Spandidos Publications Logo
  • About
    • About Spandidos
    • Aims and Scopes
    • Abstracting and Indexing
    • Editorial Policies
    • Reprints and Permissions
    • Job Opportunities
    • Terms and Conditions
    • Contact
  • Journals
    • All Journals
    • Oncology Letters
      • Oncology Letters
      • Information for Authors
      • Editorial Policies
      • Editorial Board
      • Aims and Scope
      • Abstracting and Indexing
      • Bibliographic Information
      • Archive
    • International Journal of Oncology
      • International Journal of Oncology
      • Information for Authors
      • Editorial Policies
      • Editorial Board
      • Aims and Scope
      • Abstracting and Indexing
      • Bibliographic Information
      • Archive
    • Molecular and Clinical Oncology
      • Molecular and Clinical Oncology
      • Information for Authors
      • Editorial Policies
      • Editorial Board
      • Aims and Scope
      • Abstracting and Indexing
      • Bibliographic Information
      • Archive
    • Experimental and Therapeutic Medicine
      • Experimental and Therapeutic Medicine
      • Information for Authors
      • Editorial Policies
      • Editorial Board
      • Aims and Scope
      • Abstracting and Indexing
      • Bibliographic Information
      • Archive
    • International Journal of Molecular Medicine
      • International Journal of Molecular Medicine
      • Information for Authors
      • Editorial Policies
      • Editorial Board
      • Aims and Scope
      • Abstracting and Indexing
      • Bibliographic Information
      • Archive
    • Biomedical Reports
      • Biomedical Reports
      • Information for Authors
      • Editorial Policies
      • Editorial Board
      • Aims and Scope
      • Abstracting and Indexing
      • Bibliographic Information
      • Archive
    • Oncology Reports
      • Oncology Reports
      • Information for Authors
      • Editorial Policies
      • Editorial Board
      • Aims and Scope
      • Abstracting and Indexing
      • Bibliographic Information
      • Archive
    • Molecular Medicine Reports
      • Molecular Medicine Reports
      • Information for Authors
      • Editorial Policies
      • Editorial Board
      • Aims and Scope
      • Abstracting and Indexing
      • Bibliographic Information
      • Archive
    • World Academy of Sciences Journal
      • World Academy of Sciences Journal
      • Information for Authors
      • Editorial Policies
      • Editorial Board
      • Aims and Scope
      • Abstracting and Indexing
      • Bibliographic Information
      • Archive
    • International Journal of Functional Nutrition
      • International Journal of Functional Nutrition
      • Information for Authors
      • Editorial Policies
      • Editorial Board
      • Aims and Scope
      • Abstracting and Indexing
      • Bibliographic Information
      • Archive
    • International Journal of Epigenetics
      • International Journal of Epigenetics
      • Information for Authors
      • Editorial Policies
      • Editorial Board
      • Aims and Scope
      • Abstracting and Indexing
      • Bibliographic Information
      • Archive
    • Medicine International
      • Medicine International
      • Information for Authors
      • Editorial Policies
      • Editorial Board
      • Aims and Scope
      • Abstracting and Indexing
      • Bibliographic Information
      • Archive
  • Articles
  • Information
    • Information for Authors
    • Information for Reviewers
    • Information for Librarians
    • Information for Advertisers
    • Conferences
  • Language Editing
Spandidos Publications Logo
  • About
    • About Spandidos
    • Aims and Scopes
    • Abstracting and Indexing
    • Editorial Policies
    • Reprints and Permissions
    • Job Opportunities
    • Terms and Conditions
    • Contact
  • Journals
    • All Journals
    • Biomedical Reports
      • Information for Authors
      • Editorial Policies
      • Editorial Board
      • Aims and Scope
      • Abstracting and Indexing
      • Bibliographic Information
      • Archive
    • Experimental and Therapeutic Medicine
      • Information for Authors
      • Editorial Policies
      • Editorial Board
      • Aims and Scope
      • Abstracting and Indexing
      • Bibliographic Information
      • Archive
    • International Journal of Epigenetics
      • Information for Authors
      • Editorial Policies
      • Editorial Board
      • Aims and Scope
      • Abstracting and Indexing
      • Bibliographic Information
      • Archive
    • International Journal of Functional Nutrition
      • Information for Authors
      • Editorial Policies
      • Editorial Board
      • Aims and Scope
      • Abstracting and Indexing
      • Bibliographic Information
      • Archive
    • International Journal of Molecular Medicine
      • Information for Authors
      • Editorial Policies
      • Editorial Board
      • Aims and Scope
      • Abstracting and Indexing
      • Bibliographic Information
      • Archive
    • International Journal of Oncology
      • Information for Authors
      • Editorial Policies
      • Editorial Board
      • Aims and Scope
      • Abstracting and Indexing
      • Bibliographic Information
      • Archive
    • Medicine International
      • Information for Authors
      • Editorial Policies
      • Editorial Board
      • Aims and Scope
      • Abstracting and Indexing
      • Bibliographic Information
      • Archive
    • Molecular and Clinical Oncology
      • Information for Authors
      • Editorial Policies
      • Editorial Board
      • Aims and Scope
      • Abstracting and Indexing
      • Bibliographic Information
      • Archive
    • Molecular Medicine Reports
      • Information for Authors
      • Editorial Policies
      • Editorial Board
      • Aims and Scope
      • Abstracting and Indexing
      • Bibliographic Information
      • Archive
    • Oncology Letters
      • Information for Authors
      • Editorial Policies
      • Editorial Board
      • Aims and Scope
      • Abstracting and Indexing
      • Bibliographic Information
      • Archive
    • Oncology Reports
      • Information for Authors
      • Editorial Policies
      • Editorial Board
      • Aims and Scope
      • Abstracting and Indexing
      • Bibliographic Information
      • Archive
    • World Academy of Sciences Journal
      • Information for Authors
      • Editorial Policies
      • Editorial Board
      • Aims and Scope
      • Abstracting and Indexing
      • Bibliographic Information
      • Archive
  • Articles
  • Information
    • For Authors
    • For Reviewers
    • For Librarians
    • For Advertisers
    • Conferences
  • Language Editing
Login Register Submit
  • This site uses cookies
  • You can change your cookie settings at any time by following the instructions in our Cookie Policy. To find out more, you may read our Privacy Policy.

    I agree
Search articles by DOI, keyword, author or affiliation
Search
Advanced Search
presentation
Oncology Letters
Join Editorial Board Propose a Special Issue
Print ISSN: 1792-1074 Online ISSN: 1792-1082
Journal Cover
December-2015 Volume 10 Issue 6

Full Size Image

Sign up for eToc alerts
Recommend to Library

Journals

International Journal of Molecular Medicine

International Journal of Molecular Medicine

International Journal of Molecular Medicine is an international journal devoted to molecular mechanisms of human disease.

International Journal of Oncology

International Journal of Oncology

International Journal of Oncology is an international journal devoted to oncology research and cancer treatment.

Molecular Medicine Reports

Molecular Medicine Reports

Covers molecular medicine topics such as pharmacology, pathology, genetics, neuroscience, infectious diseases, molecular cardiology, and molecular surgery.

Oncology Reports

Oncology Reports

Oncology Reports is an international journal devoted to fundamental and applied research in Oncology.

Experimental and Therapeutic Medicine

Experimental and Therapeutic Medicine

Experimental and Therapeutic Medicine is an international journal devoted to laboratory and clinical medicine.

Oncology Letters

Oncology Letters

Oncology Letters is an international journal devoted to Experimental and Clinical Oncology.

Biomedical Reports

Biomedical Reports

Explores a wide range of biological and medical fields, including pharmacology, genetics, microbiology, neuroscience, and molecular cardiology.

Molecular and Clinical Oncology

Molecular and Clinical Oncology

International journal addressing all aspects of oncology research, from tumorigenesis and oncogenes to chemotherapy and metastasis.

World Academy of Sciences Journal

World Academy of Sciences Journal

Multidisciplinary open-access journal spanning biochemistry, genetics, neuroscience, environmental health, and synthetic biology.

International Journal of Functional Nutrition

International Journal of Functional Nutrition

Open-access journal combining biochemistry, pharmacology, immunology, and genetics to advance health through functional nutrition.

International Journal of Epigenetics

International Journal of Epigenetics

Publishes open-access research on using epigenetics to advance understanding and treatment of human disease.

Medicine International

Medicine International

An International Open Access Journal Devoted to General Medicine.

Journal Cover
December-2015 Volume 10 Issue 6

Full Size Image

Sign up for eToc alerts
Recommend to Library

  • Article
  • Citations
    • Cite This Article
    • Download Citation
    • Create Citation Alert
    • Remove Citation Alert
    • Cited By
  • Similar Articles
    • Related Articles (in Spandidos Publications)
    • Similar Articles (Google Scholar)
    • Similar Articles (PubMed)
  • Download PDF
  • Download XML
  • View XML
Article Open Access

Effect of combination therapy of siRNA targeting growth hormone receptor and 5-fluorouracil in hepatic metastasis of colon cancer

  • Authors:
    • Dong Zhou
    • Yi Zhang
    • Daoming Liang
    • Yong Yuan
    • Demiao Zeng
    • Jiayong Chen
    • Jie Yang
  • View Affiliations / Copyright

    Affiliations: Department of General Surgery, Xiangyang Hospital Affiliated to Hubei University of Medicine, Xiangyang, Hubei 441000, P.R. China
    Copyright: © Zhou et al. This is an open access article distributed under the terms of Creative Commons Attribution License.
  • Pages: 3505-3509
    |
    Published online on: September 30, 2015
       https://doi.org/10.3892/ol.2015.3770
  • Expand metrics +
Metrics: Total Views: 0 (Spandidos Publications: | PMC Statistics: )
Metrics: Total PDF Downloads: 0 (Spandidos Publications: | PMC Statistics: )
Cited By (CrossRef): 0 citations Loading Articles...

This article is mentioned in:



Abstract

The aim of this study was to investigate the effects of small interfering RNA (siRNA) targeting human growth hormone receptor (hGHR) combined with 5-fluorouracil (5-FU) on the hepatic metastasis of colon cancer. The animal model of liver metastases using human SW480 colon cancer cells was established on BALB/c mice and the siRNA interfering plasmid targeting hGHR gene was constructed. The tumor‑bearing mice were randomly divided into the saline control, plasmid, growth hormone (GH), 5‑FU, 5‑FU+plasmid and 5‑FU+plasmid+GH groups. The liver metastasis in each group was observed. All the animals showed liver metastases and using siRNA‑interfering plasmid treatment the incidence of liver metastases was significantly reduced in the tumor groups compared to the saline or GH group. The combined treatment of interfering plasmid and 5‑FU slightly decreased the incidence of liver metastases in the tumor groups compared to the plasmid alone or 5‑FU alone treatment, although the findings were not statistically significant. On the basis of the combination of interfering plasmid and 5‑FU, the additional GH did not increase the incidence of liver metastases (P>0.05), but improved the weight loss of the mice (P<0.05) induced by the inhibition of GHR and toxicity of 5‑FU. The present results showed that siRNA targeting hGHR is able to reduce the incidence of liver metastases of human SW480 colon cancer cells in mice. Thus, GHR may be important in tumor metastasis.

Introduction

Colon cancer cells, which invade the blood circulation, readily form metastases in the liver (1). The current available treatments for the hepatic metastasis of colonic carcinoma mainly focus on surgical removal of the metastasis; however, such treatments do not yield satisfactory results (2,3). Hepatic metastasis is considered the primary reason for the failure of colon cancer treatment in clinic, affecting patient prognosis and long-term survival (survival rate 10–20%) (4). The growth hormone receptor (GHR) genes are located on the fifth chromosome and GHR is widely distributed in human organs and tissues. Findings of a preliminary study showed that GHR is highly expressed in human colorectal carcinoma (5,6). Growth hormone (GH) induces cell differentiation and maturation by combining its receptor GHR with 191 amino acid monomeric peptides that are secreted from the eosinocyte anterior pituitary, initiating the anabolism inside the cells and promoting cell proliferation (7,8). GH/GHR plays an essential role in the occurrence of colon cancer and the development of hepatic metastases. By utilizing the technology of macromolecule interfering, we constructed a plasmid of small interfering RNA (siRNA) to interfere with GHR expression under diseased conditions involving hepatic metastases in colon cancer.

Materials and methods

Animals and cell lines

Thirty-six 8-week-old BALB/c mice with a body mass of 20–22 g were randomly selected from the Vital River Lab Animal Technology Co., Ltd. (Beijing, China). The mice were fed in a specific pathogen-free environment. The SW480 colorectal cancer cell line was purchased from the Cell Resource Center of the Shanghai Institutes for Biological Sciences at the Chinese Academy of Sciences (Shanghai, China). We have obtained the approval of the study by the Ethics Committee of Xiangyang Hospital Affiliated to Hubei University of Medicine and the humane treatment of the mice was ensured.

Cell suspension preparation

The human SW480 colonic cancer cells were cultivated in RPMI-1640 nutrient solution (Sigma, St. Louis, MO, USA) containing 10% fetal bovine serum (Thermo Fisher Scientific, Waltham, MA, USA), penicillin (100×103 U/l) and streptomycin (100 mg/l), and then placed in an incubator at 37°C, containing 5% CO2. The cells were collected at the exponential growth stage with 0.25% trypsinase and subsequently mechanically isolated to obtain cell suspension at a centrifugation of 200 × g for 5 min. The supernatant was discarded and moderate normal saline (NS) was added to adjust the cell concentration to 1×107/ml. The cell viability was measured using trypan blue 95% (Chongqing Chemicals Co., Chongqing, China).

Introduction of cancer cells via animal surgery

Mice were weighed prior to anesthesia. Confirmation that animals were anesthetized was indicated by a decrease in limb tension, corneal reflex showing no response and disappearance of skin pain. Aseptically, an oblique incision was performed in the left rear of the animals of 0.5–1.0 cm under the juncture of the left posterior axillary line and costal margin. The abdominal cavity was subsequently exposed and obliquely punctured using a size five needle along the length of the spleen into the membranes below. By forwarding the needle approximately 0.5 cm under the membrane, human SW480 colonic cancer cells were injected into the spleen. Each mouse was injected for 3 min with 0.1 ml cell suspension (or 1×106/mouse). When the spleen membranes swelled and became white, the needle was withdrawn and pressure was applied to the site using cotton for disinfection, avoiding the exposure of cancer cells and bleeding. The spleen was then returned and the abdominal cavity was secured. After the mice recovered, the animals were fed a regular diet.

Construction of siRNA synthesis and eukaryotic expression vector

The mRNA sequence of the human GHR gene was obtained from the GenBank database, and the full-length genomic sequence was 4,414 bp (access no.: X06562, GI: 31737). According to the design principle of siRNA (http://bioinfo.clontech.com/rnaidesigner), the siRNA was designed to the genetic locus of hGHR online which is 1602–1622 bp: TGGTCTCACTCTGCCAAGAAA. The restriction sites for BamHI and HindIII were inserted in the siRNA with enzyme digestion into the eukaryotic expression vector pcDNATM6.2- GW/EmGFPmiRmiRNA, which was designated as pcDNATM6.2-GW/EmGFPmiRmiRNA-GHR-4 (G4).

Interfering particle

The bacterial solution containing the interfering particle was added into the lysozyme nutrient solution and centrifuged at 220 × g overnight at 37°C. An effective and efficient plasmid with high purity was extracted using Plasmid Midiprep kit (high-quality; Sigma) to prepare the plasmid according to the manufacturer's instructions.

Experiment reagents and treatment

TRIzol reagent was purchased from Invitrogen Life Technologies (Carlsbad, CA, USA), and the one-step RT-PCR kit and Qiagen plasmid mini kit were purchased from Qiagen (Hilden, Germany). BamHI and HindIII were produced by Promega Corp. (Madison, WI, USA), 5-fluorouracil (5-FU) was produced in the Hubei Yuancheng Pharmaceutical Co., Ltd. (Wuhan, China) and recombinant human growth hormone (rhGH) was produced by Merck Serono [(Schweiz) AG (Zug, Switzerland)].

Inoculation of animals

The mice were injected on the first day of inoculation with tumor cells. Based on the delivery and dose of treatment, the animals were divided as follows: i) NS, each mouse was injected with 10 µl NS in the abdominal cavity. ii) Plasmid G4, where animals were injected subcutaneously with eukaryotic expression plasmid as 10 µg/mouse. iii) GH, each mouse was injected subcutaneously with rhGH 2 IU/kg. iv) 5-FU, the intraperitoneal injection was applied at a dose of 20 mg of 5-FU/kg. v) FU+G4, intraperitoneal injection at a dose of 20 mg 5-FU/kg and 10 µg G4/mouse. vi) FU+G4+GH, intraperitoneal injection performed as 20 mg of 5-FU/kg, 10 µg of G4/mouse and rhGH 2 IU/kg. The mice in the abovementioned groups were injected once every 3 days and subsequently continually injected 10-fold.

The observation index

Body mass, volume of drinking water, food intake, mental and activity condition were observed on the 1st, 5th, 10th, 15th, 20th, 25th and 30th day piror to and following inoculation. On the 30th day of inoculation, the animals were sacrificed to collect liver and spleen and fixed in 4% of formaldehyde solution. Sections (4 µm) were obtained and paraffin-embedded, followed by hematoxylin and eosin (H&E) staining for histology. The animals were sacrificed by cervical dislocation.

Statistical analysis

Data were shown as mean ± standard deviation, and one-way analysis of variance was used for multi-groups. For comparison between two groups, the q-value was used for analysis. P<0.05 was considered to indicate a statistically significant result.

Results

Animal weight

BALB/c mice inoculated with human SW480 colon cancer cells survived. Following surgery, the mice were weighed every 5 days (Table I). On the first day, the body mass of mice in each group appeared to decrease, with a lack of activeness and a reduction in the consumption of water and food. This lack of activity may be explained by the anesthesia and subsequent surgical procedure. By the 15th day, the mice of the GH group regained their body mass (21.87±0.74) to that prior to the operation (21.93±0.58). By the 30th day, the body mass of the mice (22.00±0.46) increased slightly as compared to that prior to the operation. In the FU+GH group, the weight of the mice was recovered at the 4th week. For the remaining four groups, the body mass of the mice was decreased as compared to that prior to the operation (NS, 21.69±0.37 vs. 20.18±0.35; G4, 21.78±0.6 vs. 20.01±0.49; FU, 21.98±0.53 vs. 19.35±0.42; FU+G4, 21.47±0.68 vs. 19.27±0.57), particularly the FU+G4 group. The decrease for these groups was statistically significant (Table I).

Table I.

The variation of mice body mass in each group of liver metastases.

Table I.

The variation of mice body mass in each group of liver metastases.

Mean body mass for mice from each group (mean ± standard deviation)

TimeNSG4GHFUFU+G4FU+G4+GH
Prior to surgery21.69±0.3721.78±0.621.93±0.5821.98±0.5321.47±0.6821.75±0.38
1 day after surgery20.15±0.5620.33±0.4220.89±0.6720.43±0.3120.52±0.5920.41±0.48
5 days after surgery20.02±0.4520.14±0.78 21.14±0.70a20.10±0.56 19.69±0.64a20.75±1.63
10 days after surgery19.96±0.6819.87±0.68 21.22±0.92a19.58±0.6619.78±0.98 20.98±0.62a,b
15 days after surgery19.81±0.3819.85±0.74 21.87±0.74a19.71±0.45 18.87±0.57a 21.13±0.72a,b
20 days after surgery20.01±0.65 19.78±0.62a 21.62±0.73a 19.65±0.61a 18.99±0.78a 21.21±0.63a,b
25 days after surgery19.91±0.4419.92±0.23 21.80±0.55a19.38±0.6919.14±0.65 21.13±0.65a,b
30 days after surgery20.18±0.3520.01±0.49 22.00±0.46a 19.35±0.42a 19.27±0.57a 21.29±0.37a,b

a In comparison with group NS, P<0.05.

b In comparison with group G4, P<0.05. NS, normal saline; GH, growth hormone; FU, fluorouracil.

Morphology of liver metastases

Metastatic tumors were identified on the surface of the liver of the BALB/c mice, indicating a 100% increase of th eliver metastatic rate. Liver volume became smaller and the texture appeared as crisp and hard. The metastasis tumor foci of the liver surface were mainly identified in the lobe margin and lobe visceral surface, especially the right lobe. The liver micrometastases for 26 animals showed diffused distribution with hoary appearance. Some tumor surface ulceration was observed, while the hepatic tissue was destroyed (Table II). Different numbers of liver metastases for mice in each group were observed under the microscope. The numbers of liver metastases in the NS group (10.17±1.94) and GH group (10.50±1.38) were significantly higher than those in the G4 group (2.67±137), FU group (3.17±0.98), G4+FU group (2.33±1.03) and G4+GH+FU group (2.17±0.75) (P<0.05). There were no significant differences between the NS and GH groups (10.17±1.94 vs. 10.50±1.38; P>0.5). A low number of liver metastasis was evident in the G4+GH+FU group (2.17±0.75). There were significant differences compared to those of the G4 group (2.67±137), FU group (3.17±0.98) and G4+FU group (2.33±1.03) (P<0.5).

Table II.

Comparison of number of liver metastases for mice in each group.

Table II.

Comparison of number of liver metastases for mice in each group.

Number of liver metastases

GroupsGroup 1Group 2Group 3Group 4Group 5Group 6Mean ± SD
NS  9  810  9121310.17±1.94
G4  3  2  2  3  5  1 2.67±1.37a
GH10  91112  912 10.50±1.38b
FU  3  3  3  2  5  3 3.17±0.98a
FU+G4  2  2  4  1  3  2 2.33±1.03a
FU+G4+GH  3  1  2  2  3  2 2.17±0.75a

a In comparison with group NS, P<0.05.

b In comparison with group NS, P>0.05. NS, normal saline; GH, growth hormone; FU, fluorouracil; SD, standard deviation.

Histology

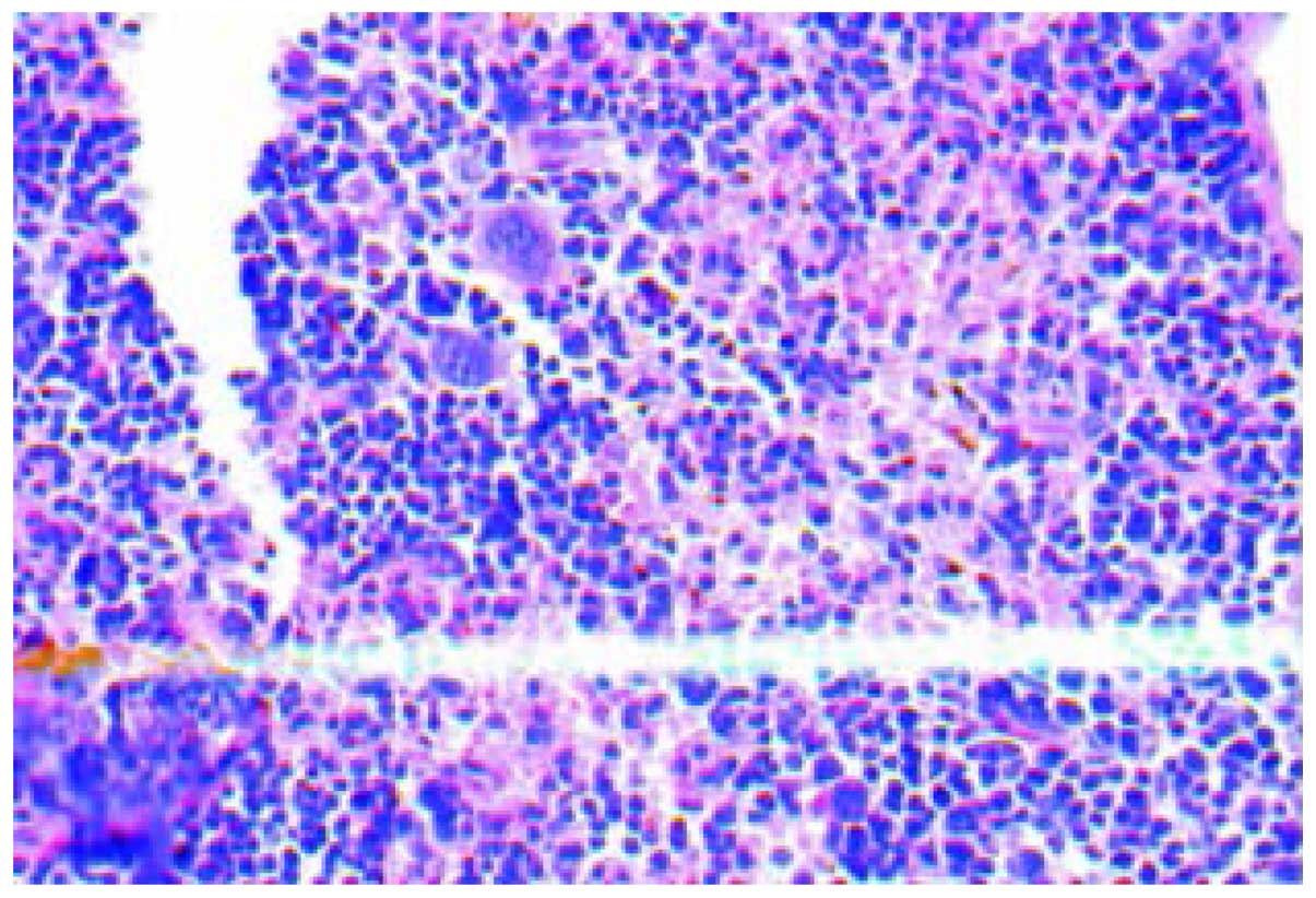
The H&E staining of tissues showed that inner liver metastatic tumors were clustered. The normal liver lobule structure was eradicated, cell volume was reduced, the cancer cell differentiation was poor with obvious atypia and the cytoplasm, karyopyknosis, karyorrhexis, dissolution and mitosis increased (Fig. 1). Various hoary nodes, with a diameter of 0.2–3 mm, were evident in part of the inoculated spleen. The tumor formation rate of orthotopic inoculation was 100%. The cancer cells of the spleen orthotopic inoculation were mainly distributed near the splenic sinusoids with obvious atypia, concentrated in the nucleus and cytoplasm, with the chromosomal becoming hard, and more intense staining (Fig. 2). The morphological structure of the liver metastases was similar to that of the tumor nodules of the spleen orthotopic inoculation, conforming to the structural features of colon low-differentiated adenocarcinoma.

Figure 1.

The liver metastases (hematoxylin and eosin; magnification, ×400). The image is from a representative mouse.

Figure 2.

The inoculated tumor of the spleen in situ (hematoxylin and eosin; magnification, ×400). The image is from a representative mouse.

Discussion

Hepatic metastases occur in almost 500,000 colon cancer patients during disease progression annually (9). The liver is the primary target organ of hematogenous gastric and colorectal metastasis (10), which constitutes the highest hepatic metastatic rate of colorectal cancer in alimentary cancer. Currently, the treatment for hepatic metastasis of colon cancer is mainly focused on hepatectomy while combining the adjuvant therapy of chemo- and radiotherapy. However, surgery may not be a viable treatment option for advanced stage patients. Additionally, post-surgery tumor cells are not sensitive to chemotherapy leading to treatment failure. The patient survival rate following surgery is between 50 and 70% (11–13). Previous studies have focused on the molecular mechanism of hepatic metastases of colorectal cancer to select appropriate genes associated with tumor as therapeutic target in order to identify the relevant therapy (1). Previous findings have shown that organizing the specificity of 5-fluorocytosine/cytosine deaminase to identify a thermochemotherapy system can effectively obtain the targeting and inhibitory effect of hepatic metastases in colon cancer of nude mice (14).

RNAi technology is associated with double-stranded RNA, which is complementary with endogenous mRNA in cells, leading to the specific degradation of mRNA and resulting in mRNA encoding genes not expressing the result of gene silencing. The emergence of RNAi has been beneficial in the study of the function of genes and identification of the target of gene therapy (15). The rhGH is widely used in the surgical field of opsonizing the metabolism, enhancing the immune system, relieving postoperative fatigue, promoting wound healing, maintaining the intestinal mucosal barrier, and reducing bacterial translocation. The rhGH binds to its receptor (GHR) on the cell surface and via the GH-GHR-insulin-like growth factors (IGFs) axis triggers a series of biological effects (16). In recent years, investigators have identified that the GH-GHR-IGFs axis markedly contributes to the occurrence, development and metastasis of maligant tumors (17,18). The expression of colon cancer tissues in GHR is high and rhGH can promote the proliferation, differentiation, and metastasis of tumor cells of postoperative residuals. Previous findings have suggested that rhGH should be employed with care in patients with a high expression of colon cancer (19–25). Considering the role of GHR in tumor metastasis, the aim of the present study was to investigate the GHR response by constructing GHR siRNA. GRH is stimulated following colon surgery, in which the cancer cells flow backward into the vein and then to the liver with blood dissemination leading to hepatic metastasis.

In the present study, we developed a hepatic metastasis mouse model by injecting human SW480 colon cancer cells into the spleen of BALB/c mice. The animals were also treated with GHR siRNA-interfering plasmid and 5-FU was added. The formation of hepatic metastatic tumor in BALB/c mice was investigated. The experimental results showed that GHR siRNA is capable of inhibiting the hepatic metastasis of human SW480 colon cancer cells. In the joint group of FU+G4+GH, a comparison of the inhibition ratio of hepatic metastasis using 5-FU alone for the group FU+G4 yielded no statistically significant difference. However, in order to improve food intake in the body mass of mice, the latter two groups have an advantage over the group of FU+G4+GH. When GH binds with GHR-siRNA and 5-FU, the hepatic metastatic ratio of SW480 cells is not increased. Additionally, GHR-siRNA is capable of selectively inhibiting the metastasis of human SW480 colon cancer cells, confirming the significant role GHR plays in tumor metastasis (26–28). Therefore, results of the present study further enhance understanding for treating colon cancer through the combination therapy of 5-FU and siGHR.

References

1 

Nordlinger B, Sorbye H, Glimelius B, Poston GJ, Schlag PM, Rougier P, Bechstein WO, Primrose JN, Walpole ET, Finch-Jones M, et al: EORTC Gastro-Intestinal Tract Cancer Group; Cancer Research UK; Arbeitsgruppe Lebermetastasen und-tumoren in der Chirurgischen Arbeitsgemeinschaft Onkologie (ALM-CAO); Australasian Gastro-Intestinal Trials Group (AGITG); Fédération Francophone de Cancérologie Digestive (FFCD): Perioperative chemotherapy with FOLFOX4 and surgery versus surgery alone for resectable liver metastases from colorectal cancer (EORTC Intergroup trial 40983): A randomised controlled trial. Lancet. 371:1007–1016. 2008. View Article : Google Scholar : PubMed/NCBI

2 

Tropea A, Biondi A, Corsaro A, Donati M, Basile F and Gruttadauria S: Combined microwave thermal ablation and liver resection for single step treatment of otherwise unresectable colorectal liver metastases; a monoistitutional experiences. Eur Rev Med Pharmacol Sci. 18(Suppl 2): 6–10. 2014.PubMed/NCBI

3 

Giovinale M, Fonnesu C, Soriano A, Cerquaglia C, Curigliano V, Verrecchia E, De Socio G, Gasbarrini G and Manna R: Atypical sarcoidosis: Case reports and review of the literature. Eur Rev Med Pharmacol Sci. 13(Suppl 1): 37–44. 2009.PubMed/NCBI

4 

Otchy D, Hyman NH, Simmang C, et al: Standards Practice Task Force; American Society of Colon and Rectal Surgeons: Practice parameters for colon cancer. Dis Colon Rectum. 47:1269–1284. 2004. View Article : Google Scholar : PubMed/NCBI

5 

Zhou D, Liang D and Zhang Y: The expression of human growth hormone receptor in colon cancer tissues and its clinical significance. China J Curr Adv Gen Surg. 10:490–492. 2007.(In Chinese).

6 

Liang DM, Chen JY and Zhang Y: The expression of human growth hormone receptor in rectal cancer tissues. China J Gen Surg. 18:414–416. 2009.(In Chinese).

7 

Shen XY, Holt RI, Miell JP, Justice S, Portmann B, Postel-Vinay MC and Ross RJ: Cirrhotic liver expresses low levels of the full-length and truncated growth hormone receptors. J Clin Endocrinol Metab. 83:2532–2538. 1998. View Article : Google Scholar : PubMed/NCBI

8 

Waters MJ, Hoang HN, Fairlie DP, Pelekanos RA and Brown RJ: New insights into growth hormone action. J Mol Endocrinol. 36:1–7. 2006. View Article : Google Scholar : PubMed/NCBI

9 

Wei C, Tan J, Xu L, Juan L, Zhang SW, Wang L and Wang Q: Differential diagnosis between hepatic metastases and benign focal lesions using DWI with parallel acquisition technique: A meta-analysis. Tumour Biol. 36:983–990. 2015. View Article : Google Scholar : PubMed/NCBI

10 

Waisberg J and Ivankovics IG: Liver-first approach of colorectal cancer with synchronous hepatic metastases: A reverse strategy. World J Hepatol. 7:1444–1449. 2015. View Article : Google Scholar : PubMed/NCBI

11 

Watzka FM, Fottner C, Miederer M, Schad A, Weber MM, Otto G, Lang H and Musholt TJ: Surgical therapy of neuroendocrine neoplasm with hepatic metastasis: Patient selection and prognosis. Langenbecks Arch Surg. 400:349–358, erratum 359. 2015. View Article : Google Scholar : PubMed/NCBI

12 

Kemeny NE, Chou JF, Capanu M, Gewirtz AN, Cercek A, Kingham TP, Jarnagin WR, Fong YC, DeMatteo RP, Allen PJ, et al: KRAS mutation influences recurrence patterns in patients undergoing hepatic resection of colorectal metastases. Cancer. 120:3965–3971. 2014. View Article : Google Scholar : PubMed/NCBI

13 

Jiang XY, Zhang XP, Huang JH, Luo RG, Miao BJ and Wang Y: Effects of intra-arterial infusion of 3-bromopyruvate on metastases and survival benefit of hepatic VX2 tumor in rabbits. Zhonghua Yi Xue Za Zhi. 93:3139–3142. 2013.(In Chinese). PubMed/NCBI

14 

Cai C: Reflections on clinical problems of hepatic metastasis from gastric and colorectal cancer. China J Gen Surg. 14:721–722. 2005.(In Chinese).

15 

Choti MA, Sitzmann JV, Tiburi MF, et al: Trends in long-term survival following liver resection for hepatic colorectal metastases. Ann Surg. 235:759–766. 2002. View Article : Google Scholar : PubMed/NCBI

16 

Tschoep K, Kohlmann A, Schlemmer M, Haferlach T and Issels RD: Gene expression profiling in sarcomas. Crit Rev Oncol Hematol. 63:111–124. 2007. View Article : Google Scholar : PubMed/NCBI

17 

Li C, Zhang B and Wang L: The targeting effect of pro-drug thermochemotherapy on mice hepatic metastasis of gene transfection of colon cancer. China J Gen Surg. 18:348–352. 2009.(In Chinese).

18 

Wang X and Zhao J: KLF8 transcription factor participates in oncogenic transformation. Oncogene. 26:456–461. 2007. View Article : Google Scholar : PubMed/NCBI

19 

Campbell GS: Growth-hormone signal transduction. J Pediatr. 131:S42–S44. 1997. View Article : Google Scholar : PubMed/NCBI

20 

Yi HK, Hwang PH, Yang DH, Kang CW and Lee DY: Expression of the insulin-like growth factors (IGFs) and the IGF-binding proteins (IGFBPs) in human gastric cancer cells. Eur J Cancer. 37:2257–2263. 2001. View Article : Google Scholar : PubMed/NCBI

21 

Zhu H and Yang D: The research development on the relation between GH-IGFs and tumor. China Cancer. 11:720–722. 2002.

22 

Yang XD, Liu FK, Xu Z and Li JS: Growth hormone receptor expression in human colorectal cancer and its implication. Zhonghua Wei Chang Wai Ke Za Zhi. 8:252–254. 2005.(In Chinese). PubMed/NCBI

23 

Lim C, Broqueres-You D, Brouland JP, Merkulova-Rainon T, Faussat AM, Hilal R, Rouquie D, Eveno C, Audollent R, Levy BI, et al: Hepatic ischemia-reperfusion increases circulating bone marrow-derived progenitor cells and tumor growth in a mouse model of colorectal liver metastases. J Surg Res. 184:888–897. 2013. View Article : Google Scholar : PubMed/NCBI

24 

Paschos KA, Majeed AW and Bird NC: Natural history of hepatic metastases from colorectal cancer - pathobiological pathways with clinical significance. World J Gastroenterol. 20:3719–3737. 2014. View Article : Google Scholar : PubMed/NCBI

25 

Yamao T, Hayashi H, Higashi T, Takeyama H, Kaida T, Nitta H, Hashimoto D, Chikamoto A, Beppu T and Baba H: Colon cancer metastasis mimicking intraductal papillary neoplasm of the extra-hepatic bile duct. Int J Surg Case Rep. 10:91–93. 2015. View Article : Google Scholar : PubMed/NCBI

26 

Liu Y, Ning SL, Chen YX, Xu KS and Shou NH: Role of vascular cell adhesion molecule-1 in the mouse model of hepatic ischemia/reperfusion and the hematogenic metastasis. Zhongguo Yi Xue Ke Xue Yuan Xue Bao. 36:426–431. 2014.(In Chinese). PubMed/NCBI

27 

Barber EL, Schink JC and Lurain JR: Hepatic metastasis in gestational trophoblastic neoplasia: Patient characteristics, prognostic factors, and outcomes. J Reprod Med. 59:199–203. 2014.PubMed/NCBI

28 

Padda RS, Gkouvatsos K, Guido M, Mui J, Vali H and Pantopoulos K: A high-fat diet modulates iron metabolism but does not promote liver fibrosis in hemochromatotic Hjv-/- mice. Am J Physiol Gastrointest Liver Physiol. 308:G251–G261. 2015. View Article : Google Scholar : PubMed/NCBI

Related Articles

  • Abstract
  • View
  • Download
  • Twitter
Copy and paste a formatted citation
Spandidos Publications style
Zhou D, Zhang Y, Liang D, Yuan Y, Zeng D, Chen J and Yang J: Effect of combination therapy of siRNA targeting growth hormone receptor and 5-fluorouracil in hepatic metastasis of colon cancer. Oncol Lett 10: 3505-3509, 2015.
APA
Zhou, D., Zhang, Y., Liang, D., Yuan, Y., Zeng, D., Chen, J., & Yang, J. (2015). Effect of combination therapy of siRNA targeting growth hormone receptor and 5-fluorouracil in hepatic metastasis of colon cancer. Oncology Letters, 10, 3505-3509. https://doi.org/10.3892/ol.2015.3770
MLA
Zhou, D., Zhang, Y., Liang, D., Yuan, Y., Zeng, D., Chen, J., Yang, J."Effect of combination therapy of siRNA targeting growth hormone receptor and 5-fluorouracil in hepatic metastasis of colon cancer". Oncology Letters 10.6 (2015): 3505-3509.
Chicago
Zhou, D., Zhang, Y., Liang, D., Yuan, Y., Zeng, D., Chen, J., Yang, J."Effect of combination therapy of siRNA targeting growth hormone receptor and 5-fluorouracil in hepatic metastasis of colon cancer". Oncology Letters 10, no. 6 (2015): 3505-3509. https://doi.org/10.3892/ol.2015.3770
Copy and paste a formatted citation
x
Spandidos Publications style
Zhou D, Zhang Y, Liang D, Yuan Y, Zeng D, Chen J and Yang J: Effect of combination therapy of siRNA targeting growth hormone receptor and 5-fluorouracil in hepatic metastasis of colon cancer. Oncol Lett 10: 3505-3509, 2015.
APA
Zhou, D., Zhang, Y., Liang, D., Yuan, Y., Zeng, D., Chen, J., & Yang, J. (2015). Effect of combination therapy of siRNA targeting growth hormone receptor and 5-fluorouracil in hepatic metastasis of colon cancer. Oncology Letters, 10, 3505-3509. https://doi.org/10.3892/ol.2015.3770
MLA
Zhou, D., Zhang, Y., Liang, D., Yuan, Y., Zeng, D., Chen, J., Yang, J."Effect of combination therapy of siRNA targeting growth hormone receptor and 5-fluorouracil in hepatic metastasis of colon cancer". Oncology Letters 10.6 (2015): 3505-3509.
Chicago
Zhou, D., Zhang, Y., Liang, D., Yuan, Y., Zeng, D., Chen, J., Yang, J."Effect of combination therapy of siRNA targeting growth hormone receptor and 5-fluorouracil in hepatic metastasis of colon cancer". Oncology Letters 10, no. 6 (2015): 3505-3509. https://doi.org/10.3892/ol.2015.3770
Follow us
  • Twitter
  • LinkedIn
  • Facebook
About
  • Spandidos Publications
  • Careers
  • Cookie Policy
  • Privacy Policy
How can we help?
  • Help
  • Live Chat
  • Contact
  • Email to our Support Team