Spandidos Publications Logo
  • About
    • About Spandidos
    • Aims and Scopes
    • Abstracting and Indexing
    • Editorial Policies
    • Reprints and Permissions
    • Job Opportunities
    • Terms and Conditions
    • Contact
  • Journals
    • All Journals
    • Oncology Letters
      • Oncology Letters
      • Information for Authors
      • Editorial Policies
      • Editorial Board
      • Aims and Scope
      • Abstracting and Indexing
      • Bibliographic Information
      • Archive
    • International Journal of Oncology
      • International Journal of Oncology
      • Information for Authors
      • Editorial Policies
      • Editorial Board
      • Aims and Scope
      • Abstracting and Indexing
      • Bibliographic Information
      • Archive
    • Molecular and Clinical Oncology
      • Molecular and Clinical Oncology
      • Information for Authors
      • Editorial Policies
      • Editorial Board
      • Aims and Scope
      • Abstracting and Indexing
      • Bibliographic Information
      • Archive
    • Experimental and Therapeutic Medicine
      • Experimental and Therapeutic Medicine
      • Information for Authors
      • Editorial Policies
      • Editorial Board
      • Aims and Scope
      • Abstracting and Indexing
      • Bibliographic Information
      • Archive
    • International Journal of Molecular Medicine
      • International Journal of Molecular Medicine
      • Information for Authors
      • Editorial Policies
      • Editorial Board
      • Aims and Scope
      • Abstracting and Indexing
      • Bibliographic Information
      • Archive
    • Biomedical Reports
      • Biomedical Reports
      • Information for Authors
      • Editorial Policies
      • Editorial Board
      • Aims and Scope
      • Abstracting and Indexing
      • Bibliographic Information
      • Archive
    • Oncology Reports
      • Oncology Reports
      • Information for Authors
      • Editorial Policies
      • Editorial Board
      • Aims and Scope
      • Abstracting and Indexing
      • Bibliographic Information
      • Archive
    • Molecular Medicine Reports
      • Molecular Medicine Reports
      • Information for Authors
      • Editorial Policies
      • Editorial Board
      • Aims and Scope
      • Abstracting and Indexing
      • Bibliographic Information
      • Archive
    • World Academy of Sciences Journal
      • World Academy of Sciences Journal
      • Information for Authors
      • Editorial Policies
      • Editorial Board
      • Aims and Scope
      • Abstracting and Indexing
      • Bibliographic Information
      • Archive
    • International Journal of Functional Nutrition
      • International Journal of Functional Nutrition
      • Information for Authors
      • Editorial Policies
      • Editorial Board
      • Aims and Scope
      • Abstracting and Indexing
      • Bibliographic Information
      • Archive
    • International Journal of Epigenetics
      • International Journal of Epigenetics
      • Information for Authors
      • Editorial Policies
      • Editorial Board
      • Aims and Scope
      • Abstracting and Indexing
      • Bibliographic Information
      • Archive
    • Medicine International
      • Medicine International
      • Information for Authors
      • Editorial Policies
      • Editorial Board
      • Aims and Scope
      • Abstracting and Indexing
      • Bibliographic Information
      • Archive
  • Articles
  • Information
    • Information for Authors
    • Information for Reviewers
    • Information for Librarians
    • Information for Advertisers
    • Conferences
  • Language Editing
Spandidos Publications Logo
  • About
    • About Spandidos
    • Aims and Scopes
    • Abstracting and Indexing
    • Editorial Policies
    • Reprints and Permissions
    • Job Opportunities
    • Terms and Conditions
    • Contact
  • Journals
    • All Journals
    • Biomedical Reports
      • Information for Authors
      • Editorial Policies
      • Editorial Board
      • Aims and Scope
      • Abstracting and Indexing
      • Bibliographic Information
      • Archive
    • Experimental and Therapeutic Medicine
      • Information for Authors
      • Editorial Policies
      • Editorial Board
      • Aims and Scope
      • Abstracting and Indexing
      • Bibliographic Information
      • Archive
    • International Journal of Epigenetics
      • Information for Authors
      • Editorial Policies
      • Editorial Board
      • Aims and Scope
      • Abstracting and Indexing
      • Bibliographic Information
      • Archive
    • International Journal of Functional Nutrition
      • Information for Authors
      • Editorial Policies
      • Editorial Board
      • Aims and Scope
      • Abstracting and Indexing
      • Bibliographic Information
      • Archive
    • International Journal of Molecular Medicine
      • Information for Authors
      • Editorial Policies
      • Editorial Board
      • Aims and Scope
      • Abstracting and Indexing
      • Bibliographic Information
      • Archive
    • International Journal of Oncology
      • Information for Authors
      • Editorial Policies
      • Editorial Board
      • Aims and Scope
      • Abstracting and Indexing
      • Bibliographic Information
      • Archive
    • Medicine International
      • Information for Authors
      • Editorial Policies
      • Editorial Board
      • Aims and Scope
      • Abstracting and Indexing
      • Bibliographic Information
      • Archive
    • Molecular and Clinical Oncology
      • Information for Authors
      • Editorial Policies
      • Editorial Board
      • Aims and Scope
      • Abstracting and Indexing
      • Bibliographic Information
      • Archive
    • Molecular Medicine Reports
      • Information for Authors
      • Editorial Policies
      • Editorial Board
      • Aims and Scope
      • Abstracting and Indexing
      • Bibliographic Information
      • Archive
    • Oncology Letters
      • Information for Authors
      • Editorial Policies
      • Editorial Board
      • Aims and Scope
      • Abstracting and Indexing
      • Bibliographic Information
      • Archive
    • Oncology Reports
      • Information for Authors
      • Editorial Policies
      • Editorial Board
      • Aims and Scope
      • Abstracting and Indexing
      • Bibliographic Information
      • Archive
    • World Academy of Sciences Journal
      • Information for Authors
      • Editorial Policies
      • Editorial Board
      • Aims and Scope
      • Abstracting and Indexing
      • Bibliographic Information
      • Archive
  • Articles
  • Information
    • For Authors
    • For Reviewers
    • For Librarians
    • For Advertisers
    • Conferences
  • Language Editing
Login Register Submit
  • This site uses cookies
  • You can change your cookie settings at any time by following the instructions in our Cookie Policy. To find out more, you may read our Privacy Policy.

    I agree
Search articles by DOI, keyword, author or affiliation
Search
Advanced Search
presentation
Oncology Letters
Join Editorial Board Propose a Special Issue
Print ISSN: 1792-1074 Online ISSN: 1792-1082
Journal Cover
2014-April Volume 7 Issue 4

Full Size Image

Sign up for eToc alerts
Recommend to Library

Journals

International Journal of Molecular Medicine

International Journal of Molecular Medicine

International Journal of Molecular Medicine is an international journal devoted to molecular mechanisms of human disease.

International Journal of Oncology

International Journal of Oncology

International Journal of Oncology is an international journal devoted to oncology research and cancer treatment.

Molecular Medicine Reports

Molecular Medicine Reports

Covers molecular medicine topics such as pharmacology, pathology, genetics, neuroscience, infectious diseases, molecular cardiology, and molecular surgery.

Oncology Reports

Oncology Reports

Oncology Reports is an international journal devoted to fundamental and applied research in Oncology.

Experimental and Therapeutic Medicine

Experimental and Therapeutic Medicine

Experimental and Therapeutic Medicine is an international journal devoted to laboratory and clinical medicine.

Oncology Letters

Oncology Letters

Oncology Letters is an international journal devoted to Experimental and Clinical Oncology.

Biomedical Reports

Biomedical Reports

Explores a wide range of biological and medical fields, including pharmacology, genetics, microbiology, neuroscience, and molecular cardiology.

Molecular and Clinical Oncology

Molecular and Clinical Oncology

International journal addressing all aspects of oncology research, from tumorigenesis and oncogenes to chemotherapy and metastasis.

World Academy of Sciences Journal

World Academy of Sciences Journal

Multidisciplinary open-access journal spanning biochemistry, genetics, neuroscience, environmental health, and synthetic biology.

International Journal of Functional Nutrition

International Journal of Functional Nutrition

Open-access journal combining biochemistry, pharmacology, immunology, and genetics to advance health through functional nutrition.

International Journal of Epigenetics

International Journal of Epigenetics

Publishes open-access research on using epigenetics to advance understanding and treatment of human disease.

Medicine International

Medicine International

An International Open Access Journal Devoted to General Medicine.

Journal Cover
2014-April Volume 7 Issue 4

Full Size Image

Sign up for eToc alerts
Recommend to Library

  • Article
  • Citations
    • Cite This Article
    • Download Citation
    • Create Citation Alert
    • Remove Citation Alert
    • Cited By
  • Similar Articles
    • Related Articles (in Spandidos Publications)
    • Similar Articles (Google Scholar)
    • Similar Articles (PubMed)
  • Download PDF
  • Download XML
  • View XML
Case Report

L‑asparaginase-induced severe acute pancreatitis in an adult with extranodal natural killer/T-cell lymphoma, nasal type: A case report and review of the literature

  • Authors:
    • Fang Wu
    • Lu Qu
    • Yafen Tan
    • Yue Zhang
    • Chunhong Hu
  • View Affiliations / Copyright

    Affiliations: Department of Oncology, The Second Xiangya Hospital of Central South University, Changsha, Hunan 410011, P.R. China
  • Pages: 1305-1307
    |
    Published online on: February 11, 2014
       https://doi.org/10.3892/ol.2014.1871
  • Expand metrics +
Metrics: Total Views: 0 (Spandidos Publications: | PMC Statistics: )
Metrics: Total PDF Downloads: 0 (Spandidos Publications: | PMC Statistics: )
Cited By (CrossRef): 0 citations Loading Articles...

This article is mentioned in:



Abstract

L‑asparaginase (L‑Asp)‑associated pancreatitis (AAP) occurs occasionally; however, this side‑effect has predominantly been observed among pediatric patients. Usually, it is not life‑threatening and generally responds to intensive medical therapy. The present study presents a rare case of lethal AAP in an adult. The patient was recently diagnosed with extranodal natural killer/T‑cell lymphoma (ENKTL), nasal type, and the chronic hepatitis B virus (HBV) infection and was receiving L‑Asp as part of a chemotherapy regimen. Severe acute pancreatitis occurred and the patient succumbed 72 h after completion of chemotherapy. The HBV infection and lipid disorders may have been potential risk factors for the development of severe acute pancreatitis in the patient.

Introduction

Extranodal natural killer/T-cell lymphoma (ENKTL), nasal type is associated with a poor prognosis and the outcomes of chemotherapy are considered to be unsatisfactory. Previous studies have reported that L-asparaginase (L-Asp)-based regimens may be an effective option to improve the chemotherapeutic efficacy on ENKTL (1–3). Acute pancreatitis is one of the predominant toxicities that is associated with L-Asp therapy (4). In the present study, a case of lethal L-Asp-associated pancreatitis (AAP) in an adult patient with ENKTL is presented, to raise awareness regarding the severe side-effects of L-Asp and the potential risk factors for developing lethal AAP in adults. Written informed consent was obtained from the patient’s family. The study was approved by the ethics committee of The Second Xiangya Hospital of Central South University (Changsha, China).

Case report

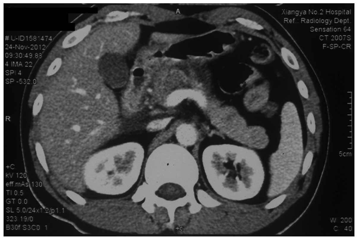
A 29-year-old Chinese male was admitted to The Second Xiangya Hospital of Central South University (Changsha, China) due to ENKTL in October 2012. The patient’s medical history included the chronic hepatitis B virus (HBV) infection and a right front-parietal lobe transitional meningioma resection, which was conducted in June 2010. A physical examination was performed at the time of admission and the patient exhibited the following: Height, 173 cm; weight, 72 kg; and body surface area, 1.86 m2. The results of the biochemical analysis were within the normal limits with the exception of increased HBV-DNA copies (3.61×107 IU/ml). In addition, an abdominal contrast-enhanced computed tomography (CT) scan showed no evidence of an abnormal pancreas, spleen or kidneys, however, fatty liver was observed. Combination chemotherapy was performed to treat the patient, which included intravenous injections of L-Asp (6000 IU/m2) for seven continuous days, 1000 mg/m2 gemcitabine on days one and eight and 85 mg/m2 oxaliplatin on day one. Additionally, the patient was administered with 0.1 g lamivudine per day as an antiviral treatment. Acute and severe epigastric pain occurred two days after completion of the chemotherapy and a physical examination revealed epigastric tenderness. The values of total bilirubin (44.4 μmol/l) and direct bilirubin (9.7 μmol/l) increased, serum amylase (964.2 μl), urinary amylase (219.7 μl) and fasting glucose (8.11 mmol/l) were significantly increased and the level of serum calcium (1.86 mmol/l) was markedly decreased, which indicated severe inflammation and dysfunction of the pancreas. The patient immediately received resuscitation fluid intravenously and a supplement of electrolytes. Meperidine and somatostatin were administered to relieve the pain, and to decrease the secretion of pancreatic fluid and total parenteral nutrition, respectively. A contrast-enhanced CT scan of the abdomen (Fig. 1) revealed diffuse swelling of the pancreas and peripancreatic fluid exudation, demonstrating acute pancreatitis. The patient presented with dizziness and exacerbation of abdominal pain on the subsequent night. A biochemical analysis of the serum demonstrated serum amylase, fasting glucose, calcium and serum triglyceride levels of 177.3 μl, 10.45, 0.57 and 3.85 mmol/l, respectively, indicating exacerbation of the pancreatic injury. On the next morning, the patient was thirsty and experienced heart palpitations. A physical examination identified tension in the abdominal muscles, epigastric tenderness, rebounding pain and the disappearance of gurgling sounds. The electrocardiogram identified a significantly higher heart rate with an undetectable blood pressure. The patient succumbed 72 h after completion of the chemotherapy.

Figure 1

Computed tomography scan demonstrating diffuse swelling of the pancreas and peripancreatic fluid exudation.

Discussion

ENKTL is a type of natural killer cell lymphoma, which has a greater incidence in Asian countries compared with Western countries. ENKTL accounts for 5–10% of all lymphomas in the Chinese population and is often associated with a poor prognosis. Radiation therapy is widely administered for the treatment of ENKTL and the addition of chemotherapy is encouraged to reduce the risk of recurrence (1). However, the effectiveness of a traditional chemotherapy regimen remains limited and ENKTL requires a different therapeutic approach. Numerous studies have reported that certain novel chemotherapeutic drugs may increase the response rate for ENKTL, including L-Asp (1–3). It has been demonstrated that L-Asp, in combination with gemcitabine and oxaliplatin (also termed GELOX) followed by radiation therapy, may be an effective and feasible treatment strategy. The overall therapeutic response to L-Asp was ≤96.3%. Furthermore, the two-year overall and progression-free survival rates were ≤86% (1). These results were supported by other studies, which revealed a marked antitumor effect of L-Asp-containing regimens (2,3). AAP occasionally develops, however, this side-effect is not usually life-threatening and generally responds to intensive medical therapy (4). There was one case of mild AAP reported in an adult patient with ENKTL (5). In the present study, it was hypothesized that the lethal AAP that occurred in the patient may have been related to additional factors.

A previous study demonstrated that L-Asp may lead to temporary hypertriglyceridemia, which is closely associated with acute pancreatitis (6). A retrospective study evaluated the lipid levels of 65 infants and adolescents that were treated with L-Asp; 12 patients exhibited TG levels >400 mg/dl (7). Seah et al (8) reported a case of L-Asp-induced hypertriglyceridemia in an adult natural killer T-cell lymphoma patient. Although the pathogenesis of L-Asp-associated hypertriglyceridemia remains unclear, an association between acute pancreatitis and hypertriglyceridemia has long been recognized. Therefore, it is considered to be necessary to monitor triglyceride levels prior to and during L-Asp therapy. Furthermore, a low-fat diet is considered to reduce the risk of complications induced by L-Asp. In addition, plasmapheresis may be an effective method to treat L-Asp-associated hypertriglyceridemia (9). In the present case, fatty liver was identified in the patient via a CT scan, which indicated a potential lipid disorder prior to chemotherapy. During the treatment with L-Asp, the triglyceride levels increased and using conservative diet control failed to regulate the levels. Taken together, these factors may be a potential cause for the initiation of lethal pancreatitis.

HBV is one of the etiological factors of acute pancreatitis (10–12). In the majority of cases, hepatitis-induced acute pancreatitis is mild and recovers with conservative management (10). Analysis of the serum from the patient identified four positive parameters that were associated with the HBV infection, namely HBsAg(+), HBeAg(+), IgG anti-HBc(+) and HBV-DNA copies (3.61×107 IU/ml), which indicated that HBV was active in the patient. Following L-Asp therapy, the levels of total and direct bilirubin increased and severe pancreatitis occurred. Therefore, although HBV may not be the predominant cause of acute pancreatitis in the present case, it was hypothesized that it may have exerted an additive effect with L-Asp during the onset of AAP. Hepatitis B is an important public health issue in China. It was reported that 9% of the Chinese population are chronically infected carriers of HBV (13); thus, greater attention should be paid to HBV carriers during chemotherapy using L-Asp. Furthermore, the timing of L-Asp administration in a HBV-infected patient undergoing antiviral therapy requires investigation.

Although L-Asp has been demonstrated to be an effective treatment for ENKTL patients, it may induce severe acute pancreatitis independently or synergistically. Therefore, greater attention should be paid to this severe side-effect and the potential risk factors, which are associated with developing lethal AAP in adults. In the present study, it was indicated that the management of lipid disorders and anti-HBV therapy should be performed on an individual basis prior to and during the administration of L-Asp in ENKTL patients.

References

1 

Wang L, Wang ZH, Chen XQ, et al: First-line combination of gemcitabine, oxaliplatin, and L-asparaginase (GELOX) followed by involved-field radiation therapy for patients with stage IE/IIE extranodal natural killer/T-cell lymphoma. Cancer. 119:348–355. 2013. View Article : Google Scholar

2 

Jaccard A, Gachard N, Marin B, et al: Efficacy of L-asparaginase with methotrexate and dexamethasone (AspaMetDex regimen) in patients with refractory or relapsing extranodal NK/T-cell lymphoma, a phase 2 study. Blood. 117:1834–1839. 2011. View Article : Google Scholar

3 

Yamaguchi M, Suzuki R, Kwong YL, et al: Phase I study of dexamethasone, methotrexate, ifosfamide, L-asparaginase, and etoposide (SMILE) chemotherapy for advanced-stage, relapsed or refractory extranodal natural killer (NK)/T-cell lymphoma and leukemia. Cancer Sci. 99:1016–1020. 2008. View Article : Google Scholar

4 

Stock W, Douer D, DeAngelo DJ, et al: Prevention and management of asparaginase/pegasparaginase-associated toxicities in adults and older adolescents: recommendations of an expert panel. Leuk Lymphoma. 52:2237–2253. 2011. View Article : Google Scholar

5 

Yong W, Zheng W, Zhu J, et al: L-asparaginase in the treatment of refractory and relapsed extranodal NK/T-cell lymphoma, nasal type. Ann Hematol. 88:647–652. 2009. View Article : Google Scholar : PubMed/NCBI

6 

Stefanutti C, Labbadia G and Morozzi C: Severe hypertriglyceridemia-related acute pancreatitis. Ther Apher Dial. 17:130–137. 2013. View Article : Google Scholar

7 

Cohen H, Bielorai B, Harats D, Toren A and Pinhas-Hamiel O: Conservative treatment of L-asparaginase-associated lipid abnormalities in children with acute lymphoblastic leukemia. Pediatr Blood Cancer. 54:703–706. 2010.PubMed/NCBI

8 

Seah J, Lin K, Tai D, Lim ST and Chan A: Conservative management of L-asparaginase-induced hypertriglyceridemia in an adult patient: a case report and review of the literature. Onkologie. 35:596–598. 2012. View Article : Google Scholar : PubMed/NCBI

9 

Nakagawa M, Kimura S, Fujimoto K, et al: A case report of an adult with severe hyperlipidemia during acute lymphocytic leukemia induction therapy successfully treated with plasmapheresis. Ther Apher Dial. 12:509–513. 2008. View Article : Google Scholar

10 

Jain P, Nijhawan S, Rai RR, Nepalia S and Mathur A: Acute pancreatitis in acute viral hepatitis. World J Gastroenterol. 13:5741–5744. 2007. View Article : Google Scholar : PubMed/NCBI

11 

Lever AM: Mechanisms of virally induced liver damage. J Hepatol. 4:399–403. 1987. View Article : Google Scholar : PubMed/NCBI

12 

Tsui CY, Burch GE and Harb JM: Pancreatitis in mice infected with coxsackievirus B1. Arch Pathol. 93:379–389. 1972.PubMed/NCBI

13 

Liu J and Fan D: Hepatitis B in China. The Lancet. 369:1582–1583. 2007. View Article : Google Scholar : PubMed/NCBI

Related Articles

  • Abstract
  • View
  • Download
  • Twitter
Copy and paste a formatted citation
Spandidos Publications style
Wu F, Qu L, Tan Y, Zhang Y and Hu C: L‑asparaginase-induced severe acute pancreatitis in an adult with extranodal natural killer/T-cell lymphoma, nasal type: A case report and review of the literature. Oncol Lett 7: 1305-1307, 2014.
APA
Wu, F., Qu, L., Tan, Y., Zhang, Y., & Hu, C. (2014). L‑asparaginase-induced severe acute pancreatitis in an adult with extranodal natural killer/T-cell lymphoma, nasal type: A case report and review of the literature. Oncology Letters, 7, 1305-1307. https://doi.org/10.3892/ol.2014.1871
MLA
Wu, F., Qu, L., Tan, Y., Zhang, Y., Hu, C."L‑asparaginase-induced severe acute pancreatitis in an adult with extranodal natural killer/T-cell lymphoma, nasal type: A case report and review of the literature". Oncology Letters 7.4 (2014): 1305-1307.
Chicago
Wu, F., Qu, L., Tan, Y., Zhang, Y., Hu, C."L‑asparaginase-induced severe acute pancreatitis in an adult with extranodal natural killer/T-cell lymphoma, nasal type: A case report and review of the literature". Oncology Letters 7, no. 4 (2014): 1305-1307. https://doi.org/10.3892/ol.2014.1871
Copy and paste a formatted citation
x
Spandidos Publications style
Wu F, Qu L, Tan Y, Zhang Y and Hu C: L‑asparaginase-induced severe acute pancreatitis in an adult with extranodal natural killer/T-cell lymphoma, nasal type: A case report and review of the literature. Oncol Lett 7: 1305-1307, 2014.
APA
Wu, F., Qu, L., Tan, Y., Zhang, Y., & Hu, C. (2014). L‑asparaginase-induced severe acute pancreatitis in an adult with extranodal natural killer/T-cell lymphoma, nasal type: A case report and review of the literature. Oncology Letters, 7, 1305-1307. https://doi.org/10.3892/ol.2014.1871
MLA
Wu, F., Qu, L., Tan, Y., Zhang, Y., Hu, C."L‑asparaginase-induced severe acute pancreatitis in an adult with extranodal natural killer/T-cell lymphoma, nasal type: A case report and review of the literature". Oncology Letters 7.4 (2014): 1305-1307.
Chicago
Wu, F., Qu, L., Tan, Y., Zhang, Y., Hu, C."L‑asparaginase-induced severe acute pancreatitis in an adult with extranodal natural killer/T-cell lymphoma, nasal type: A case report and review of the literature". Oncology Letters 7, no. 4 (2014): 1305-1307. https://doi.org/10.3892/ol.2014.1871
Follow us
  • Twitter
  • LinkedIn
  • Facebook
About
  • Spandidos Publications
  • Careers
  • Cookie Policy
  • Privacy Policy
How can we help?
  • Help
  • Live Chat
  • Contact
  • Email to our Support Team