Spandidos Publications Logo
  • About
    • About Spandidos
    • Aims and Scopes
    • Abstracting and Indexing
    • Editorial Policies
    • Reprints and Permissions
    • Job Opportunities
    • Terms and Conditions
    • Contact
  • Journals
    • All Journals
    • Oncology Letters
      • Oncology Letters
      • Information for Authors
      • Editorial Policies
      • Editorial Board
      • Aims and Scope
      • Abstracting and Indexing
      • Bibliographic Information
      • Archive
    • International Journal of Oncology
      • International Journal of Oncology
      • Information for Authors
      • Editorial Policies
      • Editorial Board
      • Aims and Scope
      • Abstracting and Indexing
      • Bibliographic Information
      • Archive
    • Molecular and Clinical Oncology
      • Molecular and Clinical Oncology
      • Information for Authors
      • Editorial Policies
      • Editorial Board
      • Aims and Scope
      • Abstracting and Indexing
      • Bibliographic Information
      • Archive
    • Experimental and Therapeutic Medicine
      • Experimental and Therapeutic Medicine
      • Information for Authors
      • Editorial Policies
      • Editorial Board
      • Aims and Scope
      • Abstracting and Indexing
      • Bibliographic Information
      • Archive
    • International Journal of Molecular Medicine
      • International Journal of Molecular Medicine
      • Information for Authors
      • Editorial Policies
      • Editorial Board
      • Aims and Scope
      • Abstracting and Indexing
      • Bibliographic Information
      • Archive
    • Biomedical Reports
      • Biomedical Reports
      • Information for Authors
      • Editorial Policies
      • Editorial Board
      • Aims and Scope
      • Abstracting and Indexing
      • Bibliographic Information
      • Archive
    • Oncology Reports
      • Oncology Reports
      • Information for Authors
      • Editorial Policies
      • Editorial Board
      • Aims and Scope
      • Abstracting and Indexing
      • Bibliographic Information
      • Archive
    • Molecular Medicine Reports
      • Molecular Medicine Reports
      • Information for Authors
      • Editorial Policies
      • Editorial Board
      • Aims and Scope
      • Abstracting and Indexing
      • Bibliographic Information
      • Archive
    • World Academy of Sciences Journal
      • World Academy of Sciences Journal
      • Information for Authors
      • Editorial Policies
      • Editorial Board
      • Aims and Scope
      • Abstracting and Indexing
      • Bibliographic Information
      • Archive
    • International Journal of Functional Nutrition
      • International Journal of Functional Nutrition
      • Information for Authors
      • Editorial Policies
      • Editorial Board
      • Aims and Scope
      • Abstracting and Indexing
      • Bibliographic Information
      • Archive
    • International Journal of Epigenetics
      • International Journal of Epigenetics
      • Information for Authors
      • Editorial Policies
      • Editorial Board
      • Aims and Scope
      • Abstracting and Indexing
      • Bibliographic Information
      • Archive
    • Medicine International
      • Medicine International
      • Information for Authors
      • Editorial Policies
      • Editorial Board
      • Aims and Scope
      • Abstracting and Indexing
      • Bibliographic Information
      • Archive
  • Articles
  • Information
    • Information for Authors
    • Information for Reviewers
    • Information for Librarians
    • Information for Advertisers
    • Conferences
  • Language Editing
Spandidos Publications Logo
  • About
    • About Spandidos
    • Aims and Scopes
    • Abstracting and Indexing
    • Editorial Policies
    • Reprints and Permissions
    • Job Opportunities
    • Terms and Conditions
    • Contact
  • Journals
    • All Journals
    • Biomedical Reports
      • Information for Authors
      • Editorial Policies
      • Editorial Board
      • Aims and Scope
      • Abstracting and Indexing
      • Bibliographic Information
      • Archive
    • Experimental and Therapeutic Medicine
      • Information for Authors
      • Editorial Policies
      • Editorial Board
      • Aims and Scope
      • Abstracting and Indexing
      • Bibliographic Information
      • Archive
    • International Journal of Epigenetics
      • Information for Authors
      • Editorial Policies
      • Editorial Board
      • Aims and Scope
      • Abstracting and Indexing
      • Bibliographic Information
      • Archive
    • International Journal of Functional Nutrition
      • Information for Authors
      • Editorial Policies
      • Editorial Board
      • Aims and Scope
      • Abstracting and Indexing
      • Bibliographic Information
      • Archive
    • International Journal of Molecular Medicine
      • Information for Authors
      • Editorial Policies
      • Editorial Board
      • Aims and Scope
      • Abstracting and Indexing
      • Bibliographic Information
      • Archive
    • International Journal of Oncology
      • Information for Authors
      • Editorial Policies
      • Editorial Board
      • Aims and Scope
      • Abstracting and Indexing
      • Bibliographic Information
      • Archive
    • Medicine International
      • Information for Authors
      • Editorial Policies
      • Editorial Board
      • Aims and Scope
      • Abstracting and Indexing
      • Bibliographic Information
      • Archive
    • Molecular and Clinical Oncology
      • Information for Authors
      • Editorial Policies
      • Editorial Board
      • Aims and Scope
      • Abstracting and Indexing
      • Bibliographic Information
      • Archive
    • Molecular Medicine Reports
      • Information for Authors
      • Editorial Policies
      • Editorial Board
      • Aims and Scope
      • Abstracting and Indexing
      • Bibliographic Information
      • Archive
    • Oncology Letters
      • Information for Authors
      • Editorial Policies
      • Editorial Board
      • Aims and Scope
      • Abstracting and Indexing
      • Bibliographic Information
      • Archive
    • Oncology Reports
      • Information for Authors
      • Editorial Policies
      • Editorial Board
      • Aims and Scope
      • Abstracting and Indexing
      • Bibliographic Information
      • Archive
    • World Academy of Sciences Journal
      • Information for Authors
      • Editorial Policies
      • Editorial Board
      • Aims and Scope
      • Abstracting and Indexing
      • Bibliographic Information
      • Archive
  • Articles
  • Information
    • For Authors
    • For Reviewers
    • For Librarians
    • For Advertisers
    • Conferences
  • Language Editing
Login Register Submit
  • This site uses cookies
  • You can change your cookie settings at any time by following the instructions in our Cookie Policy. To find out more, you may read our Privacy Policy.

    I agree
Search articles by DOI, keyword, author or affiliation
Search
Advanced Search
presentation
Oncology Letters
Join Editorial Board Propose a Special Issue
Print ISSN: 1792-1074 Online ISSN: 1792-1082
Journal Cover
2014-February Volume 7 Issue 2

Full Size Image

Sign up for eToc alerts
Recommend to Library

Journals

International Journal of Molecular Medicine

International Journal of Molecular Medicine

International Journal of Molecular Medicine is an international journal devoted to molecular mechanisms of human disease.

International Journal of Oncology

International Journal of Oncology

International Journal of Oncology is an international journal devoted to oncology research and cancer treatment.

Molecular Medicine Reports

Molecular Medicine Reports

Covers molecular medicine topics such as pharmacology, pathology, genetics, neuroscience, infectious diseases, molecular cardiology, and molecular surgery.

Oncology Reports

Oncology Reports

Oncology Reports is an international journal devoted to fundamental and applied research in Oncology.

Experimental and Therapeutic Medicine

Experimental and Therapeutic Medicine

Experimental and Therapeutic Medicine is an international journal devoted to laboratory and clinical medicine.

Oncology Letters

Oncology Letters

Oncology Letters is an international journal devoted to Experimental and Clinical Oncology.

Biomedical Reports

Biomedical Reports

Explores a wide range of biological and medical fields, including pharmacology, genetics, microbiology, neuroscience, and molecular cardiology.

Molecular and Clinical Oncology

Molecular and Clinical Oncology

International journal addressing all aspects of oncology research, from tumorigenesis and oncogenes to chemotherapy and metastasis.

World Academy of Sciences Journal

World Academy of Sciences Journal

Multidisciplinary open-access journal spanning biochemistry, genetics, neuroscience, environmental health, and synthetic biology.

International Journal of Functional Nutrition

International Journal of Functional Nutrition

Open-access journal combining biochemistry, pharmacology, immunology, and genetics to advance health through functional nutrition.

International Journal of Epigenetics

International Journal of Epigenetics

Publishes open-access research on using epigenetics to advance understanding and treatment of human disease.

Medicine International

Medicine International

An International Open Access Journal Devoted to General Medicine.

Journal Cover
2014-February Volume 7 Issue 2

Full Size Image

Sign up for eToc alerts
Recommend to Library

  • Article
  • Citations
    • Cite This Article
    • Download Citation
    • Create Citation Alert
    • Remove Citation Alert
    • Cited By
  • Similar Articles
    • Related Articles (in Spandidos Publications)
    • Similar Articles (Google Scholar)
    • Similar Articles (PubMed)
  • Download PDF
  • Download XML
  • View XML
Case Report

Disseminated Fusarium infection in a patient with acute lymphoblastic leukemia: A case report and review of the literature

  • Authors:
    • Yi‑Sheng Liu
    • Ning‑Chi Wang
    • Ren‑Hua Ye
    • Wei‑Yao Kao
  • View Affiliations / Copyright

    Affiliations: Division of Hematology and Oncology, Department of Medicine, Tri‑Service General Hospital, National Defense Medical Center, Taipei 114, Taiwan, R.O.C., Division of Infectious Disease, Department of Medicine, Tri‑Service General Hospital, National Defense Medical Center, Taipei 114, Taiwan, R.O.C.
  • Pages: 334-336
    |
    Published online on: December 6, 2013
       https://doi.org/10.3892/ol.2013.1738
  • Expand metrics +
Metrics: Total Views: 0 (Spandidos Publications: | PMC Statistics: )
Metrics: Total PDF Downloads: 0 (Spandidos Publications: | PMC Statistics: )
Cited By (CrossRef): 0 citations Loading Articles...

This article is mentioned in:



Abstract

Fusarium is a common soil mold. In severely immunocompromised patients, this fungus may cause disseminated disease and is often confused with Aspergillus, as the two pathogens have similar histopathological appearances. Disseminated Fusarium infection may cause significant morbidity and mortality in immunocompromised patients. The current case report presents a 20‑year‑old male with acute lymphoblastic leukemia who developed disseminated Fusarium infection during induction chemotherapy. Early diagnosis and treatment is extremely important since the mortality rate is extremely high in such patients. The clinician must consider that the clinical presentation of Fusarium infection resembles that of Aspergillus. There is no optimal treatment for patients with Fusarium infection; however, combination antifungal therapy may have benefit without significant toxicity.

Introduction

Invasive fungal infections are leading causes of mortality and morbidity in patients with hematological malignancies and prolonged neutropenia following chemotherapy (1,2). In general, fluconazole is used as a prophylactic antifungal treatment for patients with hematological malignancies who are predicted to exhibit prolonged neutropenia following aggressive chemotherapy. Thus, mold infections become more common in patients with fluconazole prophylaxis and Fusarium is the second most common cause of mold infection. The incidence of Fusarium spp. infections in patients with acute leukemia in Europe is 0.06% (3) and was 1.2% among 750 allogeneic and 0.2% among 1,537 autologous marrow transplant recipients in the United States (4). Disseminated fusariosis accounts for 70% of Fusarium infections in immunocompromised patients, particularly in patients with acute leukemia with prolonged and profound neutropenia, and patients undergoing hematopoietic stem cell transplantation (5).

Case report

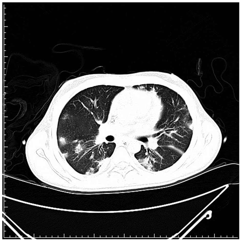
A 20-year-old male was diagnosed with acute lymphoblastic leukemia, precursor B cell type and received induction chemotherapy with TPOG-ALL-2002 VHR protocol (6) with partial remission in the induction course. The patient did not finish the consolidation course due to prolonged neutropenia. Later, the patient relapsed and received chemotherapy with FLAG-IDA (idarubicin, fludarabine, cytarabine and G-CSF) (7). The patient exhibited prolonged febrile neutropenia for more than one month during the initial course of chemotherapy, but exhibited rapid relapse again, soon following neutropenia recovery. In the second course of treatment, the patient received 400 mg oral fluconazole daily as an antifungal prophylaxis. The febrile neutropenia was found two days later. Antibiotic treatment with imipenem/cilastatin (500 mg, i.v., every 6 h), vancomycin (1,000 mg, i.v., every 12 h) and micafungin (100 mg, i.v., daily) was then administrated. After four days, multiple skin lesions, starting from the legs and spreading to the face and upper extremities were identified. The lesions exhibited necrotic centers surrounded by spreading erythema (Fig. 1). The lesions worsened and the antifungal treatment was replaced with caspofungin (100 mg, i.v., daily). A biopsy of the skin lesions showed the presence of hyphae occupying the vascular space. The Gomori methanamine silver and periodic acid-Schiff stains were positive. The histopathological diagnosis was angioinvasive aspergillosis and treatment with voriconazole (200 mg, i.v., every 12 h) was initiated in addition to caspofungin with poor response. The amphotericin B was not administered due to ethical issues (the patient and family refused further aggressive treatment owing to refractory acute lymphoblastic leukemia with poor therapeutic response). A high-resolution computed tomography scan of the lungs found multiple speculated and round consolidative densities in the lungs (Fig. 2). After three weeks, the sputum and skin tissue cultures finally demonstrated Fusarium spp. colonization (Fig. 3). The patient succumbed to the disease two months later. Written consent was provided from the patient’s family.

Figure 1

Classical single lesion with indurated erythematous papule and central necrosis.

Figure 2

Radiological observations may indicate non-specific infiltrates to nodular and/or cavity formation.

Figure 3

Microscopically, Fusarium filaments were hyaline, septate and 3- to 8-μm in diameter, typically branching at acute or right angles.

Discussion

Fusarium is widely distributed in soil, plants and air and is common in tropical and temperate regions. This pathogen can cause a broad spectrum of human diseases, which may be locally invasive or disseminated. In immunocompromised patients, particularly in high-risk patients (those with prolonged and profound neutropenia), Fusarium infection is typically invasive and disseminated (5). In a previous study of invasive fusariosis in 84 patients with hematological malignancies, patients with acute leukemia occurred most frequently (56%) and the majority of patients (83%) were neutropenic at diagnosis (8). The incidence of Fusarium spp. infection in patients with acute leukemia in Europe is 0.06% (3). Previously, in a 10-year follow-up study from a US institution, the incidence of Fusarium infection was 1.2% among 750 allogeneic and 0.2% among 1,537 autologous marrow transplant recipients (4).

Fusarium infection in immunocompromised patients is airborne or inoculated through the breakdown of the skin barrier. Skin lesions may involve any skin sites, with predominance in the extremities. Fusarium infection presents more frequently as metastatic skin lesions with initial presentation of subcutaneous lesions, to erythematous indurations, followed by target-like central necrotic lesions (4). The lesions are evoked rapidly within one to five days, at various stages of evolution and occasionally with myalgias (9). Skin biopsies are extremely easy to perform and confirm clinical suspicion. However, the histopathological images of skin lesions resemble those of Aspergillus infections. The two infections exhibit vascular invasion and branching septate hyphae (4); therefore, identification from Aspergillus may be difficult.

As with the case of Aspergillus, the radiological observations of pulmonary Fusarium infection are non-specific, including non-specific infiltrates to nodular and/or cavity formation, depending on the timing of the examination (9). The prognosis is considerably worse in patient pulmonary infiltrates (10).

The definite diagnosis of Fusarium infection requires Fusarium spp. isolation from blood and tissue culture (such as the skin, lungs and sinuses). However, the Fusarium species may contaminate laboratory specimens and pseudo-outbreaks of fusariosis may occur (11). Thus, the clinician must be cautious of interpretation. Unlike Aspergillus, the Fusarium species may be isolated from cultures of blood samples in 40% of cases. With the presence of disseminated skin lesions, the presence of the fungus in blood cultures may increase to 56% (8). In the majority of cases, fungemia is likely to develop in a median of five days (range, one to 10 days) following the appearance of skin lesions (9). However, in the present case, the blood culture did not yield Fusarium species despite disseminated skin lesions.

For patients with persistently febrile neutropenia, empiric treatment with caspofungin is initially recommended and liposomal amphotericin B is an alternative choice (12). There is no treatment guideline for Fusarium infection. Nucci et al(8) suggested high-dose amphotericin B or lipid formation of amphotericin B since specific Fusarium species may be resistant to azoles. The greatest challenge to clinicians is the early diagnosis of the Fusarium infection and preemptive treatment, since the histopathology of Fusarium may be confused with Aspergillus and the galactomannan test may not be useful for distinguishing Fusarium from Aspergillus(13). Despite aggressive treatment, the survival rate of the Fusarium infection in patients with persistent neutropenia is only 4% (8). Early granulocyte recovery is significantly associated with favorable response and survival and growth factors (G-CSF or GM-CSF) or granulocyte transfusions, which may shorten the neutropenic period to aid immunity recovery (15). Combination antifungal therapy is well-tolerated with acceptable minor toxicity (14,15) and, theoretically, may have benefits to stabilizing the infection and preventing fatal progression. However, such data are limited in hematological patients with Fusarium infection. In a previous report of immunocompromised patients with disseminated Fusarium infection, 70% of patients (14 cases) exhibited a positive response to combination antifungal therapy (16). In one multicenter retrospective study of 61 hematological patients with confirmed or predicted invasive mold infections, comparing liposomal amphotericin B plus caspofungin, liposomal amphotericin B plus a triazole and voriconazole plus one echinocandin drug, no statistical differences were identified among these groups at the end of treatment and 12-week survival (15). In the current case, the patient was recommended amphotericin B plus caspofungin or amphotericin B plus voriconazole treatment in combination; however, the patient and family refused due to ethical issues. The optimal treatment for patients with Fusarium infection requires further investigation and well-designed clinical trails to address this issue.

References

1 

Pagano L, Caira M, Candoni A, et al: The epidemiology of fungal infections in patients with hematologic malignancies: the SEIFEM-2004 study. Haematologica. 91:1068–1075. 2006.PubMed/NCBI

2 

Böhme A, Ruhnke M, Buchheidt D, et al: Treatment of invasive fungal infections in cancer patients - recommendations of the Infectious Diseases Working Party (AGIHO) of the German Society of Hematology and Oncology (DGHO). Ann Hematol. 88:97–110. 2009.

3 

Girmenia C, Pagano L, Corvatta L, et al: The epidemiology of fusariosis in patients with haematological diseases. Gimema Infection Programme. Br J Haematol. 111:272–276. 2000. View Article : Google Scholar : PubMed/NCBI

4 

Boutati EI and Anaissie EJ: Fusarium, a significant emerging pathogen in patients with hematologic malignancy: ten years’ experience at a cancer center and implications for management. Blood. 90:999–1008. 1997.PubMed/NCBI

5 

Nucci M and Anaissie E: Fusarium infections in immunocompromised patients. Clin Microbiol Rev. 20:695–704. 2007. View Article : Google Scholar

6 

Liang DC, Yang CP, Lin DT, et al: Long-term results of Taiwan Pediatric Oncology Group studies 1997 and 2002 for childhood acute lymphoblastic leukemia. Leukemia. 24:397–405. 2010. View Article : Google Scholar : PubMed/NCBI

7 

Fleischhack G, Hasan C, Graf N, Mann G and Bode U: IDA-FLAG (idarubicin, fludarabine, cytarabine, G-CSF), an effective remission-induction therapy for poor-prognosis AML of childhood prior to allogeneic or autologous bone marrow transplantation: experiences of a phase II trial. Br J Haematol. 102:647–655. 1998. View Article : Google Scholar

8 

Nucci M, Anaissie EJ, Queiroz-Telles F, et al: Outcome predictors of 84 patients with hematologic malignancies and Fusarium infection. Cancer. 98:315–319. 2003. View Article : Google Scholar : PubMed/NCBI

9 

Dignani MC and Anaissie EJ: Human fusariosis. Clin Microbiol Infect. 10(Suppl 1): 67–75. 2004. View Article : Google Scholar

10 

Chaoui D, Legrand O, Roche N, et al: Incidence and prognostic value of respiratory events in acute leukemia. Leukemia. 18:670–675. 2004. View Article : Google Scholar : PubMed/NCBI

11 

Grigis A, Farina C, Symoens F, Nolard N and Goglio A: Nosocomial pseudo-outbreak of Fusarium verticillioides associated with sterile plastic containers. Infect Control Hosp Epidemiol. 21:50–52. 2000.

12 

Rüping MJ, Vehreschild JJ and Cornely OA: Antifungal treatment strategies in high risk patients. Mycoses. 51(Suppl 2): 46–51. 2008.

13 

Tortorano AM, Esposto MC, Prigitano A, Grancini A, Ossi C, Cavanna C and Cascio GL: Cross-reactivity of Fusarium spp. in the Aspergillus Galactomannan enzyme-linked immunosorbent assay. J Clin Microbiol. 50:1051–1053. 2012.

14 

Cetkovsky P, Kouba M, Markova M, et al: Combination of voriconazole and anidulafungin as primary therapy in hematologic patients. Biol Blood Marrow Transplant. 16:S2642010. View Article : Google Scholar

15 

Rojas R, Molina JR, Jarque I, et al: Outcome of antifungal combination therapy for invasive mold infections in hematological patients is independent for chosen combination. Mediterr J Hematol Infect Dis. 4:e20120112012. View Article : Google Scholar

16 

Liu JY, Chen WT, Ko BS, et al: Combination antifungal therapy for disseminated fusariosis in immunocompromised patients: a case report and literature review. Med Mycol. 49:872–878. 2011.PubMed/NCBI

Related Articles

  • Abstract
  • View
  • Download
  • Twitter
Copy and paste a formatted citation
Spandidos Publications style
Liu YS, Wang NC, Ye RH and Kao WY: Disseminated Fusarium infection in a patient with acute lymphoblastic leukemia: A case report and review of the literature. Oncol Lett 7: 334-336, 2014.
APA
Liu, Y., Wang, N., Ye, R., & Kao, W. (2014). Disseminated Fusarium infection in a patient with acute lymphoblastic leukemia: A case report and review of the literature. Oncology Letters, 7, 334-336. https://doi.org/10.3892/ol.2013.1738
MLA
Liu, Y., Wang, N., Ye, R., Kao, W."Disseminated Fusarium infection in a patient with acute lymphoblastic leukemia: A case report and review of the literature". Oncology Letters 7.2 (2014): 334-336.
Chicago
Liu, Y., Wang, N., Ye, R., Kao, W."Disseminated Fusarium infection in a patient with acute lymphoblastic leukemia: A case report and review of the literature". Oncology Letters 7, no. 2 (2014): 334-336. https://doi.org/10.3892/ol.2013.1738
Copy and paste a formatted citation
x
Spandidos Publications style
Liu YS, Wang NC, Ye RH and Kao WY: Disseminated Fusarium infection in a patient with acute lymphoblastic leukemia: A case report and review of the literature. Oncol Lett 7: 334-336, 2014.
APA
Liu, Y., Wang, N., Ye, R., & Kao, W. (2014). Disseminated Fusarium infection in a patient with acute lymphoblastic leukemia: A case report and review of the literature. Oncology Letters, 7, 334-336. https://doi.org/10.3892/ol.2013.1738
MLA
Liu, Y., Wang, N., Ye, R., Kao, W."Disseminated Fusarium infection in a patient with acute lymphoblastic leukemia: A case report and review of the literature". Oncology Letters 7.2 (2014): 334-336.
Chicago
Liu, Y., Wang, N., Ye, R., Kao, W."Disseminated Fusarium infection in a patient with acute lymphoblastic leukemia: A case report and review of the literature". Oncology Letters 7, no. 2 (2014): 334-336. https://doi.org/10.3892/ol.2013.1738
Follow us
  • Twitter
  • LinkedIn
  • Facebook
About
  • Spandidos Publications
  • Careers
  • Cookie Policy
  • Privacy Policy
How can we help?
  • Help
  • Live Chat
  • Contact
  • Email to our Support Team