Spandidos Publications Logo
  • About
    • About Spandidos
    • Aims and Scopes
    • Abstracting and Indexing
    • Editorial Policies
    • Reprints and Permissions
    • Job Opportunities
    • Terms and Conditions
    • Contact
  • Journals
    • All Journals
    • Oncology Letters
      • Oncology Letters
      • Information for Authors
      • Editorial Policies
      • Editorial Board
      • Aims and Scope
      • Abstracting and Indexing
      • Bibliographic Information
      • Archive
    • International Journal of Oncology
      • International Journal of Oncology
      • Information for Authors
      • Editorial Policies
      • Editorial Board
      • Aims and Scope
      • Abstracting and Indexing
      • Bibliographic Information
      • Archive
    • Molecular and Clinical Oncology
      • Molecular and Clinical Oncology
      • Information for Authors
      • Editorial Policies
      • Editorial Board
      • Aims and Scope
      • Abstracting and Indexing
      • Bibliographic Information
      • Archive
    • Experimental and Therapeutic Medicine
      • Experimental and Therapeutic Medicine
      • Information for Authors
      • Editorial Policies
      • Editorial Board
      • Aims and Scope
      • Abstracting and Indexing
      • Bibliographic Information
      • Archive
    • International Journal of Molecular Medicine
      • International Journal of Molecular Medicine
      • Information for Authors
      • Editorial Policies
      • Editorial Board
      • Aims and Scope
      • Abstracting and Indexing
      • Bibliographic Information
      • Archive
    • Biomedical Reports
      • Biomedical Reports
      • Information for Authors
      • Editorial Policies
      • Editorial Board
      • Aims and Scope
      • Abstracting and Indexing
      • Bibliographic Information
      • Archive
    • Oncology Reports
      • Oncology Reports
      • Information for Authors
      • Editorial Policies
      • Editorial Board
      • Aims and Scope
      • Abstracting and Indexing
      • Bibliographic Information
      • Archive
    • Molecular Medicine Reports
      • Molecular Medicine Reports
      • Information for Authors
      • Editorial Policies
      • Editorial Board
      • Aims and Scope
      • Abstracting and Indexing
      • Bibliographic Information
      • Archive
    • World Academy of Sciences Journal
      • World Academy of Sciences Journal
      • Information for Authors
      • Editorial Policies
      • Editorial Board
      • Aims and Scope
      • Abstracting and Indexing
      • Bibliographic Information
      • Archive
    • International Journal of Functional Nutrition
      • International Journal of Functional Nutrition
      • Information for Authors
      • Editorial Policies
      • Editorial Board
      • Aims and Scope
      • Abstracting and Indexing
      • Bibliographic Information
      • Archive
    • International Journal of Epigenetics
      • International Journal of Epigenetics
      • Information for Authors
      • Editorial Policies
      • Editorial Board
      • Aims and Scope
      • Abstracting and Indexing
      • Bibliographic Information
      • Archive
    • Medicine International
      • Medicine International
      • Information for Authors
      • Editorial Policies
      • Editorial Board
      • Aims and Scope
      • Abstracting and Indexing
      • Bibliographic Information
      • Archive
  • Articles
  • Information
    • Information for Authors
    • Information for Reviewers
    • Information for Librarians
    • Information for Advertisers
    • Conferences
  • Language Editing
Spandidos Publications Logo
  • About
    • About Spandidos
    • Aims and Scopes
    • Abstracting and Indexing
    • Editorial Policies
    • Reprints and Permissions
    • Job Opportunities
    • Terms and Conditions
    • Contact
  • Journals
    • All Journals
    • Biomedical Reports
      • Information for Authors
      • Editorial Policies
      • Editorial Board
      • Aims and Scope
      • Abstracting and Indexing
      • Bibliographic Information
      • Archive
    • Experimental and Therapeutic Medicine
      • Information for Authors
      • Editorial Policies
      • Editorial Board
      • Aims and Scope
      • Abstracting and Indexing
      • Bibliographic Information
      • Archive
    • International Journal of Epigenetics
      • Information for Authors
      • Editorial Policies
      • Editorial Board
      • Aims and Scope
      • Abstracting and Indexing
      • Bibliographic Information
      • Archive
    • International Journal of Functional Nutrition
      • Information for Authors
      • Editorial Policies
      • Editorial Board
      • Aims and Scope
      • Abstracting and Indexing
      • Bibliographic Information
      • Archive
    • International Journal of Molecular Medicine
      • Information for Authors
      • Editorial Policies
      • Editorial Board
      • Aims and Scope
      • Abstracting and Indexing
      • Bibliographic Information
      • Archive
    • International Journal of Oncology
      • Information for Authors
      • Editorial Policies
      • Editorial Board
      • Aims and Scope
      • Abstracting and Indexing
      • Bibliographic Information
      • Archive
    • Medicine International
      • Information for Authors
      • Editorial Policies
      • Editorial Board
      • Aims and Scope
      • Abstracting and Indexing
      • Bibliographic Information
      • Archive
    • Molecular and Clinical Oncology
      • Information for Authors
      • Editorial Policies
      • Editorial Board
      • Aims and Scope
      • Abstracting and Indexing
      • Bibliographic Information
      • Archive
    • Molecular Medicine Reports
      • Information for Authors
      • Editorial Policies
      • Editorial Board
      • Aims and Scope
      • Abstracting and Indexing
      • Bibliographic Information
      • Archive
    • Oncology Letters
      • Information for Authors
      • Editorial Policies
      • Editorial Board
      • Aims and Scope
      • Abstracting and Indexing
      • Bibliographic Information
      • Archive
    • Oncology Reports
      • Information for Authors
      • Editorial Policies
      • Editorial Board
      • Aims and Scope
      • Abstracting and Indexing
      • Bibliographic Information
      • Archive
    • World Academy of Sciences Journal
      • Information for Authors
      • Editorial Policies
      • Editorial Board
      • Aims and Scope
      • Abstracting and Indexing
      • Bibliographic Information
      • Archive
  • Articles
  • Information
    • For Authors
    • For Reviewers
    • For Librarians
    • For Advertisers
    • Conferences
  • Language Editing
Login Register Submit
  • This site uses cookies
  • You can change your cookie settings at any time by following the instructions in our Cookie Policy. To find out more, you may read our Privacy Policy.

    I agree
Search articles by DOI, keyword, author or affiliation
Search
Advanced Search
presentation
Oncology Letters
Join Editorial Board Propose a Special Issue
Print ISSN: 1792-1074 Online ISSN: 1792-1082
Journal Cover
July-2014 Volume 8 Issue 1

Full Size Image

Sign up for eToc alerts
Recommend to Library

Journals

International Journal of Molecular Medicine

International Journal of Molecular Medicine

International Journal of Molecular Medicine is an international journal devoted to molecular mechanisms of human disease.

International Journal of Oncology

International Journal of Oncology

International Journal of Oncology is an international journal devoted to oncology research and cancer treatment.

Molecular Medicine Reports

Molecular Medicine Reports

Covers molecular medicine topics such as pharmacology, pathology, genetics, neuroscience, infectious diseases, molecular cardiology, and molecular surgery.

Oncology Reports

Oncology Reports

Oncology Reports is an international journal devoted to fundamental and applied research in Oncology.

Experimental and Therapeutic Medicine

Experimental and Therapeutic Medicine

Experimental and Therapeutic Medicine is an international journal devoted to laboratory and clinical medicine.

Oncology Letters

Oncology Letters

Oncology Letters is an international journal devoted to Experimental and Clinical Oncology.

Biomedical Reports

Biomedical Reports

Explores a wide range of biological and medical fields, including pharmacology, genetics, microbiology, neuroscience, and molecular cardiology.

Molecular and Clinical Oncology

Molecular and Clinical Oncology

International journal addressing all aspects of oncology research, from tumorigenesis and oncogenes to chemotherapy and metastasis.

World Academy of Sciences Journal

World Academy of Sciences Journal

Multidisciplinary open-access journal spanning biochemistry, genetics, neuroscience, environmental health, and synthetic biology.

International Journal of Functional Nutrition

International Journal of Functional Nutrition

Open-access journal combining biochemistry, pharmacology, immunology, and genetics to advance health through functional nutrition.

International Journal of Epigenetics

International Journal of Epigenetics

Publishes open-access research on using epigenetics to advance understanding and treatment of human disease.

Medicine International

Medicine International

An International Open Access Journal Devoted to General Medicine.

Journal Cover
July-2014 Volume 8 Issue 1

Full Size Image

Sign up for eToc alerts
Recommend to Library

  • Article
  • Citations
    • Cite This Article
    • Download Citation
    • Create Citation Alert
    • Remove Citation Alert
    • Cited By
  • Similar Articles
    • Related Articles (in Spandidos Publications)
    • Similar Articles (Google Scholar)
    • Similar Articles (PubMed)
  • Download PDF
  • Download XML
  • View XML
Case Report

Diagnosis and treatment of carcinosarcoma of the renal pelvis: A case report

  • Authors:
    • Biao Dong
    • Jian‑Jian Zhang
    • Chao Chen
    • Yuan‑Tao Wang
    • Xiu‑Yu Zhai
    • Yao‑Wen Fu
    • Hong‑Lan Zhou
  • View Affiliations / Copyright

    Affiliations: Department of Urology, First Hospital of Jilin University, Jilin, Changchun 130021, P.R. China, Department of Hepatic Surgery, Renji Hospital, Shanghai Jiaotong University School of Medicine, Shanghai 200127, P.R. China, Department of Critical Care Medicine, Henan Province People's Hospital, Zhengzhou, Henan 450003, P.R. China
  • Pages: 467-469
    |
    Published online on: May 13, 2014
       https://doi.org/10.3892/ol.2014.2145
  • Expand metrics +
Metrics: Total Views: 0 (Spandidos Publications: | PMC Statistics: )
Metrics: Total PDF Downloads: 0 (Spandidos Publications: | PMC Statistics: )
Cited By (CrossRef): 0 citations Loading Articles...

This article is mentioned in:



Abstract

Carcinosarcoma is a rare type of renal pelvis malignancy, the diagnosis of which requires the presence of malignant epithelial and mesenchymal components. The prognosis of this disease is extremely poor due to its rapid progression and widespread metastases. The present study describes a case of carcinosarcoma involving the right renal pelvis in a 73‑year‑old female who presented with intermittent hematuria and right‑flank pain that had persisted for one month. Computed tomography revealed a 2.4x2.5 cm mass in the right renal pelvis, which was diagnosed as a right renal pelvic tumor. Laparoscopic radical resection of the right kidney and ureter was performed. Following surgery, immunohistochemical analysis showed positive reactions for epithelial and mesenchymal markers. Based on these findings, the patient was diagnosed with carcinosarcoma. Thus, immunohistochemical analysis is a critical method for the accurate diagnosis of carcinosarcoma.

Introduction

Carcinosarcoma is a rare neoplasm that shows an admixture of epithelial and mesenchymal components (1,2). The carcinomatous component of carcinosarcoma may be represented by varying forms, including transitional cell carcinoma, adenocarcinoma or squamous cell carcinoma (SCC). The sarcomatous portion shows specific features of mesenchymal differentiation, with elements that include chondrosarcoma, osteosarcoma, rhabdomyosarcoma, liposarcoma and fibrosarcoma (3–6). Carcinosarcoma is often localized in a wide variety of organs, including the uterus, breast, esophagus, larynx, lungs, urinary bladder, prostate and oviducts, with a variable frequency; however, localization in the renal pelvis is rare (7). The present study reports a case of carcinosarcoma of the renal pelvis in a 73-year-old female, which consisted of SCC and fibrosarcoma components, and discusses the diagnosis and treatment of such tumors. Patient provided written informed consent.

Case report

Patient presentation

A 73-year-old female was admitted to the Department of Urology, First Hospital of Jilin University (Jilin, China) presenting with intermittent hematuria and right-flank pain for one month. The patient had a history of hysterectomy for uterine fibroids 10 years previously. The patient had no other voiding complaints or any significant urological history. The patient also denied past tobacco use or analgesic abuse, and the results of the physical examination were normal, except for mild percussion pain in the right kidney area. Urinalysis revealed increased numbers of red blood cells, leukocytes and suspicious malignant cells. Furthermore, protein was found to be excreted in the urine (score, 1+) and the analysis of the blood biochemistry revealed an elevated erythrocyte sedimentation rate (90 ml/h).

Tumor imaging and resection

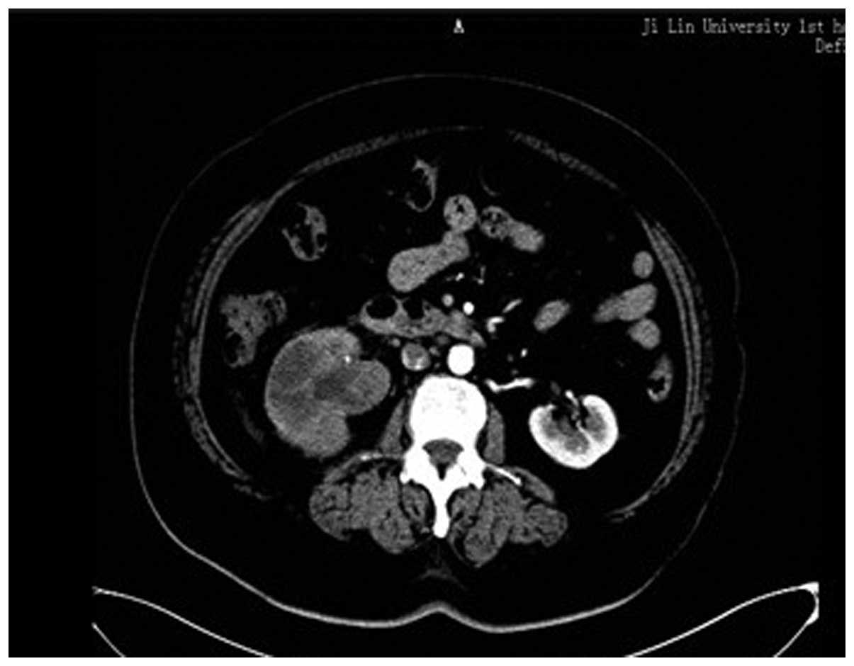
Abdominal ultrasonography showed a solid, relatively well-demarcated tumor, 3.0×3.1 cm, occupying the right renal pelvis. Computed tomography (CT) showed a 2.4×2.5-cm heterogeneous and poorly-enhanced mass in the right renal pelvis (Fig. 1). The CT findings also revealed a thickened ureter wall, with irregular contrast enhancement. Cystoscopy showed no abnormalities in the urinary bladder. Retrograde pyelography could not be performed due to ureteral catheter obstruction. Further clinical analyses revealed no metastasis to other organs. Based on the clinical and radiological findings, a laparoscopic radical resection of the right kidney and an open ureterectomy were performed to remove the tumors.

Figure 1

CT scan showing a well-defined 2–3-cm mass invading the right renal pelvis. The mass shows poor contrast enhancement.

Macroscopic and histological tumor analysis

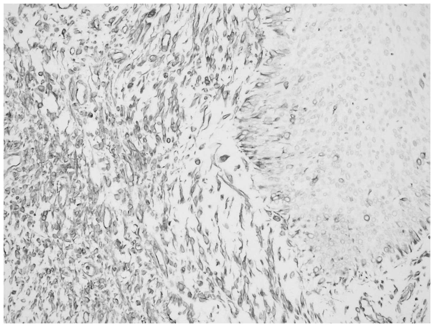
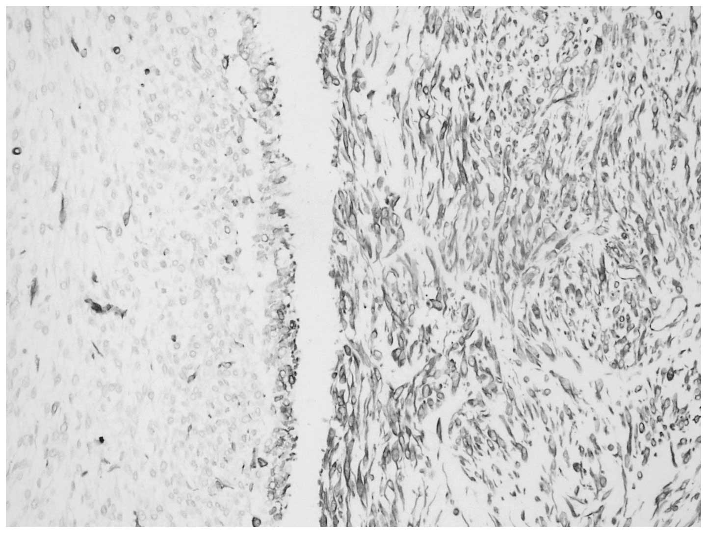
Macroscopic examination of the 13×8×6-cm nephrectomy specimen revealed a 8×5×4-cm tumoral mass in the renal pelvis. The cut section of the mass was gray-white in color, with a hard consistency. Areas of extensive necrosis were also present. The tumor had invaded the full-thickness of the renal pelvic wall and peripelvic adipose tissue. Furthermore, invasion into the renal parenchyma was observed. Histological examination of the tumor showed a malignant neoplasm comprising of epithelial and mesenchymal components, which were largely separated from each other (Fig. 2). However, in certain areas, the epithelial component blended into the sarcomatous component, generating a histological transition between the two. The sarcomatous areas primarily consisted of spindle cells, which were full of eosinophilic cytoplasm. Immunohistochemical staining was performed using a panel of markers, including cytokeratin, vimentin, Ki-67 antigen and p53. The epithelial portion of the tumor was found to stain positively for cytokeratin (Fig. 3) and the sarcomatoid spindle cells were observed to stain positively for vimentin, but negatively for cytokeratin (Fig. 4). The tumor cells in the epithelial and sarcomatous components were also found to express p53 protein in the nuclei. The expression level of p53 was >10%. Furthermore, the Ki-67 labeling indices were >20% in all of the tumor cells. Due to the advanced age of the patient, chemotherapy and radiotherapy were not administered. The patient was discharged six days after surgery and no recurrence was observed after eight months.

Figure 2

Biphasic tumor composed of an epithelial component and a mesenchmal component. Frequent mitotic figures are observable among the tumor cells. Stain, hematoxylin and eosin; magnification, ×20.

Figure 3

Immunohistochemical staining showing immunoreactivity for cytokeratin in the epithelioid cells of the carcinosarcoma. Magnification, ×20.

Figure 4

Immunohistochemical staining showing immunoreactivity for vimentin in the spindle cells of the carcinosarcoma. Magnification, ×20.

Discussion

Carcinosarcoma is a rare, malignant neoplasm that shows histological evidence of intimately mixed epithelial and mesenchymal elements (3). The histogenesis of carcinosarcomas remains controversial and there are two predominant theories. Völker et al (8) proposed that carcinosarcomas may originate from a common pluripotent progenitor cell that is capable of undergoing epithelial and mesenchymal differentiation. Perret et al (9) proposed that certain carcinosarcomas should be regarded as a variant of sarcomatoid carcinoma (metaplastic carcinoma) that shows prominent heterologous differentiation.

Carcinosarcoma has been described in various organs, including the uterus, breast, stomach, lung, salivary glands, thyroid gland and gallbladder. However, carcinosarcoma of the urogenital organs has rarely been reported (1–4,6,10–15).

Carcinosarcoma of the renal pelvis has been shown to be aggressive and often has a poor prognosis (16–18), thus it is important to detect and diagnose this disease early. Microscopically, the carcinomatous component is primarily composed of transitional cell carcinoma and the sarcomatous component is predominantly composed of spindle and/or pleomorphic tumor giant cells (11). In the present case, light microscopy revealed epithelial and sarcomatous components, which were largely separated from each other. However, in certain areas, the epithelial component blended into the sarcomatous component, generating a histological transition between the two.

Due to the similar microscopic appearance of carcinosarcomas and sarcomatoid carcinomas, immunohistochemistry may be a useful diagnostic adjunct for differentiating between these tumors. In the present case, antigenic determinants that were specific for epithelial cells, such as cytokeratin, were identified. Furthermore, the sarcomatous component was characterized by strong staining for vimentin. In addition, the lack of expression of keratin markers in the mesenchymal component further confirmed the diagnosis of carcinosarcoma.

No clinical trials have been specifically designed for carcinosarcoma, thus an optimal treatment strategy has yet to be established. At present, radical resection is the only curative treatment. Nephrectomy, radiation therapy and chemotherapy have been used alone or in combination (1,19). In the present case, due to the age of the patient and the history of previous pelvic surgery, a laparoscopic radical resection of the right kidney and ureter was performed. Previous studies have reported very poor prognoses for carcinosarcoma, with a median cancer-specific survival time of approximately one year (6,9,20). One half of patients are reported to succumb within approximately one year of diagnosis. Chen et al (12) reported the longest survival period of two years. Cancer-specific survival times have been found to be significantly improved for patients who undergo radical resection rather than chemotherapy or radiation therapy.

In conclusion, carcinosarcoma of the renal pelvis is a rare, aggressive tumor, with a low survival rate. Although rare, carcinosarcoma should be included in the differential diagnosis. Further investigations into the natural history and prognostic factors of this disease and specific guidelines regarding therapeutic approaches for this tumor are urgently required.

References

1 

Chiu KC, Lin MC, Liang YC and Chen CY: Renal carcinosarcoma: case report and review of literature. Ren Fail. 30:1034–1039. 2008.

2 

Fauci PA Jr, Therhag HG and Davis JE: Carcinosarcoma of the renal pelvis. J Urol. 85:897–902. 1961.

3 

Dimitriou RJ, Gattuso P and Coogan CL: Carcinosarcoma of the renal pelvis. Urology. 56:5082000.

4 

Yilmaz E, Birlik B, Arican Z, et al: Carcinosarcoma of the renal pelvis and urinary bladder: a case report. Korean J Radiol. 4:255–259. 2003.

5 

Lema Grille J, Blanco Parra M, Suárez Peñaranda JM and Durana Tonder C: Carcinosarcoma of the renal pelvis: report of a case and review of the literature. Actas Urol Esp. 26:509–512. 2002.(In Spanish).

6 

Vermeulen P, Hoekx L, Colpaert C, et al: Biphasic sarcomatoid carcinoma (carcinosarcoma) of the renal pelvis with heterologous chondrogenic differentiation. Virchows Arch. 437:194–197. 2000.

7 

Reuter VE: Sarcomatoid lesions of the urogenital tract. Semin Diagn Pathol. 10:188–201. 1993.

8 

Völker HU, Zettl A, Schön G, et al: Molecular genetic findings in two cases of sarcomatoid carcinoma of the ureter: evidence for evolution from a common pluripotent progenitor cell? Virchows Arch. 452:457–463. 2008.

9 

Perret L, Chaubert P, Hessler D and Guillou L: Primary heterologous carcinosarcoma (metaplastic carcinoma) of the urinary bladder: a clinicopathologic, immunohistochemical, and ultrastructural analysis of eight cases and a review of the literature. Cancer. 82:1535–1549. 1998.

10 

Baschinsky DY, Chen JH, Vadmal MS, et al: Carcinosarcoma of the urinary bladder - an aggressive tumor with diverse histogenesis. A clinicopathologic study of 4 cases and review of the literature. Arch Pathol Lab Med. 124:1172–1178. 2000.

11 

Rao MS, Lotuaco LG and McGregor DH: Carcinosarcoma of the adult kidney. Postgrad Med J. 53:408–411. 1977.

12 

Chen KT, Workman RD, Flam MS and DeKlotz RJ: Carcinosarcoma of renal pelvis. Urology. 22:429–431. 1983.

13 

Ridolfi RL and Eggleston JC: Carcinosarcoma of the renal pelvis. J Urol. 119:569–572. 1978.

14 

Pusiol T, Morichetti D, Zorzi MG and Piscioli F: Carcinosarcoma of the renal pelvis: inaccurate documentation of origin and incomplete review of the literature. Ren Fail. 33:844–845. 2011.

15 

Wang J, Wang FW and Kessinger A: The natural history and outcomes of the patients with carcinosarcoma involving kidney and renal pelvis. Adv Urol. 2011:6939642011.

16 

Tarry WF, Morabito RA and Belis JA: Carcinosarcoma of the renal pelvis with extension into the renal vein and inferior vena cava. J Urol. 128:582–585. 1982.

17 

Tajima Y and Aizawa M: Unusual renal pelvic tumor containing transitional cell carcinoma, adenocarcinoma and sarcomatoid elements (so-called sarcomatoid carcinoma of the renal pelvis). A case report and review of the literature. Acta Pathol Jpn. 38:805–814. 1988.

18 

Lopez-Beltran A, Escudero AL, Cavazzana AO, et al: Sarcomatoid transitional cell carcinoma of the renal pelvis. A report of five cases with clinical, pathological, immunohistochemical and DNA ploidy analysis. Pathol Res Pract. 192:1218–1224. 1996.

19 

Orsatti G, Corgan FJ and Goldberg SA: Carcinosarcoma of urothelial organs: sequential involvement of urinary bladder, ureter, and renal pelvis. Urology. 41:289–291. 1993.

20 

Johnin K, Kadowaki T, Kushima M, et al: Primary heterologous carcinosarcoma of the ureter with necrotic malignant polyps. Report of a case and review of the literature. Urol Int. 70:232–235. 2003.

Related Articles

  • Abstract
  • View
  • Download
  • Twitter
Copy and paste a formatted citation
Spandidos Publications style
Dong B, Zhang JJ, Chen C, Wang YT, Zhai XY, Fu YW and Zhou HL: Diagnosis and treatment of carcinosarcoma of the renal pelvis: A case report. Oncol Lett 8: 467-469, 2014.
APA
Dong, B., Zhang, J., Chen, C., Wang, Y., Zhai, X., Fu, Y., & Zhou, H. (2014). Diagnosis and treatment of carcinosarcoma of the renal pelvis: A case report. Oncology Letters, 8, 467-469. https://doi.org/10.3892/ol.2014.2145
MLA
Dong, B., Zhang, J., Chen, C., Wang, Y., Zhai, X., Fu, Y., Zhou, H."Diagnosis and treatment of carcinosarcoma of the renal pelvis: A case report". Oncology Letters 8.1 (2014): 467-469.
Chicago
Dong, B., Zhang, J., Chen, C., Wang, Y., Zhai, X., Fu, Y., Zhou, H."Diagnosis and treatment of carcinosarcoma of the renal pelvis: A case report". Oncology Letters 8, no. 1 (2014): 467-469. https://doi.org/10.3892/ol.2014.2145
Copy and paste a formatted citation
x
Spandidos Publications style
Dong B, Zhang JJ, Chen C, Wang YT, Zhai XY, Fu YW and Zhou HL: Diagnosis and treatment of carcinosarcoma of the renal pelvis: A case report. Oncol Lett 8: 467-469, 2014.
APA
Dong, B., Zhang, J., Chen, C., Wang, Y., Zhai, X., Fu, Y., & Zhou, H. (2014). Diagnosis and treatment of carcinosarcoma of the renal pelvis: A case report. Oncology Letters, 8, 467-469. https://doi.org/10.3892/ol.2014.2145
MLA
Dong, B., Zhang, J., Chen, C., Wang, Y., Zhai, X., Fu, Y., Zhou, H."Diagnosis and treatment of carcinosarcoma of the renal pelvis: A case report". Oncology Letters 8.1 (2014): 467-469.
Chicago
Dong, B., Zhang, J., Chen, C., Wang, Y., Zhai, X., Fu, Y., Zhou, H."Diagnosis and treatment of carcinosarcoma of the renal pelvis: A case report". Oncology Letters 8, no. 1 (2014): 467-469. https://doi.org/10.3892/ol.2014.2145
Follow us
  • Twitter
  • LinkedIn
  • Facebook
About
  • Spandidos Publications
  • Careers
  • Cookie Policy
  • Privacy Policy
How can we help?
  • Help
  • Live Chat
  • Contact
  • Email to our Support Team