Spandidos Publications Logo
  • About
    • About Spandidos
    • Aims and Scopes
    • Abstracting and Indexing
    • Editorial Policies
    • Reprints and Permissions
    • Job Opportunities
    • Terms and Conditions
    • Contact
  • Journals
    • All Journals
    • Oncology Letters
      • Oncology Letters
      • Information for Authors
      • Editorial Policies
      • Editorial Board
      • Aims and Scope
      • Abstracting and Indexing
      • Bibliographic Information
      • Archive
    • International Journal of Oncology
      • International Journal of Oncology
      • Information for Authors
      • Editorial Policies
      • Editorial Board
      • Aims and Scope
      • Abstracting and Indexing
      • Bibliographic Information
      • Archive
    • Molecular and Clinical Oncology
      • Molecular and Clinical Oncology
      • Information for Authors
      • Editorial Policies
      • Editorial Board
      • Aims and Scope
      • Abstracting and Indexing
      • Bibliographic Information
      • Archive
    • Experimental and Therapeutic Medicine
      • Experimental and Therapeutic Medicine
      • Information for Authors
      • Editorial Policies
      • Editorial Board
      • Aims and Scope
      • Abstracting and Indexing
      • Bibliographic Information
      • Archive
    • International Journal of Molecular Medicine
      • International Journal of Molecular Medicine
      • Information for Authors
      • Editorial Policies
      • Editorial Board
      • Aims and Scope
      • Abstracting and Indexing
      • Bibliographic Information
      • Archive
    • Biomedical Reports
      • Biomedical Reports
      • Information for Authors
      • Editorial Policies
      • Editorial Board
      • Aims and Scope
      • Abstracting and Indexing
      • Bibliographic Information
      • Archive
    • Oncology Reports
      • Oncology Reports
      • Information for Authors
      • Editorial Policies
      • Editorial Board
      • Aims and Scope
      • Abstracting and Indexing
      • Bibliographic Information
      • Archive
    • Molecular Medicine Reports
      • Molecular Medicine Reports
      • Information for Authors
      • Editorial Policies
      • Editorial Board
      • Aims and Scope
      • Abstracting and Indexing
      • Bibliographic Information
      • Archive
    • World Academy of Sciences Journal
      • World Academy of Sciences Journal
      • Information for Authors
      • Editorial Policies
      • Editorial Board
      • Aims and Scope
      • Abstracting and Indexing
      • Bibliographic Information
      • Archive
    • International Journal of Functional Nutrition
      • International Journal of Functional Nutrition
      • Information for Authors
      • Editorial Policies
      • Editorial Board
      • Aims and Scope
      • Abstracting and Indexing
      • Bibliographic Information
      • Archive
    • International Journal of Epigenetics
      • International Journal of Epigenetics
      • Information for Authors
      • Editorial Policies
      • Editorial Board
      • Aims and Scope
      • Abstracting and Indexing
      • Bibliographic Information
      • Archive
    • Medicine International
      • Medicine International
      • Information for Authors
      • Editorial Policies
      • Editorial Board
      • Aims and Scope
      • Abstracting and Indexing
      • Bibliographic Information
      • Archive
  • Articles
  • Information
    • Information for Authors
    • Information for Reviewers
    • Information for Librarians
    • Information for Advertisers
    • Conferences
  • Language Editing
Spandidos Publications Logo
  • About
    • About Spandidos
    • Aims and Scopes
    • Abstracting and Indexing
    • Editorial Policies
    • Reprints and Permissions
    • Job Opportunities
    • Terms and Conditions
    • Contact
  • Journals
    • All Journals
    • Biomedical Reports
      • Information for Authors
      • Editorial Policies
      • Editorial Board
      • Aims and Scope
      • Abstracting and Indexing
      • Bibliographic Information
      • Archive
    • Experimental and Therapeutic Medicine
      • Information for Authors
      • Editorial Policies
      • Editorial Board
      • Aims and Scope
      • Abstracting and Indexing
      • Bibliographic Information
      • Archive
    • International Journal of Epigenetics
      • Information for Authors
      • Editorial Policies
      • Editorial Board
      • Aims and Scope
      • Abstracting and Indexing
      • Bibliographic Information
      • Archive
    • International Journal of Functional Nutrition
      • Information for Authors
      • Editorial Policies
      • Editorial Board
      • Aims and Scope
      • Abstracting and Indexing
      • Bibliographic Information
      • Archive
    • International Journal of Molecular Medicine
      • Information for Authors
      • Editorial Policies
      • Editorial Board
      • Aims and Scope
      • Abstracting and Indexing
      • Bibliographic Information
      • Archive
    • International Journal of Oncology
      • Information for Authors
      • Editorial Policies
      • Editorial Board
      • Aims and Scope
      • Abstracting and Indexing
      • Bibliographic Information
      • Archive
    • Medicine International
      • Information for Authors
      • Editorial Policies
      • Editorial Board
      • Aims and Scope
      • Abstracting and Indexing
      • Bibliographic Information
      • Archive
    • Molecular and Clinical Oncology
      • Information for Authors
      • Editorial Policies
      • Editorial Board
      • Aims and Scope
      • Abstracting and Indexing
      • Bibliographic Information
      • Archive
    • Molecular Medicine Reports
      • Information for Authors
      • Editorial Policies
      • Editorial Board
      • Aims and Scope
      • Abstracting and Indexing
      • Bibliographic Information
      • Archive
    • Oncology Letters
      • Information for Authors
      • Editorial Policies
      • Editorial Board
      • Aims and Scope
      • Abstracting and Indexing
      • Bibliographic Information
      • Archive
    • Oncology Reports
      • Information for Authors
      • Editorial Policies
      • Editorial Board
      • Aims and Scope
      • Abstracting and Indexing
      • Bibliographic Information
      • Archive
    • World Academy of Sciences Journal
      • Information for Authors
      • Editorial Policies
      • Editorial Board
      • Aims and Scope
      • Abstracting and Indexing
      • Bibliographic Information
      • Archive
  • Articles
  • Information
    • For Authors
    • For Reviewers
    • For Librarians
    • For Advertisers
    • Conferences
  • Language Editing
Login Register Submit
  • This site uses cookies
  • You can change your cookie settings at any time by following the instructions in our Cookie Policy. To find out more, you may read our Privacy Policy.

    I agree
Search articles by DOI, keyword, author or affiliation
Search
Advanced Search
presentation
Oncology Letters
Join Editorial Board Propose a Special Issue
Print ISSN: 1792-1074 Online ISSN: 1792-1082
Journal Cover
June-2016 Volume 11 Issue 6

Full Size Image

Sign up for eToc alerts
Recommend to Library

Journals

International Journal of Molecular Medicine

International Journal of Molecular Medicine

International Journal of Molecular Medicine is an international journal devoted to molecular mechanisms of human disease.

International Journal of Oncology

International Journal of Oncology

International Journal of Oncology is an international journal devoted to oncology research and cancer treatment.

Molecular Medicine Reports

Molecular Medicine Reports

Covers molecular medicine topics such as pharmacology, pathology, genetics, neuroscience, infectious diseases, molecular cardiology, and molecular surgery.

Oncology Reports

Oncology Reports

Oncology Reports is an international journal devoted to fundamental and applied research in Oncology.

Experimental and Therapeutic Medicine

Experimental and Therapeutic Medicine

Experimental and Therapeutic Medicine is an international journal devoted to laboratory and clinical medicine.

Oncology Letters

Oncology Letters

Oncology Letters is an international journal devoted to Experimental and Clinical Oncology.

Biomedical Reports

Biomedical Reports

Explores a wide range of biological and medical fields, including pharmacology, genetics, microbiology, neuroscience, and molecular cardiology.

Molecular and Clinical Oncology

Molecular and Clinical Oncology

International journal addressing all aspects of oncology research, from tumorigenesis and oncogenes to chemotherapy and metastasis.

World Academy of Sciences Journal

World Academy of Sciences Journal

Multidisciplinary open-access journal spanning biochemistry, genetics, neuroscience, environmental health, and synthetic biology.

International Journal of Functional Nutrition

International Journal of Functional Nutrition

Open-access journal combining biochemistry, pharmacology, immunology, and genetics to advance health through functional nutrition.

International Journal of Epigenetics

International Journal of Epigenetics

Publishes open-access research on using epigenetics to advance understanding and treatment of human disease.

Medicine International

Medicine International

An International Open Access Journal Devoted to General Medicine.

Journal Cover
June-2016 Volume 11 Issue 6

Full Size Image

Sign up for eToc alerts
Recommend to Library

  • Article
  • Citations
    • Cite This Article
    • Download Citation
    • Create Citation Alert
    • Remove Citation Alert
    • Cited By
  • Similar Articles
    • Related Articles (in Spandidos Publications)
    • Similar Articles (Google Scholar)
    • Similar Articles (PubMed)
  • Download PDF
  • Download XML
  • View XML
Article Open Access

Metastasis of ovarian cancer to the breast: A report of two cases and a review of the literature

  • Authors:
    • Clemens B. Tempfer
    • Nariman El Fizazi
    • Hassan Ergonenc
    • Wiebke Solass
  • View Affiliations / Copyright

    Affiliations: Department of Obstetrics and Gynecology, Ruhr University Bochum, Marien Hospital Herne, D-44625 Herne, Germany, Department of Senology, St. Anna Hospital, D-44649 Herne, Germany, Department of Pathology, Hannover Medical School, Hannover, D-30625 Herne, Germany
    Copyright: © Tempfer et al. This is an open access article distributed under the terms of Creative Commons Attribution License.
  • Pages: 4008-4012
    |
    Published online on: May 4, 2016
       https://doi.org/10.3892/ol.2016.4514
  • Expand metrics +
Metrics: Total Views: 0 (Spandidos Publications: | PMC Statistics: )
Metrics: Total PDF Downloads: 0 (Spandidos Publications: | PMC Statistics: )
Cited By (CrossRef): 0 citations Loading Articles...

This article is mentioned in:



Abstract

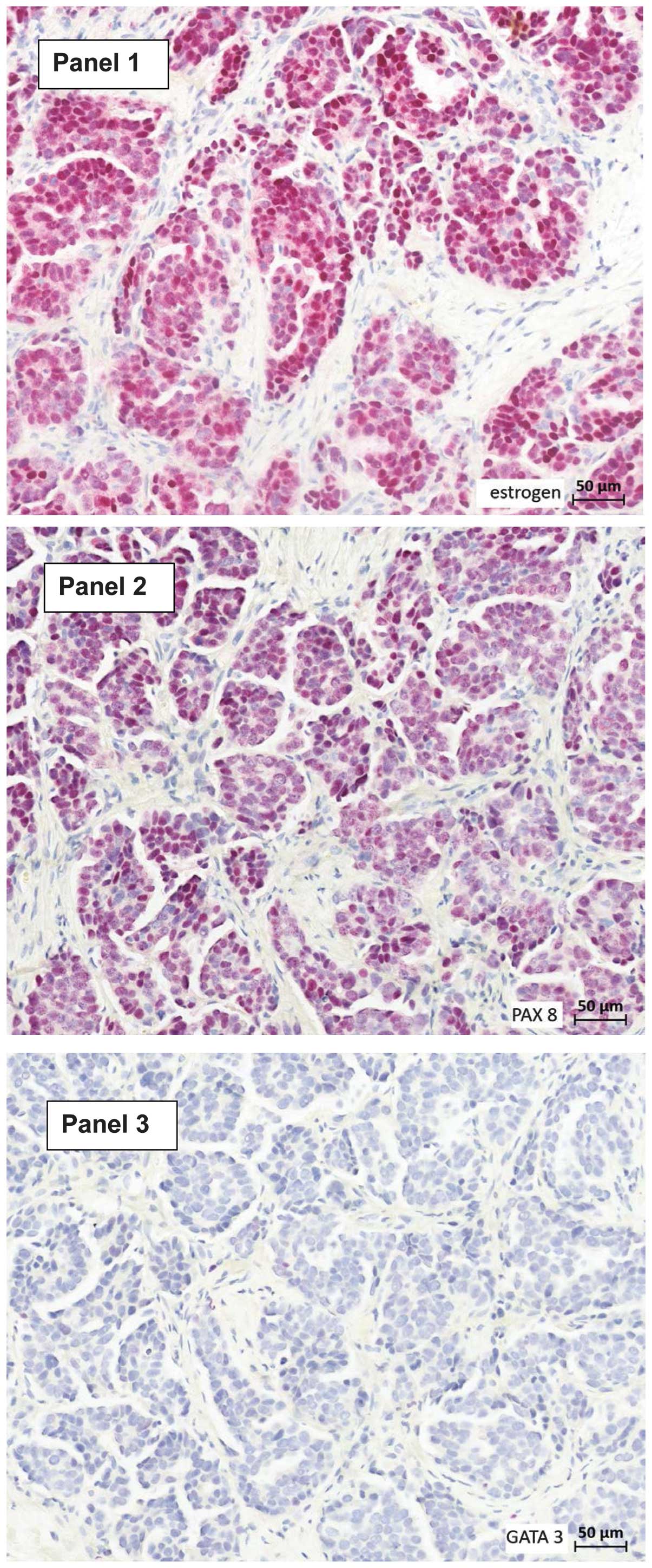
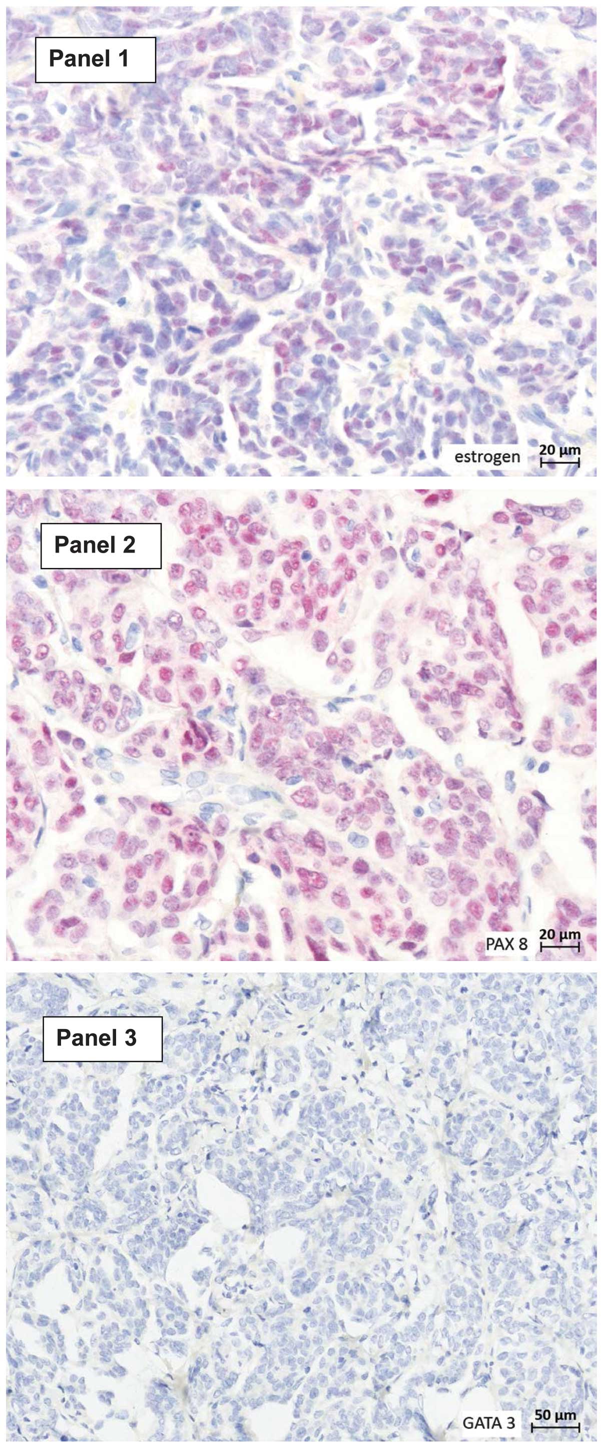
Metastasis of ovarian cancer to the breast (MOCB) is a rare event. Clinical presentations of MOCB vary and surgery is the mainstay of treatment. The current study presents two cases of MOCB in women with recurrent ovarian cancer first diagnosed in April 2011 and October 2013, respectively. The patients presented to the clinic with a localized, palpable, painful mass in the upper outer quadrant of the right breast and a centrally localized, palpable, painful mass of the left breast, respectively. Breast sonography and mammography showed a singular, round, homogenous tumor with irregular borders in each case. An ipsilateral enlarged axillary node was palpable in one case. Tumor biopsy revealed an undifferentiated adenocarcinoma of unknown origin in one case and a moderately-differentiated adenocarcinoma suspected to be breast cancer in the other case. Tumor cells were positive for estrogen receptor and paired box 8, and negative for GATA binding protein 3 in the two cases. Palliative mastectomy was performed in one case and lumpectomy with ipsilateral axillary sentinel node biopsy in the other case, and the final histology revealed MOCB in each. The post‑operative course of the disease was uneventful and the patients continued with their ovarian cancer‑specific chemotherapy. One patient succumbed to disease progression 2 months after breast surgery. The other patient remains alive and is currently undergoing systemic chemotherapy. The current study also presents a review of 110 cases of MOCB identified in a literature search of Pubmed. Data from these studies, including the clinical and histological characteristics of MOCB, and the clinical management and prognosis are discussed. Overall, MOCB is rare, with distinct clinical and histological features. The disease is usually treated with local surgical excision or mastectomy and has a poor prognosis.
View Figures

Figure 1

Figure 2

Figure 3

View References

1. 

Lee AH: The histological diagnosis of metastases to the breast from extramammary malignancies. J Clin Pathol. 60:1333–1341. 2007. View Article : Google Scholar : PubMed/NCBI

2. 

Abbas J, Wienke A, Spielmann RP, Bach AG and Surov A: Intramammary metastases: Comparison of mammographic and ultrasound features. Eur J Radiol. 82:1423–1430. 2013. View Article : Google Scholar : PubMed/NCBI

3. 

DeLair DF, Corben AD, Catalano JP, Vallejo CE, Brogi E and Tan LK: Non-mammary metastases to the breast and axilla: A study of 85 cases. Mod Pathol. 26:343–349. 2013. View Article : Google Scholar : PubMed/NCBI

4. 

Karam AK, Stempel M, Barakat RR, Morrow M and Gemignani ML: Patients with a history of epithelial ovarian cancer presenting with a breast and/or axillary mass. Gynecol Oncol. 112:490–495. 2009. View Article : Google Scholar : PubMed/NCBI

5. 

Recine MA, Deavers MT, Middleton LP, Silva EG and Malpica A: Serous carcinoma of the ovary and peritoneum with metastases to the breast and axillary lymph nodes: A potential pitfall. Am J Surg Pathol. 28:1646–1651. 2004. View Article : Google Scholar : PubMed/NCBI

6. 

Dursun P, Yanik FB, Kuscu E, Gultekin M and Ayhan A: Bilateral breast metastasis of ovarian carcinoma. Eur J Gynaecol Oncol. 30:9–12. 2009.PubMed/NCBI

7. 

Zhou S, Yu B, Cheng Y, Xu X, Shui R, Bi R, Lu H, Tu X and Yang W: Metastases to the breast from non-mammary malignancies: A clinicopathologic study of 28 cases. Zhonghua Bing Li Xue Za Zhi. 43:231–235. 2014.(In Chinese). PubMed/NCBI

8. 

Fulciniti F, Losito S, Botti G, Di Mattia D, La Mura A, Pisano C and Pignata S: Metastases to the breast: Role of fine needle cytology samples. Our experience with nine cases in 2 years. Ann Oncol. 19:682–687. 2008. View Article : Google Scholar : PubMed/NCBI

9. 

Amzerin M, Garcia C, Stanciu C, Veys I, Awada A, Errihani H and Gombos A: Case report: Mammary and rectal metastases from an ovarian cancer: Report of two cases and review of literature. F1000Res. 3:2552014.PubMed/NCBI

10. 

Wood B, Sterrett G, Frost F and Swarbrick N: Diagnosis of extramammary malignancy metastatic to the breast by fine needle biopsy. Pathology. 40:345–351. 2008. View Article : Google Scholar : PubMed/NCBI

11. 

Yeh CN, Lin CH and Chen MF: Clinical and ultrasonographic characteristics of breast metastases from extramammary malignancies. Am Surg. 70:287–290. 2004.PubMed/NCBI

12. 

Susini T, Olivieri S, Molino C, Castiglione F, Tavella K and Viligiardi R: Ovarian cancer initially presenting as intramammary metastases and mimicking a primary breast carcinoma: A case report and literature review. J Womens Health (Larchmt). 19:169–174. 2010. View Article : Google Scholar : PubMed/NCBI

13. 

Williams SA, Ehlers RA II, Hunt KK, Yi M, Kuerer HM, Singletary SE, Ross MI, Feig BW, Symmans WF and Meric-Bernstam F: Metastases to the breast from nonbreast solid neoplasms: Presentation and determinants of survival. Cancer. 110:731–737. 2007. View Article : Google Scholar : PubMed/NCBI

14. 

Bernardi S, Bertozzi S, Londero AP, Gentile G, Angione V and Petri R: Influence of surgical margins on the outcome of breast cancer patients: A retrospective analysis. World J Surg. 38:2279–2287. 2014. View Article : Google Scholar : PubMed/NCBI

15. 

Cormio G, di Vagno G, Melilli GA, Loverro G, Cramarossa D and Selvaggi L: Ovarian carcinoma metastatic to the breast. Gynecol Obstet Invest. 52:73–74. 2001. View Article : Google Scholar : PubMed/NCBI

16. 

Goldstein NS, Bassi D and Uzieblo A: WT1 is an integral component of an antibody panel to distinguish pancreaticobiliary and some ovarian epithelial neoplasms. Am J Clin Pathol. 116:246–252. 2001. View Article : Google Scholar : PubMed/NCBI

17. 

Lee BH, Hecht JL, Pinkus JL and Pinkus GS: WT1, estrogen receptor and progesterone receptor as markers for breast or ovarian primary sites in metastatic adenocarcinoma to body fluids. Am J Clin Pathol. 117:745–750. 2002. View Article : Google Scholar : PubMed/NCBI

18. 

Hwang H, Quenneville L, Yaziji H and Gown AM: Wilms tumor gene product: Sensitive and contextually specific marker of serous carcinomas of ovarian surface epithelial origin. Appl Immunohistochem Mol Morphol. 12:122–126. 2004. View Article : Google Scholar : PubMed/NCBI

19. 

Tornos C, Soslow R, Chen S, Akram M, Hummer AJ, Abu-Rustum N, Norton L and Tan LK: Expression of WT1, CA 125 and GCDFP 15 as useful markers in the differential diagnosis of primary ovarian carcinomas versus metastatic breast cancer to the ovary. Am J Surg Pathol. 29:1482–1489. 2005. View Article : Google Scholar : PubMed/NCBI

20. 

Kaufmann O, Deidesheimer T and Muehlenberg M: Immunohistochemical differentiation of metastatic breast carcinomas from metastatic adenocarcinomas of other common primary sites. Histopathology. 29:233–240. 1996. View Article : Google Scholar : PubMed/NCBI

21. 

Wick MR, Lillemoe TJ, Copland GT, Swanson PE, Manivel JC and Kiang DT: Gross cystic disease fluid protein-15 as a marker for breast cancer: Immunohistochemical analysis of 690 human neoplasms and comparison with alpha-lactalbumin. Hum Pathol. 20:281–287. 1989. View Article : Google Scholar : PubMed/NCBI

22. 

Lagendijk JH, Mullink H, van Diest PJ, Meijer GA and Meijer CJ: Immunohistochemical differentiation between primary adenocarcinomas of the ovary and ovarian metastases of colonic and breast origin. Comparison between a statistical and an intuitive approach. J Clin Pathol. 52:283–290. 1999. View Article : Google Scholar : PubMed/NCBI

23. 

Loy TS, Quesenberry JT and Sharp SC: Distribution of CA 125 in adenocarcinomas. An immunohistochemical study of 481 cases. Am J Clin Pathol. 98:175–179. 1992. View Article : Google Scholar : PubMed/NCBI

24. 

Frierson HF, Moskaluk CA, Powell SM, Zhang H, Cerilli LA, Stoler MH, Cathro H and Hampton GM: Large scale molecular and tissue microarray analysis of mesothelin expression in common human carcinomas. Hum Pathol. 34:605–609. 2003. View Article : Google Scholar : PubMed/NCBI

25. 

Ordonez NG: Application of mesothelin immunostaining in tumor diagnosis. Am J Surg Pathol. 27:1418–1428. 2003. View Article : Google Scholar : PubMed/NCBI

Related Articles

  • Abstract
  • View
  • Download
  • Twitter
Copy and paste a formatted citation
Spandidos Publications style
Tempfer CB, El Fizazi N, Ergonenc H and Solass W: Metastasis of ovarian cancer to the breast: A report of two cases and a review of the literature. Oncol Lett 11: 4008-4012, 2016.
APA
Tempfer, C.B., El Fizazi, N., Ergonenc, H., & Solass, W. (2016). Metastasis of ovarian cancer to the breast: A report of two cases and a review of the literature. Oncology Letters, 11, 4008-4012. https://doi.org/10.3892/ol.2016.4514
MLA
Tempfer, C. B., El Fizazi, N., Ergonenc, H., Solass, W."Metastasis of ovarian cancer to the breast: A report of two cases and a review of the literature". Oncology Letters 11.6 (2016): 4008-4012.
Chicago
Tempfer, C. B., El Fizazi, N., Ergonenc, H., Solass, W."Metastasis of ovarian cancer to the breast: A report of two cases and a review of the literature". Oncology Letters 11, no. 6 (2016): 4008-4012. https://doi.org/10.3892/ol.2016.4514
Copy and paste a formatted citation
x
Spandidos Publications style
Tempfer CB, El Fizazi N, Ergonenc H and Solass W: Metastasis of ovarian cancer to the breast: A report of two cases and a review of the literature. Oncol Lett 11: 4008-4012, 2016.
APA
Tempfer, C.B., El Fizazi, N., Ergonenc, H., & Solass, W. (2016). Metastasis of ovarian cancer to the breast: A report of two cases and a review of the literature. Oncology Letters, 11, 4008-4012. https://doi.org/10.3892/ol.2016.4514
MLA
Tempfer, C. B., El Fizazi, N., Ergonenc, H., Solass, W."Metastasis of ovarian cancer to the breast: A report of two cases and a review of the literature". Oncology Letters 11.6 (2016): 4008-4012.
Chicago
Tempfer, C. B., El Fizazi, N., Ergonenc, H., Solass, W."Metastasis of ovarian cancer to the breast: A report of two cases and a review of the literature". Oncology Letters 11, no. 6 (2016): 4008-4012. https://doi.org/10.3892/ol.2016.4514
Follow us
  • Twitter
  • LinkedIn
  • Facebook
About
  • Spandidos Publications
  • Careers
  • Cookie Policy
  • Privacy Policy
How can we help?
  • Help
  • Live Chat
  • Contact
  • Email to our Support Team