Spandidos Publications Logo
  • About
    • About Spandidos
    • Aims and Scopes
    • Abstracting and Indexing
    • Editorial Policies
    • Reprints and Permissions
    • Job Opportunities
    • Terms and Conditions
    • Contact
  • Journals
    • All Journals
    • Oncology Letters
      • Oncology Letters
      • Information for Authors
      • Editorial Policies
      • Editorial Board
      • Aims and Scope
      • Abstracting and Indexing
      • Bibliographic Information
      • Archive
    • International Journal of Oncology
      • International Journal of Oncology
      • Information for Authors
      • Editorial Policies
      • Editorial Board
      • Aims and Scope
      • Abstracting and Indexing
      • Bibliographic Information
      • Archive
    • Molecular and Clinical Oncology
      • Molecular and Clinical Oncology
      • Information for Authors
      • Editorial Policies
      • Editorial Board
      • Aims and Scope
      • Abstracting and Indexing
      • Bibliographic Information
      • Archive
    • Experimental and Therapeutic Medicine
      • Experimental and Therapeutic Medicine
      • Information for Authors
      • Editorial Policies
      • Editorial Board
      • Aims and Scope
      • Abstracting and Indexing
      • Bibliographic Information
      • Archive
    • International Journal of Molecular Medicine
      • International Journal of Molecular Medicine
      • Information for Authors
      • Editorial Policies
      • Editorial Board
      • Aims and Scope
      • Abstracting and Indexing
      • Bibliographic Information
      • Archive
    • Biomedical Reports
      • Biomedical Reports
      • Information for Authors
      • Editorial Policies
      • Editorial Board
      • Aims and Scope
      • Abstracting and Indexing
      • Bibliographic Information
      • Archive
    • Oncology Reports
      • Oncology Reports
      • Information for Authors
      • Editorial Policies
      • Editorial Board
      • Aims and Scope
      • Abstracting and Indexing
      • Bibliographic Information
      • Archive
    • Molecular Medicine Reports
      • Molecular Medicine Reports
      • Information for Authors
      • Editorial Policies
      • Editorial Board
      • Aims and Scope
      • Abstracting and Indexing
      • Bibliographic Information
      • Archive
    • World Academy of Sciences Journal
      • World Academy of Sciences Journal
      • Information for Authors
      • Editorial Policies
      • Editorial Board
      • Aims and Scope
      • Abstracting and Indexing
      • Bibliographic Information
      • Archive
    • International Journal of Functional Nutrition
      • International Journal of Functional Nutrition
      • Information for Authors
      • Editorial Policies
      • Editorial Board
      • Aims and Scope
      • Abstracting and Indexing
      • Bibliographic Information
      • Archive
    • International Journal of Epigenetics
      • International Journal of Epigenetics
      • Information for Authors
      • Editorial Policies
      • Editorial Board
      • Aims and Scope
      • Abstracting and Indexing
      • Bibliographic Information
      • Archive
    • Medicine International
      • Medicine International
      • Information for Authors
      • Editorial Policies
      • Editorial Board
      • Aims and Scope
      • Abstracting and Indexing
      • Bibliographic Information
      • Archive
  • Articles
  • Information
    • Information for Authors
    • Information for Reviewers
    • Information for Librarians
    • Information for Advertisers
    • Conferences
  • Language Editing
Spandidos Publications Logo
  • About
    • About Spandidos
    • Aims and Scopes
    • Abstracting and Indexing
    • Editorial Policies
    • Reprints and Permissions
    • Job Opportunities
    • Terms and Conditions
    • Contact
  • Journals
    • All Journals
    • Biomedical Reports
      • Information for Authors
      • Editorial Policies
      • Editorial Board
      • Aims and Scope
      • Abstracting and Indexing
      • Bibliographic Information
      • Archive
    • Experimental and Therapeutic Medicine
      • Information for Authors
      • Editorial Policies
      • Editorial Board
      • Aims and Scope
      • Abstracting and Indexing
      • Bibliographic Information
      • Archive
    • International Journal of Epigenetics
      • Information for Authors
      • Editorial Policies
      • Editorial Board
      • Aims and Scope
      • Abstracting and Indexing
      • Bibliographic Information
      • Archive
    • International Journal of Functional Nutrition
      • Information for Authors
      • Editorial Policies
      • Editorial Board
      • Aims and Scope
      • Abstracting and Indexing
      • Bibliographic Information
      • Archive
    • International Journal of Molecular Medicine
      • Information for Authors
      • Editorial Policies
      • Editorial Board
      • Aims and Scope
      • Abstracting and Indexing
      • Bibliographic Information
      • Archive
    • International Journal of Oncology
      • Information for Authors
      • Editorial Policies
      • Editorial Board
      • Aims and Scope
      • Abstracting and Indexing
      • Bibliographic Information
      • Archive
    • Medicine International
      • Information for Authors
      • Editorial Policies
      • Editorial Board
      • Aims and Scope
      • Abstracting and Indexing
      • Bibliographic Information
      • Archive
    • Molecular and Clinical Oncology
      • Information for Authors
      • Editorial Policies
      • Editorial Board
      • Aims and Scope
      • Abstracting and Indexing
      • Bibliographic Information
      • Archive
    • Molecular Medicine Reports
      • Information for Authors
      • Editorial Policies
      • Editorial Board
      • Aims and Scope
      • Abstracting and Indexing
      • Bibliographic Information
      • Archive
    • Oncology Letters
      • Information for Authors
      • Editorial Policies
      • Editorial Board
      • Aims and Scope
      • Abstracting and Indexing
      • Bibliographic Information
      • Archive
    • Oncology Reports
      • Information for Authors
      • Editorial Policies
      • Editorial Board
      • Aims and Scope
      • Abstracting and Indexing
      • Bibliographic Information
      • Archive
    • World Academy of Sciences Journal
      • Information for Authors
      • Editorial Policies
      • Editorial Board
      • Aims and Scope
      • Abstracting and Indexing
      • Bibliographic Information
      • Archive
  • Articles
  • Information
    • For Authors
    • For Reviewers
    • For Librarians
    • For Advertisers
    • Conferences
  • Language Editing
Login Register Submit
  • This site uses cookies
  • You can change your cookie settings at any time by following the instructions in our Cookie Policy. To find out more, you may read our Privacy Policy.

    I agree
Search articles by DOI, keyword, author or affiliation
Search
Advanced Search
presentation
Oncology Letters
Join Editorial Board Propose a Special Issue
Print ISSN: 1792-1074 Online ISSN: 1792-1082
Journal Cover
June-2016 Volume 11 Issue 6

Full Size Image

Sign up for eToc alerts
Recommend to Library

Journals

International Journal of Molecular Medicine

International Journal of Molecular Medicine

International Journal of Molecular Medicine is an international journal devoted to molecular mechanisms of human disease.

International Journal of Oncology

International Journal of Oncology

International Journal of Oncology is an international journal devoted to oncology research and cancer treatment.

Molecular Medicine Reports

Molecular Medicine Reports

Covers molecular medicine topics such as pharmacology, pathology, genetics, neuroscience, infectious diseases, molecular cardiology, and molecular surgery.

Oncology Reports

Oncology Reports

Oncology Reports is an international journal devoted to fundamental and applied research in Oncology.

Experimental and Therapeutic Medicine

Experimental and Therapeutic Medicine

Experimental and Therapeutic Medicine is an international journal devoted to laboratory and clinical medicine.

Oncology Letters

Oncology Letters

Oncology Letters is an international journal devoted to Experimental and Clinical Oncology.

Biomedical Reports

Biomedical Reports

Explores a wide range of biological and medical fields, including pharmacology, genetics, microbiology, neuroscience, and molecular cardiology.

Molecular and Clinical Oncology

Molecular and Clinical Oncology

International journal addressing all aspects of oncology research, from tumorigenesis and oncogenes to chemotherapy and metastasis.

World Academy of Sciences Journal

World Academy of Sciences Journal

Multidisciplinary open-access journal spanning biochemistry, genetics, neuroscience, environmental health, and synthetic biology.

International Journal of Functional Nutrition

International Journal of Functional Nutrition

Open-access journal combining biochemistry, pharmacology, immunology, and genetics to advance health through functional nutrition.

International Journal of Epigenetics

International Journal of Epigenetics

Publishes open-access research on using epigenetics to advance understanding and treatment of human disease.

Medicine International

Medicine International

An International Open Access Journal Devoted to General Medicine.

Journal Cover
June-2016 Volume 11 Issue 6

Full Size Image

Sign up for eToc alerts
Recommend to Library

  • Article
  • Citations
    • Cite This Article
    • Download Citation
    • Create Citation Alert
    • Remove Citation Alert
    • Cited By
  • Similar Articles
    • Related Articles (in Spandidos Publications)
    • Similar Articles (Google Scholar)
    • Similar Articles (PubMed)
  • Download PDF
  • Download XML
  • View XML
Case Report Open Access

A solitary fibrous tumor with concurrent meningioma at the same site: A case report and review of the literature

  • Authors:
    • Hua Yan
    • Kai Luo
    • Baolong Liu
    • Jianmin Kang
  • View Affiliations / Copyright

    Affiliations: Department of Neurosurgery, Tianjin Huanhu Hospital, Tianjin 300060, P.R. China, Department of Ultrasonography, Tianjin Huanhu Hospital, Tianjin 300060, P.R. China
    Copyright: © Yan et al. This is an open access article distributed under the terms of Creative Commons Attribution License.
  • Pages: 3655-3659
    |
    Published online on: April 20, 2016
       https://doi.org/10.3892/ol.2016.4486
  • Expand metrics +
Metrics: Total Views: 0 (Spandidos Publications: | PMC Statistics: )
Metrics: Total PDF Downloads: 0 (Spandidos Publications: | PMC Statistics: )
Cited By (CrossRef): 0 citations Loading Articles...

This article is mentioned in:



Abstract

The present study describes a case of a solitary fibrous tumor (SFT) concurrent with meningioma in the same anatomical region. The patient was admitted to Tianjin Huanhu Hospital (Tianjin, China) presenting with progressive eyesight impairment, dizziness and right hemiparesis. Cranial magnetic resonance imaging revealed two primary tumors co‑occurring at the same site. One lesion was a solid lesion located in the left frontal convex with homogeneous enhancement, and was closely associated with the dura mater; thus, it was suspected that the lesion was a meningioma. The second lesion was cystic and solid with an irregular shape, and was located next to the first tumor; this lesion was believed to be a hemangiopericytoma or astrocytoma. The patient underwent a left temporoparietal craniectomy and a complete excision of the two tumors was achieved. Subsequent pathological examination of the resected tissues confirmed that the two tumors were a secretory meningioma and a SFT, respectively. Immunohistochemistry is important in differentiating SFTs from other tumors. Currently, a total tumor resection is the optimal treatment strategy when managing these rare lesions, often with no requirement for adjuvant post‑operative therapy; however, long‑term follow‑up is essential to detect any signs of recurrence. The possibility of multiple tumors should be taken into consideration when performing clinical examination. To further understand the mechanisms underlying the occurrence of multiple intracranial tumors, further research is required, alongside an increased number of case reports.

Introduction

Meningioma is a common brain tumor accounting for ~20% of all primary intracranial neoplasms (1), while schwannoma is a type of nerve sheath tumor. Both meningiomas and schwannomas may imitate intracranial solitary fibrous tumors (SFTs) histologically and radiologically. SFTs are spindle-cell mesenchymal neoplasms. Concurrence of intracranial SFTs and other tumor types is particularly rare, and SFTs are easily misdiagnosed due to a lack of typical symptoms and imaging features. By contrast, meningiomas, which arise from cells covering the arachnoid layer of the dura mater or from the intraventricular choroid plexus, present with a typical dural tail sign upon magnetic resonance imaging (MRI) (2,3). Histologically, both meningiomas and SFTs are composed of interlacing fascicles of spindle or ovoid tumor cells with intervening collagen bands. Surgery is the first choice of therapy for SFTs, with a good prognosis. In particular, stereotactic and external beam radiation therapy may be recommended for postsurgical tumor remnants and for unresectable recurrences (4). Analysis of the literature identified ~220 cases of SFTs, of which the majority were intracranial. In decreasing frequency, intracranial tumors involved the supratentorial and infratentorial compartments, the pontocerebellar angle, the sellar and parasellar regions, and the cranial nerves (4). The current study describes the case of a patient who presented with two primary intracranial tumors that originated from different cell types. The case report is followed by a discussion of the pathogenesis of multiple intracranial tumors and a brief literature review. Written informed consent was obtained from the patient.

Case report

A 71-year-old woman was admitted to the Tianjin Huanhu Hospital (Tianjin, China) on September 7, 2012. The patient presented with progressive eyesight impairment, dizziness and right hemiparesis. Routine biochemical and hematological tests were within normal limits.

MRI (MAGNETOM Trio, A Tim System 3 Tesla; Siemens AG, Munich, Germany) revealed two primary tumors that were in close proximity (Fig. 1). The first was a solid lesion, measuring 20×16×14 mm in size, with a clear boundary and visible peritumoral edema. The tumor had originated from the left frontal convex and was adhered to the dura mater, connecting to the adjacent skull with a wide base, with associated bone hyperplasia. The lesion was isointense to the brain parenchyma on T1- and T2-weighted images (Fig. 1A and B). The tumor demonstrated intense and homogeneous enhancement following the intravenous administration of gadolinium (Fig. 2A). The radiological and clinical features were highly indicative of a meningioma. The second lesion was located in close proximity to the first lesion, and was cystic and solid with an irregular shape, measuring 45×46×66 mm in size. The cystic region of the mass exhibited hypointensity on T1-weighted images and hyperintensity on T2-weighted images. The solid region of the mass exhibited isointensity to adjacent brain tissue on T1-weighted images and iso- or hyperintensity on T2-weighted images (Fig. 1C and D). In addition, the mass demonstrated intense and homogeneous enhancement following the intravenous administration of gadolinium (Fig. 2A). The clinical features were suggestive of a hemangiopericytoma or astrocytoma.

Figure 1.

Magnetic resonance images. The first tumor exhibited isointensity to brain parenchyma on (A) T1-weighted sagittal and (B) T2-weighted axial scans. The second tumor was located next to the first lesion and consisted of solid and cystic regions; the cystic region of the mass revealed (C) hypointensity on T1-weighted images and (D) hyperintensity on T2-weighted images. The solid region of the mass exhibited (C) isointensity to the adjacent brain tissue on T1-weighted images and (D) iso- or hyperintensity on T2-weighted images.

Figure 2.

An MRI scan of each lesion and intraoperative image of the meningioma. (A) T1-weighted sagittal MRI exhibiting strongly-enhanced, solid regions of the two tumors following gadolinium administration. (B) Intradural exploration showing the cystic region of the second tumor containing yellow liquid. MRI, magnetic resonance imaging.

The patient underwent a left temporoparietal craniectomy, and complete excision of each tumor was achieved. A well-defined, 20×16×14 mm, solid tumor, which was located in the left frontal convex, was extirpated along with the attached dura mater. Following excision, the tumors were placed in normal saline and sent to the Department of Pathology in Tianjin Huanhu Hospital for pathological, histological and immunohistochemical analysis. Pathological examination confirmed that this mass was a secretory meningioma. The second solid mass was encapsulated, contained yellow cystic liquid and was located in close proximity to the meningioma (Fig. 2B). This lesion was located in a capsule wall, measured 45×46×66 mm in size and was separated from the dura mater. Pathological examination confirmed a diagnosis of an SFT.

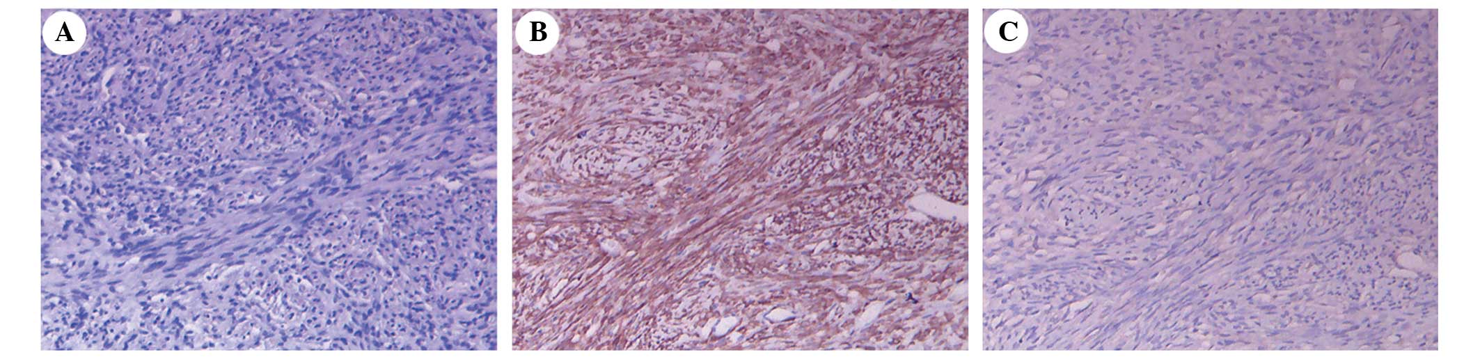
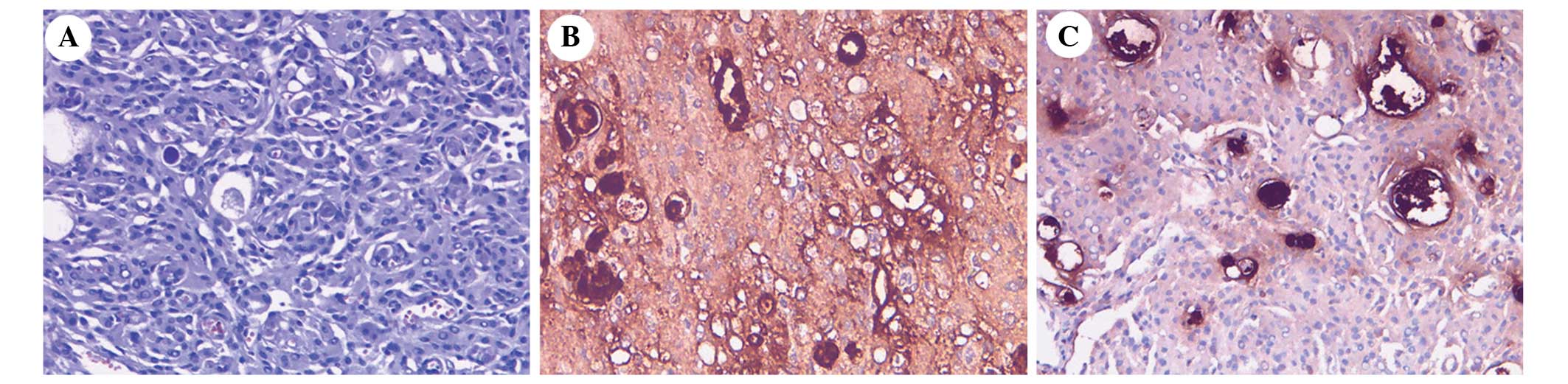
Following histological analysis of the specimens, it was noted that the SFT was composed of proliferating spindle cells (Fig. 3A). Immunohistochemistry determined that the SFT cells were positive for cluster of differentiation (CD)34, vimentin, B-cell lymphoma 2 (Bcl-2) (Fig. 3B) and CD117, and negative for epithelial membrane antigen (EMA) (Fig. 3C) and S-100, with a Ki-67 proliferation labeling index of ~2.5%. Histological examination of the secretory meningioma demonstrated evidence of multifocal epithelial cell differentiation and an intraepithelial microcavity containing eosinophil pseudopsammoma bodies (Fig. 4A). Immunohistochemistry determined that the secretory meningioma cells were positive for EMA (Fig. 4B), vimentin and carcinoembryonic antigen (Fig. 4C), with a Ki-67 proliferation labeling index of ~2.3%. Periodic acid-Schiff staining was positive. No complications appeared following surgery. The patient was followed-up at 4 and 8 months and every 12 months subsequent to surgery. At the 8-month follow-up, there were no signs of recurrence.

Figure 3.

(A) Histological examination determined that the solitary fibrous tumor was composed of proliferating spindle cells (staining, hematoxylin and eosin). Immunohistochemistry demonstrated that the tumor tissue was (B) positive for B-cell lymphoma 2 (magnification, ×100) and (C) negative for epithelial membrane antigen (magnification, ×100).

Figure 4.

(A) Histological examination revealed evidence of multifocal epithelial cell differentiation and an intraepithelial microcavity containing eosinophil pseudopsammoma bodies. Immunohistochemistry demonstrated that the tumor tissue was positive for (B) epithelial membrane antigen (magnification, ×200) and (C) carcinoembryonic antigen (magnification, ×100).

Discussion

Multiple primary intracranial neoplasms were first described in 1938 (5), and since then, an increasing number of cases have been reported. However, the majority of cases report the incidence of common intracranial tumors, including glioma and meningioma (6). The current study introduces a case that presented with the co-occurrence of mixed intracranial tumors. The tumors consisted of a secretory meningioma, a relatively uncommon subtype of meningioma, and an intracranial SFT, which is extremely rare. To the best of our knowledge, this is the first case of its type to be reported in the literature.

Although various theories have been proposed to explain the occurrence of multiple primary intracranial neoplasms of diverse germinal origins in the same individual, none of these have yet been proven. The concurrence of the tumors could be considered as purely coincidental. The majority of reported cases have presented with common intracranial tumors that were not in a close juxtaposition (7). If one tumor is close to or intermixed with another, there may be an association between them. The present study proposes that an initial tumor may form and function as an irritating agent, subsequently inducing and stimulating the excessive growth of a second lesion (8). It is generally considered that the relatively slow growth of benign stimulation induced the malignant tumor. With regard to the current case, it was hypothesized that the meningioma functioned as a stimulus source, which subsequently induced the SFT.

Other theories have been proposed stating that there may be certain unidentified carcinogens serving as stimuli, which result in the development of tumors in different tissues (9), or that residual embryonic structures may instead form the basis of multiple lesions (10).

It has also been hypothesized that common genes may be implicated in the development and progression of concurrent tumors. According to Black et al (11), deletion of chromosome 22 in patients with type 2 neurofibromatosis, and in up to 50% of solitary meningiomas, is associated with the appearance of multiple meningiomas (11). Previously, a meningioma-associated tumor suppressor gene was identified on the long arm of chromosome 14, determined as N-myc downstream-regulated gene 2, which was commonly inactivated in clinically aggressive meningiomas (12). However, only 1 case of an SFT of the central nervous system (CNS) has been detected by DNA analysis and flow cytometry, and 2 cases have been detected by molecular analyses (4). Therefore, further research is required to draw reliable conclusions.

Currently, no etiological association has been identified between meningiomas and SFTs. A review of the literature demonstrated that there have been no cases reported that are similar to the present case. The theory of stimulation may account for this pattern of tumoral linkage, but an increased number of similar cases in the future may enable identification of a potential association between such tumors.

With regard to the present case, a pre-operative diagnosis was challenging. According to the clinical and imaging features alone, the lesions were diagnosed as meningioma and hemangiopericytoma or astrocytoma. As the diagnosis of SFT proved to be difficult, it is necessary to include a brief literature review for intracranial SFT in the present study.

An SFT is a rare, mesenchymal neoplasm, which was first described as a pleural lesion by Klemperer and Rabin in 1931 (13). SFTs of the meninges were originally described by Carneiro et al in 1996 (14). The origin of SFTs has been a subject of controversy; they are typically dura-based, but may also present as intraventricular masses arising from cranial nerves or ubiquitous CD34-positive, dendritic, fibroblastic cells, which do not have an apparent association with the meninges (15,16). The World Health Organization classification of tumors of the CNS states that mesenchymal, non-meningothelial tumors originate from submesothelial, mesenchymal, fibroblast-like cells as opposed to developing from the mesothelium itself (17). The spine and posterior fossa are the most frequent locations for SFTs to develop (18). These tumors primarily occur following the third decade of life, with patient ages ranging from 33–75 years (19), and demonstrate a slight female preference, with a male to female ratio of 1:1.5 (19,20).

There are no reliable neuroradiological signs of an SFT, therefore, the pre-operative diagnosis is challenging. SFTs are generally isointense on T1-weighted MRI and hyperintense on T2-weighted MRI. Cystic lesions commonly exhibit peripheral enhancement (21). In the present case, the SFT appeared isointense to adjacent brain tissue on T1-weighted MRI and iso- or hyperintense on T2-weighted images. Following intravenous contrast administration, the tumor exhibited homogeneous enhancement.

In the current case, radiological evaluation could not provide an accurate diagnosis, and detailed histopathological and immunohistochemical examinations were required. Histologically, SFTs are composed of interlacing fascicles of spindle to ovoid tumor cells, with intervening bands of collagen (21). Immunohistochemically, the tumor cells demonstrate strong positivity for CD34, vimentin and the antiapoptotic marker Bcl-2, and are typically negative for EMA and S-100 protein. By contrast, meningiomas are usually positive for EMA and negative for CD34 (22). In the present case, the immunohistochemical findings were consistent with the features of SFTs.

Regarding the treatment of SFTs, surgery is the preferred choice of management. The tumors are typically well-circumscribed and therefore amenable to gross total resection. Radiotherapy, including external beam radiation therapy or gamma-knife radiosurgery, is administered in cases that experience incomplete (partial or subtotal) resection, or in certain cases with malignant histology or recurrence (23). If the proliferation rate is high, the chemotherapeutic agent, toremifene, may also be administered (23). In the present case, the tumor was totally resected and no further treatment was required.

Due to the limited available data, the clinical behavior of these tumors is unpredictable. Although the majority of SFTs behave in a benign manner, recurrence, cerebrospinal fluid dissemination and malignant variants with distal metastasis have been reported (24). With regard to recurrence, the Ki-67/MIB-1 labeling index (>5%) is a useful marker of the risk of recurrence and tumor grade in the prognostication of SFTs of the CNS. Although the Ki-67 proliferation labeling index was particularly low (~2.5%) in the present case, long-term follow-up is essential to detect any signs of recurrence.

In conclusion, to the best of our knowledge, the current case is the first of its type to report of an SFT with concurrent meningioma. Despite SFT being rare, it should be considered in the neuroimaging differential diagnosis. Immunohistochemical examination is particularly important in aiding the differentiation between SFT and the more prevalent meningioma and schwannoma, which may imitate SFT histologically and radiologically. Surgical removal is considered as the optimal therapeutic strategy in managing this rare entity. As such lesions typically exhibit benign histological behavior, generally no adjuvant post-operative therapy is required; however, long-term follow-up is essential to detect any signs of possible recurrence. The possibility of the coexistence of multiple tumors at two sites should be taken into consideration. In order to understand the mechanisms underlying the development of multiple intracranial tumors, further research and a greater number of case studies are required.

References

1 

Walker AE, Robins M and Weinfeld FD: Epidemiology of brain tumors: The national survey of intracranial neoplasms. Neurology. 35:219–226. 1985. View Article : Google Scholar : PubMed/NCBI

2 

Wang ZY, Qiu K, Ma YH, Wang XT, Bao JJ, Zhang ZF and Liu XZ: Intracranial solitary fibrous tumors: A report of two cases and a review of the literature. Oncol Lett. 11:1057–1060. 2016.PubMed/NCBI

3 

Thway K, Ng W, Noujaim J, Jones RL and Fisher C: The current status of solitary fibrous tumor: Diagnostic features, variants, and genetics. Int J Surg Pathol. Jan 25–2016.(Epub ahead of print). View Article : Google Scholar

4 

Bisceglia M, Galliani C, Giannatempo G, Lauriola W, Bianco M, D'angelo V, Pizzolitto S, Vita G, Pasquinelli G, Magro G and Dor DB: Solitary fibrous tumor of the central nervous system: A 15-year literature survey of 220 cases (August 1996-July 2011). Adv Anat Pathol. 18:356–392. 2011. View Article : Google Scholar : PubMed/NCBI

5 

Cushing H and Eisenhardt L: Meningiomas: Their Classification, Regional Behaviour, Life History and Surgical End Results. Charles C Thomas. Springfield, IL: 1938.

6 

Lee EJ, Chang CH, Wang LC, Hung YC and Chen HH: Two primary brain tumors, meningioma and glioblastoma multiforme, in opposite hemispheres of the same patient. J Clin Neurosci. 9:589–591. 2002. View Article : Google Scholar : PubMed/NCBI

7 

Russell DS and Rubinstein LJ: Pathology of Tumors of the Nervous System (5th). Edward Arnold. London: 1989.

8 

Spallone A, Santoro A, Palatinsky E and Giunta F: Intracranial meningiomas associated with glial tumours: A review based on 54 selected literature cases from the literature and 3 additional personal cases. Acta Neurochir (Wien). 110:133–139. 1991. View Article : Google Scholar : PubMed/NCBI

9 

Myerson PG: Multiple tumors of the brain of diverse origin. J Neuropathol Exp Neurol. 1:406–415. 1942. View Article : Google Scholar

10 

Andrioli GC, Zuccarello M, Scanarini M and d'Avella D: Concurrent primary intracranial tumours of different histogenesis. Acta Neuropathol Suppl. 7:111–115. 1981. View Article : Google Scholar : PubMed/NCBI

11 

Black P, Morokoff A, Zauberman J, Claus E and Carroll R: Meningiomas: Science and surgery. Clin Neurosurg. 54:91–99. 2007.PubMed/NCBI

12 

Lusis EA, Watson MA, Chicoine MR, Lyman M, Roerig P, Reifenberger G, Gutmann DH and Perry A: Integrative genomic analysis identifies NDRG2 as a candidate tumor suppressor gene frequently inactivated in clinically aggressive meningioma. Cancer Res. 65:7121–7126. 2005. View Article : Google Scholar : PubMed/NCBI

13 

Klemperer P and Rabin CB: Primary neoplasms of the pleura. Arch Pathol. 11:385–412. 1931.

14 

Carneiro SS, Scheithauer BW, Nascimento AG, Hirose T and Davis DH: Solitary fibrous tumor of the meninges: A lesion distinct from fibrous meningioma. A clinicopathologic and immunohistochemical study. Am J Clin Pathol. 106:217–224. 1996. View Article : Google Scholar : PubMed/NCBI

15 

Alapatt JP, Ajaya KA, Govindan A, Rajeev MP and Radhakrishnan M: Solitary fibrous tumor of the tentorium: A case report. Turk Neurosurg. 22:454–457. 2012.PubMed/NCBI

16 

Badion ML, Lim CC, Teo J, Ong PL and Hui F: Solitary fibrous tumor of the hypoglossal nerve. AJNR Am J Neuroradiol. 24:343–345. 2003.PubMed/NCBI

17 

Louis DN, Ohgaki H, Wiesler OD and Cavenee WK: WHO Classification of Tumours of the Central Nervous System (4th). IARC. Lyon: 2007.

18 

Caroli E, Salvati M, Orlando ER, Lenzi J, Santoro A and Giangaspero F: Solitary fibrous tumors of the meninges: Report of four cases and literature review. Neurosurg Rev. 27:246–251. 2004.PubMed/NCBI

19 

Metellus P, Bouvier C, Guyotat J, Fuentes S, Jouvet A, Vasiljevic A, Giorgi R, Dufour H, Grisoli F and Figarella-Branger D: Solitary fibrous tumors of the central nervous system: Clinicopathological and therapeutic considerations of 18 cases. Neurosurgery. 60:715–722. 2007. View Article : Google Scholar : PubMed/NCBI

20 

Deniz K, Kontas O, Tucer B and Kurtsoy A: Meningeal solitary fibrous tumor: Report of a case and literature review. Folia Neuropathol. 43:178–185. 2005.PubMed/NCBI

21 

Mekni A, Kourda J, Hammouda KB, Tangour M, Kchir N, Zitouna M and Haouet S: Solitary fibrous tumour of the central nervous system: Pathological study of eight cases and review of the literature. Pathology. 41:649–654. 2009. View Article : Google Scholar : PubMed/NCBI

22 

Suzuki SO, Fukui M, Nishio S and Iwaki T: Clinicopathological features of solitary fibrous tumor of the meninges: An immunohistochemical reappraisal of cases previously diagnosed to be fibrous meningioma or hemangiopericytoma. Pathol Int. 50:808–817. 2000. View Article : Google Scholar : PubMed/NCBI

23 

Reames DL, Mohila CA and Sheehan JP: Treatment of intracranial solitary fibrous tumors with gamma knife radiosurgery: Report of two cases and review of literature. Neurosurgery. 69:E1023–E1028. 2011. View Article : Google Scholar : PubMed/NCBI

24 

Miyashita K, Hayashi Y, Fujisawa H, Hasegawa M and Yamashita J: Recurrent intracranial solitary fibrous tumor with cerebrospinal fluid dissemination. Case report. J Neurosurg. 101:1045–1048. 2004. View Article : Google Scholar : PubMed/NCBI

Related Articles

  • Abstract
  • View
  • Download
  • Twitter
Copy and paste a formatted citation
Spandidos Publications style
Yan H, Luo K, Liu B and Kang J: A solitary fibrous tumor with concurrent meningioma at the same site: A case report and review of the literature. Oncol Lett 11: 3655-3659, 2016.
APA
Yan, H., Luo, K., Liu, B., & Kang, J. (2016). A solitary fibrous tumor with concurrent meningioma at the same site: A case report and review of the literature. Oncology Letters, 11, 3655-3659. https://doi.org/10.3892/ol.2016.4486
MLA
Yan, H., Luo, K., Liu, B., Kang, J."A solitary fibrous tumor with concurrent meningioma at the same site: A case report and review of the literature". Oncology Letters 11.6 (2016): 3655-3659.
Chicago
Yan, H., Luo, K., Liu, B., Kang, J."A solitary fibrous tumor with concurrent meningioma at the same site: A case report and review of the literature". Oncology Letters 11, no. 6 (2016): 3655-3659. https://doi.org/10.3892/ol.2016.4486
Copy and paste a formatted citation
x
Spandidos Publications style
Yan H, Luo K, Liu B and Kang J: A solitary fibrous tumor with concurrent meningioma at the same site: A case report and review of the literature. Oncol Lett 11: 3655-3659, 2016.
APA
Yan, H., Luo, K., Liu, B., & Kang, J. (2016). A solitary fibrous tumor with concurrent meningioma at the same site: A case report and review of the literature. Oncology Letters, 11, 3655-3659. https://doi.org/10.3892/ol.2016.4486
MLA
Yan, H., Luo, K., Liu, B., Kang, J."A solitary fibrous tumor with concurrent meningioma at the same site: A case report and review of the literature". Oncology Letters 11.6 (2016): 3655-3659.
Chicago
Yan, H., Luo, K., Liu, B., Kang, J."A solitary fibrous tumor with concurrent meningioma at the same site: A case report and review of the literature". Oncology Letters 11, no. 6 (2016): 3655-3659. https://doi.org/10.3892/ol.2016.4486
Follow us
  • Twitter
  • LinkedIn
  • Facebook
About
  • Spandidos Publications
  • Careers
  • Cookie Policy
  • Privacy Policy
How can we help?
  • Help
  • Live Chat
  • Contact
  • Email to our Support Team