scope
      • Abstracting and Indexing
      • Bibliographic Information
      • Archive
    • Molecular Medicine Reports
      • Molecular Medicine Reports
      • Information for Authors
      • Editorial Policies
      • Editorial Board
      • Aims and Scope
      • Abstracting and Indexing
      • Bibliographic Information
      • Archive
    • World Academy of Sciences Journal
      • World Academy of Sciences Journal
      • Information for Authors
      • Editorial Policies
      • Editorial Board
      • Aims and Scope
      • Abstracting and Indexing
      • Bibliographic Information
      • Archive
    • International Journal of Functional Nutrition
      • International Journal of Functional Nutrition
      • Information for Authors
      • Editorial Policies
      • Editorial Board
      • Aims and Scope
      • Abstracting and Indexing
      • Bibliographic Information
      • Archive
    • International Journal of Epigenetics
      • International Journal of Epigenetics
      • Information for Authors
      • Editorial Policies
      • Editorial Board
      • Aims and Scope
      • Abstracting and Indexing
      • Bibliographic Information
      • Archive
    • Medicine International
      • Medicine International
      • Information for Authors
      • Editorial Policies
      • Editorial Board
      • Aims and Scope
      • Abstracting and Indexing
      • Bibliographic Information
      • Archive
  • Articles
  • Information
    • Information for Authors
    • Information for Reviewers
    • Information for Librarians
    • Information for Advertisers
    • Conferences
  • Language Editing
Spandidos Publications Logo
  • About
    • About Spandidos
    • Aims and Scopes
    • Abstracting and Indexing
    • Editorial Policies
    • Reprints and Permissions
    • Job Opportunities
    • Terms and Conditions
    • Contact
  • Journals
    • All Journals
    • Biomedical Reports
      • Information for Authors
      • Editorial Policies
      • Editorial Board
      • Aims and Scope
      • Abstracting and Indexing
      • Bibliographic Information
      • Archive
    • Experimental and Therapeutic Medicine
      • Information for Authors
      • Editorial Policies
      • Editorial Board
      • Aims and Scope
      • Abstracting and Indexing
      • Bibliographic Information
      • Archive
    • International Journal of Epigenetics
      • Information for Authors
      • Editorial Policies
      • Editorial Board
      • Aims and Scope
      • Abstracting and Indexing
      • Bibliographic Information
      • Archive
    • International Journal of Functional Nutrition
      • Information for Authors
      • Editorial Policies
      • Editorial Board
      • Aims and Scope
      • Abstracting and Indexing
      • Bibliographic Information
      • Archive
    • International Journal of Molecular Medicine
      • Information for Authors
      • Editorial Policies
      • Editorial Board
      • Aims and Scope
      • Abstracting and Indexing
      • Bibliographic Information
      • Archive
    • International Journal of Oncology
      • Information for Authors
      • Editorial Policies
      • Editorial Board
      • Aims and Scope
      • Abstracting and Indexing
      • Bibliographic Information
      • Archive
    • Medicine International
      • Information for Authors
      • Editorial Policies
      • Editorial Board
      • Aims and Scope
      • Abstracting and Indexing
      • Bibliographic Information
      • Archive
    • Molecular and Clinical Oncology
      • Information for Authors
      • Editorial Policies
      • Editorial Board
      • Aims and Scope
      • Abstracting and Indexing
      • Bibliographic Information
      • Archive
    • Molecular Medicine Reports
      • Information for Authors
      • Editorial Policies
      • Editorial Board
      • Aims and Scope
      • Abstracting and Indexing
      • Bibliographic Information
      • Archive
    • Oncology Letters
      • Information for Authors
      • Editorial Policies
      • Editorial Board
      • Aims and Scope
      • Abstracting and Indexing
      • Bibliographic Information
      • Archive
    • Oncology Reports
      • Information for Authors
      • Editorial Policies
      • Editorial Board
      • Aims and Scope
      • Abstracting and Indexing
      • Bibliographic Information
      • Archive
    • World Academy of Sciences Journal
      • Information for Authors
      • Editorial Policies
      • Editorial Board
      • Aims and Scope
      • Abstracting and Indexing
      • Bibliographic Information
      • Archive
  • Articles
  • Information
    • For Authors
    • For Reviewers
    • For Librarians
    • For Advertisers
    • Conferences
  • Language Editing
Login Register Submit
  • This site uses cookies
  • You can change your cookie settings at any time by following the instructions in our Cookie Policy. To find out more, you may read our Privacy Policy.

    I agree
Search articles by DOI, keyword, author or affiliation
Search
Advanced Search
presentation
Oncology Letters
Join Editorial Board Propose a Special Issue
Print ISSN: 1792-1074 Online ISSN: 1792-1082
Journal Cover
December 2013 Volume 6 Issue 6

Full Size Image

Sign up for eToc alerts
Recommend to Library

Journals

International Journal of Molecular Medicine

International Journal of Molecular Medicine

International Journal of Molecular Medicine is an international journal devoted to molecular mechanisms of human disease.

International Journal of Oncology

International Journal of Oncology

International Journal of Oncology is an international journal devoted to oncology research and cancer treatment.

Molecular Medicine Reports

Molecular Medicine Reports

Covers molecular medicine topics such as pharmacology, pathology, genetics, neuroscience, infectious diseases, molecular cardiology, and molecular surgery.

Oncology Reports

Oncology Reports

Oncology Reports is an international journal devoted to fundamental and applied research in Oncology.

Experimental and Therapeutic Medicine

Experimental and Therapeutic Medicine

Experimental and Therapeutic Medicine is an international journal devoted to laboratory and clinical medicine.

Oncology Letters

Oncology Letters

Oncology Letters is an international journal devoted to Experimental and Clinical Oncology.

Biomedical Reports

Biomedical Reports

Explores a wide range of biological and medical fields, including pharmacology, genetics, microbiology, neuroscience, and molecular cardiology.

Molecular and Clinical Oncology

Molecular and Clinical Oncology

International journal addressing all aspects of oncology research, from tumorigenesis and oncogenes to chemotherapy and metastasis.

World Academy of Sciences Journal

World Academy of Sciences Journal

Multidisciplinary open-access journal spanning biochemistry, genetics, neuroscience, environmental health, and synthetic biology.

International Journal of Functional Nutrition

International Journal of Functional Nutrition

Open-access journal combining biochemistry, pharmacology, immunology, and genetics to advance health through functional nutrition.

International Journal of Epigenetics

International Journal of Epigenetics

Publishes open-access research on using epigenetics to advance understanding and treatment of human disease.

Medicine International

Medicine International

An International Open Access Journal Devoted to General Medicine.

Journal Cover
December 2013 Volume 6 Issue 6

Full Size Image

Sign up for eToc alerts
Recommend to Library

  • Article
  • Citations
    • Cite This Article
    • Download Citation
    • Create Citation Alert
    • Remove Citation Alert
    • Cited By
  • Similar Articles
    • Related Articles (in Spandidos Publications)
    • Similar Articles (Google Scholar)
    • Similar Articles (PubMed)
  • Download PDF
  • Download XML
  • View XML
Article

Prognostic value of Annexin A3 in human colorectal cancer and its correlation with hypoxia‑inducible factor‑1α

  • Authors:
    • Yong‑Qiu Xie
    • Di Fu
    • Zheng‑Hua He
    • Qing‑Dong Tan
  • View Affiliations / Copyright

    Affiliations: Department of Anesthesiology, Xiangya Hospital of Central‑South University, Changsha, Hunan 410008, P.R. China
  • Pages: 1631-1635
    |
    Published online on: October 11, 2013
       https://doi.org/10.3892/ol.2013.1620
  • Expand metrics +
Metrics: Total Views: 0 (Spandidos Publications: | PMC Statistics: )
Metrics: Total PDF Downloads: 0 (Spandidos Publications: | PMC Statistics: )
Cited By (CrossRef): 0 citations Loading Articles...

This article is mentioned in:


Abstract

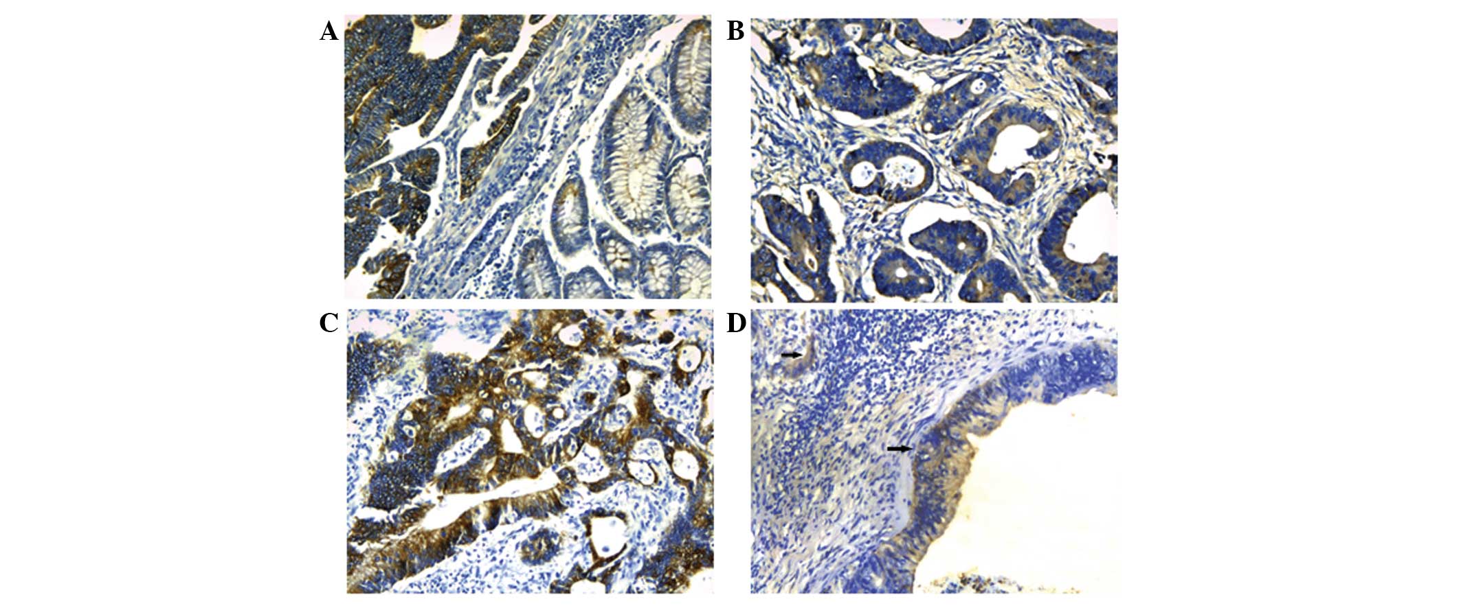
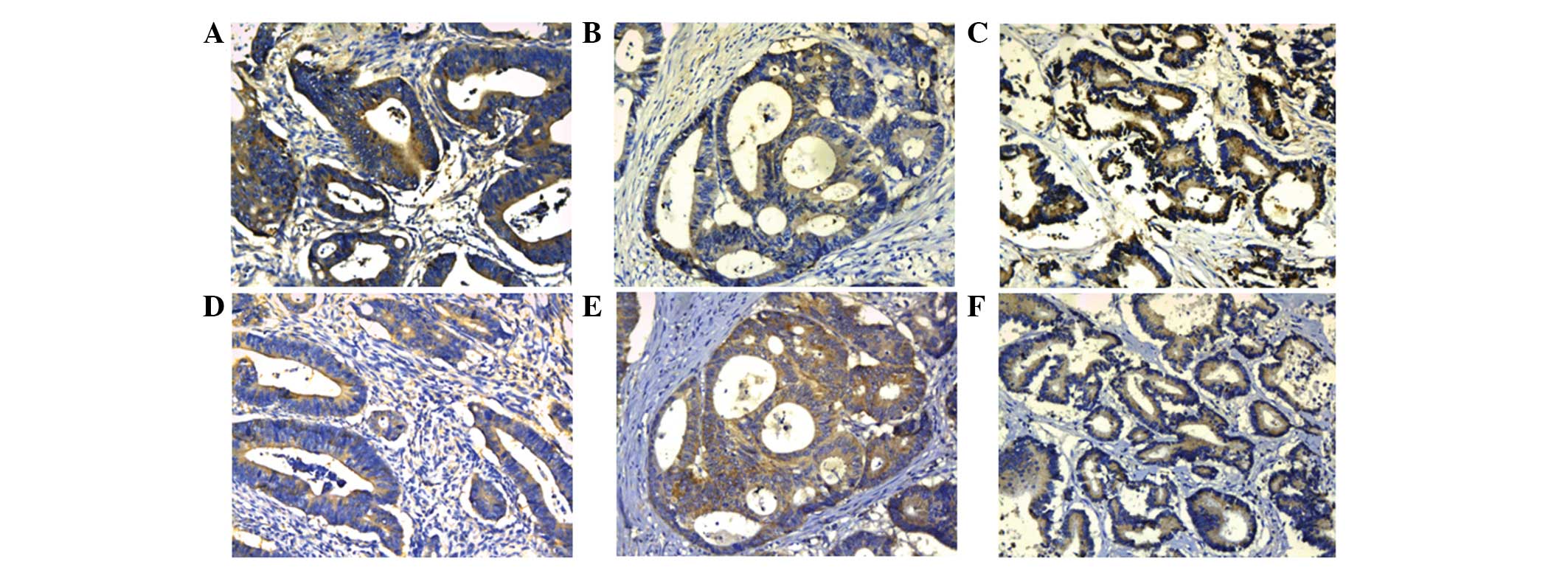
Annexins are a family of intracellular proteins that bind membrane phospholipids in a Ca2+ concentration‑dependent manner and are involved in cellular processes, including apoptosis, proliferation and differentiation. Hypoxia‑inducible factor‑1α (HIF‑1α) has been hypothesized to be critical in the angiogenesis of tumors. We hypothesized that Annexin A3, a member of the Annexin family, and HIF‑1α may be associated with each other in colorectal cancer. The expression of Annexin A3 and HIF‑1α in 60 colorectal cancer tissues was assessed by immunohistochemistry to statistically analyze the association between the clinicopathological features and survival of these cases. In the present study, 65 and 47% of colorectal cancer specimens were found to show Annexin A3 and HIF‑1α immunoreactivity, respectively. Annexin A3 expression was found to significantly correlate with tumor size and Dukes' stage (all P<0.05). Furthermore, Annexin A3 and HIF‑1α protein expression exhibited a similar pattern in these samples, and their expression was found to correlate with poor survival in colorectal cancer patients. The results of the current study indicated for the first time that the increased expression of Annexin A3 in colorectal cancer correlates significantly with tumor growth and poor prognosis. Furthermore, Annexin A3 has been found to correlate with HIF‑1α expression. These observations highlight an improved understanding of the carcinogenesis of colorectal cancer.
View Figures

Figure 1

Figure 2

Figure 3

View References

1 

Saif MW: Targeted agents for adjuvant therapy of colon cancer. Clin Colorectal Cancer. 6:46–51. 2006. View Article : Google Scholar : PubMed/NCBI

2 

Raynal P and Pollard HB: Annexins: the problem of assessing the biological role for a gene family of multifunctional calcium- and phospholipid-binding proteins. Biochim Biophys Acta. 1197:63–93. 1994. View Article : Google Scholar : PubMed/NCBI

3 

Gerke V and Moss SE: Annexins: from structure to function. Physiol Rev. 82:331–371. 2002.PubMed/NCBI

4 

Gerke V, Creutz CE and Moss SE: Annexins: linking Ca2+ signalling to membrane dynamics. Nat Rev Mol Cell Biol. 6:449–461. 2005. View Article : Google Scholar : PubMed/NCBI

5 

Bai XF, Ni XG, Zhao P, et al: Overexpression of annexin 1 in pancreatic cancer and its clinical significance. World J Gastroenterol. 10:1466–1470. 2004.PubMed/NCBI

6 

Zimmermann U, Woenckhaus C, Teller S, et al: Expression of annexin AI in conventional renal cell carcinoma (CRCC) correlates with tumour stage, Fuhrman grade, amount of eosinophilic cells and clinical outcome. Histol Histopathol. 22:527–534. 2007.

7 

Chen R, Brentnall TA, Pan S, et al: Quantitative proteomics analysis reveals that proteins differentially expressed in chronic pancreatitis are also frequently involved in pancreatic cancer. Mol Cell Proteomics. 6:1331–1342. 2007. View Article : Google Scholar

8 

Esposito I, Penzel R, Chaib-Harrireche M, et al: Tenascin C and annexin II expression in the process of pancreatic carcinogenesis. J Pathol. 208:673–685. 2006. View Article : Google Scholar : PubMed/NCBI

9 

Bae SM, Lee CH, Cho YL, et al: Two-dimensional gel analysis of protein expression profile in squamous cervical cancer patients. Gynecol Oncol. 99:26–35. 2005. View Article : Google Scholar : PubMed/NCBI

10 

Domoto T, Miyama Y, Suzuki H, et al: Evaluation of S100A10, annexin II and B-FABP expression as markers for renal cell carcinoma. Cancer Sci. 98:77–82. 2007. View Article : Google Scholar : PubMed/NCBI

11 

Wamunyokoli FW, Bonome T, Lee JY, et al: Expression profiling of mucinous tumors of the ovary identifies genes of clinicopathologic importance. Clin Cancer Res. 12:690–700. 2006. View Article : Google Scholar : PubMed/NCBI

12 

Köllermann J, Schlomm T, Bang H, et al: Expression and prognostic relevance of Annexin A3 in prostate cancer. Eur Urol. 54:1314–1323. 2008.

13 

Yan X, Yin J, Yao H, Mao N, Yang Y and Pan L: Increased expression of Annexin A3 is a mechanism of platinum resistance in ovarian cancer. Cancer Res. 70:1616–1624. 2010. View Article : Google Scholar : PubMed/NCBI

14 

Tan Y, Meng HP, Teng FM, et al: Effect of miRNA interference to AnnexinA3 gene on growth of human gallbladder cancer cells. Chin Hepatobiliary Surg. 16:853–856. 2010.(In Chinese).

15 

Katsuta M, Miyashita M, Makino H, et al: Correlation of hypoxia inducible factor-1alpha with lymphatic metastasis via vascular endothelial growth factor-C in human esophageal cancer. Exp Mol Pathol. 78:123–130. 2005. View Article : Google Scholar

16 

Kimura S, Kitadai Y, Tanaka S, et al: Expression of hypoxia-inducible factor (HIF)-1alpha is associated with vascular endothelial growth factor expression and tumour angiogenesis in human oesophageal squamous cell carcinoma. Eur J Cancer. 40:1904–1912. 2004. View Article : Google Scholar

17 

Kyzas PA, Stefanou D, Batistatou A and Agnantis NJ: Prognostic significance of VEGF immunohistochemical expression and tumor angiogenesis in head and neck squamous cell carcinoma. J Cancer Res Clin Oncol. 131:624–630. 2005. View Article : Google Scholar : PubMed/NCBI

18 

Shibaji T, Nagao M, Ikeda N, et al: Prognostic significance of HIF-1 alpha overexpression in human pancreatic cancer. Anticancer Res. 23:4721–4727. 2003.PubMed/NCBI

19 

Park JE, Lee DH, Lee JA, et al: Annexin A3 is a potential angiogenic mediator. Biochim Biophys Res Com. 337:1283–1287. 2005. View Article : Google Scholar : PubMed/NCBI

20 

Liu YF, Xiao ZQ, Li MX, et al: Quantitative proteome analysis reveals Annexin A3 as a novel biomarker in lung adenocarcinoma. J Pathol. 217:54–64. 2009. View Article : Google Scholar : PubMed/NCBI

Related Articles

  • Abstract
  • View
  • Download
  • Twitter
Copy and paste a formatted citation
Spandidos Publications style
Xie YQ, Fu D, He ZH and Tan QD: Prognostic value of Annexin A3 in human colorectal cancer and its correlation with hypoxia‑inducible factor‑1α. Oncol Lett 6: 1631-1635, 2013.
APA
Xie, Y., Fu, D., He, Z., & Tan, Q. (2013). Prognostic value of Annexin A3 in human colorectal cancer and its correlation with hypoxia‑inducible factor‑1α. Oncology Letters, 6, 1631-1635. https://doi.org/10.3892/ol.2013.1620
MLA
Xie, Y., Fu, D., He, Z., Tan, Q."Prognostic value of Annexin A3 in human colorectal cancer and its correlation with hypoxia‑inducible factor‑1α". Oncology Letters 6.6 (2013): 1631-1635.
Chicago
Xie, Y., Fu, D., He, Z., Tan, Q."Prognostic value of Annexin A3 in human colorectal cancer and its correlation with hypoxia‑inducible factor‑1α". Oncology Letters 6, no. 6 (2013): 1631-1635. https://doi.org/10.3892/ol.2013.1620
Copy and paste a formatted citation
x
Spandidos Publications style
Xie YQ, Fu D, He ZH and Tan QD: Prognostic value of Annexin A3 in human colorectal cancer and its correlation with hypoxia‑inducible factor‑1α. Oncol Lett 6: 1631-1635, 2013.
APA
Xie, Y., Fu, D., He, Z., & Tan, Q. (2013). Prognostic value of Annexin A3 in human colorectal cancer and its correlation with hypoxia‑inducible factor‑1α. Oncology Letters, 6, 1631-1635. https://doi.org/10.3892/ol.2013.1620
MLA
Xie, Y., Fu, D., He, Z., Tan, Q."Prognostic value of Annexin A3 in human colorectal cancer and its correlation with hypoxia‑inducible factor‑1α". Oncology Letters 6.6 (2013): 1631-1635.
Chicago
Xie, Y., Fu, D., He, Z., Tan, Q."Prognostic value of Annexin A3 in human colorectal cancer and its correlation with hypoxia‑inducible factor‑1α". Oncology Letters 6, no. 6 (2013): 1631-1635. https://doi.org/10.3892/ol.2013.1620
Follow us
  • Twitter
  • LinkedIn
  • Facebook
About
  • Spandidos Publications
  • Careers
  • Cookie Policy
  • Privacy Policy
How can we help?
  • Help
  • Live Chat
  • Contact
  • Email to our Support Team