Spandidos Publications Logo
  • About
    • About Spandidos
    • Aims and Scopes
    • Abstracting and Indexing
    • Editorial Policies
    • Reprints and Permissions
    • Job Opportunities
    • Terms and Conditions
    • Contact
  • Journals
    • All Journals
    • Oncology Letters
      • Oncology Letters
      • Information for Authors
      • Editorial Policies
      • Editorial Board
      • Aims and Scope
      • Abstracting and Indexing
      • Bibliographic Information
      • Archive
    • International Journal of Oncology
      • International Journal of Oncology
      • Information for Authors
      • Editorial Policies
      • Editorial Board
      • Aims and Scope
      • Abstracting and Indexing
      • Bibliographic Information
      • Archive
    • Molecular and Clinical Oncology
      • Molecular and Clinical Oncology
      • Information for Authors
      • Editorial Policies
      • Editorial Board
      • Aims and Scope
      • Abstracting and Indexing
      • Bibliographic Information
      • Archive
    • Experimental and Therapeutic Medicine
      • Experimental and Therapeutic Medicine
      • Information for Authors
      • Editorial Policies
      • Editorial Board
      • Aims and Scope
      • Abstracting and Indexing
      • Bibliographic Information
      • Archive
    • International Journal of Molecular Medicine
      • International Journal of Molecular Medicine
      • Information for Authors
      • Editorial Policies
      • Editorial Board
      • Aims and Scope
      • Abstracting and Indexing
      • Bibliographic Information
      • Archive
    • Biomedical Reports
      • Biomedical Reports
      • Information for Authors
      • Editorial Policies
      • Editorial Board
      • Aims and Scope
      • Abstracting and Indexing
      • Bibliographic Information
      • Archive
    • Oncology Reports
      • Oncology Reports
      • Information for Authors
      • Editorial Policies
      • Editorial Board
      • Aims and Scope
      • Abstracting and Indexing
      • Bibliographic Information
      • Archive
    • Molecular Medicine Reports
      • Molecular Medicine Reports
      • Information for Authors
      • Editorial Policies
      • Editorial Board
      • Aims and Scope
      • Abstracting and Indexing
      • Bibliographic Information
      • Archive
    • World Academy of Sciences Journal
      • World Academy of Sciences Journal
      • Information for Authors
      • Editorial Policies
      • Editorial Board
      • Aims and Scope
      • Abstracting and Indexing
      • Bibliographic Information
      • Archive
    • International Journal of Functional Nutrition
      • International Journal of Functional Nutrition
      • Information for Authors
      • Editorial Policies
      • Editorial Board
      • Aims and Scope
      • Abstracting and Indexing
      • Bibliographic Information
      • Archive
    • International Journal of Epigenetics
      • International Journal of Epigenetics
      • Information for Authors
      • Editorial Policies
      • Editorial Board
      • Aims and Scope
      • Abstracting and Indexing
      • Bibliographic Information
      • Archive
    • Medicine International
      • Medicine International
      • Information for Authors
      • Editorial Policies
      • Editorial Board
      • Aims and Scope
      • Abstracting and Indexing
      • Bibliographic Information
      • Archive
  • Articles
  • Information
    • Information for Authors
    • Information for Reviewers
    • Information for Librarians
    • Information for Advertisers
    • Conferences
  • Language Editing
Spandidos Publications Logo
  • About
    • About Spandidos
    • Aims and Scopes
    • Abstracting and Indexing
    • Editorial Policies
    • Reprints and Permissions
    • Job Opportunities
    • Terms and Conditions
    • Contact
  • Journals
    • All Journals
    • Biomedical Reports
      • Information for Authors
      • Editorial Policies
      • Editorial Board
      • Aims and Scope
      • Abstracting and Indexing
      • Bibliographic Information
      • Archive
    • Experimental and Therapeutic Medicine
      • Information for Authors
      • Editorial Policies
      • Editorial Board
      • Aims and Scope
      • Abstracting and Indexing
      • Bibliographic Information
      • Archive
    • International Journal of Epigenetics
      • Information for Authors
      • Editorial Policies
      • Editorial Board
      • Aims and Scope
      • Abstracting and Indexing
      • Bibliographic Information
      • Archive
    • International Journal of Functional Nutrition
      • Information for Authors
      • Editorial Policies
      • Editorial Board
      • Aims and Scope
      • Abstracting and Indexing
      • Bibliographic Information
      • Archive
    • International Journal of Molecular Medicine
      • Information for Authors
      • Editorial Policies
      • Editorial Board
      • Aims and Scope
      • Abstracting and Indexing
      • Bibliographic Information
      • Archive
    • International Journal of Oncology
      • Information for Authors
      • Editorial Policies
      • Editorial Board
      • Aims and Scope
      • Abstracting and Indexing
      • Bibliographic Information
      • Archive
    • Medicine International
      • Information for Authors
      • Editorial Policies
      • Editorial Board
      • Aims and Scope
      • Abstracting and Indexing
      • Bibliographic Information
      • Archive
    • Molecular and Clinical Oncology
      • Information for Authors
      • Editorial Policies
      • Editorial Board
      • Aims and Scope
      • Abstracting and Indexing
      • Bibliographic Information
      • Archive
    • Molecular Medicine Reports
      • Information for Authors
      • Editorial Policies
      • Editorial Board
      • Aims and Scope
      • Abstracting and Indexing
      • Bibliographic Information
      • Archive
    • Oncology Letters
      • Information for Authors
      • Editorial Policies
      • Editorial Board
      • Aims and Scope
      • Abstracting and Indexing
      • Bibliographic Information
      • Archive
    • Oncology Reports
      • Information for Authors
      • Editorial Policies
      • Editorial Board
      • Aims and Scope
      • Abstracting and Indexing
      • Bibliographic Information
      • Archive
    • World Academy of Sciences Journal
      • Information for Authors
      • Editorial Policies
      • Editorial Board
      • Aims and Scope
      • Abstracting and Indexing
      • Bibliographic Information
      • Archive
  • Articles
  • Information
    • For Authors
    • For Reviewers
    • For Librarians
    • For Advertisers
    • Conferences
  • Language Editing
Login Register Submit
  • This site uses cookies
  • You can change your cookie settings at any time by following the instructions in our Cookie Policy. To find out more, you may read our Privacy Policy.

    I agree
Search articles by DOI, keyword, author or affiliation
Search
Advanced Search
presentation
Oncology Letters
Join Editorial Board Propose a Special Issue
Print ISSN: 1792-1074 Online ISSN: 1792-1082
Journal Cover
February-2016 Volume 11 Issue 2

Full Size Image

Sign up for eToc alerts
Recommend to Library

Journals

International Journal of Molecular Medicine

International Journal of Molecular Medicine

International Journal of Molecular Medicine is an international journal devoted to molecular mechanisms of human disease.

International Journal of Oncology

International Journal of Oncology

International Journal of Oncology is an international journal devoted to oncology research and cancer treatment.

Molecular Medicine Reports

Molecular Medicine Reports

Covers molecular medicine topics such as pharmacology, pathology, genetics, neuroscience, infectious diseases, molecular cardiology, and molecular surgery.

Oncology Reports

Oncology Reports

Oncology Reports is an international journal devoted to fundamental and applied research in Oncology.

Experimental and Therapeutic Medicine

Experimental and Therapeutic Medicine

Experimental and Therapeutic Medicine is an international journal devoted to laboratory and clinical medicine.

Oncology Letters

Oncology Letters

Oncology Letters is an international journal devoted to Experimental and Clinical Oncology.

Biomedical Reports

Biomedical Reports

Explores a wide range of biological and medical fields, including pharmacology, genetics, microbiology, neuroscience, and molecular cardiology.

Molecular and Clinical Oncology

Molecular and Clinical Oncology

International journal addressing all aspects of oncology research, from tumorigenesis and oncogenes to chemotherapy and metastasis.

World Academy of Sciences Journal

World Academy of Sciences Journal

Multidisciplinary open-access journal spanning biochemistry, genetics, neuroscience, environmental health, and synthetic biology.

International Journal of Functional Nutrition

International Journal of Functional Nutrition

Open-access journal combining biochemistry, pharmacology, immunology, and genetics to advance health through functional nutrition.

International Journal of Epigenetics

International Journal of Epigenetics

Publishes open-access research on using epigenetics to advance understanding and treatment of human disease.

Medicine International

Medicine International

An International Open Access Journal Devoted to General Medicine.

Journal Cover
February-2016 Volume 11 Issue 2

Full Size Image

Sign up for eToc alerts
Recommend to Library

  • Article
  • Citations
    • Cite This Article
    • Download Citation
    • Create Citation Alert
    • Remove Citation Alert
    • Cited By
  • Similar Articles
    • Related Articles (in Spandidos Publications)
    • Similar Articles (Google Scholar)
    • Similar Articles (PubMed)
  • Download PDF
  • Download XML
  • View XML
Case Report

Primary dumbbell-shaped epidural myxoid liposarcoma of the thoracic spine: A case report and review of the literature

  • Authors:
    • Yoichi Kaneuchi
    • Michiyuki Hakozaki
    • Hitoshi Yamada
    • Takahiro Tajino
    • Kazuyuki Watanabe
    • Koji Otani
    • Hiroshi Hojo
    • Tadashi Hasegawa
    • Shinichi Konno
  • View Affiliations / Copyright

    Affiliations: Department of Orthopaedic Surgery, Fukushima Medical University School of Medicine, Fukushima 960‑1295, Japan, Department of Diagnostic Pathology, Aizu Medical Center, Fukushima Medical University, Fukushima 969‑3492, Japan, Department of Surgical Pathology, Sapporo Medical University School of Medicine, Hokkaido 060‑8453, Japan
  • Pages: 1421-1424
    |
    Published online on: January 8, 2016
       https://doi.org/10.3892/ol.2016.4089
  • Expand metrics +
Metrics: Total Views: 0 (Spandidos Publications: | PMC Statistics: )
Metrics: Total PDF Downloads: 0 (Spandidos Publications: | PMC Statistics: )
Cited By (CrossRef): 0 citations Loading Articles...

This article is mentioned in:



Abstract

Myxoid liposarcoma frequently occurs in the deep soft tissue of the extremities, particularly in the thigh. The present study describes an extremely rare case of primary dumbbell-shaped epidural myxoid liposarcoma of the thoracic spine occurring in a 22‑year‑old woman. Although preoperative magnetic resonance imaging findings were thought to be compatible with schwannoma, the pathological diagnosis of the resected tumor was myxoid liposarcoma. The patient underwent three courses of adjuvant chemotherapy with doxorubicin and ifosfamide, and exhibited no symptoms or signs of local recurrence or metastasis for 18 months post surgery. The present case suggests that, when radiologically diagnosing spinal epidural tumors, clinicians should consider the possibility of myxoid liposarcoma.

Introduction

Myxoid liposarcoma (MLS) accounts for ~5% of all soft tissue sarcomas and 15–20% of liposarcomas in adults (1). This second most common subtype of liposarcoma usually occurs in the soft tissue of the extremities; the thigh is affected in more than two-thirds of cases (1–3). MLS is a disease of young adults and is equally common in males and females (1). Liposarcoma originates from primitive mesenchymal cells rather than from mature adipose cells (2,3). Usually, symptoms develop slowly as a painless mass within the deep soft tissue (1,4). One third of the MLS patients develop distant metastasis, particularly to extrapulmonary location, including the retroperitoneum, opposite extremity, axilla and bone (1,5,6).

The current study reports an extremely rare case of primary dumbbell-shaped epidural MLS of the thoracic spine, which radiologically mimicked a schwannoma. Written informed consent was obtained from the patient prior to publication of this case report.

Case report

A previously healthy 22-year-old woman presented with a one-month history of back pain, hypalgesia and hypesthesia below the level of the xiphoid cartilage, and numbness of the lower extremities. Laboratory findings indicated no abnormalities; however, a neurological examination revealed muscular weakness and increased deep tendon reflexes in the bilateral lower extremities.

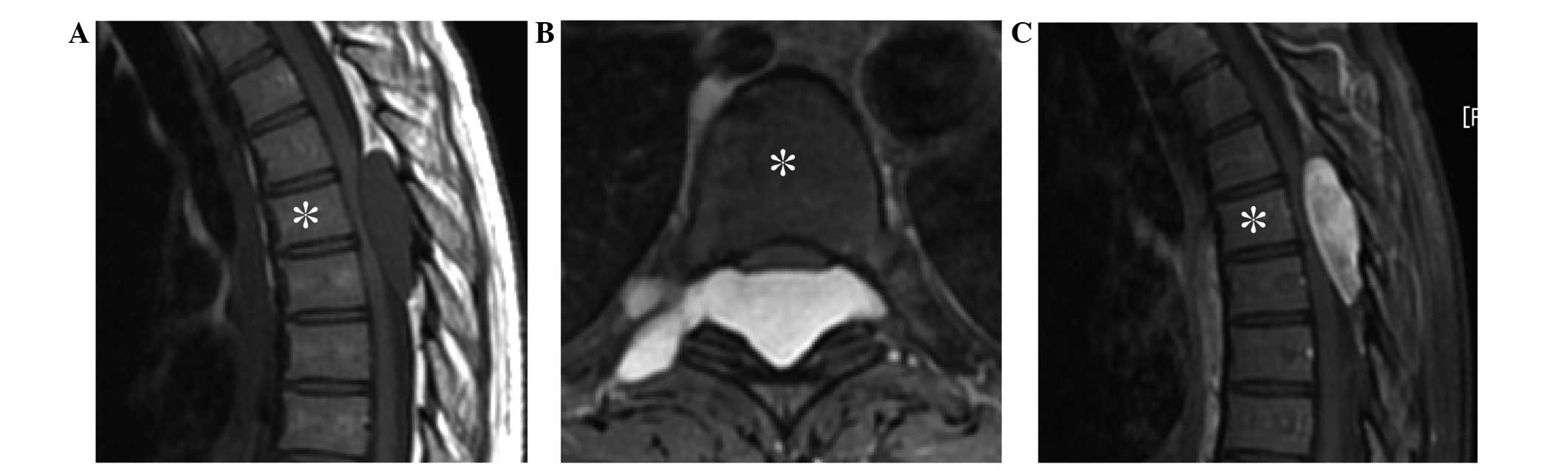
Plain radiographs and computed tomography (CT) of the spine indicated no abnormality. However, magnetic resonance imaging (MRI) revealed an epidural tumor progressing in the right foramen of the 5th and 6th thoracic vertebrae, measuring 4.6×3.7×1.4 cm, and exhibiting low intensity on T1-weighted imaging (T1-WI) (Fig. 1A), high intensity on T2-weighted imaging (T2-WI) (Fig. 1B), and diffuse enhancement on gadolinium-enhanced T1-weighted fat-suppression imaging (Fig. 1C). These findings were compatible with schwannoma. As the paralysis of the patient's lower extremities rapidly progressed and gait disturbance appeared, surgical treatment was performed. Laminectomy of the 4th, 5th and 6th thoracic vertebrae was conducted, and the whitish myxoid tumor was subsequently resected piece by piece. Following the surgery, the patient's paralysis recovered rapidly without any disturbance.

Figure 1.

Magnetic resonance imaging of the thoracic spine revealed a dumbbell-shaped, epidural tumor progressing in the right 5th thoracic vertebrae (*) foramen, exhibiting (A) low intensity on T1-weighted imaging (sagittal view), (B) high intensity on T2-weighted imaging (axial view), and (C) diffuse enhancement on gadolinium-enhanced T1-weighted fat-suppression imaging (sagittal view).

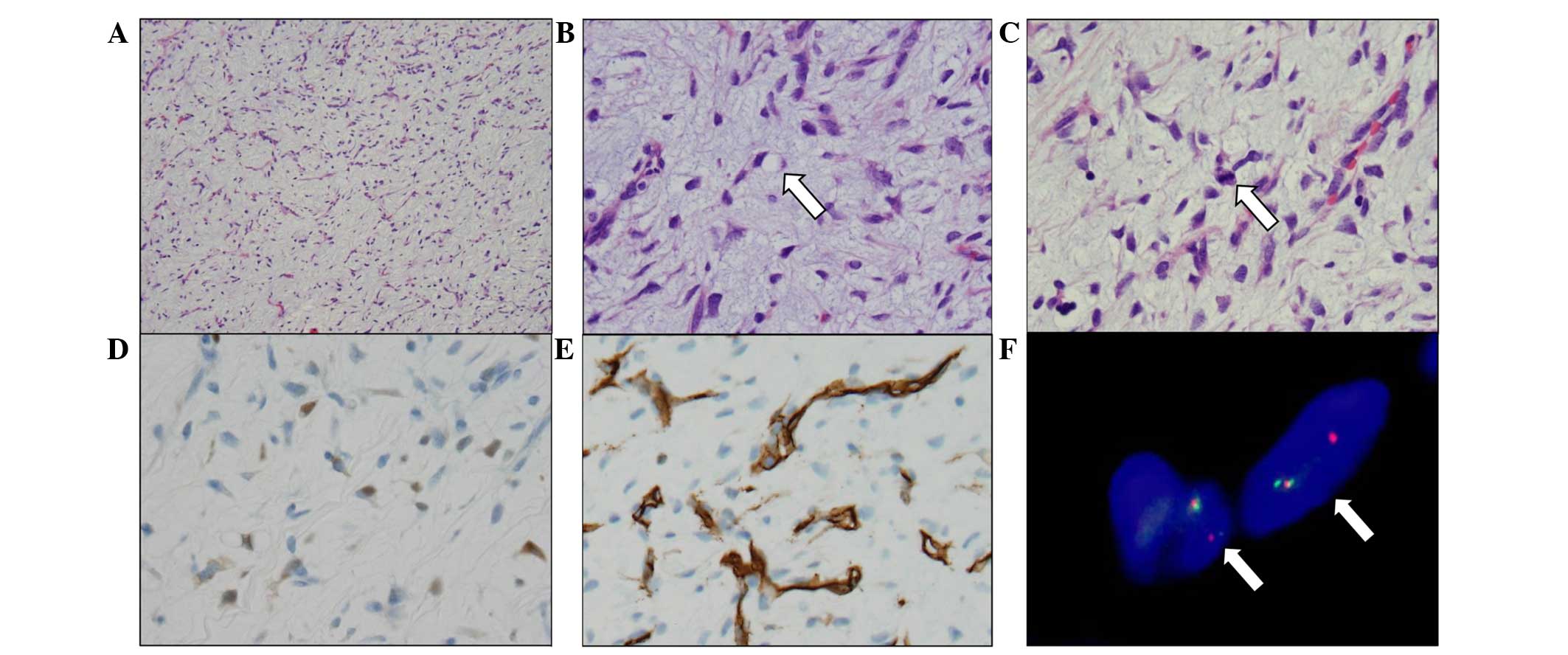
Microscopic evaluation of the tumor revealed proliferation of uniform, mononuclear, short spindle- or oval-shaped cells arranged in a multi-nodular pattern (Fig. 2A–C). A growth pattern similar to that of pulmonary edema was also observed (1). Immunohistochemical staining indicated that the tumor cells were positive for vimentin and S-100 protein (Fig. 2D), but negative for mouse double minute 2 homolog and cyclin-dependent kinase 4. A ‘chicken-wire’ pattern of capillary vasculature was clearly visible following CD34 staining (Fig. 2E). The MIB1 labeling index was ~6.7%. Furthermore, additional fluorescence in situ hybridization using a break-apart probe for the DNA-damage-inducible transcript 3 gene on 12q13 revealed a rearrangement (Fig. 2F). Finally, the tumor was diagnosed as an MLS of French Federation of Cancer Centers Sarcoma Group grade 1, based on the pathological and genetic findings (7). As additional whole-body 18F-fludeoxyglucose (FDG) positron emission tomography (PET)/CT revealed no other tumor, excluding an ovarian cyst, the epidural tumor of the thoracic spine was diagnosed as primary.

Figure 2.

(A) Low-power microscopy revealed proliferation of uniform, mononuclear, short spindle- or oval-shaped cells arranged in a multi-nodular pattern (H&E; magnification, ×40). In the high-power view, (B) lipoblasts and (C) mitosis were scattered (arrows) (H&E; magnification, ×200). (D) Tumor cells were positive for S-100 protein (magnification, ×200). (E) A ‘chicken-wire’ pattern of capillary vasculature was visible (CD34 staining; magnification, ×200). (F) Fluorescence in situ hybridization analysis revealed a split signal of the DNA-damage-inducible transcript 3 gene (arrows). H&E, hematoxylin and eosin.

Adjuvant therapy was performed for any possible residual tumor remaining following the intralesional resection. As radiotherapy may cause myelopathy, the patient instead underwent three courses of adjuvant chemotherapy with doxorubicin (60 mg/m2/course) and ifosfamide (7.5 g/m2/course), uneventfully. At 6 months after the surgery for the epidural tumor, the patient received an oophorocystectomy, and pathological diagnosis of an endometrial cyst was confirmed. The patient has exhibited no symptoms or signs of local recurrence or metastasis for 18 months postoperatively.

Discussion

To the best of our knowledge, only five cases of epidural MLS of the spine have been reported previously in the English language literature; one case of primary (4) and four cases of metastatic (2,8,9) (Table I). The present case is the second case of primary epidural MLS of the spine.

Table I.

Summary of previously reported cases of spinal epidural myxoid liposarcoma.

Table I.

Summary of previously reported cases of spinal epidural myxoid liposarcoma.

Author (reference no.)Age (years)GenderSite Primary/metastasisTreatmentPrognosis
Present case22FThoracicPrimaryIntralesional resection + CTNED (18 mo. post op.)
Turanli, et al (4)65FLumbarPrimaryMarginal resectionNED (13 mo. post op.)
Kirollos, et al (2)58MThoracicMetastasisPartial resection + RTDOD (6 mo. post op.)
Ogose, et al (8)44MThoracicMetastasisIntralesional resection + RTDOD (5 mo. post op.)
Ogose, et al (8)57FThoracicMetastasisMarginal resectionDOD (7 mo. post op.)
Lee, et al (9)39FCervicalMetastasisResectionNA

[i] CT, chemotherapy; RT, radiotherapy; mo., months; op. operation; NED, no evidence of disease; DOD, died of disease; NA, not available.

As the occurrence of MLS in the epidural space is exceedingly rare and its MRI findings are very similar to those of schwannoma, determining a correct preoperative diagnosis without pathological analysis is considered to be challenging (10,11). MRI of MLS typically shows lacy or linear amorphous high-intensity foci of fat within a predominantly low-intensity mass on T1-WI, intermediate signal intensity foci within a high-intensity mass on T2-WI, and homogeneous enhancement throughout the mass by gadolinium (3). Because of the quantity of fat and myxoid material, the degree of cellularity and vascularity, and the presence of necrosis, MLS may mimic cystic tumors (12,13). Similarly, MRIs of schwannomas usually reveal low to iso intensity on T1-WI, high intensity on T2-WI, and homogeneous or heterogeneous intensity on gadolinium-enhanced T1-weighted fat-suppression imaging (14).

Schwannomas occasionally contain cystic degeneration and, although most (65.2%) are intradural extramedullary lesions, 33.0% and 1.3% are dumbbell tumors and epidural tumors, respectively (15). Furthermore, among all dumbbell tumors, schwannomas are the most common (69%), and Eden Type III (extradural and paravertebral type) is the most frequent in both all dumbbell tumors (53%) and schwannoma (48%) (16). Thus, from the localization, dumbbell-shaped form (Eden type III) and MRI findings of the present case, the preoperative diagnosis of schwannoma was considered to be reasonable.

FDG-PET/CT has a critical detection limit in relation to small lesions, particularly in tumors that exhibit low 18F-FDG uptake, including MLS (17). Therefore, there is the possibility that other small primary and/or metastatic lesions existed in the present patient. However, based on the facts that no other tumor, excluding the endometrial cyst, was revealed on additional radiological analyses, and that the patient has displayed no symptoms or signs of local recurrence or metastasis for 18 months, the tumor was diagnosed as a primary, and not metastatic, epidural MLS of the thoracic spine.

It is clear that wide resection is the standard procedure for soft tissue sarcomas, including MLS (4,5,13). However, in the present case, it was difficult to resect the tumor with an adequate margin due to its location and the compression of the spinal cord causing progressive myelopathy, even if the tumor could have been correctly diagnosed as MLS preoperatively. Although the previously reported case of primary epidural MLS with marginal resection showed no local recurrence (4), adjuvant therapy was considered to be indicated in the current case to prevent further recurrence and metastasis. MLS responds to chemotherapy and radiotherapy (5,6,18); however, adjuvant radiotherapy was not selected in the present case in order to avoid radiation-induced myelopathy. Instead, adjuvant chemotherapy with doxorubicin and ifosfamide was selected.

In conclusion, the current study reports a case of primary epidural, dumbbell-shaped MLS, which radiologically resembled a schwannoma. Although we were unable to resect the tumor with an adequate margin, the patient remains disease-free 18 months after the intralesional tumor resection and subsequent adjuvant chemotherapy. When radiologically diagnosing spinal epidural tumors, clinicians should consider the possibility of MLS as well as schwannoma. Additional treatment with chemotherapy appeared to be useful in the current case of MLS.

Acknowledgements

This research was supported in part by a Grant-in-Aid for Young Scientists (B) (no. 25861331) from the Japan Society for the Promotion of Science.

References

1 

Antonescu CR and Ladanyi M: Myxoid liposarcoma. WHO Classification of Tumours of Soft Tissue and Bone (4th). Fletcher CDM, Bridge JA, Hogendoorn PCW and Mertens F: International Agency for Research on Cancer. (Lyon, France). 39–41. 2013.

2 

Kirollos R, Koutsoubelis G, Ross S and Al Sarraj S: An unusual case of spinal metastasis from a liposarcoma. Eur J Surg Oncol. 22:303–305. 1996. View Article : Google Scholar : PubMed/NCBI

3 

Sung MS, Kang HS, Suh JS, Lee JH, Park JM, Kim JY and Lee HG: Myxoid liposarcoma: Appearance at MR imaging with histologic correlation. Radiographics. 20:1007–1019. 2000. View Article : Google Scholar : PubMed/NCBI

4 

Turanli S, Ozer H, Ozyurekoglu T and Cakiroglu E: Liposarcoma in the epidural space. Spine. 25:1733–1735. 2000. View Article : Google Scholar : PubMed/NCBI

5 

Katz D, Boonsirikamchai P, Choi H, Lazar AJ, Wang WL, Xiao L, Park MS, Ravi V, Benjamin RS and Araujo DM: Efficacy of first-line doxorubicin and ifosfamide in myxoid liposarcoma. Clin Sarcoma Res. 2:22012. View Article : Google Scholar : PubMed/NCBI

6 

Chung PW, Deheshi BM, Ferguson PC, Wunder JS, Griffin AM, Catton CN, Bell RS, White LM, Kandel RA and O'Sullivan B: Radiosensitivity translates into excellent local control in extremity myxoid liposarcoma: A comparison with other soft tissue sarcomas. Cancer. 115:3254–3261. 2009. View Article : Google Scholar : PubMed/NCBI

7 

Coindre JM: Grading and staging of sarcomas. WHO Classification of Tumours of Soft Tissue and Bone (4th). Fletcher CDM, Bridge JA, Hogendoorn PCW and Mertens F: (Lyon, France). International Agency for Research on Cancer. 17–18. 2013.

8 

Ogose A, Hotta T, Inoue Y, Sakata S, Takano R and Yamamura S: Myxoid liposarcoma metastatic to the thoracic epidural space without bone involvement: Report of two cases. Jpn J Clin Oncol. 31:447–449. 2001. View Article : Google Scholar : PubMed/NCBI

9 

Lee SY, Kim HJ, Park SY, Park SH and Chung SK: Myxoid liposarcoma involving the liver, subcutaneous tissue and epidural space in a polycystic disease patient. Clin Nucl Med. 33:507–509. 2008. View Article : Google Scholar : PubMed/NCBI

10 

Kobayashi H, Kotoura Y, Sakahara H, Hosono M, Hosono M, Tsaboyama T, Yamamuro T, Endo K and Konishi J: Schwannoma of the extremities: Comparison of MRI and pentavalent Technetium-99m-Dimercaptosuccinic acid and Gallium-67-citrate scintigraphy. J Nucl Med. 35:1174–1178. 1994.PubMed/NCBI

11 

Liu Y, Chen X, Wang T and Wang Z: Imaging observations of a schwannoma of low malignant potential in the anterior abdominal wall: A case report. Oncol Lett. 8:1159–1162. 2014.PubMed/NCBI

12 

Jelinek JS, Kransdorf MJ, Shmookler BM, Aboulafia AJ and Malawer MM: Liposarcoma of the extremities: MR and CT findings in the histological subtypes. Radiology. 186:455–459. 1993. View Article : Google Scholar : PubMed/NCBI

13 

Sundaram M, Baran G, Merenda G and McDonald DJ: Myxoid liposarcoma: Magnetic resonance imaging appearances with clinical and histological correlation. Skeletal Radiol. 19:359–362. 1990. View Article : Google Scholar : PubMed/NCBI

14 

De Verdelhan O, Haegelen C, Carsin-Nicol B, Riffaud L, Amlashi SF, Brassier G, Carsin M and Morandi P: MR imaging feature of spinal schwannomas and meningiomas. J Neuroradiol. 32:42–49. 2005. View Article : Google Scholar : PubMed/NCBI

15 

Hirano K, Imagama S, Sato K, Kato F, Yukawa Y, Yoshihara H, Kamiya M, Deguchi M, Kanemura T, Matsubara Y, et al: Primary spinal cord tumors: Review of 678 surgically treated patients in Japan. A multicenter study. Eur Spine J. 21:2019–2026. 2012. View Article : Google Scholar : PubMed/NCBI

16 

Ozawa H, Kokubun S, Aizawa T, Hoshikawa T and Kawahara C: Spinal dumbbell tumors: An analysis of a series of 118 cases. J Neurosurg Spine. 7:587–593. 2007. View Article : Google Scholar : PubMed/NCBI

17 

Brenner W, Eary JF, Hwang W, Vernon C and Conrad EU: Risk assessment in liposarcoma patients based on FDG PET imaging. Eur J Nucl Med Mol Imaging. 33:1290–1295. 2006. View Article : Google Scholar : PubMed/NCBI

18 

Guadagnolo BA, Zagars GK, Ballo MT, Patel SR, Lewis VO, Benjamin RS and Pollock RE: Excellent local control rates and distinctive patterns of failure in myxoid liposarcoma treated with conservation surgery and radiotherapy. Int J Radiat Oncol Biol Phys. 70:760–765. 2008. View Article : Google Scholar : PubMed/NCBI

Related Articles

  • Abstract
  • View
  • Download
  • Twitter
Copy and paste a formatted citation
Spandidos Publications style
Kaneuchi Y, Hakozaki M, Yamada H, Tajino T, Watanabe K, Otani K, Hojo H, Hasegawa T and Konno S: Primary dumbbell-shaped epidural myxoid liposarcoma of the thoracic spine: A case report and review of the literature. Oncol Lett 11: 1421-1424, 2016.
APA
Kaneuchi, Y., Hakozaki, M., Yamada, H., Tajino, T., Watanabe, K., Otani, K. ... Konno, S. (2016). Primary dumbbell-shaped epidural myxoid liposarcoma of the thoracic spine: A case report and review of the literature. Oncology Letters, 11, 1421-1424. https://doi.org/10.3892/ol.2016.4089
MLA
Kaneuchi, Y., Hakozaki, M., Yamada, H., Tajino, T., Watanabe, K., Otani, K., Hojo, H., Hasegawa, T., Konno, S."Primary dumbbell-shaped epidural myxoid liposarcoma of the thoracic spine: A case report and review of the literature". Oncology Letters 11.2 (2016): 1421-1424.
Chicago
Kaneuchi, Y., Hakozaki, M., Yamada, H., Tajino, T., Watanabe, K., Otani, K., Hojo, H., Hasegawa, T., Konno, S."Primary dumbbell-shaped epidural myxoid liposarcoma of the thoracic spine: A case report and review of the literature". Oncology Letters 11, no. 2 (2016): 1421-1424. https://doi.org/10.3892/ol.2016.4089
Copy and paste a formatted citation
x
Spandidos Publications style
Kaneuchi Y, Hakozaki M, Yamada H, Tajino T, Watanabe K, Otani K, Hojo H, Hasegawa T and Konno S: Primary dumbbell-shaped epidural myxoid liposarcoma of the thoracic spine: A case report and review of the literature. Oncol Lett 11: 1421-1424, 2016.
APA
Kaneuchi, Y., Hakozaki, M., Yamada, H., Tajino, T., Watanabe, K., Otani, K. ... Konno, S. (2016). Primary dumbbell-shaped epidural myxoid liposarcoma of the thoracic spine: A case report and review of the literature. Oncology Letters, 11, 1421-1424. https://doi.org/10.3892/ol.2016.4089
MLA
Kaneuchi, Y., Hakozaki, M., Yamada, H., Tajino, T., Watanabe, K., Otani, K., Hojo, H., Hasegawa, T., Konno, S."Primary dumbbell-shaped epidural myxoid liposarcoma of the thoracic spine: A case report and review of the literature". Oncology Letters 11.2 (2016): 1421-1424.
Chicago
Kaneuchi, Y., Hakozaki, M., Yamada, H., Tajino, T., Watanabe, K., Otani, K., Hojo, H., Hasegawa, T., Konno, S."Primary dumbbell-shaped epidural myxoid liposarcoma of the thoracic spine: A case report and review of the literature". Oncology Letters 11, no. 2 (2016): 1421-1424. https://doi.org/10.3892/ol.2016.4089
Follow us
  • Twitter
  • LinkedIn
  • Facebook
About
  • Spandidos Publications
  • Careers
  • Cookie Policy
  • Privacy Policy
How can we help?
  • Help
  • Live Chat
  • Contact
  • Email to our Support Team