Spandidos Publications Logo
  • About
    • About Spandidos
    • Aims and Scopes
    • Abstracting and Indexing
    • Editorial Policies
    • Reprints and Permissions
    • Job Opportunities
    • Terms and Conditions
    • Contact
  • Journals
    • All Journals
    • Oncology Letters
      • Oncology Letters
      • Information for Authors
      • Editorial Policies
      • Editorial Board
      • Aims and Scope
      • Abstracting and Indexing
      • Bibliographic Information
      • Archive
    • International Journal of Oncology
      • International Journal of Oncology
      • Information for Authors
      • Editorial Policies
      • Editorial Board
      • Aims and Scope
      • Abstracting and Indexing
      • Bibliographic Information
      • Archive
    • Molecular and Clinical Oncology
      • Molecular and Clinical Oncology
      • Information for Authors
      • Editorial Policies
      • Editorial Board
      • Aims and Scope
      • Abstracting and Indexing
      • Bibliographic Information
      • Archive
    • Experimental and Therapeutic Medicine
      • Experimental and Therapeutic Medicine
      • Information for Authors
      • Editorial Policies
      • Editorial Board
      • Aims and Scope
      • Abstracting and Indexing
      • Bibliographic Information
      • Archive
    • International Journal of Molecular Medicine
      • International Journal of Molecular Medicine
      • Information for Authors
      • Editorial Policies
      • Editorial Board
      • Aims and Scope
      • Abstracting and Indexing
      • Bibliographic Information
      • Archive
    • Biomedical Reports
      • Biomedical Reports
      • Information for Authors
      • Editorial Policies
      • Editorial Board
      • Aims and Scope
      • Abstracting and Indexing
      • Bibliographic Information
      • Archive
    • Oncology Reports
      • Oncology Reports
      • Information for Authors
      • Editorial Policies
      • Editorial Board
      • Aims and Scope
      • Abstracting and Indexing
      • Bibliographic Information
      • Archive
    • Molecular Medicine Reports
      • Molecular Medicine Reports
      • Information for Authors
      • Editorial Policies
      • Editorial Board
      • Aims and Scope
      • Abstracting and Indexing
      • Bibliographic Information
      • Archive
    • World Academy of Sciences Journal
      • World Academy of Sciences Journal
      • Information for Authors
      • Editorial Policies
      • Editorial Board
      • Aims and Scope
      • Abstracting and Indexing
      • Bibliographic Information
      • Archive
    • International Journal of Functional Nutrition
      • International Journal of Functional Nutrition
      • Information for Authors
      • Editorial Policies
      • Editorial Board
      • Aims and Scope
      • Abstracting and Indexing
      • Bibliographic Information
      • Archive
    • International Journal of Epigenetics
      • International Journal of Epigenetics
      • Information for Authors
      • Editorial Policies
      • Editorial Board
      • Aims and Scope
      • Abstracting and Indexing
      • Bibliographic Information
      • Archive
    • Medicine International
      • Medicine International
      • Information for Authors
      • Editorial Policies
      • Editorial Board
      • Aims and Scope
      • Abstracting and Indexing
      • Bibliographic Information
      • Archive
  • Articles
  • Information
    • Information for Authors
    • Information for Reviewers
    • Information for Librarians
    • Information for Advertisers
    • Conferences
  • Language Editing
Spandidos Publications Logo
  • About
    • About Spandidos
    • Aims and Scopes
    • Abstracting and Indexing
    • Editorial Policies
    • Reprints and Permissions
    • Job Opportunities
    • Terms and Conditions
    • Contact
  • Journals
    • All Journals
    • Biomedical Reports
      • Information for Authors
      • Editorial Policies
      • Editorial Board
      • Aims and Scope
      • Abstracting and Indexing
      • Bibliographic Information
      • Archive
    • Experimental and Therapeutic Medicine
      • Information for Authors
      • Editorial Policies
      • Editorial Board
      • Aims and Scope
      • Abstracting and Indexing
      • Bibliographic Information
      • Archive
    • International Journal of Epigenetics
      • Information for Authors
      • Editorial Policies
      • Editorial Board
      • Aims and Scope
      • Abstracting and Indexing
      • Bibliographic Information
      • Archive
    • International Journal of Functional Nutrition
      • Information for Authors
      • Editorial Policies
      • Editorial Board
      • Aims and Scope
      • Abstracting and Indexing
      • Bibliographic Information
      • Archive
    • International Journal of Molecular Medicine
      • Information for Authors
      • Editorial Policies
      • Editorial Board
      • Aims and Scope
      • Abstracting and Indexing
      • Bibliographic Information
      • Archive
    • International Journal of Oncology
      • Information for Authors
      • Editorial Policies
      • Editorial Board
      • Aims and Scope
      • Abstracting and Indexing
      • Bibliographic Information
      • Archive
    • Medicine International
      • Information for Authors
      • Editorial Policies
      • Editorial Board
      • Aims and Scope
      • Abstracting and Indexing
      • Bibliographic Information
      • Archive
    • Molecular and Clinical Oncology
      • Information for Authors
      • Editorial Policies
      • Editorial Board
      • Aims and Scope
      • Abstracting and Indexing
      • Bibliographic Information
      • Archive
    • Molecular Medicine Reports
      • Information for Authors
      • Editorial Policies
      • Editorial Board
      • Aims and Scope
      • Abstracting and Indexing
      • Bibliographic Information
      • Archive
    • Oncology Letters
      • Information for Authors
      • Editorial Policies
      • Editorial Board
      • Aims and Scope
      • Abstracting and Indexing
      • Bibliographic Information
      • Archive
    • Oncology Reports
      • Information for Authors
      • Editorial Policies
      • Editorial Board
      • Aims and Scope
      • Abstracting and Indexing
      • Bibliographic Information
      • Archive
    • World Academy of Sciences Journal
      • Information for Authors
      • Editorial Policies
      • Editorial Board
      • Aims and Scope
      • Abstracting and Indexing
      • Bibliographic Information
      • Archive
  • Articles
  • Information
    • For Authors
    • For Reviewers
    • For Librarians
    • For Advertisers
    • Conferences
  • Language Editing
Login Register Submit
  • This site uses cookies
  • You can change your cookie settings at any time by following the instructions in our Cookie Policy. To find out more, you may read our Privacy Policy.

    I agree
Search articles by DOI, keyword, author or affiliation
Search
Advanced Search
presentation
Oncology Letters
Join Editorial Board Propose a Special Issue
Print ISSN: 1792-1074 Online ISSN: 1792-1082
Journal Cover
July-2016 Volume 12 Issue 1

Full Size Image

Sign up for eToc alerts
Recommend to Library

Journals

International Journal of Molecular Medicine

International Journal of Molecular Medicine

International Journal of Molecular Medicine is an international journal devoted to molecular mechanisms of human disease.

International Journal of Oncology

International Journal of Oncology

International Journal of Oncology is an international journal devoted to oncology research and cancer treatment.

Molecular Medicine Reports

Molecular Medicine Reports

Covers molecular medicine topics such as pharmacology, pathology, genetics, neuroscience, infectious diseases, molecular cardiology, and molecular surgery.

Oncology Reports

Oncology Reports

Oncology Reports is an international journal devoted to fundamental and applied research in Oncology.

Experimental and Therapeutic Medicine

Experimental and Therapeutic Medicine

Experimental and Therapeutic Medicine is an international journal devoted to laboratory and clinical medicine.

Oncology Letters

Oncology Letters

Oncology Letters is an international journal devoted to Experimental and Clinical Oncology.

Biomedical Reports

Biomedical Reports

Explores a wide range of biological and medical fields, including pharmacology, genetics, microbiology, neuroscience, and molecular cardiology.

Molecular and Clinical Oncology

Molecular and Clinical Oncology

International journal addressing all aspects of oncology research, from tumorigenesis and oncogenes to chemotherapy and metastasis.

World Academy of Sciences Journal

World Academy of Sciences Journal

Multidisciplinary open-access journal spanning biochemistry, genetics, neuroscience, environmental health, and synthetic biology.

International Journal of Functional Nutrition

International Journal of Functional Nutrition

Open-access journal combining biochemistry, pharmacology, immunology, and genetics to advance health through functional nutrition.

International Journal of Epigenetics

International Journal of Epigenetics

Publishes open-access research on using epigenetics to advance understanding and treatment of human disease.

Medicine International

Medicine International

An International Open Access Journal Devoted to General Medicine.

Journal Cover
July-2016 Volume 12 Issue 1

Full Size Image

Sign up for eToc alerts
Recommend to Library

  • Article
  • Citations
    • Cite This Article
    • Download Citation
    • Create Citation Alert
    • Remove Citation Alert
    • Cited By
  • Similar Articles
    • Related Articles (in Spandidos Publications)
    • Similar Articles (Google Scholar)
    • Similar Articles (PubMed)
  • Download PDF
  • Download XML
  • View XML
Case Report

Isolated double adrenocorticotropic hormone-secreting pituitary adenomas: A case report and review of the literature

  • Authors:
    • Jiujun Pu
    • Zhiming Wang
    • Hui Zhou
    • Ailing Zhong
    • Kai Jin
    • Lunliang Ruan
    • Gang Yang
  • View Affiliations / Copyright

    Affiliations: Department of Neurosurgery, The First Affiliated Hospital of Chongqing Medical University, Chongqing 410000, P.R. China
  • Pages: 585-590
    |
    Published online on: June 1, 2016
       https://doi.org/10.3892/ol.2016.4673
  • Expand metrics +
Metrics: Total Views: 0 (Spandidos Publications: | PMC Statistics: )
Metrics: Total PDF Downloads: 0 (Spandidos Publications: | PMC Statistics: )
Cited By (CrossRef): 0 citations Loading Articles...

This article is mentioned in:


Abstract

Only a few cases of double or multiple pituitary adenomas have previously been reported in the literature; however, isolated double adrenocorticotropic hormone (ACTH)-secreting pituitary adenomas are even more rare. The present study reports a rare case of a 50‑year‑old female patient who presented with typical clinical features of Cushing's disease and was diagnosed with isolated double ACTH‑secreting pituitary adenomas. Endocrinological examination revealed an ACTH‑producing pituitary adenoma, and preoperative magnetic resonance imaging (MRI) demonstrated a microadenoma with a lower intensity on the right side of the pituitary gland. The patient underwent endoscopic endonasal transsphenoidal surgery, which revealed another pituitary tumor in the left side of the pituitary gland. The two, clearly separated, pituitary adenomas identified in the same gland were completely resected. Immunohistochemistry and pathology revealed that the clearly separated double pituitary adenomas were positive for ACTH, thyroid‑stimulating, growth and prolactin hormones. Postoperatively, the levels of ACTH and cortisol hormone decreased rapidly. The case reported in the present study is considerably rare, due to the presence of a second pituitary adenoma in the same gland, which was not detected by preoperative MRI scan, but was noticed during surgery. Intraoperative evaluation may be important in the identification of double or multiple pituitary adenomas.

Introduction

Isolated double pituitary adenomas are considerably rare. Between 1978 and 2014, only 115 cases of double or multiple pituitary adenomas, including clearly separated and contiguous adenomas, were reported in the literature (1–7). Furthermore, the diagnostic criteria for double or multiple pituitary adenomas vary between pathologists and clinical doctors. Certain cases have been diagnosed on the basis of the expression of ≥2 types of hormones and immunohistochemical staining results by pathologists (5). The combined expression of adrenocorticotropic hormone (ACTH) and prolactin (PRL) is the most common characteristic of double or multiple pituitary adenomas (5); however, immunohistochemical studies on the diagnosis of double or multiple pituitary adenomas have not been fully trusted by clinical doctors when there is cross-reactivity of antisera and an insufficient specimen (8). The doctor making the diagnosis of double or multiple pituitary adenomas should correlate the patient's symptoms with the type of hormone produced by the tumor, since, in the majority of cases, the diagnosis of double or multiple pituitary adenomas is made only on the basis of immunohistochemical staining results. Only a few, clear cases of multiple adenomas have been confirmed by pre- and intraoperative evaluations (6,9–12). If clinicians considered the presence of ≥2 separated tumors in the same pituitary gland or the patient's clinical characteristics pre- and intraoperatively, surgical failure could be prevented to a greater extent.

The present study reports a case of clearly separated adenomas, diagnosed based on preoperative contrast-enhanced magnetic resonance imaging (MRI) findings and surgical exploration. Written informed consent was obtained from the patient.

Case report

Preoperative findings

A 50-year-old Chinese woman with a history of diabetes mellitus and hypertension presented to The First Affiliated Hospital of Chongqing Medical University (Chongqing, China) with clinical symptoms of Cushing's disease, such as oily skin, moon face, buffalo hump, facial plethora, typical cushingoid central fat distribution and slight purple striae on the abdomen, which had lasted for >10 years. Prior to admission on October 24, 2013, endocrine tests revealed that the patient's serum ACTH level was 55.0 pg/ml and the cortisol (COR) level was 688.9 nmol/l; therefore, the dexamethasone suppression test was performed, and the diurnal variations of ACTH and COR were evaluated. The diurnal variation of both the hormones spontaneously disappeared. The patient's plasma COR and ACTH diurnal variations were as follows: COR, 688.9 nmol/l and ACTH, 55 pg/ml at 8:00 a.m.; COR, 500.6 nmol/l and ACTH, 50.45 pg/ml at 4:00 p.m.; and COR, 614.8 nmol/l and ACTH, 41.23 pg/ml at 12:00 a.m. The overnight low-dose dexamethasone suppression test (1 mg dexamethasone administered orally at 12:00 a.m.) revealed that low-dose dexamethasone could not suppress the secretion of ACTH and COR, but high-dose dexamethasone (8 mg orally) suppressed >50% of the initial production of COR. The patient was hospitalized due to the highly increased COR and ACTH levels (Table I).

Table I.

Dexamethasone suppression test.

Table I.

Dexamethasone suppression test.

A, Low-dose overnight dexamethasone suppression test (1 mg orally at 12:00 a.m.)

Time of dayACTH, pg/mlCOR, nmol/l
8:00 am55.0029.06
8:00 am (after 1 day)688.9950.8

B, High-dose dexamethasone suppression test (8 mg orally)

Time of dayACTH, pg/mlCOR, nmol/l

8:00 am57.0616.43
8:00 am (after 2 days)353.1884.77

[i] ACTH, adrenocorticotropic hormone; COR, cortisol.

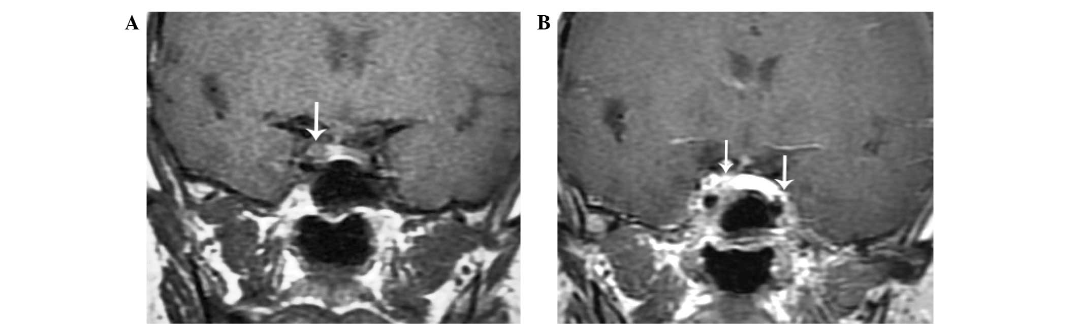
Following admission, the chief complaint of the patient was rapid body-weight gain subsequent to surgery for an ectopic pregnancy in 2000. The patient's body mass index was 39.56 kg/m2, and no family history of a pituitary tumor was recorded. Blood biochemical assay results demonstrated blood lipid metabolic disorders: The total cholesterol level was 6.8 mmol/l (normal range, 2.8–5.2 mmol/l), triglyceride levels were 4.55 mmol/l (normal range, 0.35–1.7 mmol/l), high-density lipoprotein level was 1.08 mmol/l (normal range, 0.9–1.8 mmol/l) and low-density lipoprotein level was 4.05 mmol/l (normal range, 2.07–3.1 mmol/l). An endocrine examination revealed that all hormone levels, except for ACTH (53 pg/ml; normal range, 7.20–63.30 pg/ml) and COR (829.07 nmol/l; normal range, 2.74–19.64 nmol/l), were normal (Table II). A preoperative MRI scan detected a 5-mm tumor located on the right side of the pituitary gland (Fig. 1A). Electrocardiography revealed sinus rhythm, and abdominal ultrasonography demonstrated that the adrenal gland was normal. Based on the patient's medical history and radiologic and laboratory findings, an ACTH-secreting pituitary adenoma was diagnosed, and neuroendoscopic surgery was performed. Preoperative preparation included the control of the patient's glycemic and blood pressure and improvement of her nutritional status.

Figure 1.

MRI scan of pituitary adenoma. (A) MRI scan of the head identified a 5-mm microadenoma in the right pituitary lobe (arrow); (B) Contrast-enhanced MRI scan of the head revealed two highly suspicious pituitory lesions (arrows). MRI, magnetic resonance imaging.

Table II.

Preoperative and postoperative hormonal tests.

Table II.

Preoperative and postoperative hormonal tests.

Postoperative values

HormonesReference valuesPreoperative valuesDay 1Day 7Month 3
GH, ng/ml0.00–5.000.290.430.160.28
ACTH, pg/ml7.20–63.3053111
PRL, ng/ml2.74–19.6412.815.307.8330.75
COR, nmol/l118.64–618.02829.0738.4733.0164.35
TSH, uIU/ml0.35–3.500.451.031.012.88
FT4, ng/ml0.61–1.120.740.940.941.27
FT, pg/ml2.19–3.902.672.743.393.86
LH, mIU/ml1.20–12.8645.4431.7210.9617.11
FSH, mIU/ml1.79–5.1286.2058.5230.6234.14
Estradiol, ng/ml49–29121363028
Progesterone, pg/ml0.00–0.780.940.210.320.22

[i] GH, growth hormone; ACTH, adrenocorticotropic hormone; PRL, prolactin; COR, cortisol; TSH, thyroid-stimulating hormone; FT, free thyroid hormone; FT4, free thyroxine; LH, luteinizing hormone; FSH, follicle-stimulating hormone.

Intraoperative findings

A 5-mm white pituitary microadenoma was visualized on the right side of the pituitary gland. Subsequently, another 3–5-mm white pituitary microadenoma was observed on the left side of the pituitary gland during neuroendoscopic exploration. Based on the findings of the preoperative contrast-enhanced MRI scan (Fig. 1B) and surgical exploration via neuroendoscopy (Fig. 2), the lesions were confirmed as isolated double ACTH-secreting pituitary adenomas, and were completely resected (Fig. 2).

Figure 2.

Neuroendoscopic image of double pituitary adenomas. (A) Pituitary adenomas located in the right side of the pituitary gland. (B) Two well demarcated adenomas were separately observed during surgery.

Postoperative findings

The two pituitary tumors obtained during primary surgical resection in October 2013 were analyzed. Pituitary adenoma blocks (5 mm) were established using formalin-fixed, paraffin-embedded tumor samples. Hematoxylin and eosin staining, which was visualized using an optical microscope (Olympus Corporation, Tokoyo, Japan), revealed that both specimens were adenomas. Subsequently, each pathological section was subjected to immunohistochemical staining with an avidin biotin-peroxidase complex system. Briefly, following deparaffinization and rehydration, epitope retrieval was performed using 10 mmol/l citrate buffer (pH 6.0) for 15 min. The activity of endogenous peroxidases was blocked with 3% hydrogen peroxide for 10 min at room temperature. The sections were then incubated with primary rabbit polyclonal ACTH (dilution, 1:200; cat no. ab74976; Abcam), mouse monoclonal growth hormone (GH; dilution, 1:200; cat no. ab7905; Abcam, Cambridge, UK), mouse monoclonal thyroid-stimulating hormone (TSH; dilution, 1:200; cat no. ab27974; Abcam) and mouse monoclonal PRL (dilution, 1:200; cat no. ab47150; Abcam) antibodies at 4°C overnight in a humidified chamber. Negative controls were obtained by the omission of primary antibodies, followed by incubation with polyclonal horseradish peroxidase-conjugated goat anti-rabbit (1:300; cat. no. ab6112; Abcam) and anti-mouse (1:200; cat. no. ab5879; Abcam) IgG secondary antibodies for 30 min at room temperature. Slides were stained with 3,3′-diaminobenzidine as the chromogenic substrate for 10 min in the dark. The slides were then visualized using an optical microscope (Olympus Corporation). Immunohistochemical staining demonstrated that the two adenomas were mainly positive for ACTH and focally positive for TSH, GH and PRL (Fig. 3). The serum hormone levels were measured on postoperative days 1 and 7. Compared with preoperative levels, the expression of ACTH and COR in the two tumors had markedly decreased following surgery (postoperative day 1, 1 pg/ml ACTH and 38.47 nmol/l COR; postoperative day 7, 1 pg/ml ACTH and 33.01 nmol/l COR) (Table II). The patient presented with secondary hypoadrenalism and received hydrocortisone replacement treatment.

Figure 3.

Pathological and immunohistochemical staining findings of the two tumors. Hematoxylin and eosin staining of the two tumors suggested adenomas. The cells of both tumors were oval, basophilic cells with clear nucleoli, without signs of focal necrosis, active mitosis or atypical nuclei. Immunohistochemical staining of the two tumors revealed that the cells were mainly positive for adrenocorticotropic hormone and focally positive for thyroid-stimulating, growth and prolactin hormones (magnification, ×400). R, right; L, left; H&E, hematoxylin and eosin; GH, growth hormone; ACTH, adrenocorticotropic hormone; PRL, prolactin; TSH, thyroid-stimulating hormone.

Three months after surgery, the patient's hormone levels were re-evaluated. Oral glucose tolerance test results revealed impaired glucose tolerance, suggesting that the patient's glycometabolism disorders were recovering slowly following the resection of the pituitary tumors. Dyslipidemia had also improved. The patient had no obvious discomfort.

Discussion

The incidence rates of clearly separated adenomas are unknown. Magri et al (9) reported that the incidence of double pituitary adenomas in patients who chose not to undergo surgery was 2.6%. Double or multiple pituitary adenomas, and clearly separated adenomas confirmed by preoperative imaging or intraoperative exploration in particular, are considerably rare. Kim et al (10) identified 4 cases (0.67%) of multiple adenomas among 600 surgical cases that were suspected to be multiple adenomas based on preoperative MRI scan. Ratliff and Oldfield (11) also reported 13 patients (1.82%) with multiple adenomas that were detected intraoperatively, and 1 patient (0.15%) that was diagnosed with multiple adenomas on the basis of preoperative MRI findings.

Following a review of the literature, 115 cases of double or multiple pituitary adenomas were identified (1–7). Based on the classification of double or multiple pituitary adenomas established by Ratliff and Oldfield (11), Andrioli et al (13) and Kontogeorgos et al (14), 37 patients were diagnosed with unclassified multiple pituitary adenomas on autopsy (15,16). The types of adenomas of the remaining 78 patients are listed in Table III. Patients were divided into two groups: Those with clearly separated adenomas and those with a contiguous pituitary tumor diagnosed by pathology.

Table III.

Cases of multiple pituitary adenomas.

Table III.

Cases of multiple pituitary adenomas.

Clearly separated pituitary adenomas (n=42)aContiguous pituitary adenomas (n=36)b


VariableN%N%
Gender
  Female29   69.01655.6
  Male13   31.02044.4
Preoperative imaging
  Magnetic resonance imaging22   52.4  0   0.0
  Computed tomography  2   4.8  0   0.0
Intraoperative diagnosis (neurosurgery)18   42.9  0   0.0
Postoperative diagnosis (pathology)42100.036100.0

a Median age, 41.5 years; age range, 15–80 years (1–4,8,10–14,17–25).

b Median age, 45.5 years; age range, 18–76 years (6–9,11,12,14,26–29).

The youngest reported patient was a 15-year-old girl, whose condition was diagnosed on the basis of MRI findings, according to Goldberg et al (2). The oldest reported patient was 80 years old (8). The majority of patients were aged 41.5–45.5 years. On the basis of preoperative, intraoperative and postoperative evaluations, 42 patients were diagnosed with clearly separated double pituitary adenomas (1–4,8,10–14,17–25), 36 patients with contiguous pituitary adenomas (6–9,11,12,14,26–29), and 3 patients with 3 pituitary adenomas (11,22,23).

The majority of double or multiple pituitary adenomas are mainly detected by one of the following methods: Imaging examination, surgical exploration or autopsy (9–11,14,16,22,23); however, the adenomas nature and type of hormones expressed are confirmed by pathology and immunohistochemistry, respectively (11). At present, in clinical practice, a useful detection method is essential to evaluate the presence of double or multiple pituitary adenomas (9). The coexistence of multiple pituitary tumors often accounts for surgical failure (22). Numerous examination types, including MRI and computed tomography (CT) scans, as well as intraoperative ultrasonography, are able to detect double or multiple pituitary adenomas. MRI was the first reported modality to diagnose multiple pituitary adenomas (22).

Preoperative MRI, particularly thin-slice, dynamic and contrast-enhanced MRI (2,10,13,17), is an effective and sensitive method of determining the presence of multiple adenomas (10–12,14,21,22,29). Among 42 patients (Table III), 22 (52.4%) were diagnosed on the basis of preoperative MRI findings, and 2 (4.8%) on the basis of CT findings (24). The remaining 18 patients were diagnosed during surgery. Preoperative MRI is more important than CT in the diagnosis of multiple adenomas. As indicated in the present case and previous literature reports, contrast-enhanced MRI is able to confirm separated double or multiple pituitary adenomas (1,3,9,13,17,28).

Intraoperative evaluation, including MRI and ultrasonography, as well as surgical exploration, may assist the diagnosis of double or multiple pituitary adenomas (11,14,18,20,25,30,31). A total of 18 cases (42.9%) of double pituitary adenomas from the literature were diagnosed during surgery (11,14,18,20,25,30), with the majority of them being clearly visible to the surgeon by the microscopic approach (11). Endoscopic transsphenoidal surgery is used more often than the microscopic approach, particularly in cases of pituitary lesions (32). In the present case, the patient underwent neuroendoscopic transsphenoidal surgery, which allowed for better visualization and enabled the detection of another microadenoma. This prevented the requirement for a second surgery (Fig. 2). Oyama et al (18) reported that 1 patient had to undergo two surgeries to resect two pituitary adenomas; the disease manifestation and hormone levels following the first surgery revealed that the tumors were not in remission, and indicated the presence of another microadenoma. Kontogeorgos et al (14) and McKelvie and McNeill (20) have reported similar cases. Thus, according to Liu et al (33), establishing the difference between a normal pituitary gland and a pituitary adenoma is crucial during surgery.

There are numerous different theories on the pathogenesis of pituitary tumors, including genetic mutations, autocrine/paracrine interactions, altered hypothalamic function, abnormal extrapituitary regulatory mechanisms, epigenetic modification, and microRNAs and large non-coding RNAs such as maternally expressed 3 (8,10,34,35). Kim et al (10) reported 2 patients with a family history of pituitary adenomas, suggesting that genetic abnormalities may be associated with the pathogenesis of double or multiple pituitary tumors. Kumar and Prusty (4) were the first to report a case of a macroprolactinoma that evolved from two separate microadenomas. It was suggested that a polyclonal origin of the prolactinoma was responsible for the pathogenesis of multiple pituitary adenomas, but there were no definite histopathological results to demonstrate that the original lesion consisted of two prolactinomas. In the present case, the histopathological results demonstrated a pituitary adenoma, and immunohistochemical staining revealed that the tumor cells were positive for ACTH, TSH, GH and PRL (Fig. 3). These findings may explain Kumar and Prusty's conclusions (4).

In summary, progress has been made in determining the roles that tumor suppressors, oncogenes and cycle abnormalities perform during the onset of pituitary adenoma; however, due to the limitations in the use of human pituitary adenoma cell lines and animal models, the acute pathogenesis of multiple pituitary adenomas remains to be fully elucidated (1,3,4,34,36).

References

1 

Kobayashi Y, Takei M, Ohkubo Y, Kakizawa Y, Matoba H, Kumagai M, Takeda T, Suzuki S and Komatsu M: A somatotropin-producing pituitary adenoma with an isolated adrenocorticotropin-producing pituitary adenoma in a female patient with acromegaly, subclinical Cushing's disease and a left adrenal tumor. Endocr J. 61:589–595. 2014. View Article : Google Scholar : PubMed/NCBI

2 

Goldberg AS, Stein R, Merritt NH, Inculet R and Van Uum S: A pediatric patient with Cushing syndrome caused by ectopic ACTH syndrome and concomitant pituitary incidentalomas. J Pediatr Endocrinol Metab. 27:123–128. 2013.

3 

Zielinski G, Maksymowicz M, Podgorski J and Olszewski WT: Double, synchronous pituitary adenomas causing acromegaly and Cushing's disease. A case report and review of literature. Endocr Pathol. 24:92–99. 2014. View Article : Google Scholar

4 

Kumar KV and Prusty P: Resistant prolactinoma: Is it monoclonal or polyclonal? Indian J Endocrinol Metab. 17:2013. View Article : Google Scholar

5 

Iacovazzo D, Bianchi A, Lugli F, Milardi D, Giampietro A, Lucci-Cordisco E, Doglietto F, Lauriola L and De Marinis L: Double pituitary adenomas. Endocrine. 43:452–457. 2013. View Article : Google Scholar : PubMed/NCBI

6 

Koutourousiou M, Kontogeorgos G, Wesseling P, Grotenhuis AJ and Seretis A: Collision sellar lesions: Experience with eight cases and review of the literature. Pituitary. 13:8–17. 2010. View Article : Google Scholar : PubMed/NCBI

7 

Al Brahim NY, Rambaldini G, Ezzat S and Asa SL: Complex endocrinopathies in MEN-1: Diagnostic dilemmas in endocrine oncology. Endocr Pathol. 18:37–41. 2007. View Article : Google Scholar : PubMed/NCBI

8 

Jastania RA, Alsaad KO, Al-Shraim M, Kovacs K and Asa SL: Double adenomas of the pituitary: Transcription factors Pit-1, T-pit and SF-1 identify cytogenesis and differentiation. Endocr Pathol. 16:187–194. 2005. View Article : Google Scholar : PubMed/NCBI

9 

Magri F, Villa C, Locatelli D, Scagnelli P, Lagonigro MS, Morbini P, Castellano M, Gabellieri E, Rotondi M, Solcia E, et al: Prevalence of double pituitary adenomas in a surgical series: Clinical, histological and genetic features. J Endocrinol Invest. 33:325–331. 2010. View Article : Google Scholar : PubMed/NCBI

10 

Kim K, Yamada S, Usui M and Sano T: Preoperative identification of clearly separated double pituitary adenomas. Clin Endocrinol (Oxf). 61:26–30. 2004. View Article : Google Scholar : PubMed/NCBI

11 

Ratliff JK and Oldfield EH: Multiple pituitary adenomas in Cushing's disease. J Neurosurg. 93:753–761. 2000. View Article : Google Scholar : PubMed/NCBI

12 

Sano T, Horiguchi H, Xu B, Li C, Hino A, Sakaki M, Kannuki S and Yamada S: Double pituitary adenomas: Six surgical cases. Pituitary. 1:243–250. 1999. View Article : Google Scholar : PubMed/NCBI

13 

Andrioli M, Giraldi Pecori F, Losa M, Terreni M, Invitti C and Cavagnini F: Cushing's disease due to double pituitary ACTH-secreting adenomas: The first case report. Endocr J. 57:833–837. 2010. View Article : Google Scholar : PubMed/NCBI

14 

Kontogeorgos G, Scheithauer BW, Horvath E, Kovacs K, Lloyd RV, Smyth HS and Rologis D: Double adenomas of the pituitary: A clinicopathological study of 11 tumors. Neurosurgery. 31:840–849. 1992. View Article : Google Scholar : PubMed/NCBI

15 

Buurman H and Saeger W: Subclinical adenomas in postmortem pituitaries: Classification and correlations to clinical data. Eur J Endocrinol. 154:753–758. 2006. View Article : Google Scholar : PubMed/NCBI

16 

Kontogeorgos G, Kovacs K, Horvath E and Scheithauer BW: Multiple adenomas of the human pituitary. A retrospective autopsy study with clinical implications. J Neurosurg. 74:243–247. 1991. View Article : Google Scholar : PubMed/NCBI

17 

de Oliveira Andrade LJ, Santos França L, Santos França L and de Cordeiro Almeida MA: Double pituitary prolactinoma. J Clin Endocrinol Metab. 95:4848–4849. 2010. View Article : Google Scholar : PubMed/NCBI

18 

Oyama K, Yamada S, Hukuhara N, Hiramatsu R, Taguchi M, Yazawa M, Matsuda A, Ohmura E and Imai Y: FSH-producing macroadenoma associated in a patient with Cushing's disease. Neuro Endocrinol Lett. 27:733–736. 2006.PubMed/NCBI

19 

Shimizu C, Koike T and Sawamura Y: Double pituitary adenomas with distinct histological features and immunophenotypes. J Neurol Neurosurg Psychiatry. 75:1402004.PubMed/NCBI

20 

McKelvie PA and McNeill P: Double pituitary adenomas: A series of three patients. Pathology. 34:57–60. 2002. View Article : Google Scholar : PubMed/NCBI

21 

Tosaka M, Kohga H, Kobayashi S, Zama A, Tamura M, Murakami M and Sasaki T: Double pituitary adenomas detected on preoperative magnetic resonance images. Case illustration. J Neurosurg. 92:3612000. View Article : Google Scholar : PubMed/NCBI

22 

Cannavò S, Curtò L, Lania A, Saccomanno K, Salpietro FM and Trimarchi F: Unusual MRI finding of multiple adenomas in the pituitary gland: A case report and review of the literature. Magn Reson Imaging. 17:633–636. 1999.PubMed/NCBI

23 

Pantelia E, Kontogeorgos G, Piaditis G and Rologis D: Triple pituitary adenoma in Cushing's disease: Case report. Acta Neurochir (Wien). 140:190–193. 1998. View Article : Google Scholar : PubMed/NCBI

24 

Hashimoto N, Handa H, Yamagami T, Kojima M, Aoki M, Okamoto S, Kato Y and Imura H: Acromegaly with multiple secreting pituitary adenomas. Surg Neurol. 22:556–558. 1984. View Article : Google Scholar : PubMed/NCBI

25 

Woosley RE: Multiple secreting microadenomas as a possible cause of selective transsphenoidal adenomectomy failure. Case report. J Neurosurg. 58:267–269. 1983. View Article : Google Scholar : PubMed/NCBI

26 

Rotondo F, Khatun N, Scheithauer BW, Horvath E, Marotta TR, Cusimano M and Kovacs K: Unusual double pituitary adenoma: A case report. Pathol Int. 61:42–46. 2011. View Article : Google Scholar : PubMed/NCBI

27 

Mohammed S, Cusimano MD, Scheithauer BW, Rotondo F, Horvath E and Kovacs K: O-methylguanine-DNA methyltransferase immunoexpression in a double pituitary adenoma: Case report. Neurosurgery. 66:E421–E422. 2010. View Article : Google Scholar : PubMed/NCBI

28 

Coiré CI, Smyth HS, Rosso D, Horvath E and Kovacs K: A double pituitary adenoma presenting as a prolactin-secreting tumor with partial response to medical therapy. Case report. Endocr Pathol. 21:135–138. 2010. View Article : Google Scholar : PubMed/NCBI

29 

Meij BP, Lopes MB, Vance ML, Thorner MO and Laws ER Jr: Double pituitary lesions in three patients with Cushing's disease. Pituitary. 3:159–168. 2000. View Article : Google Scholar : PubMed/NCBI

30 

Tolis G, Bertrand G, Carpenter S and McKenzie JM: Acromegaly and galactorrhea-amenorrhea with two pituitary adenomas secreting growth hormone or prolactin. A case report. Ann Intern Med. 89:345–348. 1978. View Article : Google Scholar : PubMed/NCBI

31 

Laws ER: Multiple pituitary adenomas. Journal of neurosurgery. 93:2000.

32 

Yadav Y, Sachdev S, Parihar V, Namdev H and Bhatele P: Endoscopic endonasal trans-sphenoid surgery of pituitary adenoma. J Neurosci Rural Pract. 3:328–337. 2012. View Article : Google Scholar : PubMed/NCBI

33 

Liu JF, Ke CS, Chen X, Xu Y, Zhang HQ, Chen J, Gan C, Li CX and Lei T: Identification and management of intra-operative suspicious tissues in 20 transsphenoidal surgery cases. Sichuan Da Xue Xue Bao Yi Xue Ban. 44:441–443. 2013.(In Chinese). PubMed/NCBI

34 

Jiang X and Zhang X: The molecular pathogenesis of pituitary adenomas: An update. Endocrinol Metab (Seoul). 28:245–254. 2013. View Article : Google Scholar : PubMed/NCBI

35 

Melmed S: Pathogenesis of pituitary tumors. Nat Rev Endocrinol. 7:257–266. 2011. View Article : Google Scholar : PubMed/NCBI

36 

Curtò L and Trimarchi F: Comment on: Double, synchronous pituitary adenomas causing acromegaly and Cushing's disease. A case report and review of literature. Endocr Pathol 2013;24:92-99. Endocr Pathol. 25:439–440. 2014. View Article : Google Scholar : PubMed/NCBI

Related Articles

  • Abstract
  • View
  • Download
  • Twitter
Copy and paste a formatted citation
Spandidos Publications style
Pu J, Wang Z, Zhou H, Zhong A, Jin K, Ruan L and Yang G: Isolated double adrenocorticotropic hormone-secreting pituitary adenomas: A case report and review of the literature. Oncol Lett 12: 585-590, 2016.
APA
Pu, J., Wang, Z., Zhou, H., Zhong, A., Jin, K., Ruan, L., & Yang, G. (2016). Isolated double adrenocorticotropic hormone-secreting pituitary adenomas: A case report and review of the literature. Oncology Letters, 12, 585-590. https://doi.org/10.3892/ol.2016.4673
MLA
Pu, J., Wang, Z., Zhou, H., Zhong, A., Jin, K., Ruan, L., Yang, G."Isolated double adrenocorticotropic hormone-secreting pituitary adenomas: A case report and review of the literature". Oncology Letters 12.1 (2016): 585-590.
Chicago
Pu, J., Wang, Z., Zhou, H., Zhong, A., Jin, K., Ruan, L., Yang, G."Isolated double adrenocorticotropic hormone-secreting pituitary adenomas: A case report and review of the literature". Oncology Letters 12, no. 1 (2016): 585-590. https://doi.org/10.3892/ol.2016.4673
Copy and paste a formatted citation
x
Spandidos Publications style
Pu J, Wang Z, Zhou H, Zhong A, Jin K, Ruan L and Yang G: Isolated double adrenocorticotropic hormone-secreting pituitary adenomas: A case report and review of the literature. Oncol Lett 12: 585-590, 2016.
APA
Pu, J., Wang, Z., Zhou, H., Zhong, A., Jin, K., Ruan, L., & Yang, G. (2016). Isolated double adrenocorticotropic hormone-secreting pituitary adenomas: A case report and review of the literature. Oncology Letters, 12, 585-590. https://doi.org/10.3892/ol.2016.4673
MLA
Pu, J., Wang, Z., Zhou, H., Zhong, A., Jin, K., Ruan, L., Yang, G."Isolated double adrenocorticotropic hormone-secreting pituitary adenomas: A case report and review of the literature". Oncology Letters 12.1 (2016): 585-590.
Chicago
Pu, J., Wang, Z., Zhou, H., Zhong, A., Jin, K., Ruan, L., Yang, G."Isolated double adrenocorticotropic hormone-secreting pituitary adenomas: A case report and review of the literature". Oncology Letters 12, no. 1 (2016): 585-590. https://doi.org/10.3892/ol.2016.4673
Follow us
  • Twitter
  • LinkedIn
  • Facebook
About
  • Spandidos Publications
  • Careers
  • Cookie Policy
  • Privacy Policy
How can we help?
  • Help
  • Live Chat
  • Contact
  • Email to our Support Team