Spandidos Publications Logo
  • About
    • About Spandidos
    • Aims and Scopes
    • Abstracting and Indexing
    • Editorial Policies
    • Reprints and Permissions
    • Job Opportunities
    • Terms and Conditions
    • Contact
  • Journals
    • All Journals
    • Oncology Letters
      • Oncology Letters
      • Information for Authors
      • Editorial Policies
      • Editorial Board
      • Aims and Scope
      • Abstracting and Indexing
      • Bibliographic Information
      • Archive
    • International Journal of Oncology
      • International Journal of Oncology
      • Information for Authors
      • Editorial Policies
      • Editorial Board
      • Aims and Scope
      • Abstracting and Indexing
      • Bibliographic Information
      • Archive
    • Molecular and Clinical Oncology
      • Molecular and Clinical Oncology
      • Information for Authors
      • Editorial Policies
      • Editorial Board
      • Aims and Scope
      • Abstracting and Indexing
      • Bibliographic Information
      • Archive
    • Experimental and Therapeutic Medicine
      • Experimental and Therapeutic Medicine
      • Information for Authors
      • Editorial Policies
      • Editorial Board
      • Aims and Scope
      • Abstracting and Indexing
      • Bibliographic Information
      • Archive
    • International Journal of Molecular Medicine
      • International Journal of Molecular Medicine
      • Information for Authors
      • Editorial Policies
      • Editorial Board
      • Aims and Scope
      • Abstracting and Indexing
      • Bibliographic Information
      • Archive
    • Biomedical Reports
      • Biomedical Reports
      • Information for Authors
      • Editorial Policies
      • Editorial Board
      • Aims and Scope
      • Abstracting and Indexing
      • Bibliographic Information
      • Archive
    • Oncology Reports
      • Oncology Reports
      • Information for Authors
      • Editorial Policies
      • Editorial Board
      • Aims and Scope
      • Abstracting and Indexing
      • Bibliographic Information
      • Archive
    • Molecular Medicine Reports
      • Molecular Medicine Reports
      • Information for Authors
      • Editorial Policies
      • Editorial Board
      • Aims and Scope
      • Abstracting and Indexing
      • Bibliographic Information
      • Archive
    • World Academy of Sciences Journal
      • World Academy of Sciences Journal
      • Information for Authors
      • Editorial Policies
      • Editorial Board
      • Aims and Scope
      • Abstracting and Indexing
      • Bibliographic Information
      • Archive
    • International Journal of Functional Nutrition
      • International Journal of Functional Nutrition
      • Information for Authors
      • Editorial Policies
      • Editorial Board
      • Aims and Scope
      • Abstracting and Indexing
      • Bibliographic Information
      • Archive
    • International Journal of Epigenetics
      • International Journal of Epigenetics
      • Information for Authors
      • Editorial Policies
      • Editorial Board
      • Aims and Scope
      • Abstracting and Indexing
      • Bibliographic Information
      • Archive
    • Medicine International
      • Medicine International
      • Information for Authors
      • Editorial Policies
      • Editorial Board
      • Aims and Scope
      • Abstracting and Indexing
      • Bibliographic Information
      • Archive
  • Articles
  • Information
    • Information for Authors
    • Information for Reviewers
    • Information for Librarians
    • Information for Advertisers
    • Conferences
  • Language Editing
Spandidos Publications Logo
  • About
    • About Spandidos
    • Aims and Scopes
    • Abstracting and Indexing
    • Editorial Policies
    • Reprints and Permissions
    • Job Opportunities
    • Terms and Conditions
    • Contact
  • Journals
    • All Journals
    • Biomedical Reports
      • Information for Authors
      • Editorial Policies
      • Editorial Board
      • Aims and Scope
      • Abstracting and Indexing
      • Bibliographic Information
      • Archive
    • Experimental and Therapeutic Medicine
      • Information for Authors
      • Editorial Policies
      • Editorial Board
      • Aims and Scope
      • Abstracting and Indexing
      • Bibliographic Information
      • Archive
    • International Journal of Epigenetics
      • Information for Authors
      • Editorial Policies
      • Editorial Board
      • Aims and Scope
      • Abstracting and Indexing
      • Bibliographic Information
      • Archive
    • International Journal of Functional Nutrition
      • Information for Authors
      • Editorial Policies
      • Editorial Board
      • Aims and Scope
      • Abstracting and Indexing
      • Bibliographic Information
      • Archive
    • International Journal of Molecular Medicine
      • Information for Authors
      • Editorial Policies
      • Editorial Board
      • Aims and Scope
      • Abstracting and Indexing
      • Bibliographic Information
      • Archive
    • International Journal of Oncology
      • Information for Authors
      • Editorial Policies
      • Editorial Board
      • Aims and Scope
      • Abstracting and Indexing
      • Bibliographic Information
      • Archive
    • Medicine International
      • Information for Authors
      • Editorial Policies
      • Editorial Board
      • Aims and Scope
      • Abstracting and Indexing
      • Bibliographic Information
      • Archive
    • Molecular and Clinical Oncology
      • Information for Authors
      • Editorial Policies
      • Editorial Board
      • Aims and Scope
      • Abstracting and Indexing
      • Bibliographic Information
      • Archive
    • Molecular Medicine Reports
      • Information for Authors
      • Editorial Policies
      • Editorial Board
      • Aims and Scope
      • Abstracting and Indexing
      • Bibliographic Information
      • Archive
    • Oncology Letters
      • Information for Authors
      • Editorial Policies
      • Editorial Board
      • Aims and Scope
      • Abstracting and Indexing
      • Bibliographic Information
      • Archive
    • Oncology Reports
      • Information for Authors
      • Editorial Policies
      • Editorial Board
      • Aims and Scope
      • Abstracting and Indexing
      • Bibliographic Information
      • Archive
    • World Academy of Sciences Journal
      • Information for Authors
      • Editorial Policies
      • Editorial Board
      • Aims and Scope
      • Abstracting and Indexing
      • Bibliographic Information
      • Archive
  • Articles
  • Information
    • For Authors
    • For Reviewers
    • For Librarians
    • For Advertisers
    • Conferences
  • Language Editing
Login Register Submit
  • This site uses cookies
  • You can change your cookie settings at any time by following the instructions in our Cookie Policy. To find out more, you may read our Privacy Policy.

    I agree
Search articles by DOI, keyword, author or affiliation
Search
Advanced Search
presentation
Oncology Letters
Join Editorial Board Propose a Special Issue
Print ISSN: 1792-1074 Online ISSN: 1792-1082
Journal Cover
November-2014 Volume 8 Issue 5

Full Size Image

Sign up for eToc alerts
Recommend to Library

Journals

International Journal of Molecular Medicine

International Journal of Molecular Medicine

International Journal of Molecular Medicine is an international journal devoted to molecular mechanisms of human disease.

International Journal of Oncology

International Journal of Oncology

International Journal of Oncology is an international journal devoted to oncology research and cancer treatment.

Molecular Medicine Reports

Molecular Medicine Reports

Covers molecular medicine topics such as pharmacology, pathology, genetics, neuroscience, infectious diseases, molecular cardiology, and molecular surgery.

Oncology Reports

Oncology Reports

Oncology Reports is an international journal devoted to fundamental and applied research in Oncology.

Experimental and Therapeutic Medicine

Experimental and Therapeutic Medicine

Experimental and Therapeutic Medicine is an international journal devoted to laboratory and clinical medicine.

Oncology Letters

Oncology Letters

Oncology Letters is an international journal devoted to Experimental and Clinical Oncology.

Biomedical Reports

Biomedical Reports

Explores a wide range of biological and medical fields, including pharmacology, genetics, microbiology, neuroscience, and molecular cardiology.

Molecular and Clinical Oncology

Molecular and Clinical Oncology

International journal addressing all aspects of oncology research, from tumorigenesis and oncogenes to chemotherapy and metastasis.

World Academy of Sciences Journal

World Academy of Sciences Journal

Multidisciplinary open-access journal spanning biochemistry, genetics, neuroscience, environmental health, and synthetic biology.

International Journal of Functional Nutrition

International Journal of Functional Nutrition

Open-access journal combining biochemistry, pharmacology, immunology, and genetics to advance health through functional nutrition.

International Journal of Epigenetics

International Journal of Epigenetics

Publishes open-access research on using epigenetics to advance understanding and treatment of human disease.

Medicine International

Medicine International

An International Open Access Journal Devoted to General Medicine.

Journal Cover
November-2014 Volume 8 Issue 5

Full Size Image

Sign up for eToc alerts
Recommend to Library

  • Article
  • Citations
    • Cite This Article
    • Download Citation
    • Create Citation Alert
    • Remove Citation Alert
    • Cited By
  • Similar Articles
    • Related Articles (in Spandidos Publications)
    • Similar Articles (Google Scholar)
    • Similar Articles (PubMed)
  • Download PDF
  • Download XML
  • View XML
Article

Magnetic resonance imaging of intracranial hemangiopericytoma and correlation with pathological findings

  • Authors:
    • Cong Ma
    • Feng Xu
    • Yu-Dong Xiao
    • Ramchandra Paudel
    • Yi Sun
    • En-Hua Xiao
  • View Affiliations / Copyright

    Affiliations: Department of Radiology, The Second Xiangya Hospital of Central South University, Changsha, Hunan 410011, P.R. China, Yinzhou People's Hospital, Ningbo, Zhejiang 315000, P.R. China, Department of Pathology, The Second XiangYa Hospital of Central South University, Changsha, Hunan 410011, P.R. China
  • Pages: 2140-2144
    |
    Published online on: September 4, 2014
       https://doi.org/10.3892/ol.2014.2503
  • Expand metrics +
Metrics: Total Views: 0 (Spandidos Publications: | PMC Statistics: )
Metrics: Total PDF Downloads: 0 (Spandidos Publications: | PMC Statistics: )
Cited By (CrossRef): 0 citations Loading Articles...

This article is mentioned in:



Abstract

The present study aimed to evaluate the radiological and pathological features of intracranial hemangiopericytoma, and improve the understanding of this tumor. A retrospective analysis of radiological and pathological features of five cases of intracranial hemangiopericytoma was conducted between 2006 and 2012 in the Second Xiangya Hospital of Central South University. A total of five cases (three males and two females; aged 37‑60 years) were enrolled. Magnetic resonance imaging revealed that the lesions were lobulated with iso‑intensity T1‑weighted image signals and slightly long T2‑weighted image signals. Cystic degeneration, necrosis and flow void were observed. The case with the lesion located under the tentorium cerebelli exhibited compression of the fourth ventricle with lateral ventricle dilatation hydrocephalus. In all cases, the solid section of the lesion was markedly enhanced following injection of the contrast agent, and intratumoral vessels were observed. No case exhibited the dural tail sign. Immunohistochemical examination revealed positive expression of cluster of differentiation 34(CD34), vimentin and CD99, and negative expression of epithelial membrane antigen, S100 and glial fibrillary acidic protein. Proliferating cell nuclear antigen Ki‑67 immunohistochemical staining revealed that <5% of cells expressed Ki‑67 in two cases and 5‑10% of cells expressed Ki‑67 in three cases. In conclusion, intracranial hemangiopericytoma exhibits certain distinctive characteristics in radiological examination, allowing for improved diagnosis. However, pathological examination is required for confirmation.

Introduction

Intracranial hemangiopericytoma (HPC) is a rare tumor well-known for clinically aggressive behavior in growth and infiltration. HPC accounts for 0.4% of all primary central nervous system tumors (1). HPC is considered to arise from the pericytes of the capillaries and has certain similar features to other types of tumor (2). The 2007 World Health Organization (WHO) classification has divided intracranial HPC into two separate categories: WHO Grade II HPC and WHO Grade III anaplastic HPC (3). Surgical resection is the standard treatment for HPC, however, the procedure presents a challenge as it may lead to extensive blood loss (4). Previosu studies have indicated that tumor recurrence is common in HPC patients and thus, radiotherapy is used to treat recurrent HPC (5). The radiological appearance of HPC resembles that of meningioma, but the pathological features resemble those of solitary fibrous tumors (6). The present study describes five cases of intracranial HPC diagnosed by pathology with the aim of comparing the radiological and pathological features.

Materials and methods

Patient information

A total of five pathologically proven cases of intracranial HPC were collected between May 2006 and March 2012 in the Second Xiangya Hospital of Central South University (Changsha, China). Of the five cases, four were classified as WHO Grade II and one was classified as WHO Grade III. All cases had undergone magnetic resonance imaging (MRI) examination. The images were evaluated by two radiologists and the final diagnosis was confirmed following evaluation of the specimens by two pathologists. The procedures followed in the present study were in accordance with the ethics committee of the Second Xiangya Hospital of Central South University and written informed consent was obtained from all patients. All the cases were followed up for between one and seven years, and each case enrolled in this study was kept anonymous following the retrieval of the follow-up information.

MRI

GE Signa 1.5 T superconducting MRI (GE Healthcare, Little Chalfont, USA) was performed using a standard head coil, with a thickness of 5 mm and a layer distance of 1.5 mm, using spin-echo T1-weighted image [T1WI; repetition time (TR), 400–500 msec; echo time (TE), 15–30 msec] and fast spin-echo T2WI (TR, 3,000–4,500 msec; TE, 70–120 msec). Gadolinium diethylenetriamine penta-acetic acid (Gd-DTPA) contrast agent was adopted at dose, 0.1 mmol/kg; injection flow rate, 3 ml/sec; and scan parameter, fat suppression Flair T1WI (TR, 2,000–2,500 msec; TE, 7–13 msec).

Pathological and immunohistochemical analysis

All cases underwent total resection of the tumor. The specimen was fixed in 4% neutral formalin, dehydrated and embedded in paraffin. Subsequently the sample was cut into 2.5 μm slices and underwent routine hematoxylin-eosin staining and immunohistochemical analysis of cluster of differentiation 34 (CD34), CD99, vimentin (Vim), S-100, epithelial membrane antigen (EMA), glial fibrillary acidic protein (GFAP), Ki-67 and synapsin (Syn) (Maxin-Bio, Co., Fuzhou, China) expression.

Results

Clinical findings

A total of five cases (three males and two females; age range, 37–60 years) were enrolled. Headache (n=5) and dizziness (n=4) were the most common presenting symptoms, followed by vomiting (n=2), weakness (n=1) and blurred vision (n=1). The routine laboratory findings were non-specific. During the follow-up period, one case recurred within four years of tumor resection; however, no cases developed metastases during the follow-up period. The clinical findings of each case are listed in Table I.

Table I

Clinical findings from the five intracranial hemangiopericytoma cases.

Table I

Clinical findings from the five intracranial hemangiopericytoma cases.

PatientAgeSexRecurrenceHeadacheDizzinessVomitingWeaknessBlurred vision
148MaleNoYesYesYesNoYes
260MaleYesYesYesNoYesNo
356FemaleNoYesNoNoNoNo
437FemaleNoYesYesNoNoNo
541MaleNoYesYesYesNoNo
MRI findings

All cases were misdiagnosed as meningioma prior to surgery. MRI revealed that all five cases had a single lesion (in four cases located above the tentorium cerebelli; in one case located under the tentorium cerebelli). The lesions were lobular, measuring 3.0 to 7.5 cm with an iso-intense signal in T1WI and a slightly long signal in T2WI on the unenhanced MRI scan (Figs. 1–5). Four cases presented with a cross-midline growth pattern (Figs. 1, 3–5) and one case presented with a cross-lobe growth pattern (Fig. 2). One case exhibited dilatation of the lateral ventricle as the tumor compressed the fourth ventricle (Fig. 5). The adjacent bone was destroyed in one case (Fig. 2). Following injection of Gd-DTPA, no cases were found to exhibit the dural tail sign. Heterogeneous enhancement was observed in all cases (Figs. 1–5). Cystic degeneration, necrosis as well as flow void were observed in all cases (Figs. 1–5). The detailed MRI findings are listed in Table II.

Figure 1

Patient 1. (A) Unenhanced magnetic resonance imaging scan reveals a heterogeneous iso-signal intensity mass in the right occipital region with a well-defined border. (B) The lesion has a marginally long T2 signal with certain intratumoral vessels (arrow), and peritumoral brain edema may be observed. (C) Enhanced scan demonstrates that the mass was markedly heterogeneously enhanced. (D) Cystic degeneration, necrosis and flow void are visible.

Figure 5

Patient 5. (A) Unenhanced magnetic resonance imaging scan reveals that the lesion is located in the infratentorial posterior fossa. (B) Peritumoral brain edema may be observed, and the fourth ventricle exhibits compressive change. (C) The lesion is markedly enhanced following injection of contrast agent. (D) The dural tail sign cannot be found, however, a (E) narrow-based attachment is visible and the intratumoral vessel may be detectable.

Figure 3

Patient 3. (A) Unenhanced magnetic resonance imaging scan reveals that the boundary of the tumor is well defined and lobular in shape. (B) Flow void can be observed in the T2-weighted image. (C and D) The lesion is markedly enhanced and the dural tail sign is not detectable.

Figure 2

Patient 2. (A) Unenhanced magnetic resonance imaging scan reveals a mass in the left temporal region with heterogeneous iso-signal intensity in the T1-weighted image, and (B) heterogeneous marginally high signal intensity with numerous irregular intratumoral vessels (arrow) in the T2-weighted image. (C) Enhanced scan reveals that the mass is markedly enhanced. The adjacent bone exerts an obstruction effect due to the invasive growth pattern of the tumor (triangle). (D) Coronal reconstruction indicates that the flowing void effect may be visible (arrow).

Table II

Magnetic resonance imaging findings from the five intracranial hemangiopericytoma cases.

Table II

Magnetic resonance imaging findings from the five intracranial hemangiopericytoma cases.

Patient

Tumor characteristic12345
Size4.1 cm5.3 cm4.0 cm7.5 cm3.0 cm
MarginWell-definedIll-definedWell-definedWell-definedWell-defined
MorphologyLobulatedLobulatedLobulatedLobulatedLobulated
LocationRight occipital regionLeft temporal regionLeft occipital regionAnterior skull baseInfratentorial posterior fossa
Growth patternCross-midlineCross-lobeCross-midlineCross-midlineCross-midline
Enhancement patternHeterogeneousHeterogeneousHeterogeneousHeterogeneousHeterogeneous
Bony destructionNoYesNoNoNo
Dural tail signNoNoNoNoNo
Narrow-based attachmentYesYesYesYesYes
Intratumoral vesselsYesYesYesYesYes
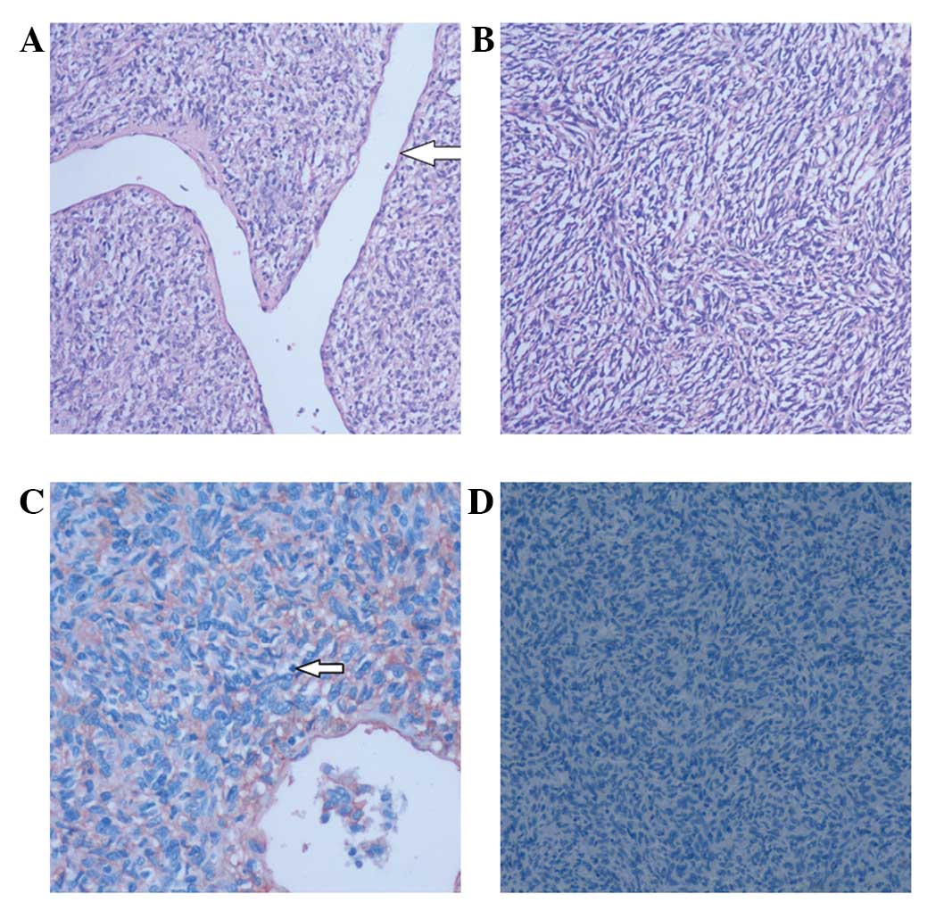
Pathological and immunohistochemical findings

Upon gross examination, the cut surfaces of the tumors were gray in color and fish-like in texture. The boundaries were clear with a complete or incomplete capsule. On microscopic examination, the tumor cells were shown to exhibit diffuse growth with abundant slit-shaped vessels in the central area. The cells were of uniform size with obscured nucleoli (Fig. 6A and B). The nuclei of the tumor cells were oval and mitotic figures were occasionally observed (Fig. 6C). No case exhibited the intranuclear inclusions that are relatively specific to meningioma. Calcification was only found in one case. Immunohistochemical analysis revealed a marked positive expression of CD34 (Fig. 6C), CD99 and Vim but negative expression of EMA (Fig. 6D), S100 and GFAP. Proliferating cell nuclear antigen Ki-67 immunohistochemical staining revealed that <5% of cells expressed Ki-67 in two cases and 5–10% of cells expressed Ki-67 in three cases. Syn staining revealed no expression in all cases.

Figure 6

Patient 3.Pathological features of intracranial hemangiopericytoma. (A) On microscopic examination, tumor cells exhibit a diffuse growth pattern with abundant slit-shaped vessels in the central area (arrow). (B) The tumor cells are uniform in size with obscured nucleoli. (C) The nuclei of the tumor cells are oval and mitotic figures are occasionally observed (arrow). Immunohistochemical analysis reveals (C) marked positive expression of cluster of differentiation 34, but (D) negative expression of epithelial membrane antigen [stain, (A and B) hematoxylin and eosin, (C) cluster of differentiation 34, (D) epithelian membrane antigen; magnification, A, ×100; B, ×100; C, ×200; D, ×200].

Discussion

Intracranial HPC is a rare tumor with aggressive behavior. HPC is usually known to occur in the musculoskeletal system and has been less frequently reported to occur in the central nervous system. The morbidity of HPC accounts for <1% of all intracranial tumors and ~2–4% of all meningeal tumors, worldwide (7). Owing to the unknown origin, HPC was hypothesized to originate from the meninges and thus was previously considered to be a subtype of meningioma. However, HPC is currently hypothesized to originate from Zimmermann pericytes (8).

Intracranial HPC usually occurs more commonly in males than females and the average age of presentation in patients with HPC was identified to range between 38 and 42 years in a previous series (9), which is similar to the findings of the present study. The symptoms of this type of tumor are non-specific and, furthermore, are similar to those of other types of tumors, such as meningeal meningoma (10). In general, HPC symptoms depend on the tumor size, extent and position. In the present cohort, the main symptoms were headache (n=5), dizziness (n=4), vomiting (n=2), weakness (n=1) and blurred vision (n=1). Routine laboratory tests revealed no specific findings.

On gross pathological examination, the lesion may manifest as a solitary nodule with a complete or incomplete capsule. In a study conducted by Zhou et al (11) examining 39 cases intracranial HPC and anaplastic HPC, the majority of the anaplastic HPC cases presented with an incomplete capsule and ill-defined boundary, but intracranial HPC had a complete capsule and clear boundary. The results of the present study are similar to those findings. Another previous study demonstrated that HPC more commonly occurs in the frontoparietal region (12). However, the present study observed no specific tumor location in all patients.

Intracranial HPC has a rich blood supply; marked heterogeneous enhancement was detected in the cases in the present study, which may also be explained by the pathological characteristics. On microscopic examination, the tumor cells exhibited diffuse growth patterns with abundant slit-shaped vessels. Intratumoral vessels were detected in all cases, which were indicated by flow voids on the MRI scans. This feature may be characteristic of HPC. In the present study, mitotic figures were occasionally detected. This feature indicates that intracranial HPC exhibits an aggressive behavior that results in recurrence and metastasis.

A previous study reported that HPC cells were strongly immunopositive for Vim, but negative for EMA, with CD34 expression focally positive and the endothelial cells always positive for CD34 (13). The results of the present study concurred with these findings.

To produce a correct preoperative diagnosis of intracranial HPC is difficult. In the present study, all cases were misdiagnosed as meningioma prior to surgery. Furthermore, the MRI features of HPC appear similar to those of meningioma. However, certain specific signs of intracranial HPC that are different from those of meningioma were identified in the present study. For example, flow void appears to be more common in intracranial HPC than in meningioma, as intracranial HPC has a richer blood supply and abundant slit-shaped vessels. In the present study, the growth patterns of intracranial HPC were as follows: Crossing the midline (n=4) and crossing the lobe (n=1) with a lobulated shape, which indicated that the intracranial lesions exhibited an invasive growth pattern. Compared with intracranial HPC, the growth pattern of meningioma appears to be more localized and the shape more regular. Furthermore, intracranial HPC exerts a destructive effect on the adjacent bone, unlike meningioma, which exerts a hyperplastic effect (14). This feature indicates that intracranial HPC exhibits a marked propensity for invasiveness. In addition, no case exhibited the dural tail sign in the present study. A previous study reported that dural tail sign was associated with the long-term response to the stimulation of the meninges by the tumor (15). Intracranial HPC is classified as WHO Grade II or III, and exhibits a rapid tumor growth rate and high malignant characteristics, therefore the dural tail sign is less common. Furthermore, a narrow dural attachment is another feature that differentiates intracranial HPC from meningioma (16). Intracranial HPC exhibits a narrow dural attachment, which is due to the malignant behavior of the tumor. However, meningioma commonly has a wide dural attachment.

Surgical resection of the tumor is the primary treatment choice in order to obtain a definitive diagnosis as well as to relieve symptoms (4). A cohort study conducted by Kumar et al (17) suggested that the main therapy for intracranial HPC was gross total resection combined with postoperative radiotherapy. In the present study, all cases underwent surgical resection combined with radiotherapy. In the follow-up period, only one case recurred within four years. Thus, a long-term follow-up is reasonable for the timely detection of recurrence.

In conclusion, intracranial HPC exhibits particular characteristics of WHO Grade II or III tumors, which are similar to those of meningioma. However, certain features may aid in differentiating intracranial HPC from meningioma. The flow void is a relatively specific sign common in intracranial HPC due to the rich blood supply. The growth pattern of intracranial HPC appears to be irregular with a lobulated shape. Adjacent bone erosion may also occasionally be identified in patients with intracranial HPC. In addition, a narrow dural attachment suggests a diagnosis of intracranial HPC rather than meningioma. Nevertheless, imaging alone should not be used to diagnose intracranial HPC; pathological examination is required for confirmation.

Abbreviations:

HPC

hemangiopericytoma

MRI

magnetic resonance imaging

Vim

vimentin

EMA

epithelial membrane antigen

GFAP

glial fibrillary acidic protein

WHO

World Health Organization

References

1 

Rutkowski MJ, Jian BJ, Bloch O, et al: Intracranial hemangiopericytoma: clinical experience and treatment considerations in a modern series of 40 adult patients. Cancer. 118:1628–1636. 2012.

2 

Holland H, Livrea M, Ahnert P, et al: Intracranial hemangiopericytoma: Case study with cytogenetics and genome wide SNP-A analysis. Pathol Res Pract. 207:310–316. 2011.

3 

Kleihues P and Cavenee WK: World Health Organization Classification of Tumours. Pathology and Genetics of Tumours of the Nervous System. IARC Press; Lyon: 2000

4 

Fountas KN, Kapsalaki E, Kassam M, et al: Management of intracranial meningeal hemangiopericytoma: outcome and experience. Neurosurg Rev. 29:145–153. 2006.

5 

Olson C, Yen CP, Schlesinger D and Sheehan J: Radiosurgery for intracranial hemangiopericytoma: outcomes after initial and repeat Gamma Knife surgery. J Neurosurg. 112:133–139. 2010.

6 

Hori E, Kurimoto M, Fukuda O, et al: Recurrent intracranial solitary fibrous tumor initially diagnosed as hemangiopericytoma. Brain Tumor Pathol. 24:31–34. 2007.

7 

Kumar R and Wani AA: Unusual tumors of the posterior fossa skull base. Skull Base. 16:75–84. 2006.

8 

Stout AP and Murray MR: Hemangiopericytoma: a vascular tumor featuring Zimmerman’s pericytes. Ann Surg. 116:26–33. 1942.

9 

Brunori A, Delitala A, Oddi G and Chiappetta F: Recent experience in the management of meningeal hemangiopericytomas. Tumori. 83:856–861. 1997.

10 

Schiariti M, Goetz P, El-Maghraby H, Tailor J and Kitchen N: Hemangiopericytoma: long-term outcome revisited clinical article. J Neurosurg. 114:747–755. 2011.

11 

Zhou JL, Liu JL, Zhang J and Zhang M: Thirty-nine cases of intracranial hemangiopericytoma and anaplastic hemangiopericytoma: A retrospective review of MRI features and pathological findings. Eur J Radiol. 81:3504–3510. 2012.

12 

Wu W, Shi JX, Cheng HL, et al: Hemangiopericytomas in the central nervous system. J Clin Neurosci. 16:519–523. 2009.

13 

Alén JF, Lobato RD, Gómez PA, et al: Intracranial Hemangiopericytoma: Study of 12 Cases. ACTA Neurochir. 143:575–586. 2001.

14 

Shetty PM, Moiyadi AV and Sridhar E: Primary CNS hemangiopericytoma presenting as an intraparenchymal mass - case report and review of literature. Clin Neurol Neurosurg. 112:261–264. 2010.

15 

Spatola C and Privitera G: Recurrent intracranial hemangiopericytoma with extracranial and unusual multiple metastases: case report and review of the literature. Tumori. 90:265–268. 2004.

16 

Bonde VR and Goel A: Two patients with intracavernous hemangiopericytoma. J Clin Neurosci. 16:330–333. 2009.

17 

Kumar N, Kumar R, Kapoor R, et al: Intracranial meningeal hemangiopericytoma: 10 years experience of a tertiary care institute. ACTA Neusrochir. 154:1647–1651. 2012.

Related Articles

  • Abstract
  • View
  • Download
  • Twitter
Copy and paste a formatted citation
Spandidos Publications style
Ma C, Xu F, Xiao Y, Paudel R, Sun Y and Xiao E: Magnetic resonance imaging of intracranial hemangiopericytoma and correlation with pathological findings. Oncol Lett 8: 2140-2144, 2014.
APA
Ma, C., Xu, F., Xiao, Y., Paudel, R., Sun, Y., & Xiao, E. (2014). Magnetic resonance imaging of intracranial hemangiopericytoma and correlation with pathological findings. Oncology Letters, 8, 2140-2144. https://doi.org/10.3892/ol.2014.2503
MLA
Ma, C., Xu, F., Xiao, Y., Paudel, R., Sun, Y., Xiao, E."Magnetic resonance imaging of intracranial hemangiopericytoma and correlation with pathological findings". Oncology Letters 8.5 (2014): 2140-2144.
Chicago
Ma, C., Xu, F., Xiao, Y., Paudel, R., Sun, Y., Xiao, E."Magnetic resonance imaging of intracranial hemangiopericytoma and correlation with pathological findings". Oncology Letters 8, no. 5 (2014): 2140-2144. https://doi.org/10.3892/ol.2014.2503
Copy and paste a formatted citation
x
Spandidos Publications style
Ma C, Xu F, Xiao Y, Paudel R, Sun Y and Xiao E: Magnetic resonance imaging of intracranial hemangiopericytoma and correlation with pathological findings. Oncol Lett 8: 2140-2144, 2014.
APA
Ma, C., Xu, F., Xiao, Y., Paudel, R., Sun, Y., & Xiao, E. (2014). Magnetic resonance imaging of intracranial hemangiopericytoma and correlation with pathological findings. Oncology Letters, 8, 2140-2144. https://doi.org/10.3892/ol.2014.2503
MLA
Ma, C., Xu, F., Xiao, Y., Paudel, R., Sun, Y., Xiao, E."Magnetic resonance imaging of intracranial hemangiopericytoma and correlation with pathological findings". Oncology Letters 8.5 (2014): 2140-2144.
Chicago
Ma, C., Xu, F., Xiao, Y., Paudel, R., Sun, Y., Xiao, E."Magnetic resonance imaging of intracranial hemangiopericytoma and correlation with pathological findings". Oncology Letters 8, no. 5 (2014): 2140-2144. https://doi.org/10.3892/ol.2014.2503
Follow us
  • Twitter
  • LinkedIn
  • Facebook
About
  • Spandidos Publications
  • Careers
  • Cookie Policy
  • Privacy Policy
How can we help?
  • Help
  • Live Chat
  • Contact
  • Email to our Support Team