Spandidos Publications Logo
  • About
    • About Spandidos
    • Aims and Scopes
    • Abstracting and Indexing
    • Editorial Policies
    • Reprints and Permissions
    • Job Opportunities
    • Terms and Conditions
    • Contact
  • Journals
    • All Journals
    • Oncology Letters
      • Oncology Letters
      • Information for Authors
      • Editorial Policies
      • Editorial Board
      • Aims and Scope
      • Abstracting and Indexing
      • Bibliographic Information
      • Archive
    • International Journal of Oncology
      • International Journal of Oncology
      • Information for Authors
      • Editorial Policies
      • Editorial Board
      • Aims and Scope
      • Abstracting and Indexing
      • Bibliographic Information
      • Archive
    • Molecular and Clinical Oncology
      • Molecular and Clinical Oncology
      • Information for Authors
      • Editorial Policies
      • Editorial Board
      • Aims and Scope
      • Abstracting and Indexing
      • Bibliographic Information
      • Archive
    • Experimental and Therapeutic Medicine
      • Experimental and Therapeutic Medicine
      • Information for Authors
      • Editorial Policies
      • Editorial Board
      • Aims and Scope
      • Abstracting and Indexing
      • Bibliographic Information
      • Archive
    • International Journal of Molecular Medicine
      • International Journal of Molecular Medicine
      • Information for Authors
      • Editorial Policies
      • Editorial Board
      • Aims and Scope
      • Abstracting and Indexing
      • Bibliographic Information
      • Archive
    • Biomedical Reports
      • Biomedical Reports
      • Information for Authors
      • Editorial Policies
      • Editorial Board
      • Aims and Scope
      • Abstracting and Indexing
      • Bibliographic Information
      • Archive
    • Oncology Reports
      • Oncology Reports
      • Information for Authors
      • Editorial Policies
      • Editorial Board
      • Aims and Scope
      • Abstracting and Indexing
      • Bibliographic Information
      • Archive
    • Molecular Medicine Reports
      • Molecular Medicine Reports
      • Information for Authors
      • Editorial Policies
      • Editorial Board
      • Aims and Scope
      • Abstracting and Indexing
      • Bibliographic Information
      • Archive
    • World Academy of Sciences Journal
      • World Academy of Sciences Journal
      • Information for Authors
      • Editorial Policies
      • Editorial Board
      • Aims and Scope
      • Abstracting and Indexing
      • Bibliographic Information
      • Archive
    • International Journal of Functional Nutrition
      • International Journal of Functional Nutrition
      • Information for Authors
      • Editorial Policies
      • Editorial Board
      • Aims and Scope
      • Abstracting and Indexing
      • Bibliographic Information
      • Archive
    • International Journal of Epigenetics
      • International Journal of Epigenetics
      • Information for Authors
      • Editorial Policies
      • Editorial Board
      • Aims and Scope
      • Abstracting and Indexing
      • Bibliographic Information
      • Archive
    • Medicine International
      • Medicine International
      • Information for Authors
      • Editorial Policies
      • Editorial Board
      • Aims and Scope
      • Abstracting and Indexing
      • Bibliographic Information
      • Archive
  • Articles
  • Information
    • Information for Authors
    • Information for Reviewers
    • Information for Librarians
    • Information for Advertisers
    • Conferences
  • Language Editing
Spandidos Publications Logo
  • About
    • About Spandidos
    • Aims and Scopes
    • Abstracting and Indexing
    • Editorial Policies
    • Reprints and Permissions
    • Job Opportunities
    • Terms and Conditions
    • Contact
  • Journals
    • All Journals
    • Biomedical Reports
      • Information for Authors
      • Editorial Policies
      • Editorial Board
      • Aims and Scope
      • Abstracting and Indexing
      • Bibliographic Information
      • Archive
    • Experimental and Therapeutic Medicine
      • Information for Authors
      • Editorial Policies
      • Editorial Board
      • Aims and Scope
      • Abstracting and Indexing
      • Bibliographic Information
      • Archive
    • International Journal of Epigenetics
      • Information for Authors
      • Editorial Policies
      • Editorial Board
      • Aims and Scope
      • Abstracting and Indexing
      • Bibliographic Information
      • Archive
    • International Journal of Functional Nutrition
      • Information for Authors
      • Editorial Policies
      • Editorial Board
      • Aims and Scope
      • Abstracting and Indexing
      • Bibliographic Information
      • Archive
    • International Journal of Molecular Medicine
      • Information for Authors
      • Editorial Policies
      • Editorial Board
      • Aims and Scope
      • Abstracting and Indexing
      • Bibliographic Information
      • Archive
    • International Journal of Oncology
      • Information for Authors
      • Editorial Policies
      • Editorial Board
      • Aims and Scope
      • Abstracting and Indexing
      • Bibliographic Information
      • Archive
    • Medicine International
      • Information for Authors
      • Editorial Policies
      • Editorial Board
      • Aims and Scope
      • Abstracting and Indexing
      • Bibliographic Information
      • Archive
    • Molecular and Clinical Oncology
      • Information for Authors
      • Editorial Policies
      • Editorial Board
      • Aims and Scope
      • Abstracting and Indexing
      • Bibliographic Information
      • Archive
    • Molecular Medicine Reports
      • Information for Authors
      • Editorial Policies
      • Editorial Board
      • Aims and Scope
      • Abstracting and Indexing
      • Bibliographic Information
      • Archive
    • Oncology Letters
      • Information for Authors
      • Editorial Policies
      • Editorial Board
      • Aims and Scope
      • Abstracting and Indexing
      • Bibliographic Information
      • Archive
    • Oncology Reports
      • Information for Authors
      • Editorial Policies
      • Editorial Board
      • Aims and Scope
      • Abstracting and Indexing
      • Bibliographic Information
      • Archive
    • World Academy of Sciences Journal
      • Information for Authors
      • Editorial Policies
      • Editorial Board
      • Aims and Scope
      • Abstracting and Indexing
      • Bibliographic Information
      • Archive
  • Articles
  • Information
    • For Authors
    • For Reviewers
    • For Librarians
    • For Advertisers
    • Conferences
  • Language Editing
Login Register Submit
  • This site uses cookies
  • You can change your cookie settings at any time by following the instructions in our Cookie Policy. To find out more, you may read our Privacy Policy.

    I agree
Search articles by DOI, keyword, author or affiliation
Search
Advanced Search
presentation
Oncology Letters
Join Editorial Board Propose a Special Issue
Print ISSN: 1792-1074 Online ISSN: 1792-1082
Journal Cover
March-2015 Volume 9 Issue 3

Full Size Image

Sign up for eToc alerts
Recommend to Library

Journals

International Journal of Molecular Medicine

International Journal of Molecular Medicine

International Journal of Molecular Medicine is an international journal devoted to molecular mechanisms of human disease.

International Journal of Oncology

International Journal of Oncology

International Journal of Oncology is an international journal devoted to oncology research and cancer treatment.

Molecular Medicine Reports

Molecular Medicine Reports

Covers molecular medicine topics such as pharmacology, pathology, genetics, neuroscience, infectious diseases, molecular cardiology, and molecular surgery.

Oncology Reports

Oncology Reports

Oncology Reports is an international journal devoted to fundamental and applied research in Oncology.

Experimental and Therapeutic Medicine

Experimental and Therapeutic Medicine

Experimental and Therapeutic Medicine is an international journal devoted to laboratory and clinical medicine.

Oncology Letters

Oncology Letters

Oncology Letters is an international journal devoted to Experimental and Clinical Oncology.

Biomedical Reports

Biomedical Reports

Explores a wide range of biological and medical fields, including pharmacology, genetics, microbiology, neuroscience, and molecular cardiology.

Molecular and Clinical Oncology

Molecular and Clinical Oncology

International journal addressing all aspects of oncology research, from tumorigenesis and oncogenes to chemotherapy and metastasis.

World Academy of Sciences Journal

World Academy of Sciences Journal

Multidisciplinary open-access journal spanning biochemistry, genetics, neuroscience, environmental health, and synthetic biology.

International Journal of Functional Nutrition

International Journal of Functional Nutrition

Open-access journal combining biochemistry, pharmacology, immunology, and genetics to advance health through functional nutrition.

International Journal of Epigenetics

International Journal of Epigenetics

Publishes open-access research on using epigenetics to advance understanding and treatment of human disease.

Medicine International

Medicine International

An International Open Access Journal Devoted to General Medicine.

Journal Cover
March-2015 Volume 9 Issue 3

Full Size Image

Sign up for eToc alerts
Recommend to Library

  • Article
  • Citations
    • Cite This Article
    • Download Citation
    • Create Citation Alert
    • Remove Citation Alert
    • Cited By
  • Similar Articles
    • Related Articles (in Spandidos Publications)
    • Similar Articles (Google Scholar)
    • Similar Articles (PubMed)
  • Download PDF
  • Download XML
  • View XML
Case Report

Descending colo-colonic intussusception secondary to signet ring cell carcinoma: A case report

  • Authors:
    • Ke-Kang Sun
    • Dong Yang
    • Mingqiang Gan
    • Xiao‑Yang Wu
  • View Affiliations / Copyright

    Affiliations: Department of Gastrointestinal Surgery, Kunshan First People's Hospital Affiliated to Jiangsu University, Kunshan, Jiangsu 215300, P.R. China
  • Pages: 1380-1382
    |
    Published online on: December 17, 2014
       https://doi.org/10.3892/ol.2014.2805
  • Expand metrics +
Metrics: Total Views: 0 (Spandidos Publications: | PMC Statistics: )
Metrics: Total PDF Downloads: 0 (Spandidos Publications: | PMC Statistics: )
Cited By (CrossRef): 0 citations Loading Articles...

This article is mentioned in:



Abstract

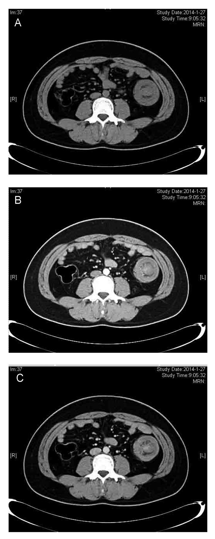
The incidence of intussusception is low in adults, particularly in the descending colon, due to the anatomical attachment of the descending colon to the retroperitoneum. Signet ring cell histology represents ~1% of colon adenocarcinomas and is associated with young patients and a poor clinical outcome. The present study describes a case of descending colo‑colonic intussusception caused by signet ring cell carcinoma in a 27‑year‑old male. The patient presented with a history of intermittent left upper‑quadrant abdominal pain for more than six months without any evident etiology. A computed tomography scan of the abdomen revealed left‑sided colo‑colonic intussusception. Upon laparotomy, a left hemicolectomy was performed according to intraoperative frozen‑section pathology. Post‑operative pathological evaluation revealed signet ring cell carcinoma invasion of the serosa, and 31.8% (7/22) of the regional lymph nodes were positive for cancerous cells. The post‑operative course was uneventful and the patient was discharged on the tenth post‑operative day.
View Figures

Figure 1

Figure 2

View References

1 

Gollub MJ: Colonic intussusception: clinical and radiographic features. AJR Am J Roentgenol. 196:W580–W585. 2011. View Article : Google Scholar : PubMed/NCBI

2 

Gupta RK, Agrawal CS, Yadav R, et al: Intussusception in adults: institutional review. Int J Surg. 9:91–95. 2011. View Article : Google Scholar

3 

Xu XQ, Hong T, Liu W, et al: A long adult intussusception secondary to transverse colon cancer. World J Gastroenterol. 19:3517–3519. 2013. View Article : Google Scholar : PubMed/NCBI

4 

Hyngstrom JR, Hu CY, Xing Y, et al: Clinicopathology and outcomes for mucinous and signet ring colorectal adenocarcinoma: analysis from the National Cancer Data Base. Ann Surg Oncol. 19:2814–2821. 2012. View Article : Google Scholar : PubMed/NCBI

5 

Thota R, Fang X and Subbiah S: Clinicopathological features and survival outcomes of primary signet ring cell and mucinous adenocarcinoma of colon: retrospective analysis of VACCR database. J Gastrointest Oncol. 5:18–24. 2014.PubMed/NCBI

6 

Shia J, Klimstra DS, Bagci P, et al: TNM staging of colorectal carcinoma: issues and caveats. Semin Diagn Pathol. 29:142–153. 2012. View Article : Google Scholar : PubMed/NCBI

7 

Howard N, Pranesh N and Carter P: Colo-colonic intusussception secondary to a lipoma. Int J Surg Case Rep. 3:52–54. 2012. View Article : Google Scholar : PubMed/NCBI

8 

Abbes Orabi N, Paterson HM and Kartheuser A: Adult colo-colonic intussusception. Tech Coloproctol. 14:95–96. 2010. View Article : Google Scholar : PubMed/NCBI

9 

Yakan S, Calkiskan C, Makay O, et al: Intussusception in adults: clinical characteristics, diagnosis and operative strategies. World J Gastroenterol. 15:1985–1989. 2009. View Article : Google Scholar : PubMed/NCBI

10 

Amoruso M, D’Abbicco D, Praino S, et al: Idiopathic adult colo-colonic intussusception: case report and review of the literature. Int J Surg Case Rep. 4:416–418. 2013. View Article : Google Scholar : PubMed/NCBI

11 

Wang L, Chen P, Zong L, et al: Colon angiolipoma with intussusception: a case report and literature review. World J Surg Oncol. 11:692013. View Article : Google Scholar : PubMed/NCBI

12 

Fukuchi M, Tsukagoshi R, Sakurai S, et al: Adult intussusception caused by descending colon cancer during chemotherapy of stomach cancer recurrence. Case Rep Gastroenterol. 6:88–93. 2012. View Article : Google Scholar : PubMed/NCBI

13 

Laufman H and Saphir O: Primary linitis plastica type of carcinoma of the colon. AMA Arch Surg. 62:79–91. 1951. View Article : Google Scholar : PubMed/NCBI

14 

Kim JH, Park SJ, Park MI, et al: Early-stage primary signet ring cell carcinoma of the colon. World J Gastroenterol. 19:3895–3898. 2013. View Article : Google Scholar : PubMed/NCBI

15 

Sanders GB, Hagan WH and Kinnaird DW: Adult intussusception and carcinoma of the colon. Ann Surg. 147:796–804. 1958.PubMed/NCBI

16 

Azar T and Berger DL: Adult intussusception. Ann Surg. 226:134–138. 1997. View Article : Google Scholar : PubMed/NCBI

17 

Marinis A, Yiallourou A, Samanides L, et al: Intussusception of the bowel in adults: a review. World J Gastroenterol. 15:407–411. 2009. View Article : Google Scholar : PubMed/NCBI

18 

Goh BK, Quah HM, Chow PK, et al: Predictive factors of malignancy in adults with intussusception. World J Surg. 30:1300–1304. 2006. View Article : Google Scholar : PubMed/NCBI

Related Articles

  • Abstract
  • View
  • Download
  • Twitter
Copy and paste a formatted citation
Spandidos Publications style
Sun K, Yang D, Gan M and Wu XY: Descending colo-colonic intussusception secondary to signet ring cell carcinoma: A case report. Oncol Lett 9: 1380-1382, 2015.
APA
Sun, K., Yang, D., Gan, M., & Wu, X. (2015). Descending colo-colonic intussusception secondary to signet ring cell carcinoma: A case report. Oncology Letters, 9, 1380-1382. https://doi.org/10.3892/ol.2014.2805
MLA
Sun, K., Yang, D., Gan, M., Wu, X."Descending colo-colonic intussusception secondary to signet ring cell carcinoma: A case report". Oncology Letters 9.3 (2015): 1380-1382.
Chicago
Sun, K., Yang, D., Gan, M., Wu, X."Descending colo-colonic intussusception secondary to signet ring cell carcinoma: A case report". Oncology Letters 9, no. 3 (2015): 1380-1382. https://doi.org/10.3892/ol.2014.2805
Copy and paste a formatted citation
x
Spandidos Publications style
Sun K, Yang D, Gan M and Wu XY: Descending colo-colonic intussusception secondary to signet ring cell carcinoma: A case report. Oncol Lett 9: 1380-1382, 2015.
APA
Sun, K., Yang, D., Gan, M., & Wu, X. (2015). Descending colo-colonic intussusception secondary to signet ring cell carcinoma: A case report. Oncology Letters, 9, 1380-1382. https://doi.org/10.3892/ol.2014.2805
MLA
Sun, K., Yang, D., Gan, M., Wu, X."Descending colo-colonic intussusception secondary to signet ring cell carcinoma: A case report". Oncology Letters 9.3 (2015): 1380-1382.
Chicago
Sun, K., Yang, D., Gan, M., Wu, X."Descending colo-colonic intussusception secondary to signet ring cell carcinoma: A case report". Oncology Letters 9, no. 3 (2015): 1380-1382. https://doi.org/10.3892/ol.2014.2805
Follow us
  • Twitter
  • LinkedIn
  • Facebook
About
  • Spandidos Publications
  • Careers
  • Cookie Policy
  • Privacy Policy
How can we help?
  • Help
  • Live Chat
  • Contact
  • Email to our Support Team