Spandidos Publications Logo
  • About
    • About Spandidos
    • Aims and Scopes
    • Abstracting and Indexing
    • Editorial Policies
    • Reprints and Permissions
    • Job Opportunities
    • Terms and Conditions
    • Contact
  • Journals
    • All Journals
    • Oncology Letters
      • Oncology Letters
      • Information for Authors
      • Editorial Policies
      • Editorial Board
      • Aims and Scope
      • Abstracting and Indexing
      • Bibliographic Information
      • Archive
    • International Journal of Oncology
      • International Journal of Oncology
      • Information for Authors
      • Editorial Policies
      • Editorial Board
      • Aims and Scope
      • Abstracting and Indexing
      • Bibliographic Information
      • Archive
    • Molecular and Clinical Oncology
      • Molecular and Clinical Oncology
      • Information for Authors
      • Editorial Policies
      • Editorial Board
      • Aims and Scope
      • Abstracting and Indexing
      • Bibliographic Information
      • Archive
    • Experimental and Therapeutic Medicine
      • Experimental and Therapeutic Medicine
      • Information for Authors
      • Editorial Policies
      • Editorial Board
      • Aims and Scope
      • Abstracting and Indexing
      • Bibliographic Information
      • Archive
    • International Journal of Molecular Medicine
      • International Journal of Molecular Medicine
      • Information for Authors
      • Editorial Policies
      • Editorial Board
      • Aims and Scope
      • Abstracting and Indexing
      • Bibliographic Information
      • Archive
    • Biomedical Reports
      • Biomedical Reports
      • Information for Authors
      • Editorial Policies
      • Editorial Board
      • Aims and Scope
      • Abstracting and Indexing
      • Bibliographic Information
      • Archive
    • Oncology Reports
      • Oncology Reports
      • Information for Authors
      • Editorial Policies
      • Editorial Board
      • Aims and Scope
      • Abstracting and Indexing
      • Bibliographic Information
      • Archive
    • Molecular Medicine Reports
      • Molecular Medicine Reports
      • Information for Authors
      • Editorial Policies
      • Editorial Board
      • Aims and Scope
      • Abstracting and Indexing
      • Bibliographic Information
      • Archive
    • World Academy of Sciences Journal
      • World Academy of Sciences Journal
      • Information for Authors
      • Editorial Policies
      • Editorial Board
      • Aims and Scope
      • Abstracting and Indexing
      • Bibliographic Information
      • Archive
    • International Journal of Functional Nutrition
      • International Journal of Functional Nutrition
      • Information for Authors
      • Editorial Policies
      • Editorial Board
      • Aims and Scope
      • Abstracting and Indexing
      • Bibliographic Information
      • Archive
    • International Journal of Epigenetics
      • International Journal of Epigenetics
      • Information for Authors
      • Editorial Policies
      • Editorial Board
      • Aims and Scope
      • Abstracting and Indexing
      • Bibliographic Information
      • Archive
    • Medicine International
      • Medicine International
      • Information for Authors
      • Editorial Policies
      • Editorial Board
      • Aims and Scope
      • Abstracting and Indexing
      • Bibliographic Information
      • Archive
  • Articles
  • Information
    • Information for Authors
    • Information for Reviewers
    • Information for Librarians
    • Information for Advertisers
    • Conferences
  • Language Editing
Spandidos Publications Logo
  • About
    • About Spandidos
    • Aims and Scopes
    • Abstracting and Indexing
    • Editorial Policies
    • Reprints and Permissions
    • Job Opportunities
    • Terms and Conditions
    • Contact
  • Journals
    • All Journals
    • Biomedical Reports
      • Information for Authors
      • Editorial Policies
      • Editorial Board
      • Aims and Scope
      • Abstracting and Indexing
      • Bibliographic Information
      • Archive
    • Experimental and Therapeutic Medicine
      • Information for Authors
      • Editorial Policies
      • Editorial Board
      • Aims and Scope
      • Abstracting and Indexing
      • Bibliographic Information
      • Archive
    • International Journal of Epigenetics
      • Information for Authors
      • Editorial Policies
      • Editorial Board
      • Aims and Scope
      • Abstracting and Indexing
      • Bibliographic Information
      • Archive
    • International Journal of Functional Nutrition
      • Information for Authors
      • Editorial Policies
      • Editorial Board
      • Aims and Scope
      • Abstracting and Indexing
      • Bibliographic Information
      • Archive
    • International Journal of Molecular Medicine
      • Information for Authors
      • Editorial Policies
      • Editorial Board
      • Aims and Scope
      • Abstracting and Indexing
      • Bibliographic Information
      • Archive
    • International Journal of Oncology
      • Information for Authors
      • Editorial Policies
      • Editorial Board
      • Aims and Scope
      • Abstracting and Indexing
      • Bibliographic Information
      • Archive
    • Medicine International
      • Information for Authors
      • Editorial Policies
      • Editorial Board
      • Aims and Scope
      • Abstracting and Indexing
      • Bibliographic Information
      • Archive
    • Molecular and Clinical Oncology
      • Information for Authors
      • Editorial Policies
      • Editorial Board
      • Aims and Scope
      • Abstracting and Indexing
      • Bibliographic Information
      • Archive
    • Molecular Medicine Reports
      • Information for Authors
      • Editorial Policies
      • Editorial Board
      • Aims and Scope
      • Abstracting and Indexing
      • Bibliographic Information
      • Archive
    • Oncology Letters
      • Information for Authors
      • Editorial Policies
      • Editorial Board
      • Aims and Scope
      • Abstracting and Indexing
      • Bibliographic Information
      • Archive
    • Oncology Reports
      • Information for Authors
      • Editorial Policies
      • Editorial Board
      • Aims and Scope
      • Abstracting and Indexing
      • Bibliographic Information
      • Archive
    • World Academy of Sciences Journal
      • Information for Authors
      • Editorial Policies
      • Editorial Board
      • Aims and Scope
      • Abstracting and Indexing
      • Bibliographic Information
      • Archive
  • Articles
  • Information
    • For Authors
    • For Reviewers
    • For Librarians
    • For Advertisers
    • Conferences
  • Language Editing
Login Register Submit
  • This site uses cookies
  • You can change your cookie settings at any time by following the instructions in our Cookie Policy. To find out more, you may read our Privacy Policy.

    I agree
Search articles by DOI, keyword, author or affiliation
Search
Advanced Search
presentation
Oncology Letters
Join Editorial Board Propose a Special Issue
Print ISSN: 1792-1074 Online ISSN: 1792-1082
Journal Cover
August-2015 Volume 10 Issue 2

Full Size Image

Sign up for eToc alerts
Recommend to Library

Journals

International Journal of Molecular Medicine

International Journal of Molecular Medicine

International Journal of Molecular Medicine is an international journal devoted to molecular mechanisms of human disease.

International Journal of Oncology

International Journal of Oncology

International Journal of Oncology is an international journal devoted to oncology research and cancer treatment.

Molecular Medicine Reports

Molecular Medicine Reports

Covers molecular medicine topics such as pharmacology, pathology, genetics, neuroscience, infectious diseases, molecular cardiology, and molecular surgery.

Oncology Reports

Oncology Reports

Oncology Reports is an international journal devoted to fundamental and applied research in Oncology.

Experimental and Therapeutic Medicine

Experimental and Therapeutic Medicine

Experimental and Therapeutic Medicine is an international journal devoted to laboratory and clinical medicine.

Oncology Letters

Oncology Letters

Oncology Letters is an international journal devoted to Experimental and Clinical Oncology.

Biomedical Reports

Biomedical Reports

Explores a wide range of biological and medical fields, including pharmacology, genetics, microbiology, neuroscience, and molecular cardiology.

Molecular and Clinical Oncology

Molecular and Clinical Oncology

International journal addressing all aspects of oncology research, from tumorigenesis and oncogenes to chemotherapy and metastasis.

World Academy of Sciences Journal

World Academy of Sciences Journal

Multidisciplinary open-access journal spanning biochemistry, genetics, neuroscience, environmental health, and synthetic biology.

International Journal of Functional Nutrition

International Journal of Functional Nutrition

Open-access journal combining biochemistry, pharmacology, immunology, and genetics to advance health through functional nutrition.

International Journal of Epigenetics

International Journal of Epigenetics

Publishes open-access research on using epigenetics to advance understanding and treatment of human disease.

Medicine International

Medicine International

An International Open Access Journal Devoted to General Medicine.

Journal Cover
August-2015 Volume 10 Issue 2

Full Size Image

Sign up for eToc alerts
Recommend to Library

  • Article
  • Citations
    • Cite This Article
    • Download Citation
    • Create Citation Alert
    • Remove Citation Alert
    • Cited By
  • Similar Articles
    • Related Articles (in Spandidos Publications)
    • Similar Articles (Google Scholar)
    • Similar Articles (PubMed)
  • Download PDF
  • Download XML
  • View XML
Article

Nestin expression as an independent indicator of poor prognosis for patients with anaplastic thyroid cancer

  • Authors:
    • Kento Kurata
    • Naoyoshi Onoda
    • Satoru Noda
    • Shinichiro Kashiwagi
    • Yuka Asano
    • Hidemi Kawajiri
    • Tsutomu Takashima
    • Sayaka Tanaka
    • Masahiko Ohsawa
    • Kosei Hirakawa
  • View Affiliations / Copyright

    Affiliations: Department of Surgical Oncology, Osaka City University Graduate School of Medicine, Osaka 545‑8585, Japan, Department of Diagnostic Pathology, Osaka City University Graduate School of Medicine, Osaka 545‑8585, Japan
  • Pages: 850-856
    |
    Published online on: June 11, 2015
       https://doi.org/10.3892/ol.2015.3366
  • Expand metrics +
Metrics: Total Views: 0 (Spandidos Publications: | PMC Statistics: )
Metrics: Total PDF Downloads: 0 (Spandidos Publications: | PMC Statistics: )
Cited By (CrossRef): 0 citations Loading Articles...

This article is mentioned in:



Abstract

The protein nestin, a neuronal stem cell marker, has been reported to indicate a poor prognosis in various tumours. Anaplastic thyroid cancer (ATC) is one of the most aggressive malignancies in humans, and its molecular background has not been identified. The present study evaluated the expression of nestin and its significance in ATC. Tissue samples from 23 patients with ATC were subjected to immunohistochemical staining and the staining intensity of nestin in the cytoplasm was evaluated. The expression of nestin in the tumour cytoplasm was confirmed in 6 of the 23 tissue samples (26.1%). Between the nestin‑positive group (n=6) and the nestin‑negative group (n=17), there were no significant differences in the clinicopathological factors of the patients. However, the nestin‑positive group exhibited significantly worse prognoses than the nestin‑negative group (median survival time, 86.5 vs. 306 days; P<0.01, log‑rank test). The multivariate analysis indicated that nestin expression was a prognostic indicator for the ATC patients (hazard ratio, 5.59; 95% confidence interval, 1.63‑19.50; P<0.01), which is independent of the known clinical indicators. Nestin expression has the potential to be an independent indicator of a poor prognosis for patients with ATC.

Introduction

Nestin, a 200-220-kDa intermediate filament protein, is considered to be a neuronal stem cell marker. Nestin has been shown to be expressed in newly formed blood vessels and tumour cells in various neoplasms, including glioblastoma, and prostate, pancreatic, lung, colorectal and breast cancer (1–6). The expression of nestin indicates a poor prognosis in patients with colorectal cancer and prostate cancer, where nestin expression is found not in the cancer cells, but rather in the vascular endothelial cells, suggesting one or more significant roles of nestin in tumour neovascularization (2,5).

By contrast, the expression of nestin has been confirmed in the tumour cytoplasm and vessel endothelial cells in glioblastoma (7,8). Liu et al reported that nestin was strongly expressed in two anaplastic thyroid cancer (ATC) tissues, accompanied with areas of nestin-negative differentiated thyroid cancer within the same samples. The study suggested that the expression of nestin with a concomitant loss of E-cadherin was associated with the stemness phenotype of ATC (9). To the best of our knowledge, the prevalence and clinical significance of nestin expression in ATC have not been reported.

ATC is characterized by its extremely rapid progression and extremely poor prognosis. Curative surgery is rare, as patients with ATC often demonstrate advanced-stage disease and multiple distant metastases even at the initial presentation. External beam radiotherapy (EBRT) may be able to temporarily improve the local disease, but the majority of ATC patients eventually suffer from rapid local recurrence (10). ATC treatment with chemotherapy is not standardized and has shown only limited efficacy (11). It is thus of utmost importance to identify the ATC patients for whom anticancer therapy can be effective and the optimal treatment strategy.

Several clinical findings have been reported as clinical indicators of prognosis in ATC patients, including acute progression of local symptoms, leukocytosis, distant metastasis and a tumour size >5 cm (12). A biomarker that can indicate the prognosis of ATC has not been reported. In the present study, clinically obtained samples were used and the association between nestin expression and clinical characteristics, including the prognosis in patients with ATC, were evaluated in an attempt to reveal the significance of nestin expression.

Materials and methods

Patients

A total of 23 patients (12 males and 11 females) who were diagnosed with ATC histologically between 1997 and 2013 at Osaka City University Hospital (Osaka, Japan) were analyzed. The patient characteristics are shown in Table I. The median age of the patients was 73.0 years (range, 31–88 years). All but 1 patient succumbed due to ATC. The median follow-up period was 139 days, with a range of 10–1,901 days.

Table I.

Patient characteristics.

Table I.

Patient characteristics.

CharacteristicValue
Patients23
Gender
  Female11
  Male12
Age, years
  Median (range)73 (31–88)
  >7014
  ≤70  9
Maximal tumour diameter, cm
  Median (range)6 (2.5–10)
  >516
  ≤5  7
Lymph node metastasis
  Positive21
  Negative  2
Distant metastasis
  Positive14
  Negative  9
Acute symptoms
  Positive19
  Negative  4
White blood cell count
  >10,000  7
  ≤10,00016
Prognostic indexa
  0,1  4
  2,3,419
  Surgical treatment15
  Complete resection  7
  incomplete resection or inoperative16
Chemotherapy
  No  8
  Yes15
EBRT
  No10
  Yes13

{ label (or @symbol) needed for fn[@id='tfn1-ol-0-0-3366'] } All values are presented as the number of patients, with the exception of median age (years) and median maximal tumour diameter (cm).

a Presence of acute symptoms, a large tumour (>5 cm in diameter), distant metastasis and leukocytosis (>10,000/mm3) were reported as significant risk factors for poor prognosis, and the total number of those 4 factors were defined as the prognostic index (12). EBRT, external beam radiotherapy.

In total, 13 patients underwent EBRT with at least 20 Gy; 2 underwent EBRT only, 2 underwent EBRT and surgery, 3 received chemoradiation and surgery and 6 as part of chemoradiation therapy. Grossly complete resection (R0 or R1) was performed in 7 (47%) of the 15 patients who underwent surgery. In 15 patients, chemotherapy was conducted with EP, a protocol using a combination of etoposide and cisplatinum (6 patients) (13), and/or a taxane, either paclitaxel or docetaxel (11 patients; including overlap in protocols). Written informed consent was obtained from each patient, and the Osaka City University Hospital Institutional Ethics Committee approved the study protocol (#926).

Immunohistochemical staining

All tissues used in the present study were obtained by needle biopsy, surgery or autopsy. Tissue specimens were fixed in 10% neutral-buffered formalin immediately after resection and embedded in paraffin. Sections of paraffin-embedded tissue (4-µm thick) were prepared, and immunohistochemical staining for nestin was performed using the avidin-biotin-peroxidase complex method as previously described (14). Once the specimens were deparaffinized and hydrated, they were heated for 15 min at 105°C in Target Retrieval Solution (Dako, Carpinteria, CA, USA). The slides were incubated overnight at 4°C with anti-human nestin mouse monoclonal antibody (clone 10c2; dilution 1:50; Santa Cruz Biotechnology, Inc., Dallas, TX, USA). The immunoreaction was visualized using the Histofine Simple Stain™ MAX PO (M) kit (Nichirei Biosciences Inc., Tokyo, Japan).

The final evaluation of immunoreactivity was decided by two authors without knowledge of the patients' clinical characteristics. The staining intensity of newly formed blood vessels within the samples was regarded as an internal positive control. The cytoplasmic staining intensity of the cancer cells was evaluated as a specific reaction, and positive staining was defined when the specific immunoreaction was observed in ≥10% of the ATC cells. The micrograph images were captured with an Olympus BX43F microscope (Olympus, Tokyo, Japan).

Statistical analysis

All statistical analyses were performed using the SPSS software program (SPSS 17.0; SPSS, Chicago, IL, USA). Fisher's exact test was used to compare the prevalence or distribution of two variables. Survival data were estimated by the Kaplan-Meier method, and the log-rank test was used for the univariate survival analysis. The Cox proportional hazards model was used for the multivariate survival analysis. P<0.05 was considered to indicate a statistically significant difference.

Results

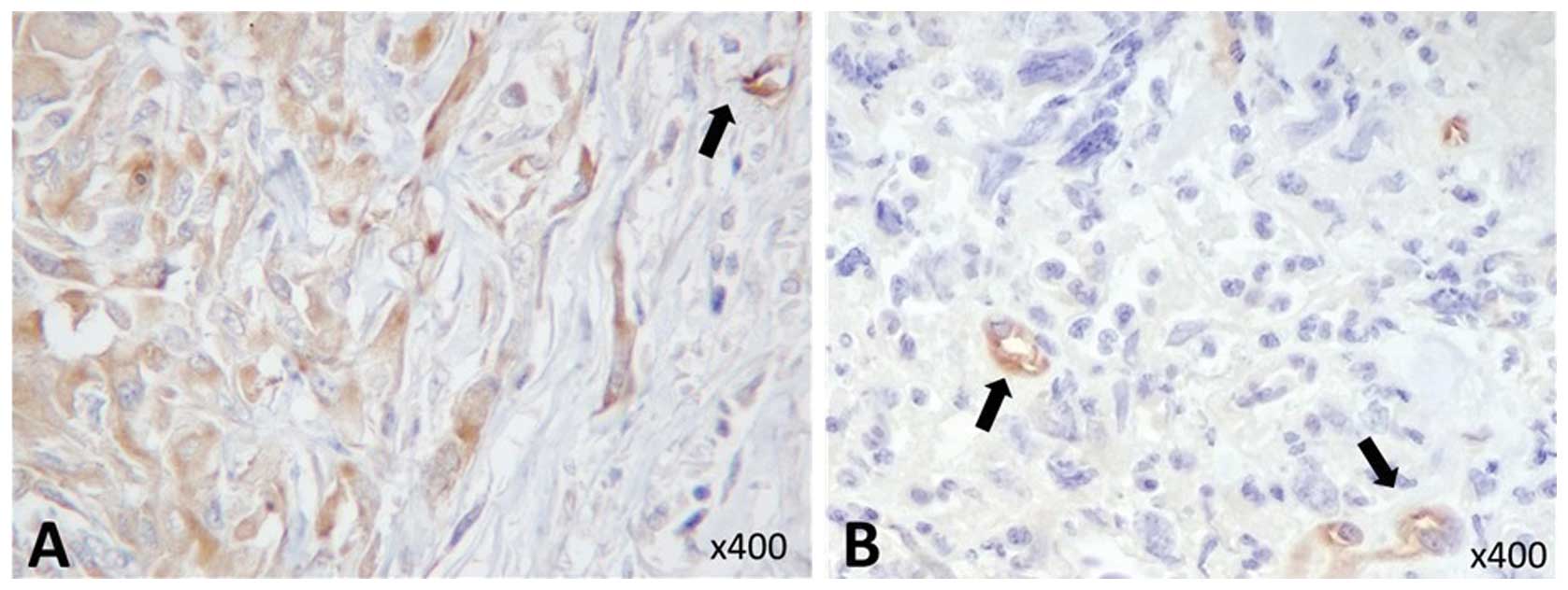
Representative images of ATC tissues showing positive or negative immunohistochemical staining for nestin are shown in Fig. 1. Overall, 6 of the 23 cases (26.1%) were judged to show positive staining. In those cases, cytoplasmic staining of nestin was observed in various populations of tumour cells, and was distributed partially or widely. Clear nestin expression was observed in the endothelial cells of the newly formed blood vessels, and was used as an internal positive control. The correlations between nestin expression and the clinical factors of the patients were also examined (Table II). Age, gender, tumour size, prevalence of lymph node metastasis and distant metastases were not found to be correlated with nestin expression in the tumours.

Figure 1.

Nestin expression in anaplastic thyroid cancer tissue. (A) Nestin was expressed in the cytoplasm of the cancer cells. The black arrow indicates a tumour blood vessel (positive internal control). Overall, sections from 6 cases showed positive staining in the tumour. (B) Nestin-negative tissue.

Table II.

Association between nestin expression and clinical factors.

Table II.

Association between nestin expression and clinical factors.

Nestin

CharacteristicPositiveNegativeP-value
Patients617
Gender
  Female4  70.371
  Male210
Age, years
  Median (range)66.5 (31–78)74 (57–88)
  >702120.162
  ≤704  5
Maximal tumour diameter, cm
  Median (range)4.5 (3.4–10)6.4 (2.5–10)
  >53130.319
  ≤53  4
Lymph node metastasis
  Positive6151.000
  Negative0  2
Distant metastasis
  Positive5  90.340
  Negative1  8
Acute symptoms
  Positive6  130.539
  Negative0  4
White blood cell count
  ≤10,0005  110.621
>10,0001  6
Prognostic index
  0,10  40.539
2,3,4613
Surgical treatment411
  Complete resection1  60.621
  Incomplete resection or inoperative511
Chemotherapy
  No2  61.000
  Yes4  11
EBRT
  No3  71.000
  Yes310

[i] All values are presented as the number of patients, with the exception of median age (years) and median maximal tumour diameter (cm). P-values were examined by Fisher's exact test. EBRT, external beam radiotherapy.

For ATC patients, it has been reported that the presence of acute symptoms, a large tumour (>5 cm in diameter), distant metastasis and leukocytosis (>10,000/mm3) are significant risk factors for poor prognosis, and that patients with less than one of these four factors experience better survival (12). In the present study, the number of these four factors was defined as the prognostic index (PI) according to the original report (12), and this was included as a clinical indicator of the prognosis.

The Kaplan-Meier plot of the overall survival of the ATC patients was determined according to the nestin expression status in their tumours (Fig. 2). The nestin-positive group (n=6) showed significantly poorer prognoses compared with the nestin-negative group (n=17) [median survival time (MST), 86.5 vs. 306 days; P<0.01].

Figure 2.

Kaplan-Meier plots of overall survival. Overall survival time was measured from the date of initial diagnosis. Patients with nestin-expressing tumours exhibited a significantly poorer prognosis than those without. HR, hazard ratio.

Univariate and multivariate analyses demonstrated that the patients with a nestin-expressing tumour or a high PI score exhibited significantly poorer prognoses compared with the patients without these factors (P=0.014; Table III). The multivariate analysis demonstrated that the nestin expression status in the tumour (P<0.01) and the PI of the patient (P<0.01) were mutually independent prognostic factors, indicating the molecular and clinical features of the ATC, respectively (Table IV).

Table III.

Correlation between prognosis and patient characteristics.

Table III.

Correlation between prognosis and patient characteristics.

FactorsnMedian survival (range), daysSurvival ≥180 days, n (%)P-value
Patients23139 (10–1901)9 (39.1)
Gender
  Female11175 (39–502)4 (36.4)1.000
  Male12130 (10–1901)5 (41.7)
Age, years
  >7014180 (21–1901)7 (50.0)0.228
  ≤70  988 (10–491)2 (22.2)
Maximal tumour diameter, cm
  >516157 (30–498)6 (37.5)1.000
≤5  7121 (10–1901)3 (42.9)
Lymph node metastasis
  Positive21132 (10–502)7 (33.3)0.142
  Negative  21042 (182–1901)2 (100.0)
Distant metastasis
  Positive14105 (10–1901)3 (21.4)0.077
  Negative  9320 (83–502)6 (66.7)
Acute symptoms
  Positive19129 (10–502)5 (26.3)0.014
  Negative  4422 (182–1901)4 (100.0)
White blood cell count
  >10,000  741 (10–1901)2 (28.6)0.657
  ≤10,00016177 (39–502)7 (43.8)
Prognostic index
  0,1  4422 (182–502)4 (100.0)0.014
  2,3,419129 (10–1901)5 (26.3)
Expression of nestin
  Positive  687 (10–175)0 (0.0)0.048
  Negative17306 (30–1901)9 (52.9)
Surgical treatment
  Complete resection  7382 (175–1901)6 (85.7)<0.010
  Incomplete resection or inoperative16105 (10–498)3 (18.8)
Chemotherapy
  No  8157 (10–502)2 (25.0)0.931
  Yes15132 (30–1901)7 (46.7)
EBRT
  No1362 (10–182)8 (61.5)0.029
  Yes10320 (85–1901)1 (10.0)

[i] P-values were examined by Fisher's exact test. EBRT, external beam radiotherapy.

Table IV.

Univariate and multivariate analysis of the factors affecting prognosis in anaplastic thyroid cancer.

Table IV.

Univariate and multivariate analysis of the factors affecting prognosis in anaplastic thyroid cancer.

Univariate analysisMultivariate analysis


FactorHR95% CIP-valueHR95% CIP-value
Nestin expression4.26   1.32–13.410.0175.591.63–19.50<0.01
Prognostic index1.781.10–3.020.0192.131.21–4.07<0.01

[i] Univariate and multivariate analysis using Cox proportional hazards regression. HR, hazard ratio; CI, confidence interval.

While 4 patients were found to have a nestin-negative tumours and a low PI score, with an MST of 422 days, by contrast, all 6 patients with nestin-positive tumours exhibited high PI scores, with an MST of 86.5 days.

The present study also investigated the efficacy of three different treatments for the ATC patients (Table V): Surgery, chemotherapy and EBRT. In the patients with nestin-negative ATC, the 6-month survival rate was significantly higher than that for the patients who underwent a gross resection (R0 or R1) or radiation therapy (100 and 80%, respectively), whereas no significant difference in survival rate (63.6 vs. 33.3%) was found between the patients with and without chemotherapy. By contrast, none of the three treatments (surgery, chemotherapy or EBRT) improved the 6-month survival rate of the ATC patients with tumours that positively expressed nestin.

Table V.

A 6-month survival analysis of anaplastic thyroid cancer patients.

Table V.

A 6-month survival analysis of anaplastic thyroid cancer patients.

Nestin-negative Nestin-positive


TreatmentTotal6 months survivalP-valueTotal6 months survival
Surgery (R0/1)
  Yes  6  6 (100.0)<0.01010 (0.0)
No113 (27.3) 50 (0.0)
Radiotherapy
  Yes108 (80.0)0.01530 (0.0)
  No  71 (14.3) 30 (0.0)
Chemotherapy
  Yes117 (63.6)0.33540 (0.0)
  No  62 (33.3) 20 (0.0)

[i] P-values were examined by Fisher's exact test.

Discussion

ATC is a rare but extremely aggressive disease with a extremely poor prognosis; the MST from the time of diagnosis is 3–5 months and the one-year survival rate is <20% (12,15). Several clinical characteristics, including age, gender, tumour size, leukocytosis, symptoms, distant metastasis and extrathyroidal invasion have been reported as indicators of a poor prognosis (16–18). Sugitani et al found that the presence of acute symptoms, a large tumour (>5 cm in diameter), distant metastasis and leukocytosis (>10,000/mm3) were significant risk factors for a poor prognosis (12), and these findings were confirmed in a prospective setting (19). In a comparison of the clinical data of ATC patients in a nationwide registry, another study by Sugitani et al found that possession of less than one of the aforementioned four factors was linked to better survival (20).

In the present series, the absence of nestin expression, a low PI, a complete tumour resection and EBRT were significantly associated with a longer survival time. The univariate and multivariate analyses revealed that nestin expression and the PI were significant indicators for prognosis independently. In addition, no associations between nestin expression and any clinicopathological factors were found in the present series. These findings therefore clearly demonstrated that nestin expression in the cytoplasm of the ATC cells is one of the strong molecular factors indicating the prognosis of patients; a factor that is not affected by clinicopathological features of the tumour or the patient.

Nestin, a class VI intermediate protein, is known as a marker for neural stem cells. In melanomas and prostate cancer, nestin expression has been reported to be associate with the migration, invasion and metastasis of the cancer cells (21,22). Although the cytoplasmic expression of nestin protein in ATC cells, along with the loss of E-cadherin expression, were reported in a previous study (9), the study described only two representative cases of ATC in association with concomitant differentiated thyroid cancer. Therefore, nestin expression in ATCs had not been fully investigated prior to the present study, and associations between nestin expression in ATC and the clinicopathological characteristics of the tumour or prognosis of the patients were not established.

In the present study, the expression of nestin was observed in the cytoplasm of the ATC cells in approximately one-quarter of 23 patients with ATC, indicating that nestin expression in ATC is not a universal phenomenon during anaplastic changes of the tumour. Further studies are necessary to investigate the involvement of nestin expression in the de-differentiation steps of thyroid cancer, as no nestin-specific staining could be detected in differentiated thyroid cancers (data not shown).

The present study also found that nestin expression in the ATC patients exhibited significant prognostic meaning, based on univariate and multivariate analyses. The acceleration of cancer cell proliferation, invasive growth and migration have previously been reported to correlate with nestin expression in several cancer types (22–24). These features are cellular mechanisms underlying cancer progression and metastasis, and they are also common characteristics found in ATC cells. Recent basic research demonstrated that nestin regulates actin and cell adhesion molecules affecting migration, invasion and metastasis (25). In the present study, however, there were no significant correlations between the expression of nestin in the tumour and the clinicopathological characteristics of the patients, indicating that nestin did not accelerate disease progression in ATC.

ATC cancer cells are characterized by extremely highly aggressive behavior compared with that of other organs (9,10,12,15–18). This unusually malignant nature of ATCs, even without nestin expression, may have contributed to obscure the effect of therapeutic efforts in patients with nestin-negative tumours. At the same time, the resection of nestin-negative tumours may be beneficial for better prognoses, suggesting that important molecular mechanisms of nestin expression may exist in disease progression.

Among the present 23 cases, 7 patients with unresectable disease received EBRT (≥40 Gy or higher). A total of 3 out of the 4 ATC patients with nestin-negative tumours achieved disease control with radiation therapy, while two-thirds of the patients with nestin-expressing tumours could not obtain disease control. In light of these data, nestin may have a role in acquiring resistance to radiation therapy. Nestin has also been reported to be expressed increasingly after radiation injury to the brain (26), although the precise mechanism of this finding was not identified. This observation may indicate an important role of nestin in the response to cellular injury by irradiation therapy. There is currently little evidence regarding the association between nestin expression and the effect of radiation therapy, and further investigation is required.

In conclusion, the present findings indicate that the expression of cytoplasmic nestin is an independent indicator of a poor prognosis for patients with ATC. In the present data, the expression of nestin did not correlate with any clinicopathological characteristic or therapeutic procedure. Nestin may therefore have a role in acquiring resistance to radiation and surgical therapy. Further investigations are desired to clarify the role of nestin in the resistance to multimodal therapeutic approaches, using authentic ATC cell lines (27). At the same time, patients with a lower PI and nestin-expressing tumours may be good candidates for receiving aggressive multimodal treatment in the practical setting.

Acknowledgements

The authors would like to thank Dr Tamami Morisaki (Department of Surgical Oncology, Osaka City University Graduate School of Medicine) for providing advice. The present study was supported in part by Grant-in-Aid for Scientific Research (C) (JSPS KAKENHI; grant no. 25461992)

References

1 

Maderna E, Salmaggi A, Calatozzolo C, Limido L and Pollo B: Nestin, PDGFRbeta, CXCL12 and VEGF in glioma patients: Different profiles of (pro-angiogenic) molecule expression are related with tumor grade and may provide prognostic information. Cancer Biol Ther. 6:1018–1024. 2007. View Article : Google Scholar : PubMed/NCBI

2 

Gravdal K, Halvorsen OJ, Haukaas SA and Akslen LA: Proliferation of immature tumor vessels is a novel marker of clinical progression in prostate cancer. Cancer Res. 69:4708–4715. 2009. View Article : Google Scholar : PubMed/NCBI

3 

Yamahatsu K, Matsuda Y, Ishiwata T, Uchida E and Naito Z: Nestin as a novel therapeutic target for pancreatic cancer via tumor angiogenesis. Int J Oncol. 40:1345–1357. 2012.PubMed/NCBI

4 

Chen Z, Wang J, Cai L, Zhong B, Luo H, Hao Y, Yu W, Wang B, Su C, Lei Y, Bella AE, Xiang AP and Wang T: Role of the stem cell-associated intermediate filament nestin in malignant proliferation of non-small cell lung cancer. PLoS One. 9:e855842014. View Article : Google Scholar : PubMed/NCBI

5 

Teranishi N, Naito Z, Ishiwata T, Tanaka N, Furukawa K, Seya T, Shinji S and Tajiri T: Identification of neovasculature using nestin in colorectal cancer. Int J Oncol. 30:593–603. 2007.PubMed/NCBI

6 

Piras F, Ionta MT, Lai S, Perra MT, Atzori F, Minerba L, Pusceddu V, Maxia C, Murtas D, Demurtas P, Massidda B and Sirigu P: Nestin expression associates with poor prognosis and triple negative phenotype in locally advanced (T4) breast cancer. Eur J Histochem. 55:e392011. View Article : Google Scholar : PubMed/NCBI

7 

Strojnik T, Røsland GV, Sakariassen PO, Kavalar R and Lah T: Neural stem cell markers, nestin and musashi proteins, in the progression of human glioma: Correlation of nestin with prognosis of patient survival. Surg Neurol. 68:133–144. 2007. View Article : Google Scholar : PubMed/NCBI

8 

Ishiwata T, Teduka K, Yamamoto T, Kawahara K, Matsuda Y and Naito Z: Neuroepithelial stem cell marker nestin regulates the migration, invasion and growth of human gliomas. Oncol Rep. 26:91–99. 2011.PubMed/NCBI

9 

Liu J and Brown RE: Immunohistochemical detection of epithelialmesenchymal transition associated with stemness phenotype in anaplastic thyroid carcinoma. Int J Clin Exp Pathol. 3:755–762. 2010.PubMed/NCBI

10 

Sherman SI: Thyroid carcinoma. Lancet. 361:501–511. 2003. View Article : Google Scholar : PubMed/NCBI

11 

Tennvall J, Lundell G, Wahlberg P, Bergenfelz A, Grimelius L, Akerman M, Hjelm Skog AL and Wallin G: Anaplastic thyroid carcinoma: three protocols combining doxorubicin, hyperfractionated radiotherapy and surgery. Br J Cancer. 86:1848–1853. 2002. View Article : Google Scholar : PubMed/NCBI

12 

Sugitani I, Kasai N, Fujimoto Y and Yanagisawa A: Prognostic factors and therapeutic strategy for anaplastic carcinoma of the thyroid. World J Surg. 25:617–622. 2001. View Article : Google Scholar : PubMed/NCBI

13 

Tsutsui K: Chemotherapy of the anaplastic thyroid cancer. Naibunpitsu Geka. 12:133–139. 1995.(In Japanese).

14 

Kasiwagi S, Yashiro M, Takashima T, Aomatsu N, Kawajiri H, Ogawa Y, Onoda N, Ishikawa T, Wakasa K and Hirakawa K: c-Kit expression as a prognostic molecular marker in patients with basal-like breast cancer. Br J Surg. 100:490–496. 2013. View Article : Google Scholar : PubMed/NCBI

15 

Smallridge RC and Copland JA: Anaplastic thyroid carcinoma: Pathogenesis and emerging therapies. Clin Oncol. 22:486–497. 2010. View Article : Google Scholar

16 

Kebebew E, Greenspan FS, Clark OH, Woeber KA and McMillan A: Anaplastic thyroid carcinoma. Treatment outcome and prognostic factors. Cancer. 103:1330–1335. 2005. View Article : Google Scholar : PubMed/NCBI

17 

Yau T, Lo CY, Epstein RJ, Lam AK, Wan KY and Lang BH: Treatment outcomes in anaplastic thyroid carcinoma: Survival improvement in young patients with localized disease treated by combination of surgery and radiotherapy. Ann Surg Oncol. 15:2500–2505. 2008. View Article : Google Scholar : PubMed/NCBI

18 

Akaishi J, Sugino K, Kitagawa W, Nagahama M, Kameyama K, Shimizu K and Ito K: Prognostic factors and treatment outcomes of 100 cases of anaplastic thyroid carcinoma. Thyroid. 21:1183–1189. 2011. View Article : Google Scholar : PubMed/NCBI

19 

Orita Y, Sugitani I, Amemiya T and Fujimoto Y: Prospective application of our novel prognostic index in the treatment of anaplastic thyroid carcinoma. Surgery. 150:1212–1219. 2011. View Article : Google Scholar : PubMed/NCBI

20 

Sugitani I, Miyauchi A, Sugino K, Okamoto T, Yoshida A and Suzuki S: Prognostic factors and treatment outcomes for anaplastic thyroid carcinoma: ATC Research Consortium of Japan cohort study of 677 patients. World J Surg. 36:1247–1254. 2012. View Article : Google Scholar : PubMed/NCBI

21 

Brychtova S, Fiuraskova M, Hlobilková A, Brychta T and Hirnak J: Nestin expression in cutaneous melanomas and melanocytic nevi. J Cutan Pathol. 34:370–375. 2007. View Article : Google Scholar : PubMed/NCBI

22 

Kleeberger W, Bova GS, Nielsen ME, Herawi M, Chuang AY, Epstein JI and Berman DM: Roles for the stem cell associated intermediate filament Nestin in prostate cancer migration and metastasis. Cancer Res. 67:9199–9206. 2007. View Article : Google Scholar : PubMed/NCBI

23 

Matsuda Y, Hagio M and Ishiwata T: Nestin: A novel angiogenesis marker and possible target for tumor angiogenesis. World J Gastroenterol. 19:42–48. 2013. View Article : Google Scholar : PubMed/NCBI

24 

Narita K, Matsuda Y, Seike M, Naito Z, Gemma A and Ishiwata T: Nestin regulates proliferation, migration, invasion and stemness of lung adenocarcinoma. Int J Oncol. 44:1118–1130. 2014.PubMed/NCBI

25 

Matsuda Y, Naito Z, Kawahara K, Nakazawa N, Korc M and Ishiwata T: Nestin is a novel target for suppressing pancreatic cancer cell migration, invasion and metastasis. Cancer Biol Ther. 11:512–523. 2011. View Article : Google Scholar : PubMed/NCBI

26 

Suman S, Rodriguez OC, Winters TA, Fornace AJ Jr, Albanese C and Datta K: Therapeutic and space radiation exposure of mouse brain causes impaired DNA repair response and premature senescence by chronic oxidant production. Aging (Albany NY). 5:607–622. 2013.PubMed/NCBI

27 

Onoda N, Nakamura M, Aomatsu N, Noda S, Kashiwagi S and Hirakawa K: Establishment, characterization and comparison of seven authentic anaplastic thyroid cancer cell lines retaining clinical features of the original tumors. World J Surg. 38:688–695. 2014. View Article : Google Scholar : PubMed/NCBI

Related Articles

  • Abstract
  • View
  • Download
  • Twitter
Copy and paste a formatted citation
Spandidos Publications style
Kurata K, Onoda N, Noda S, Kashiwagi S, Asano Y, Kawajiri H, Takashima T, Tanaka S, Ohsawa M, Hirakawa K, Hirakawa K, et al: Nestin expression as an independent indicator of poor prognosis for patients with anaplastic thyroid cancer. Oncol Lett 10: 850-856, 2015.
APA
Kurata, K., Onoda, N., Noda, S., Kashiwagi, S., Asano, Y., Kawajiri, H. ... Hirakawa, K. (2015). Nestin expression as an independent indicator of poor prognosis for patients with anaplastic thyroid cancer. Oncology Letters, 10, 850-856. https://doi.org/10.3892/ol.2015.3366
MLA
Kurata, K., Onoda, N., Noda, S., Kashiwagi, S., Asano, Y., Kawajiri, H., Takashima, T., Tanaka, S., Ohsawa, M., Hirakawa, K."Nestin expression as an independent indicator of poor prognosis for patients with anaplastic thyroid cancer". Oncology Letters 10.2 (2015): 850-856.
Chicago
Kurata, K., Onoda, N., Noda, S., Kashiwagi, S., Asano, Y., Kawajiri, H., Takashima, T., Tanaka, S., Ohsawa, M., Hirakawa, K."Nestin expression as an independent indicator of poor prognosis for patients with anaplastic thyroid cancer". Oncology Letters 10, no. 2 (2015): 850-856. https://doi.org/10.3892/ol.2015.3366
Copy and paste a formatted citation
x
Spandidos Publications style
Kurata K, Onoda N, Noda S, Kashiwagi S, Asano Y, Kawajiri H, Takashima T, Tanaka S, Ohsawa M, Hirakawa K, Hirakawa K, et al: Nestin expression as an independent indicator of poor prognosis for patients with anaplastic thyroid cancer. Oncol Lett 10: 850-856, 2015.
APA
Kurata, K., Onoda, N., Noda, S., Kashiwagi, S., Asano, Y., Kawajiri, H. ... Hirakawa, K. (2015). Nestin expression as an independent indicator of poor prognosis for patients with anaplastic thyroid cancer. Oncology Letters, 10, 850-856. https://doi.org/10.3892/ol.2015.3366
MLA
Kurata, K., Onoda, N., Noda, S., Kashiwagi, S., Asano, Y., Kawajiri, H., Takashima, T., Tanaka, S., Ohsawa, M., Hirakawa, K."Nestin expression as an independent indicator of poor prognosis for patients with anaplastic thyroid cancer". Oncology Letters 10.2 (2015): 850-856.
Chicago
Kurata, K., Onoda, N., Noda, S., Kashiwagi, S., Asano, Y., Kawajiri, H., Takashima, T., Tanaka, S., Ohsawa, M., Hirakawa, K."Nestin expression as an independent indicator of poor prognosis for patients with anaplastic thyroid cancer". Oncology Letters 10, no. 2 (2015): 850-856. https://doi.org/10.3892/ol.2015.3366
Follow us
  • Twitter
  • LinkedIn
  • Facebook
About
  • Spandidos Publications
  • Careers
  • Cookie Policy
  • Privacy Policy
How can we help?
  • Help
  • Live Chat
  • Contact
  • Email to our Support Team