Spandidos Publications Logo
  • About
    • About Spandidos
    • Aims and Scopes
    • Abstracting and Indexing
    • Editorial Policies
    • Reprints and Permissions
    • Job Opportunities
    • Terms and Conditions
    • Contact
  • Journals
    • All Journals
    • Oncology Letters
      • Oncology Letters
      • Information for Authors
      • Editorial Policies
      • Editorial Board
      • Aims and Scope
      • Abstracting and Indexing
      • Bibliographic Information
      • Archive
    • International Journal of Oncology
      • International Journal of Oncology
      • Information for Authors
      • Editorial Policies
      • Editorial Board
      • Aims and Scope
      • Abstracting and Indexing
      • Bibliographic Information
      • Archive
    • Molecular and Clinical Oncology
      • Molecular and Clinical Oncology
      • Information for Authors
      • Editorial Policies
      • Editorial Board
      • Aims and Scope
      • Abstracting and Indexing
      • Bibliographic Information
      • Archive
    • Experimental and Therapeutic Medicine
      • Experimental and Therapeutic Medicine
      • Information for Authors
      • Editorial Policies
      • Editorial Board
      • Aims and Scope
      • Abstracting and Indexing
      • Bibliographic Information
      • Archive
    • International Journal of Molecular Medicine
      • International Journal of Molecular Medicine
      • Information for Authors
      • Editorial Policies
      • Editorial Board
      • Aims and Scope
      • Abstracting and Indexing
      • Bibliographic Information
      • Archive
    • Biomedical Reports
      • Biomedical Reports
      • Information for Authors
      • Editorial Policies
      • Editorial Board
      • Aims and Scope
      • Abstracting and Indexing
      • Bibliographic Information
      • Archive
    • Oncology Reports
      • Oncology Reports
      • Information for Authors
      • Editorial Policies
      • Editorial Board
      • Aims and Scope
      • Abstracting and Indexing
      • Bibliographic Information
      • Archive
    • Molecular Medicine Reports
      • Molecular Medicine Reports
      • Information for Authors
      • Editorial Policies
      • Editorial Board
      • Aims and Scope
      • Abstracting and Indexing
      • Bibliographic Information
      • Archive
    • World Academy of Sciences Journal
      • World Academy of Sciences Journal
      • Information for Authors
      • Editorial Policies
      • Editorial Board
      • Aims and Scope
      • Abstracting and Indexing
      • Bibliographic Information
      • Archive
    • International Journal of Functional Nutrition
      • International Journal of Functional Nutrition
      • Information for Authors
      • Editorial Policies
      • Editorial Board
      • Aims and Scope
      • Abstracting and Indexing
      • Bibliographic Information
      • Archive
    • International Journal of Epigenetics
      • International Journal of Epigenetics
      • Information for Authors
      • Editorial Policies
      • Editorial Board
      • Aims and Scope
      • Abstracting and Indexing
      • Bibliographic Information
      • Archive
    • Medicine International
      • Medicine International
      • Information for Authors
      • Editorial Policies
      • Editorial Board
      • Aims and Scope
      • Abstracting and Indexing
      • Bibliographic Information
      • Archive
  • Articles
  • Information
    • Information for Authors
    • Information for Reviewers
    • Information for Librarians
    • Information for Advertisers
    • Conferences
  • Language Editing
Spandidos Publications Logo
  • About
    • About Spandidos
    • Aims and Scopes
    • Abstracting and Indexing
    • Editorial Policies
    • Reprints and Permissions
    • Job Opportunities
    • Terms and Conditions
    • Contact
  • Journals
    • All Journals
    • Biomedical Reports
      • Information for Authors
      • Editorial Policies
      • Editorial Board
      • Aims and Scope
      • Abstracting and Indexing
      • Bibliographic Information
      • Archive
    • Experimental and Therapeutic Medicine
      • Information for Authors
      • Editorial Policies
      • Editorial Board
      • Aims and Scope
      • Abstracting and Indexing
      • Bibliographic Information
      • Archive
    • International Journal of Epigenetics
      • Information for Authors
      • Editorial Policies
      • Editorial Board
      • Aims and Scope
      • Abstracting and Indexing
      • Bibliographic Information
      • Archive
    • International Journal of Functional Nutrition
      • Information for Authors
      • Editorial Policies
      • Editorial Board
      • Aims and Scope
      • Abstracting and Indexing
      • Bibliographic Information
      • Archive
    • International Journal of Molecular Medicine
      • Information for Authors
      • Editorial Policies
      • Editorial Board
      • Aims and Scope
      • Abstracting and Indexing
      • Bibliographic Information
      • Archive
    • International Journal of Oncology
      • Information for Authors
      • Editorial Policies
      • Editorial Board
      • Aims and Scope
      • Abstracting and Indexing
      • Bibliographic Information
      • Archive
    • Medicine International
      • Information for Authors
      • Editorial Policies
      • Editorial Board
      • Aims and Scope
      • Abstracting and Indexing
      • Bibliographic Information
      • Archive
    • Molecular and Clinical Oncology
      • Information for Authors
      • Editorial Policies
      • Editorial Board
      • Aims and Scope
      • Abstracting and Indexing
      • Bibliographic Information
      • Archive
    • Molecular Medicine Reports
      • Information for Authors
      • Editorial Policies
      • Editorial Board
      • Aims and Scope
      • Abstracting and Indexing
      • Bibliographic Information
      • Archive
    • Oncology Letters
      • Information for Authors
      • Editorial Policies
      • Editorial Board
      • Aims and Scope
      • Abstracting and Indexing
      • Bibliographic Information
      • Archive
    • Oncology Reports
      • Information for Authors
      • Editorial Policies
      • Editorial Board
      • Aims and Scope
      • Abstracting and Indexing
      • Bibliographic Information
      • Archive
    • World Academy of Sciences Journal
      • Information for Authors
      • Editorial Policies
      • Editorial Board
      • Aims and Scope
      • Abstracting and Indexing
      • Bibliographic Information
      • Archive
  • Articles
  • Information
    • For Authors
    • For Reviewers
    • For Librarians
    • For Advertisers
    • Conferences
  • Language Editing
Login Register Submit
  • This site uses cookies
  • You can change your cookie settings at any time by following the instructions in our Cookie Policy. To find out more, you may read our Privacy Policy.

    I agree
Search articles by DOI, keyword, author or affiliation
Search
Advanced Search
presentation
Oncology Letters
Join Editorial Board Propose a Special Issue
Print ISSN: 1792-1074 Online ISSN: 1792-1082
Journal Cover
April-2016 Volume 11 Issue 4

Full Size Image

Sign up for eToc alerts
Recommend to Library

Journals

International Journal of Molecular Medicine

International Journal of Molecular Medicine

International Journal of Molecular Medicine is an international journal devoted to molecular mechanisms of human disease.

International Journal of Oncology

International Journal of Oncology

International Journal of Oncology is an international journal devoted to oncology research and cancer treatment.

Molecular Medicine Reports

Molecular Medicine Reports

Covers molecular medicine topics such as pharmacology, pathology, genetics, neuroscience, infectious diseases, molecular cardiology, and molecular surgery.

Oncology Reports

Oncology Reports

Oncology Reports is an international journal devoted to fundamental and applied research in Oncology.

Experimental and Therapeutic Medicine

Experimental and Therapeutic Medicine

Experimental and Therapeutic Medicine is an international journal devoted to laboratory and clinical medicine.

Oncology Letters

Oncology Letters

Oncology Letters is an international journal devoted to Experimental and Clinical Oncology.

Biomedical Reports

Biomedical Reports

Explores a wide range of biological and medical fields, including pharmacology, genetics, microbiology, neuroscience, and molecular cardiology.

Molecular and Clinical Oncology

Molecular and Clinical Oncology

International journal addressing all aspects of oncology research, from tumorigenesis and oncogenes to chemotherapy and metastasis.

World Academy of Sciences Journal

World Academy of Sciences Journal

Multidisciplinary open-access journal spanning biochemistry, genetics, neuroscience, environmental health, and synthetic biology.

International Journal of Functional Nutrition

International Journal of Functional Nutrition

Open-access journal combining biochemistry, pharmacology, immunology, and genetics to advance health through functional nutrition.

International Journal of Epigenetics

International Journal of Epigenetics

Publishes open-access research on using epigenetics to advance understanding and treatment of human disease.

Medicine International

Medicine International

An International Open Access Journal Devoted to General Medicine.

Journal Cover
April-2016 Volume 11 Issue 4

Full Size Image

Sign up for eToc alerts
Recommend to Library

  • Article
  • Citations
    • Cite This Article
    • Download Citation
    • Create Citation Alert
    • Remove Citation Alert
    • Cited By
  • Similar Articles
    • Related Articles (in Spandidos Publications)
    • Similar Articles (Google Scholar)
    • Similar Articles (PubMed)
  • Download PDF
  • Download XML
  • View XML
Case Report

Invasive ductal carcinoma within borderline phyllodes tumor with lymph node metastases: A case report and review of the literature

  • Authors:
    • Di Wu
    • Haipeng Zhang
    • Liang Guo
    • Xu Yan
    • Zhimin Fan
  • View Affiliations / Copyright

    Affiliations: Department of Breast Surgery, First Hospital of Jilin University, Changchun, Jilin 130021, P.R. China, Department of Obstetrics, First Hospital of Jilin University, Changchun, Jilin 130021, P.R. China, Department of Pathology, First Hospital of Jilin University, Changchun, Jilin 130021, P.R. China
  • Pages: 2502-2506
    |
    Published online on: February 17, 2016
       https://doi.org/10.3892/ol.2016.4238
  • Expand metrics +
Metrics: Total Views: 0 (Spandidos Publications: | PMC Statistics: )
Metrics: Total PDF Downloads: 0 (Spandidos Publications: | PMC Statistics: )
Cited By (CrossRef): 0 citations Loading Articles...

This article is mentioned in:



Abstract

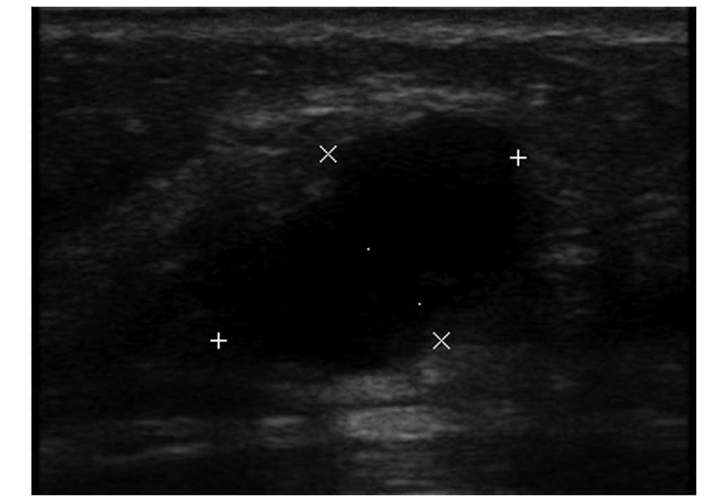
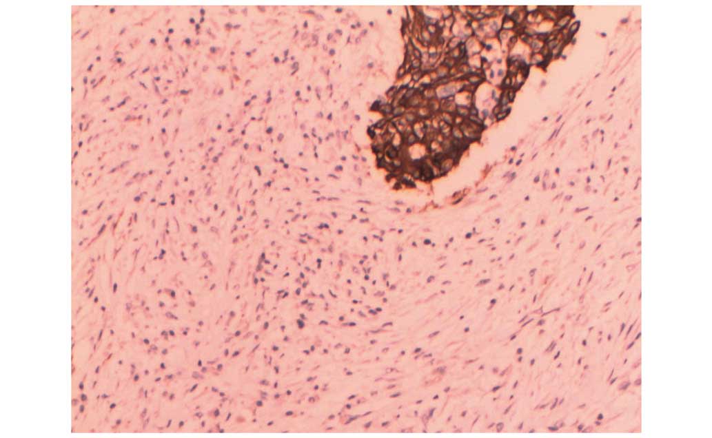
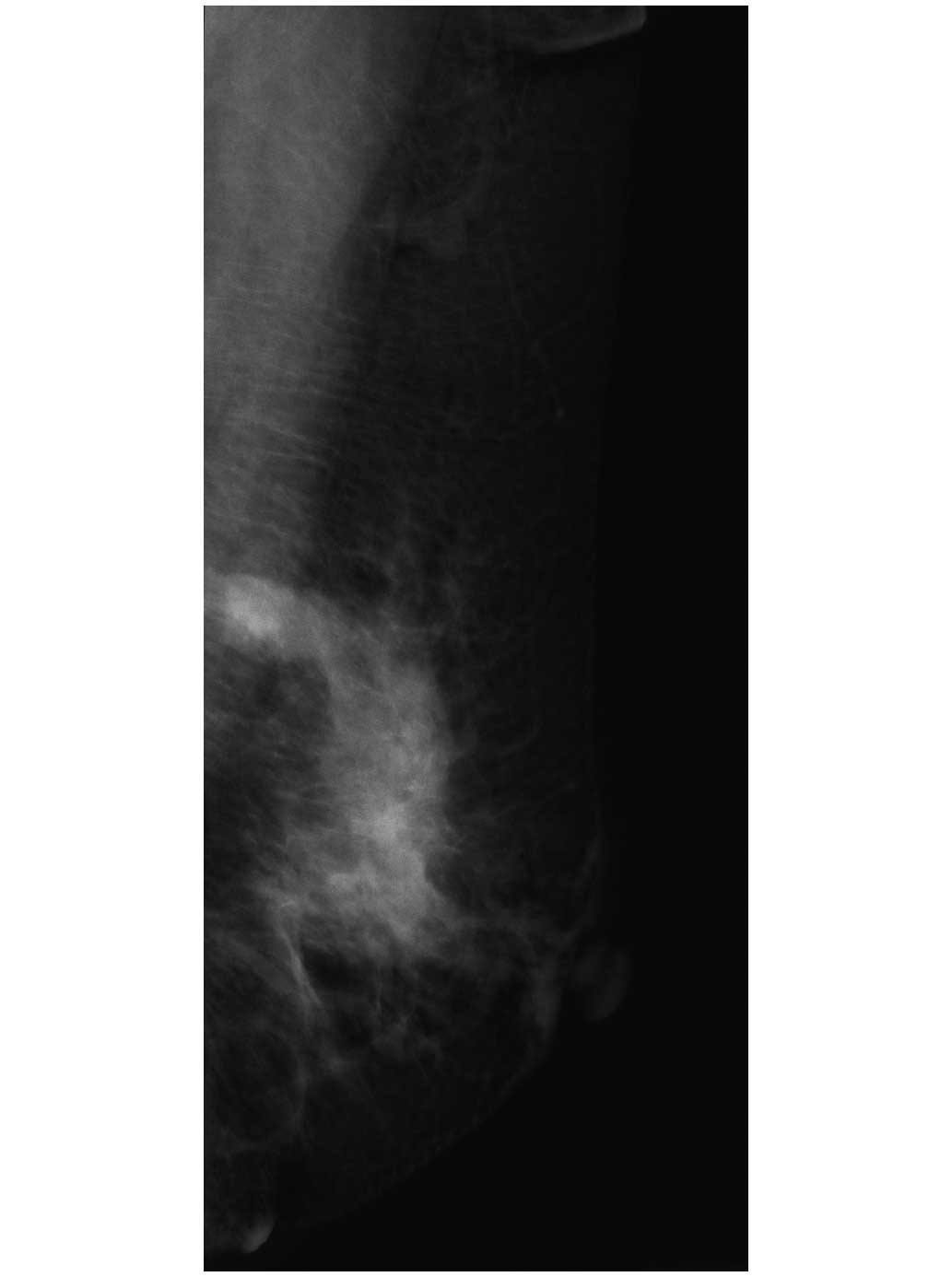
Phyllodes tumor (PT) is a rare type of biphasic fibroepithelial neoplasm that may coexist with a breast tumor in rare cases. In the current study, a 52‑year‑old female presented with a left breast lump. Mammography and sonographic examination results suggested a diagnosis of malignant tumor. Histological analysis revealed a borderline PT with invasive ductal carcinoma (IDC) within the tumor. Due to the presence of a single micrometastasis in three of the sentinel lymph nodes, the patient underwent modified radical mastectomy. The excised tumor contained triple negative breast cancer; therefore, postoperative treatment included six cycles of chemotherapy and 25 cycles of radiotherapy. The patient exhibited no recurrence and no metastatic disease at the 23‑month follow‑up examination. Thus, the present study discussed the case of a female patient that presented with IDC within borderline PT and reviewed the literature on this rare type of neoplasm. Various types of breast carcinoma have been identified to coexist with PT in different masses; however, no standard therapeutic regimen has been established for the coexistence of PT and breast cancer in the same mass. The present study indicates that determination of an appropriate treatment strategy predominantly depends on the characteristics of the individual breast tumor.
View Figures

Figure 1

Figure 2

Figure 3

Figure 4

View References

1 

Yamaguchi R, Tanaka M, Kishimoto Y, Ohkuma K, Ishida M and Kojiro M: Ductal carcinoma in situ arising in a benign phyllodes tumor: Report of a case. Surg Today. 38:42–45. 2008. View Article : Google Scholar : PubMed/NCBI

2 

Padmanabhan V, Dahlstrom JE, Chong GC and Bennett G: Phyllodes tumor with lobular carcinoma in situ and liposarcomatous stroma. Pathology. 29:224–226. 1997. View Article : Google Scholar : PubMed/NCBI

3 

Salvadori B, Cusumano F, Del Bo R, Delledonne V, Grassi M, Rovini D, Saccozzi R, Andreola S and Clemente C: Surgical treatment of phyllodes tumors of the breast. Cancer. 63:2532–2536. 1989. View Article : Google Scholar : PubMed/NCBI

4 

Bernstein L, Deapen D and Ross RK: The descriptive epidemiology of malignant cystosarcoma phyllodes tumors of the breast. Cancer. 71:3020–3024. 1993. View Article : Google Scholar : PubMed/NCBI

5 

Lakhani SR, Ellis IO, Schnitt SJ, Tan PH and van de Vijver MJ: WHO Classification of Tumours of the Breast (4th). IARC Press. Lyon: 2012.

6 

Aziz Abdul M, Sullivan F, Kerin MJ and Callagy G: Malignant phyllodes tumour with liposarcomatous differentiation, invasive tubular carcinoma and ductal and lobular carcinoma in situ: Case report and review of the literature. Patholog Res Int. 2010:5012742010.PubMed/NCBI

7 

Schwickerath J, Blessing MH and Wolff F: A rare clinical manifestation of a combination tumor of cystosarcoma phylloides malignum and an intraductal cancer. Geburtshilfe Frauenheilkd. 52:557–559. 1992.(In German). View Article : Google Scholar : PubMed/NCBI

8 

Stacher E, Boldt V, Leibl S, Halbwedl I, Popper HH, Ullmann R, Tavassoli FA and Moinfar F: Chromosomal aberrations as detected by array comparative genomic hybridization in early low-grade intraepithelial neoplasias of the breast. Histopathology. 59:549–555. 2011. View Article : Google Scholar : PubMed/NCBI

9 

Arpino G, Bardou VJ, Clark GM and Elledge RM: Infiltrating lobular carcinoma of the breast: Tumor characteristics and clinical outcome. Breast Cancer Res. 6:149–156. 2004. View Article : Google Scholar

10 

Ishida T, Izuo M and Kawai T: Breast carcinoma arising in cystosarcoma phyllodes: Report of a case with a review of the literature. Jpn J Clin Oncol. 14:99–106. 1984.PubMed/NCBI

11 

Tavassoli FA and Devilee P: World Health Organization classification of tumours: Pathology and genetics of tumours of the breast and female genital organs. IARC Press. Lyon: 99–103. 2003.

12 

Merck B, Cansado Martínez P, Pérez Ramos M, Martinez Banaclocha N, Lacueva Gómez FJ and Calpena R: Infiltrating ductal carcinoma and synchronous malignant phyllodes tumour. Diagnostic and therapeutic approaches. Clin Transl Oncol. 8:830–832. 2006. View Article : Google Scholar : PubMed/NCBI

13 

Kefeli M, Yildiz L, Akpolat I, Balci P and Ozen N: The coexistence of invasive ductal carcinoma and malignant phyllodes tumor with liposarcomatous and chondrosarcomatous differentiation in the same breast in a post-osteosarcoma case. Pathol Res Pract. 204:919–923. 2008. View Article : Google Scholar : PubMed/NCBI

14 

Cole-Beuglet C, Soriano R, Kurtz AB, Meyer JE, Kopans DB and Goldberg BB: Ultrasound, x-ray mammography and histopathology of cystosarcoma phylloides. Radiology. 146:481–486. 1983. View Article : Google Scholar : PubMed/NCBI

15 

Knudsen PJ and Ostergaard J: Cystosarcoma phylloides with lobular and ductal carcinoma in situ. Arch Pathol Lab Med. 111:873–875. 1987.PubMed/NCBI

16 

Parfitt JR, Armstrong C, O'Malley F, Ross J and Tuck AB: In-situ and invasive carcinoma within a phyllodes tumor associated with lymph node metastases. World J Surg Oncol. 2:462004. View Article : Google Scholar : PubMed/NCBI

17 

Shirah GR, Lau SK, Jayaram L, Bouton ME, Patel PN and Komenaka IK: Invasive lobular carcinoma and lobular carcinoma in situ in a phyllodes tumor. Breast J. 17:307–309. 2011. View Article : Google Scholar : PubMed/NCBI

18 

Quinlan-Davidson S, Hodgson N, Elavathil L and Shangguo T: Borderline phyllodes tumor with an incidental invasive tubular carcinoma and lobular carcinoma in situ component: A case report. J Breast Cancer. 14:237–240. 2011. View Article : Google Scholar : PubMed/NCBI

19 

Kuo YJ, Ho DM, Tsai YF and Hsu CY: Invasive ductal carcinoma arising in phyllodes tumor with isolated tumor cells in sentinel lymph node. J Chin Med Assoc. 73:602–604. 2010. View Article : Google Scholar : PubMed/NCBI

20 

Sugie T, Takeuchi E, Kunishima F, Yotsumoto F and Kono Y: A case of ductal carcinoma with squamous differentiation in malignant phyllodes tumor. Breast Cancer. 14:327–332. 2007. View Article : Google Scholar : PubMed/NCBI

21 

Korula A, Varghese J, Thomas M, Vyas F and Korula A: Malignant phyllodes tumour with intraductal and invasive carcinoma and lymph node metastasis. Singapore Med J. 49:e318–e321. 2008.PubMed/NCBI

22 

Choi Y, Lee KY, Jang MH, Seol H, Kim SW and Park SY: Invasive cribriform carcinoma arising in malignant phyllodes tumor of breast: A case report. Korean J Pathol. 46:205–209. 2012. View Article : Google Scholar : PubMed/NCBI

23 

Nio Y, Iguchi C, Tsuboi K and Maruyama R: Ductal carcinoma in situ arising within a benign phyllodes tumor: A case report with a review of the literature. Oncol Lett. 2:223–228. 2011. View Article : Google Scholar : PubMed/NCBI

24 

Nishimura R, Hasebe T, Imoto S and Mukai K: Malignant phyllodes tumour with a noninvasive ductal carcinoma component. Virchows Arch. 432:89–93. 1998. View Article : Google Scholar : PubMed/NCBI

25 

Lim SM and Tan PH: Ductal carcinoma in situ within phyllodes tumour: A rare occurrence. Pathology. 37:393–396. 2005. View Article : Google Scholar : PubMed/NCBI

26 

Leong AS and Meredith DJ: Tubular carcinoma developing within a recurring cystosarcoma phyllodes of the breast. Cancer. 46:1863–1867. 1980. View Article : Google Scholar : PubMed/NCBI

27 

Grove A and Kristensen Deibjerg L: Intraductal carcinoma within a phyllodes tumor of the breast: A case report. Tumori. 72:187–190. 1986.PubMed/NCBI

28 

Ward RM and Evans HL: Cystosarcoma phyllodes. A clinicopathologic study of 26 cases. Cancer. 58:2282–2289. 1986. View Article : Google Scholar : PubMed/NCBI

29 

Yasumura T, Matsui S, Hamajima T, Nagashima K, Yamagishi H, Aikawa I, Oka T, Nakae T and Shimada N: Infiltrating ductal carcinoma developing within cystosarcoma phyllodes-a case report. Jpn J Surg. 18:326–329. 1988. View Article : Google Scholar : PubMed/NCBI

30 

Kodama T, Kameyama K, Mukai M, Sugiura H, Ikeda T and Okada Y: Invasive lobular carcinoma arising in phyllodes tumor of the breast. Virchows Arch. 442:614–616. 2003.PubMed/NCBI

31 

Ramdass MJ and Dindyal S: Phyllodes breast tumour showing invasive squamous-cell carcinoma with invasive ductal, clear-cell, secretory and squamous components. Lancet Oncol. 7:8802006. View Article : Google Scholar : PubMed/NCBI

32 

Deodhar KK, Baraniya JB, Naresh KN, Shinde SR and Chinoy RF: Cancerization of phyllodes tumour. Histopathology. 30:98–99. 1997. View Article : Google Scholar : PubMed/NCBI

33 

Seemayer TA, Tremblay G and Shibata H: The unique association of mammary stromal sarcoma with intraductal carcinoma. Cancer. 36:599–605. 1975. View Article : Google Scholar : PubMed/NCBI

34 

Klausner JM, Lelcuk S, Ilia B, Inbar M, Hammer B, Skornik Y and Rozin RR: Breast carcinoma originating in cystosarcoma phyllodes. Clin Oncol. 9:71–74. 1983.PubMed/NCBI

35 

Hunger E, Turk R and Wurster K: Malignant cystosarcoma phylloides and squamous cell carcinoma of the breast. A rare tumor combination. Geburtshilfe Frauenheilkd. 44:640–642. 1984.(In German). View Article : Google Scholar : PubMed/NCBI

36 

Alò PL, Andreano T, Monaco S, Sebastiani V, Serpieri Eleuteri D and Di Tondo U: Malignant phyllode tumor of the breast with features of intraductal carcinoma. Pathologica. 93:124–127. 2001.(In Italian). PubMed/NCBI

37 

Nomura M, Inoue Y, Fujita S, Sakao J, Hirota M, Souda S and Ohshima M: A case of noninvasive ductal carcinoma arising in malignant phyllodes tumor. Breast Cancer. 13:89–94. 2006. View Article : Google Scholar : PubMed/NCBI

38 

Macher-Goeppinger S, Marme F, Goeppert B, Penzel R, Schirmacher P, Sinn HP and Aulmann S: Invasive ductal breast cancer within a malignant phyllodes tumor: Case report and assessment of clonality. Hum Pathol. 41:293–296. 2010. View Article : Google Scholar : PubMed/NCBI

Related Articles

  • Abstract
  • View
  • Download
  • Twitter
Copy and paste a formatted citation
Spandidos Publications style
Wu D, Zhang H, Guo L, Yan X and Fan Z: Invasive ductal carcinoma within borderline phyllodes tumor with lymph node metastases: A case report and review of the literature. Oncol Lett 11: 2502-2506, 2016.
APA
Wu, D., Zhang, H., Guo, L., Yan, X., & Fan, Z. (2016). Invasive ductal carcinoma within borderline phyllodes tumor with lymph node metastases: A case report and review of the literature. Oncology Letters, 11, 2502-2506. https://doi.org/10.3892/ol.2016.4238
MLA
Wu, D., Zhang, H., Guo, L., Yan, X., Fan, Z."Invasive ductal carcinoma within borderline phyllodes tumor with lymph node metastases: A case report and review of the literature". Oncology Letters 11.4 (2016): 2502-2506.
Chicago
Wu, D., Zhang, H., Guo, L., Yan, X., Fan, Z."Invasive ductal carcinoma within borderline phyllodes tumor with lymph node metastases: A case report and review of the literature". Oncology Letters 11, no. 4 (2016): 2502-2506. https://doi.org/10.3892/ol.2016.4238
Copy and paste a formatted citation
x
Spandidos Publications style
Wu D, Zhang H, Guo L, Yan X and Fan Z: Invasive ductal carcinoma within borderline phyllodes tumor with lymph node metastases: A case report and review of the literature. Oncol Lett 11: 2502-2506, 2016.
APA
Wu, D., Zhang, H., Guo, L., Yan, X., & Fan, Z. (2016). Invasive ductal carcinoma within borderline phyllodes tumor with lymph node metastases: A case report and review of the literature. Oncology Letters, 11, 2502-2506. https://doi.org/10.3892/ol.2016.4238
MLA
Wu, D., Zhang, H., Guo, L., Yan, X., Fan, Z."Invasive ductal carcinoma within borderline phyllodes tumor with lymph node metastases: A case report and review of the literature". Oncology Letters 11.4 (2016): 2502-2506.
Chicago
Wu, D., Zhang, H., Guo, L., Yan, X., Fan, Z."Invasive ductal carcinoma within borderline phyllodes tumor with lymph node metastases: A case report and review of the literature". Oncology Letters 11, no. 4 (2016): 2502-2506. https://doi.org/10.3892/ol.2016.4238
Follow us
  • Twitter
  • LinkedIn
  • Facebook
About
  • Spandidos Publications
  • Careers
  • Cookie Policy
  • Privacy Policy
How can we help?
  • Help
  • Live Chat
  • Contact
  • Email to our Support Team