Spandidos Publications Logo
  • About
    • About Spandidos
    • Aims and Scopes
    • Abstracting and Indexing
    • Editorial Policies
    • Reprints and Permissions
    • Job Opportunities
    • Terms and Conditions
    • Contact
  • Journals
    • All Journals
    • Oncology Letters
      • Oncology Letters
      • Information for Authors
      • Editorial Policies
      • Editorial Board
      • Aims and Scope
      • Abstracting and Indexing
      • Bibliographic Information
      • Archive
    • International Journal of Oncology
      • International Journal of Oncology
      • Information for Authors
      • Editorial Policies
      • Editorial Board
      • Aims and Scope
      • Abstracting and Indexing
      • Bibliographic Information
      • Archive
    • Molecular and Clinical Oncology
      • Molecular and Clinical Oncology
      • Information for Authors
      • Editorial Policies
      • Editorial Board
      • Aims and Scope
      • Abstracting and Indexing
      • Bibliographic Information
      • Archive
    • Experimental and Therapeutic Medicine
      • Experimental and Therapeutic Medicine
      • Information for Authors
      • Editorial Policies
      • Editorial Board
      • Aims and Scope
      • Abstracting and Indexing
      • Bibliographic Information
      • Archive
    • International Journal of Molecular Medicine
      • International Journal of Molecular Medicine
      • Information for Authors
      • Editorial Policies
      • Editorial Board
      • Aims and Scope
      • Abstracting and Indexing
      • Bibliographic Information
      • Archive
    • Biomedical Reports
      • Biomedical Reports
      • Information for Authors
      • Editorial Policies
      • Editorial Board
      • Aims and Scope
      • Abstracting and Indexing
      • Bibliographic Information
      • Archive
    • Oncology Reports
      • Oncology Reports
      • Information for Authors
      • Editorial Policies
      • Editorial Board
      • Aims and Scope
      • Abstracting and Indexing
      • Bibliographic Information
      • Archive
    • Molecular Medicine Reports
      • Molecular Medicine Reports
      • Information for Authors
      • Editorial Policies
      • Editorial Board
      • Aims and Scope
      • Abstracting and Indexing
      • Bibliographic Information
      • Archive
    • World Academy of Sciences Journal
      • World Academy of Sciences Journal
      • Information for Authors
      • Editorial Policies
      • Editorial Board
      • Aims and Scope
      • Abstracting and Indexing
      • Bibliographic Information
      • Archive
    • International Journal of Functional Nutrition
      • International Journal of Functional Nutrition
      • Information for Authors
      • Editorial Policies
      • Editorial Board
      • Aims and Scope
      • Abstracting and Indexing
      • Bibliographic Information
      • Archive
    • International Journal of Epigenetics
      • International Journal of Epigenetics
      • Information for Authors
      • Editorial Policies
      • Editorial Board
      • Aims and Scope
      • Abstracting and Indexing
      • Bibliographic Information
      • Archive
    • Medicine International
      • Medicine International
      • Information for Authors
      • Editorial Policies
      • Editorial Board
      • Aims and Scope
      • Abstracting and Indexing
      • Bibliographic Information
      • Archive
  • Articles
  • Information
    • Information for Authors
    • Information for Reviewers
    • Information for Librarians
    • Information for Advertisers
    • Conferences
  • Language Editing
Spandidos Publications Logo
  • About
    • About Spandidos
    • Aims and Scopes
    • Abstracting and Indexing
    • Editorial Policies
    • Reprints and Permissions
    • Job Opportunities
    • Terms and Conditions
    • Contact
  • Journals
    • All Journals
    • Biomedical Reports
      • Information for Authors
      • Editorial Policies
      • Editorial Board
      • Aims and Scope
      • Abstracting and Indexing
      • Bibliographic Information
      • Archive
    • Experimental and Therapeutic Medicine
      • Information for Authors
      • Editorial Policies
      • Editorial Board
      • Aims and Scope
      • Abstracting and Indexing
      • Bibliographic Information
      • Archive
    • International Journal of Epigenetics
      • Information for Authors
      • Editorial Policies
      • Editorial Board
      • Aims and Scope
      • Abstracting and Indexing
      • Bibliographic Information
      • Archive
    • International Journal of Functional Nutrition
      • Information for Authors
      • Editorial Policies
      • Editorial Board
      • Aims and Scope
      • Abstracting and Indexing
      • Bibliographic Information
      • Archive
    • International Journal of Molecular Medicine
      • Information for Authors
      • Editorial Policies
      • Editorial Board
      • Aims and Scope
      • Abstracting and Indexing
      • Bibliographic Information
      • Archive
    • International Journal of Oncology
      • Information for Authors
      • Editorial Policies
      • Editorial Board
      • Aims and Scope
      • Abstracting and Indexing
      • Bibliographic Information
      • Archive
    • Medicine International
      • Information for Authors
      • Editorial Policies
      • Editorial Board
      • Aims and Scope
      • Abstracting and Indexing
      • Bibliographic Information
      • Archive
    • Molecular and Clinical Oncology
      • Information for Authors
      • Editorial Policies
      • Editorial Board
      • Aims and Scope
      • Abstracting and Indexing
      • Bibliographic Information
      • Archive
    • Molecular Medicine Reports
      • Information for Authors
      • Editorial Policies
      • Editorial Board
      • Aims and Scope
      • Abstracting and Indexing
      • Bibliographic Information
      • Archive
    • Oncology Letters
      • Information for Authors
      • Editorial Policies
      • Editorial Board
      • Aims and Scope
      • Abstracting and Indexing
      • Bibliographic Information
      • Archive
    • Oncology Reports
      • Information for Authors
      • Editorial Policies
      • Editorial Board
      • Aims and Scope
      • Abstracting and Indexing
      • Bibliographic Information
      • Archive
    • World Academy of Sciences Journal
      • Information for Authors
      • Editorial Policies
      • Editorial Board
      • Aims and Scope
      • Abstracting and Indexing
      • Bibliographic Information
      • Archive
  • Articles
  • Information
    • For Authors
    • For Reviewers
    • For Librarians
    • For Advertisers
    • Conferences
  • Language Editing
Login Register Submit
  • This site uses cookies
  • You can change your cookie settings at any time by following the instructions in our Cookie Policy. To find out more, you may read our Privacy Policy.

    I agree
Search articles by DOI, keyword, author or affiliation
Search
Advanced Search
presentation
Oncology Letters
Join Editorial Board Propose a Special Issue
Print ISSN: 1792-1074 Online ISSN: 1792-1082
Journal Cover
March-2016 Volume 11 Issue 3

Full Size Image

Sign up for eToc alerts
Recommend to Library

Journals

International Journal of Molecular Medicine

International Journal of Molecular Medicine

International Journal of Molecular Medicine is an international journal devoted to molecular mechanisms of human disease.

International Journal of Oncology

International Journal of Oncology

International Journal of Oncology is an international journal devoted to oncology research and cancer treatment.

Molecular Medicine Reports

Molecular Medicine Reports

Covers molecular medicine topics such as pharmacology, pathology, genetics, neuroscience, infectious diseases, molecular cardiology, and molecular surgery.

Oncology Reports

Oncology Reports

Oncology Reports is an international journal devoted to fundamental and applied research in Oncology.

Experimental and Therapeutic Medicine

Experimental and Therapeutic Medicine

Experimental and Therapeutic Medicine is an international journal devoted to laboratory and clinical medicine.

Oncology Letters

Oncology Letters

Oncology Letters is an international journal devoted to Experimental and Clinical Oncology.

Biomedical Reports

Biomedical Reports

Explores a wide range of biological and medical fields, including pharmacology, genetics, microbiology, neuroscience, and molecular cardiology.

Molecular and Clinical Oncology

Molecular and Clinical Oncology

International journal addressing all aspects of oncology research, from tumorigenesis and oncogenes to chemotherapy and metastasis.

World Academy of Sciences Journal

World Academy of Sciences Journal

Multidisciplinary open-access journal spanning biochemistry, genetics, neuroscience, environmental health, and synthetic biology.

International Journal of Functional Nutrition

International Journal of Functional Nutrition

Open-access journal combining biochemistry, pharmacology, immunology, and genetics to advance health through functional nutrition.

International Journal of Epigenetics

International Journal of Epigenetics

Publishes open-access research on using epigenetics to advance understanding and treatment of human disease.

Medicine International

Medicine International

An International Open Access Journal Devoted to General Medicine.

Journal Cover
March-2016 Volume 11 Issue 3

Full Size Image

Sign up for eToc alerts
Recommend to Library

  • Article
  • Citations
    • Cite This Article
    • Download Citation
    • Create Citation Alert
    • Remove Citation Alert
    • Cited By
  • Similar Articles
    • Related Articles (in Spandidos Publications)
    • Similar Articles (Google Scholar)
    • Similar Articles (PubMed)
  • Download PDF
  • Download XML
  • View XML
Case Report

Giant non‑functional parathyroid cyst: A case report

  • Authors:
    • Xu Zhang
    • Jun‑Hui Yuan
    • Lu Feng
    • Dong‑Qiu Shan
    • Jun‑Fu Wu
    • Shan‑Ting Liu
  • View Affiliations / Copyright

    Affiliations: Department of Head, Neck and Thyroid, Affiliated Tumor Hospital, Zhengzhou University, Zhengzhou, Henan 450008, P.R. China, Department of Radiology, Affiliated Tumor Hospital, Zhengzhou University, Zhengzhou, Henan 450008, P.R. China
  • Pages: 2237-2240
    |
    Published online on: February 3, 2016
       https://doi.org/10.3892/ol.2016.4181
  • Expand metrics +
Metrics: Total Views: 0 (Spandidos Publications: | PMC Statistics: )
Metrics: Total PDF Downloads: 0 (Spandidos Publications: | PMC Statistics: )
Cited By (CrossRef): 0 citations Loading Articles...

This article is mentioned in:



Abstract

Giant parathyroid cysts (PCs) are a rare entity and possess a benign clinical course. PCs may be functional or non‑functional, depending on the ability of the cyst to secrete parathyroid hormone (PTH). The present study reports a rare case of a giant PC in a 56‑year‑old male who presented to the Affiliated Tumor Hospital, Zhengzhou University (Zhengzhou, Henan, China) with a 10‑month history of exertional dyspnea, associated with mild dysphagia that had persisted for 3 months. The present study reviews the clinical situation, laboratory examination, radiographic findings, treatment and prognosis of the patient, and provides a brief discussion regarding the associated literature. Giant PCs may manifest with compressive symptoms of the surrounding tissues. The diagnosis of a giant PC is based on increased levels of PTH in the fluid collected during the aspiration of the cyst. Management by surgical excision is recommended for giant PCs that cause local cervical symptoms.

Introduction

Parathyroid cysts (PCs) were first reported in 1880 in a study by Sandstrom, but PC removal from the neck was first reported in 1905 in a study by Goris (1,2). PCs account for 0.6% of all thyroid and parathyroid masses. These lesions always arise in the posterior neck or anterior mediastinum (3,4). PCs may be functional or non-functional, depending on the ability of the cyst to secrete parathyroid hormone (PTH). In total, 15–57% of PCs are functional (5–7). In addition, the majority of non-functional PC lesions are small in size and are occasionally revealed during imaging procedures or cervical surgery, with only a minority characterized by a large size and compressive symptoms (8). The present study describes the case of a man with a giant non-functional PC extending from the lower neck to the superior mediastinum, and provides a brief discussion regarding the associated literature in order to raise awareness of this diagnosis.

Case report

A 56-year-old man was referred to the Affiliated Tumor Hospital, Zhengzhou University (Zhengzhou, Henan, China) in September 2014 with a 10 month history of exertional dyspnea, and mild dysphagia that had persisted for 3 months. The medical history of the patient included hypertension and an inguinal hernia repair, which had occurred 10 years previously.

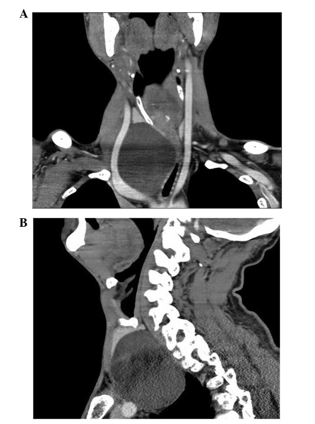
The physical examination revealed a palpable round-shaped mass in the right thyroid lobe. The ultrasound (Philips iU22; Philips Healthcare, Andover, MA, USA) showed a 8.4×5.7×3.6-cm cystic mass attached to the right thyroid lobe (Fig. 1). A neck and chest computed tomography (CT; LightSpeed Pro32 spiral scanner with a layer thickness of 5 mm; GE Healthcare Bio-Sciences, Pittsburgh, PA, USA) scan was performed with contrast media, which showed the presence of a large neck and mediastinal mass (9.0×6.0 cm) with no contrast enhancement, causing right anterolateral displacement of the large vessels and left anterolateral displacement of the trachea (Fig. 2). The serum calcium and PTH concentrations were measured and identified as normal, at 2.26 mmol/l (normal range, 2.03–2.54 mmol/l) and 37.98 pg/ml (normal range, 15–65 pg/m), respectively. A fine-needle aspiration biopsy (FNAB) was performed, and the content obtained from the cyst was a colorless crystal clear fluid, suggesting that the mass was a PC. The levels of PTH in the aspirated fluid were elevated (308 pg/ml; normal serum range, 10–65 pg/ml). A cytological examination of the material that was obtained following centrifugation of the fluid showed a few epithelial cells that possibly belonged to the parathyroid tissue. Based on the aforementioned findings, the diagnosis of the giant cyst was of a non-functional PC.

Figure 1.

Sagittal view of the thyroid gland on ultrasound, showing the presence of a 80-mm cystic nodule in the right lobe.

Figure 2.

Neck and chest computed tomography scans with contrast media revealing a large mediastinal mass (9×6 cm) without contrast enhancement causing the right anterolateral displacement of large vessels and the left anterolateral displacement of the trachea. (A) Coronal scanning. (B) Sagittal scanning.

The patient underwent a right thyroid lobectomy and isthmectomy, with the excision of the cyst. The appearance of the giant PC was characterized by large cystic lesions with a thin wall and a watery fluid component (Fig. 3).

Figure 3.

Post-operative computed tomography scan showing that the giant parathyroid cyst had been removed, and that the displaced trachea and large vessels had returned to the normal positions. (A) Coronal scanning. (B) Sagittal scanning.

The cystic wall tissue was fixed in 10% formalin, washed and dehydrated using alcohol and xylene, paraffin-embedded, and stained with hematoxylin and eosin (Zhuhai Beisuo Biological Technology Co., Ltd., Zhuhai, China) for examination. The histological examination confirmed the presence of a giant PC. The cyst was surrounded by a fibrous wall and possessed the focal presence of hyperplastic parathyroid cells within the fibrotic tissue. Neither mitotic figures nor nuclear atypia were observed (Fig. 4).

Figure 4.

Gross appearance of the cystic parathyroid lesion.

No serious complications occurred subsequent to the surgery. The calcium and PTH levels of the patient were monitored post-operatively, and no abnormalities were identified. Symptoms caused by the cyst were relieved immediately following surgery. The patient was discharged 7 days after the surgery (Fig. 5). The patient remains asymptomatic, with no recurrence at 3-month follow-up.

Figure 5.

Histological features of a non-functioning parathyroid cyst, including a fibrous cystic wall with adjacent nests of clear or chief cells. Hematoxylin and eosin staining; magnification, ×250.

Discussion

PCs are rare, having been reported in just over 300 cases and possessing an incidence ranging between 0.075–3.000% worldwide, as stated by previous studies (9,10). Giant PCs that extend between the lower neck and superior mediastinum are even rarer. McKay et al (11) reported that in all of the PubMed studies that were published since 1925, only 107 giant non-functioning PCs had been reported. The study regarding large parathyroid cystic lesions that was conducted by Rossi et al (12) reported a 0.09% incidence over the last 15 years.

PCs may be misinterpreted as thyroid cystic lesions due to the close spatial association with the thyroid gland. Current diagnostic tools, including US, technetium-99m sestamibi scanning, CT and magnetic resonance imaging, may often differentiate between solid tumors and cystic lesions; however, differentiating between thyroid cysts and PCs is challenging. FNAB is a valuable diagnostic tool for the morphological evaluation of solid or cystic thyroid and parathyroid lesions (13). The typical findings of a watery, colorless crystal clear fluid are, in the majority of cases, suggestive of the diagnosis of a non-functional PC. The diagnosis may be established by elevated levels of PTH in the aspirated fluid (14).

Clinically, no symptoms are usually associated with PCs that are located in the parathyroid region and are not excessively large or causing compression of the adjacent tissue. Therefore, PCs tend to be large at the initial identification. In the present study, the cyst caused dyspnea in the patient as a result of marked tracheal deviation, and dysphagia due to esophageal deviation.

Controversy exists regarding the treatment of PCs. Until the 1970s, surgical treatment was considered to be the optimal scheme (15). Since the 1970s, certain studies have indicated that FNAB is the preferred management scheme due to the rarity of recurrence of PCs subsequent to aspiration (16). By contrast, a study by Sung et al stated that only 33% of non-functioning lesions were successfully treated by a simple aspiration alone (17). Similarly, Ujiki et al reported that the majority of cysts recurred subsequent to aspiration, and that surgery may be a more beneficial treatment (18). However, to the best of our knowledge, the treatment of non-functioning PCs may be considered in association with the size of the cyst. In the present study, the giant PC caused compressive symptoms; therefore, managing the PC with surgical therapy was essential.

For PCs that extend to the mediastinum, common surgical strategies include video-assisted thoracic surgery (VATS), a standard posterolateral thoracotomy and the classical cervical anterior approach. The VATS and posterolateral thoracotomy surgical strategies were excluded for the present study due to the size of the cyst and the surgical trauma that would be caused. In our experience, the classical cervical anterior approach should be used on PCs that are <10 cm in diameter. In order to reduce the chance of relapse, the rupture of PCs should be prevented from occurring intraoperatively. If necessary, a region of the sternocleidomastoid muscle may be temporarily severed to avoid rupture.

To the best of our knowledge, no associated fatalities of treated patients have been documented in the previous literature and the resection of giant PCs has rarely been associated with post-operative complications (19).

In conclusion, the present study reported the case of a man with a giant non-functional PC extending from the lower neck to the superior mediastinum. Giant PCs are uncommon entities in clinical practice that may manifest with compressive symptoms of the surrounding tissues. The vast majority of PCs are non-functioning. The diagnosis of a PC may be confirmed by the detection of increased levels of PTH in the aspirated fluid, which in the majority of non-functional PCs is a watery, colorless crystal clear fluid. Surgery is the treatment of choice for giant non-functioning PCs, and the classical cervical anterior approach is recommended for use on PCs that are <10 cm in diameter.

References

1 

Sandstrom I: Whether humans have multiple thyroid lobes? Ups Lakafor Forhandl. 14:441–471. 1880.(In Danish).

2 

Goris D: Excise the third thyroid lobe. Ann Soc Belg Chir. 5:394–400. 1905.(In French).

3 

Mostafapour SP, True L and Futran ND: Clinical problem solving: Pathology. Pathology quiz case: 1 Benign parathyroid cyst. Arch Otolaryngol Head Neck Surg. 128:592–594, 594. 2002. View Article : Google Scholar : PubMed/NCBI

4 

Pinney SP and Daly PA: Parathyroid cyst: An uncommon cause of a palpable neck mass and hypercalcemia. West J Med. 170:118–120. 1999.PubMed/NCBI

5 

Clark OH: Parathyroid cysts. Am J Surg. 135:395–402. 1978. View Article : Google Scholar : PubMed/NCBI

6 

Rosenberg J, Orlando R III, Ludwig M and Pyrtek LJ: Parathyroid cysts. Am J Surg. 143:473–480. 1982. View Article : Google Scholar : PubMed/NCBI

7 

Ramos-Gabatin A, Young RL and Schenk D: Parathyroid cyst: Medical diagnosis and therapy. South Med J. 75:1138–1140. 1982. View Article : Google Scholar : PubMed/NCBI

8 

Sen P, Flower N, Papesch M, Davis A and Spedding AV: A benign parathyroid cyst presenting with hoarse voice. J Laryngol Otol. 114:147–148. 2000. View Article : Google Scholar : PubMed/NCBI

9 

McCoy KL, Yim JH, Zuckerbraun BS, Ogilvie JB, Peel RL and Carty SE: Cystic parathyroid lesions: Functional and nonfunctional parathyroid cysts. Arch Surg. 144:52–56; discussion 56. 2009. View Article : Google Scholar : PubMed/NCBI

10 

Cappelli C, Rotondi M, Pirola I, De Martino E, Leporati P, Magri F, Rosei EA, Chiovato L and Castellano M: Prevalence of parathyroid cysts by neck ultrasound scan in unselected patients. J Endocrinol Invest. 32:357–359. 2009. View Article : Google Scholar : PubMed/NCBI

11 

McKay GD, Ng TH, Morgan GJ and Chen RC: Giant functioning parathyroid cyst presenting as a retrosternal goitre. ANZ J Surg. 77:297–304. 2007. View Article : Google Scholar : PubMed/NCBI

12 

Rossi ED, Revelli L, Giustozzi E, Straccia P, Stigliano E, Lombardi CP, Pontecorvi A and Fadda G: Large non-functioning parathyroid cysts: Our institutional experience of a rare entity and a possible pitfall in thyroid cytology. Cytopathology. 26:114–121. 2015. View Article : Google Scholar : PubMed/NCBI

13 

Fadda G and Rossi ED: Liquid-based cytology in fine-needle aspiration biopsies of the thyroid gland. Acta Cytol. 55:389–400. 2011. View Article : Google Scholar : PubMed/NCBI

14 

Ihm PS, Dray T, Sofferman RA, Nathan M and Hardin NJ: Parathyroid cysts: Diagnosis and management. Laryngoscope. 111:1576–1578. 2001. View Article : Google Scholar : PubMed/NCBI

15 

Pacini F, Antonelli A, Lari R, Gasperini L, Baschieri L and Pinchera A: Unsuspected parathyroid cysts diagnosed by measurement of thyroglobulin and parathyroid hormone concentrations in fluid aspirates. Ann Intern Med. 102:793–794. 1985. View Article : Google Scholar : PubMed/NCBI

16 

Shi B, Guo H and Tang N: Treatment of parathyroid cysts with fine-needle aspiration. Ann Intern Med. 131:797–798. 1999. View Article : Google Scholar : PubMed/NCBI

17 

Sung JY, Baek JH, Kim KS, Lee D, Ha EJ and Lee JH: Symptomatic nonfunctioning parathyroid cysts: Role of simple aspiration and ethanol ablation. Eur J Radiol. 82:316–320. 2013. View Article : Google Scholar : PubMed/NCBI

18 

Ujiki MB, Nayar R, Sturgeon C and Angelos P: Parathyroid cyst: Often mistaken for a thyroid cyst. World J Surg. 31:60–64. 2007. View Article : Google Scholar : PubMed/NCBI

19 

Shields TW and Immerman SC: Mediastinal parathyroid cysts revisited. Ann Thorac Surg. 67:581–590. 1999. View Article : Google Scholar : PubMed/NCBI

Related Articles

  • Abstract
  • View
  • Download
  • Twitter
Copy and paste a formatted citation
Spandidos Publications style
Zhang X, Yuan JH, Feng L, Shan DQ, Wu JF and Liu ST: Giant non‑functional parathyroid cyst: A case report. Oncol Lett 11: 2237-2240, 2016.
APA
Zhang, X., Yuan, J., Feng, L., Shan, D., Wu, J., & Liu, S. (2016). Giant non‑functional parathyroid cyst: A case report. Oncology Letters, 11, 2237-2240. https://doi.org/10.3892/ol.2016.4181
MLA
Zhang, X., Yuan, J., Feng, L., Shan, D., Wu, J., Liu, S."Giant non‑functional parathyroid cyst: A case report". Oncology Letters 11.3 (2016): 2237-2240.
Chicago
Zhang, X., Yuan, J., Feng, L., Shan, D., Wu, J., Liu, S."Giant non‑functional parathyroid cyst: A case report". Oncology Letters 11, no. 3 (2016): 2237-2240. https://doi.org/10.3892/ol.2016.4181
Copy and paste a formatted citation
x
Spandidos Publications style
Zhang X, Yuan JH, Feng L, Shan DQ, Wu JF and Liu ST: Giant non‑functional parathyroid cyst: A case report. Oncol Lett 11: 2237-2240, 2016.
APA
Zhang, X., Yuan, J., Feng, L., Shan, D., Wu, J., & Liu, S. (2016). Giant non‑functional parathyroid cyst: A case report. Oncology Letters, 11, 2237-2240. https://doi.org/10.3892/ol.2016.4181
MLA
Zhang, X., Yuan, J., Feng, L., Shan, D., Wu, J., Liu, S."Giant non‑functional parathyroid cyst: A case report". Oncology Letters 11.3 (2016): 2237-2240.
Chicago
Zhang, X., Yuan, J., Feng, L., Shan, D., Wu, J., Liu, S."Giant non‑functional parathyroid cyst: A case report". Oncology Letters 11, no. 3 (2016): 2237-2240. https://doi.org/10.3892/ol.2016.4181
Follow us
  • Twitter
  • LinkedIn
  • Facebook
About
  • Spandidos Publications
  • Careers
  • Cookie Policy
  • Privacy Policy
How can we help?
  • Help
  • Live Chat
  • Contact
  • Email to our Support Team