Spandidos Publications Logo
  • About
    • About Spandidos
    • Aims and Scopes
    • Abstracting and Indexing
    • Editorial Policies
    • Reprints and Permissions
    • Job Opportunities
    • Terms and Conditions
    • Contact
  • Journals
    • All Journals
    • Oncology Letters
      • Oncology Letters
      • Information for Authors
      • Editorial Policies
      • Editorial Board
      • Aims and Scope
      • Abstracting and Indexing
      • Bibliographic Information
      • Archive
    • International Journal of Oncology
      • International Journal of Oncology
      • Information for Authors
      • Editorial Policies
      • Editorial Board
      • Aims and Scope
      • Abstracting and Indexing
      • Bibliographic Information
      • Archive
    • Molecular and Clinical Oncology
      • Molecular and Clinical Oncology
      • Information for Authors
      • Editorial Policies
      • Editorial Board
      • Aims and Scope
      • Abstracting and Indexing
      • Bibliographic Information
      • Archive
    • Experimental and Therapeutic Medicine
      • Experimental and Therapeutic Medicine
      • Information for Authors
      • Editorial Policies
      • Editorial Board
      • Aims and Scope
      • Abstracting and Indexing
      • Bibliographic Information
      • Archive
    • International Journal of Molecular Medicine
      • International Journal of Molecular Medicine
      • Information for Authors
      • Editorial Policies
      • Editorial Board
      • Aims and Scope
      • Abstracting and Indexing
      • Bibliographic Information
      • Archive
    • Biomedical Reports
      • Biomedical Reports
      • Information for Authors
      • Editorial Policies
      • Editorial Board
      • Aims and Scope
      • Abstracting and Indexing
      • Bibliographic Information
      • Archive
    • Oncology Reports
      • Oncology Reports
      • Information for Authors
      • Editorial Policies
      • Editorial Board
      • Aims and Scope
      • Abstracting and Indexing
      • Bibliographic Information
      • Archive
    • Molecular Medicine Reports
      • Molecular Medicine Reports
      • Information for Authors
      • Editorial Policies
      • Editorial Board
      • Aims and Scope
      • Abstracting and Indexing
      • Bibliographic Information
      • Archive
    • World Academy of Sciences Journal
      • World Academy of Sciences Journal
      • Information for Authors
      • Editorial Policies
      • Editorial Board
      • Aims and Scope
      • Abstracting and Indexing
      • Bibliographic Information
      • Archive
    • International Journal of Functional Nutrition
      • International Journal of Functional Nutrition
      • Information for Authors
      • Editorial Policies
      • Editorial Board
      • Aims and Scope
      • Abstracting and Indexing
      • Bibliographic Information
      • Archive
    • International Journal of Epigenetics
      • International Journal of Epigenetics
      • Information for Authors
      • Editorial Policies
      • Editorial Board
      • Aims and Scope
      • Abstracting and Indexing
      • Bibliographic Information
      • Archive
    • Medicine International
      • Medicine International
      • Information for Authors
      • Editorial Policies
      • Editorial Board
      • Aims and Scope
      • Abstracting and Indexing
      • Bibliographic Information
      • Archive
  • Articles
  • Information
    • Information for Authors
    • Information for Reviewers
    • Information for Librarians
    • Information for Advertisers
    • Conferences
  • Language Editing
Spandidos Publications Logo
  • About
    • About Spandidos
    • Aims and Scopes
    • Abstracting and Indexing
    • Editorial Policies
    • Reprints and Permissions
    • Job Opportunities
    • Terms and Conditions
    • Contact
  • Journals
    • All Journals
    • Biomedical Reports
      • Information for Authors
      • Editorial Policies
      • Editorial Board
      • Aims and Scope
      • Abstracting and Indexing
      • Bibliographic Information
      • Archive
    • Experimental and Therapeutic Medicine
      • Information for Authors
      • Editorial Policies
      • Editorial Board
      • Aims and Scope
      • Abstracting and Indexing
      • Bibliographic Information
      • Archive
    • International Journal of Epigenetics
      • Information for Authors
      • Editorial Policies
      • Editorial Board
      • Aims and Scope
      • Abstracting and Indexing
      • Bibliographic Information
      • Archive
    • International Journal of Functional Nutrition
      • Information for Authors
      • Editorial Policies
      • Editorial Board
      • Aims and Scope
      • Abstracting and Indexing
      • Bibliographic Information
      • Archive
    • International Journal of Molecular Medicine
      • Information for Authors
      • Editorial Policies
      • Editorial Board
      • Aims and Scope
      • Abstracting and Indexing
      • Bibliographic Information
      • Archive
    • International Journal of Oncology
      • Information for Authors
      • Editorial Policies
      • Editorial Board
      • Aims and Scope
      • Abstracting and Indexing
      • Bibliographic Information
      • Archive
    • Medicine International
      • Information for Authors
      • Editorial Policies
      • Editorial Board
      • Aims and Scope
      • Abstracting and Indexing
      • Bibliographic Information
      • Archive
    • Molecular and Clinical Oncology
      • Information for Authors
      • Editorial Policies
      • Editorial Board
      • Aims and Scope
      • Abstracting and Indexing
      • Bibliographic Information
      • Archive
    • Molecular Medicine Reports
      • Information for Authors
      • Editorial Policies
      • Editorial Board
      • Aims and Scope
      • Abstracting and Indexing
      • Bibliographic Information
      • Archive
    • Oncology Letters
      • Information for Authors
      • Editorial Policies
      • Editorial Board
      • Aims and Scope
      • Abstracting and Indexing
      • Bibliographic Information
      • Archive
    • Oncology Reports
      • Information for Authors
      • Editorial Policies
      • Editorial Board
      • Aims and Scope
      • Abstracting and Indexing
      • Bibliographic Information
      • Archive
    • World Academy of Sciences Journal
      • Information for Authors
      • Editorial Policies
      • Editorial Board
      • Aims and Scope
      • Abstracting and Indexing
      • Bibliographic Information
      • Archive
  • Articles
  • Information
    • For Authors
    • For Reviewers
    • For Librarians
    • For Advertisers
    • Conferences
  • Language Editing
Login Register Submit
  • This site uses cookies
  • You can change your cookie settings at any time by following the instructions in our Cookie Policy. To find out more, you may read our Privacy Policy.

    I agree
Search articles by DOI, keyword, author or affiliation
Search
Advanced Search
presentation
Oncology Letters
Join Editorial Board Propose a Special Issue
Print ISSN: 1792-1074 Online ISSN: 1792-1082
Journal Cover
July-2016 Volume 12 Issue 1

Full Size Image

Sign up for eToc alerts
Recommend to Library

Journals

International Journal of Molecular Medicine

International Journal of Molecular Medicine

International Journal of Molecular Medicine is an international journal devoted to molecular mechanisms of human disease.

International Journal of Oncology

International Journal of Oncology

International Journal of Oncology is an international journal devoted to oncology research and cancer treatment.

Molecular Medicine Reports

Molecular Medicine Reports

Covers molecular medicine topics such as pharmacology, pathology, genetics, neuroscience, infectious diseases, molecular cardiology, and molecular surgery.

Oncology Reports

Oncology Reports

Oncology Reports is an international journal devoted to fundamental and applied research in Oncology.

Experimental and Therapeutic Medicine

Experimental and Therapeutic Medicine

Experimental and Therapeutic Medicine is an international journal devoted to laboratory and clinical medicine.

Oncology Letters

Oncology Letters

Oncology Letters is an international journal devoted to Experimental and Clinical Oncology.

Biomedical Reports

Biomedical Reports

Explores a wide range of biological and medical fields, including pharmacology, genetics, microbiology, neuroscience, and molecular cardiology.

Molecular and Clinical Oncology

Molecular and Clinical Oncology

International journal addressing all aspects of oncology research, from tumorigenesis and oncogenes to chemotherapy and metastasis.

World Academy of Sciences Journal

World Academy of Sciences Journal

Multidisciplinary open-access journal spanning biochemistry, genetics, neuroscience, environmental health, and synthetic biology.

International Journal of Functional Nutrition

International Journal of Functional Nutrition

Open-access journal combining biochemistry, pharmacology, immunology, and genetics to advance health through functional nutrition.

International Journal of Epigenetics

International Journal of Epigenetics

Publishes open-access research on using epigenetics to advance understanding and treatment of human disease.

Medicine International

Medicine International

An International Open Access Journal Devoted to General Medicine.

Journal Cover
July-2016 Volume 12 Issue 1

Full Size Image

Sign up for eToc alerts
Recommend to Library

  • Article
  • Citations
    • Cite This Article
    • Download Citation
    • Create Citation Alert
    • Remove Citation Alert
    • Cited By
  • Similar Articles
    • Related Articles (in Spandidos Publications)
    • Similar Articles (Google Scholar)
    • Similar Articles (PubMed)
  • Download PDF
  • Download XML
  • View XML
Article

Synchronous ovarian metastasis from colorectal cancer: A report of two cases

  • Authors:
    • Jiro Shimazaki
    • Takanobu Tabuchi
    • Kiyotaka Nishida
    • Akira Takemura
    • Gyo Motohashi
    • Hideki Kajiyama
    • Shuji Suzuki
  • View Affiliations / Copyright

    Affiliations: Department of Gastroenterological Surgery, Ibaraki Medical Center, Tokyo Medical University, Inashiki, Ibaraki 300‑0395, Japan
  • Pages: 257-261
    |
    Published online on: May 11, 2016
       https://doi.org/10.3892/ol.2016.4553
  • Expand metrics +
Metrics: Total Views: 0 (Spandidos Publications: | PMC Statistics: )
Metrics: Total PDF Downloads: 0 (Spandidos Publications: | PMC Statistics: )
Cited By (CrossRef): 0 citations Loading Articles...

This article is mentioned in:



Abstract

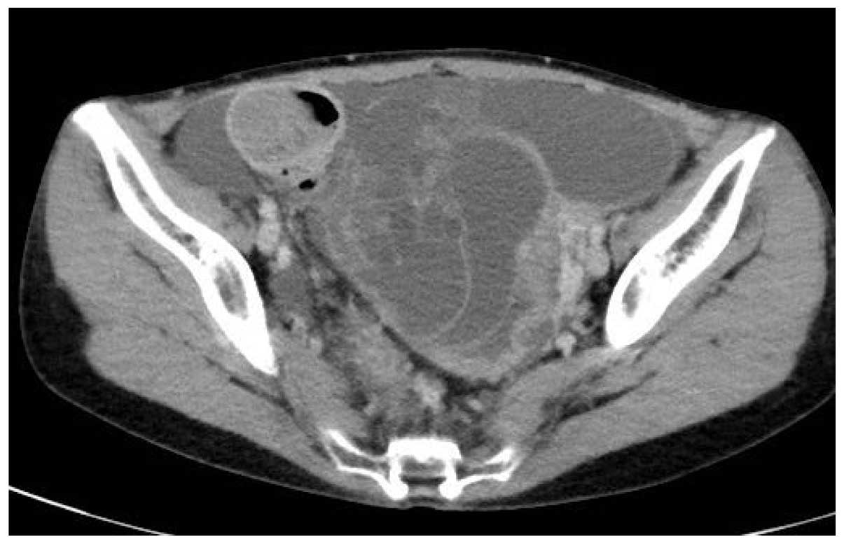
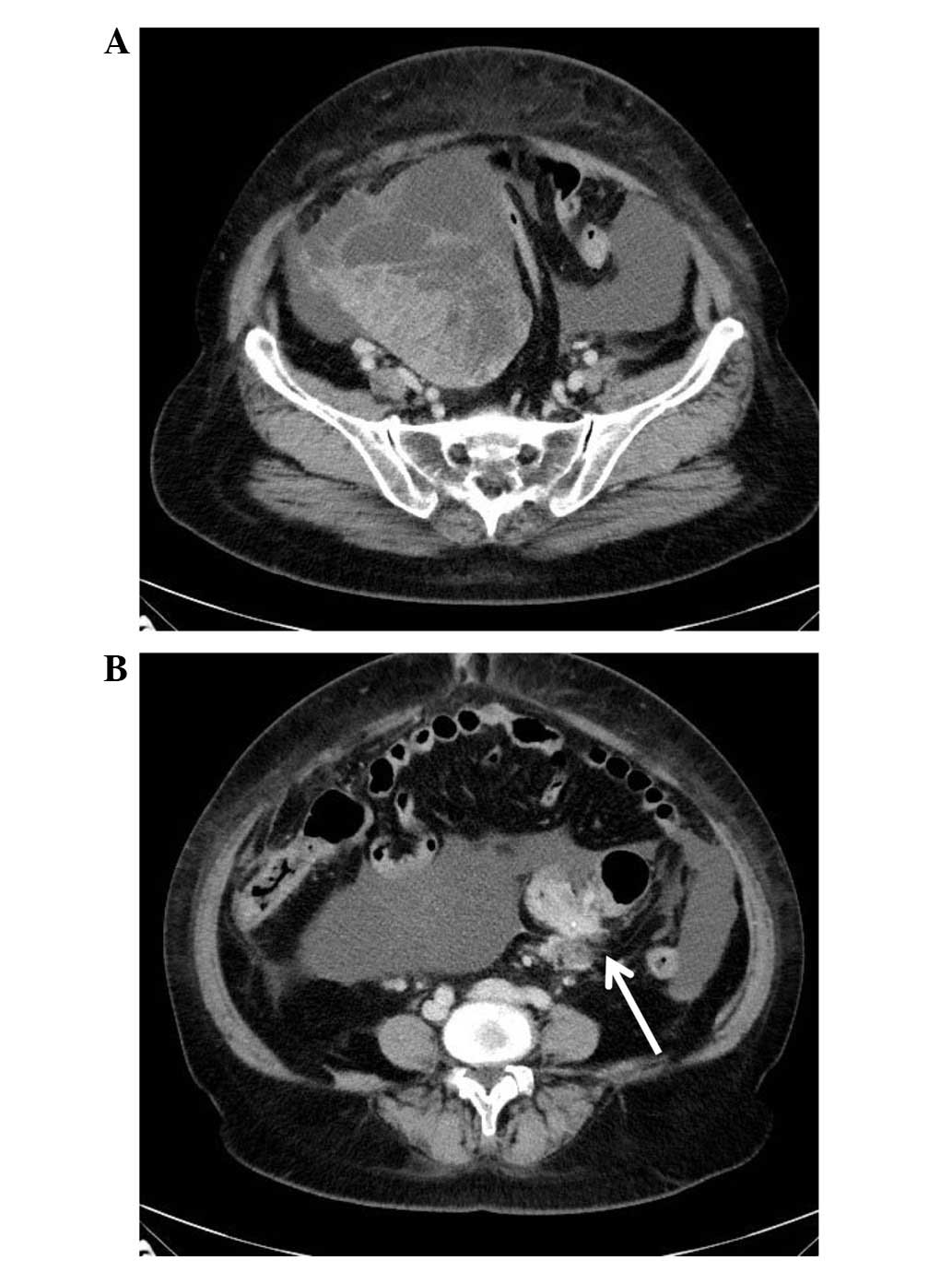
Ovarian metastasis of colorectal cancer is relatively rare. The present study reports two cases of synchronous ovarian metastasis from colorectal cancer, which were managed by cytoreductive surgery. In case one, a 60-year-old female patient presented with a multilocular pelvic tumor and ascites. Virtual colonoscopy revealed a mass in the sigmoid colon; however, no tumor cells were identified on histological examination. Ovarian metastasis from sigmoid colon cancer was suspected and adnexectomy was subsequently performed. Histological examination of the excised tumor revealed adenocarcinoma. Immunohistochemical analysis of the resected tumor revealed positive staining for cytokeratin (CK)20 and caudal‑type homeobox 2 (CDX2), and negative staining for CK7, estrogen receptor, progesterone receptor and inhibin. The immunohistological results supported the diagnosis of ovarian metastasis from sigmoid colon cancer. In case two, a 56‑year‑old female patient presented with a multilocular pelvic tumor and ascites. Colonoscopy identified a rectal tumor, and histological examination revealed moderately‑differentiated adenocarcinoma, which was confirmed by cytological analysis of ascites. Subsequently, ovarian metastasis from rectal cancer with peritoneal dissemination was diagnosed, and left ovariectomy and transverse colostomy were performed. Histological examination of the excised tumor revealed moderately‑differentiated adenocarcinoma, and immunohistochemical investigation revealed positive staining for CK20 and CDX2, but negative staining for CK7. These immunohistological results indicated ovarian metastasis from rectal cancer. Both patients recovered well and are currently undergoing regular follow‑up examinations. The observations from the two cases indicate that ovarian metastases of primary colorectal cancer may present as pelvic tumors and, thus, preoperative examination of the gastrointestinal tract is required. Furthermore, even in cases of widespread colorectal cancer metastases, excision of the ovarian tumor is required to establish a histological diagnosis for the selection of appropriate treatments.
View Figures

Figure 1

Figure 2

Figure 3

Figure 4

Figure 5

Figure 6

Figure 7

View References

1 

Watanabe T, Itabashi M, Shimada Y, Tanaka S, Ito Y, Ajioka Y, Hamaguchi T, Hyodo I, Igarashi M, Ishida H, et al: Japanese Society for Cancer of the Colon and Rectum: Japanese Society for Cancer of the Colon and Rectum (JSCCR) guidelines 2010 for the treatment of colorectal cancer. Int J Clin Oncol. 17:1–29. 2012. View Article : Google Scholar : PubMed/NCBI

2 

Lee KR and Young RH: The distinction between primary and metastatic mucinous carcinomas of the ovary: Gross and histologic findings in 50 cases. Am J Surg Pathol. 27:281–292. 2003. View Article : Google Scholar : PubMed/NCBI

3 

Shiono S, Saito T, Fujii H, Arakawa A, Nakamura T and Yao T: A case of Krukenberg carcinoma metastasized from colon cancer resembling mucinous cystadenocarcinoma of the ovary. Int J Clin Exp Pathol. 7:394–401. 2013.PubMed/NCBI

4 

Aiyer R, Sweetman K, Larsen-Disney P and Fish A: A colorectal carcinoma imitating a primary ovarian carcinoma in a postpartum woman. BMJ Case Rep. 2013:pii: bcr2013201055. 2013.PubMed/NCBI

5 

Hata T, Yoshioka S, Asukai K, Mizumoto S, Nakanishi M, Hamano R, Maekawa T, Hama N, Kashiwazaki M, Taniguchi M, et al: Two cases of ovarian metastasis of colon cancer. Gan To Kagaku Ryoho. 38:2286–2288. 2011.(In Japanese). PubMed/NCBI

6 

Chung TS, Chang HJ, Jung KH, Park SY, Lim SB, Choi HS and Jeong SY: Role of surgery in the treatment of ovarian metastases from colorectal cancer. J Surg Oncol. 100:570–574. 2009. View Article : Google Scholar : PubMed/NCBI

7 

Rayson D, Bouttell E, Whiston F and Stitt L: Outcome after ovarian/adnexal metastectomy in metastatic colorectal carcinoma. J Surg Oncol. 75:186–192. 2000. View Article : Google Scholar : PubMed/NCBI

8 

Ayhan A, Tuncer ZS and Bükülmez O: Malignant tumors metastatic to the ovaries. J Surg Oncol. 60:268–276. 1995. View Article : Google Scholar : PubMed/NCBI

9 

Graffner HO, Alm PO and Oscarson JE: Prophylactic oophorectomy in colorectal carcinoma. Am J Surg. 146:233–235. 1983. View Article : Google Scholar : PubMed/NCBI

10 

MacKeigan JM and Ferguson JA: Prophylactic oophorectomy and colorectal cancer in premenopausal patients. Dis Colon Rectum. 22:401–405. 1979. View Article : Google Scholar : PubMed/NCBI

11 

Birnkrant A, Sampson J and Sugarbaker PH: Ovarian metastasis from colorectal cancer. Dis Colon Rectum. 29:767–771. 1986. View Article : Google Scholar : PubMed/NCBI

12 

Cho KC and Gold BM: Computed tomography of Krukenberg tumors. AJR Am J Roentgenol. 145:285–288. 1985. View Article : Google Scholar : PubMed/NCBI

13 

Wauters CC, Smedts F, Gerrits LG, Bosman FT and Ramaekers FC: Keratins 7 and 20 as diagnostic markers of carcinomas metastatic to the ovary. Hum Pathol. 26:852–855. 1995. View Article : Google Scholar : PubMed/NCBI

14 

Berezowski K, Stastny JF and Kornstein MJ: Cytokeratins 7 and 20 and carcinoembryonic antigen in ovarian and colonic carcinoma. Mod Pathol. 9:426–429. 1996.PubMed/NCBI

15 

German MS, Wang J, Fernald AA, Espinosa R III, Le Beau MM and Bell GI: Localization of the genes encoding two transcription factors, LMX1 and CDX3, regulating insulin gene expression to human chromosomes 1 and 13. Genomics. 24:403–404. 1994. View Article : Google Scholar : PubMed/NCBI

16 

Mutoh H, Sakurai S, Satoh K, Tamada K, Kita H, Osawa H, Tomiyama T, Sato Y, Yamamoto H, Isoda N, et al: Development of gastric carcinoma from intestinal metaplasia in Cdx2-trasgenic mice. Cancer Res. 64:7740–7747. 2004. View Article : Google Scholar : PubMed/NCBI

17 

Li MK and Folpe AL: CDX-2, a new marker for adenocarcinoma of gastrointestinal origin. Adv Anat Pathol. 11:101–105. 2004. View Article : Google Scholar : PubMed/NCBI

18 

Guo RJ, Suh ER and Lynch JP: The role of Cdx proteins in intestinal development and cancer. Cancer Biol Ther. 3:593–601. 2004. View Article : Google Scholar : PubMed/NCBI

19 

Kato R, Murata K, Okamura S, Wada Y, Makino S, Nishigaki T, Owada Y, Murakami M, Okada K, Ebisui C, et al: Resection of ovarian metastasis of colon cancer to improve quality of life. Gan To Kagaku Ryoho. 39:2278–2279. 2012.(In Japanese). PubMed/NCBI

20 

McCormick CC, Giuntoli RL II, Gardner GJ, Schulick RD, Judson K, Ronnett BM, Vang R and Bristow RE: The role of cytoreductive surgery for colon cancer metastatic to the ovary. Gynecol Oncol. 105:791–795. 2007. View Article : Google Scholar : PubMed/NCBI

21 

Jiang R, Tang J, Cheng X and Zang RY: Surgical treatment for patients with different origins of Krukenberg tumors: Outcomes and prognostic factors. Eur J Surg Oncol. 35:92–97. 2009. View Article : Google Scholar : PubMed/NCBI

22 

Saltz LB, Clarke S, Díaz-Rubio E, Scheithauer W, Figer A, Wong R, Koski S, Lichinitser M, Yang TS, Rivera F, et al: Bevacizumab in combination with oxaliplatin-based chemotherapy as first-line therapy in metastatic colorectal cancer: A randomized phase III study. J Clin Oncol. 26:2013–2019. 2008. View Article : Google Scholar : PubMed/NCBI

23 

Fuchs CS, Marshall J and Barrueco J: Randomized, controlled trial of irinotecan plus infusional, bolus, or oral fluoropyrimidines in first-line treatment of metastatic colorectal cancer: Updated results from the BICC-C study. J Clin Oncol. 26:689–690. 2008. View Article : Google Scholar : PubMed/NCBI

24 

Douillard JY, Siena S, Cassidy J, Tabernero J, Burkes R, Barugel M, Humblet Y, Bodoky G, Cunningham D, Jassem J, et al: Randomized, phase III trial of panitumumab with infusional fluorouracil, leucovorin and oxaliplatin (FOLFOX4) versus FOLFOX4 alone as first-line treatment in patients with previously untreated metastatic colorectal cancer: The PRIME study. J Clin Oncol. 28:4697–4705. 2010. View Article : Google Scholar : PubMed/NCBI

25 

Köhne CH, Hofheinz R, Mineur L, Letocha H, Greil R, Thaler J, Fernebro E, Gamelin E, Decosta L and Karthaus M: First-line panitumumab plus irinotecan/5-fluorouracil/leucovorin treatment in patients with metastatic colorectal cancer. J Cancer Res Clin Oncol. 138:65–72. 2012. View Article : Google Scholar : PubMed/NCBI

Related Articles

  • Abstract
  • View
  • Download
  • Twitter
Copy and paste a formatted citation
Spandidos Publications style
Shimazaki J, Tabuchi T, Nishida K, Takemura A, Motohashi G, Kajiyama H and Suzuki S: Synchronous ovarian metastasis from colorectal cancer: A report of two cases. Oncol Lett 12: 257-261, 2016.
APA
Shimazaki, J., Tabuchi, T., Nishida, K., Takemura, A., Motohashi, G., Kajiyama, H., & Suzuki, S. (2016). Synchronous ovarian metastasis from colorectal cancer: A report of two cases. Oncology Letters, 12, 257-261. https://doi.org/10.3892/ol.2016.4553
MLA
Shimazaki, J., Tabuchi, T., Nishida, K., Takemura, A., Motohashi, G., Kajiyama, H., Suzuki, S."Synchronous ovarian metastasis from colorectal cancer: A report of two cases". Oncology Letters 12.1 (2016): 257-261.
Chicago
Shimazaki, J., Tabuchi, T., Nishida, K., Takemura, A., Motohashi, G., Kajiyama, H., Suzuki, S."Synchronous ovarian metastasis from colorectal cancer: A report of two cases". Oncology Letters 12, no. 1 (2016): 257-261. https://doi.org/10.3892/ol.2016.4553
Copy and paste a formatted citation
x
Spandidos Publications style
Shimazaki J, Tabuchi T, Nishida K, Takemura A, Motohashi G, Kajiyama H and Suzuki S: Synchronous ovarian metastasis from colorectal cancer: A report of two cases. Oncol Lett 12: 257-261, 2016.
APA
Shimazaki, J., Tabuchi, T., Nishida, K., Takemura, A., Motohashi, G., Kajiyama, H., & Suzuki, S. (2016). Synchronous ovarian metastasis from colorectal cancer: A report of two cases. Oncology Letters, 12, 257-261. https://doi.org/10.3892/ol.2016.4553
MLA
Shimazaki, J., Tabuchi, T., Nishida, K., Takemura, A., Motohashi, G., Kajiyama, H., Suzuki, S."Synchronous ovarian metastasis from colorectal cancer: A report of two cases". Oncology Letters 12.1 (2016): 257-261.
Chicago
Shimazaki, J., Tabuchi, T., Nishida, K., Takemura, A., Motohashi, G., Kajiyama, H., Suzuki, S."Synchronous ovarian metastasis from colorectal cancer: A report of two cases". Oncology Letters 12, no. 1 (2016): 257-261. https://doi.org/10.3892/ol.2016.4553
Follow us
  • Twitter
  • LinkedIn
  • Facebook
About
  • Spandidos Publications
  • Careers
  • Cookie Policy
  • Privacy Policy
How can we help?
  • Help
  • Live Chat
  • Contact
  • Email to our Support Team