Spandidos Publications Logo
  • About
    • About Spandidos
    • Aims and Scopes
    • Abstracting and Indexing
    • Editorial Policies
    • Reprints and Permissions
    • Job Opportunities
    • Terms and Conditions
    • Contact
  • Journals
    • All Journals
    • Oncology Letters
      • Oncology Letters
      • Information for Authors
      • Editorial Policies
      • Editorial Board
      • Aims and Scope
      • Abstracting and Indexing
      • Bibliographic Information
      • Archive
    • International Journal of Oncology
      • International Journal of Oncology
      • Information for Authors
      • Editorial Policies
      • Editorial Board
      • Aims and Scope
      • Abstracting and Indexing
      • Bibliographic Information
      • Archive
    • Molecular and Clinical Oncology
      • Molecular and Clinical Oncology
      • Information for Authors
      • Editorial Policies
      • Editorial Board
      • Aims and Scope
      • Abstracting and Indexing
      • Bibliographic Information
      • Archive
    • Experimental and Therapeutic Medicine
      • Experimental and Therapeutic Medicine
      • Information for Authors
      • Editorial Policies
      • Editorial Board
      • Aims and Scope
      • Abstracting and Indexing
      • Bibliographic Information
      • Archive
    • International Journal of Molecular Medicine
      • International Journal of Molecular Medicine
      • Information for Authors
      • Editorial Policies
      • Editorial Board
      • Aims and Scope
      • Abstracting and Indexing
      • Bibliographic Information
      • Archive
    • Biomedical Reports
      • Biomedical Reports
      • Information for Authors
      • Editorial Policies
      • Editorial Board
      • Aims and Scope
      • Abstracting and Indexing
      • Bibliographic Information
      • Archive
    • Oncology Reports
      • Oncology Reports
      • Information for Authors
      • Editorial Policies
      • Editorial Board
      • Aims and Scope
      • Abstracting and Indexing
      • Bibliographic Information
      • Archive
    • Molecular Medicine Reports
      • Molecular Medicine Reports
      • Information for Authors
      • Editorial Policies
      • Editorial Board
      • Aims and Scope
      • Abstracting and Indexing
      • Bibliographic Information
      • Archive
    • World Academy of Sciences Journal
      • World Academy of Sciences Journal
      • Information for Authors
      • Editorial Policies
      • Editorial Board
      • Aims and Scope
      • Abstracting and Indexing
      • Bibliographic Information
      • Archive
    • International Journal of Functional Nutrition
      • International Journal of Functional Nutrition
      • Information for Authors
      • Editorial Policies
      • Editorial Board
      • Aims and Scope
      • Abstracting and Indexing
      • Bibliographic Information
      • Archive
    • International Journal of Epigenetics
      • International Journal of Epigenetics
      • Information for Authors
      • Editorial Policies
      • Editorial Board
      • Aims and Scope
      • Abstracting and Indexing
      • Bibliographic Information
      • Archive
    • Medicine International
      • Medicine International
      • Information for Authors
      • Editorial Policies
      • Editorial Board
      • Aims and Scope
      • Abstracting and Indexing
      • Bibliographic Information
      • Archive
  • Articles
  • Information
    • Information for Authors
    • Information for Reviewers
    • Information for Librarians
    • Information for Advertisers
    • Conferences
  • Language Editing
Spandidos Publications Logo
  • About
    • About Spandidos
    • Aims and Scopes
    • Abstracting and Indexing
    • Editorial Policies
    • Reprints and Permissions
    • Job Opportunities
    • Terms and Conditions
    • Contact
  • Journals
    • All Journals
    • Biomedical Reports
      • Information for Authors
      • Editorial Policies
      • Editorial Board
      • Aims and Scope
      • Abstracting and Indexing
      • Bibliographic Information
      • Archive
    • Experimental and Therapeutic Medicine
      • Information for Authors
      • Editorial Policies
      • Editorial Board
      • Aims and Scope
      • Abstracting and Indexing
      • Bibliographic Information
      • Archive
    • International Journal of Epigenetics
      • Information for Authors
      • Editorial Policies
      • Editorial Board
      • Aims and Scope
      • Abstracting and Indexing
      • Bibliographic Information
      • Archive
    • International Journal of Functional Nutrition
      • Information for Authors
      • Editorial Policies
      • Editorial Board
      • Aims and Scope
      • Abstracting and Indexing
      • Bibliographic Information
      • Archive
    • International Journal of Molecular Medicine
      • Information for Authors
      • Editorial Policies
      • Editorial Board
      • Aims and Scope
      • Abstracting and Indexing
      • Bibliographic Information
      • Archive
    • International Journal of Oncology
      • Information for Authors
      • Editorial Policies
      • Editorial Board
      • Aims and Scope
      • Abstracting and Indexing
      • Bibliographic Information
      • Archive
    • Medicine International
      • Information for Authors
      • Editorial Policies
      • Editorial Board
      • Aims and Scope
      • Abstracting and Indexing
      • Bibliographic Information
      • Archive
    • Molecular and Clinical Oncology
      • Information for Authors
      • Editorial Policies
      • Editorial Board
      • Aims and Scope
      • Abstracting and Indexing
      • Bibliographic Information
      • Archive
    • Molecular Medicine Reports
      • Information for Authors
      • Editorial Policies
      • Editorial Board
      • Aims and Scope
      • Abstracting and Indexing
      • Bibliographic Information
      • Archive
    • Oncology Letters
      • Information for Authors
      • Editorial Policies
      • Editorial Board
      • Aims and Scope
      • Abstracting and Indexing
      • Bibliographic Information
      • Archive
    • Oncology Reports
      • Information for Authors
      • Editorial Policies
      • Editorial Board
      • Aims and Scope
      • Abstracting and Indexing
      • Bibliographic Information
      • Archive
    • World Academy of Sciences Journal
      • Information for Authors
      • Editorial Policies
      • Editorial Board
      • Aims and Scope
      • Abstracting and Indexing
      • Bibliographic Information
      • Archive
  • Articles
  • Information
    • For Authors
    • For Reviewers
    • For Librarians
    • For Advertisers
    • Conferences
  • Language Editing
Login Register Submit
  • This site uses cookies
  • You can change your cookie settings at any time by following the instructions in our Cookie Policy. To find out more, you may read our Privacy Policy.

    I agree
Search articles by DOI, keyword, author or affiliation
Search
Advanced Search
presentation
Oncology Letters
Join Editorial Board Propose a Special Issue
Print ISSN: 1792-1074 Online ISSN: 1792-1082
Journal Cover
January-2016 Volume 11 Issue 1

Full Size Image

Sign up for eToc alerts
Recommend to Library

Journals

International Journal of Molecular Medicine

International Journal of Molecular Medicine

International Journal of Molecular Medicine is an international journal devoted to molecular mechanisms of human disease.

International Journal of Oncology

International Journal of Oncology

International Journal of Oncology is an international journal devoted to oncology research and cancer treatment.

Molecular Medicine Reports

Molecular Medicine Reports

Covers molecular medicine topics such as pharmacology, pathology, genetics, neuroscience, infectious diseases, molecular cardiology, and molecular surgery.

Oncology Reports

Oncology Reports

Oncology Reports is an international journal devoted to fundamental and applied research in Oncology.

Experimental and Therapeutic Medicine

Experimental and Therapeutic Medicine

Experimental and Therapeutic Medicine is an international journal devoted to laboratory and clinical medicine.

Oncology Letters

Oncology Letters

Oncology Letters is an international journal devoted to Experimental and Clinical Oncology.

Biomedical Reports

Biomedical Reports

Explores a wide range of biological and medical fields, including pharmacology, genetics, microbiology, neuroscience, and molecular cardiology.

Molecular and Clinical Oncology

Molecular and Clinical Oncology

International journal addressing all aspects of oncology research, from tumorigenesis and oncogenes to chemotherapy and metastasis.

World Academy of Sciences Journal

World Academy of Sciences Journal

Multidisciplinary open-access journal spanning biochemistry, genetics, neuroscience, environmental health, and synthetic biology.

International Journal of Functional Nutrition

International Journal of Functional Nutrition

Open-access journal combining biochemistry, pharmacology, immunology, and genetics to advance health through functional nutrition.

International Journal of Epigenetics

International Journal of Epigenetics

Publishes open-access research on using epigenetics to advance understanding and treatment of human disease.

Medicine International

Medicine International

An International Open Access Journal Devoted to General Medicine.

Journal Cover
January-2016 Volume 11 Issue 1

Full Size Image

Sign up for eToc alerts
Recommend to Library

  • Article
  • Citations
    • Cite This Article
    • Download Citation
    • Create Citation Alert
    • Remove Citation Alert
    • Cited By
  • Similar Articles
    • Related Articles (in Spandidos Publications)
    • Similar Articles (Google Scholar)
    • Similar Articles (PubMed)
  • Download PDF
  • Download XML
  • View XML
Case Report Open Access

Intraluminal superior vena cava metastasis from adenosquamous carcinoma of the duodenum: A case report

  • Authors:
    • Kotoe Takayoshi
    • Hiroshi Ariyama
    • Shingo Tamura
    • Shunsuke Yoda
    • Takeshi Arita
    • Toshihiro Yamaguchi
    • Keigo Ozono
    • Hidetaka Yamamoto
    • Kyoko Inadomi
    • Hozumi Kumagai
    • Mamoru Tanaka
    • Yuta Okumura
    • Kosuke Sagara
    • Kenta Nio
    • Michitaka Nakano
    • Shuji Arita
    • Hitoshi Kusaba
    • Keita Odashiro
    • Yoshinao Oda
    • Koichi Akashi
    • Eishi Baba
  • View Affiliations / Copyright

    Affiliations: Department of Hematology and Oncology, Kyushu University Hospital, Fukuoka, Fukuoka 812‑8582, Japan, Department of Clinical Radiology, Graduate School of Medical Sciences, Kyushu University, Fukuoka, Fukuoka 812‑8582, Japan, Department of Anatomical Pathology, Pathological Sciences, Graduate School of Medical Sciences, Kyushu University, Fukuoka, Fukuoka 812‑8582, Japan, Department of Comprehensive Clinical Oncology, Faculty of Medical Sciences, Kyushu University, Fukuoka, Fukuoka 812‑8582, Japan
    Copyright: © Takayoshi et al. This is an open access article distributed under the terms of Creative Commons Attribution License.
  • Pages: 605-609
    |
    Published online on: November 18, 2015
       https://doi.org/10.3892/ol.2015.3938
  • Expand metrics +
Metrics: Total Views: 0 (Spandidos Publications: | PMC Statistics: )
Metrics: Total PDF Downloads: 0 (Spandidos Publications: | PMC Statistics: )
Cited By (CrossRef): 0 citations Loading Articles...

This article is mentioned in:



Abstract

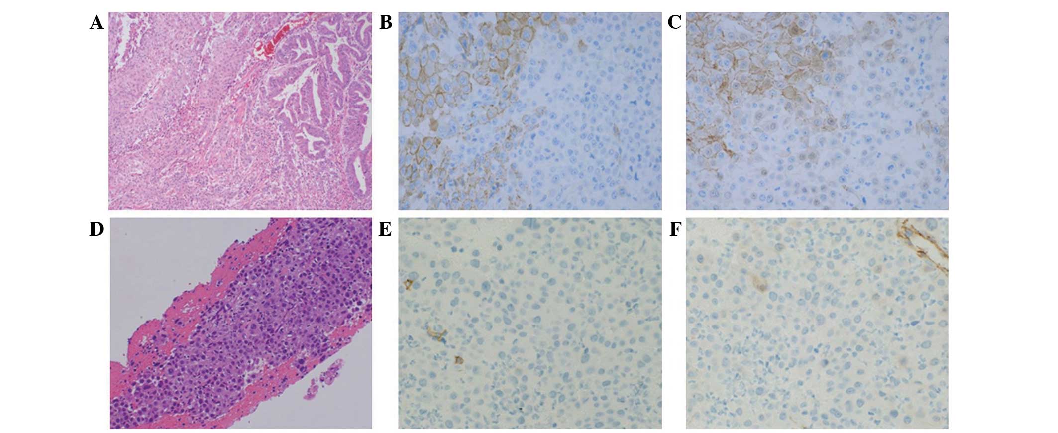
In 2013, a 76-year-old male with a cardiac pacemaker was diagnosed with adenosquamous carcinoma of the duodenum. Subsequently, a pancreatoduodenectomy and lymph node dissection were performed, and 12 cycles of adjuvant chemotherapy (modified FOLFOX6 regimen), which consisted of fluorouracil, leucovorin and oxaliplatin, were administered via a central venous catheter. At 5 months after the completion of adjuvant chemotherapy, the patient experienced the sudden onset of severe pain at the back right of the ear, edema of the right side of the face and right jugular vein dilatation. Computed tomography (CT) revealed filling defects in the superior vena cava (SVC) and right brachiocephalic vein, indicating catheter‑induced venous thrombosis. Although the catheter was removed and anti‑coagulation therapy, aspiration of the thrombosis and ballooning dilatation were performed immediately, the patient's symptoms were not ameliorated. Notably, histological examination following thrombus aspiration revealed metastatic cancer cells, and fluorodeoxyglucose‑positron emission tomography/CT identified metabolically active nodules in the SVC at locations consistent with the initial duodenal tumors detected by CT and in the first thoracic vertebrae. The tumor thrombus rapidly increased in size and resulted in worsening dyspnea. Subsequently, radiotherapy was performed, followed by chemotherapy, which relieved the systemic symptoms and suppressed the tumor growth. Adenosquamous carcinoma of the duodenum is extremely rare, and to the best of our knowledge, intraluminal SVC metastasis as a result of adenosquamous carcinoma of the duodenum has not been reported previously. The placement of a cardiac pacemaker, central venous catheter and tumor cells possessing high metastatic potential are hypothesized to have contributed to this rare case of metastasis.
View Figures

Figure 1

Figure 2

View References

1 

Guo X, Mao Z, Su D, Jiang Z and Bai L: The clinical pathological features, diagnosis, treatment and prognosis of small intestine primary malignant tumors. Med Oncol. 31:9132014. View Article : Google Scholar : PubMed/NCBI

2 

Hatzaras I, Palesty JA, Abir F, et al: Small-bowel tumors: Epidemiologic and clinical characteristics of 1260 cases from the Connecticut tumor registry. Arch Surg. 142:229–235. 2007. View Article : Google Scholar : PubMed/NCBI

3 

Wada T, Mizuno K, Itoh K, et al: Adenosquamous carcinoma of the jejunum. J Gatroenterol. 38:786–790. 2003. View Article : Google Scholar

4 

Cecchini S, Correa-Gallego C, Desphande V, Ligorio M, Dursun A, Wargo J, Fernàndez-del Castillo C, Warshaw AL and Ferrone CR: Superior prognostic importance of perineural invasion vs. lymph node involvement after curative resection of duodenal adenocarcinoma. J Gastrointest Surg. 16:113–120. 2012. View Article : Google Scholar : PubMed/NCBI

5 

Overman MJ, Kopetz S, Lin E, Abbruzzese JL and Wolff RA: Is there a role for adjuvant therapy in resected adenocarcinoma of the small intestine. Acta Oncol. 49:474–479. 2010. View Article : Google Scholar : PubMed/NCBI

6 

Otten TR, Stein PD, Patel KC, Mustafa S and Silbergleit A: Thromboembolic disease involving the superior vena cava and branchiocephalic veins. Chest. 123:809–812. 2003. View Article : Google Scholar : PubMed/NCBI

7 

Rice TW, Rodriguez RM and Light RW: The superior vena cava syndrome: Clinical characteristics and evolving etiology. Medicine (Baltimore). 85:37–42. 2006. View Article : Google Scholar : PubMed/NCBI

8 

Japan Pancreas Society: General Rules for the Study of Pancreatic Cancer (6th). Kanehara, Tokyo: 2009.

9 

Sobin LH, Gospodarowicz MK and Wittekind C: TNM Classification of Malignant Tumours (7th). Hoboken, NJ: Wiley-Blackwell. 2009.

10 

National Cancer Institute: Common Terminology Criteria for Adverse Events (CTCAE). version 4.0. http://evs.nci.nih.gov/ftp1/CTCAE/CTCAE_4.03_2010-06-14_QuickReference_5x7.pdfAccessed. November 10–2015

11 

Zaanan A, Costes L, Gauthier M, et al: Chemotherapy of advanced small-bowel adenocarcinoma: A multicenter AGEO study. Ann Oncol. 21:1786–1798. 2010. View Article : Google Scholar : PubMed/NCBI

12 

Blanco P, Ly S, Beylot Barry M, Laurent F, Roques X, Doutre M and Beylot C: Surgical treatment of an endovascular metastatic melanoma of the superior vena cava. Dermatology. 199:156–157. 1999. View Article : Google Scholar : PubMed/NCBI

13 

Ghattas S, Howle J, Wang W, Kefford R and Gruenewald S: Intravascular metastatic melanoma: A difficult diagnosis. Australas J Dermatol. 54:141–143. 2013. View Article : Google Scholar : PubMed/NCBI

14 

Takeda T, Saitoh M and Takeda S: Superior vena cava syndrome caused by an intravascular thrombosis due to underlying prostate carcinoma. Intern Med. 47:2007–2009. 2008. View Article : Google Scholar : PubMed/NCBI

15 

Wang J, Liang J, Wang W, Ouyang H and Wang L: Malignant thrombosis of the superior vena cava caused by non-small-cell lung cancer treated with radiation and erlotinib: A case with complete and prolonged response over 3 years. Onco Targets Ther. 6:749–753. 2013. View Article : Google Scholar : PubMed/NCBI

16 

Murphy C, Schwalb H, Berlangieri S and Eek R: Intraluminal superior vena cava metastasis in a patient with poorly differentiated thyroid carcinoma. J Clin Oncol. April 21–2014.(Epub ahead of print).

17 

Matsuno Y, Takama N, Yasuhara K, Koyano T, Obayashi T, Sasaki T, Kanesawa N and Kurabayashi M: Long-survival case of thymic carcinoma with superior vena cava tumor thrombus. Ann Thorac Surg. 94:1729–1731. 2012. View Article : Google Scholar : PubMed/NCBI

18 

Alzand BS, Geyik Z, Dannert R and Cheriex EC: Superior vena cava syndrome as a complication of colon carcinoma. Int J Cardiol. 132:e45–e47. 2009. View Article : Google Scholar : PubMed/NCBI

19 

Spittell PC and Hayes DL: Venous complications after insertion of a transvenous pacemaker. Mayo Clin Proc. 67:258–265. 1992. View Article : Google Scholar : PubMed/NCBI

20 

Krug H and Zerbe F: Major venous thrombosis. A complication of transvenous pacemaker electrodes. Br Heart J. 44:158–161. 1980. View Article : Google Scholar : PubMed/NCBI

21 

Cagir B, Nagy MW, Topham A, Rakinic J and Fry RD: Adenosquamous carcinoma of the colon, rectum, and anus: Epidemiology, distribution, and survival characteristics. Dis Colon Rectum. 42:258–263. 1999. View Article : Google Scholar : PubMed/NCBI

22 

Kim A, Bae YK, Gu MJ, Kim JY, Jang KY, Bae HI, Lee HJ and Hong SM: Epithelial-mesenchymal transition phenotype is associated with patient survival in small intestinal adenocarcinoma. Pathology. 45:567–573. 2013. View Article : Google Scholar : PubMed/NCBI

23 

Lee HJ, Lee OJ, Jang KT, Bae YK, Chung JY, Eom DW, Kim JM, Yu E and Hong SM: Combined loss of E-cadherin and aberrant β-catenin protein expression correlates with a poor prognosis for small intestinal adenocarcinomas. Am J Clin Pathol. 139:167–176. 2013. View Article : Google Scholar : PubMed/NCBI

24 

Kase S, Sugio K, Ymazaki K, Okamoto T, Yano T and Sugimachi K: Expression of E-cadherin and beta-catenin in human non-small cell lung cancer and the clinical significance. Clin Cancer Res. 6:4789–4796. 2000.PubMed/NCBI

25 

Liu S, Liao G, Ding J, Ye K, Zhang Y, Zeng L and Chen S: Dysregulated expression of snail and E-cadherin correlates with gastrointestinal stromal tumor metastasis. Eur J Cancer Prev. 23:329–335. 2014. View Article : Google Scholar : PubMed/NCBI

26 

Fernebro E, Bendahl PO, Dictor M, Persson A, Fernö M and Nilbert M: Immunohistochemical patterns in rectal cancer: Application of tissue microarray with prognostic correlations. Int J Cancer. 111:921–928. 2004. View Article : Google Scholar : PubMed/NCBI

27 

Yang J, Mani SA, Donaher JL, Ramaswamy S, Itzykson RA, Come C, Savagner P, Gitelman I, Richardson A and Weinberg RA: Twist, a master regulator of morphogenesis, plays an essential role in tumor metastasis. Cell. 117:927–939. 2004. View Article : Google Scholar : PubMed/NCBI

28 

Sorbye H, Dragomir A, Sundström M, Pfeiffer P, Thunberg U, Bergfors M, Aasebø K, Eide GE, Ponten F, Qvortrup C and Glimelius B: High BRAF mutation frequency and marked survival differences in subgroups according to KRAS/BRAF mutation status and tumor tissue availability in a prospective population-based metastatic colorectal cancer cohort. PLoS One. 29:e01310462015. View Article : Google Scholar

Related Articles

  • Abstract
  • View
  • Download
  • Twitter
Copy and paste a formatted citation
Spandidos Publications style
Takayoshi K, Ariyama H, Tamura S, Yoda S, Arita T, Yamaguchi T, Ozono K, Yamamoto H, Inadomi K, Kumagai H, Kumagai H, et al: Intraluminal superior vena cava metastasis from adenosquamous carcinoma of the duodenum: A case report. Oncol Lett 11: 605-609, 2016.
APA
Takayoshi, K., Ariyama, H., Tamura, S., Yoda, S., Arita, T., Yamaguchi, T. ... Baba, E. (2016). Intraluminal superior vena cava metastasis from adenosquamous carcinoma of the duodenum: A case report. Oncology Letters, 11, 605-609. https://doi.org/10.3892/ol.2015.3938
MLA
Takayoshi, K., Ariyama, H., Tamura, S., Yoda, S., Arita, T., Yamaguchi, T., Ozono, K., Yamamoto, H., Inadomi, K., Kumagai, H., Tanaka, M., Okumura, Y., Sagara, K., Nio, K., Nakano, M., Arita, S., Kusaba, H., Odashiro, K., Oda, Y., Akashi, K., Baba, E."Intraluminal superior vena cava metastasis from adenosquamous carcinoma of the duodenum: A case report". Oncology Letters 11.1 (2016): 605-609.
Chicago
Takayoshi, K., Ariyama, H., Tamura, S., Yoda, S., Arita, T., Yamaguchi, T., Ozono, K., Yamamoto, H., Inadomi, K., Kumagai, H., Tanaka, M., Okumura, Y., Sagara, K., Nio, K., Nakano, M., Arita, S., Kusaba, H., Odashiro, K., Oda, Y., Akashi, K., Baba, E."Intraluminal superior vena cava metastasis from adenosquamous carcinoma of the duodenum: A case report". Oncology Letters 11, no. 1 (2016): 605-609. https://doi.org/10.3892/ol.2015.3938
Copy and paste a formatted citation
x
Spandidos Publications style
Takayoshi K, Ariyama H, Tamura S, Yoda S, Arita T, Yamaguchi T, Ozono K, Yamamoto H, Inadomi K, Kumagai H, Kumagai H, et al: Intraluminal superior vena cava metastasis from adenosquamous carcinoma of the duodenum: A case report. Oncol Lett 11: 605-609, 2016.
APA
Takayoshi, K., Ariyama, H., Tamura, S., Yoda, S., Arita, T., Yamaguchi, T. ... Baba, E. (2016). Intraluminal superior vena cava metastasis from adenosquamous carcinoma of the duodenum: A case report. Oncology Letters, 11, 605-609. https://doi.org/10.3892/ol.2015.3938
MLA
Takayoshi, K., Ariyama, H., Tamura, S., Yoda, S., Arita, T., Yamaguchi, T., Ozono, K., Yamamoto, H., Inadomi, K., Kumagai, H., Tanaka, M., Okumura, Y., Sagara, K., Nio, K., Nakano, M., Arita, S., Kusaba, H., Odashiro, K., Oda, Y., Akashi, K., Baba, E."Intraluminal superior vena cava metastasis from adenosquamous carcinoma of the duodenum: A case report". Oncology Letters 11.1 (2016): 605-609.
Chicago
Takayoshi, K., Ariyama, H., Tamura, S., Yoda, S., Arita, T., Yamaguchi, T., Ozono, K., Yamamoto, H., Inadomi, K., Kumagai, H., Tanaka, M., Okumura, Y., Sagara, K., Nio, K., Nakano, M., Arita, S., Kusaba, H., Odashiro, K., Oda, Y., Akashi, K., Baba, E."Intraluminal superior vena cava metastasis from adenosquamous carcinoma of the duodenum: A case report". Oncology Letters 11, no. 1 (2016): 605-609. https://doi.org/10.3892/ol.2015.3938
Follow us
  • Twitter
  • LinkedIn
  • Facebook
About
  • Spandidos Publications
  • Careers
  • Cookie Policy
  • Privacy Policy
How can we help?
  • Help
  • Live Chat
  • Contact
  • Email to our Support Team