Spandidos Publications Logo
  • About
    • About Spandidos
    • Aims and Scopes
    • Abstracting and Indexing
    • Editorial Policies
    • Reprints and Permissions
    • Job Opportunities
    • Terms and Conditions
    • Contact
  • Journals
    • All Journals
    • Oncology Letters
      • Oncology Letters
      • Information for Authors
      • Editorial Policies
      • Editorial Board
      • Aims and Scope
      • Abstracting and Indexing
      • Bibliographic Information
      • Archive
    • International Journal of Oncology
      • International Journal of Oncology
      • Information for Authors
      • Editorial Policies
      • Editorial Board
      • Aims and Scope
      • Abstracting and Indexing
      • Bibliographic Information
      • Archive
    • Molecular and Clinical Oncology
      • Molecular and Clinical Oncology
      • Information for Authors
      • Editorial Policies
      • Editorial Board
      • Aims and Scope
      • Abstracting and Indexing
      • Bibliographic Information
      • Archive
    • Experimental and Therapeutic Medicine
      • Experimental and Therapeutic Medicine
      • Information for Authors
      • Editorial Policies
      • Editorial Board
      • Aims and Scope
      • Abstracting and Indexing
      • Bibliographic Information
      • Archive
    • International Journal of Molecular Medicine
      • International Journal of Molecular Medicine
      • Information for Authors
      • Editorial Policies
      • Editorial Board
      • Aims and Scope
      • Abstracting and Indexing
      • Bibliographic Information
      • Archive
    • Biomedical Reports
      • Biomedical Reports
      • Information for Authors
      • Editorial Policies
      • Editorial Board
      • Aims and Scope
      • Abstracting and Indexing
      • Bibliographic Information
      • Archive
    • Oncology Reports
      • Oncology Reports
      • Information for Authors
      • Editorial Policies
      • Editorial Board
      • Aims and Scope
      • Abstracting and Indexing
      • Bibliographic Information
      • Archive
    • Molecular Medicine Reports
      • Molecular Medicine Reports
      • Information for Authors
      • Editorial Policies
      • Editorial Board
      • Aims and Scope
      • Abstracting and Indexing
      • Bibliographic Information
      • Archive
    • World Academy of Sciences Journal
      • World Academy of Sciences Journal
      • Information for Authors
      • Editorial Policies
      • Editorial Board
      • Aims and Scope
      • Abstracting and Indexing
      • Bibliographic Information
      • Archive
    • International Journal of Functional Nutrition
      • International Journal of Functional Nutrition
      • Information for Authors
      • Editorial Policies
      • Editorial Board
      • Aims and Scope
      • Abstracting and Indexing
      • Bibliographic Information
      • Archive
    • International Journal of Epigenetics
      • International Journal of Epigenetics
      • Information for Authors
      • Editorial Policies
      • Editorial Board
      • Aims and Scope
      • Abstracting and Indexing
      • Bibliographic Information
      • Archive
    • Medicine International
      • Medicine International
      • Information for Authors
      • Editorial Policies
      • Editorial Board
      • Aims and Scope
      • Abstracting and Indexing
      • Bibliographic Information
      • Archive
  • Articles
  • Information
    • Information for Authors
    • Information for Reviewers
    • Information for Librarians
    • Information for Advertisers
    • Conferences
  • Language Editing
Spandidos Publications Logo
  • About
    • About Spandidos
    • Aims and Scopes
    • Abstracting and Indexing
    • Editorial Policies
    • Reprints and Permissions
    • Job Opportunities
    • Terms and Conditions
    • Contact
  • Journals
    • All Journals
    • Biomedical Reports
      • Information for Authors
      • Editorial Policies
      • Editorial Board
      • Aims and Scope
      • Abstracting and Indexing
      • Bibliographic Information
      • Archive
    • Experimental and Therapeutic Medicine
      • Information for Authors
      • Editorial Policies
      • Editorial Board
      • Aims and Scope
      • Abstracting and Indexing
      • Bibliographic Information
      • Archive
    • International Journal of Epigenetics
      • Information for Authors
      • Editorial Policies
      • Editorial Board
      • Aims and Scope
      • Abstracting and Indexing
      • Bibliographic Information
      • Archive
    • International Journal of Functional Nutrition
      • Information for Authors
      • Editorial Policies
      • Editorial Board
      • Aims and Scope
      • Abstracting and Indexing
      • Bibliographic Information
      • Archive
    • International Journal of Molecular Medicine
      • Information for Authors
      • Editorial Policies
      • Editorial Board
      • Aims and Scope
      • Abstracting and Indexing
      • Bibliographic Information
      • Archive
    • International Journal of Oncology
      • Information for Authors
      • Editorial Policies
      • Editorial Board
      • Aims and Scope
      • Abstracting and Indexing
      • Bibliographic Information
      • Archive
    • Medicine International
      • Information for Authors
      • Editorial Policies
      • Editorial Board
      • Aims and Scope
      • Abstracting and Indexing
      • Bibliographic Information
      • Archive
    • Molecular and Clinical Oncology
      • Information for Authors
      • Editorial Policies
      • Editorial Board
      • Aims and Scope
      • Abstracting and Indexing
      • Bibliographic Information
      • Archive
    • Molecular Medicine Reports
      • Information for Authors
      • Editorial Policies
      • Editorial Board
      • Aims and Scope
      • Abstracting and Indexing
      • Bibliographic Information
      • Archive
    • Oncology Letters
      • Information for Authors
      • Editorial Policies
      • Editorial Board
      • Aims and Scope
      • Abstracting and Indexing
      • Bibliographic Information
      • Archive
    • Oncology Reports
      • Information for Authors
      • Editorial Policies
      • Editorial Board
      • Aims and Scope
      • Abstracting and Indexing
      • Bibliographic Information
      • Archive
    • World Academy of Sciences Journal
      • Information for Authors
      • Editorial Policies
      • Editorial Board
      • Aims and Scope
      • Abstracting and Indexing
      • Bibliographic Information
      • Archive
  • Articles
  • Information
    • For Authors
    • For Reviewers
    • For Librarians
    • For Advertisers
    • Conferences
  • Language Editing
Login Register Submit
  • This site uses cookies
  • You can change your cookie settings at any time by following the instructions in our Cookie Policy. To find out more, you may read our Privacy Policy.

    I agree
Search articles by DOI, keyword, author or affiliation
Search
Advanced Search
presentation
Oncology Letters
Join Editorial Board Propose a Special Issue
Print ISSN: 1792-1074 Online ISSN: 1792-1082
Journal Cover
August-2016 Volume 12 Issue 2

Full Size Image

Sign up for eToc alerts
Recommend to Library

Journals

International Journal of Molecular Medicine

International Journal of Molecular Medicine

International Journal of Molecular Medicine is an international journal devoted to molecular mechanisms of human disease.

International Journal of Oncology

International Journal of Oncology

International Journal of Oncology is an international journal devoted to oncology research and cancer treatment.

Molecular Medicine Reports

Molecular Medicine Reports

Covers molecular medicine topics such as pharmacology, pathology, genetics, neuroscience, infectious diseases, molecular cardiology, and molecular surgery.

Oncology Reports

Oncology Reports

Oncology Reports is an international journal devoted to fundamental and applied research in Oncology.

Experimental and Therapeutic Medicine

Experimental and Therapeutic Medicine

Experimental and Therapeutic Medicine is an international journal devoted to laboratory and clinical medicine.

Oncology Letters

Oncology Letters

Oncology Letters is an international journal devoted to Experimental and Clinical Oncology.

Biomedical Reports

Biomedical Reports

Explores a wide range of biological and medical fields, including pharmacology, genetics, microbiology, neuroscience, and molecular cardiology.

Molecular and Clinical Oncology

Molecular and Clinical Oncology

International journal addressing all aspects of oncology research, from tumorigenesis and oncogenes to chemotherapy and metastasis.

World Academy of Sciences Journal

World Academy of Sciences Journal

Multidisciplinary open-access journal spanning biochemistry, genetics, neuroscience, environmental health, and synthetic biology.

International Journal of Functional Nutrition

International Journal of Functional Nutrition

Open-access journal combining biochemistry, pharmacology, immunology, and genetics to advance health through functional nutrition.

International Journal of Epigenetics

International Journal of Epigenetics

Publishes open-access research on using epigenetics to advance understanding and treatment of human disease.

Medicine International

Medicine International

An International Open Access Journal Devoted to General Medicine.

Journal Cover
August-2016 Volume 12 Issue 2

Full Size Image

Sign up for eToc alerts
Recommend to Library

  • Article
  • Citations
    • Cite This Article
    • Download Citation
    • Create Citation Alert
    • Remove Citation Alert
    • Cited By
  • Similar Articles
    • Related Articles (in Spandidos Publications)
    • Similar Articles (Google Scholar)
    • Similar Articles (PubMed)
  • Download PDF
  • Download XML
  • View XML
Case Report

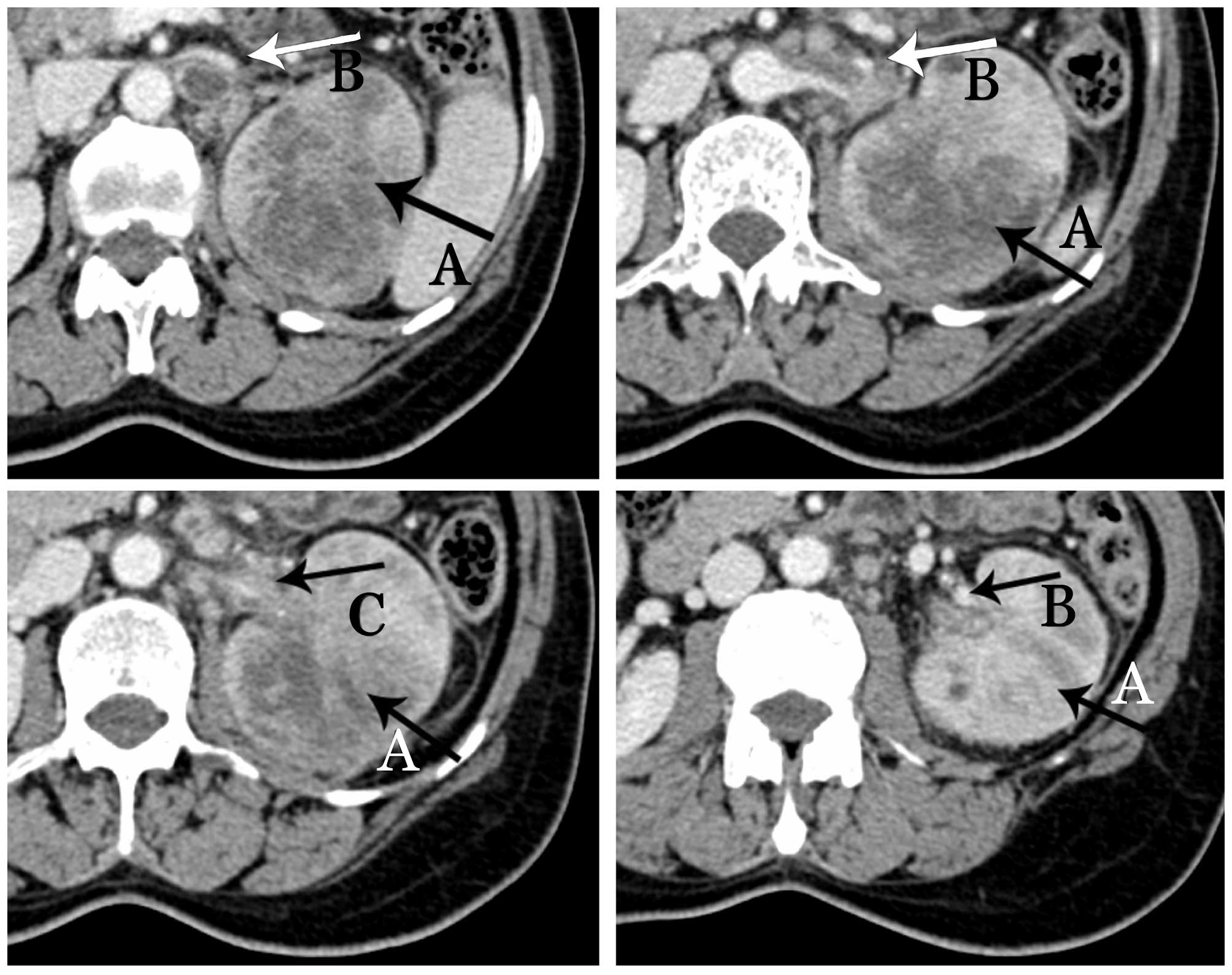
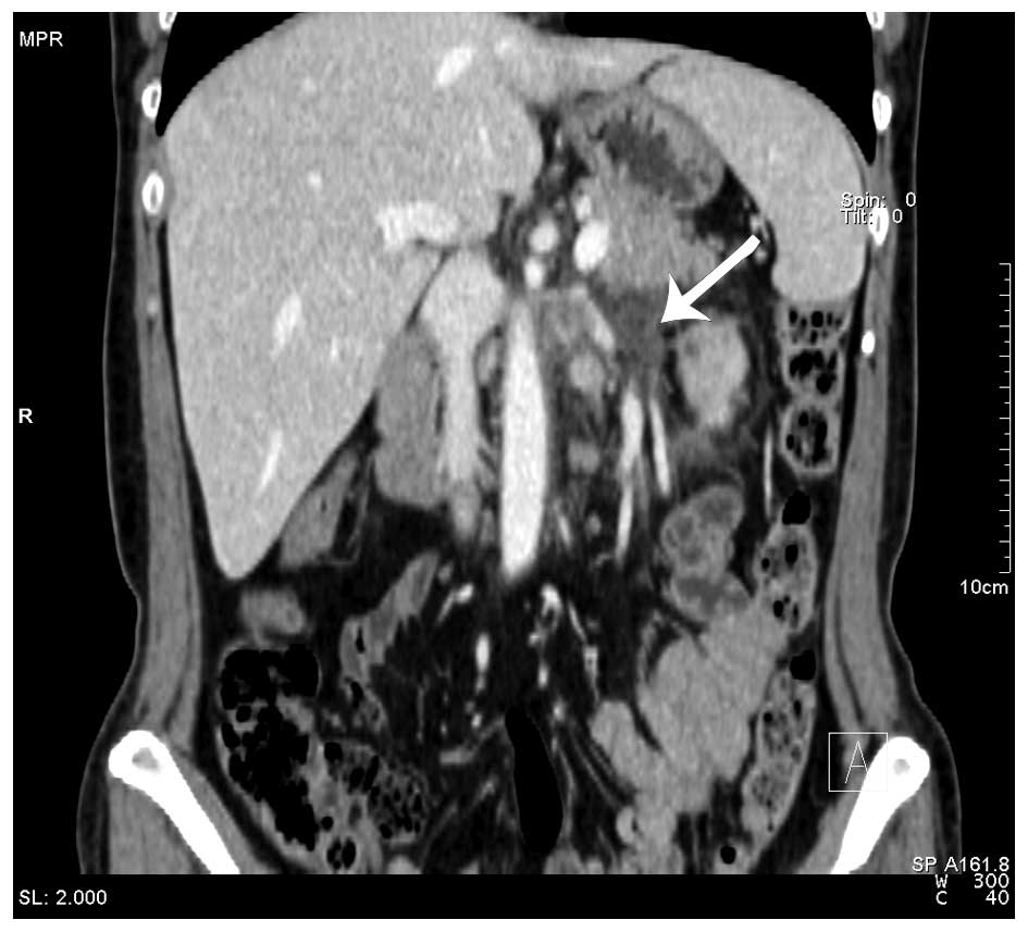
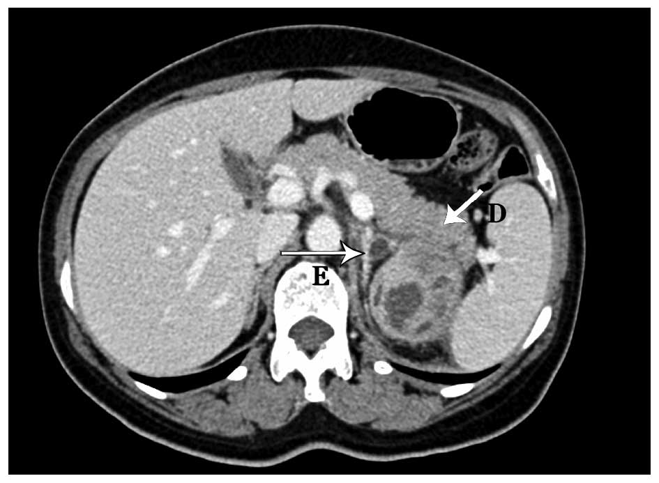
Massive renal urothelial carcinoma with renal vein tumor thrombus, pancreatic infiltration and adrenal metastasis: A case report

  • Authors:
    • Tao Li
    • Liang Gao
    • Weilu Wu
    • Peng Chen
    • Siyuan Bu
    • Qiang Wei
    • Lu Yang
  • View Affiliations / Copyright

    Affiliations: Department of Urology, West China Hospital, Sichuan University, Chengdu, Sichuan 610041, P.R. China, Department of Pathology, West China Hospital, Sichuan University, Chengdu, Sichuan 610041, P.R. China
  • Pages: 1129-1131
    |
    Published online on: June 15, 2016
       https://doi.org/10.3892/ol.2016.4724
  • Expand metrics +
Metrics: Total Views: 0 (Spandidos Publications: | PMC Statistics: )
Metrics: Total PDF Downloads: 0 (Spandidos Publications: | PMC Statistics: )
Cited By (CrossRef): 0 citations Loading Articles...

This article is mentioned in:



Abstract

A 49-year-old female patient presented with a massive left renal tumor, recurrent left flank pain and gross hematuria. The tumor was accompanied by a renal vein tumor thrombus, pancreatic infiltration and a solitary adrenal metastasis. Radical nephrectomy, distal pancreatectomy, ipsilateral adrenalectomy and splenectomy were performed. Histopathological examination suggested high‑grade urothelial carcinoma (UC); however, tumor recurrence and multiple metastases were detected only 3 months after the surgery, and the patient succumbed during follow‑up 1 month later. To the best of our knowledge, this is the first case of renal UC of such advanced stage with renal vein tumor thrombus, pancreatic infiltration and a solitary adrenal metastasis.
View Figures

Figure 1

Figure 2

Figure 3

View References

1 

Tseng YS, Chen KH, Chiu B, Chen Y and Chung SD: Renal urothelial carcinoma with extended venous thrombus. South Med J. 103:813–814. 2010. View Article : Google Scholar : PubMed/NCBI

2 

Miyazato M, Yonou H, Sugaya K, Koyama Y, Hatano T and Ogawa Y: Transitional cell carcinoma of the renal pelvis forming tumor thrombus in the vena cava. Int J Urol. 8:575–577. 2001. View Article : Google Scholar : PubMed/NCBI

3 

Nikfarjam M, Gusani NJ, Kimchi ET, Mahraj RP and Staveley-O'Carroll KF: Combined right nephrectomy and pancreaticoduodenectomy. Indications and outcomes. JOP. 9:449–455. 2008.PubMed/NCBI

4 

Washino S, Hirai M, Matsuzaki A and Kobayashi Y: Long-term survival after adrenalectomy for asynchronous metastasis of bladder cancer to the bilateral adrenal glands. Case Rep Urol. 2012:4252302012.PubMed/NCBI

5 

Ljungberg B, Stenling R, Osterdahl B, Farrelly E, Aberg T and Roos G: Vein invasion in renal cell carcinoma: Impact on metastatic behavior and survival. J Urol. 154:1681–1684. 1995. View Article : Google Scholar : PubMed/NCBI

6 

Rouprêt M, Babjuk M, Compérat E, Zigeuner R, Sylvester R, Burger M, Cowan N, Böhle A, Van Rhijn BW, Kaasinen E, et al: European guidelines on upper tract urothelial carcinomas: 2013 update. Eur Urol. 63:1059–1071. 2013. View Article : Google Scholar : PubMed/NCBI

7 

Siefker-Radtke AO, Walsh GL, Pisters LL, Shen Y, Swanson DA, Logothetis CJ and Millikan RE: Is There a role for surgery in the management of metastatic urothelial cancer? The M. D. Anderson Experience. J Urol. 171:145–148. 2004. View Article : Google Scholar : PubMed/NCBI

8 

Lehmann J, Suttmann H, Albers P, Volkmer B, Gschwend JE, Fechner G, Spahn M, Heidenreich A, Odenthal A, Seif C, et al: Surgery for metastatic urothelial carcinoma with curative intent: The German experience (AUO AB 30/05). Eur Urol. 55:1293–1299. 2009. View Article : Google Scholar : PubMed/NCBI

9 

Machado NO and Chopra P: Pancreatic metastasis from renal carcinoma managed by Whipple resection. A case report and literature review of metastatic pattern, surgical management and outcome. JOP. 10:413–418. 2009.PubMed/NCBI

10 

Reddy S and Wolfgang CL: The role of surgery in the management of isolated metastases to the pancreas. Lancet Oncol. 10:287–293. 2009. View Article : Google Scholar : PubMed/NCBI

Related Articles

  • Abstract
  • View
  • Download
  • Twitter
Copy and paste a formatted citation
Spandidos Publications style
Li T, Gao L, Wu W, Chen P, Bu S, Wei Q and Yang L: Massive renal urothelial carcinoma with renal vein tumor thrombus, pancreatic infiltration and adrenal metastasis: A case report. Oncol Lett 12: 1129-1131, 2016.
APA
Li, T., Gao, L., Wu, W., Chen, P., Bu, S., Wei, Q., & Yang, L. (2016). Massive renal urothelial carcinoma with renal vein tumor thrombus, pancreatic infiltration and adrenal metastasis: A case report. Oncology Letters, 12, 1129-1131. https://doi.org/10.3892/ol.2016.4724
MLA
Li, T., Gao, L., Wu, W., Chen, P., Bu, S., Wei, Q., Yang, L."Massive renal urothelial carcinoma with renal vein tumor thrombus, pancreatic infiltration and adrenal metastasis: A case report". Oncology Letters 12.2 (2016): 1129-1131.
Chicago
Li, T., Gao, L., Wu, W., Chen, P., Bu, S., Wei, Q., Yang, L."Massive renal urothelial carcinoma with renal vein tumor thrombus, pancreatic infiltration and adrenal metastasis: A case report". Oncology Letters 12, no. 2 (2016): 1129-1131. https://doi.org/10.3892/ol.2016.4724
Copy and paste a formatted citation
x
Spandidos Publications style
Li T, Gao L, Wu W, Chen P, Bu S, Wei Q and Yang L: Massive renal urothelial carcinoma with renal vein tumor thrombus, pancreatic infiltration and adrenal metastasis: A case report. Oncol Lett 12: 1129-1131, 2016.
APA
Li, T., Gao, L., Wu, W., Chen, P., Bu, S., Wei, Q., & Yang, L. (2016). Massive renal urothelial carcinoma with renal vein tumor thrombus, pancreatic infiltration and adrenal metastasis: A case report. Oncology Letters, 12, 1129-1131. https://doi.org/10.3892/ol.2016.4724
MLA
Li, T., Gao, L., Wu, W., Chen, P., Bu, S., Wei, Q., Yang, L."Massive renal urothelial carcinoma with renal vein tumor thrombus, pancreatic infiltration and adrenal metastasis: A case report". Oncology Letters 12.2 (2016): 1129-1131.
Chicago
Li, T., Gao, L., Wu, W., Chen, P., Bu, S., Wei, Q., Yang, L."Massive renal urothelial carcinoma with renal vein tumor thrombus, pancreatic infiltration and adrenal metastasis: A case report". Oncology Letters 12, no. 2 (2016): 1129-1131. https://doi.org/10.3892/ol.2016.4724
Follow us
  • Twitter
  • LinkedIn
  • Facebook
About
  • Spandidos Publications
  • Careers
  • Cookie Policy
  • Privacy Policy
How can we help?
  • Help
  • Live Chat
  • Contact
  • Email to our Support Team