Spandidos Publications Logo
  • About
    • About Spandidos
    • Aims and Scopes
    • Abstracting and Indexing
    • Editorial Policies
    • Reprints and Permissions
    • Job Opportunities
    • Terms and Conditions
    • Contact
  • Journals
    • All Journals
    • Oncology Letters
      • Oncology Letters
      • Information for Authors
      • Editorial Policies
      • Editorial Board
      • Aims and Scope
      • Abstracting and Indexing
      • Bibliographic Information
      • Archive
    • International Journal of Oncology
      • International Journal of Oncology
      • Information for Authors
      • Editorial Policies
      • Editorial Board
      • Aims and Scope
      • Abstracting and Indexing
      • Bibliographic Information
      • Archive
    • Molecular and Clinical Oncology
      • Molecular and Clinical Oncology
      • Information for Authors
      • Editorial Policies
      • Editorial Board
      • Aims and Scope
      • Abstracting and Indexing
      • Bibliographic Information
      • Archive
    • Experimental and Therapeutic Medicine
      • Experimental and Therapeutic Medicine
      • Information for Authors
      • Editorial Policies
      • Editorial Board
      • Aims and Scope
      • Abstracting and Indexing
      • Bibliographic Information
      • Archive
    • International Journal of Molecular Medicine
      • International Journal of Molecular Medicine
      • Information for Authors
      • Editorial Policies
      • Editorial Board
      • Aims and Scope
      • Abstracting and Indexing
      • Bibliographic Information
      • Archive
    • Biomedical Reports
      • Biomedical Reports
      • Information for Authors
      • Editorial Policies
      • Editorial Board
      • Aims and Scope
      • Abstracting and Indexing
      • Bibliographic Information
      • Archive
    • Oncology Reports
      • Oncology Reports
      • Information for Authors
      • Editorial Policies
      • Editorial Board
      • Aims and Scope
      • Abstracting and Indexing
      • Bibliographic Information
      • Archive
    • Molecular Medicine Reports
      • Molecular Medicine Reports
      • Information for Authors
      • Editorial Policies
      • Editorial Board
      • Aims and Scope
      • Abstracting and Indexing
      • Bibliographic Information
      • Archive
    • World Academy of Sciences Journal
      • World Academy of Sciences Journal
      • Information for Authors
      • Editorial Policies
      • Editorial Board
      • Aims and Scope
      • Abstracting and Indexing
      • Bibliographic Information
      • Archive
    • International Journal of Functional Nutrition
      • International Journal of Functional Nutrition
      • Information for Authors
      • Editorial Policies
      • Editorial Board
      • Aims and Scope
      • Abstracting and Indexing
      • Bibliographic Information
      • Archive
    • International Journal of Epigenetics
      • International Journal of Epigenetics
      • Information for Authors
      • Editorial Policies
      • Editorial Board
      • Aims and Scope
      • Abstracting and Indexing
      • Bibliographic Information
      • Archive
    • Medicine International
      • Medicine International
      • Information for Authors
      • Editorial Policies
      • Editorial Board
      • Aims and Scope
      • Abstracting and Indexing
      • Bibliographic Information
      • Archive
  • Articles
  • Information
    • Information for Authors
    • Information for Reviewers
    • Information for Librarians
    • Information for Advertisers
    • Conferences
  • Language Editing
Spandidos Publications Logo
  • About
    • About Spandidos
    • Aims and Scopes
    • Abstracting and Indexing
    • Editorial Policies
    • Reprints and Permissions
    • Job Opportunities
    • Terms and Conditions
    • Contact
  • Journals
    • All Journals
    • Biomedical Reports
      • Information for Authors
      • Editorial Policies
      • Editorial Board
      • Aims and Scope
      • Abstracting and Indexing
      • Bibliographic Information
      • Archive
    • Experimental and Therapeutic Medicine
      • Information for Authors
      • Editorial Policies
      • Editorial Board
      • Aims and Scope
      • Abstracting and Indexing
      • Bibliographic Information
      • Archive
    • International Journal of Epigenetics
      • Information for Authors
      • Editorial Policies
      • Editorial Board
      • Aims and Scope
      • Abstracting and Indexing
      • Bibliographic Information
      • Archive
    • International Journal of Functional Nutrition
      • Information for Authors
      • Editorial Policies
      • Editorial Board
      • Aims and Scope
      • Abstracting and Indexing
      • Bibliographic Information
      • Archive
    • International Journal of Molecular Medicine
      • Information for Authors
      • Editorial Policies
      • Editorial Board
      • Aims and Scope
      • Abstracting and Indexing
      • Bibliographic Information
      • Archive
    • International Journal of Oncology
      • Information for Authors
      • Editorial Policies
      • Editorial Board
      • Aims and Scope
      • Abstracting and Indexing
      • Bibliographic Information
      • Archive
    • Medicine International
      • Information for Authors
      • Editorial Policies
      • Editorial Board
      • Aims and Scope
      • Abstracting and Indexing
      • Bibliographic Information
      • Archive
    • Molecular and Clinical Oncology
      • Information for Authors
      • Editorial Policies
      • Editorial Board
      • Aims and Scope
      • Abstracting and Indexing
      • Bibliographic Information
      • Archive
    • Molecular Medicine Reports
      • Information for Authors
      • Editorial Policies
      • Editorial Board
      • Aims and Scope
      • Abstracting and Indexing
      • Bibliographic Information
      • Archive
    • Oncology Letters
      • Information for Authors
      • Editorial Policies
      • Editorial Board
      • Aims and Scope
      • Abstracting and Indexing
      • Bibliographic Information
      • Archive
    • Oncology Reports
      • Information for Authors
      • Editorial Policies
      • Editorial Board
      • Aims and Scope
      • Abstracting and Indexing
      • Bibliographic Information
      • Archive
    • World Academy of Sciences Journal
      • Information for Authors
      • Editorial Policies
      • Editorial Board
      • Aims and Scope
      • Abstracting and Indexing
      • Bibliographic Information
      • Archive
  • Articles
  • Information
    • For Authors
    • For Reviewers
    • For Librarians
    • For Advertisers
    • Conferences
  • Language Editing
Login Register Submit
  • This site uses cookies
  • You can change your cookie settings at any time by following the instructions in our Cookie Policy. To find out more, you may read our Privacy Policy.

    I agree
Search articles by DOI, keyword, author or affiliation
Search
Advanced Search
presentation
Oncology Letters
Join Editorial Board Propose a Special Issue
Print ISSN: 1792-1074 Online ISSN: 1792-1082
Journal Cover
August-2016 Volume 12 Issue 2

Full Size Image

Sign up for eToc alerts
Recommend to Library

Journals

International Journal of Molecular Medicine

International Journal of Molecular Medicine

International Journal of Molecular Medicine is an international journal devoted to molecular mechanisms of human disease.

International Journal of Oncology

International Journal of Oncology

International Journal of Oncology is an international journal devoted to oncology research and cancer treatment.

Molecular Medicine Reports

Molecular Medicine Reports

Covers molecular medicine topics such as pharmacology, pathology, genetics, neuroscience, infectious diseases, molecular cardiology, and molecular surgery.

Oncology Reports

Oncology Reports

Oncology Reports is an international journal devoted to fundamental and applied research in Oncology.

Experimental and Therapeutic Medicine

Experimental and Therapeutic Medicine

Experimental and Therapeutic Medicine is an international journal devoted to laboratory and clinical medicine.

Oncology Letters

Oncology Letters

Oncology Letters is an international journal devoted to Experimental and Clinical Oncology.

Biomedical Reports

Biomedical Reports

Explores a wide range of biological and medical fields, including pharmacology, genetics, microbiology, neuroscience, and molecular cardiology.

Molecular and Clinical Oncology

Molecular and Clinical Oncology

International journal addressing all aspects of oncology research, from tumorigenesis and oncogenes to chemotherapy and metastasis.

World Academy of Sciences Journal

World Academy of Sciences Journal

Multidisciplinary open-access journal spanning biochemistry, genetics, neuroscience, environmental health, and synthetic biology.

International Journal of Functional Nutrition

International Journal of Functional Nutrition

Open-access journal combining biochemistry, pharmacology, immunology, and genetics to advance health through functional nutrition.

International Journal of Epigenetics

International Journal of Epigenetics

Publishes open-access research on using epigenetics to advance understanding and treatment of human disease.

Medicine International

Medicine International

An International Open Access Journal Devoted to General Medicine.

Journal Cover
August-2016 Volume 12 Issue 2

Full Size Image

Sign up for eToc alerts
Recommend to Library

  • Article
  • Citations
    • Cite This Article
    • Download Citation
    • Create Citation Alert
    • Remove Citation Alert
    • Cited By
  • Similar Articles
    • Related Articles (in Spandidos Publications)
    • Similar Articles (Google Scholar)
    • Similar Articles (PubMed)
  • Download PDF
  • Download XML
  • View XML
Case Report

Laparoscopic subtotal colectomy for synchronous triple colorectal cancer: A case report

  • Authors:
    • Xuetong Jiang
    • Chuanqi Xu
    • Dong Tang
    • Daorong Wang
  • View Affiliations / Copyright

    Affiliations: Department of Gastrointestinal Surgery, Clinical Medical College of Yangzhou University, Subei People's Hospital of Jiangsu, Yangzhou, Jiangsu 225001, P.R. China
  • Pages: 1525-1528
    |
    Published online on: June 29, 2016
       https://doi.org/10.3892/ol.2016.4803
  • Expand metrics +
Metrics: Total Views: 0 (Spandidos Publications: | PMC Statistics: )
Metrics: Total PDF Downloads: 0 (Spandidos Publications: | PMC Statistics: )
Cited By (CrossRef): 0 citations Loading Articles...

This article is mentioned in:



Abstract

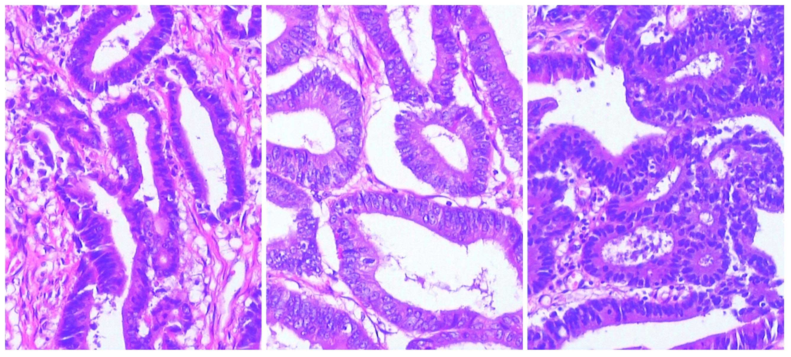
Synchronous colorectal cancers refer to the simultaneous occurrence of multiple colorectal tumors in a single patient, excluding any metastases from other organs. At present, radical surgery is considered the standard curative treatment; however, individualized surgical strategies depend on tumor location, the depth of invasion and the general health of the patient. In the present study, the case of a 52‑year‑old man who presented with a 2‑month history of abdominal pain that was accompanied by intermittent hematochezia and weight loss is reported. The patient had no family history of cancer. Computed tomography (CT) of the abdomen revealed intestinal wall thickness in the transverse colon and volvulus in the hepatic flexure of colon. Colonoscopy identified 3 tumors: The first tumor was located in the descending colon with lumen stenosis ~60 cm from the anal verge, the second tumor was located in the hepatic flexure of the colon, and the third tumor was located in the sigmoid colon, 23 cm from the anal verge. Subsequently, laparoscopic subtotal colectomy was performed and all three tumors were removed, and the diagnosis was confirmed by histopathological examination. The patient did not undergo chemotherapy following surgery, due to personal reasons. Subsequent to 19 months of follow‑up examinations using CT and colonoscopy every 6 months, the patient exhibited no signs of recurrence. Thus, laparoscopic subtotal colectomy represents an effective surgical approach for the treatment of synchronous colorectal cancer following imaging and endoscopic diagnosis.
View Figures

Figure 1

Figure 2

Figure 3

Figure 4

View References

1 

Fukatsu H, Kato J, Nasu JI, Kawamoto H, Okada H, Yamamoto H, Sakaguchi K and Shiratori Y: Clinical characteristics of synchronous colorectal cancer are different according to tumour location. Dig Liver Dis. 39:40–46. 2007. View Article : Google Scholar : PubMed/NCBI

2 

Yeh CC, Hsi SC, Chuu CP and Kao YH: Synchronous triple carcinoma of the colon and rectum. World J Surg Oncol. 11:662013. View Article : Google Scholar : PubMed/NCBI

3 

Yang J, Peng JY and Chen W: Synchronous colorectal cancers: A review of clinical features, diagnosis, treatment, and prognosis. Dig Surg. 28:379–385. 2011. View Article : Google Scholar : PubMed/NCBI

4 

Chen HS and Sheen-Chen SM: Synchronous and “early” metachronous colorectal adenocarcinoma: Analysis of prognosis and current trends. Dis Colon Rectum. 43:1093–1099. 2000. View Article : Google Scholar : PubMed/NCBI

5 

Passman MA, Pommier RF and Vetto JT: Synchronous colon primaries have the same prognosis as solitary colon cancers. Dis Colon Rectum. 39:329–334. 1996. View Article : Google Scholar : PubMed/NCBI

6 

Hirano Y, Hattori M, Sato Y, Maeda K, Douden K and Hashizume Y: Concurrent single-incision laparoscopic right hemicolectomy and sigmoidectomy for synchronous carcinoma: Report of a case. Indian J Surg. 75:293–295. 2013. View Article : Google Scholar : PubMed/NCBI

7 

Bardakcioglu O and Ahmed S: Single incision laparoscopic total abdominal colectomy with ileorectal anastomosis for synchronous colon cancer. Tech Coloproctol. 14:257–261. 2010. View Article : Google Scholar : PubMed/NCBI

8 

Latournerie M, Jooste V, Cottet V, Lepage C, Faivre J and Bouvier AM: Epidemiology and prognosis of synchronous colorectal cancers. Br J Surg. 95:1528–1533. 2008. View Article : Google Scholar : PubMed/NCBI

9 

Nikoloudis N, Saliangas K, Economou A, Andreadis E, Siminou S, Manna I, Georgakis K and Chrissidis T: Synchronous colorectal cancer. Tech Coloproctol 8 Suppl. 1:s177–179. 2004. View Article : Google Scholar

10 

Cunliffe WJ, Hasleton PS, Tweedle DE and Schofield PF: Incidence of synchronous and metachronous colorectal carcinoma. Br J Surg. 71:941–943. 1984. View Article : Google Scholar : PubMed/NCBI

11 

Mulder SA, Kranse R, Damhuis RA, de Wilt JH, Ouwendijk RJ, Kuipers EJ and van Leerdam ME: Prevalence and prognosis of synchronous colorectal cancer: A Dutch population-based study. Cancer Epidemiol. 35:442–447. 2011. View Article : Google Scholar : PubMed/NCBI

12 

Welch JP: Multiple colorectal tumors. An appraisal of natural history and therapeutic options. Am J Surg. 142:274–280. 1981. View Article : Google Scholar : PubMed/NCBI

13 

Derwinger K and Gustavsson B: A study of aspects on gender and prognosis in synchronous colorectal cancer. Clin Med Insights Oncol. 5:259–264. 2011. View Article : Google Scholar : PubMed/NCBI

14 

Hancock RJ: Synchronous carcinoma of the colon and rectum. Am Surg. 41:560–563. 1975.PubMed/NCBI

15 

Kim MS and Park YJ: Detection and treatment of synchronous lesions in colorectal cancer: The clinical implication of perioperative colonoscopy. World J Gastroenterol. 13:4108–4111. 2007. View Article : Google Scholar : PubMed/NCBI

16 

McArthur DR, Mehrzad H, Patel R, Dadds J, Pallan A, Karandikar SS and Roy-Choudhury S: CT colonography for synchronous colorectal lesions in patients with colorectal cancer: Initial experience. Eur Radiol. 20:621–629. 2010. View Article : Google Scholar : PubMed/NCBI

17 

Pang EJ, Liu WJ, Peng JY, Chen NW and Deng JH: Prediction of synchronous colorectal cancers by computed tomography in subjects receiving an incomplete colonoscopy: A single-center study. World J Gastroenterol. 21:1857–1864. 2015. View Article : Google Scholar : PubMed/NCBI

18 

Achiam MP, Holst Andersen LP, Klein M, Chabanova E, Thomsen HS and Rosenberg J: Preoperative evaluation of synchronous colorectal cancer using MR colonography. Acad Radiol. 16:790–797. 2009. View Article : Google Scholar : PubMed/NCBI

19 

Kinner S, Antoch G, Bockisch A and Veit-Haibach P: Whole-body PET/CT-colonography: A possible new concept for colorectal cancer staging. Abdom Imaging. 32:606–612. 2007. View Article : Google Scholar : PubMed/NCBI

20 

Wang HZ, Huang XF, Wang Y, Ji JF and Gu J: Clinical features, diagnosis, treatment and prognosis of multiple primary colorectal carcinoma. World J Gastroenterol. 10:2136–2139. 2004. View Article : Google Scholar : PubMed/NCBI

21 

Slater G, Aufses AH Jr and Szporn A: Synchronous carcinoma of the colon and rectum. Surg Gynecol Obstet. 171:283–287. 1990.PubMed/NCBI

22 

Easson AM, Cotterchio M, Crosby JA, Sutherland H, Dale D, Aronson M, Holowaty E and Gallinger S: A population-based study of the extent of surgical resection of potentially curable colon cancer. Ann Surg Oncol. 9:380–387. 2002. View Article : Google Scholar : PubMed/NCBI

23 

Enker WE and Dragacevic S: Multiple carcinomas of the large bowel: A natural experiment in etiology and pathogenesis. Ann Surg. 187:8–11. 1978. View Article : Google Scholar : PubMed/NCBI

24 

Adloff M, Arnaud JP, Bergamaschi R and Schloegel M: Synchronous carcinoma of the colon and rectum: Prognostic and therapeutic implications. Am J Surg. 157:299–302. 1989. View Article : Google Scholar : PubMed/NCBI

25 

Kaibara N, Kimura O, Nishidoi H, Miyano Y and Koga S: Intraoperative colonoscopy for the diagnosis of multiple cancers of the large intestine. Jpn J Surg. 12:117–121. 1982. View Article : Google Scholar : PubMed/NCBI

26 

Torralba JA, Robles R, Parrilla P, Lujan JA, Liron R, Piñero A and Fernandez JA: Subtotal colectomy vs. intraoperative colonic irrigation in the management of obstructed left colon carcinoma. Dis Colon Rectum. 41:18–22. 1998. View Article : Google Scholar : PubMed/NCBI

27 

Holubar SD, Wolff BG, Poola VP and Soop M: Multiple synchronous colonic anastomoses: Are they safe? Colorectal Dis. 12:135–140. 2010. View Article : Google Scholar : PubMed/NCBI

Related Articles

  • Abstract
  • View
  • Download
  • Twitter
Copy and paste a formatted citation
Spandidos Publications style
Jiang X, Xu C, Tang D and Wang D: Laparoscopic subtotal colectomy for synchronous triple colorectal cancer: A case report. Oncol Lett 12: 1525-1528, 2016.
APA
Jiang, X., Xu, C., Tang, D., & Wang, D. (2016). Laparoscopic subtotal colectomy for synchronous triple colorectal cancer: A case report. Oncology Letters, 12, 1525-1528. https://doi.org/10.3892/ol.2016.4803
MLA
Jiang, X., Xu, C., Tang, D., Wang, D."Laparoscopic subtotal colectomy for synchronous triple colorectal cancer: A case report". Oncology Letters 12.2 (2016): 1525-1528.
Chicago
Jiang, X., Xu, C., Tang, D., Wang, D."Laparoscopic subtotal colectomy for synchronous triple colorectal cancer: A case report". Oncology Letters 12, no. 2 (2016): 1525-1528. https://doi.org/10.3892/ol.2016.4803
Copy and paste a formatted citation
x
Spandidos Publications style
Jiang X, Xu C, Tang D and Wang D: Laparoscopic subtotal colectomy for synchronous triple colorectal cancer: A case report. Oncol Lett 12: 1525-1528, 2016.
APA
Jiang, X., Xu, C., Tang, D., & Wang, D. (2016). Laparoscopic subtotal colectomy for synchronous triple colorectal cancer: A case report. Oncology Letters, 12, 1525-1528. https://doi.org/10.3892/ol.2016.4803
MLA
Jiang, X., Xu, C., Tang, D., Wang, D."Laparoscopic subtotal colectomy for synchronous triple colorectal cancer: A case report". Oncology Letters 12.2 (2016): 1525-1528.
Chicago
Jiang, X., Xu, C., Tang, D., Wang, D."Laparoscopic subtotal colectomy for synchronous triple colorectal cancer: A case report". Oncology Letters 12, no. 2 (2016): 1525-1528. https://doi.org/10.3892/ol.2016.4803
Follow us
  • Twitter
  • LinkedIn
  • Facebook
About
  • Spandidos Publications
  • Careers
  • Cookie Policy
  • Privacy Policy
How can we help?
  • Help
  • Live Chat
  • Contact
  • Email to our Support Team