Spandidos Publications Logo
  • About
    • About Spandidos
    • Aims and Scopes
    • Abstracting and Indexing
    • Editorial Policies
    • Reprints and Permissions
    • Job Opportunities
    • Terms and Conditions
    • Contact
  • Journals
    • All Journals
    • Oncology Letters
      • Oncology Letters
      • Information for Authors
      • Editorial Policies
      • Editorial Board
      • Aims and Scope
      • Abstracting and Indexing
      • Bibliographic Information
      • Archive
    • International Journal of Oncology
      • International Journal of Oncology
      • Information for Authors
      • Editorial Policies
      • Editorial Board
      • Aims and Scope
      • Abstracting and Indexing
      • Bibliographic Information
      • Archive
    • Molecular and Clinical Oncology
      • Molecular and Clinical Oncology
      • Information for Authors
      • Editorial Policies
      • Editorial Board
      • Aims and Scope
      • Abstracting and Indexing
      • Bibliographic Information
      • Archive
    • Experimental and Therapeutic Medicine
      • Experimental and Therapeutic Medicine
      • Information for Authors
      • Editorial Policies
      • Editorial Board
      • Aims and Scope
      • Abstracting and Indexing
      • Bibliographic Information
      • Archive
    • International Journal of Molecular Medicine
      • International Journal of Molecular Medicine
      • Information for Authors
      • Editorial Policies
      • Editorial Board
      • Aims and Scope
      • Abstracting and Indexing
      • Bibliographic Information
      • Archive
    • Biomedical Reports
      • Biomedical Reports
      • Information for Authors
      • Editorial Policies
      • Editorial Board
      • Aims and Scope
      • Abstracting and Indexing
      • Bibliographic Information
      • Archive
    • Oncology Reports
      • Oncology Reports
      • Information for Authors
      • Editorial Policies
      • Editorial Board
      • Aims and Scope
      • Abstracting and Indexing
      • Bibliographic Information
      • Archive
    • Molecular Medicine Reports
      • Molecular Medicine Reports
      • Information for Authors
      • Editorial Policies
      • Editorial Board
      • Aims and Scope
      • Abstracting and Indexing
      • Bibliographic Information
      • Archive
    • World Academy of Sciences Journal
      • World Academy of Sciences Journal
      • Information for Authors
      • Editorial Policies
      • Editorial Board
      • Aims and Scope
      • Abstracting and Indexing
      • Bibliographic Information
      • Archive
    • International Journal of Functional Nutrition
      • International Journal of Functional Nutrition
      • Information for Authors
      • Editorial Policies
      • Editorial Board
      • Aims and Scope
      • Abstracting and Indexing
      • Bibliographic Information
      • Archive
    • International Journal of Epigenetics
      • International Journal of Epigenetics
      • Information for Authors
      • Editorial Policies
      • Editorial Board
      • Aims and Scope
      • Abstracting and Indexing
      • Bibliographic Information
      • Archive
    • Medicine International
      • Medicine International
      • Information for Authors
      • Editorial Policies
      • Editorial Board
      • Aims and Scope
      • Abstracting and Indexing
      • Bibliographic Information
      • Archive
  • Articles
  • Information
    • Information for Authors
    • Information for Reviewers
    • Information for Librarians
    • Information for Advertisers
    • Conferences
  • Language Editing
Spandidos Publications Logo
  • About
    • About Spandidos
    • Aims and Scopes
    • Abstracting and Indexing
    • Editorial Policies
    • Reprints and Permissions
    • Job Opportunities
    • Terms and Conditions
    • Contact
  • Journals
    • All Journals
    • Biomedical Reports
      • Information for Authors
      • Editorial Policies
      • Editorial Board
      • Aims and Scope
      • Abstracting and Indexing
      • Bibliographic Information
      • Archive
    • Experimental and Therapeutic Medicine
      • Information for Authors
      • Editorial Policies
      • Editorial Board
      • Aims and Scope
      • Abstracting and Indexing
      • Bibliographic Information
      • Archive
    • International Journal of Epigenetics
      • Information for Authors
      • Editorial Policies
      • Editorial Board
      • Aims and Scope
      • Abstracting and Indexing
      • Bibliographic Information
      • Archive
    • International Journal of Functional Nutrition
      • Information for Authors
      • Editorial Policies
      • Editorial Board
      • Aims and Scope
      • Abstracting and Indexing
      • Bibliographic Information
      • Archive
    • International Journal of Molecular Medicine
      • Information for Authors
      • Editorial Policies
      • Editorial Board
      • Aims and Scope
      • Abstracting and Indexing
      • Bibliographic Information
      • Archive
    • International Journal of Oncology
      • Information for Authors
      • Editorial Policies
      • Editorial Board
      • Aims and Scope
      • Abstracting and Indexing
      • Bibliographic Information
      • Archive
    • Medicine International
      • Information for Authors
      • Editorial Policies
      • Editorial Board
      • Aims and Scope
      • Abstracting and Indexing
      • Bibliographic Information
      • Archive
    • Molecular and Clinical Oncology
      • Information for Authors
      • Editorial Policies
      • Editorial Board
      • Aims and Scope
      • Abstracting and Indexing
      • Bibliographic Information
      • Archive
    • Molecular Medicine Reports
      • Information for Authors
      • Editorial Policies
      • Editorial Board
      • Aims and Scope
      • Abstracting and Indexing
      • Bibliographic Information
      • Archive
    • Oncology Letters
      • Information for Authors
      • Editorial Policies
      • Editorial Board
      • Aims and Scope
      • Abstracting and Indexing
      • Bibliographic Information
      • Archive
    • Oncology Reports
      • Information for Authors
      • Editorial Policies
      • Editorial Board
      • Aims and Scope
      • Abstracting and Indexing
      • Bibliographic Information
      • Archive
    • World Academy of Sciences Journal
      • Information for Authors
      • Editorial Policies
      • Editorial Board
      • Aims and Scope
      • Abstracting and Indexing
      • Bibliographic Information
      • Archive
  • Articles
  • Information
    • For Authors
    • For Reviewers
    • For Librarians
    • For Advertisers
    • Conferences
  • Language Editing
Login Register Submit
  • This site uses cookies
  • You can change your cookie settings at any time by following the instructions in our Cookie Policy. To find out more, you may read our Privacy Policy.

    I agree
Search articles by DOI, keyword, author or affiliation
Search
Advanced Search
presentation
Oncology Letters
Join Editorial Board Propose a Special Issue
Print ISSN: 1792-1074 Online ISSN: 1792-1082
Journal Cover
June-2016 Volume 11 Issue 6

Full Size Image

Sign up for eToc alerts
Recommend to Library

Journals

International Journal of Molecular Medicine

International Journal of Molecular Medicine

International Journal of Molecular Medicine is an international journal devoted to molecular mechanisms of human disease.

International Journal of Oncology

International Journal of Oncology

International Journal of Oncology is an international journal devoted to oncology research and cancer treatment.

Molecular Medicine Reports

Molecular Medicine Reports

Covers molecular medicine topics such as pharmacology, pathology, genetics, neuroscience, infectious diseases, molecular cardiology, and molecular surgery.

Oncology Reports

Oncology Reports

Oncology Reports is an international journal devoted to fundamental and applied research in Oncology.

Experimental and Therapeutic Medicine

Experimental and Therapeutic Medicine

Experimental and Therapeutic Medicine is an international journal devoted to laboratory and clinical medicine.

Oncology Letters

Oncology Letters

Oncology Letters is an international journal devoted to Experimental and Clinical Oncology.

Biomedical Reports

Biomedical Reports

Explores a wide range of biological and medical fields, including pharmacology, genetics, microbiology, neuroscience, and molecular cardiology.

Molecular and Clinical Oncology

Molecular and Clinical Oncology

International journal addressing all aspects of oncology research, from tumorigenesis and oncogenes to chemotherapy and metastasis.

World Academy of Sciences Journal

World Academy of Sciences Journal

Multidisciplinary open-access journal spanning biochemistry, genetics, neuroscience, environmental health, and synthetic biology.

International Journal of Functional Nutrition

International Journal of Functional Nutrition

Open-access journal combining biochemistry, pharmacology, immunology, and genetics to advance health through functional nutrition.

International Journal of Epigenetics

International Journal of Epigenetics

Publishes open-access research on using epigenetics to advance understanding and treatment of human disease.

Medicine International

Medicine International

An International Open Access Journal Devoted to General Medicine.

Journal Cover
June-2016 Volume 11 Issue 6

Full Size Image

Sign up for eToc alerts
Recommend to Library

  • Article
  • Citations
    • Cite This Article
    • Download Citation
    • Create Citation Alert
    • Remove Citation Alert
    • Cited By
  • Similar Articles
    • Related Articles (in Spandidos Publications)
    • Similar Articles (Google Scholar)
    • Similar Articles (PubMed)
  • Download PDF
  • Download XML
  • View XML
Case Report

Paragonimiasis mimicking chest cancer and abdominal wall metastaisis: A case report

  • Authors:
    • Rongxing Zhou
    • Minjia Zhang
    • Nansheng Cheng
    • Yong Zhou
  • View Affiliations / Copyright

    Affiliations: Department of Biliary Surgery, West China Medical Center of Sichuan University, Chengdu, Sichuan 610041, P.R. China, Department of Cardiology, West China Medical Center of Sichuan University, Chengdu, Sichuan 610041, P.R. China
  • Pages: 3769-3771
    |
    Published online on: April 13, 2016
       https://doi.org/10.3892/ol.2016.4434
  • Expand metrics +
Metrics: Total Views: 0 (Spandidos Publications: | PMC Statistics: )
Metrics: Total PDF Downloads: 0 (Spandidos Publications: | PMC Statistics: )
Cited By (CrossRef): 0 citations Loading Articles...

This article is mentioned in:



Abstract

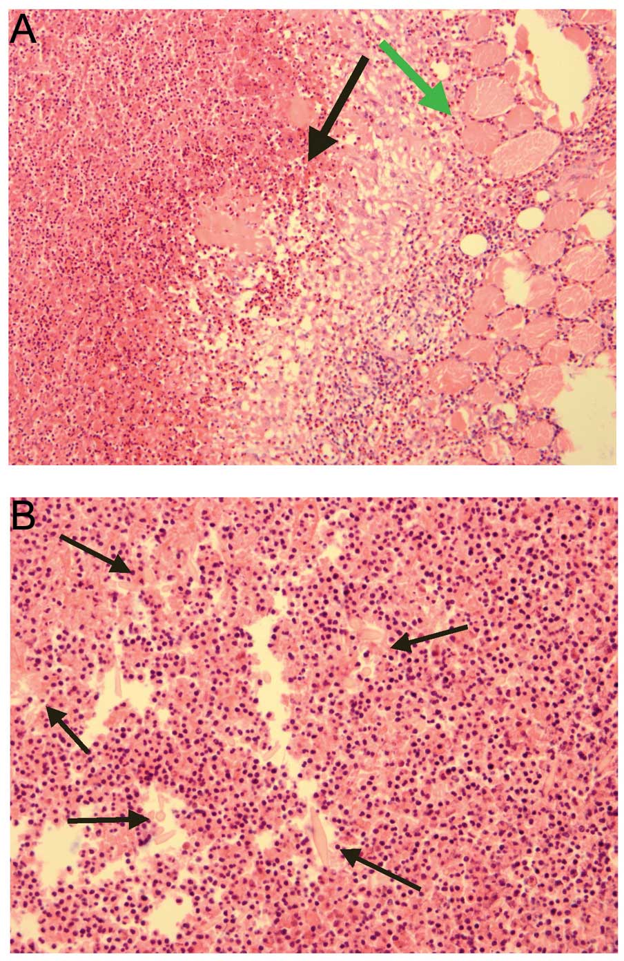
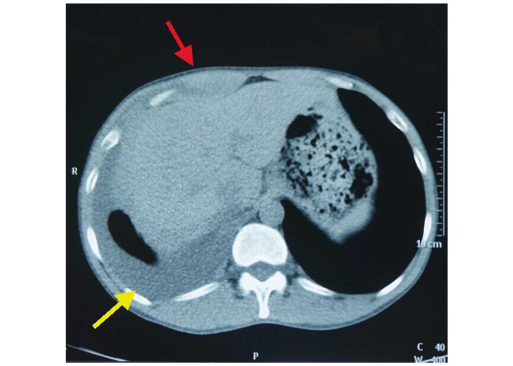
Typical human paragonimiasis demonstrates an elevated eosinophil count, positive immunoblot, nodular shadows of the lung and pleural thickening with pleural effusion, and these symptoms may be confused with chest cancer. In the present case, a rare case of human paragonimiasis mimicking chest cancer and abdominal wall metastasis is described, the 39‑year‑old male patient was admitted in our hospital for cough, weight loss 5 kg and a firm mass in right upper abdominal wall. The laboratory test showed unremarkable hematology and biochemistry results. Chest X‑ray, Plain computed tomography of the chest and abdomen showed right pleural effusion, several nodules in right lower lung and a mass in the right upper abdominal wall. The initial diagnosis was lung or chest cancer with abdominal wall metastasis, and the abdominal wall mass was resected for the final diagnosis. The biopsy revealed eosinophilic granuloma with Charcot-Leyden crystal formation infiltrated in the muscular fibers. Subsequent to assessment of the antibodies against parasites, the final diagnosis of paragonimiasis was made.
View Figures

Figure 1

Figure 2

Figure 3

View References

1 

Ahn MH: Changing patterns of human parasitic infection in Korea. Hanyang Med Rev. 30:149–155. 2010. View Article : Google Scholar

2 

Vélez I, Velásquez LE and Vélez ID: Morphological description and life cycle of Paragonimus sp. (Trematoda: Troglotrematidae): Causal agent of human paragonimiasis in Colombia. J Parasitol. 89:749–755. 2003. View Article : Google Scholar : PubMed/NCBI

3 

Liu Q, Wei F, Liu W, Yang S and Zhang X: Paragonimiasis: An important food-borne zoonosis in China. Trends Parasitol. 24:318–323. 2008. View Article : Google Scholar : PubMed/NCBI

4 

Kagawa FT: Pulmonary paragonimiasis. Semin Respir Infect. 12:149–158. 1997.PubMed/NCBI

5 

Jeon K, Koh WJ, Kim H, Kwon OJ, Kim TS, Lee KS and Han J: Clinical features of recently diagnosed pulmonary paragonimiasis in Korea. Chest. 128:1423–1430. 2005. View Article : Google Scholar : PubMed/NCBI

6 

Chen MG: New developments in the clinical study of praziquantel. Chin J Parasitol Parasit Dis. 2:193–195. 1984.

7 

Zhang ZH: Paragonimiasis. Diseases of Natural Focus. Tang JQ: Chinese Science Press. (Beijing). 1085–1098. 2005.

8 

Akaba T, Takeyama K, Toriyama M, Kubo A, Mizobuchi R, Yamada T, Tagaya E, Kondo M, Sakai S and Tamaoki J: Pulmonary paragonimiasis: The detection of a worm migration track as a diagnostic clue for uncertain eosinophilic pleural effusion. Intern Med. 55:503–506. 2016. View Article : Google Scholar : PubMed/NCBI

9 

Yang X, Xu M, Wu Y and Xiang B: Pancreatic paragonimiasis mimics pancreatic cystic-solid tumor - A case report. Pancreatology. 15:576–578. 2015. View Article : Google Scholar : PubMed/NCBI

10 

Hoshina T, Tamura K, Kawano S, Kato T, Sato F, Horino T, Nakazawa Y, Yosikawa K, Yoshida M, Kumagai M and Hori S: Two cases of Paragonimiasis westermani in a Chinese family diagnosed with the Ouchterlony double diffusion method. Kansenshogaku Zasshi. 88:866–870. 2014.(In Japanese). PubMed/NCBI

11 

Bagcchi S: Use of chemotherapy in patients with metastatic lung cancer. Lancet Oncol. 16:e2632015. View Article : Google Scholar : PubMed/NCBI

12 

Castilla EA, Jessen R, Sheck DN and Procop GW: Cavitary mass lesion and recurrent pneumothoraces due to Paragonimus kellicotti infection: North American paragonimiasis. Am J Surg Pathol. 27:1157–1160. 2003. View Article : Google Scholar : PubMed/NCBI

13 

Johnson RJ, Jong EC, Dunning SB, Carberry WL and Minshew BH: Paragonimiasis: Diagnosis and the use of praziquantel in treatment. Rev Infect Dis. 7:200–206. 1985. View Article : Google Scholar : PubMed/NCBI

14 

Drugs for Parasitic Infections (2nd). The Medical Letter, Inc. New Rochelle, NY: 1–20. 2010.

15 

Benjapong W, Naeypatimanond S, Benjapong K, Thumaruksa C, Ruttarasarn S and Jaroonvesama N: Studies on paragonimiasis: Treatment with mebendazole, emetine with mebendazole and praziquantel. Southeast Asian J Trop Med Public Health. 15:354–359. 1984.PubMed/NCBI

16 

Chen MG, Chang ZS, Shao XY, Liu MD, Blair D, Chen SH, Zhang YN, Hong JL, Shen BG and Feng Z: Paragonimiasis in Yongjia County, Zhejiang Province, China: Clinical, parasitological and karyotypic studies on Paragonimus westermani. Southeast Asian J Trop Med Public Health. 32:760–769. 2001.PubMed/NCBI

Related Articles

  • Abstract
  • View
  • Download
  • Twitter
Copy and paste a formatted citation
Spandidos Publications style
Zhou R, Zhang M, Cheng N and Zhou Y: Paragonimiasis mimicking chest cancer and abdominal wall metastaisis: A case report. Oncol Lett 11: 3769-3771, 2016.
APA
Zhou, R., Zhang, M., Cheng, N., & Zhou, Y. (2016). Paragonimiasis mimicking chest cancer and abdominal wall metastaisis: A case report. Oncology Letters, 11, 3769-3771. https://doi.org/10.3892/ol.2016.4434
MLA
Zhou, R., Zhang, M., Cheng, N., Zhou, Y."Paragonimiasis mimicking chest cancer and abdominal wall metastaisis: A case report". Oncology Letters 11.6 (2016): 3769-3771.
Chicago
Zhou, R., Zhang, M., Cheng, N., Zhou, Y."Paragonimiasis mimicking chest cancer and abdominal wall metastaisis: A case report". Oncology Letters 11, no. 6 (2016): 3769-3771. https://doi.org/10.3892/ol.2016.4434
Copy and paste a formatted citation
x
Spandidos Publications style
Zhou R, Zhang M, Cheng N and Zhou Y: Paragonimiasis mimicking chest cancer and abdominal wall metastaisis: A case report. Oncol Lett 11: 3769-3771, 2016.
APA
Zhou, R., Zhang, M., Cheng, N., & Zhou, Y. (2016). Paragonimiasis mimicking chest cancer and abdominal wall metastaisis: A case report. Oncology Letters, 11, 3769-3771. https://doi.org/10.3892/ol.2016.4434
MLA
Zhou, R., Zhang, M., Cheng, N., Zhou, Y."Paragonimiasis mimicking chest cancer and abdominal wall metastaisis: A case report". Oncology Letters 11.6 (2016): 3769-3771.
Chicago
Zhou, R., Zhang, M., Cheng, N., Zhou, Y."Paragonimiasis mimicking chest cancer and abdominal wall metastaisis: A case report". Oncology Letters 11, no. 6 (2016): 3769-3771. https://doi.org/10.3892/ol.2016.4434
Follow us
  • Twitter
  • LinkedIn
  • Facebook
About
  • Spandidos Publications
  • Careers
  • Cookie Policy
  • Privacy Policy
How can we help?
  • Help
  • Live Chat
  • Contact
  • Email to our Support Team