Spandidos Publications Logo
  • About
    • About Spandidos
    • Aims and Scopes
    • Abstracting and Indexing
    • Editorial Policies
    • Reprints and Permissions
    • Job Opportunities
    • Terms and Conditions
    • Contact
  • Journals
    • All Journals
    • Oncology Letters
      • Oncology Letters
      • Information for Authors
      • Editorial Policies
      • Editorial Board
      • Aims and Scope
      • Abstracting and Indexing
      • Bibliographic Information
      • Archive
    • International Journal of Oncology
      • International Journal of Oncology
      • Information for Authors
      • Editorial Policies
      • Editorial Board
      • Aims and Scope
      • Abstracting and Indexing
      • Bibliographic Information
      • Archive
    • Molecular and Clinical Oncology
      • Molecular and Clinical Oncology
      • Information for Authors
      • Editorial Policies
      • Editorial Board
      • Aims and Scope
      • Abstracting and Indexing
      • Bibliographic Information
      • Archive
    • Experimental and Therapeutic Medicine
      • Experimental and Therapeutic Medicine
      • Information for Authors
      • Editorial Policies
      • Editorial Board
      • Aims and Scope
      • Abstracting and Indexing
      • Bibliographic Information
      • Archive
    • International Journal of Molecular Medicine
      • International Journal of Molecular Medicine
      • Information for Authors
      • Editorial Policies
      • Editorial Board
      • Aims and Scope
      • Abstracting and Indexing
      • Bibliographic Information
      • Archive
    • Biomedical Reports
      • Biomedical Reports
      • Information for Authors
      • Editorial Policies
      • Editorial Board
      • Aims and Scope
      • Abstracting and Indexing
      • Bibliographic Information
      • Archive
    • Oncology Reports
      • Oncology Reports
      • Information for Authors
      • Editorial Policies
      • Editorial Board
      • Aims and Scope
      • Abstracting and Indexing
      • Bibliographic Information
      • Archive
    • Molecular Medicine Reports
      • Molecular Medicine Reports
      • Information for Authors
      • Editorial Policies
      • Editorial Board
      • Aims and Scope
      • Abstracting and Indexing
      • Bibliographic Information
      • Archive
    • World Academy of Sciences Journal
      • World Academy of Sciences Journal
      • Information for Authors
      • Editorial Policies
      • Editorial Board
      • Aims and Scope
      • Abstracting and Indexing
      • Bibliographic Information
      • Archive
    • International Journal of Functional Nutrition
      • International Journal of Functional Nutrition
      • Information for Authors
      • Editorial Policies
      • Editorial Board
      • Aims and Scope
      • Abstracting and Indexing
      • Bibliographic Information
      • Archive
    • International Journal of Epigenetics
      • International Journal of Epigenetics
      • Information for Authors
      • Editorial Policies
      • Editorial Board
      • Aims and Scope
      • Abstracting and Indexing
      • Bibliographic Information
      • Archive
    • Medicine International
      • Medicine International
      • Information for Authors
      • Editorial Policies
      • Editorial Board
      • Aims and Scope
      • Abstracting and Indexing
      • Bibliographic Information
      • Archive
  • Articles
  • Information
    • Information for Authors
    • Information for Reviewers
    • Information for Librarians
    • Information for Advertisers
    • Conferences
  • Language Editing
Spandidos Publications Logo
  • About
    • About Spandidos
    • Aims and Scopes
    • Abstracting and Indexing
    • Editorial Policies
    • Reprints and Permissions
    • Job Opportunities
    • Terms and Conditions
    • Contact
  • Journals
    • All Journals
    • Biomedical Reports
      • Information for Authors
      • Editorial Policies
      • Editorial Board
      • Aims and Scope
      • Abstracting and Indexing
      • Bibliographic Information
      • Archive
    • Experimental and Therapeutic Medicine
      • Information for Authors
      • Editorial Policies
      • Editorial Board
      • Aims and Scope
      • Abstracting and Indexing
      • Bibliographic Information
      • Archive
    • International Journal of Epigenetics
      • Information for Authors
      • Editorial Policies
      • Editorial Board
      • Aims and Scope
      • Abstracting and Indexing
      • Bibliographic Information
      • Archive
    • International Journal of Functional Nutrition
      • Information for Authors
      • Editorial Policies
      • Editorial Board
      • Aims and Scope
      • Abstracting and Indexing
      • Bibliographic Information
      • Archive
    • International Journal of Molecular Medicine
      • Information for Authors
      • Editorial Policies
      • Editorial Board
      • Aims and Scope
      • Abstracting and Indexing
      • Bibliographic Information
      • Archive
    • International Journal of Oncology
      • Information for Authors
      • Editorial Policies
      • Editorial Board
      • Aims and Scope
      • Abstracting and Indexing
      • Bibliographic Information
      • Archive
    • Medicine International
      • Information for Authors
      • Editorial Policies
      • Editorial Board
      • Aims and Scope
      • Abstracting and Indexing
      • Bibliographic Information
      • Archive
    • Molecular and Clinical Oncology
      • Information for Authors
      • Editorial Policies
      • Editorial Board
      • Aims and Scope
      • Abstracting and Indexing
      • Bibliographic Information
      • Archive
    • Molecular Medicine Reports
      • Information for Authors
      • Editorial Policies
      • Editorial Board
      • Aims and Scope
      • Abstracting and Indexing
      • Bibliographic Information
      • Archive
    • Oncology Letters
      • Information for Authors
      • Editorial Policies
      • Editorial Board
      • Aims and Scope
      • Abstracting and Indexing
      • Bibliographic Information
      • Archive
    • Oncology Reports
      • Information for Authors
      • Editorial Policies
      • Editorial Board
      • Aims and Scope
      • Abstracting and Indexing
      • Bibliographic Information
      • Archive
    • World Academy of Sciences Journal
      • Information for Authors
      • Editorial Policies
      • Editorial Board
      • Aims and Scope
      • Abstracting and Indexing
      • Bibliographic Information
      • Archive
  • Articles
  • Information
    • For Authors
    • For Reviewers
    • For Librarians
    • For Advertisers
    • Conferences
  • Language Editing
Login Register Submit
  • This site uses cookies
  • You can change your cookie settings at any time by following the instructions in our Cookie Policy. To find out more, you may read our Privacy Policy.

    I agree
Search articles by DOI, keyword, author or affiliation
Search
Advanced Search
presentation
Oncology Letters
Join Editorial Board Propose a Special Issue
Print ISSN: 1792-1074 Online ISSN: 1792-1082
Journal Cover
February-2017 Volume 13 Issue 2

Full Size Image

Sign up for eToc alerts
Recommend to Library

Journals

International Journal of Molecular Medicine

International Journal of Molecular Medicine

International Journal of Molecular Medicine is an international journal devoted to molecular mechanisms of human disease.

International Journal of Oncology

International Journal of Oncology

International Journal of Oncology is an international journal devoted to oncology research and cancer treatment.

Molecular Medicine Reports

Molecular Medicine Reports

Covers molecular medicine topics such as pharmacology, pathology, genetics, neuroscience, infectious diseases, molecular cardiology, and molecular surgery.

Oncology Reports

Oncology Reports

Oncology Reports is an international journal devoted to fundamental and applied research in Oncology.

Experimental and Therapeutic Medicine

Experimental and Therapeutic Medicine

Experimental and Therapeutic Medicine is an international journal devoted to laboratory and clinical medicine.

Oncology Letters

Oncology Letters

Oncology Letters is an international journal devoted to Experimental and Clinical Oncology.

Biomedical Reports

Biomedical Reports

Explores a wide range of biological and medical fields, including pharmacology, genetics, microbiology, neuroscience, and molecular cardiology.

Molecular and Clinical Oncology

Molecular and Clinical Oncology

International journal addressing all aspects of oncology research, from tumorigenesis and oncogenes to chemotherapy and metastasis.

World Academy of Sciences Journal

World Academy of Sciences Journal

Multidisciplinary open-access journal spanning biochemistry, genetics, neuroscience, environmental health, and synthetic biology.

International Journal of Functional Nutrition

International Journal of Functional Nutrition

Open-access journal combining biochemistry, pharmacology, immunology, and genetics to advance health through functional nutrition.

International Journal of Epigenetics

International Journal of Epigenetics

Publishes open-access research on using epigenetics to advance understanding and treatment of human disease.

Medicine International

Medicine International

An International Open Access Journal Devoted to General Medicine.

Journal Cover
February-2017 Volume 13 Issue 2

Full Size Image

Sign up for eToc alerts
Recommend to Library

  • Article
  • Citations
    • Cite This Article
    • Download Citation
    • Create Citation Alert
    • Remove Citation Alert
    • Cited By
  • Similar Articles
    • Related Articles (in Spandidos Publications)
    • Similar Articles (Google Scholar)
    • Similar Articles (PubMed)
  • Download PDF
  • Download XML
  • View XML
Article

Wild-type p53-induced phosphatase 1 is a prognostic marker and therapeutic target in bladder transitional cell carcinoma

  • Authors:
    • Zhi‑Peng Wang
    • Shu‑Yuan Chen
    • Ye Tian
  • View Affiliations / Copyright

    Affiliations: Department of Urology, Beijing Friendship Hospital, Capital Medical University, Beijing 100050, P.R. China, Department of Pathology, Beijing Friendship Hospital, Capital Medical University, Beijing 100050, P.R. China
  • Pages: 875-880
    |
    Published online on: December 8, 2016
       https://doi.org/10.3892/ol.2016.5475
  • Expand metrics +
Metrics: Total Views: 0 (Spandidos Publications: | PMC Statistics: )
Metrics: Total PDF Downloads: 0 (Spandidos Publications: | PMC Statistics: )
Cited By (CrossRef): 0 citations Loading Articles...

This article is mentioned in:



Abstract

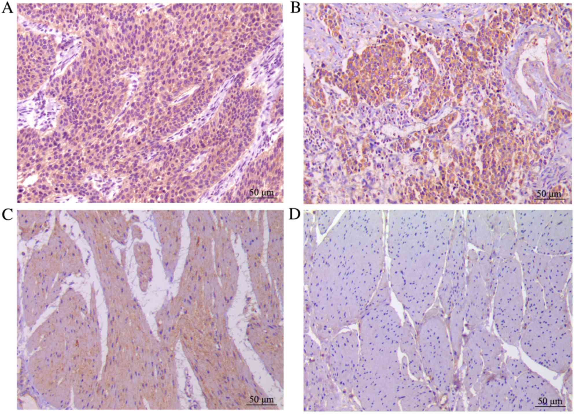
Wild-type p53-induced phosphatase (Wip1) is an established oncogene and is associated with development of multiple forms of human cancer. However, the expression and role of Wip1 in human bladder transitional cell carcinoma (TCC) remains to be elucidated. In the present study, immunohistochemistry demonstrated that Wip1 was overexpressed in bladder TCC tissues compared with corresponding normal bladder tissues in 106 bladder TCC cases (P<0.0001). Furthermore, high expression levels of Wip1 were significantly associated with increasing tumor size (P=0.002), pathological grade (P=0.025), clinical T stage (P=0.001) and lymph nodal metastasis (P=0.003). Kaplan‑Meier survival analysis identified that patients with high Wip1 expression levels exhibited a lower overall survival time (P<0.0001), and Cox proportional hazards regression model analysis demonstrated that Wip1 expression was an independent prognostic factor in patients with bladder TCC (P=0.025). In addition, downregulation of Wip1 expression by transfection with small interfering RNA in bladder cancer cells inhibited cell proliferation, invasion and migration (P<0.05), along with the upregulation of p53 protein levels (P<0.05). These findings suggest that Wip1 may function as a potential prognostic marker and therapeutic target in bladder cancer.
View Figures

Figure 1

Figure 2

Figure 3

Figure 4

Figure 5

View References

1 

Burger M, Catto J, Dalbagni G, Grossman HB, Herr H, Karakiewicz P, Kassouf W, Kiemeney LA, La Vecchia C, Shariat S and Lotan Y: Epidemiology and risk factors of urothelial bladder cancer. Eur Urol. 63:234–241. 2013. View Article : Google Scholar : PubMed/NCBI

2 

Boccardo F and Palmeri L: Adjuvant chemotherapy of bladder cancer. Ann Oncol. 17:(Suppl 5). v129–v132. 2006. View Article : Google Scholar : PubMed/NCBI

3 

Stein JP, Lieskovsky G, Cote R, Groshen S, Feng AC, Boyd S, Skinner E, Bochner B, Thangathurai D, Mikhail M, et al: Radical cystectomy in the treatment of invasive bladder cancer: Long-term results in 1054 patients. J Clin Oncol. 19:666–675. 2001.PubMed/NCBI

4 

Siegel RL, Miller KD and Jemal A: Cancer statistics, 2016. CA Cancer J Clin. 66:7–301. 2016. View Article : Google Scholar : PubMed/NCBI

5 

Fiscella M, Zhang H, Fan S, Sakaguchi K, Shen S, Mercer WE, Woude GF Vande, O'Connor PM and Appella E: Wip1, a novel human protein phosphatase that is induced in response to ionizing radiation in a p53-dependent manner. Proc Natl Acad Sci USA. 94:6048–6053. 1997. View Article : Google Scholar : PubMed/NCBI

6 

Zhang L, Chen LH, Wan H, Yang R, Wang Z, Feng J, Yang S, Jones S, Wang S, Zhou W, et al: Exome sequencing identifies somatic gain-of-function PPM1D mutations in brainstem gliomas. Nat Genet. 46:726–730. 2014. View Article : Google Scholar : PubMed/NCBI

7 

Richter M, Dayaram T, Gilmartin AG, Ganji G, Pemmasani SK, Van Der Key H, Shohet JM, Donehower LA and Kumar R: Wip1 phosphatase as a potential therapeutic target in neuroblastoma. PLoS One. 10:e01156352015. View Article : Google Scholar : PubMed/NCBI

8 

Sun GG, Zhang J, Ma XB, Wang YD, Chen YJ and Hu WN: Overexpression of wild-type p53-induced phosphatase1 confers poor prognosis of patients with nasopharyngeal carcinoma. Pathol Oncol Res. 21:283–291. 2015. View Article : Google Scholar : PubMed/NCBI

9 

Li GB, Zhang XL, Yuan L, Jiao QQ, Liu DJ and Liu J: Protein phosphatase magnesium-dependent 1δ (PPM1D) mRNA expression is a prognosis marker for hepatocellular carcinoma. PLoS One. 8:e607752013. View Article : Google Scholar : PubMed/NCBI

10 

Sobin L, Gospodarowicz M and Wittekind C: TNM classification of malignant tumorsUICC International Union Against Cancer. 7th. Wiley-Blackwell; pp. 262–265. 2009

11 

Livak KJ and Schmittgen TD: Analysis of relative gene expression data using real-time quantitative PCR and the 2(−Delta Delta C(T)) method. Methods. 25:402–408. 2001. View Article : Google Scholar : PubMed/NCBI

12 

Witjes JA, Compérat E, Cowan NC, De Santis M, Gakis G, Lebret T, Ribal MJ, Van der Heijden AG and Sherif A: European Association of Urology: EAU guidelines on muscle-invasive and metastatic bladder cancer: Summary of the guidelines. Eur Urol. 65:778–792. 2014. View Article : Google Scholar : PubMed/NCBI

13 

Shreeram S, Demidov ON, Hee WK, Yamaguchi H, Onishi N, Kek C, Timofeev ON, Dudgeon C, Fornace AJ, Anderson CW, et al: Wip1 phosphatase modulates ATM-dependent signaling pathways. Mol Cell. 23:757–764. 2006. View Article : Google Scholar : PubMed/NCBI

14 

Lu X, Nannenga B and Donehower LA: PPM1D dephosphorylates Chk1 and p53 and abrogates cell cycle checkpoints. Genes Dev. 19:1162–1174. 2005. View Article : Google Scholar : PubMed/NCBI

15 

Fujimoto H, Onishi N, Kato N, Takekawa M, Xu XZ, Kosugi A, Kondo T, Imamura M, Oishi I, Yoda A and Minami Y: Regulation of the antioncogenic Chk2 kinase by the oncogenic Wip1 phosphatase. Cell Death Differ. 13:1170–1180. 2006. View Article : Google Scholar : PubMed/NCBI

16 

Lu X, Nguyen TA, Moon SH, Darlington Y, Sommer M and Donehower LA: The type 2C phosphatase Wip1: An oncogenic regulator of tumor suppressor and DNA damage response pathways. Cancer Metastasis Rev. 27:123–135. 2008. View Article : Google Scholar : PubMed/NCBI

17 

Lowe J, Cha H, Lee MO, Mazur SJ, Appella E and Fornace AJ Jr: Regulation of the Wip1 phosphatase and its effects on the stress response. Front Biosci (Landmark Ed). 17:1480–1498. 2012. View Article : Google Scholar : PubMed/NCBI

18 

Marcel V, Dichtel-Danjoy ML, Sagne C, Hafsi H, Ma D, Ortiz-Cuaran S, Olivier M, Hall J, Mollereau B, Hainaut P and Bourdon JC: Biological functions of p53 isoforms through evolution: Lessons from animal and cellular models. Cell Death Differ. 18:1815–1824. 2011. View Article : Google Scholar : PubMed/NCBI

19 

Pfister C, Flaman JM, Dunet F, Grise P and Frebourg T: p53 mutations in bladder tumors inactivate the transactivation of the p21 and Bax genes, and have a predictive value for the clinical outcome after bacillus Calmette-Guerin therapy. J Urol. 162:69–73. 1999. View Article : Google Scholar : PubMed/NCBI

20 

Crescenzi E, Raia Z, Pacifico F, Mellone S, Moscato F, Palumbo G and Leonardi A: Down-regulation of wild-type p53-induced phosphatase 1 (Wip1) plays a critical role in regulating several p53-dependent functions in premature senescent tumor cells. J Biol Chem. 288:16212–16224. 2013. View Article : Google Scholar : PubMed/NCBI

21 

Lu X, Ma O, Nguyen TA, Jones SN, Oren M and Donehower LA: The Wip1 phosphatase acts as a gatekeeper in the p53-Mdm2 autoregulatory loop. Cancer Cell. 12:342–354. 2007. View Article : Google Scholar : PubMed/NCBI

22 

Jiao L, Shen D, Liu G, Jia J, Geng J, Wang H and Sun Y: PPM1D as a novel biomarker for prostate cancer after radical prostatectomy. Anticancer Res. 34:2919–2925. 2014.PubMed/NCBI

23 

Satoh N, Maniwa Y, Bermudez VP, Nishimura K, Nishio W, Yoshimura M, Okita Y, Ohbayashi C, Hurwitz J and Hayashi Y: Oncogenic phosphatase Wip1 is a novel prognostic marker for lung adenocarcinoma patients survival. Cancer Sci. 102:1101–1106. 2011. View Article : Google Scholar : PubMed/NCBI

24 

Sun GG, Wang YD, Liu Q and Hu WN: Expression of Wip1 in kidney carcinoma and its correlation with tumor metastasis and clinical significance. Pathol Oncol Res. 21:219–224. 2015. View Article : Google Scholar : PubMed/NCBI

25 

Wang HY, Liu ZS, Qiu L, Guo J, Li YF, Zhang J, Wang TJ and Liu XD: Knockdown of Wip1 enhances sensitivity to radiation in HeLa cells through activation of p38 MAPK. Oncol Res. 22:225–233. 2014. View Article : Google Scholar : PubMed/NCBI

26 

Wagner U, Sauter G, Moch H, Novotna H, Epper R, Mihatsch MJ and Waldman FM: Patterns of p53, erbB-2, and EGF-r expression in premalignant lesions of the urinary bladder. Hum Pathol. 26:970–978. 1995. View Article : Google Scholar : PubMed/NCBI

Related Articles

  • Abstract
  • View
  • Download
  • Twitter
Copy and paste a formatted citation
Spandidos Publications style
Wang ZP, Chen SY and Tian Y: Wild-type p53-induced phosphatase 1 is a prognostic marker and therapeutic target in bladder transitional cell carcinoma. Oncol Lett 13: 875-880, 2017.
APA
Wang, Z., Chen, S., & Tian, Y. (2017). Wild-type p53-induced phosphatase 1 is a prognostic marker and therapeutic target in bladder transitional cell carcinoma. Oncology Letters, 13, 875-880. https://doi.org/10.3892/ol.2016.5475
MLA
Wang, Z., Chen, S., Tian, Y."Wild-type p53-induced phosphatase 1 is a prognostic marker and therapeutic target in bladder transitional cell carcinoma". Oncology Letters 13.2 (2017): 875-880.
Chicago
Wang, Z., Chen, S., Tian, Y."Wild-type p53-induced phosphatase 1 is a prognostic marker and therapeutic target in bladder transitional cell carcinoma". Oncology Letters 13, no. 2 (2017): 875-880. https://doi.org/10.3892/ol.2016.5475
Copy and paste a formatted citation
x
Spandidos Publications style
Wang ZP, Chen SY and Tian Y: Wild-type p53-induced phosphatase 1 is a prognostic marker and therapeutic target in bladder transitional cell carcinoma. Oncol Lett 13: 875-880, 2017.
APA
Wang, Z., Chen, S., & Tian, Y. (2017). Wild-type p53-induced phosphatase 1 is a prognostic marker and therapeutic target in bladder transitional cell carcinoma. Oncology Letters, 13, 875-880. https://doi.org/10.3892/ol.2016.5475
MLA
Wang, Z., Chen, S., Tian, Y."Wild-type p53-induced phosphatase 1 is a prognostic marker and therapeutic target in bladder transitional cell carcinoma". Oncology Letters 13.2 (2017): 875-880.
Chicago
Wang, Z., Chen, S., Tian, Y."Wild-type p53-induced phosphatase 1 is a prognostic marker and therapeutic target in bladder transitional cell carcinoma". Oncology Letters 13, no. 2 (2017): 875-880. https://doi.org/10.3892/ol.2016.5475
Follow us
  • Twitter
  • LinkedIn
  • Facebook
About
  • Spandidos Publications
  • Careers
  • Cookie Policy
  • Privacy Policy
How can we help?
  • Help
  • Live Chat
  • Contact
  • Email to our Support Team