Spandidos Publications Logo
  • About
    • About Spandidos
    • Aims and Scopes
    • Abstracting and Indexing
    • Editorial Policies
    • Reprints and Permissions
    • Job Opportunities
    • Terms and Conditions
    • Contact
  • Journals
    • All Journals
    • Oncology Letters
      • Oncology Letters
      • Information for Authors
      • Editorial Policies
      • Editorial Board
      • Aims and Scope
      • Abstracting and Indexing
      • Bibliographic Information
      • Archive
    • International Journal of Oncology
      • International Journal of Oncology
      • Information for Authors
      • Editorial Policies
      • Editorial Board
      • Aims and Scope
      • Abstracting and Indexing
      • Bibliographic Information
      • Archive
    • Molecular and Clinical Oncology
      • Molecular and Clinical Oncology
      • Information for Authors
      • Editorial Policies
      • Editorial Board
      • Aims and Scope
      • Abstracting and Indexing
      • Bibliographic Information
      • Archive
    • Experimental and Therapeutic Medicine
      • Experimental and Therapeutic Medicine
      • Information for Authors
      • Editorial Policies
      • Editorial Board
      • Aims and Scope
      • Abstracting and Indexing
      • Bibliographic Information
      • Archive
    • International Journal of Molecular Medicine
      • International Journal of Molecular Medicine
      • Information for Authors
      • Editorial Policies
      • Editorial Board
      • Aims and Scope
      • Abstracting and Indexing
      • Bibliographic Information
      • Archive
    • Biomedical Reports
      • Biomedical Reports
      • Information for Authors
      • Editorial Policies
      • Editorial Board
      • Aims and Scope
      • Abstracting and Indexing
      • Bibliographic Information
      • Archive
    • Oncology Reports
      • Oncology Reports
      • Information for Authors
      • Editorial Policies
      • Editorial Board
      • Aims and Scope
      • Abstracting and Indexing
      • Bibliographic Information
      • Archive
    • Molecular Medicine Reports
      • Molecular Medicine Reports
      • Information for Authors
      • Editorial Policies
      • Editorial Board
      • Aims and Scope
      • Abstracting and Indexing
      • Bibliographic Information
      • Archive
    • World Academy of Sciences Journal
      • World Academy of Sciences Journal
      • Information for Authors
      • Editorial Policies
      • Editorial Board
      • Aims and Scope
      • Abstracting and Indexing
      • Bibliographic Information
      • Archive
    • International Journal of Functional Nutrition
      • International Journal of Functional Nutrition
      • Information for Authors
      • Editorial Policies
      • Editorial Board
      • Aims and Scope
      • Abstracting and Indexing
      • Bibliographic Information
      • Archive
    • International Journal of Epigenetics
      • International Journal of Epigenetics
      • Information for Authors
      • Editorial Policies
      • Editorial Board
      • Aims and Scope
      • Abstracting and Indexing
      • Bibliographic Information
      • Archive
    • Medicine International
      • Medicine International
      • Information for Authors
      • Editorial Policies
      • Editorial Board
      • Aims and Scope
      • Abstracting and Indexing
      • Bibliographic Information
      • Archive
  • Articles
  • Information
    • Information for Authors
    • Information for Reviewers
    • Information for Librarians
    • Information for Advertisers
    • Conferences
  • Language Editing
Spandidos Publications Logo
  • About
    • About Spandidos
    • Aims and Scopes
    • Abstracting and Indexing
    • Editorial Policies
    • Reprints and Permissions
    • Job Opportunities
    • Terms and Conditions
    • Contact
  • Journals
    • All Journals
    • Biomedical Reports
      • Information for Authors
      • Editorial Policies
      • Editorial Board
      • Aims and Scope
      • Abstracting and Indexing
      • Bibliographic Information
      • Archive
    • Experimental and Therapeutic Medicine
      • Information for Authors
      • Editorial Policies
      • Editorial Board
      • Aims and Scope
      • Abstracting and Indexing
      • Bibliographic Information
      • Archive
    • International Journal of Epigenetics
      • Information for Authors
      • Editorial Policies
      • Editorial Board
      • Aims and Scope
      • Abstracting and Indexing
      • Bibliographic Information
      • Archive
    • International Journal of Functional Nutrition
      • Information for Authors
      • Editorial Policies
      • Editorial Board
      • Aims and Scope
      • Abstracting and Indexing
      • Bibliographic Information
      • Archive
    • International Journal of Molecular Medicine
      • Information for Authors
      • Editorial Policies
      • Editorial Board
      • Aims and Scope
      • Abstracting and Indexing
      • Bibliographic Information
      • Archive
    • International Journal of Oncology
      • Information for Authors
      • Editorial Policies
      • Editorial Board
      • Aims and Scope
      • Abstracting and Indexing
      • Bibliographic Information
      • Archive
    • Medicine International
      • Information for Authors
      • Editorial Policies
      • Editorial Board
      • Aims and Scope
      • Abstracting and Indexing
      • Bibliographic Information
      • Archive
    • Molecular and Clinical Oncology
      • Information for Authors
      • Editorial Policies
      • Editorial Board
      • Aims and Scope
      • Abstracting and Indexing
      • Bibliographic Information
      • Archive
    • Molecular Medicine Reports
      • Information for Authors
      • Editorial Policies
      • Editorial Board
      • Aims and Scope
      • Abstracting and Indexing
      • Bibliographic Information
      • Archive
    • Oncology Letters
      • Information for Authors
      • Editorial Policies
      • Editorial Board
      • Aims and Scope
      • Abstracting and Indexing
      • Bibliographic Information
      • Archive
    • Oncology Reports
      • Information for Authors
      • Editorial Policies
      • Editorial Board
      • Aims and Scope
      • Abstracting and Indexing
      • Bibliographic Information
      • Archive
    • World Academy of Sciences Journal
      • Information for Authors
      • Editorial Policies
      • Editorial Board
      • Aims and Scope
      • Abstracting and Indexing
      • Bibliographic Information
      • Archive
  • Articles
  • Information
    • For Authors
    • For Reviewers
    • For Librarians
    • For Advertisers
    • Conferences
  • Language Editing
Login Register Submit
  • This site uses cookies
  • You can change your cookie settings at any time by following the instructions in our Cookie Policy. To find out more, you may read our Privacy Policy.

    I agree
Search articles by DOI, keyword, author or affiliation
Search
Advanced Search
presentation
Oncology Letters
Join Editorial Board Propose a Special Issue
Print ISSN: 1792-1074 Online ISSN: 1792-1082
Journal Cover
June-2016 Volume 11 Issue 6

Full Size Image

Sign up for eToc alerts
Recommend to Library

Journals

International Journal of Molecular Medicine

International Journal of Molecular Medicine

International Journal of Molecular Medicine is an international journal devoted to molecular mechanisms of human disease.

International Journal of Oncology

International Journal of Oncology

International Journal of Oncology is an international journal devoted to oncology research and cancer treatment.

Molecular Medicine Reports

Molecular Medicine Reports

Covers molecular medicine topics such as pharmacology, pathology, genetics, neuroscience, infectious diseases, molecular cardiology, and molecular surgery.

Oncology Reports

Oncology Reports

Oncology Reports is an international journal devoted to fundamental and applied research in Oncology.

Experimental and Therapeutic Medicine

Experimental and Therapeutic Medicine

Experimental and Therapeutic Medicine is an international journal devoted to laboratory and clinical medicine.

Oncology Letters

Oncology Letters

Oncology Letters is an international journal devoted to Experimental and Clinical Oncology.

Biomedical Reports

Biomedical Reports

Explores a wide range of biological and medical fields, including pharmacology, genetics, microbiology, neuroscience, and molecular cardiology.

Molecular and Clinical Oncology

Molecular and Clinical Oncology

International journal addressing all aspects of oncology research, from tumorigenesis and oncogenes to chemotherapy and metastasis.

World Academy of Sciences Journal

World Academy of Sciences Journal

Multidisciplinary open-access journal spanning biochemistry, genetics, neuroscience, environmental health, and synthetic biology.

International Journal of Functional Nutrition

International Journal of Functional Nutrition

Open-access journal combining biochemistry, pharmacology, immunology, and genetics to advance health through functional nutrition.

International Journal of Epigenetics

International Journal of Epigenetics

Publishes open-access research on using epigenetics to advance understanding and treatment of human disease.

Medicine International

Medicine International

An International Open Access Journal Devoted to General Medicine.

Journal Cover
June-2016 Volume 11 Issue 6

Full Size Image

Sign up for eToc alerts
Recommend to Library

  • Article
  • Citations
    • Cite This Article
    • Download Citation
    • Create Citation Alert
    • Remove Citation Alert
    • Cited By
  • Similar Articles
    • Related Articles (in Spandidos Publications)
    • Similar Articles (Google Scholar)
    • Similar Articles (PubMed)
  • Download PDF
  • Download XML
  • View XML
Case Report Open Access

Primary thyroid leiomyosarcoma: A case report and literature review

  • Authors:
    • Zhen‑Yu Zou
    • Ning Ning
    • Song‑Yan Li
    • Jie Li
    • Xiao‑Hui Du
    • Rong Li
  • View Affiliations / Copyright

    Affiliations: Department of General Surgery, Chinese People's Liberation Army General Hospital, Beijing 100853, P.R. China, Department of Gastrointestinal Surgery, Peking University International Hospital, Beijing 102206, P.R. China, Department of Pathology, Chinese People's Liberation Army General Hospital, Beijing 100853, P.R. China
    Copyright: © Zou et al. This is an open access article distributed under the terms of Creative Commons Attribution License.
  • Pages: 3982-3986
    |
    Published online on: April 26, 2016
       https://doi.org/10.3892/ol.2016.4496
  • Expand metrics +
Metrics: Total Views: 0 (Spandidos Publications: | PMC Statistics: )
Metrics: Total PDF Downloads: 0 (Spandidos Publications: | PMC Statistics: )
Cited By (CrossRef): 0 citations Loading Articles...

This article is mentioned in:



Abstract

Primary thyroid leiomyosarcoma (LMS) is an extremely rare soft tissue cancer; only 22 cases have been reported in the literature to date. In the current study, the case of an 83‑year‑old male patient who presented with a neck mass that had grown rapidly over the previous 3 months is reported. The patient underwent thyroid lobectomy twice and two cycles of immunotherapy for the treatment of primary thyroid LMS; however, he succumbed to the disease 5 months after the second surgery. An accurate diagnosis of primary thyroid LMS is difficult, as the disease is often misdiagnosed as anaplastic carcinoma, and requires the combined assessment of clinical, imaging and pathological data. Diagnosis of the current patient with primary thyroid LMS and a comprehensive review of the relevant literature are presented herein.

Introduction

Primary thyroid leiomyosarcoma (LMS) is an extremely rare soft tissue cancer, with only 22 reported cases to date (1–19). LMS is commonly observed in the gastrointestinal tract, retroperitoneum and pelvis (10,16); however, only 0.014% of LMS cases develop in the thyroid gland (6,10,11,13,18,19), with an estimated 1-year survival rate of 5–10% (13,17). Primary thyroid LMS most commonly occurs in the elderly with a predilection for female patients, and typically presents as a painless, rapidly growing neck mass. Ultrasound, computed tomography (CT) and magnetic resonance imaging (MRI) may be used to diagnose thyroid tumors. A diagnosis of LMS is dependent on the presence of smooth muscle-actin (SMA), which may be identified by immunohistochemical staining. The standard primary treatment for primary thyroid LMS is radical surgery. The long-term prognosis is poor and ~50% of patients succumb to the disease within a short period of time after diagnosis (10,14). The present study reports the case of an 83-year-old male patient diagnosed with primary thyroid LMS and the relevant literature is comprehensively reviewed.

Case report

In December 2013, 83-year-old male patient presented to the Chinese People's Liberation Army General Hospital (Beijing, China) with a neck mass that had grown rapidly in the 3 months prior to admission, as well as hoarseness and bucking, which had been apparent for 1 month. No evidence of dyspnea or dysphagia were identified. The patient's past medical history included a diagnosis of thyroid carcinosarcoma with a right thyroid lobectomy performed in June 2013 (6 months previously), as well as a diagnosis of prostate cancer, which was treated with prostatectomy and orchiectomy in May 2010 (3 years previously), and diabetes treated with insulin from August 2010 (2 years prior to admission). The patient reported no radiation exposure or any family history of cancer.

Palpation revealed a large, irregular, firm, tender and immovable tumor mass in the right anterior neck. The trachea was displaced to the left. The results of a serum thyroid function test were as follows: Free triiodothyronine, 5.39 pmol/l (normal range, 2.76–6.3 pmol/l); free thyroxine, 26.79 pmol/l (normal range, 10.42–24.32 pmol/l); and thyroid stimulating hormone, 0.084 mU/l (normal range, 0.35–5.5 mU/l). Laryngoscopy (ENF-V2; Olympus Corporation, Tokyo, Japan) revealed right vocal cord paralysis. Ultrasonography (iU22; Philips, Amsterdam, Holland) of the thyroid identified a 12.2×10.1-cm, ill-defined hypoechoic mass arising from the right thyroid lobe. CT (uCT S-160; United Imaging, Shanghai, China) revealed an ill-defined, low-density mass replacing the right thyroid lobe that extended to the substernal area and compressed the esophagus. The trachea was widely displaced to the left lateral neck. Contrast-enhanced CT (Brilliance iCT 728306; Philips Medical Systems, Cleveland, OH, USA) showed inhomogeneous enhancement, necrosis and cystic degeneration within the tumor (Fig. 1). No evidence of distant metastases was identified.

Figure 1.

Contrast-enhanced computed tomography scan of the neck revealing inhomogeneous enhancement of a low-density mass (triangles), measuring 12 cm in diameter, in the right lobe of the thyroid gland. (A) Necrosis and (B) cystic degeneration were observed in the tumor. The trachea was widely displaced to the left side (arrowhead).

Surgical exploration revealed a firm, irregular, encapsulated tumor measuring 13.5×10×5 cm in size that occupied the entire right thyroid lobe. Subsequently, a right thyroid lobectomy was performed. The tumor was dissected at the lower edge of the submaxillary gland and parotid gland on the surface of the trachea and thyroid cartilage. No lymph node metastasis was identified.

The resected specimen (4-µm) was fixed in 10% buffered formalin (Sigma-Aldrich, St. Louis, MO, USA), processed and embedded in paraffin (Leica, Mannheim, Germany) using standard histological methods (19). Staining was visualized using an inverted microscope (TE2000-U; Nikon Corporation, Tokyo, Japan). Hematoxylin and eosin (Sigma-Aldrich) staining revealed interlacing fascicles of spindle tumor cells in the tumor (Fig. 2). Immunohistochemistry was performed using a standard avidin-biotin immunoperoxidase technique (19). The monoclonal mouse anti-human actin (clone, 1A4; cat. no. IR611; dilution, 1:100; Dako, Glostrup, Denmark) was used for SMA staining (Fig. 3). The monoclonal mouse anti-human vimentin (clone, V9; cat. no. AX074-YCD; dilution, 1:200; BioGenex, USA) was used for vimentin staining. The monoclonal mouse anti-human Ki-67 antigen (clone, MIB-1; cat. no. IR626; dilution, 1:200; Dako) was used for Ki-67 staining. The monoclonal mouse anti-human cytokeratin (clone, AE1/AE3; cat. no. IR620; dilution, 1:100; Dako) was used for cytokeratin staining (Fig. 4). Immunohistochemical staining was positive for SMA (Fig. 3), vimentin and Ki-67 (50–75%), and negative for cytokeratin (Fig. 4). No epithelial differentiation was identified. The final diagnosis was primary thyroid LMS, and was determined according to the following guidelines: i) Morphologically similar to LMS, with the tissue comprised of spindle cells arranged in fascicles with elongated and centrally located cell nuclei; ii) the assessment of cellular atypia, necrosis and mitotic activity per high-powered field, which can differentiate LMS from benign tumors; and iii) the presence of muscle specific markers, including SMA positivity (20).

Figure 2.

Histopathological examination revealing that the tumor was composed of interlacing fascicles or bundles of spindle cells with hyperchromatic, blunt nuclei and abundant eosinophilic cytoplasm (stain, hematoxylin and eosin; magnification, ×200).

Figure 3.

Immunohistochemical staining of tumor cells revealing positivity for smooth muscle actin (magnification, ×200).

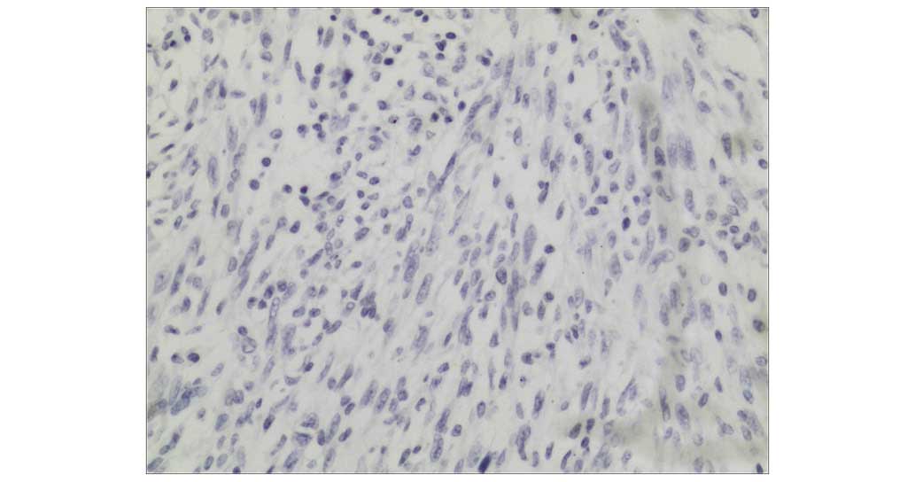
Figure 4.

Immunohistochemical staining of tumor cells revealing negativity for cytokeratin (magnification, ×200).

The patient received 2 cycles of adoptive transfer of immune cell therapy on January 2014 and February 2014. Peripheral blood mononuclear cells (PBMC) were isolated from the patient on the day prior to operation allowing time to prepare the immune cells. The patient was sequentially injected intradermally with autologous tumor lysate-loaded dendritic cells (DCs) (>1×108) at multiple areas in the clavicular region on day 13 post-PBMC collection, and infused intravenously with DC-activated T lymphocyte cells (>1×1010) on day 14 post-PBMC collection. However, 2 months after the completion of immunotherapy, tumor recurrence without multiple metastases was identified in the right neck. The patient's general condition deteriorated gradually and he succumbed to the disease 5 months after the second surgery.

Discussion

The first case of LMS of the thyroid gland was reported in 1969; in this case, the tumor metastasized to the heart and brain (1). To date, only 22 cases of primary thyroid LMS have been reported in the literature (Table I) (1–19). However, the number of reported cases is increasing due to the utilization of immunohistochemical methods to identify SMA positivity for diagnosis (6).

Table I.

Summary of the 22 cases of primary leiomyosarcoma of the thyroid gland previously reported in the literature.

Table I.

Summary of the 22 cases of primary leiomyosarcoma of the thyroid gland previously reported in the literature.

Case no.GenderAge (years)Chief complaintLocationDiameter (cm)TFTTreatmentFollow-up (months)RecurrenceMetastasisOutcomeRef.
  1F74Rapidly growing neck mass, dysphagia, pain, anorexia, weight lossBoth lobes, isthmus12.0NABiopsy, chemotherapy  1NACervical, axillary, and mediastinal LN, lung, heart, liver, kidneys pancreas, small and large intestines, brainDOD(1)
  2M82Rapidly growing neck mass, hoarsenessRight lobe, isthmus5.5NormalLobectomy, LN dissection, partial tracheal resection  4YRegional LNDOD(2)
  3NANANANANANANA12NACervical LNAWD(3)
  4F54Mass noted at routine examinationLeft lobe3.5NormalLobectomy15NNoneNED(4)
  5F72Growing neck massRight lobe3.0NormalLobectomy, LN dissection51NBoneDOD(5)
  6F58Growing neck massLeft lobe5.0NormalTotal thyroidectomy, LN dissection25NNoneNED(6)
  7F64Growing neck massRight lobe7.5NASubtotal tumor resection  5NALung, liver, peritoneum, pleuraDOD(7)
  8M45Rapidly growing neck mass, weight lossLeft lobe9.0NAHemithyroidectomy, chemotherapy11NLungAWD(7)
  9M68Rapidly growing neck mass, hoarsenessLeft lobe1.9NASubtotal tumor resection18NALungDOD(7)
10M83Growing neck mass, dysphagiaNA5.5NAExcision  3NLungDOD(7)
11F90Rapidly growing neck mass, dyspneaNA8.0NASubtotal tumor resection, tracheostomy  2NANADOD(8)
12M  6Neck massLeft lobe5.0NormalGross tumor resection  4NLung, liverAWD(9)
13F66Rapidly growing neck massLeft lobe8.5TSH↑Subtotal thyroidectomy, total laryngectomy  3YLungDOD(10)
14M43Rapidly growing neck massLeft lobe6.0NormalWide excision, LN dissection, chemotherapy  6YLungDOD(11)
15F83Left arm painRight lobe9.0NormalPalliative treatment  2NANADOD(12)
16F63Rapid growing neck mass, pain during swallowing, weight lossLeft lobe7.0NormalTotal thyroidectomy  5NLung, liver, bone, peritoneumDOD(13)
17F65Rapidly growing neck mass, weight loss, onset of coughRight lobe7.5NormalTotal thyroidectomy, bilateral central neck dissection, cervical thymectomy, chemotherapy4NNoneNED(14)
18M39Rapidly growing neck mass, hoarsenessRight lobe3.5NormalTotal thyroidectomy, LN dissection, radiotherapy48NNoneNED(15)
19F72Rapidly growing neck massLeft lobe5.0NormalLobectomy  2NANADOD(16)
20M56Rapidly growing neck mass, hoarseness, dysphagiaLeft lobe3.0NormalTotal thyroidectomy, central neck dissection  8NNoneNA(17)
21M65Left arm painLeft lobe, isthmus16.0NormalTotal thyroidectomy, partial esophagectomy60NNoneNED(18)
22F64Rapidly growing neck massLeft lobe7.0NormalTotal thyroidectomy  3NLung, liverDOD(19)
23M83Rapidly growing neck mass, hoarseness, buckingRight lobe13.5FT4↑, TSH↓Lobectomy, immunotherapy  5YNoneDODCurrent case

[i] TFT, thyroid function test; F, female; M, male; TSH, thyroid stimulating hormone; FT4, free thyroxine; Y, yes; N, no; LN, lymph node; NED, no evidence of disease; AWD, alive with disease; DOD, died of disease; NA, not available.

Primary thyroid LMS most commonly occurs in elderly patients, with an average age of 65.3 years (range, 39–90 years). However, a case of Epstein-Barr virus-associated thyroid LMS was reported in a 6-year-old male patient with congenital immunodeficiency (9). Primary thyroid LMS exhibits a slight predilection for female patients (female:male ratio, 1.3:1). Primary thyroid LMS most commonly presents as a painless, rapidly growing neck mass. Additional symptoms include hoarseness, dysphagia, dyspnea and weight loss, and arm pain is occasionally reported (1,2,5–8,10,13–19). According to the literature, the majority of patients with LMS are euthyroid (2,4–6,11–14,15–19). Notably, none of the previous cases reported a history of radiation exposure. Tumor diameter varies between 1.9 and 16 cm (mean diameter, 6.6 cm), and tumors are solitary, with the majority confined to a single lobe (4–7,9–19).

Imaging results may reveal a variety of characteristics regarding primary thyroid LMS. For example, thyroid scans may identify a cold nodule, or an enlarged gland with areas of increased or decreased uptake of radioactive iodine (1,4,7); ultrasound may reveal an ill- or well-defined hypoechoic mass, a solid or partially cystic nodule, or a calcified nodule (2,4–6,10); CT may show a low-density mass with dense calcification and necrosis, a well-demarcated mass, a soft tissue mass with calcification or, in certain cases, direct tumorous invasion of the adjacent structures (5,6,10); and MRI may reveal a mass of intermediate signal on T2-weighted images and an isointense mass on T1-weighted images with a fair gadolinium enhancement (10).

Fine needle aspiration cytology is also used for the preoperative diagnosis of thyroid LMS (18). Histologically, the presence of interlacing fascicles or bundles of eosinophilic spindle cells and positivity for SMA on immunohistochemical examination may diagnose thyroid LMS (10,16). LMS tumor cells in the thyroid and other organs typically stain positively for SMA, vimentin and desmin (19), and negatively for cytokeratin, thyroglobulin, calcitonin, S100 and chromogranin (16). Notably, negative staining for cytokeratin, a protein composed of keratin-containing intermediate filaments found in the intracytoplasmic cytoskeleton of epithelial tissue, indicates a non-epithelial tumor. Furthermore, c-kit is rarely expressed in LMS, although a case of c-kit overexpression in primary thyroid LMS has been previously reported (11).

In the present case, the clinical manifestation (a rapidly growing neck mass confined to a single lobe) and pathological features (SMA+, vimentin+, Ki-67+ and cytokeratin−) were similar to those reported in the literature. However, the current patient was older than previous cases and had an abnormal thyroid function. The patient was initially misdiagnosed with thyroid carcinosarcoma prior to the first thyroidectomy as cytokeratin staining, which serves an important role in distinguishing epithelioma and non-epithelial tumors, was not taken into account.

The major histopathological differential diagnoses of primary thyroid LMS include anaplastic carcinoma of the thyroid, spindle cell variant of medullary thyroid carcinoma, spindle cell tumor with thymus-like differentiation, and uncommon primary and metastatic tumors of the thyroid with predominant spindle cells (19). The World Health Organization categorizes carcinosarcoma as a variant of anaplastic carcinoma. However, Agrawal et al (21) proposed that ‘thyroid carcinosarcoma’ should be considered a distinct entity. Unlike anaplastic carcinoma originating from epithelial cells, carcinosarcoma is hypothesized to originate from malignant epithelial (carcinomatous) and mesenchymal cells (21). Positive immunohistochemical staining for thyroglobulin (in carcinomatous cells), and vimentin and S100 (in mesenchymal cells) confirms a diagnosis of carcinosarcoma (22). Thus, particular care is required when diagnosing primary thyroid LMS due to variant differential diagnoses.

The etiology of primary thyroid LMS remains unclear, however, certain authors have postulated that it may originate from the smooth muscle in the vascular walls (6,10,14,16–18). In addition, LMS appears to invade adjacent tissue rather than metastasizing to regional lymph nodes (6,11), thus, radical surgery is essential (6,10,11,16,17,19). The complexity of the procedure depends on tumor size and adjacent tissue/organ involvement. Previous studies have shown that, in patients with a large or locally aggressive tumor, the more aggressive the procedure, the more beneficial it is (18,19). However, aggressive surgical resection with adjuvant chemotherapy and radiation therapy have not been shown to affect recurrence rates or long-term survival of patients with primary thyroid LMS (14,15). Of all previously published cases (1–19) and the present case, only the patient in the current study received immunotherapy. Certain studies suggested that immunotherapy has an effect on leimyosarcomas, however, the present case indicates that immunotherapy does not affect the outcome of primary thyroid LMS (23).

In conclusion, the present study reported a rare case of primary thyroid LMS in an 83-year-old male patient who underwent thyroid lobectomy and immunotherapy, but ultimately succumbed to the disease 5 months after undergoing a second surgery. Primary thyroid LMS is extremely rare and difficult to diagnose. Immunohistochemical staining is important for establishing a diagnosis of primary thyroid LMS and distinguishing the disease from anaplastic carcinoma. The standard primary therapy is radical surgery, as, to date, adjuvant chemotherapy, radiation therapy and immunotherapy have not proven beneficial. The long-term prognosis of primary thyroid LMS is poor. Therefore, careful evaluation of a patient's condition and comprehensive individual treatment are essential.

References

1 

Adachi M, Wellmann KF and Garcia R: Metastatic leiomyosarcoma in brain and heart. J Pathol. 98:294–296. 1969. View Article : Google Scholar : PubMed/NCBI

2 

Kawahara E, Nakanishi I, Terahata S and Ikegaki S: Leiomyosarcoma of the thyroid gland. A case report with a comparative study of five cases of anaplastic carcinoma. Cancer. 62:2558–2563. 1988. View Article : Google Scholar : PubMed/NCBI

3 

Kaur A and Jayaram G: Thyroid tumors: Cytomorphology of medullary, clinically anaplastic and miscellaneous thyroid neoplasms. Diagn Cytopathol. 6:383–389. 1990. View Article : Google Scholar : PubMed/NCBI

4 

Chetty R, Clark SP and Dowling JP: Leiomyosarcoma of the thyroid: Immunohistochemical and ultrastructural study. Pathology. 25:203–205. 1993. View Article : Google Scholar : PubMed/NCBI

5 

Iida Y, Katoh R, Yoshioka M, Oyama T and Kawaoi A: Primary leiomyosarcoma of the thyroid gland. Acta Pathol Jpn. 43:71–75. 1993.PubMed/NCBI

6 

Ozaki O, Sugino K, Mimura T, Ito K, Tamai S and Hosoda Y: Primary leiomyosarcoma of the thyroid gland. Surg Today. 27:177–180. 1997. View Article : Google Scholar : PubMed/NCBI

7 

Thompson LD, Wenig BM, Adair CF, Shmookler BM and Heffess CS: Primary smooth muscle tumors of the thyroid gland. Cancer. 79:579–587. 1997. View Article : Google Scholar : PubMed/NCBI

8 

Tsugawa K, Koyanagi N, Nakanishi K, Wada H, Tanoue K, Hashizume M and Sugimachi K: Leiomyosarcoma of the thyroid gland with rapid growth and tracheal obstruction: A partial thyroidectomy and tracheostomy using an ultrasonically activated scalpel can be safely performed with less bleeding. Eur J Med Res. 4:483–487. 1999.PubMed/NCBI

9 

Tulbah A, Al-Dayel F, Fawaz I and Rosai J: Epstein-Barr virus-associated leiomyosarcoma of the thyroid in a child with congenital immunodeficiency: A case report. Am J Surg Pathol. 23:473–476. 1999. View Article : Google Scholar : PubMed/NCBI

10 

Takayama F, Takashima S, Matsuba H, Kobayashi S, Ito N and Sone S: MR imaging of primary leiomyosarcoma of the thyroid gland. Eur J Radiol. 37:36–41. 2001. View Article : Google Scholar : PubMed/NCBI

11 

Day AS, Lou PJ, Lin WC and Chou CC: Over-expression of c-kit in a primary leiomyosarcoma of the thyroid gland. Eur Arch Otorhinolaryngol. 264:705–708. 2007. View Article : Google Scholar : PubMed/NCBI

12 

Just PA, Guillevin R, Capron F, Le Charpentier M, Le Naour G, Menegaux F, Leenhardt L, Simon JM and Hoang C: An unusual clinical presentation of a rare tumor of the thyroid gland: Report on one case of leiomyosarcoma and review of literature. Ann Diagn Pathol. 12:50–56. 2008. View Article : Google Scholar : PubMed/NCBI

13 

Mansouri H, Gaye M, Errihani H, Kettani F and Gueddari BE: Leiomyosarcoma of the thyroid gland. Acta Otolaryngol. 128:335–336. 2008. View Article : Google Scholar : PubMed/NCBI

14 

Wang TS, Ocal IT, Oxley K and Sosa JA: Primary leiomyosarcoma of the thyroid gland. Thyroid. 18:425–428. 2008. View Article : Google Scholar : PubMed/NCBI

15 

Bertelli AA, Massarollo LC, Volpi EM, Ueda RY and Barreto E: Thyroid gland primary leiomyosarcoma. Arq Bras Endocrinol Metabol. 54:326–330. 2010.(In Portuguese). View Article : Google Scholar : PubMed/NCBI

16 

Amal B, El Fatemi H, Souaf I, Moumna K and Affaf A: A rare primary tumor of the thyroid gland: Report a new case of leiomyosarcoma and literature review. Diagn Pathol. 8:362013. View Article : Google Scholar : PubMed/NCBI

17 

Ege B and Leventoğlu S: Primary leiomyosarcoma of the thyroid. J Korean Surg Soc. 85:43–46. 2013. View Article : Google Scholar : PubMed/NCBI

18 

Mouaqit O, Belkacem Z, Ifrine L, Mohsine R and Belkouchi A: A rare tumor of the thyroid gland: Report on one case of leiomyosarcoma and review of literature. Updates Surg. 66:165–167. 2014. View Article : Google Scholar : PubMed/NCBI

19 

Tanboon J and Keskool P: Leiomyosarcoma: A rare tumor of the thyroid. Endocr Pathol. 24:136–143. 2013. View Article : Google Scholar : PubMed/NCBI

20 

Bathan AJ, Constantinidou A, Pollack SM and Jones RL: Diagnosis, prognosis, and management of leiomyosarcoma: recognition of anatomic variants. Curr Opin Oncol. 25:384–389. 2013. View Article : Google Scholar : PubMed/NCBI

21 

Agrawal M, Uppin SG, Challa S and Prayaga AK: Carcinosarcoma thyroid: An unusual morphology with a review of the literature. South Asian J Cancer. 2:2262013. View Article : Google Scholar : PubMed/NCBI

22 

Naqiyah I, Zulkarnaen AN, Rohaizak M and Das S: Carcinosarcoma of the thyroid: A case report. Hippokratia. 14:141–142. 2010.PubMed/NCBI

23 

Edris B, Weiskopf K, Volkmer AK, Volkmer JP, Willingham SB, Contreras-Trujillo H, Liu J, Majeti R, West RB, Fletcher JA, et al: Antibody therapy targeting the CD47 protein is effective in a model of aggressive metastatic leiomyosarcoma. Proc Natl Acad Sci USA. 109:6656–6661. 2012. View Article : Google Scholar : PubMed/NCBI

Related Articles

  • Abstract
  • View
  • Download
  • Twitter
Copy and paste a formatted citation
Spandidos Publications style
Zou ZY, Ning N, Li SY, Li J, Du XH and Li R: Primary thyroid leiomyosarcoma: A case report and literature review. Oncol Lett 11: 3982-3986, 2016.
APA
Zou, Z., Ning, N., Li, S., Li, J., Du, X., & Li, R. (2016). Primary thyroid leiomyosarcoma: A case report and literature review. Oncology Letters, 11, 3982-3986. https://doi.org/10.3892/ol.2016.4496
MLA
Zou, Z., Ning, N., Li, S., Li, J., Du, X., Li, R."Primary thyroid leiomyosarcoma: A case report and literature review". Oncology Letters 11.6 (2016): 3982-3986.
Chicago
Zou, Z., Ning, N., Li, S., Li, J., Du, X., Li, R."Primary thyroid leiomyosarcoma: A case report and literature review". Oncology Letters 11, no. 6 (2016): 3982-3986. https://doi.org/10.3892/ol.2016.4496
Copy and paste a formatted citation
x
Spandidos Publications style
Zou ZY, Ning N, Li SY, Li J, Du XH and Li R: Primary thyroid leiomyosarcoma: A case report and literature review. Oncol Lett 11: 3982-3986, 2016.
APA
Zou, Z., Ning, N., Li, S., Li, J., Du, X., & Li, R. (2016). Primary thyroid leiomyosarcoma: A case report and literature review. Oncology Letters, 11, 3982-3986. https://doi.org/10.3892/ol.2016.4496
MLA
Zou, Z., Ning, N., Li, S., Li, J., Du, X., Li, R."Primary thyroid leiomyosarcoma: A case report and literature review". Oncology Letters 11.6 (2016): 3982-3986.
Chicago
Zou, Z., Ning, N., Li, S., Li, J., Du, X., Li, R."Primary thyroid leiomyosarcoma: A case report and literature review". Oncology Letters 11, no. 6 (2016): 3982-3986. https://doi.org/10.3892/ol.2016.4496
Follow us
  • Twitter
  • LinkedIn
  • Facebook
About
  • Spandidos Publications
  • Careers
  • Cookie Policy
  • Privacy Policy
How can we help?
  • Help
  • Live Chat
  • Contact
  • Email to our Support Team