Spandidos Publications Logo
  • About
    • About Spandidos
    • Aims and Scopes
    • Abstracting and Indexing
    • Editorial Policies
    • Reprints and Permissions
    • Job Opportunities
    • Terms and Conditions
    • Contact
  • Journals
    • All Journals
    • Oncology Letters
      • Oncology Letters
      • Information for Authors
      • Editorial Policies
      • Editorial Board
      • Aims and Scope
      • Abstracting and Indexing
      • Bibliographic Information
      • Archive
    • International Journal of Oncology
      • International Journal of Oncology
      • Information for Authors
      • Editorial Policies
      • Editorial Board
      • Aims and Scope
      • Abstracting and Indexing
      • Bibliographic Information
      • Archive
    • Molecular and Clinical Oncology
      • Molecular and Clinical Oncology
      • Information for Authors
      • Editorial Policies
      • Editorial Board
      • Aims and Scope
      • Abstracting and Indexing
      • Bibliographic Information
      • Archive
    • Experimental and Therapeutic Medicine
      • Experimental and Therapeutic Medicine
      • Information for Authors
      • Editorial Policies
      • Editorial Board
      • Aims and Scope
      • Abstracting and Indexing
      • Bibliographic Information
      • Archive
    • International Journal of Molecular Medicine
      • International Journal of Molecular Medicine
      • Information for Authors
      • Editorial Policies
      • Editorial Board
      • Aims and Scope
      • Abstracting and Indexing
      • Bibliographic Information
      • Archive
    • Biomedical Reports
      • Biomedical Reports
      • Information for Authors
      • Editorial Policies
      • Editorial Board
      • Aims and Scope
      • Abstracting and Indexing
      • Bibliographic Information
      • Archive
    • Oncology Reports
      • Oncology Reports
      • Information for Authors
      • Editorial Policies
      • Editorial Board
      • Aims and Scope
      • Abstracting and Indexing
      • Bibliographic Information
      • Archive
    • Molecular Medicine Reports
      • Molecular Medicine Reports
      • Information for Authors
      • Editorial Policies
      • Editorial Board
      • Aims and Scope
      • Abstracting and Indexing
      • Bibliographic Information
      • Archive
    • World Academy of Sciences Journal
      • World Academy of Sciences Journal
      • Information for Authors
      • Editorial Policies
      • Editorial Board
      • Aims and Scope
      • Abstracting and Indexing
      • Bibliographic Information
      • Archive
    • International Journal of Functional Nutrition
      • International Journal of Functional Nutrition
      • Information for Authors
      • Editorial Policies
      • Editorial Board
      • Aims and Scope
      • Abstracting and Indexing
      • Bibliographic Information
      • Archive
    • International Journal of Epigenetics
      • International Journal of Epigenetics
      • Information for Authors
      • Editorial Policies
      • Editorial Board
      • Aims and Scope
      • Abstracting and Indexing
      • Bibliographic Information
      • Archive
    • Medicine International
      • Medicine International
      • Information for Authors
      • Editorial Policies
      • Editorial Board
      • Aims and Scope
      • Abstracting and Indexing
      • Bibliographic Information
      • Archive
  • Articles
  • Information
    • Information for Authors
    • Information for Reviewers
    • Information for Librarians
    • Information for Advertisers
    • Conferences
  • Language Editing
Spandidos Publications Logo
  • About
    • About Spandidos
    • Aims and Scopes
    • Abstracting and Indexing
    • Editorial Policies
    • Reprints and Permissions
    • Job Opportunities
    • Terms and Conditions
    • Contact
  • Journals
    • All Journals
    • Biomedical Reports
      • Information for Authors
      • Editorial Policies
      • Editorial Board
      • Aims and Scope
      • Abstracting and Indexing
      • Bibliographic Information
      • Archive
    • Experimental and Therapeutic Medicine
      • Information for Authors
      • Editorial Policies
      • Editorial Board
      • Aims and Scope
      • Abstracting and Indexing
      • Bibliographic Information
      • Archive
    • International Journal of Epigenetics
      • Information for Authors
      • Editorial Policies
      • Editorial Board
      • Aims and Scope
      • Abstracting and Indexing
      • Bibliographic Information
      • Archive
    • International Journal of Functional Nutrition
      • Information for Authors
      • Editorial Policies
      • Editorial Board
      • Aims and Scope
      • Abstracting and Indexing
      • Bibliographic Information
      • Archive
    • International Journal of Molecular Medicine
      • Information for Authors
      • Editorial Policies
      • Editorial Board
      • Aims and Scope
      • Abstracting and Indexing
      • Bibliographic Information
      • Archive
    • International Journal of Oncology
      • Information for Authors
      • Editorial Policies
      • Editorial Board
      • Aims and Scope
      • Abstracting and Indexing
      • Bibliographic Information
      • Archive
    • Medicine International
      • Information for Authors
      • Editorial Policies
      • Editorial Board
      • Aims and Scope
      • Abstracting and Indexing
      • Bibliographic Information
      • Archive
    • Molecular and Clinical Oncology
      • Information for Authors
      • Editorial Policies
      • Editorial Board
      • Aims and Scope
      • Abstracting and Indexing
      • Bibliographic Information
      • Archive
    • Molecular Medicine Reports
      • Information for Authors
      • Editorial Policies
      • Editorial Board
      • Aims and Scope
      • Abstracting and Indexing
      • Bibliographic Information
      • Archive
    • Oncology Letters
      • Information for Authors
      • Editorial Policies
      • Editorial Board
      • Aims and Scope
      • Abstracting and Indexing
      • Bibliographic Information
      • Archive
    • Oncology Reports
      • Information for Authors
      • Editorial Policies
      • Editorial Board
      • Aims and Scope
      • Abstracting and Indexing
      • Bibliographic Information
      • Archive
    • World Academy of Sciences Journal
      • Information for Authors
      • Editorial Policies
      • Editorial Board
      • Aims and Scope
      • Abstracting and Indexing
      • Bibliographic Information
      • Archive
  • Articles
  • Information
    • For Authors
    • For Reviewers
    • For Librarians
    • For Advertisers
    • Conferences
  • Language Editing
Login Register Submit
  • This site uses cookies
  • You can change your cookie settings at any time by following the instructions in our Cookie Policy. To find out more, you may read our Privacy Policy.

    I agree
Search articles by DOI, keyword, author or affiliation
Search
Advanced Search
presentation
Oncology Letters
Join Editorial Board Propose a Special Issue
Print ISSN: 1792-1074 Online ISSN: 1792-1082
Journal Cover
April-2015 Volume 9 Issue 4

Full Size Image

Sign up for eToc alerts
Recommend to Library

Journals

International Journal of Molecular Medicine

International Journal of Molecular Medicine

International Journal of Molecular Medicine is an international journal devoted to molecular mechanisms of human disease.

International Journal of Oncology

International Journal of Oncology

International Journal of Oncology is an international journal devoted to oncology research and cancer treatment.

Molecular Medicine Reports

Molecular Medicine Reports

Covers molecular medicine topics such as pharmacology, pathology, genetics, neuroscience, infectious diseases, molecular cardiology, and molecular surgery.

Oncology Reports

Oncology Reports

Oncology Reports is an international journal devoted to fundamental and applied research in Oncology.

Experimental and Therapeutic Medicine

Experimental and Therapeutic Medicine

Experimental and Therapeutic Medicine is an international journal devoted to laboratory and clinical medicine.

Oncology Letters

Oncology Letters

Oncology Letters is an international journal devoted to Experimental and Clinical Oncology.

Biomedical Reports

Biomedical Reports

Explores a wide range of biological and medical fields, including pharmacology, genetics, microbiology, neuroscience, and molecular cardiology.

Molecular and Clinical Oncology

Molecular and Clinical Oncology

International journal addressing all aspects of oncology research, from tumorigenesis and oncogenes to chemotherapy and metastasis.

World Academy of Sciences Journal

World Academy of Sciences Journal

Multidisciplinary open-access journal spanning biochemistry, genetics, neuroscience, environmental health, and synthetic biology.

International Journal of Functional Nutrition

International Journal of Functional Nutrition

Open-access journal combining biochemistry, pharmacology, immunology, and genetics to advance health through functional nutrition.

International Journal of Epigenetics

International Journal of Epigenetics

Publishes open-access research on using epigenetics to advance understanding and treatment of human disease.

Medicine International

Medicine International

An International Open Access Journal Devoted to General Medicine.

Journal Cover
April-2015 Volume 9 Issue 4

Full Size Image

Sign up for eToc alerts
Recommend to Library

  • Article
  • Citations
    • Cite This Article
    • Download Citation
    • Create Citation Alert
    • Remove Citation Alert
    • Cited By
  • Similar Articles
    • Related Articles (in Spandidos Publications)
    • Similar Articles (Google Scholar)
    • Similar Articles (PubMed)
  • Download PDF
  • Download XML
  • View XML
Case Report Open Access

Stereotactic aspiration combined with gamma knife radiosurgery for the treatment of cystic brainstem metastasis originating from lung adenosquamous carcinoma: A case report

  • Authors:
    • Chao Du
    • Zhaohui Li
    • Zhijia Wang
    • Liping Wang
    • Yu Tian
  • View Affiliations / Copyright

    Affiliations: Department of Neurosurgery, China‑Japan Union Hospital of Jilin University, Changchun, Jilin 130033, P.R. China, Department of Radiology, China‑Japan Union Hospital of Jilin University, Changchun, Jilin 130033, P.R. China, Department of Pathology, China‑Japan Union Hospital of Jilin University, Changchun, Jilin 130033, P.R. China
    Copyright: © Du et al. This is an open access article distributed under the terms of Creative Commons Attribution License.
  • Pages: 1607-1613
    |
    Published online on: February 16, 2015
       https://doi.org/10.3892/ol.2015.2968
  • Expand metrics +
Metrics: Total Views: 0 (Spandidos Publications: | PMC Statistics: )
Metrics: Total PDF Downloads: 0 (Spandidos Publications: | PMC Statistics: )
Cited By (CrossRef): 0 citations Loading Articles...

This article is mentioned in:



Abstract

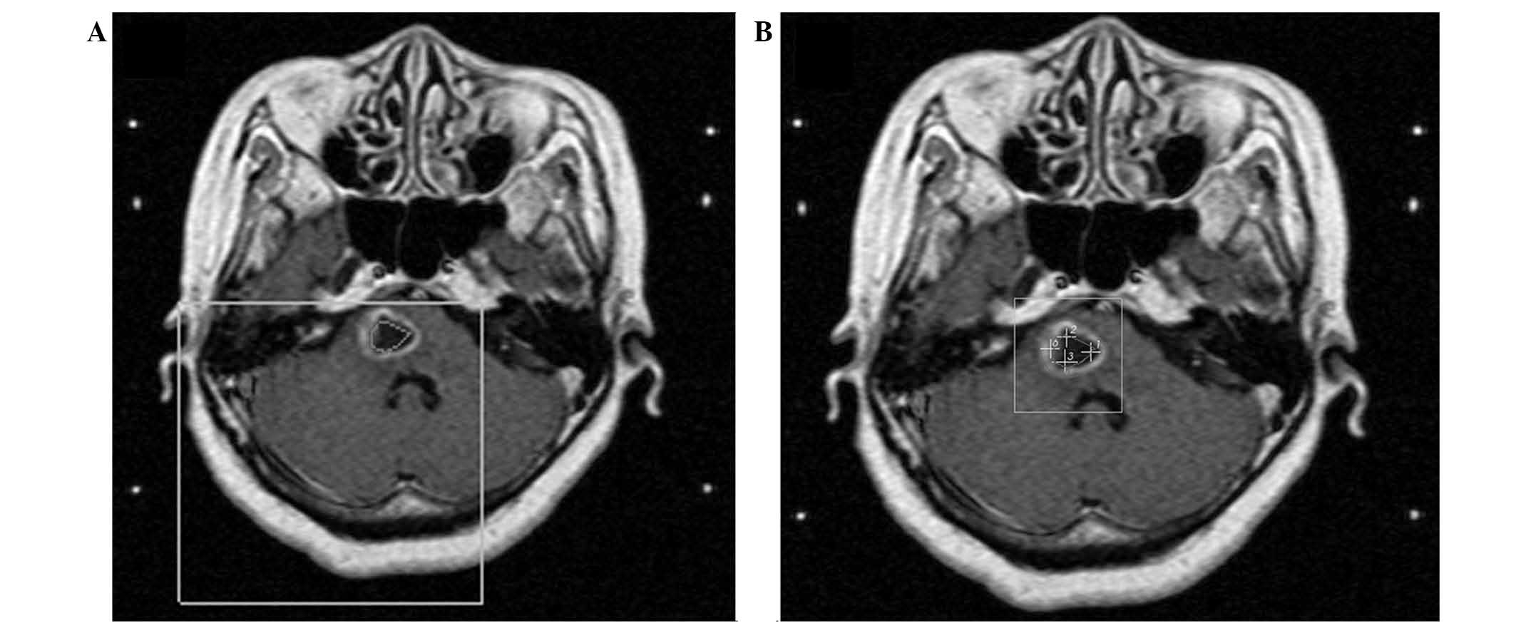
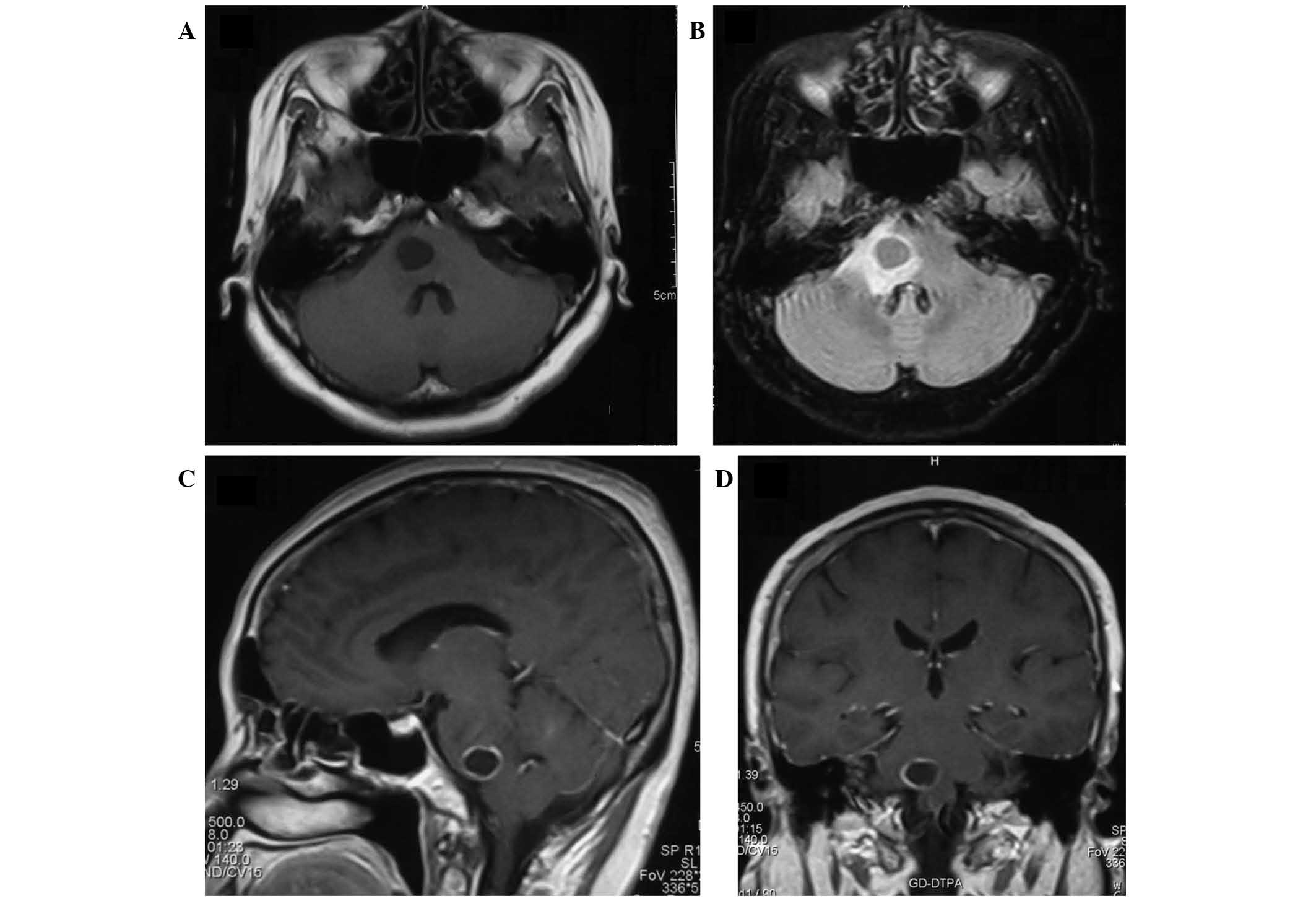
Brainstem metastases have a poor prognosis and are difficult to manage. The present study describes the first case of histopathologically‑confirmed brainstem metastasis originating from lung adenosquamous carcinoma, and discusses the outcomes of treatment by stereotactic aspiration combined with gamma knife radiosurgery (GKRS). A 59‑year‑old female presented with a cystic mass (15x12x13 mm; volume, 1.3 cm3) located in the pons, two years following surgical treatment for adenosquamous carcinoma of the lung. The patient received initial GKRS for the lesion in the pons with a total dose of 54.0 Gy, however, the volume of the mass subsequently increased to 3.9 cm3 over a period of three months. Computed tomography‑guided stereotactic biopsy and aspiration of the intratumoral cyst were performed, yielding 2.0 cm3 of yellow‑white fluid. Histology confirmed the diagnosis of adenosquamous carcinoma. Aspiration provided immediate symptomatic relief, and was followed one week later by repeat GKRS with a dose of 12.0 Gy. The patient survived for 12 months following the repeat GKRS; however, later succumbed to the disease after lapsing into a two‑week coma. The findings of this case suggest that stereotactic aspiration of cysts may improve the effects of GKRS for the treatment of cystic brainstem metastasis; the decrease in tumor volume allowed a higher radiation dose to be administered with a lower risk of radiation‑induced side effects. Therefore, stereotactic aspiration combined with GKRS may be an effective treatment for brainstem metastasis originating from adenosquamous carcinoma.
View Figures

Figure 1

Figure 2

Figure 3

Figure 4

Figure 5

Figure 6

Figure 7

View References

1 

Lamm AF, Elaimy AL, Lamoreaux WT, et al: A review of the clinical outcomes for patients diagnosed with brainstem metastasis and treated with stereotactic radiosurgery. ISRN Surg. 2013:6528952013. View Article : Google Scholar : PubMed/NCBI

2 

Huang CF, Kondziolka D, Flickinger JC and Lunsford LD: Stereotactic radiosurgery for brain stem metastases. J Neurosurg. 91:563–568. 1999. View Article : Google Scholar : PubMed/NCBI

3 

Shuto T, Fujino H, Asada H, et al: Gamma knife radiosurgery for metastatic tumours in the brain stem. Acta Neurochir (Wien). 145:755–760. 2003. View Article : Google Scholar

4 

Fuentes S, Delsanti C, Metellus P, et al: Brain stem metastases: management using gamma knife radiosurgery. Neurosurgery. 58:37–42. 2006. View Article : Google Scholar

5 

Yen CP, Sheehan J, Patterson G and Steiner L: Gamma knife surgery for metastatic brain stem tumors. J Neurosurg. 105:213–219. 2006. View Article : Google Scholar

6 

Hussain A, Brown PD, Stafford SL and Pollock BE: Stereotactic radiosurgery for brain stem metastases: Survival, tumor control, and patient outcomes. Int J Radiat Oncol Bio Phys. 67:521–524. 2007. View Article : Google Scholar

7 

Kased N, Huang K, Nakamura JL, et al: Gamma knife radiosurgery for brainstem metastases: the UCSF experience. J Neurooncol. 86:195–205. 2008. View Article : Google Scholar

8 

Lorenzoni JG, Devriendt D, Massager N, et al: Brain stem metastases treated with radiosurgery: prognostic factors of survival and life expectancy estimation. Surg Neurol. 71:188–196. 2009. View Article : Google Scholar

9 

Samblás JM, Sallabanda K, Bustos JC, et al: Radiosurgery and whole brain therapy in the treatment of brainstem metastases. Clinical Transl Oncol. 11:677–680. 2009. View Article : Google Scholar

10 

Koyfman SA, Tendulkar RD, Chao ST, et al: Stereotactic radiosurgery for single brainstem metastases: the cleveland clinic experience. Int J Radiat Oncol Bio Phys. 78:409–414. 2010. View Article : Google Scholar

11 

Yoo TW, Park ES, Kwon do H and Kim CJ: Gamma knife radiosurgery for brainstem metastases. J Korean Neurosurg Soc. 50:299–303. 2011. View Article : Google Scholar : PubMed/NCBI

12 

Hatiboglu MA, Chang EL, Suki D, et al: Outcomes and prognostic factors for patients with brainstem metastases undergoing stereotactic radiosurgery. Neurosurgery. 69:796–806. 2011. View Article : Google Scholar : PubMed/NCBI

13 

Valery CA, Boskos C, Boisserie G, et al: Minimized doses for linear accelerator radiosurgery of brainstem metastasis. Int J Radiat Oncol Biol Phys. 80:362–368. 2011. View Article : Google Scholar

14 

Kelly PJ, Lin YB, Yu AY, et al: Linear accelerator-based stereotactic radiosurgery for brainstem metastases: the Dana-Farber/Brigham and Women’s Cancer Center experience. J Neurooncol. 104:553–557. 2011. View Article : Google Scholar : PubMed/NCBI

15 

Li Y, Xu D, Zhang Z, et al: Gamma knife surgery for brainstem metastases. J Neurosurg. 117:13–16. 2012.PubMed/NCBI

16 

Kawabe T, Yamamoto M, Sato Y, et al: Gamma Knife surgery for patients with brainstem metastases. J Neurosurg. 117:23–30. 2012.PubMed/NCBI

17 

Lin CS, Selch MT, Lee SP, et al: Accelerator-based stereotactic radiosurgery for brainstem metastases. Neurosurgery. 70:953–958. 2012. View Article : Google Scholar

18 

Sengöz M, Kabalay IA, Tezcanlı E, Peker S and Pamir N: Treatment of brainstem metastases with gamma-knife radiosurgery. J Neurooncol. 113:33–38. 2013. View Article : Google Scholar : PubMed/NCBI

19 

Jung EW, Rakowski JT, Delly F, et al: Gamma Knife radiosurgery in the management of brainstem metastases. Clin Neurol Neurosurg. 115:2023–2028. 2013. View Article : Google Scholar : PubMed/NCBI

20 

Kilburn JM, Ellis TL, Lovato JF, et al: Local control and toxicity outcomes in brainstem metastases treated with single fraction radiosurgery: is there a volume threshold for toxicity? J Neurooncol. 117:167–174. 2014. View Article : Google Scholar : PubMed/NCBI

21 

Peterson HE, Larson EW, Fairbanks RK, et al: Gamma knife treatment of brainstem metastases. Int J Mol Sci. 15:9748–9761. 2014. View Article : Google Scholar : PubMed/NCBI

22 

Maranzano E, Trippa F, Pacchiarini D, et al: Re-irradiation of brain metastases and metastatic spinal cord compression: clinical practice suggestions. Tumori. 91:325–330. 2005.PubMed/NCBI

23 

Server A, Josefsen R, Kulle B, et al: Proton magnetic resonance spectroscopy in the distinction of high-grade cerebral gliomas from single metastatic brain tumors. Acta Radiol. 51:316–325. 2010. View Article : Google Scholar : PubMed/NCBI

24 

Lü Y, Li C, Liu M, et al: MRI-guided stereotactic aspiration of brain abscesses by use of an optical tracking navigation system. Acta Radiol. 55:121–128. 2014. View Article : Google Scholar

25 

Hofmann BM, Höllig A, Strauss C, Buslei R, Buchfelder M and Fahlbusch R: Results after treatment of craniopharyngiomas: further experiences with 73 patients since 1997. J Neurosurg. 116:373–384. 2012. View Article : Google Scholar

26 

Higuchi F, Kawamoto S, Abe Y, Kim P and Ueki K: Effectiveness of a 1-day aspiration plus Gamma Knife surgery procedure for metastatic brain tumor with a cystic component. J Neurosurg. 117:17–22. 2012.PubMed/NCBI

27 

Kim IY, Yun SJ, Lee JS, et al: Brain metastasis from extramammary Paget’s disease of the scrotum. J Clin Neurosci. 21:694–696. 2014. View Article : Google Scholar

28 

Park WH, Jang IS, Kim CJ and Kwon do H: Gamma knife radiosurgery after stereotactic aspiration for large cystic brain metastases. J Korean Neurosurg Soc. 46:360–364. 2009. View Article : Google Scholar : PubMed/NCBI

29 

Aung TH, Kwok CK, Mark YF and Mark EG: Computed tomography-guided stereotactic aspiration and biopsy of a cystic metastatic adenocarcinoma of the pons. Hong Kong Med J. 3:232–235. 1997.PubMed/NCBI

30 

Matsumoto K, Tada E, Tamesa N, Tomita S and Ohmoto T: Stereotactic brachytherapy for a cystic metastatic brain tumor in the midbrain. Case report. J Neurosurg. 88:141–144. 1998. View Article : Google Scholar : PubMed/NCBI

31 

Zhao X, Du C and Tian Y: Results Of Repeat Gamma Knife Treatment: Stereotactic Aspiration Surgery Can Improve the Effect of Gamma Knife Treatment for Cystic Small Brainstem Glioma: Case Report. Neurosurgery Quarterly. 22:22–25. 2012. View Article : Google Scholar

32 

Nakagawa K, Yasumitu T, Fukuhara K, Shiono H and Kikui M: Poor prognosis after lung resection for patients with adenosquamous carcinoma of the lung. Ann Thorac Surg. 75:1740–1744. 2003. View Article : Google Scholar : PubMed/NCBI

33 

Gawrychowski J, Bruliński K, Malinowski E and Papla B: Prognosis and survival after radical resection of primary adenosquamous lung carcinoma. Eur J Cardiothorac Surg. 27:686–692. 2005. View Article : Google Scholar : PubMed/NCBI

34 

Cooke DT, Nguyen DV, Yang Y, et al: Survival comparison of adenosquamous, squamous cell and adenocarcinoma of the lung after lobectomy. Ann Thorac Surg. 90:943–948. 2010. View Article : Google Scholar : PubMed/NCBI

35 

Filosso PL, Ruffini E, Asioli S, et al: Adenosquamous lung carcinomas: a histologic subtype with poor prognosis. Lung Cancer. 74:25–29. 2011. View Article : Google Scholar : PubMed/NCBI

Related Articles

  • Abstract
  • View
  • Download
  • Twitter
Copy and paste a formatted citation
Spandidos Publications style
Du C, Li Z, Wang Z, Wang L and Tian Y: Stereotactic aspiration combined with gamma knife radiosurgery for the treatment of cystic brainstem metastasis originating from lung adenosquamous carcinoma: A case report. Oncol Lett 9: 1607-1613, 2015.
APA
Du, C., Li, Z., Wang, Z., Wang, L., & Tian, Y. (2015). Stereotactic aspiration combined with gamma knife radiosurgery for the treatment of cystic brainstem metastasis originating from lung adenosquamous carcinoma: A case report. Oncology Letters, 9, 1607-1613. https://doi.org/10.3892/ol.2015.2968
MLA
Du, C., Li, Z., Wang, Z., Wang, L., Tian, Y."Stereotactic aspiration combined with gamma knife radiosurgery for the treatment of cystic brainstem metastasis originating from lung adenosquamous carcinoma: A case report". Oncology Letters 9.4 (2015): 1607-1613.
Chicago
Du, C., Li, Z., Wang, Z., Wang, L., Tian, Y."Stereotactic aspiration combined with gamma knife radiosurgery for the treatment of cystic brainstem metastasis originating from lung adenosquamous carcinoma: A case report". Oncology Letters 9, no. 4 (2015): 1607-1613. https://doi.org/10.3892/ol.2015.2968
Copy and paste a formatted citation
x
Spandidos Publications style
Du C, Li Z, Wang Z, Wang L and Tian Y: Stereotactic aspiration combined with gamma knife radiosurgery for the treatment of cystic brainstem metastasis originating from lung adenosquamous carcinoma: A case report. Oncol Lett 9: 1607-1613, 2015.
APA
Du, C., Li, Z., Wang, Z., Wang, L., & Tian, Y. (2015). Stereotactic aspiration combined with gamma knife radiosurgery for the treatment of cystic brainstem metastasis originating from lung adenosquamous carcinoma: A case report. Oncology Letters, 9, 1607-1613. https://doi.org/10.3892/ol.2015.2968
MLA
Du, C., Li, Z., Wang, Z., Wang, L., Tian, Y."Stereotactic aspiration combined with gamma knife radiosurgery for the treatment of cystic brainstem metastasis originating from lung adenosquamous carcinoma: A case report". Oncology Letters 9.4 (2015): 1607-1613.
Chicago
Du, C., Li, Z., Wang, Z., Wang, L., Tian, Y."Stereotactic aspiration combined with gamma knife radiosurgery for the treatment of cystic brainstem metastasis originating from lung adenosquamous carcinoma: A case report". Oncology Letters 9, no. 4 (2015): 1607-1613. https://doi.org/10.3892/ol.2015.2968
Follow us
  • Twitter
  • LinkedIn
  • Facebook
About
  • Spandidos Publications
  • Careers
  • Cookie Policy
  • Privacy Policy
How can we help?
  • Help
  • Live Chat
  • Contact
  • Email to our Support Team