Spandidos Publications Logo
  • About
    • About Spandidos
    • Aims and Scopes
    • Abstracting and Indexing
    • Editorial Policies
    • Reprints and Permissions
    • Job Opportunities
    • Terms and Conditions
    • Contact
  • Journals
    • All Journals
    • Oncology Letters
      • Oncology Letters
      • Information for Authors
      • Editorial Policies
      • Editorial Board
      • Aims and Scope
      • Abstracting and Indexing
      • Bibliographic Information
      • Archive
    • International Journal of Oncology
      • International Journal of Oncology
      • Information for Authors
      • Editorial Policies
      • Editorial Board
      • Aims and Scope
      • Abstracting and Indexing
      • Bibliographic Information
      • Archive
    • Molecular and Clinical Oncology
      • Molecular and Clinical Oncology
      • Information for Authors
      • Editorial Policies
      • Editorial Board
      • Aims and Scope
      • Abstracting and Indexing
      • Bibliographic Information
      • Archive
    • Experimental and Therapeutic Medicine
      • Experimental and Therapeutic Medicine
      • Information for Authors
      • Editorial Policies
      • Editorial Board
      • Aims and Scope
      • Abstracting and Indexing
      • Bibliographic Information
      • Archive
    • International Journal of Molecular Medicine
      • International Journal of Molecular Medicine
      • Information for Authors
      • Editorial Policies
      • Editorial Board
      • Aims and Scope
      • Abstracting and Indexing
      • Bibliographic Information
      • Archive
    • Biomedical Reports
      • Biomedical Reports
      • Information for Authors
      • Editorial Policies
      • Editorial Board
      • Aims and Scope
      • Abstracting and Indexing
      • Bibliographic Information
      • Archive
    • Oncology Reports
      • Oncology Reports
      • Information for Authors
      • Editorial Policies
      • Editorial Board
      • Aims and Scope
      • Abstracting and Indexing
      • Bibliographic Information
      • Archive
    • Molecular Medicine Reports
      • Molecular Medicine Reports
      • Information for Authors
      • Editorial Policies
      • Editorial Board
      • Aims and Scope
      • Abstracting and Indexing
      • Bibliographic Information
      • Archive
    • World Academy of Sciences Journal
      • World Academy of Sciences Journal
      • Information for Authors
      • Editorial Policies
      • Editorial Board
      • Aims and Scope
      • Abstracting and Indexing
      • Bibliographic Information
      • Archive
    • International Journal of Functional Nutrition
      • International Journal of Functional Nutrition
      • Information for Authors
      • Editorial Policies
      • Editorial Board
      • Aims and Scope
      • Abstracting and Indexing
      • Bibliographic Information
      • Archive
    • International Journal of Epigenetics
      • International Journal of Epigenetics
      • Information for Authors
      • Editorial Policies
      • Editorial Board
      • Aims and Scope
      • Abstracting and Indexing
      • Bibliographic Information
      • Archive
    • Medicine International
      • Medicine International
      • Information for Authors
      • Editorial Policies
      • Editorial Board
      • Aims and Scope
      • Abstracting and Indexing
      • Bibliographic Information
      • Archive
  • Articles
  • Information
    • Information for Authors
    • Information for Reviewers
    • Information for Librarians
    • Information for Advertisers
    • Conferences
  • Language Editing
Spandidos Publications Logo
  • About
    • About Spandidos
    • Aims and Scopes
    • Abstracting and Indexing
    • Editorial Policies
    • Reprints and Permissions
    • Job Opportunities
    • Terms and Conditions
    • Contact
  • Journals
    • All Journals
    • Biomedical Reports
      • Information for Authors
      • Editorial Policies
      • Editorial Board
      • Aims and Scope
      • Abstracting and Indexing
      • Bibliographic Information
      • Archive
    • Experimental and Therapeutic Medicine
      • Information for Authors
      • Editorial Policies
      • Editorial Board
      • Aims and Scope
      • Abstracting and Indexing
      • Bibliographic Information
      • Archive
    • International Journal of Epigenetics
      • Information for Authors
      • Editorial Policies
      • Editorial Board
      • Aims and Scope
      • Abstracting and Indexing
      • Bibliographic Information
      • Archive
    • International Journal of Functional Nutrition
      • Information for Authors
      • Editorial Policies
      • Editorial Board
      • Aims and Scope
      • Abstracting and Indexing
      • Bibliographic Information
      • Archive
    • International Journal of Molecular Medicine
      • Information for Authors
      • Editorial Policies
      • Editorial Board
      • Aims and Scope
      • Abstracting and Indexing
      • Bibliographic Information
      • Archive
    • International Journal of Oncology
      • Information for Authors
      • Editorial Policies
      • Editorial Board
      • Aims and Scope
      • Abstracting and Indexing
      • Bibliographic Information
      • Archive
    • Medicine International
      • Information for Authors
      • Editorial Policies
      • Editorial Board
      • Aims and Scope
      • Abstracting and Indexing
      • Bibliographic Information
      • Archive
    • Molecular and Clinical Oncology
      • Information for Authors
      • Editorial Policies
      • Editorial Board
      • Aims and Scope
      • Abstracting and Indexing
      • Bibliographic Information
      • Archive
    • Molecular Medicine Reports
      • Information for Authors
      • Editorial Policies
      • Editorial Board
      • Aims and Scope
      • Abstracting and Indexing
      • Bibliographic Information
      • Archive
    • Oncology Letters
      • Information for Authors
      • Editorial Policies
      • Editorial Board
      • Aims and Scope
      • Abstracting and Indexing
      • Bibliographic Information
      • Archive
    • Oncology Reports
      • Information for Authors
      • Editorial Policies
      • Editorial Board
      • Aims and Scope
      • Abstracting and Indexing
      • Bibliographic Information
      • Archive
    • World Academy of Sciences Journal
      • Information for Authors
      • Editorial Policies
      • Editorial Board
      • Aims and Scope
      • Abstracting and Indexing
      • Bibliographic Information
      • Archive
  • Articles
  • Information
    • For Authors
    • For Reviewers
    • For Librarians
    • For Advertisers
    • Conferences
  • Language Editing
Login Register Submit
  • This site uses cookies
  • You can change your cookie settings at any time by following the instructions in our Cookie Policy. To find out more, you may read our Privacy Policy.

    I agree
Search articles by DOI, keyword, author or affiliation
Search
Advanced Search
presentation
Oncology Letters
Join Editorial Board Propose a Special Issue
Print ISSN: 1792-1074 Online ISSN: 1792-1082
Journal Cover
May-2017 Volume 13 Issue 5

Full Size Image

Sign up for eToc alerts
Recommend to Library

Journals

International Journal of Molecular Medicine

International Journal of Molecular Medicine

International Journal of Molecular Medicine is an international journal devoted to molecular mechanisms of human disease.

International Journal of Oncology

International Journal of Oncology

International Journal of Oncology is an international journal devoted to oncology research and cancer treatment.

Molecular Medicine Reports

Molecular Medicine Reports

Covers molecular medicine topics such as pharmacology, pathology, genetics, neuroscience, infectious diseases, molecular cardiology, and molecular surgery.

Oncology Reports

Oncology Reports

Oncology Reports is an international journal devoted to fundamental and applied research in Oncology.

Experimental and Therapeutic Medicine

Experimental and Therapeutic Medicine

Experimental and Therapeutic Medicine is an international journal devoted to laboratory and clinical medicine.

Oncology Letters

Oncology Letters

Oncology Letters is an international journal devoted to Experimental and Clinical Oncology.

Biomedical Reports

Biomedical Reports

Explores a wide range of biological and medical fields, including pharmacology, genetics, microbiology, neuroscience, and molecular cardiology.

Molecular and Clinical Oncology

Molecular and Clinical Oncology

International journal addressing all aspects of oncology research, from tumorigenesis and oncogenes to chemotherapy and metastasis.

World Academy of Sciences Journal

World Academy of Sciences Journal

Multidisciplinary open-access journal spanning biochemistry, genetics, neuroscience, environmental health, and synthetic biology.

International Journal of Functional Nutrition

International Journal of Functional Nutrition

Open-access journal combining biochemistry, pharmacology, immunology, and genetics to advance health through functional nutrition.

International Journal of Epigenetics

International Journal of Epigenetics

Publishes open-access research on using epigenetics to advance understanding and treatment of human disease.

Medicine International

Medicine International

An International Open Access Journal Devoted to General Medicine.

Journal Cover
May-2017 Volume 13 Issue 5

Full Size Image

Sign up for eToc alerts
Recommend to Library

  • Article
  • Citations
    • Cite This Article
    • Download Citation
    • Create Citation Alert
    • Remove Citation Alert
    • Cited By
  • Similar Articles
    • Related Articles (in Spandidos Publications)
    • Similar Articles (Google Scholar)
    • Similar Articles (PubMed)
  • Download PDF
  • Download XML
  • View XML
Article Open Access

MRI features of intracranial anaplastic hemangiopericytoma

  • Authors:
    • Liang‑Cai Bai
    • Tian‑You Luo
    • Hao Zhu
    • Rui Xu
  • View Affiliations / Copyright

    Affiliations: Department of Radiology, The First Affiliated Hospital of Chongqing Medical University, Yuzhong, Chongqing 400016, P.R. China, Department of Radiology, Lanzhou University Second Hospital, Lanzhou, Gansu 730030, P.R. China
    Copyright: © Bai et al. This is an open access article distributed under the terms of Creative Commons Attribution License.
  • Pages: 2945-2948
    |
    Published online on: March 13, 2017
       https://doi.org/10.3892/ol.2017.5853
  • Expand metrics +
Metrics: Total Views: 0 (Spandidos Publications: | PMC Statistics: )
Metrics: Total PDF Downloads: 0 (Spandidos Publications: | PMC Statistics: )
Cited By (CrossRef): 0 citations Loading Articles...

This article is mentioned in:



Abstract

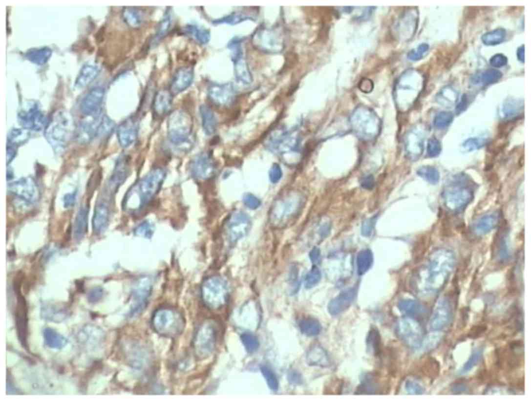
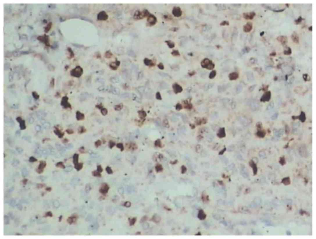
Magnetic resonance imaging (MRI) features of intracranial anaplastic hemangiopericytoma (AHPC) were analyzed. The pathological examination showed that there was a great number of irregularly arranged tumor cells with nuclear atypia, and mitotic properties were commonly seen providing support for clinical staging, therapy and prognosis judgment. Eighteen cases of intracranial AHPC proved by operation and pathology were analyzed retrospectively. Both plain and enhanced MR scans were performed and the results were compared with pathology in all cases. In all 18 cases, the tumor was positioned in the cortex; in 12 cases, it was located in the frontal falx and in 3 cases, it was located in the parietal falx. In 2 cases, the tumor was located in the middle cranial fossa, and in 1 case, it was located in the cerebellar hemispheres. Thirteen of the 18 cases showed mixed hyper‑iso signal intensity with cortical grey matter, and the other 5 cases were isointense in the cortical grey matter on T1‑weighted images. Fifteen of the 18 cases showed heterogeneous hyper‑iso signal intensity, and the other 3 cases were isointense on T2‑weighted images. Fifteen of the 18 cases showed heterogeneous enhancement in contrast‑enhanced T1‑weighted images. Our data show that, because intracranial AHPC has specific features on MRI, it could be very useful for its clinical diagnosis.
View Figures

Figure 1

Figure 2

Figure 3

Figure 4

View References

1 

Stout AP and Murray MR: Hemangiopericytoma: a vascular tumor featuring Zimmermann's pericytes. Ann Surg. 116:26–33. 1942. View Article : Google Scholar : PubMed/NCBI

2 

Chiechi MV, Smirniotopoulos JG and Mena H: Intracranial hemangiopericytomas: MR and CT features. AJNR Am J Neuroradiol. 17:1365–1371. 1996.PubMed/NCBI

3 

Geng D, Shen T, Chen X, Xiao Q and Huang Y: Comparing CT and MRI features with pathology in intracranial hemangiopericytomas. Chin Computed Med Imag. 6:304–306. 2000.

4 

Junlin Z and Ning He DC: Comparison of MRI signs with pathological findings in intracranial hemangiopericytomas: a report of 13 cases. J Clin Radiol. 8:631–634. 2003.

5 

Maruya J, Seki Y, Morita K, Nishimaki K and Minakawa T: Meningeal hemangiopericytoma manifesting as massive intracranial hemorrhage - two case reports. Neurol Med Chir (Tokyo). 46:92–97. 2006. View Article : Google Scholar : PubMed/NCBI

6 

Joseph JT, Lisle DK, Jacoby LB, Paulus W, Barone R, Cohen ML, Roggendorf WH, Bruner JM, Gusella JF and Louis DN: NF2 gene analysis distinguishes hemangiopericytoma from meningioma. Am J Pathol. 147:1450–1455. 1995.PubMed/NCBI

7 

Tao J, Wang H, Chen J, Xu H and Li S: Effects of saponin monomer 13 of dwarf lilyturf tuber on L-type calcium currents in adult rat ventricular myocytes. Am J Chin Med. 33:797–806. 2005. View Article : Google Scholar : PubMed/NCBI

8 

Zhongli J and Jizun Z: Intracranial hemangiopericytoma 32 cases reports. Nat Med J China. 80:432–434. 2000.

9 

Ghose A, Guha G, Kundu R, Tew J and Chaudhary R: CNS Hemangiopericytoma: a systematic review of 523 patients. Am J Clin Oncol. Oct 27–2014.(Epub ahead of print). View Article : Google Scholar : PubMed/NCBI

10 

Coffey RJ, Cascino TL and Shaw EG: Radiosurgical treatment of recurrent hemangiopericytomas of the meninges: preliminary results. J Neurosurg. 78:903–908. 1993. View Article : Google Scholar : PubMed/NCBI

11 

Louis DN, Ohgaki H, Wiestler OD, Cavenee WK, Burger PC, Jouvet A, Scheithauer BW and Kleihues P: The 2007 WHO classification of tumours of the central nervous system. Acta Neuropathol. 114:97–109. 2007. View Article : Google Scholar : PubMed/NCBI

12 

Ecker RD, Marsh WR, Pollock BE, Kurtkaya-Yapicier O, McClelland R, Scheithauer BW and Buckner JC: Hemangiopericytoma in the central nervous system: treatment, pathological features, and long-term follow up in 38 patients. J Neurosurg. 98:1182–1187. 2003. View Article : Google Scholar : PubMed/NCBI

13 

Akiyama M, Sakai H, Onoue H, Miyazaki Y and Abe T: Imaging intracranial haemangiopericytomas: study of seven cases. Neuroradiology. 46:194–197. 2004. View Article : Google Scholar : PubMed/NCBI

14 

Lee KJ, Joo WI, Rha HK, Park HK, Chough JK, Hong YK and Park CK: Peritumoral brain edema in meningiomas: correlations between magnetic resonance imaging, angiography, and pathology. Surg Neurol. 69:350–355; discussion 355. 2008. View Article : Google Scholar : PubMed/NCBI

15 

Zhang YN, He N, Zhou JL and Wang HY: Value of MRI features in preoperative diagnosis of malignant meningioma. J China Clin Med Imaging. 18:777–780. 2007.(In Chinese).

Related Articles

  • Abstract
  • View
  • Download
  • Twitter
Copy and paste a formatted citation
Spandidos Publications style
Bai LC, Luo TY, Zhu H and Xu R: MRI features of intracranial anaplastic hemangiopericytoma. Oncol Lett 13: 2945-2948, 2017.
APA
Bai, L., Luo, T., Zhu, H., & Xu, R. (2017). MRI features of intracranial anaplastic hemangiopericytoma. Oncology Letters, 13, 2945-2948. https://doi.org/10.3892/ol.2017.5853
MLA
Bai, L., Luo, T., Zhu, H., Xu, R."MRI features of intracranial anaplastic hemangiopericytoma". Oncology Letters 13.5 (2017): 2945-2948.
Chicago
Bai, L., Luo, T., Zhu, H., Xu, R."MRI features of intracranial anaplastic hemangiopericytoma". Oncology Letters 13, no. 5 (2017): 2945-2948. https://doi.org/10.3892/ol.2017.5853
Copy and paste a formatted citation
x
Spandidos Publications style
Bai LC, Luo TY, Zhu H and Xu R: MRI features of intracranial anaplastic hemangiopericytoma. Oncol Lett 13: 2945-2948, 2017.
APA
Bai, L., Luo, T., Zhu, H., & Xu, R. (2017). MRI features of intracranial anaplastic hemangiopericytoma. Oncology Letters, 13, 2945-2948. https://doi.org/10.3892/ol.2017.5853
MLA
Bai, L., Luo, T., Zhu, H., Xu, R."MRI features of intracranial anaplastic hemangiopericytoma". Oncology Letters 13.5 (2017): 2945-2948.
Chicago
Bai, L., Luo, T., Zhu, H., Xu, R."MRI features of intracranial anaplastic hemangiopericytoma". Oncology Letters 13, no. 5 (2017): 2945-2948. https://doi.org/10.3892/ol.2017.5853
Follow us
  • Twitter
  • LinkedIn
  • Facebook
About
  • Spandidos Publications
  • Careers
  • Cookie Policy
  • Privacy Policy
How can we help?
  • Help
  • Live Chat
  • Contact
  • Email to our Support Team