Spandidos Publications Logo
  • About
    • About Spandidos
    • Aims and Scopes
    • Abstracting and Indexing
    • Editorial Policies
    • Reprints and Permissions
    • Job Opportunities
    • Terms and Conditions
    • Contact
  • Journals
    • All Journals
    • Oncology Letters
      • Oncology Letters
      • Information for Authors
      • Editorial Policies
      • Editorial Board
      • Aims and Scope
      • Abstracting and Indexing
      • Bibliographic Information
      • Archive
    • International Journal of Oncology
      • International Journal of Oncology
      • Information for Authors
      • Editorial Policies
      • Editorial Board
      • Aims and Scope
      • Abstracting and Indexing
      • Bibliographic Information
      • Archive
    • Molecular and Clinical Oncology
      • Molecular and Clinical Oncology
      • Information for Authors
      • Editorial Policies
      • Editorial Board
      • Aims and Scope
      • Abstracting and Indexing
      • Bibliographic Information
      • Archive
    • Experimental and Therapeutic Medicine
      • Experimental and Therapeutic Medicine
      • Information for Authors
      • Editorial Policies
      • Editorial Board
      • Aims and Scope
      • Abstracting and Indexing
      • Bibliographic Information
      • Archive
    • International Journal of Molecular Medicine
      • International Journal of Molecular Medicine
      • Information for Authors
      • Editorial Policies
      • Editorial Board
      • Aims and Scope
      • Abstracting and Indexing
      • Bibliographic Information
      • Archive
    • Biomedical Reports
      • Biomedical Reports
      • Information for Authors
      • Editorial Policies
      • Editorial Board
      • Aims and Scope
      • Abstracting and Indexing
      • Bibliographic Information
      • Archive
    • Oncology Reports
      • Oncology Reports
      • Information for Authors
      • Editorial Policies
      • Editorial Board
      • Aims and Scope
      • Abstracting and Indexing
      • Bibliographic Information
      • Archive
    • Molecular Medicine Reports
      • Molecular Medicine Reports
      • Information for Authors
      • Editorial Policies
      • Editorial Board
      • Aims and Scope
      • Abstracting and Indexing
      • Bibliographic Information
      • Archive
    • World Academy of Sciences Journal
      • World Academy of Sciences Journal
      • Information for Authors
      • Editorial Policies
      • Editorial Board
      • Aims and Scope
      • Abstracting and Indexing
      • Bibliographic Information
      • Archive
    • International Journal of Functional Nutrition
      • International Journal of Functional Nutrition
      • Information for Authors
      • Editorial Policies
      • Editorial Board
      • Aims and Scope
      • Abstracting and Indexing
      • Bibliographic Information
      • Archive
    • International Journal of Epigenetics
      • International Journal of Epigenetics
      • Information for Authors
      • Editorial Policies
      • Editorial Board
      • Aims and Scope
      • Abstracting and Indexing
      • Bibliographic Information
      • Archive
    • Medicine International
      • Medicine International
      • Information for Authors
      • Editorial Policies
      • Editorial Board
      • Aims and Scope
      • Abstracting and Indexing
      • Bibliographic Information
      • Archive
  • Articles
  • Information
    • Information for Authors
    • Information for Reviewers
    • Information for Librarians
    • Information for Advertisers
    • Conferences
  • Language Editing
Spandidos Publications Logo
  • About
    • About Spandidos
    • Aims and Scopes
    • Abstracting and Indexing
    • Editorial Policies
    • Reprints and Permissions
    • Job Opportunities
    • Terms and Conditions
    • Contact
  • Journals
    • All Journals
    • Biomedical Reports
      • Information for Authors
      • Editorial Policies
      • Editorial Board
      • Aims and Scope
      • Abstracting and Indexing
      • Bibliographic Information
      • Archive
    • Experimental and Therapeutic Medicine
      • Information for Authors
      • Editorial Policies
      • Editorial Board
      • Aims and Scope
      • Abstracting and Indexing
      • Bibliographic Information
      • Archive
    • International Journal of Epigenetics
      • Information for Authors
      • Editorial Policies
      • Editorial Board
      • Aims and Scope
      • Abstracting and Indexing
      • Bibliographic Information
      • Archive
    • International Journal of Functional Nutrition
      • Information for Authors
      • Editorial Policies
      • Editorial Board
      • Aims and Scope
      • Abstracting and Indexing
      • Bibliographic Information
      • Archive
    • International Journal of Molecular Medicine
      • Information for Authors
      • Editorial Policies
      • Editorial Board
      • Aims and Scope
      • Abstracting and Indexing
      • Bibliographic Information
      • Archive
    • International Journal of Oncology
      • Information for Authors
      • Editorial Policies
      • Editorial Board
      • Aims and Scope
      • Abstracting and Indexing
      • Bibliographic Information
      • Archive
    • Medicine International
      • Information for Authors
      • Editorial Policies
      • Editorial Board
      • Aims and Scope
      • Abstracting and Indexing
      • Bibliographic Information
      • Archive
    • Molecular and Clinical Oncology
      • Information for Authors
      • Editorial Policies
      • Editorial Board
      • Aims and Scope
      • Abstracting and Indexing
      • Bibliographic Information
      • Archive
    • Molecular Medicine Reports
      • Information for Authors
      • Editorial Policies
      • Editorial Board
      • Aims and Scope
      • Abstracting and Indexing
      • Bibliographic Information
      • Archive
    • Oncology Letters
      • Information for Authors
      • Editorial Policies
      • Editorial Board
      • Aims and Scope
      • Abstracting and Indexing
      • Bibliographic Information
      • Archive
    • Oncology Reports
      • Information for Authors
      • Editorial Policies
      • Editorial Board
      • Aims and Scope
      • Abstracting and Indexing
      • Bibliographic Information
      • Archive
    • World Academy of Sciences Journal
      • Information for Authors
      • Editorial Policies
      • Editorial Board
      • Aims and Scope
      • Abstracting and Indexing
      • Bibliographic Information
      • Archive
  • Articles
  • Information
    • For Authors
    • For Reviewers
    • For Librarians
    • For Advertisers
    • Conferences
  • Language Editing
Login Register Submit
  • This site uses cookies
  • You can change your cookie settings at any time by following the instructions in our Cookie Policy. To find out more, you may read our Privacy Policy.

    I agree
Search articles by DOI, keyword, author or affiliation
Search
Advanced Search
presentation
Oncology Letters
Join Editorial Board Propose a Special Issue
Print ISSN: 1792-1074 Online ISSN: 1792-1082
Journal Cover
July-2016 Volume 12 Issue 1

Full Size Image

Sign up for eToc alerts
Recommend to Library

Journals

International Journal of Molecular Medicine

International Journal of Molecular Medicine

International Journal of Molecular Medicine is an international journal devoted to molecular mechanisms of human disease.

International Journal of Oncology

International Journal of Oncology

International Journal of Oncology is an international journal devoted to oncology research and cancer treatment.

Molecular Medicine Reports

Molecular Medicine Reports

Covers molecular medicine topics such as pharmacology, pathology, genetics, neuroscience, infectious diseases, molecular cardiology, and molecular surgery.

Oncology Reports

Oncology Reports

Oncology Reports is an international journal devoted to fundamental and applied research in Oncology.

Experimental and Therapeutic Medicine

Experimental and Therapeutic Medicine

Experimental and Therapeutic Medicine is an international journal devoted to laboratory and clinical medicine.

Oncology Letters

Oncology Letters

Oncology Letters is an international journal devoted to Experimental and Clinical Oncology.

Biomedical Reports

Biomedical Reports

Explores a wide range of biological and medical fields, including pharmacology, genetics, microbiology, neuroscience, and molecular cardiology.

Molecular and Clinical Oncology

Molecular and Clinical Oncology

International journal addressing all aspects of oncology research, from tumorigenesis and oncogenes to chemotherapy and metastasis.

World Academy of Sciences Journal

World Academy of Sciences Journal

Multidisciplinary open-access journal spanning biochemistry, genetics, neuroscience, environmental health, and synthetic biology.

International Journal of Functional Nutrition

International Journal of Functional Nutrition

Open-access journal combining biochemistry, pharmacology, immunology, and genetics to advance health through functional nutrition.

International Journal of Epigenetics

International Journal of Epigenetics

Publishes open-access research on using epigenetics to advance understanding and treatment of human disease.

Medicine International

Medicine International

An International Open Access Journal Devoted to General Medicine.

Journal Cover
July-2016 Volume 12 Issue 1

Full Size Image

Sign up for eToc alerts
Recommend to Library

  • Article
  • Citations
    • Cite This Article
    • Download Citation
    • Create Citation Alert
    • Remove Citation Alert
    • Cited By
  • Similar Articles
    • Related Articles (in Spandidos Publications)
    • Similar Articles (Google Scholar)
    • Similar Articles (PubMed)
  • Download PDF
  • Download XML
  • View XML
Article Open Access

Removal of craniopharyngioma via fronto-basal interhemispheric approach

  • Authors:
    • Hongshun Xing
    • Hongbo Xing
    • Peiquan Hui
    • Bin Yang
  • View Affiliations / Copyright

    Affiliations: Department of Neurosurgery, Weifang People's Hospital, Weifang, Shandong 261041, P.R. China, Department of Stomatology, Weihai Municipal Hospital, Weihai, Shandong 264200, P.R. China, Department of Neurosurgery, Affiliated Hospital of Weifang Medical University, Weifang, Shandong 261031, P.R. China
    Copyright: © Xing et al. This is an open access article distributed under the terms of Creative Commons Attribution License.
  • Pages: 147-149
    |
    Published online on: May 12, 2016
       https://doi.org/10.3892/ol.2016.4555
  • Expand metrics +
Metrics: Total Views: 0 (Spandidos Publications: | PMC Statistics: )
Metrics: Total PDF Downloads: 0 (Spandidos Publications: | PMC Statistics: )
Cited By (CrossRef): 0 citations Loading Articles...

This article is mentioned in:



Abstract

The effectiveness and safety of fronto-basal interhemispheric approach in treating craniopharyngioma were evaluated. In this retrospective study, the safety and effectiveness of fronto-basal interhemispheric approach for surgical resection of craniopharyngioma in 20 patients was analyzed. Of the 20 patients, 12 were men and 8 were women, aged 15-65 years, with an average age of 42.5 years. The course of disease ranged from 1 to 36 months. The craniopharyngioma tumor was completely removed through surgical resection in 18 patients (90%) and partially removed in 2 patients. The pituitary stalk was preserved in 18 patients and 1 patient succumbed during the study period due to large area pulmonary embolism. In conclusion, fronto-basal interhemispheric approach provides better access to the tumor that grows in the sella-hypothalamus and anterior third ventricle region. Using this approach, tumors can be resected while preserving the vital structures such as the pituitary stalk and hypothalamus.

Introduction

Craniopharyngioma is a common benign tumor of the sella region and it grows in the midline position of the sella-hypothalamus and is closely associated with the peripheral brain tissues, important nerves and blood vessel structures (1). It is difficult to achieve gross total removal of craniopharyngioma, thus, during the postoperative period, a considerable number of patients suffer from a high rate of mortality, tumor recurrence and postoperative complications (2). Selecting an appropriate surgical approach that allows preservation of vital structures including the hypothalamus is the key to achieving gross total removal and reduce postoperative complications (3,4). It has been reported that, fronto-basal interhemispheric approach achieves a high rate of gross total removal of tumor and pituitary stalk preservation (5) and is being widely applied in clinical setting.

In the present study, the fronto-basal interhemispheric approach was employed in removing craniopharyngioma in 20 patients from January, 2012 to January, 2015.

Patients and methods

Patients

In this retrospective study, radiological images, operative studies and postoperative clinical follow-up data of 20 patients who underwent resection for craniopharyngioma via a fronto-basal interhemispheric approach between January, 2012 to January, 2015, were analyzed. Of the 20 patients, 12 were men and 8 women aged 15–65 years, with an average of 42.5 years. The course of disease ranged from 1 to 36 months. Comorbid conditions such as headache were present in 18 patients, 10 patients had visual acuity and visual field disorders, 2 patients had polydipsia and polyuria, 8 patients had nausea and vomiting, 5 patients had retardation and 4 patients had memory loss. All the patients underwent magnetic resonance imaging (MRI) or computed tomography (CT) scan prior to and following resection of craniopharyngioma.

Surgical technique

To perform resection using fronto-basal interhemispheric approach, the patient was positioned supine and the back was elevated 20° to facilitate venous drainage. A coronal skin incision behind the hairline was carried out. Craniotomy was performed including the inner side of the frontal bone flap and lower end of arcus superciliaris and basis crania after making a single midline burrhole. The dura was cut open in an arc-shaped manner that allowed the dissection of basal interhemispheric fissure. This procedure exposed the end plate, optic chiasma and anterior communicating artery from the genus of corpus callosum. The tumor was exposed by opening of the end plate of the expanding hole. Subsequently, the craniopharyngioma tumor was removed under direct vision of the surgeon. The tumor that grew in the sella region was removed after abrading the olivary eminence via pneumatic drill and a large bone wax was used to seal the opened sphenoid sinus. During the surgery, bipolar coagulation was used as little as possible to preserve the pituitary stalk.

Results

Pre-operative radiological diagnoses

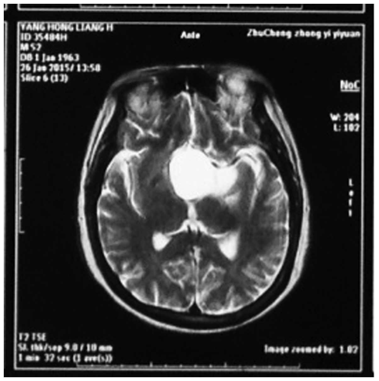
The MRI and CT investigations identified tumors in the sellar-hypothalamus region in 10 patients, sellar-anterior third ventricle in 5 patients, interior sellar-sellar region in 2 patients and brainstem in 3 patients. The tumors were cystic and solid in structure in 13 patients, cystic in 4 patients and solid in 3 patients (Figs. 1 and 2).

Figure 1.

Brain magnetic resonance imaging (MRI) showing long T2 signal in the saddle area in a 45-year-old man hospitalized due to headache and vision disorder.

Figure 2.

Head magnetic resonance imaging (MRI)-enhanced influence.

Post-operative radiological diagnoses

The MRI and CT investigations of patients who underwent resection of craniopharyngioma revealed gross total removal of tumor was achieved in 18 cases (Fig. 3), tumor residue was present in 2 patients, and the pituitary stalk was preserved in 18 patients. Fig. 4 shows the incision of the fronto-basal interhemispheric approach. In the immediate post-operative period, vision was recovered or improved in 10 patients. The complications observed were polydipsia and polyuria in 15 patients and blood electrolyte disorder in 15 patients. A patient succumbed and the autopsy results confirmed that the patient due to large area pulmonary embolism.

Figure 3.

Postoperative radiological diagnosis shows gross total removal of the tumor.

Figure 4.

Incision of fronto-basal interhemispheric approach.

Discussion

Craniopharyngioma is a common benign epithelial tumor and many studies have revealed that, patients can be cured if gross total removal of tumor is achieved. Nevertheless, craniopharyngioma is physically closely associated with hypothalamus and important blood vessels, which makes gross total removal difficult. Furthermore, partial removal is always accompanied with a higher recurrence rate in comparison with gross total removal (6).

Previously, craniopharyngioma was treated by surgery using the pterional and callosum interhemispheric approach. The pterional interhemispheric approach is time-consuming, and causes serious injury and profuse bleeding. Thus, its curative effects for tumors that invade sella, anterior third ventricle, brainstem and posterior circulation are poor. Furthermore during surgery, it inevitably involves the traction of internal carotid artery and optic nerves, which may lead to hemiplegia or even coma due to spasm of the internal carotid artery (7). The callosum interhemispheric approach may cause damage to the bilateral fornices in the anterior corpus callosum and when resection is carried out using this approach, it is difficult to discern the boundary of the tumor, sella region and optic chiasma. Thus, this approach leaves tumor residues, thereby achieving gross total removal of tumor is less effective. Hori et al (8) reported that the benefits of pterional and callosum interhemispheric approaches are limited in comparison with the fronto-basal interhemispheric approach.

Craniopharyngioma occurs in the pituitary stalk of the midline and grows along the midline. Since fronto-basal interhemispheric approach can reach the endplate and chiasmatic cistern (9) directly, it is a convenient way to approach the tumor. In the present study, during surgical resection, no significant structural damage occurred.

The fronto-basal interhemispheric approach was effective in removing the tumors that grow from the sellar region to the anterior third ventricle and even for tumors that extended into the third ventricle. In the present study, two patients had a tumor in their anterior third ventricle and were successfully resected and the operative field was good. Even a large tumor that pressed the interpeduncular cistern and grew into the anterior pontine cistern of dorsum sella was gross totally removed under direct vision of the surgeon.

In the present study, one patient who had tumor closely attached to the top and branches of basal artery and showed bulk-shaped calcification had gross total removal and no recurrence occurred after surgery. For the tumors that grow towards the interior sella, the fronto-basal interhemispheric approach provides a relatively large visual angle from below and anterior direction. If the tumors grow towards the sphenoid sinus via expanded sella turcica, it results in a visual blind area in the anterior wall of sella turcica. A pneumatic drill can be used to abrade the tuberculum sellae to remove the tumor inside the sellar region. In the current study, three patients had tumors growing towards sphenoid sinus and the tuberculum sellae was abraded to achieve tumor removal, but two patients showed tumor residues after surgery. The results showed that, for the large craniopharyngioma in the midline area of the sella region, double frontal craniotomy combined with the fronto-basal interhemispheric approach provides more surgical space. Sometimes, the tumor protrudes towards internal carotid or spreads across internal carotid artery. In such situations, use of subfrontal approach creates a larger visual field for the surgeon.

Craniopharyngioma originates from the pituitary stalk and tumor residues in this area are always the source of tumor recurrence. The gross total removal of the tumors, while preserving the pituitary stalk has been a burden to surgeons for a long time (10). The fronto-basal interhemispheric approach is useful for the removal of tumor tissues in the pituitary stalk from below and posterior area or anterior area of chiasma opticum. The retention rate of the pituitary stalk of pterion approach was approximately 33% (11). However, in the present study using the fronto-basal interhemispheric approach, the retention rate of the pituitary stalk reached 90% (18 patients) and most patients experienced diabetes insipidus after surgery in a transient manner.

In comparison with the pterion or callosum approaches, the fronto-basal interhemispheric approach requires experienced surgeons. This approach involves stretching of cerebral tissues, thus damage arising from stretching the hypothalamus were mild but for the frontal lobe were severe. In the immediate post-operative period, the patients experienced mental problems. During all the surgeries, the surgeon was careful in protecting the fine perforating arteries that originate from the anterior communicating artery and supplying blood to the hypothalamus and basal ganglia.

In conclusion, the fronto-basal interhemispheric approach is safer and provides more direct surgical vision that is benefiical in identifying the pituitary stalk and reducing damage to the olfactory nerve, optic nerve, internal carotid artery, hypothalamus and other important structures. The immediate post-operative complications are also fewer and this favors rapid recovery of patients.

References

1 

Liu JK, Christiano LD, Gupta G and Carmel PW: Surgical nuances for removal of retrochiasmatic craniopharyngiomas via the transbasal subfrontal translamina terminalis approach. Neurosurg Focus. 28:E62010. View Article : Google Scholar : PubMed/NCBI

2 

Kassam AB, Prevedello DM, Thomas A, Gardner P, Mintz A, Snyderman C and Carrau R: Endoscopic endonasal pituitary transposition for a transdorsum sellae approach to the interpeduncular cistern. Neurosurgery. 62:57–72. 2008.PubMed/NCBI

3 

Pettorini BL, Frassanito P, Caldarelli M, Tamburrini G, Massimi L and Di Rocco C: Molecular pathogenesis of craniopharyngioma: switching from a surgical approach to a biological one Neurosurg. Focus. 28:E12010.

4 

Campbell PG, McGettigan B, Luginbuhl A, Yadla S, Rosen M and Evans JJ: Endocrinological and ophthalmological consequences of an initial endonasal endoscopic approach for resection of craniopharyngiomas. Neurosurg Focus. 28:E82010. View Article : Google Scholar : PubMed/NCBI

5 

Kassam AB, Gardner PA, Snyderman CH, Carrau RL, Mintz AH and Prevedello DM: Expanded endonasal approach, a fully endoscopic transnasal approach for the resection of midline suprasellar craniopharyngiomas: a new classification based on the infundibulum. J Neurosurg. 108:715–728. 2008. View Article : Google Scholar : PubMed/NCBI

6 

Nishimoto A, Matsuhisa T, Kunishio K, Maeshiro T, Furuta T and Ohmoto T: Craniopharyngioma: Early and long term recurrence after partial removal. J Neurol Neurosurg Psychiatry. 58:111–112. 1995. View Article : Google Scholar : PubMed/NCBI

7 

Kunihiro N, Goto T, Ishibashi K and Ohata K: Surgical outcomes of the minimum anterior and posterior combined transpetrosal approach for resection of retrochiasmatic craniopharyngiomas with complicated conditions. J Neurosurg. 120:1–11. 2014. View Article : Google Scholar : PubMed/NCBI

8 

Hori T, Kawamata T, Amano K, Aihara Y, Ono M and Miki N: Anterior interhemispheric approach for 100 tumors in and around the anterior third ventricle. Neurosurgery. 66:65–74. 2010.PubMed/NCBI

9 

Jung TY, Jung S, Choi JE, Moon KS, Kim IY and Kang SS: Adult craniopharyngiomas: surgical results with a special focus on endocrinological outcomes and recurrence according to pituitary stalk preservation. J Neurosurg. 111:572–527. 2009. View Article : Google Scholar : PubMed/NCBI

10 

Garrè ML and Cama A: Craniopharyngioma: modern concepts in pathogenesis and treatment. Curr Opin Pediatr. 19:471–479. 2007. View Article : Google Scholar : PubMed/NCBI

11 

Shi XE, Wu B, Zhou ZQ, Fan T and Zhang YL: Microsurgical treatment of craniopharyngiomas: report of 284 patients. Chin Med J (Engl). 119:1653–1663. 2006.PubMed/NCBI

Related Articles

  • Abstract
  • View
  • Download
  • Twitter
Copy and paste a formatted citation
Spandidos Publications style
Xing H, Xing H, Hui P and Yang B: Removal of craniopharyngioma via fronto-basal interhemispheric approach. Oncol Lett 12: 147-149, 2016.
APA
Xing, H., Xing, H., Hui, P., & Yang, B. (2016). Removal of craniopharyngioma via fronto-basal interhemispheric approach. Oncology Letters, 12, 147-149. https://doi.org/10.3892/ol.2016.4555
MLA
Xing, H., Xing, H., Hui, P., Yang, B."Removal of craniopharyngioma via fronto-basal interhemispheric approach". Oncology Letters 12.1 (2016): 147-149.
Chicago
Xing, H., Xing, H., Hui, P., Yang, B."Removal of craniopharyngioma via fronto-basal interhemispheric approach". Oncology Letters 12, no. 1 (2016): 147-149. https://doi.org/10.3892/ol.2016.4555
Copy and paste a formatted citation
x
Spandidos Publications style
Xing H, Xing H, Hui P and Yang B: Removal of craniopharyngioma via fronto-basal interhemispheric approach. Oncol Lett 12: 147-149, 2016.
APA
Xing, H., Xing, H., Hui, P., & Yang, B. (2016). Removal of craniopharyngioma via fronto-basal interhemispheric approach. Oncology Letters, 12, 147-149. https://doi.org/10.3892/ol.2016.4555
MLA
Xing, H., Xing, H., Hui, P., Yang, B."Removal of craniopharyngioma via fronto-basal interhemispheric approach". Oncology Letters 12.1 (2016): 147-149.
Chicago
Xing, H., Xing, H., Hui, P., Yang, B."Removal of craniopharyngioma via fronto-basal interhemispheric approach". Oncology Letters 12, no. 1 (2016): 147-149. https://doi.org/10.3892/ol.2016.4555
Follow us
  • Twitter
  • LinkedIn
  • Facebook
About
  • Spandidos Publications
  • Careers
  • Cookie Policy
  • Privacy Policy
How can we help?
  • Help
  • Live Chat
  • Contact
  • Email to our Support Team