Spandidos Publications Logo
  • About
    • About Spandidos
    • Aims and Scopes
    • Abstracting and Indexing
    • Editorial Policies
    • Reprints and Permissions
    • Job Opportunities
    • Terms and Conditions
    • Contact
  • Journals
    • All Journals
    • Oncology Letters
      • Oncology Letters
      • Information for Authors
      • Editorial Policies
      • Editorial Board
      • Aims and Scope
      • Abstracting and Indexing
      • Bibliographic Information
      • Archive
    • International Journal of Oncology
      • International Journal of Oncology
      • Information for Authors
      • Editorial Policies
      • Editorial Board
      • Aims and Scope
      • Abstracting and Indexing
      • Bibliographic Information
      • Archive
    • Molecular and Clinical Oncology
      • Molecular and Clinical Oncology
      • Information for Authors
      • Editorial Policies
      • Editorial Board
      • Aims and Scope
      • Abstracting and Indexing
      • Bibliographic Information
      • Archive
    • Experimental and Therapeutic Medicine
      • Experimental and Therapeutic Medicine
      • Information for Authors
      • Editorial Policies
      • Editorial Board
      • Aims and Scope
      • Abstracting and Indexing
      • Bibliographic Information
      • Archive
    • International Journal of Molecular Medicine
      • International Journal of Molecular Medicine
      • Information for Authors
      • Editorial Policies
      • Editorial Board
      • Aims and Scope
      • Abstracting and Indexing
      • Bibliographic Information
      • Archive
    • Biomedical Reports
      • Biomedical Reports
      • Information for Authors
      • Editorial Policies
      • Editorial Board
      • Aims and Scope
      • Abstracting and Indexing
      • Bibliographic Information
      • Archive
    • Oncology Reports
      • Oncology Reports
      • Information for Authors
      • Editorial Policies
      • Editorial Board
      • Aims and Scope
      • Abstracting and Indexing
      • Bibliographic Information
      • Archive
    • Molecular Medicine Reports
      • Molecular Medicine Reports
      • Information for Authors
      • Editorial Policies
      • Editorial Board
      • Aims and Scope
      • Abstracting and Indexing
      • Bibliographic Information
      • Archive
    • World Academy of Sciences Journal
      • World Academy of Sciences Journal
      • Information for Authors
      • Editorial Policies
      • Editorial Board
      • Aims and Scope
      • Abstracting and Indexing
      • Bibliographic Information
      • Archive
    • International Journal of Functional Nutrition
      • International Journal of Functional Nutrition
      • Information for Authors
      • Editorial Policies
      • Editorial Board
      • Aims and Scope
      • Abstracting and Indexing
      • Bibliographic Information
      • Archive
    • International Journal of Epigenetics
      • International Journal of Epigenetics
      • Information for Authors
      • Editorial Policies
      • Editorial Board
      • Aims and Scope
      • Abstracting and Indexing
      • Bibliographic Information
      • Archive
    • Medicine International
      • Medicine International
      • Information for Authors
      • Editorial Policies
      • Editorial Board
      • Aims and Scope
      • Abstracting and Indexing
      • Bibliographic Information
      • Archive
  • Articles
  • Information
    • Information for Authors
    • Information for Reviewers
    • Information for Librarians
    • Information for Advertisers
    • Conferences
  • Language Editing
Spandidos Publications Logo
  • About
    • About Spandidos
    • Aims and Scopes
    • Abstracting and Indexing
    • Editorial Policies
    • Reprints and Permissions
    • Job Opportunities
    • Terms and Conditions
    • Contact
  • Journals
    • All Journals
    • Biomedical Reports
      • Information for Authors
      • Editorial Policies
      • Editorial Board
      • Aims and Scope
      • Abstracting and Indexing
      • Bibliographic Information
      • Archive
    • Experimental and Therapeutic Medicine
      • Information for Authors
      • Editorial Policies
      • Editorial Board
      • Aims and Scope
      • Abstracting and Indexing
      • Bibliographic Information
      • Archive
    • International Journal of Epigenetics
      • Information for Authors
      • Editorial Policies
      • Editorial Board
      • Aims and Scope
      • Abstracting and Indexing
      • Bibliographic Information
      • Archive
    • International Journal of Functional Nutrition
      • Information for Authors
      • Editorial Policies
      • Editorial Board
      • Aims and Scope
      • Abstracting and Indexing
      • Bibliographic Information
      • Archive
    • International Journal of Molecular Medicine
      • Information for Authors
      • Editorial Policies
      • Editorial Board
      • Aims and Scope
      • Abstracting and Indexing
      • Bibliographic Information
      • Archive
    • International Journal of Oncology
      • Information for Authors
      • Editorial Policies
      • Editorial Board
      • Aims and Scope
      • Abstracting and Indexing
      • Bibliographic Information
      • Archive
    • Medicine International
      • Information for Authors
      • Editorial Policies
      • Editorial Board
      • Aims and Scope
      • Abstracting and Indexing
      • Bibliographic Information
      • Archive
    • Molecular and Clinical Oncology
      • Information for Authors
      • Editorial Policies
      • Editorial Board
      • Aims and Scope
      • Abstracting and Indexing
      • Bibliographic Information
      • Archive
    • Molecular Medicine Reports
      • Information for Authors
      • Editorial Policies
      • Editorial Board
      • Aims and Scope
      • Abstracting and Indexing
      • Bibliographic Information
      • Archive
    • Oncology Letters
      • Information for Authors
      • Editorial Policies
      • Editorial Board
      • Aims and Scope
      • Abstracting and Indexing
      • Bibliographic Information
      • Archive
    • Oncology Reports
      • Information for Authors
      • Editorial Policies
      • Editorial Board
      • Aims and Scope
      • Abstracting and Indexing
      • Bibliographic Information
      • Archive
    • World Academy of Sciences Journal
      • Information for Authors
      • Editorial Policies
      • Editorial Board
      • Aims and Scope
      • Abstracting and Indexing
      • Bibliographic Information
      • Archive
  • Articles
  • Information
    • For Authors
    • For Reviewers
    • For Librarians
    • For Advertisers
    • Conferences
  • Language Editing
Login Register Submit
  • This site uses cookies
  • You can change your cookie settings at any time by following the instructions in our Cookie Policy. To find out more, you may read our Privacy Policy.

    I agree
Search articles by DOI, keyword, author or affiliation
Search
Advanced Search
presentation
Oncology Letters
Join Editorial Board Propose a Special Issue
Print ISSN: 1792-1074 Online ISSN: 1792-1082
Journal Cover
December 2013 Volume 6 Issue 6

Full Size Image

Sign up for eToc alerts
Recommend to Library

Journals

International Journal of Molecular Medicine

International Journal of Molecular Medicine

International Journal of Molecular Medicine is an international journal devoted to molecular mechanisms of human disease.

International Journal of Oncology

International Journal of Oncology

International Journal of Oncology is an international journal devoted to oncology research and cancer treatment.

Molecular Medicine Reports

Molecular Medicine Reports

Covers molecular medicine topics such as pharmacology, pathology, genetics, neuroscience, infectious diseases, molecular cardiology, and molecular surgery.

Oncology Reports

Oncology Reports

Oncology Reports is an international journal devoted to fundamental and applied research in Oncology.

Experimental and Therapeutic Medicine

Experimental and Therapeutic Medicine

Experimental and Therapeutic Medicine is an international journal devoted to laboratory and clinical medicine.

Oncology Letters

Oncology Letters

Oncology Letters is an international journal devoted to Experimental and Clinical Oncology.

Biomedical Reports

Biomedical Reports

Explores a wide range of biological and medical fields, including pharmacology, genetics, microbiology, neuroscience, and molecular cardiology.

Molecular and Clinical Oncology

Molecular and Clinical Oncology

International journal addressing all aspects of oncology research, from tumorigenesis and oncogenes to chemotherapy and metastasis.

World Academy of Sciences Journal

World Academy of Sciences Journal

Multidisciplinary open-access journal spanning biochemistry, genetics, neuroscience, environmental health, and synthetic biology.

International Journal of Functional Nutrition

International Journal of Functional Nutrition

Open-access journal combining biochemistry, pharmacology, immunology, and genetics to advance health through functional nutrition.

International Journal of Epigenetics

International Journal of Epigenetics

Publishes open-access research on using epigenetics to advance understanding and treatment of human disease.

Medicine International

Medicine International

An International Open Access Journal Devoted to General Medicine.

Journal Cover
December 2013 Volume 6 Issue 6

Full Size Image

Sign up for eToc alerts
Recommend to Library

  • Article
  • Citations
    • Cite This Article
    • Download Citation
    • Create Citation Alert
    • Remove Citation Alert
    • Cited By
  • Similar Articles
    • Related Articles (in Spandidos Publications)
    • Similar Articles (Google Scholar)
    • Similar Articles (PubMed)
  • Download PDF
  • Download XML
  • View XML
Case Report

Diaphragmatic perforation with colonic herniation due to hepatic radiofrequency ablation: A case report and review of the literature

  • Authors:
    • Meiqi Zhou
    • Haifei He
    • Hongke Cai
    • Hailong Chen
    • Yue Hu
    • Zheng Shu
    • Yongchuan Deng
  • View Affiliations / Copyright

    Affiliations: Department of Surgical Oncology, Second Affiliated Hospital, Zhejiang University College of Medicine, Hangzhou, Zhejiang 310009, P.R. China
  • Pages: 1719-1722
    |
    Published online on: October 15, 2013
       https://doi.org/10.3892/ol.2013.1625
  • Expand metrics +
Metrics: Total Views: 0 (Spandidos Publications: | PMC Statistics: )
Metrics: Total PDF Downloads: 0 (Spandidos Publications: | PMC Statistics: )
Cited By (CrossRef): 0 citations Loading Articles...

This article is mentioned in:



Abstract

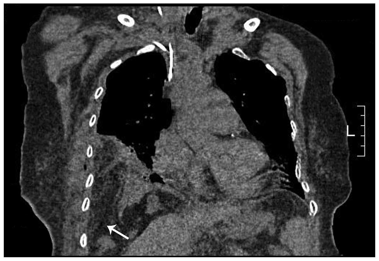
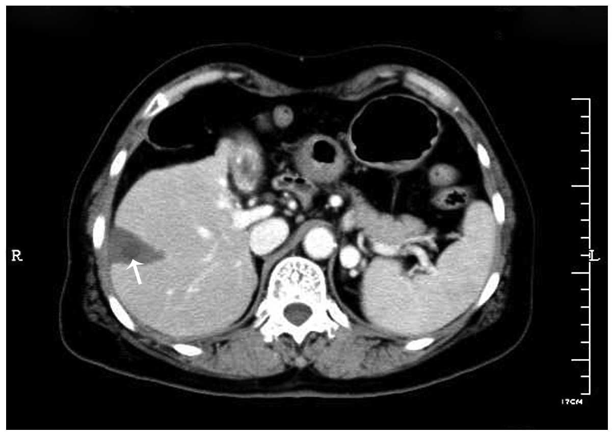
Radiofrequency ablation (RFA) has been widely accepted as an alternative treatment for unresectable primary and metastatic hepatic tumors, with satisfactory rates of local response and significant improvements in rates of overall survival. Numerous large series studies have shown that RFA is safe and effective, with a low mortality rate and a low major complication rate. Major complications, including diaphragmatic perforation and hernia, have rarely been previously reported. The current case report presents a case of diaphragmatic hernia with perforation of the incarcerated colon in the thoracic cavity 12 months following hepatic RFA, and reviews nine previously reported cases of diaphragmatic hernia. Comprehensive analysis of the nine cases demonstrated possibilities leading to diaphragmatic hernia following diaphragmatic thermal injury as a consequence of hepatic RFA. Clinicians and radiologists must consider diaphragmatic thermal damage following hepatic RFA for liver tumors adjacent to the diaphragm, particularly for patients with symptoms of ileus, dyspnea, chest pain, pleural effusion and right shoulder pain.
View Figures

Figure 1

Figure 2

Figure 3

View References

1 

Nam SY, Rhim H, Kang TW, et al: Percutaneous radiofrequency ablation for hepatic tumors abutting the diaphragm: clinical assessment of the heat-sink effect of artificial ascites. AJR Am J Roentgenol. 194:W227–W231. 2010. View Article : Google Scholar : PubMed/NCBI

2 

Tiong L and Maddern GJ: Systematic review and meta-analysis of survival and disease recurrence after radiofrequency ablation for hepatocellular carcinoma. Br J Surg. 98:1210–1224. 2011. View Article : Google Scholar : PubMed/NCBI

3 

Wong SL, Mangu PB, Choti MA, et al: American Society of Clinical Oncology 2009 clinical evidence review on radiofrequency ablation of hepatic metastases from colorectal cancer. J Clin Oncol. 28:493–508. 2010. View Article : Google Scholar : PubMed/NCBI

4 

Wu YZ, Li B, Wang T, et al: Radiofrequency ablation vs hepatic resection for solitary colorectal liver metastasis: a meta-analysis. World J Gastroenterol. 17:4143–4148. 2011. View Article : Google Scholar : PubMed/NCBI

5 

Gravante G, Overton J, Sorge R, et al: Radiofrequency ablation versus resection for liver tumours: an evidence-based approach to retrospective comparative studies. J Gastrointest Surg. 15:378–387. 2011. View Article : Google Scholar

6 

Livraghi T, Solbiati L, Meloni MF, et al: Treatment of focal liver tumors with percutaneous radio-frequency ablation: complications encountered in a multicenter study. Radiology. 226:441–451. 2003. View Article : Google Scholar : PubMed/NCBI

7 

Goldberg SN, Charboneau JW, Dodd GD III, et al; International Working Group on Image-Guided Tumor Ablation. Image-guided tumor ablation: proposal for standardization of terms and reporting criteria. Radiology. 228:335–345. 2003. View Article : Google Scholar : PubMed/NCBI

8 

Tang Z, Fang H, Kang M, et al: Percutaneous radiofrequency ablation for liver tumors: Is it safer and more effective in low-risk areas than in high-risk areas? Hepatol Res. 41:635–640. 2011. View Article : Google Scholar : PubMed/NCBI

9 

Kang TW, Rhim H, Kim EY, et al: Percutaneous radiofrequency ablation for the hepatocellular carcinoma abutting the diaphragm: assessment of safety and therapeutic efficacy. Korean J Radiol. 10:34–42. 2009. View Article : Google Scholar : PubMed/NCBI

10 

Teratani T, Yoshida H, Shiina S, et al: Radiofrequency ablation for hepatocellular carcinoma in so-called high-risk locations. Hepatology. 43:1101–1108. 2006. View Article : Google Scholar : PubMed/NCBI

11 

Kim YJ, Raman SS, Yu NC, et al: Radiofrequency ablation of hepatocellular carcinoma: can subcapsular tumors be safely ablated? AJR Am J Roentgenol. 190:1029–1034. 2008. View Article : Google Scholar : PubMed/NCBI

12 

Sartori S, Tombesi P, Macario F, et al: Subcapsular liver tumors treated with percutaneous radiofrequency ablation: a prospective comparison with nonsubcapsular liver tumors for safety and effectiveness. Radiology. 248:670–679. 2008. View Article : Google Scholar

13 

Head HW, Dodd GD III, Dalrymple NC, et al: Percutaneous radiofrequency ablation of hepatic tumors against the diaphragm: frequency of diaphragmatic injury. Radiology. 243:877–884. 2007. View Article : Google Scholar : PubMed/NCBI

14 

Koda M, Ueki M, Maeda N and Murawaki Y: Diaphragmatic perforation and hernia after hepatic radiofrequency ablation. AJR Am J Roentgenol. 180:1561–1562. 2003. View Article : Google Scholar : PubMed/NCBI

15 

Shibuya A, Nakazawa T, Saigenji K, et al: Diaphragmatic hernia after radiofrequency ablation therapy for hepatocellular carcinoma. AJR Am J Roentgenol. 186(Suppl 5): S241–S243. 2006. View Article : Google Scholar : PubMed/NCBI

16 

di Francesco F, di Sandro S, Doria C, et al: Diaphragmatic hernia occurring 15 months after percutaneous radiofrequency ablation of a hepatocellular cancer. Am Surg. 74:129–132. 2008.PubMed/NCBI

17 

Nawa T, Mochizuki K, Yakushijin T, et al: A patient who developed diaphragmatic hernia 20 months after percutaneous radiofrequency ablation for hepatocellular carcinoma. Nihon Shokakibyo Gakkai Zasshi. 107:1167–1174. 2010.(In Japanese).

18 

Pan WD, Zhang JS, Hu PK, Lin Z, Li K and Xu RY: Delayed diaphragmatic hernia after radiofrequency ablation for hepatocellular carcinoma: case report and review of the literature. Zhongguo Wuzhen Xue Zazhi. 31:76922010.

19 

Boissier F, Labbé V, Marchetti G, et al: Acute respiratory distress and shock secondary to complicated diaphragmatic hernia. Intensive Care Med. 37:725–726. 2011. View Article : Google Scholar : PubMed/NCBI

20 

Singh M, Singh G, Pandey A, et al: Laparoscopic repair of iatrogenic diaphragmatic hernia following radiofrequency ablation for hepatocellular carcinoma. Hepatol Res. 41:1132–1136. 2011. View Article : Google Scholar : PubMed/NCBI

21 

Yamagami T, Yoshimatsu R, Matsushima S, et al: Diaphragmatic hernia after radiofrequency ablation for hepatocellular carcinoma. Cardiovasc Intervent Radiol. 34(Suppl 2): S175–S177. 2011. View Article : Google Scholar : PubMed/NCBI

22 

Rhim H, Lim HK, Kim YS and Choi D: Percutaneous radiofrequency ablation with artificial ascites for hepatocellular carcinoma in the hepatic dome: initial experience. AJR Am J Roentgenol. 190:91–98. 2008. View Article : Google Scholar : PubMed/NCBI

23 

Raman SS, Aziz D, Chang X, et al: Minimizing diaphragmatic injury during radiofrequency ablation: efficacy of intraabdominal carbon dioxide insufflation. AJR Am J Roentgenol. 183:197–200. 2004. View Article : Google Scholar

24 

Kim YS, Rhim H, Choi D and Lim HK: Does artificial ascites induce the heat-sink phenomenon during percutaneous radiofrequency ablation of the hepatic subcapsular area?: an in vivo experimental study using a rabbit model. Korean J Radiol. 10:43–50. 2009. View Article : Google Scholar : PubMed/NCBI

Related Articles

  • Abstract
  • View
  • Download
  • Twitter
Copy and paste a formatted citation
Spandidos Publications style
Zhou M, He H, Cai H, Chen H, Hu Y, Shu Z and Deng Y: Diaphragmatic perforation with colonic herniation due to hepatic radiofrequency ablation: A case report and review of the literature. Oncol Lett 6: 1719-1722, 2013.
APA
Zhou, M., He, H., Cai, H., Chen, H., Hu, Y., Shu, Z., & Deng, Y. (2013). Diaphragmatic perforation with colonic herniation due to hepatic radiofrequency ablation: A case report and review of the literature. Oncology Letters, 6, 1719-1722. https://doi.org/10.3892/ol.2013.1625
MLA
Zhou, M., He, H., Cai, H., Chen, H., Hu, Y., Shu, Z., Deng, Y."Diaphragmatic perforation with colonic herniation due to hepatic radiofrequency ablation: A case report and review of the literature". Oncology Letters 6.6 (2013): 1719-1722.
Chicago
Zhou, M., He, H., Cai, H., Chen, H., Hu, Y., Shu, Z., Deng, Y."Diaphragmatic perforation with colonic herniation due to hepatic radiofrequency ablation: A case report and review of the literature". Oncology Letters 6, no. 6 (2013): 1719-1722. https://doi.org/10.3892/ol.2013.1625
Copy and paste a formatted citation
x
Spandidos Publications style
Zhou M, He H, Cai H, Chen H, Hu Y, Shu Z and Deng Y: Diaphragmatic perforation with colonic herniation due to hepatic radiofrequency ablation: A case report and review of the literature. Oncol Lett 6: 1719-1722, 2013.
APA
Zhou, M., He, H., Cai, H., Chen, H., Hu, Y., Shu, Z., & Deng, Y. (2013). Diaphragmatic perforation with colonic herniation due to hepatic radiofrequency ablation: A case report and review of the literature. Oncology Letters, 6, 1719-1722. https://doi.org/10.3892/ol.2013.1625
MLA
Zhou, M., He, H., Cai, H., Chen, H., Hu, Y., Shu, Z., Deng, Y."Diaphragmatic perforation with colonic herniation due to hepatic radiofrequency ablation: A case report and review of the literature". Oncology Letters 6.6 (2013): 1719-1722.
Chicago
Zhou, M., He, H., Cai, H., Chen, H., Hu, Y., Shu, Z., Deng, Y."Diaphragmatic perforation with colonic herniation due to hepatic radiofrequency ablation: A case report and review of the literature". Oncology Letters 6, no. 6 (2013): 1719-1722. https://doi.org/10.3892/ol.2013.1625
Follow us
  • Twitter
  • LinkedIn
  • Facebook
About
  • Spandidos Publications
  • Careers
  • Cookie Policy
  • Privacy Policy
How can we help?
  • Help
  • Live Chat
  • Contact
  • Email to our Support Team