Spandidos Publications Logo
  • About
    • About Spandidos
    • Aims and Scopes
    • Abstracting and Indexing
    • Editorial Policies
    • Reprints and Permissions
    • Job Opportunities
    • Terms and Conditions
    • Contact
  • Journals
    • All Journals
    • Oncology Letters
      • Oncology Letters
      • Information for Authors
      • Editorial Policies
      • Editorial Board
      • Aims and Scope
      • Abstracting and Indexing
      • Bibliographic Information
      • Archive
    • International Journal of Oncology
      • International Journal of Oncology
      • Information for Authors
      • Editorial Policies
      • Editorial Board
      • Aims and Scope
      • Abstracting and Indexing
      • Bibliographic Information
      • Archive
    • Molecular and Clinical Oncology
      • Molecular and Clinical Oncology
      • Information for Authors
      • Editorial Policies
      • Editorial Board
      • Aims and Scope
      • Abstracting and Indexing
      • Bibliographic Information
      • Archive
    • Experimental and Therapeutic Medicine
      • Experimental and Therapeutic Medicine
      • Information for Authors
      • Editorial Policies
      • Editorial Board
      • Aims and Scope
      • Abstracting and Indexing
      • Bibliographic Information
      • Archive
    • International Journal of Molecular Medicine
      • International Journal of Molecular Medicine
      • Information for Authors
      • Editorial Policies
      • Editorial Board
      • Aims and Scope
      • Abstracting and Indexing
      • Bibliographic Information
      • Archive
    • Biomedical Reports
      • Biomedical Reports
      • Information for Authors
      • Editorial Policies
      • Editorial Board
      • Aims and Scope
      • Abstracting and Indexing
      • Bibliographic Information
      • Archive
    • Oncology Reports
      • Oncology Reports
      • Information for Authors
      • Editorial Policies
      • Editorial Board
      • Aims and Scope
      • Abstracting and Indexing
      • Bibliographic Information
      • Archive
    • Molecular Medicine Reports
      • Molecular Medicine Reports
      • Information for Authors
      • Editorial Policies
      • Editorial Board
      • Aims and Scope
      • Abstracting and Indexing
      • Bibliographic Information
      • Archive
    • World Academy of Sciences Journal
      • World Academy of Sciences Journal
      • Information for Authors
      • Editorial Policies
      • Editorial Board
      • Aims and Scope
      • Abstracting and Indexing
      • Bibliographic Information
      • Archive
    • International Journal of Functional Nutrition
      • International Journal of Functional Nutrition
      • Information for Authors
      • Editorial Policies
      • Editorial Board
      • Aims and Scope
      • Abstracting and Indexing
      • Bibliographic Information
      • Archive
    • International Journal of Epigenetics
      • International Journal of Epigenetics
      • Information for Authors
      • Editorial Policies
      • Editorial Board
      • Aims and Scope
      • Abstracting and Indexing
      • Bibliographic Information
      • Archive
    • Medicine International
      • Medicine International
      • Information for Authors
      • Editorial Policies
      • Editorial Board
      • Aims and Scope
      • Abstracting and Indexing
      • Bibliographic Information
      • Archive
  • Articles
  • Information
    • Information for Authors
    • Information for Reviewers
    • Information for Librarians
    • Information for Advertisers
    • Conferences
  • Language Editing
Spandidos Publications Logo
  • About
    • About Spandidos
    • Aims and Scopes
    • Abstracting and Indexing
    • Editorial Policies
    • Reprints and Permissions
    • Job Opportunities
    • Terms and Conditions
    • Contact
  • Journals
    • All Journals
    • Biomedical Reports
      • Information for Authors
      • Editorial Policies
      • Editorial Board
      • Aims and Scope
      • Abstracting and Indexing
      • Bibliographic Information
      • Archive
    • Experimental and Therapeutic Medicine
      • Information for Authors
      • Editorial Policies
      • Editorial Board
      • Aims and Scope
      • Abstracting and Indexing
      • Bibliographic Information
      • Archive
    • International Journal of Epigenetics
      • Information for Authors
      • Editorial Policies
      • Editorial Board
      • Aims and Scope
      • Abstracting and Indexing
      • Bibliographic Information
      • Archive
    • International Journal of Functional Nutrition
      • Information for Authors
      • Editorial Policies
      • Editorial Board
      • Aims and Scope
      • Abstracting and Indexing
      • Bibliographic Information
      • Archive
    • International Journal of Molecular Medicine
      • Information for Authors
      • Editorial Policies
      • Editorial Board
      • Aims and Scope
      • Abstracting and Indexing
      • Bibliographic Information
      • Archive
    • International Journal of Oncology
      • Information for Authors
      • Editorial Policies
      • Editorial Board
      • Aims and Scope
      • Abstracting and Indexing
      • Bibliographic Information
      • Archive
    • Medicine International
      • Information for Authors
      • Editorial Policies
      • Editorial Board
      • Aims and Scope
      • Abstracting and Indexing
      • Bibliographic Information
      • Archive
    • Molecular and Clinical Oncology
      • Information for Authors
      • Editorial Policies
      • Editorial Board
      • Aims and Scope
      • Abstracting and Indexing
      • Bibliographic Information
      • Archive
    • Molecular Medicine Reports
      • Information for Authors
      • Editorial Policies
      • Editorial Board
      • Aims and Scope
      • Abstracting and Indexing
      • Bibliographic Information
      • Archive
    • Oncology Letters
      • Information for Authors
      • Editorial Policies
      • Editorial Board
      • Aims and Scope
      • Abstracting and Indexing
      • Bibliographic Information
      • Archive
    • Oncology Reports
      • Information for Authors
      • Editorial Policies
      • Editorial Board
      • Aims and Scope
      • Abstracting and Indexing
      • Bibliographic Information
      • Archive
    • World Academy of Sciences Journal
      • Information for Authors
      • Editorial Policies
      • Editorial Board
      • Aims and Scope
      • Abstracting and Indexing
      • Bibliographic Information
      • Archive
  • Articles
  • Information
    • For Authors
    • For Reviewers
    • For Librarians
    • For Advertisers
    • Conferences
  • Language Editing
Login Register Submit
  • This site uses cookies
  • You can change your cookie settings at any time by following the instructions in our Cookie Policy. To find out more, you may read our Privacy Policy.

    I agree
Search articles by DOI, keyword, author or affiliation
Search
Advanced Search
presentation
Oncology Letters
Join Editorial Board Propose a Special Issue
Print ISSN: 1792-1074 Online ISSN: 1792-1082
Journal Cover
November-2015 Volume 10 Issue 5

Full Size Image

Sign up for eToc alerts
Recommend to Library

Journals

International Journal of Molecular Medicine

International Journal of Molecular Medicine

International Journal of Molecular Medicine is an international journal devoted to molecular mechanisms of human disease.

International Journal of Oncology

International Journal of Oncology

International Journal of Oncology is an international journal devoted to oncology research and cancer treatment.

Molecular Medicine Reports

Molecular Medicine Reports

Covers molecular medicine topics such as pharmacology, pathology, genetics, neuroscience, infectious diseases, molecular cardiology, and molecular surgery.

Oncology Reports

Oncology Reports

Oncology Reports is an international journal devoted to fundamental and applied research in Oncology.

Experimental and Therapeutic Medicine

Experimental and Therapeutic Medicine

Experimental and Therapeutic Medicine is an international journal devoted to laboratory and clinical medicine.

Oncology Letters

Oncology Letters

Oncology Letters is an international journal devoted to Experimental and Clinical Oncology.

Biomedical Reports

Biomedical Reports

Explores a wide range of biological and medical fields, including pharmacology, genetics, microbiology, neuroscience, and molecular cardiology.

Molecular and Clinical Oncology

Molecular and Clinical Oncology

International journal addressing all aspects of oncology research, from tumorigenesis and oncogenes to chemotherapy and metastasis.

World Academy of Sciences Journal

World Academy of Sciences Journal

Multidisciplinary open-access journal spanning biochemistry, genetics, neuroscience, environmental health, and synthetic biology.

International Journal of Functional Nutrition

International Journal of Functional Nutrition

Open-access journal combining biochemistry, pharmacology, immunology, and genetics to advance health through functional nutrition.

International Journal of Epigenetics

International Journal of Epigenetics

Publishes open-access research on using epigenetics to advance understanding and treatment of human disease.

Medicine International

Medicine International

An International Open Access Journal Devoted to General Medicine.

Journal Cover
November-2015 Volume 10 Issue 5

Full Size Image

Sign up for eToc alerts
Recommend to Library

  • Article
  • Citations
    • Cite This Article
    • Download Citation
    • Create Citation Alert
    • Remove Citation Alert
    • Cited By
  • Similar Articles
    • Related Articles (in Spandidos Publications)
    • Similar Articles (Google Scholar)
    • Similar Articles (PubMed)
  • Download PDF
  • Download XML
  • View XML
Article Open Access

Monosotic fibrous dysplasia and solitary intramuscular myxoma of the head and neck: A unique presentation of Mazabraud's syndrome and a literature review

  • Authors:
    • Shuiting Fu
    • Zhuowei Tian
    • Chenping Zhang
    • Yue He
  • View Affiliations / Copyright

    Affiliations: Department of Oral and Maxillofacial Head and Neck Surgery, Shanghai 9th People's Hospital, Shanghai Jiao‑Tong University School of Medicine, Shanghai 200011, P.R. China
    Copyright: © Fu et al. This is an open access article distributed under the terms of Creative Commons Attribution License.
  • Pages: 3087-3094
    |
    Published online on: August 25, 2015
       https://doi.org/10.3892/ol.2015.3633
  • Expand metrics +
Metrics: Total Views: 0 (Spandidos Publications: | PMC Statistics: )
Metrics: Total PDF Downloads: 0 (Spandidos Publications: | PMC Statistics: )
Cited By (CrossRef): 0 citations Loading Articles...

This article is mentioned in:



Abstract

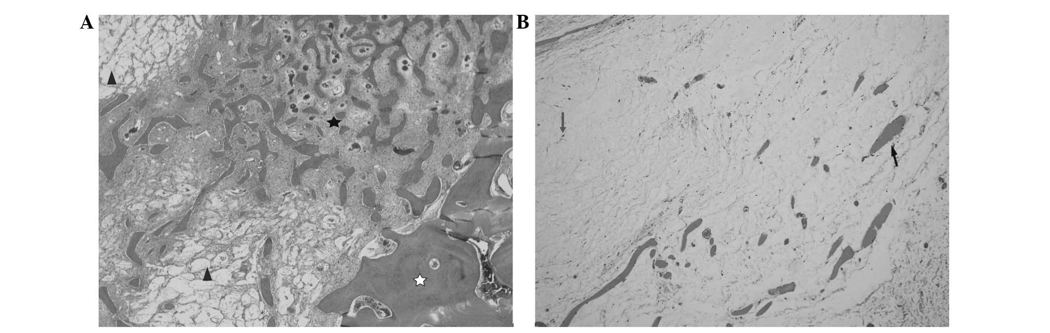
Mazabraud's syndrome (MS) is a rare disease that is a combination of fibrous dysplasia and intramuscular myxomas. MS is a benign lesion and there is little data on the disease due to its low incidence. In the present study, the case of a 38‑year‑old patient who presented with a soft‑tissue mass involving the masseter and swelling at the mandibular body and mandibular ramus is reported. Since the mandible is an important aesthetic and functional organ in the oral and maxillofacial region, surgery was primarily aimed at resecting the tumor, with good safety margins, and reconstructing the resultant defect. The lesions were pathologically diagnosed as MS. The unique features of this case included the painless and monostotic fibrous dysplasia, the solitary intramuscular myxomas involving the jaw and the male gender of the patient. MS usually occurs in the lower extremities, with an unusual predilection for the right limb; however, it rarely occurs in the head and neck region. A retrospective analysis of the clinical features and management of MS was also performed in the present study, together with a literature review. From the literature, it was concluded that the incidence of MS is ~2.3‑fold greater in female patients than in male patients, and that the age of onset of MS ranges between 17 and 82 years, with an average age of 46.25 years.
View Figures

Figure 1

Figure 2

Figure 3

View References

1 

Yaligod V and Ajoy SM: Intramuscular myxoma - a rare tumor. J Orthop Case Rep. 3:38–41. 2013.

2 

Chapurlat RD and Meunier PJ: Fibrous dysplasia of bone. Best Pract Res Clin Rheumatol. 14:385–398. 2000. View Article : Google Scholar

3 

Segev Z and Reiner S: Intramuscular myxoma associated with fibrous dysplasia of adjacent bone. Harefuah. 108:493–494. 1985.(In Hebrew). PubMed/NCBI

4 

Arishima Y, Setoguchi T, Abematsu M, Tominaga H, Fukunaga E and Komiya S: Mazabraud's syndrome with solitary myxoma and monostotic fibrous dysplasia. J Orthop Sci. 15:144–147. 2010. View Article : Google Scholar : PubMed/NCBI

5 

Braunwarth K: Simultaneous occurrence of fibrous dysplasia with extraosseous fibromyxomas. Fortschr Geb Rontgenstr. 78:589–594. 1953.(In German). View Article : Google Scholar : PubMed/NCBI

6 

Berkhoff WB, ter Bruggen Hugenholtz FI and Ingenhoes R: A patient with multiple intramuscular myxomas as an extra-osseous manifestation of fibrous dysplasia. Ned Tijdschr Geneeskd. 125:1460–1462. 1981.(In Dutch). PubMed/NCBI

7 

Limouzy F, Durroux R, Chiron P, Tricoire JL, Puget J and Utheza G: Fibrous dysplasia associated with intramuscular myxoma. Rev Chir Orthop Reparatrice Appar Mot. 82:336–339. 1996.(In French). PubMed/NCBI

8 

Struk DW, Munk PL and Lee MJ: Musculoskeletal case 8. Mazabraud's syndrome - intramuscular myxoma associated with fibrous dysplasia. Can J Surg. 43:15, 62–63. 2000.

9 

Miyake M, Tateishi U, Maeda T, Arai Y, Seki K, Hasegawa T and Sugimura K: F-18 fluorodeoxyglucose positron emission tomography finding of Mazabraud syndrome. Clin Nucl Med. 31:627–629. 2006. View Article : Google Scholar : PubMed/NCBI

10 

Zhao H, Zhang H and Jiang Z: Clinicopathological characteristics of Mazabraud syndrome. Lin Chuang Yu Bing Li Xue Za Zhi. 24:47–49. 2008.(In Chinese).

11 

Logel RJ: Recurrent intramuscular myxoma associated with Albright's syndrome. J Bone Joint Surg Am. 58:565–568. 1976.PubMed/NCBI

12 

Henschen F: Fall von ostitis Fibrosa mit multiplen Tumoren in der umgebenden Muskulatur. Verh Dtsch Ges Pathol. 21:93–97. 1926.(In German).

13 

Mazabraud A, Semat P and Roze R: Apropos of the association of fibromyxomas of the soft tissues with fibrous dysplasia of the bones. Presse Med. 75:2223–2228. 1967.(In French). PubMed/NCBI

14 

Zoccali C, Teori G, Prencipe U and Erba F: Mazabraud's syndrome: A new case and review of the literature. Int Orthop. 33:605–610. 2009. View Article : Google Scholar : PubMed/NCBI

15 

Beele X, Delanote G, Buyse G and Claikens B: Mazabraud syndrome. JBR-BTR. 91:84–85. 2008.PubMed/NCBI

16 

Tang J, Zhao HY, Zheng L, Zhang HZ and Jiang ZM: Abnormal expression of c-myc, p53, p16 protein and GNAS1 gene mutation in fibrous dysplasia. Zhonghua Bing Li Xue Za Zhi. 38:292–297. 2009.(In Chinese). PubMed/NCBI

17 

Yang XD, Xu G, Lü B, Li K and Xu Y: Mazabraud syndrome: Report of a case. Zhonghua Bing Li Xue Za Zhi. 40:274–276. 2011.(In Chinese). PubMed/NCBI

18 

Munksgaard PS, Salkus G, Iyer VV and Fisker RV: Mazabraud's syndrome: Case report and literature review. Acta Radiol Short Rep. 2:20479816134925322013.PubMed/NCBI

19 

Kabukcuoglu F, Kabukcuoglu Y, Yilmaz B, Erdem Y and Evren I: Mazabraud's syndrome: Intramuscular myxoma associated with fibrous dysplasia. Pathol Oncol Res. 10:121–123. 2004. View Article : Google Scholar : PubMed/NCBI

20 

Kitagawa Y, Ishihara Y, Hayashi M, Kim Y, Fujii N and Ito H: Mazabraud syndrome associated with McCune-Albright syndrome. J Orthop Sci. 16:129–132. 2011. View Article : Google Scholar : PubMed/NCBI

21 

Lopez-Ben R, Pitt MJ, Jaffe KA and Siegal GP: Osteosarcoma in a patient with McCune-Albright syndrome and Mazabraud's syndrome. Skeletal Radiol. 28:522–526. 1999. View Article : Google Scholar : PubMed/NCBI

22 

Szendrói M, Rahóty P, Antal I and Kiss J: Fibrous dysplasia associated with intramuscular myxoma (Mazabraud's syndrome): A long-term follow-up of three cases. J Cancer Res Clin Oncol. 124:401–406. 1998. View Article : Google Scholar : PubMed/NCBI

23 

Krogius A: A case of osteitis fibrosa with multiple fibromyxomatoesen muscle tumors. Acta Chir Scan. 64:465–471. 1928.(In German).

24 

Uehlinger E: Osteofibrosis deformans juvenilis. (Polyostotische fibroise dysplasie Jaffé-Lichtenstein.). Virchows Arch Path Anat. 306:255–299. 1940.(In German). View Article : Google Scholar

25 

Mazabraud A and Girard J: A peculiar case of fibrous dysplasia with osseous and tendinous localizations. Rev Rhum Mal Osteoartic. 24:652–659. 1957.(In French). PubMed/NCBI

26 

Heinemann G and Worth D: Zur Osteofibrosis deformans juvenilis. Bruns Beitr Klin Chir. 197:327–336. 1958.(In German). PubMed/NCBI

27 

Laporte F, Leger H and Malchair G: Albright's syndrome. J Chir (Paris). 82:457–475. 1961.(In French). PubMed/NCBI

28 

Lick RF and Viehweger G: A contribution to the diagnosis of fibrous dysplasia of the skeletal system (Jaffe-Lichtenstein-Uehlinger). A roentgenological and pathologic anatomical study. Fortschr Geb Rontgenstr Nuklearmed. 97:33–38. 1962.(In German). View Article : Google Scholar : PubMed/NCBI

29 

Roze R, Mazabraud A and Semat P: Fibrous dysplasia of bone and myxomas of the soft tissues. Localized sarcomatous degeneration. J Radiol Electrol Med Nucl. 48:527–536. 1967.(In French). PubMed/NCBI

30 

Semat P, Roze R and Mazabraud A: Fibrous dysplasia of bone associated with soft tissue myxma. J Radiol Electrol Med Nucl. 50:287–292. 1969.(In French). PubMed/NCBI

31 

Wirth WA, Leavitt D and Enzinger FM: Multiple intramuscular myxomas. Another extraskeletal manifestation of fibrous dysplasia. Cancer. 27:1167–1173. 1971. View Article : Google Scholar : PubMed/NCBI

32 

Lejeune E, Bouvier M, Vauzelle JL, Queneau P, Thomas JD, Chaudy J, Leung TK and Deplante JP: Fibrous dysplasia and soft tissue myxomas. Rev Rhum Mal Osteoartic. 39:281–288. 1972.(In French). PubMed/NCBI

33 

Ireland DC, Soule EH and Ivins JC: Myxoma of somatic soft tissues. A report of 58 patients, 3 with multiple tumors and fibrous dysplasia of bone. Mayo Clin Proc. 48:401–410. 1973.PubMed/NCBI

34 

Sedmak DD, Hart WR, Belhobek GH and Marks KE: Massive intramuscular myxoma associated with fibrous dysplasia of bone. Cleve Clin Q. 50:469–472. 1983. View Article : Google Scholar : PubMed/NCBI

35 

Lever EG and Pettingale KW: Albright's syndrome associated with a soft-tissue myxoma and hypophosphataemic osteomalacia. Report of a case and review of the literature. J Bone Joint Surg Br. 65:621–626. 1983.PubMed/NCBI

36 

Witkin GB, Guilford WB and Siegal GP: Osteogenic sarcoma and soft tissue myxoma in a patient with fibrous dysplasia and hemoglobins JBaltimore and S. Clin Orthop Relat Res. 204:245–252. 1986.PubMed/NCBI

37 

Blasier RD, Ryan JR and Schaldenbrand MF: Multiple myxomata of soft tissue associated with polyostotic fibrous dysplasia. A case report. Clin Orthop Relat Res. 206:211–214. 1986.PubMed/NCBI

38 

Biagini R, Ruggieri P, Boriani S and Picci P: The Mazabraud syndrome: Case report and review of the literature. Ital J Orthop Traumatol. 13:105–111. 1987.PubMed/NCBI

39 

Glass-Royal MC, Nelson MC, Albert F, Lack EE and Bogumill GP: Case report 557: Solitary intramuscular myxoma in a patient with polyostotic fibrous dysplasia. Skeletal Radiol. 18:392–398. 1989. View Article : Google Scholar : PubMed/NCBI

40 

Sundaram M, McDonald DJ and Merenda G: Intramuscular myxoma: A rare but important association with fibrous dysplasia of bone. AJR Am J Roentgenol. 153:107–108. 1989. View Article : Google Scholar : PubMed/NCBI

41 

Gianoutsos MP, Thompson JF and Marsden FW: Mazabraud's syndrome: Intramuscular myxoma associated with fibrous dysplasia of bone. Aust N Z J Surg. 60:825–828. 1990. View Article : Google Scholar : PubMed/NCBI

42 

Prayson MA and Leeson MC: Soft-tissue myxomas and fibrous dysplasia of bone. A case report and review of the literature. Clin Orthop Relat Res. 291:222–228. 1993.PubMed/NCBI

43 

Gober GA and Nicholas RW: Case report 800: Skeletal fibrous dysplasia associated with intramuscular myxoma (Mazabraud's syndrome). Skeletal Radiol. 22:452–455. 1993. View Article : Google Scholar : PubMed/NCBI

44 

Aoki T, Kouho H, Hisaoka M, Hashimoto H, Nakata H and Sakai A: Intramuscular myxoma with fibrous dysplasia: A report of two cases with a review of the literature. Pathol Int. 45:165–171. 1995. View Article : Google Scholar : PubMed/NCBI

45 

Fujii K, Inoue M, Araki Y and Ishida O: Multiple intramuscular myxomas associated with polyostotic fibrous dysplasia. Eur J Radiol. 22:152–154. 1996. View Article : Google Scholar : PubMed/NCBI

46 

Court-Payen M, Jensen L Ingemann, Bjerregaard B, Lausten G Schwarz and Skjoldbye B: Intramuscular myxoma and fibrous dysplasia of bone - Mazabraud's syndrome. A case report. Acta Radiol. 38:368–371. 1997. View Article : Google Scholar : PubMed/NCBI

47 

Cabral CE, Guedes P, Fonseca T, Rezende JF, Júnior LC Cruz and Smith J: Polyostotic fibrous dysplasia associated with intramuscular myxomas: Mazabraud's syndrome. Skeletal Radiol. 27:278–282. 1998. View Article : Google Scholar : PubMed/NCBI

48 

Thomachot B, Daumen-Legre V, Pham T, Acquaviva PC and Lafforgue P: Fibrous dysplasia with intramuscular myxoma (Mazabraud's syndrome). Report of a case and review of the literature. Rev Rhum Engl Ed. 66:180–183. 1999.PubMed/NCBI

49 

Walker RE, Schwartz RK and Gale DR: Musculoskeletal case of the day. Mazabraud's syndrome (intramuscular myxomas associated with fibrous dysplasia of bone). AJR Am J Roentgenol. 173(797): 800–802. 1999.

50 

Kransdorf MJ and Murphey MD: Diagnosis please. Case 12: Mazabraud syndrome. Radiology. 212:129–132. 1999. View Article : Google Scholar : PubMed/NCBI

51 

Okamoto S, Hisaoka M, Ushijima M, Nakahara S, Toyoshima S and Hashimoto H: Activating Gs(alpha) mutation in intramuscular myxomas with and without fibrous dysplasia of bone. Virchows Arch. 437:133–137. 2000. View Article : Google Scholar : PubMed/NCBI

52 

Faivre L, Nivelon-Chevallier A, Kottler ML, Robinet C, Van Kien P Khau, Lorcerie B, Munnich A, Maroteaux P, Cormier-Daire V and Le Merrer M: Mazabraud syndrome in two patients: Clinical overlap with McCune-Albright syndrome. Am J Med Genet. 99:132–136. 2001. View Article : Google Scholar : PubMed/NCBI

53 

Delabrousse E, Couvreur M, Bartholomot B, Lucas X and Kastler B: Mazabraud syndrome: A case diagnosed with MRI. J Radiol. 82:165–167. 2001.(In French). PubMed/NCBI

54 

Pollandt K, Lohmann CH, Werner M and Delling G: Clinical pathological aspects of Mazabraud's syndrome. Pathologe. 23:357–360. 2002.(In German). View Article : Google Scholar : PubMed/NCBI

55 

Iwasko N, Steinbach LS, Disler D, Pathria M, Hottya GA, Kattapuram S, Varma DG and Kumar R: Imaging findings in Mazabraud's syndrome: Seven new cases. Skeletal Radiol. 31:81–87. 2002. View Article : Google Scholar : PubMed/NCBI

56 

Tsitouridis I, Sayegh FE, Natsis K, Goutsaridou F, Melidis D and Emmanouilidou M: Mazabraud's syndrome: MRI evaluation. Eur J Radiol Extra. 45:83–87. 2003. View Article : Google Scholar

57 

Fang AS, Riley G, Huang SJ and O'Donnell RJA: A 35-year-old man with bony deformities and a soft tissue mass. Clin Orthop Relat Res. 417:313–320. 2003.PubMed/NCBI

58 

Jhala DN, Eltoum I, Carroll AJ, Lopez-Ben R, Lopez-Terrada D, Rao PH, Pettenati MJ and Siegal GP: Osteosarcoma in a patient with McCune-Albright syndrome and Mazabraud's syndrome: A case report emphasizing the cytological and cytogenetic findings. Hum Pathol. 34:1354–1357. 2003. View Article : Google Scholar : PubMed/NCBI

59 

Nguyen BD and Ram PC: Mazabraud's syndrome with sarcomatous transformation: Scintigraphic and radiologic imaging. Clin Nucl Med. 30:829–830. 2005. View Article : Google Scholar : PubMed/NCBI

60 

Martin S, Rapariz JM, Osés MJ and Martinez C: A possible cause of multiple intramuscular masses: Mazabraud's syndrome (2007: 11b). Eur Radiol. 18:417–421. 2008. View Article : Google Scholar : PubMed/NCBI

61 

McLaughlin A, Stalley P, Magee M, Soper J and Van der Wall H: Correlative imaging in an atypical case of Mazabraud syndrome. AJR Am J Roentgenol. 189:W353–W356. 2007. View Article : Google Scholar : PubMed/NCBI

62 

Singnurkar A, Phancao JP, Chatha DS and Stern J: The appearance of Mazabraud's syndrome on 18F-FDG PET/CT. Skeletal Radiol. 36:1085–1089. 2007. View Article : Google Scholar : PubMed/NCBI

63 

Calisir C, Inan U, Yavas US, Isiksoy S and Kaya T: Mazabraud's syndrome coexisting with a uterine tumor resembling an ovarian sex cord tumor (UTROSCT): A case report. Korean J Radiol. 8:438–442. 2007. View Article : Google Scholar : PubMed/NCBI

64 

Macfarlane P, Lew W and Neuhaus S: An aggressive case of Mazabraud's syndrome. Eur J Surg Oncol. 33:1087–1089. 2007. View Article : Google Scholar : PubMed/NCBI

65 

Schepers S, Brys P and Samson I: Case 6532. Mazabraud's Syndrome. http://www.eurorad.org/eurorad/case.php?id=6532Accessed. May 8–2008

66 

Santos CT, Choo CT and Loh AH: Orbital fibrous dysplasia with soft tissue hamartoma - a variant of Mazabraud's syndrome. Orbit. 27:207–209. 2008. View Article : Google Scholar : PubMed/NCBI

67 

Tagliafico A, Succio G, Martinoli C and Serafini G: Clinical overlap between Mazabraud and McCune-Albright syndromes. J Ultrasound Med. 28:397–399. 2009.PubMed/NCBI

68 

Case DB, Chapman CN Jr, Freeman JK and Polga JP: Best cases from the AFIP: Atypical presentation of polyostotic fibrous dysplasia with myxoma (Mazabraud syndrome). Radiographics. 30:827–832. 2010. View Article : Google Scholar : PubMed/NCBI

69 

IJpma FF, Moll FC, Mostert AK, Flach HZ and de Vries JE: Mazabraud syndrome - benign intramuscular myxoma with fibrous skeletal dysplasia. Ned Tijdschr Geneeskd. 155:A25132011.(In Dutch). PubMed/NCBI

70 

van der Wal WA, Unal H, de Rooy JW, Flucke U and Veth RP: Fibrous dysplasia of bone associated with soft-tissue myxomas as well as an intra-osseous myxoma in a woman with Mazabraud's syndrome: A case report. J Med Case Reports. 5:2392011. View Article : Google Scholar

71 

Gaumétou E, Tomeno B and Anract P: Mazabraud's syndrome. A case with multiple myxomas. Orthop Traumatol Surg Res. 98:455–460. 2012. View Article : Google Scholar : PubMed/NCBI

72 

Schimmöller L, Lehwald N, Antoch G and Kröpil P: Polyostotic fibro-osseus lesions associated with intramuscular soft tissue neoplasms. Radiologe. 52:934–936. 2012.(In German). View Article : Google Scholar : PubMed/NCBI

73 

John AM, Behera KK, Mathai T, Parmar H and Paul TV: Mazabraud syndrome. Indian J Endocrinol Metab. 17:740–742. 2013. View Article : Google Scholar : PubMed/NCBI

74 

Tsourdi E, Hamann C and Hofbauer LC: Skeletal and soft tissue involvement in Mazabraud syndrome. J Clin Endocrinol Metab. 98:E1381–E1382. 2013. View Article : Google Scholar : PubMed/NCBI

75 

Endo M, Kawai A, Kobayashi E, et al: Solitary intramuscular myxoma with monostotic fibrous dysplasia as a rare variant of Mazabraud's syndrome. Skeletal Radiol. 36:523–529. 2007.Crawford EA, Brooks JS and Ogilvie CM: Osteosarcoma of the proximal part of the radius in Mazabraud syndrome. A case report. J Bone Joint Surg Am 91: 955-960, 2009. View Article : Google Scholar : PubMed/NCBI

76 

Enzinger FM: Intramuscular myxoma: A review and follow-up study of 34 cases. Am J Clin Pathol. 43:104–113. 1965.PubMed/NCBI

77 

Lichtenstein L and Jaffé HL: Fibrous dysplasia of bone. Arch Pathol (Chic). 33:777–816. 1942.

78 

Alves C and Silva SF: Partial benefit of anastrozole in the long-term treatment of precocious puberty in McCune-Albright syndrome. J Pediatr Endocrinol Metab. 25:323–325. 2012. View Article : Google Scholar : PubMed/NCBI

79 

Adetayo OA, Salcedo SE, Borad V, Richards SS, Workman AD and Ray AO: Fibrous dysplasia: An overview of disease process, indications for surgical management, and a case report. Eplasty. 15:e62015.PubMed/NCBI

80 

Fornage BD and Romsdahl MM: Intramuscular myxoma: Sonographic appearance and sonographically guided needle biopsy. J Ultrasound Med. 13:91–94. 1994.PubMed/NCBI

81 

He Y, Zhang ZY, Zhu HG, Sader R, He J and Kovacs AF: Free fibula osteocutaneous flap for primary reconstruction of T3-T4 gingival carcinoma. J Craniofac Surg. 21:301–305. 2010. View Article : Google Scholar : PubMed/NCBI

82 

Dreizin D, Glen C and Jose J: Mazabraud syndrome. Am J Orthop (Belle Mead NJ). 41:332–335. 2012.PubMed/NCBI

83 

Coloma J, García E and Rodríguez A: Intramuscular myxoma. Report of three cases. Acta Ortop Mex. 28:244–247. 2014.PubMed/NCBI

84 

Walther I, Walther BM, Chen Y and Petersen I: Analysis of GNAS1 mutations in myxoid soft tissue and bone tumors. Pathol Res Pract. 210:1–4. 2014. View Article : Google Scholar : PubMed/NCBI

Related Articles

  • Abstract
  • View
  • Download
  • Twitter
Copy and paste a formatted citation
Spandidos Publications style
Fu S, Tian Z, Zhang C and He Y: Monosotic fibrous dysplasia and solitary intramuscular myxoma of the head and neck: A unique presentation of Mazabraud's syndrome and a literature review. Oncol Lett 10: 3087-3094, 2015.
APA
Fu, S., Tian, Z., Zhang, C., & He, Y. (2015). Monosotic fibrous dysplasia and solitary intramuscular myxoma of the head and neck: A unique presentation of Mazabraud's syndrome and a literature review. Oncology Letters, 10, 3087-3094. https://doi.org/10.3892/ol.2015.3633
MLA
Fu, S., Tian, Z., Zhang, C., He, Y."Monosotic fibrous dysplasia and solitary intramuscular myxoma of the head and neck: A unique presentation of Mazabraud's syndrome and a literature review". Oncology Letters 10.5 (2015): 3087-3094.
Chicago
Fu, S., Tian, Z., Zhang, C., He, Y."Monosotic fibrous dysplasia and solitary intramuscular myxoma of the head and neck: A unique presentation of Mazabraud's syndrome and a literature review". Oncology Letters 10, no. 5 (2015): 3087-3094. https://doi.org/10.3892/ol.2015.3633
Copy and paste a formatted citation
x
Spandidos Publications style
Fu S, Tian Z, Zhang C and He Y: Monosotic fibrous dysplasia and solitary intramuscular myxoma of the head and neck: A unique presentation of Mazabraud's syndrome and a literature review. Oncol Lett 10: 3087-3094, 2015.
APA
Fu, S., Tian, Z., Zhang, C., & He, Y. (2015). Monosotic fibrous dysplasia and solitary intramuscular myxoma of the head and neck: A unique presentation of Mazabraud's syndrome and a literature review. Oncology Letters, 10, 3087-3094. https://doi.org/10.3892/ol.2015.3633
MLA
Fu, S., Tian, Z., Zhang, C., He, Y."Monosotic fibrous dysplasia and solitary intramuscular myxoma of the head and neck: A unique presentation of Mazabraud's syndrome and a literature review". Oncology Letters 10.5 (2015): 3087-3094.
Chicago
Fu, S., Tian, Z., Zhang, C., He, Y."Monosotic fibrous dysplasia and solitary intramuscular myxoma of the head and neck: A unique presentation of Mazabraud's syndrome and a literature review". Oncology Letters 10, no. 5 (2015): 3087-3094. https://doi.org/10.3892/ol.2015.3633
Follow us
  • Twitter
  • LinkedIn
  • Facebook
About
  • Spandidos Publications
  • Careers
  • Cookie Policy
  • Privacy Policy
How can we help?
  • Help
  • Live Chat
  • Contact
  • Email to our Support Team