Spandidos Publications Logo
  • About
    • About Spandidos
    • Aims and Scopes
    • Abstracting and Indexing
    • Editorial Policies
    • Reprints and Permissions
    • Job Opportunities
    • Terms and Conditions
    • Contact
  • Journals
    • All Journals
    • Oncology Letters
      • Oncology Letters
      • Information for Authors
      • Editorial Policies
      • Editorial Board
      • Aims and Scope
      • Abstracting and Indexing
      • Bibliographic Information
      • Archive
    • International Journal of Oncology
      • International Journal of Oncology
      • Information for Authors
      • Editorial Policies
      • Editorial Board
      • Aims and Scope
      • Abstracting and Indexing
      • Bibliographic Information
      • Archive
    • Molecular and Clinical Oncology
      • Molecular and Clinical Oncology
      • Information for Authors
      • Editorial Policies
      • Editorial Board
      • Aims and Scope
      • Abstracting and Indexing
      • Bibliographic Information
      • Archive
    • Experimental and Therapeutic Medicine
      • Experimental and Therapeutic Medicine
      • Information for Authors
      • Editorial Policies
      • Editorial Board
      • Aims and Scope
      • Abstracting and Indexing
      • Bibliographic Information
      • Archive
    • International Journal of Molecular Medicine
      • International Journal of Molecular Medicine
      • Information for Authors
      • Editorial Policies
      • Editorial Board
      • Aims and Scope
      • Abstracting and Indexing
      • Bibliographic Information
      • Archive
    • Biomedical Reports
      • Biomedical Reports
      • Information for Authors
      • Editorial Policies
      • Editorial Board
      • Aims and Scope
      • Abstracting and Indexing
      • Bibliographic Information
      • Archive
    • Oncology Reports
      • Oncology Reports
      • Information for Authors
      • Editorial Policies
      • Editorial Board
      • Aims and Scope
      • Abstracting and Indexing
      • Bibliographic Information
      • Archive
    • Molecular Medicine Reports
      • Molecular Medicine Reports
      • Information for Authors
      • Editorial Policies
      • Editorial Board
      • Aims and Scope
      • Abstracting and Indexing
      • Bibliographic Information
      • Archive
    • World Academy of Sciences Journal
      • World Academy of Sciences Journal
      • Information for Authors
      • Editorial Policies
      • Editorial Board
      • Aims and Scope
      • Abstracting and Indexing
      • Bibliographic Information
      • Archive
    • International Journal of Functional Nutrition
      • International Journal of Functional Nutrition
      • Information for Authors
      • Editorial Policies
      • Editorial Board
      • Aims and Scope
      • Abstracting and Indexing
      • Bibliographic Information
      • Archive
    • International Journal of Epigenetics
      • International Journal of Epigenetics
      • Information for Authors
      • Editorial Policies
      • Editorial Board
      • Aims and Scope
      • Abstracting and Indexing
      • Bibliographic Information
      • Archive
    • Medicine International
      • Medicine International
      • Information for Authors
      • Editorial Policies
      • Editorial Board
      • Aims and Scope
      • Abstracting and Indexing
      • Bibliographic Information
      • Archive
  • Articles
  • Information
    • Information for Authors
    • Information for Reviewers
    • Information for Librarians
    • Information for Advertisers
    • Conferences
  • Language Editing
Spandidos Publications Logo
  • About
    • About Spandidos
    • Aims and Scopes
    • Abstracting and Indexing
    • Editorial Policies
    • Reprints and Permissions
    • Job Opportunities
    • Terms and Conditions
    • Contact
  • Journals
    • All Journals
    • Biomedical Reports
      • Information for Authors
      • Editorial Policies
      • Editorial Board
      • Aims and Scope
      • Abstracting and Indexing
      • Bibliographic Information
      • Archive
    • Experimental and Therapeutic Medicine
      • Information for Authors
      • Editorial Policies
      • Editorial Board
      • Aims and Scope
      • Abstracting and Indexing
      • Bibliographic Information
      • Archive
    • International Journal of Epigenetics
      • Information for Authors
      • Editorial Policies
      • Editorial Board
      • Aims and Scope
      • Abstracting and Indexing
      • Bibliographic Information
      • Archive
    • International Journal of Functional Nutrition
      • Information for Authors
      • Editorial Policies
      • Editorial Board
      • Aims and Scope
      • Abstracting and Indexing
      • Bibliographic Information
      • Archive
    • International Journal of Molecular Medicine
      • Information for Authors
      • Editorial Policies
      • Editorial Board
      • Aims and Scope
      • Abstracting and Indexing
      • Bibliographic Information
      • Archive
    • International Journal of Oncology
      • Information for Authors
      • Editorial Policies
      • Editorial Board
      • Aims and Scope
      • Abstracting and Indexing
      • Bibliographic Information
      • Archive
    • Medicine International
      • Information for Authors
      • Editorial Policies
      • Editorial Board
      • Aims and Scope
      • Abstracting and Indexing
      • Bibliographic Information
      • Archive
    • Molecular and Clinical Oncology
      • Information for Authors
      • Editorial Policies
      • Editorial Board
      • Aims and Scope
      • Abstracting and Indexing
      • Bibliographic Information
      • Archive
    • Molecular Medicine Reports
      • Information for Authors
      • Editorial Policies
      • Editorial Board
      • Aims and Scope
      • Abstracting and Indexing
      • Bibliographic Information
      • Archive
    • Oncology Letters
      • Information for Authors
      • Editorial Policies
      • Editorial Board
      • Aims and Scope
      • Abstracting and Indexing
      • Bibliographic Information
      • Archive
    • Oncology Reports
      • Information for Authors
      • Editorial Policies
      • Editorial Board
      • Aims and Scope
      • Abstracting and Indexing
      • Bibliographic Information
      • Archive
    • World Academy of Sciences Journal
      • Information for Authors
      • Editorial Policies
      • Editorial Board
      • Aims and Scope
      • Abstracting and Indexing
      • Bibliographic Information
      • Archive
  • Articles
  • Information
    • For Authors
    • For Reviewers
    • For Librarians
    • For Advertisers
    • Conferences
  • Language Editing
Login Register Submit
  • This site uses cookies
  • You can change your cookie settings at any time by following the instructions in our Cookie Policy. To find out more, you may read our Privacy Policy.

    I agree
Search articles by DOI, keyword, author or affiliation
Search
Advanced Search
presentation
Oncology Letters
Join Editorial Board Propose a Special Issue
Print ISSN: 1792-1074 Online ISSN: 1792-1082
Journal Cover
July-2016 Volume 12 Issue 1

Full Size Image

Sign up for eToc alerts
Recommend to Library

Journals

International Journal of Molecular Medicine

International Journal of Molecular Medicine

International Journal of Molecular Medicine is an international journal devoted to molecular mechanisms of human disease.

International Journal of Oncology

International Journal of Oncology

International Journal of Oncology is an international journal devoted to oncology research and cancer treatment.

Molecular Medicine Reports

Molecular Medicine Reports

Covers molecular medicine topics such as pharmacology, pathology, genetics, neuroscience, infectious diseases, molecular cardiology, and molecular surgery.

Oncology Reports

Oncology Reports

Oncology Reports is an international journal devoted to fundamental and applied research in Oncology.

Experimental and Therapeutic Medicine

Experimental and Therapeutic Medicine

Experimental and Therapeutic Medicine is an international journal devoted to laboratory and clinical medicine.

Oncology Letters

Oncology Letters

Oncology Letters is an international journal devoted to Experimental and Clinical Oncology.

Biomedical Reports

Biomedical Reports

Explores a wide range of biological and medical fields, including pharmacology, genetics, microbiology, neuroscience, and molecular cardiology.

Molecular and Clinical Oncology

Molecular and Clinical Oncology

International journal addressing all aspects of oncology research, from tumorigenesis and oncogenes to chemotherapy and metastasis.

World Academy of Sciences Journal

World Academy of Sciences Journal

Multidisciplinary open-access journal spanning biochemistry, genetics, neuroscience, environmental health, and synthetic biology.

International Journal of Functional Nutrition

International Journal of Functional Nutrition

Open-access journal combining biochemistry, pharmacology, immunology, and genetics to advance health through functional nutrition.

International Journal of Epigenetics

International Journal of Epigenetics

Publishes open-access research on using epigenetics to advance understanding and treatment of human disease.

Medicine International

Medicine International

An International Open Access Journal Devoted to General Medicine.

Journal Cover
July-2016 Volume 12 Issue 1

Full Size Image

Sign up for eToc alerts
Recommend to Library

  • Article
  • Citations
    • Cite This Article
    • Download Citation
    • Create Citation Alert
    • Remove Citation Alert
    • Cited By
  • Similar Articles
    • Related Articles (in Spandidos Publications)
    • Similar Articles (Google Scholar)
    • Similar Articles (PubMed)
  • Download PDF
  • Download XML
  • View XML
Case Report Open Access

Spontaneous hematoma in the setting of dual anti-platelet therapy with ticagrelor: A case report

  • Authors:
    • Chunguang Feng
    • Linguang Wang
    • Lulu Wang
  • View Affiliations / Copyright

    Affiliations: Department of Cardiology, Central Hospital of Xuzhou, Xuzhou Institute of Cardiovascular Disease, Xuzhou, Jiangsu 221009, P.R. China
    Copyright: © Feng et al. This is an open access article distributed under the terms of Creative Commons Attribution License.
  • Pages: 144-146
    |
    Published online on: May 9, 2016
       https://doi.org/10.3892/ol.2016.4552
  • Expand metrics +
Metrics: Total Views: 0 (Spandidos Publications: | PMC Statistics: )
Metrics: Total PDF Downloads: 0 (Spandidos Publications: | PMC Statistics: )
Cited By (CrossRef): 0 citations Loading Articles...

This article is mentioned in:



Abstract

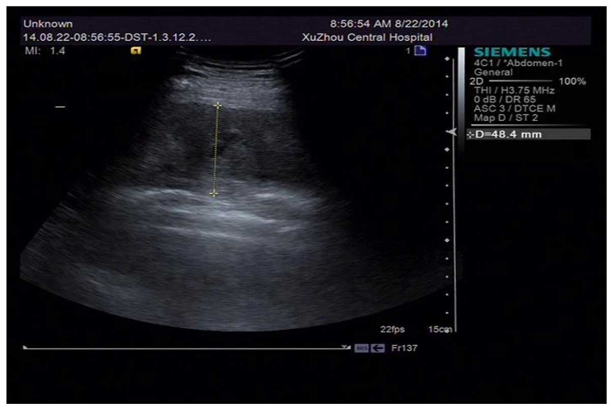
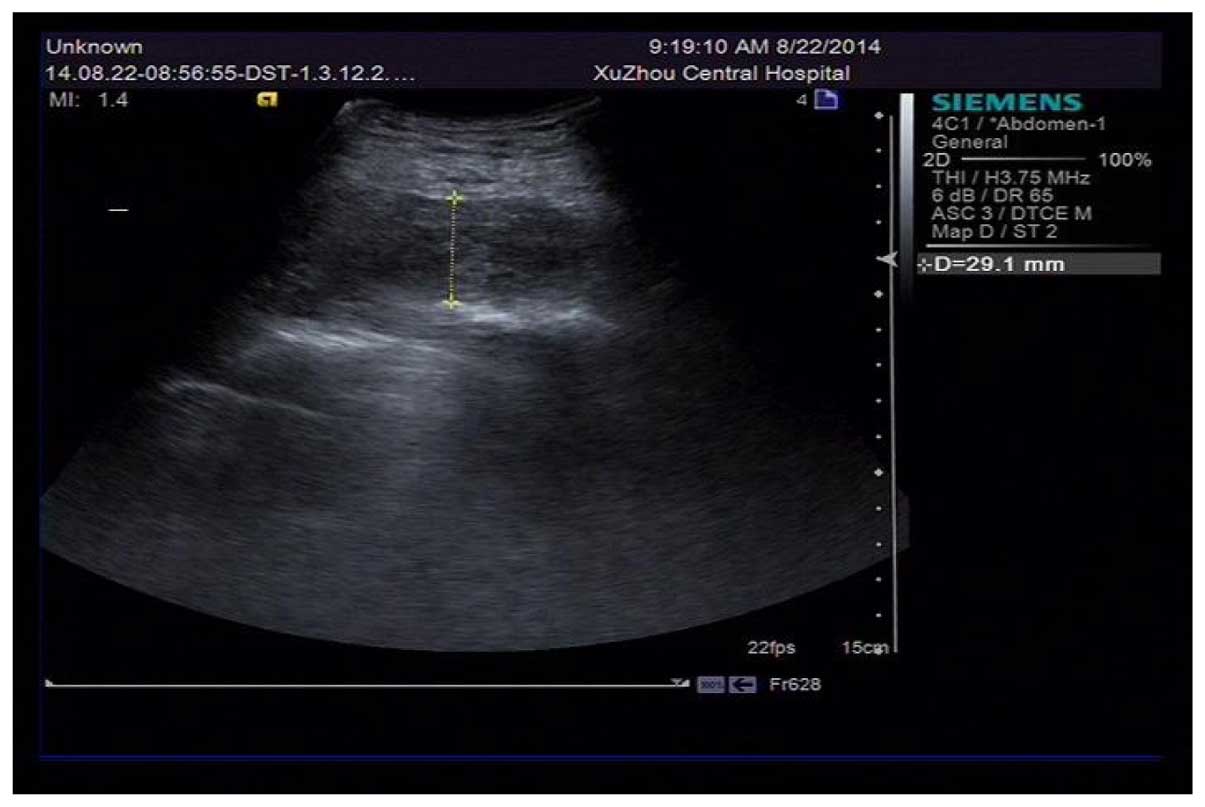
A 69-year-old male patient was admitted to hospital because a lump was discovered, accompanied with pain lasting 5 h under his right scapula. Two months earlier, he had undergone a double-stent insertion operation due to lesions on the end of the left main coronary artery, the opening of left circumflex artery, and the opening of the anterior descending branch. After the operation, he was administered with dual anti‑platelet therapy (DAPT) with aspirin and ticagrelor and was diagnosed with hematoma under his right scapula through ultrasonic inspection. It was established that no other factor, except DAPT, was responsible for his spontaneous hematoma.
View Figures

Figure 1

Figure 2

View References

1 

Lemesle G, Delhaye C, Bonello L, de Labriolle A, Waksman R and Pichard A: Stent thrombosis in 2008: definition, predictors, prognosis and treatment. Arch Cardiovasc Dis. 101:769–777. 2008. View Article : Google Scholar : PubMed/NCBI

2 

Kurz DJ and Eberli FR: Medical therapy of coronary artery disease after percutaneous intervention. Curr Opin Pharmacol. 13:287–293. 2013. View Article : Google Scholar : PubMed/NCBI

3 

Wallentin L, Becker RC, Budaj A, et al: Ticagrelor versus clopidogrel in patients with acute coronary syndromes. N Eng J Med. 361:1045–1057. 2009. View Article : Google Scholar

4 

Amsterdam EA, Wenger NK, Brindis RG, Casey DE Jr, Ganiats TG, Holmes DR Jr, Jaffe AS, Jneid H, Kelly RF, Kontos MC, et al: American Association for Clinical Chemistry: 22014 AHA/ACC Guideline for the Management of Patients with Non-ST-Elevation Acute Coronary Syndromes: a report of the American College of Cardiology/American Heart Association Task Force on Practice Guidelines. J Am Coll Cardiol. 64:e139–e228. 2014. View Article : Google Scholar : PubMed/NCBI

5 

Kubica AI, Kozinski M, Grzesk G, Fabiszak T, Navarese EP and Goch A: Genetic determinants of platelet response to clopidogrel. J Thromb Thrombolysis. 32:459–466. 2011. View Article : Google Scholar : PubMed/NCBI

6 

Husted S and van Giezen JJ: Ticagrelor: the first reversibly binding oral P2Y12 receptor antagonist. Cardiovasc Ther. 27:259–274. 2009. View Article : Google Scholar : PubMed/NCBI

7 

Gurbel PA, Bliden KP, Butler K, Tantry US, Gesheff T, Wei C, Teng R, Antonino MJ, Patil SB, Karunakaran A, et al: Randomized double-blind assessment of the ONSET and OFFSET of the antiplatelet effects of ticagrelor versus clopidogrel in patients with stable coronary artery disease: The ONSET/OFFSET study. Circulation. 120:2577–2585. 2009. View Article : Google Scholar : PubMed/NCBI

8 

Juneja S, Gupta K and Kaushal S: Ticagrelor: An emerging oral antiplatelet agent. J Pharmacol Pharmacother. 4:78–80. 2013. View Article : Google Scholar : PubMed/NCBI

9 

Wallentin L, Becker RC, Budaj A, Cannon CP, Emanuelsson H, Held C, Horrow J, Husted S, James S, Katus H, et al: PLATO Investigators: Ticagrelor versus clopidogrel in patients with acute coronary syndromes. N Engl J Med. 361:1045–1057. 2009. View Article : Google Scholar : PubMed/NCBI

10 

Gaglia MA Jr and Waksman R: Overview of the 2010 Food and Drug Administration Cardiovascular and Renal Drugs Advisory Committee meeting regarding ticagrelor. Circulation. 123:451–456. 2011. View Article : Google Scholar : PubMed/NCBI

11 

DiNicolantonio JJ, D'Ascenzo F, Tomek A, Chatterjee S, Niazi AK and Biondi-Zoccai G: Clopidogrel is safer than ticagrelor in regard to bleeds: a closer look at the PLATO trial. Int J Cardiol. 168:1739–1744. 2013. View Article : Google Scholar : PubMed/NCBI

Related Articles

  • Abstract
  • View
  • Download
  • Twitter
Copy and paste a formatted citation
Spandidos Publications style
Feng C, Wang L and Wang L: Spontaneous hematoma in the setting of dual anti-platelet therapy with ticagrelor: A case report. Oncol Lett 12: 144-146, 2016.
APA
Feng, C., Wang, L., & Wang, L. (2016). Spontaneous hematoma in the setting of dual anti-platelet therapy with ticagrelor: A case report. Oncology Letters, 12, 144-146. https://doi.org/10.3892/ol.2016.4552
MLA
Feng, C., Wang, L., Wang, L."Spontaneous hematoma in the setting of dual anti-platelet therapy with ticagrelor: A case report". Oncology Letters 12.1 (2016): 144-146.
Chicago
Feng, C., Wang, L., Wang, L."Spontaneous hematoma in the setting of dual anti-platelet therapy with ticagrelor: A case report". Oncology Letters 12, no. 1 (2016): 144-146. https://doi.org/10.3892/ol.2016.4552
Copy and paste a formatted citation
x
Spandidos Publications style
Feng C, Wang L and Wang L: Spontaneous hematoma in the setting of dual anti-platelet therapy with ticagrelor: A case report. Oncol Lett 12: 144-146, 2016.
APA
Feng, C., Wang, L., & Wang, L. (2016). Spontaneous hematoma in the setting of dual anti-platelet therapy with ticagrelor: A case report. Oncology Letters, 12, 144-146. https://doi.org/10.3892/ol.2016.4552
MLA
Feng, C., Wang, L., Wang, L."Spontaneous hematoma in the setting of dual anti-platelet therapy with ticagrelor: A case report". Oncology Letters 12.1 (2016): 144-146.
Chicago
Feng, C., Wang, L., Wang, L."Spontaneous hematoma in the setting of dual anti-platelet therapy with ticagrelor: A case report". Oncology Letters 12, no. 1 (2016): 144-146. https://doi.org/10.3892/ol.2016.4552
Follow us
  • Twitter
  • LinkedIn
  • Facebook
About
  • Spandidos Publications
  • Careers
  • Cookie Policy
  • Privacy Policy
How can we help?
  • Help
  • Live Chat
  • Contact
  • Email to our Support Team