Spandidos Publications Logo
  • About
    • About Spandidos
    • Aims and Scopes
    • Abstracting and Indexing
    • Editorial Policies
    • Reprints and Permissions
    • Job Opportunities
    • Terms and Conditions
    • Contact
  • Journals
    • All Journals
    • Oncology Letters
      • Oncology Letters
      • Information for Authors
      • Editorial Policies
      • Editorial Board
      • Aims and Scope
      • Abstracting and Indexing
      • Bibliographic Information
      • Archive
    • International Journal of Oncology
      • International Journal of Oncology
      • Information for Authors
      • Editorial Policies
      • Editorial Board
      • Aims and Scope
      • Abstracting and Indexing
      • Bibliographic Information
      • Archive
    • Molecular and Clinical Oncology
      • Molecular and Clinical Oncology
      • Information for Authors
      • Editorial Policies
      • Editorial Board
      • Aims and Scope
      • Abstracting and Indexing
      • Bibliographic Information
      • Archive
    • Experimental and Therapeutic Medicine
      • Experimental and Therapeutic Medicine
      • Information for Authors
      • Editorial Policies
      • Editorial Board
      • Aims and Scope
      • Abstracting and Indexing
      • Bibliographic Information
      • Archive
    • International Journal of Molecular Medicine
      • International Journal of Molecular Medicine
      • Information for Authors
      • Editorial Policies
      • Editorial Board
      • Aims and Scope
      • Abstracting and Indexing
      • Bibliographic Information
      • Archive
    • Biomedical Reports
      • Biomedical Reports
      • Information for Authors
      • Editorial Policies
      • Editorial Board
      • Aims and Scope
      • Abstracting and Indexing
      • Bibliographic Information
      • Archive
    • Oncology Reports
      • Oncology Reports
      • Information for Authors
      • Editorial Policies
      • Editorial Board
      • Aims and Scope
      • Abstracting and Indexing
      • Bibliographic Information
      • Archive
    • Molecular Medicine Reports
      • Molecular Medicine Reports
      • Information for Authors
      • Editorial Policies
      • Editorial Board
      • Aims and Scope
      • Abstracting and Indexing
      • Bibliographic Information
      • Archive
    • World Academy of Sciences Journal
      • World Academy of Sciences Journal
      • Information for Authors
      • Editorial Policies
      • Editorial Board
      • Aims and Scope
      • Abstracting and Indexing
      • Bibliographic Information
      • Archive
    • International Journal of Functional Nutrition
      • International Journal of Functional Nutrition
      • Information for Authors
      • Editorial Policies
      • Editorial Board
      • Aims and Scope
      • Abstracting and Indexing
      • Bibliographic Information
      • Archive
    • International Journal of Epigenetics
      • International Journal of Epigenetics
      • Information for Authors
      • Editorial Policies
      • Editorial Board
      • Aims and Scope
      • Abstracting and Indexing
      • Bibliographic Information
      • Archive
    • Medicine International
      • Medicine International
      • Information for Authors
      • Editorial Policies
      • Editorial Board
      • Aims and Scope
      • Abstracting and Indexing
      • Bibliographic Information
      • Archive
  • Articles
  • Information
    • Information for Authors
    • Information for Reviewers
    • Information for Librarians
    • Information for Advertisers
    • Conferences
  • Language Editing
Spandidos Publications Logo
  • About
    • About Spandidos
    • Aims and Scopes
    • Abstracting and Indexing
    • Editorial Policies
    • Reprints and Permissions
    • Job Opportunities
    • Terms and Conditions
    • Contact
  • Journals
    • All Journals
    • Biomedical Reports
      • Information for Authors
      • Editorial Policies
      • Editorial Board
      • Aims and Scope
      • Abstracting and Indexing
      • Bibliographic Information
      • Archive
    • Experimental and Therapeutic Medicine
      • Information for Authors
      • Editorial Policies
      • Editorial Board
      • Aims and Scope
      • Abstracting and Indexing
      • Bibliographic Information
      • Archive
    • International Journal of Epigenetics
      • Information for Authors
      • Editorial Policies
      • Editorial Board
      • Aims and Scope
      • Abstracting and Indexing
      • Bibliographic Information
      • Archive
    • International Journal of Functional Nutrition
      • Information for Authors
      • Editorial Policies
      • Editorial Board
      • Aims and Scope
      • Abstracting and Indexing
      • Bibliographic Information
      • Archive
    • International Journal of Molecular Medicine
      • Information for Authors
      • Editorial Policies
      • Editorial Board
      • Aims and Scope
      • Abstracting and Indexing
      • Bibliographic Information
      • Archive
    • International Journal of Oncology
      • Information for Authors
      • Editorial Policies
      • Editorial Board
      • Aims and Scope
      • Abstracting and Indexing
      • Bibliographic Information
      • Archive
    • Medicine International
      • Information for Authors
      • Editorial Policies
      • Editorial Board
      • Aims and Scope
      • Abstracting and Indexing
      • Bibliographic Information
      • Archive
    • Molecular and Clinical Oncology
      • Information for Authors
      • Editorial Policies
      • Editorial Board
      • Aims and Scope
      • Abstracting and Indexing
      • Bibliographic Information
      • Archive
    • Molecular Medicine Reports
      • Information for Authors
      • Editorial Policies
      • Editorial Board
      • Aims and Scope
      • Abstracting and Indexing
      • Bibliographic Information
      • Archive
    • Oncology Letters
      • Information for Authors
      • Editorial Policies
      • Editorial Board
      • Aims and Scope
      • Abstracting and Indexing
      • Bibliographic Information
      • Archive
    • Oncology Reports
      • Information for Authors
      • Editorial Policies
      • Editorial Board
      • Aims and Scope
      • Abstracting and Indexing
      • Bibliographic Information
      • Archive
    • World Academy of Sciences Journal
      • Information for Authors
      • Editorial Policies
      • Editorial Board
      • Aims and Scope
      • Abstracting and Indexing
      • Bibliographic Information
      • Archive
  • Articles
  • Information
    • For Authors
    • For Reviewers
    • For Librarians
    • For Advertisers
    • Conferences
  • Language Editing
Login Register Submit
  • This site uses cookies
  • You can change your cookie settings at any time by following the instructions in our Cookie Policy. To find out more, you may read our Privacy Policy.

    I agree
Search articles by DOI, keyword, author or affiliation
Search
Advanced Search
presentation
Oncology Letters
Join Editorial Board Propose a Special Issue
Print ISSN: 1792-1074 Online ISSN: 1792-1082
Journal Cover
May-2017 Volume 13 Issue 5

Full Size Image

Sign up for eToc alerts
Recommend to Library

Journals

International Journal of Molecular Medicine

International Journal of Molecular Medicine

International Journal of Molecular Medicine is an international journal devoted to molecular mechanisms of human disease.

International Journal of Oncology

International Journal of Oncology

International Journal of Oncology is an international journal devoted to oncology research and cancer treatment.

Molecular Medicine Reports

Molecular Medicine Reports

Covers molecular medicine topics such as pharmacology, pathology, genetics, neuroscience, infectious diseases, molecular cardiology, and molecular surgery.

Oncology Reports

Oncology Reports

Oncology Reports is an international journal devoted to fundamental and applied research in Oncology.

Experimental and Therapeutic Medicine

Experimental and Therapeutic Medicine

Experimental and Therapeutic Medicine is an international journal devoted to laboratory and clinical medicine.

Oncology Letters

Oncology Letters

Oncology Letters is an international journal devoted to Experimental and Clinical Oncology.

Biomedical Reports

Biomedical Reports

Explores a wide range of biological and medical fields, including pharmacology, genetics, microbiology, neuroscience, and molecular cardiology.

Molecular and Clinical Oncology

Molecular and Clinical Oncology

International journal addressing all aspects of oncology research, from tumorigenesis and oncogenes to chemotherapy and metastasis.

World Academy of Sciences Journal

World Academy of Sciences Journal

Multidisciplinary open-access journal spanning biochemistry, genetics, neuroscience, environmental health, and synthetic biology.

International Journal of Functional Nutrition

International Journal of Functional Nutrition

Open-access journal combining biochemistry, pharmacology, immunology, and genetics to advance health through functional nutrition.

International Journal of Epigenetics

International Journal of Epigenetics

Publishes open-access research on using epigenetics to advance understanding and treatment of human disease.

Medicine International

Medicine International

An International Open Access Journal Devoted to General Medicine.

Journal Cover
May-2017 Volume 13 Issue 5

Full Size Image

Sign up for eToc alerts
Recommend to Library

  • Article
  • Citations
    • Cite This Article
    • Download Citation
    • Create Citation Alert
    • Remove Citation Alert
    • Cited By
  • Similar Articles
    • Related Articles (in Spandidos Publications)
    • Similar Articles (Google Scholar)
    • Similar Articles (PubMed)
  • Download PDF
  • Download XML
  • View XML
Article Open Access

Detection of p53 and Bcl-2 expression in cutaneous hemangioma through the quantum dot technique

  • Authors:
    • Tian Tang
    • Duan‑Lian Zhang
  • View Affiliations / Copyright

    Affiliations: Department of Oncology, Renmin Hospital of Wuhan University, Wuhan, Hubei 430060, P.R. China
    Copyright: © Tang et al. This is an open access article distributed under the terms of Creative Commons Attribution License.
  • Pages: 2937-2944
    |
    Published online on: March 13, 2017
       https://doi.org/10.3892/ol.2017.5856
  • Expand metrics +
Metrics: Total Views: 0 (Spandidos Publications: | PMC Statistics: )
Metrics: Total PDF Downloads: 0 (Spandidos Publications: | PMC Statistics: )
Cited By (CrossRef): 0 citations Loading Articles...

This article is mentioned in:



Abstract

Hemangioma is one of the most common types of infantile vascular benign tumor. The aim of the present study was to investigate the role of B-cell lymphoma 2 (Bcl-2) and tumor protein p53 (p53) in the proliferation and apoptosis of hemangioma cells. A total of 38 paraffin‑embedded hemangioma specimens (16 males and 22 females) and another 5 paraffin‑embedded healthy surrounding tissue samples, collected between January 2007 and December 2010, were obtained from the Department of Pathology at Renmin Hospital of Wuhan University (Wuhan, China). Immunohistochemistry, hematoxylin and eosin staining, and quantum dot double staining were used to detect the expression of proliferating cell nuclear antigen (PCNA), Bcl‑2 and p53 in hemangioma and healthy surrounding skin tissue samples. All hemangioma specimens were classified into proliferative or the involuting stage hemangioma according to Mulliken's criteria and their expression of PCNA. The results of the quantum dot double staining were analyzed using a multi‑spectral imaging system. One-way analysis of the variance and the Student‑Newman‑Keuls q test were performed to statistically analyze the data. There were 24 cases of proliferative stage and 14 cases of involuting stage hemangioma among the specimens. Immunohistochemical analysis results indicated a high expression of Bcl‑2 and p53 in proliferative stage hemangioma tissue samples, and low expression in involuting stage hemangioma and healthy tissue samples. Statistical analysis of the results from quantum dot double staining demonstrated that the expression of Bcl‑2 and p53 in proliferative hemangioma was significantly increased compared with that in involuting stage specimens (P<0.05) and healthy tissue samples (P<0.05). No significant difference in Bcl‑2 and p53 expression was identified between the involuting hemangioma and healthy surrounding tissue samples. The higher expression of Bcl‑2 and p53 in proliferative hemangioma suggests that Bcl‑2 may cause an imbalance between endothelial cell proliferation and apoptosis through the inhibition of endothelial cell apoptosis. Furthermore, p53 may promote the proliferation of endothelial cells in proliferative hemangioma.

Introduction

Cutaneous hemangioma is one of the most common types of benign tumor (1). The majority of types of hemangioma go through three distinct stages, the proliferation stage, the involuting phase and the involuted phase. Hemangioma typically presents itself during the proliferative phase. During the proliferative phase, excessive proliferation of endothelial cells and nuclear hypertrophy occurs, forming lumens or lumps without cavities that are similar in size to a small capillary. The proliferative phase is characterized by rapid proliferation of capillary endothelial cells and the appearance of a vascular anomaly. Subsequently, hemangiomas enter an involuting phase during which the endothelial cells undergo apoptosis, and extracellular matrix fibers and adipose tissue replace the hemangioma. This phase can last between a number of months and several years, following which the hemangioma enters the involuted phase (2,3).

There are two processes that enable the formation of new blood vessels, vasculogenesis and angiogenesis. Vasculogenesis refers to the formation of early blood vessels through the induction, differentiation and aggregation of endothelial progenitor cells (4). Angiogenesis refers to the process of forming new vessels from pre-existing vessels following birth (5). The first vessels in the embryo form through vasculogenesis and following birth angiogenesis becomes the predominant pathway used to develop blood vessels (6). Abnormalities in vasculogenesis and angiogenesis can lead to vascular diseases, of which hemangioma is a common type (7,8).

Folkman (8) reported that an imbalance in the regulation between angiogenic factors and angiogenic inhibitors that causes uncontrolled angiogenesis may result in the occurrence of hemangioma. Therefore, the mechanism of regulation of angiogenesis serves an important role in the pathogenesis of hemangioma. A large number of factors that positively and negatively regulate angiogenesis have different levels of expression and roles in different stages of the development of hemangioma (9–12). Previous studies have demonstrated that multiple angiogenic factors, such as vascular endothelial growth factor (VEGF), basic fibroblast growth factor (bFGF) and the estrogen receptor, are highly expressed in the proliferative stage of hemangioma development (2,13). The number of mast cells is increased in proliferative hemangioma tissue compared with healthy tissue, which decreases in the involuting stage and can be restored to normal levels in the involuted stage (14).

A previous study demonstrated that the proliferation and apoptosis of endothelial cells serves an important role in the pathogenesis of hemangioma; the onset and involution of hemangioma were identified to be associated with endothelial cell proliferation and apoptosis (15,16). It has been suggested that the proliferation and apoptosis of vascular endothelial cells is associated with the onset and spontaneous regression of hemangioma (17). Specifically, it is thought that when an increased level of apoptosis occurs in endothelial cells during the second year of a child's life, cellular proliferation is offset which results in the initiation of the spontaneous regression of hemangioma. Activation of oncogenes and inactivation of tumor suppressor genes can cause uncontrolled cell proliferation and apoptosis, and induce tumor formation. The results of a previous study revealed that the proliferation and apoptosis of vascular endothelial cells were associated with the regulation of VEGF, transforming growth factor-β, angiostatin and other cytokines (18,19).

B-cell lymphoma 2 (Bcl-2) belongs to the Bcl-2 protein family and serves an important role in regulating cell survival and apoptosis (20,21). Tumor protein p53 (p53) is a common tumor suppressor protein that is frequently activated when the cell is damaged, and which serves a role in various signaling pathways to regulate cell survival and death. p53 can affect DNA repair and cell cycle progression, and serves an important role in the inhibition of tumorigenesis (22–25). If a mutation of the gene encoding p53 occurs, the mutated p53 protein produced cannot trigger apoptosis, resulting in tumorigenesis (26–28). Although Bcl-2 and p53 have been studied in multiple tumor types, few studies investigating their expression in tumor angiogenesis, particularly in the different stages of hemangioma, have been performed. In the present study, immunohistochemical analysis and quantum dot technology were used to measure the expression of Bcl-2 and p53 in the proliferative and involuting stages of hemangioma, and the blood vessels of healthy skin, in order to investigate the role of Bcl-2 and p53 during the proliferative and involuting stages of hemangioma.

Materials and methods

Samples

Formalin-fixed paraffin-embedded samples of archived cutaneous hemangioma tissue samples collected between January 2007 and December 2010 were obtained from the Department of Pathology of Renmin Hospital of Wuhan University (Wuhan, China). There were samples from 38 patients with hemangioma, including 16 males and 22 females, aged between 2 months and 18 years old. There were another 5 samples of healthy skin tissue surrounding the hemangioma. The locations of the vascular tumors included the following: Scalp, eyelids, forehead, back of the ears, neck, arms, back, legs, hands and foot. The patients did not receive any adjuvant therapy prior to surgery.

Reagents

The Ready-to-use anti-human mouse monoclonal antibody directed against proliferating cell nuclear antigen (PCNA), ready-to-use Ultra-Sensitive Immunohistochemical Streptavidin-Peroxidase (S-P) kit, ready-to-use mouse anti-human monoclonal antibody directed against p53, DAB Color Developing Reagent kit and poly-lysine were purchased from Beijing Zhongshan Golden Bridge Biotechnology Co., Ltd. (OriGene Technologies, Inc., Beijing, China). Mouse anti-human monoclonal antibody directed against Bcl-2 was purchased from Santa Cruz Biotechnology, Inc. (Dallas, TX, USA). The Quantum Dot Immunofluorescent Double-Staining Reagent kit was purchased from Wuhan Jiayuan Quantum Dot Technological Development Co., Ltd. (Wuhan, China; cat no. K-3001-3) and diethylpyrocarbonate was purchased from Gibco (Thermo Fisher Scientific, Inc., Waltham, MA, USA).

Classification of specimens

All specimens were stained through routine hematoxylin and eosin (H&E) staining. H&E staining was performed following conventional protocol and included dehydration, permeabilization, paraffin-embedding, sectioning and H&E staining (29). Neutral formalin fixed buffer solution (10%) was used for fixing at room temperature for 24 h. PCNA protein was detected using the ready-to-use Ultra-Sensitive Immunohistochemical S-P kit, as described below. Specimens were classified according to Mulliken's criteria (30) combined with their expression of PCNA. The staging of specimens was determined according to the characteristics of their organizational structure. The involuting stage was defined as hemangioma with fatty infiltration, fibrosis or vascular lumen occlusion in >20% of the hemangioma. The proliferative stage was defined as hemangioma without structural changes. Positive reactions of PCNA were presented as brownish-yellow particles in the nucleus, as determined by H&E staining and the immunohistochemistry S-P method. PCNA participates in DNA synthesis, and its expression has repeatedly been confirmed to be closely related to cellular proliferation. As a result of its involvement in cellular proliferation, PCNA can be used in the diagnosis of malignant tumors such as hemangioma. In the present study, PCNA expression was observed to be high in proliferative stage hemangioma tissue, whilst its expression was low in involuting stage hemangioma tissue. A significant difference was found in the positive reaction of PCNA expression between proliferative stage hemangioma tissue and involuting stage hemangioma tissue.

Detection of Bcl-2-, p53- and PCNA-associated antigens through H&E staining and the immunohistochemistry S-P method

Details of the protocol followed have been reported previously (16). Tissue sections were cut into 5-µm thick slices and conventionally dewaxed using xylene for 20 min, anhydrous alcohol for 10 min, and a graded ethanol series of 90, 80 and 70% alcohol (each for 5 min) and finally soaked in distilled water twice for 10 min in order to replace the paraffin in samples with water. Sections were then washed and incubated with distilled 3% hydrogen peroxide for 10 min at room temperature, in order to eliminate endogenous peroxidase activity. Specimens were washed with distilled water and soaked in PBS for 5 min. For antigen retrieval, slices were placed in 0.01 M citrate buffer (pH 6.0), boiled (at 95°C for 15–20 min), and left to cool for 20 min. Sections were then washed with cold water in order to cool samples to room temperature, and finally washed with PBS 3x for 5 min each. Following antigen retrieval, tissue sections were blocked with 5–10% normal goat serum (Sigma-Aldrich; Merck Millipore, Darmstadt, Germany; diluted in PBS), incubated at room temperature for 10 min and washed with PBS 3 times (5 min/wash). Following the discard of excessive serum, the following primary antibodies were added: Bcl-2 (dilution, 1:100; cat. no. sc-7382; Santa Cruz Biotechnology, Inc., Dallas, TX, USA), p53 (dilution, 1:100, cat.no. ZM-0408; Beijing Zhongshan Golden Bridge Biotechnology Co., Ltd.; OriGene Technologies, Inc.) and PCNA (dilution, 1:100; cat. co. ZM-0213; Beijing Zhongshan Golden Bridge Biotechnology Co., Ltd.; OriGene Technologies, Inc.). Sections were then incubated with these antibodies at 4°C overnight. The tissue sections were then incubated with primary antibodies for 1 h at 37°C, and washed with TBS-Tween® 20 (TBST) 3 times for a total of 5 min each. A total of 150 µl biotin-labeled secondary antibody (cat. no. SPN-9001; Beijing Zhongshan Golden Bridge Biotechnology Co., Ltd.; OriGene Technologies, Inc.) was diluted with 1% bovine serum albumin (BSA; cat. no. ST023)-PBS and added to each of the sections, which were then incubated at 37°C for 10–30 min. BSA was supplied by Beyotime Institute of Biotechnology (Haimen, China). Sections were then washed 3 times with TBST for 5 min each time. A total of 150 µl streptavidin-labeled horseradish peroxidase-conjugated secondary antibody (diluted with 1% PBS; cat. no. V7023; Beijing Zhongshan Golden Bridge Biotechnology Co., Ltd.; OriGene Technologies, Inc.) was then added to the first stain solution (DAB Color Developing Reagent kit; cat. no. ZLI-9018; Beijing Zhongshan Golden Bridge Biotechnology Co., Ltd.; OriGene Technologies, Inc.) and incubated with the sections at 37°C for 10–30 min. Specimens were washed with tap water, counterstained with hematoxylin and mounted using neutral gum/aqueous mounting medium (cat. no. ZLI-9550; Beijing Zhongshan Golden Bridge Biotechnology Co., Ltd.; OriGene Technologies, Inc.) onto the slides.

Detection of Bcl-2, p53 and PCNA through quantum dot double staining

Details of the protocol followed have been reported previously (16). The paraffin-embedded tissue sections were cut into 3–4-µm slices; heated, dewaxed and hydrated. Following microwave antigen retrieval, specimens were washed with TBS. Subsequently, tissue sections were blocked with Immunol Staining blocking buffer (cat. no. P0102; Beyotime Institute of Biotechnology, Shanghai, China) and incubated in a wet box for 30 min at 37°C. The Bcl-2, P53 and PCNA primary antibodies were incubated at 37°C for 2 h and subsequently washed with TBST 3 times (5 min/wash). Specimens were blocked with Immunol Staining blocking buffer (cat. no. P0102; Beyotime Institute of Biotechnology) and incubated in a wet chamber for 20 min at 37°C. Then biotin-labeled secondary antibody (cat. no. YM005; dilution, 1:100; Quantum Dot Immuno-Fluorescent Double Staining reagent kit) was added to the sections, which were incubated at 37°C for 30 min. Drops of undiluted streptavidin-coated quantum dots (QDs-SA; dilution, 1:50-200; final concentration, 5–20 nmol/l; Quantum Dot Immuno-Fluorescent Double Staining reagent kit) were added to specimens, which were then incubated in a wet box at 37°C for 30 min and washed with TBST 3 times, (5 min/wash). Following air-drying, tissue samples were mounted on slides using 90% glycerin buffer as the mounting medium. Specimens were visualized using an Olympus IX71 fluorescence microscope (Olympus Corporation, Tokyo, Japan). A wavelength of 545 nm was used to excite the QDs with ultraviolet light, and a wavelength of 605 nm was used to excite QDs with blue light.

Analysis of the results of immunohistochemical and quantum dot staining

Cells were considered Bcl-2-positive if brown-yellow granules were identified in the cytoplasm and/or the cell membrane. Cells were considered PCNA- or p53-positive if brown-yellow granules appeared in the nucleus. No brown-yellow granules were identified in the cytoplasm or nucleus of the negative control group.

Bcl-2 and p53 expression was quantitatively analyzed through a Nuance FX Multispectral Imaging system (Cambridge Research & Instrumentation, Inc., Woburn, MA, USA). For each section, five complete and non-overlapping high magnification (x400) fields were randomly selected for each sample. The average optical density, area of positive staining and total area of all cells in each field was measured, and used to calculate the positive area rate. Positive area rate was calculated as follows: (Total area of positive staining/the total area of cells) ×100%.

Statistical analysis

Quantum dot staining results are illustrated as the mean ± standard deviation. One-way analysis of variance and the Student-Newman-Keuls q post hoc test were used to determine the significance of differences in the average optical density and positive area rate between groups. A significance level of α=0.05 was selected. Normality test and variance homogeneity test were conducted prior to testing. Each group met the requirements of normal distribution and homogeneity of variance. All tests were performed using SPSS software (version 13.0; SPSS, Inc., Chicago, IL, USA). P<0.05 was considered to indicate a statistically significant difference.

Results

H&E staining

The capillaries in the healthy skin tissue samples had thin walls and were surrounded by 1–2 endothelial cells, which were primarily thin but were thicker around the nuclei (Fig. 1A). In addition, the nuclei of the endothelial cells were flat compared with other cell types (Fig. 1A). A large number of active proliferative endothelial cells shaped like a cord or mass were observed to be gathered in proliferative hemangioma tissue samples (Fig. 1B). There were also irregular gaps in the sinusoid capillaries between endothelial cells, the vessel lumen and large weakly stained nuclei (Fig. 1B). In involuting hemangioma tissue samples, the number of endothelial cells surrounding the capillaries was decreased, vascular lumens were enlarged, and fibrosis of the blood vessels, fatty deposits, lumen occlusion and flat endothelial cell nuclei were present (Fig. 1C).

Figure 1.

Results of hematoxylin and eosin staining. (A) In healthy skin tissue samples, the cross-section of a capillary consisted of 1–2 endothelial cells with light cytoplasmic staining, and thicker and flat nuclei. (B) In proliferative hemangioma tissue, proliferating endothelial cells were identified, and their nuclei were hypertrophic and lightly stained. (C) In involuting hemangioma tissue, there were few endothelial cells, the vascular lumen was enlarged and the nuclei of endothelial cells were flat. Magnification, ×200.

Detection of PCNA through the immunohistochemistry S-P method

Cells were considered PCNA-positive if brown-yellow granules were distributed diffusely in the nuclei of endothelial cells. In proliferative hemangioma tissue samples, the nuclei of endothelial cells were large and PCNA expression was high (Fig. 2A). In the involuting hemangioma tissue samples, the nuclei of endothelial cells were flat, there were few nuclei and nuclei contained a small amount of brown-yellow granules, indicating that PCNA expression was low (Fig. 2B).

Figure 2.

PCNA was detected through the immunohistochemical streptavidin-peroxidase method. (A) Presence of PCNA in proliferative phase hemangioma endothelial cells. The nuclei were hypertrophic and contained brownish-yellow particles, demonstrating strong PCNA expression. (B) Expression of PCNA in involuting hemangioma tissue samples. The nuclei were flat and brownish-yellow particles were sparsely distributed within nuclei, demonstrating weak PCNA expression. Magnification, ×200. PCNA, proliferating cell nuclear antigen.

H&E staining and the immunohistochemistry S-P method were used to detect PCNA

Classification indicated 24 cases of proliferative hemangioma and 14 cases of involuting hemangioma. In addition, 5 cases had healthy skin surrounding the hemangioma and were thus used as the control group.

Detection of Bcl-2 and p53 through the immunohistochemistry S-P method

Numerous brown-yellow granules were identified in the endochylema of endothelial cells in proliferative hemangioma tissue, indicating that Bcl-2 expression was high (Fig. 3A). No brown-yellow granules were identified in the endochylema of endothelial cells in involuting hemangioma samples (Fig. 3B) or cells in healthy skin tissue samples (Fig. 3C), suggesting Bcl-2 was not expressed.

Figure 3.

Immunohistochemical streptavidin-peroxidase staining for Bcl-2. (A) Expression of Bcl-2 in proliferative phase hemangioma endothelial cells. Brownish-yellow particles were densely distributed in the nuclei and cytoplasm of endothelial cells, revealing strong Bcl-2 expression. (B) Expression of Bcl-2 in involuting phase hemangioma endothelial cells. Brownish-yellow particles were sparsely distributed in the nuclei and cytoplasm of endothelial cells, demonstrating little or no Bcl-2 expression. (C) Expression of Bcl-2 in healthy surrounding skin tissue samples. Brownish-yellow particles were not identified in the nuclei or cytoplasm of vascular endothelial cells, demonstrating little or no Bcl-2 expression. Magnification, ×200. Bcl-2, B-cell lymphoma 2.

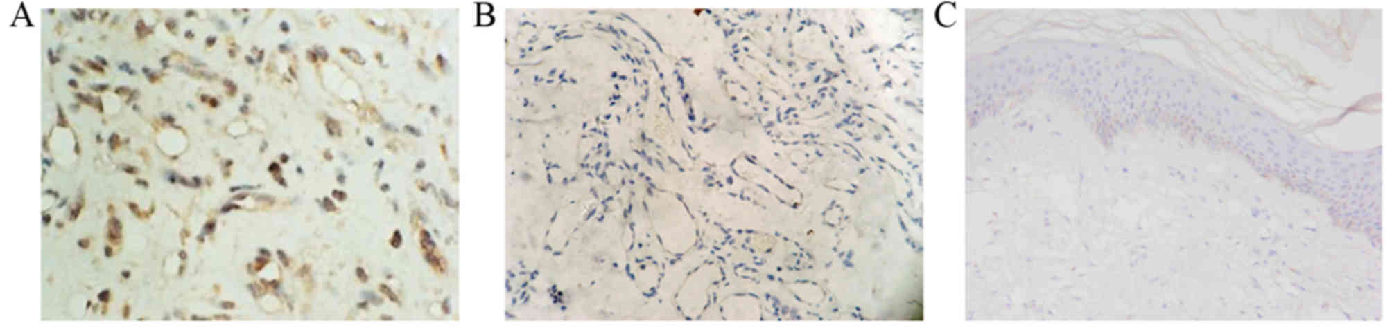
Brown-yellow granules were observed in the endochylema of endothelial cells in proliferative hemangioma tissue, indicating that p53 expression was high (Fig. 4A). No brown-yellow granules were identified in the endochylema of endothelial cells in involuting hemangioma tissue samples (Fig. 4B) or healthy skin tissue samples, revealing weak or no p53 expression (Fig. 4C), suggesting little or no p53 expression.

Figure 4.

Immunohistochemical streptavidin-peroxidase staining for p53. (A) Expression of p53 in proliferative phase hemangioma. Brownish-yellow particles were densely distributed in the nuclei and cytoplasm of endothelial cells, demonstrating strong p53 expression. (B) Expression of p53 in involuting stage hemangioma. Brownish-yellow particles were sparsely distributed in the nuclei and cytoplasm of endothelial cells, revealing weak p53 expression. (C) Expression of p53 in healthy surrounding skin tissue samples. Brownish-yellow particles were not observed in the nuclei or cytoplasm of vascular endothelial cells, demonstrating weak p53 expression. Magnification, ×200. p53, tumor protein p53.

Detection of Bcl-2, p53 and PCNA through the quantum dot double staining method

The presence of PCNA was visible as green fluorescence, and the presence of Bcl-2 was visible as red fluorescence (Fig. 5). No Bcl-2 expression was identified in the vascular tissue cells of healthy skin specimens (Fig. 5A). Bcl-2 was highly expressed in the endochylema and cytomembrane of cells in proliferative hemangioma tissue samples (Fig. 5B). Conversely, Bcl-2 and p53 expression was low in the endochylema and cytomembrane of cells in involuting hemangioma tissue samples (Fig. 5C).

Figure 5.

Quantum dot double staining for Bcl-2 and PCNA. (A) There was no Bcl-2 expression (red fluorescence) in the vascular endothelial cells of healthy surrounding skin tissue samples. PCNA was stained a fluorescent green to display the nucleus. (B) In proliferative hemangioma, the cytoplasm and cytomembrane of vascular endothelial cells had strong red fluorescence, demonstrating high Bcl-2 expression. (C) In involuting stage hemangioma, the expression of Bcl-2 was decreased compared with that of the vascular endothelial cells in proliferative phase hemangioma. Magnification, ×200. Bcl-2, B-cell lymphoma 2; PCNA, proliferating cell nuclear antigen.

The presence of p53 was visible as green fluorescence in a separate experiment. No p53 expression was observed in the vascular tissue cells of healthy skin tissue (Fig. 6A). However, p53 was highly expressed in the nuclei of proliferative hemangioma cells (Fig. 6B). Conversely, p53 expression was low in the nuclei of involuting hemangioma cells (Fig. 6C).

Figure 6.

Quantum dot double staining for p53. (A) No p53 expression (green fluorescence) was observed in the vascular endothelial cells of healthy surrounding skin tissue samples. (B) Vascular endothelial cells of the hemangioma tissue in the proliferative stage exhibited strong green fluorescence, demonstrating high p53 expression. (C) Vascular endothelial cells of the hemangioma tissue in the involuting stage exhibited weak green fluorescence, revealing low p53 expression. Magnification, ×200. p53, tumor protein p53.

Statistical analysis of the detection of, Bcl-2, p53 and PCNA through the quantum dot double staining method

As illustrated in Tables I and II, significant differences in the average optical density and positive area rate of Bcl-2 and p53, respectively, were identified in proliferative stage hemangioma tissue samples compared with healthy tissue samples (P<0.05). By contrast, no significant differences in the average optical density and positive area rate of Bcl-2 and p53 were identified between involuting stage hemangioma tissue samples and healthy surrounding skin tissue samples (all P>0.05).

Table I.

Average optical density and positive area rate of B-cell lymphoma 2 in different hemangioma stages determined through quantum dot double staining.

Table I.

Average optical density and positive area rate of B-cell lymphoma 2 in different hemangioma stages determined through quantum dot double staining.

SampleNo. of casesNo. of sectionsAverage optical densityPositive area rate
Proliferative hemangioma24145 0.3941±0.0210a 0.4012±0.0227a
Involuting hemangioma14115 0.1749±0.0195b 0.1573±0.0074b
Healthy surrounding skin  5  35 0.1704±0.0184c 0.1486±0.0057c

{ label (or @symbol) needed for fn[@id='tfn1-ol-0-0-5856'] } Results are represented as the mean ± standard deviation.

a P<0.05 vs. involuting hemangioma

b P>0.05 vs. healthy surrounding skin

c P<0.05 vs. proliferative hemangioma.

Table II.

Average optical density and positive area rate of tumor protein p53 in different hemangioma stages determined through quantum dot double staining.

Table II.

Average optical density and positive area rate of tumor protein p53 in different hemangioma stages determined through quantum dot double staining.

SampleNo. of casesNo. of sectionsAverage optical densityPositive area rate
Proliferative hemangioma24145 0.4735±0.0307a 0.3987±0.0304a
Involuting hemangioma14115 0.1781±0.0214b 0.0954±0.0059b
Healthy surrounding skin  5  35 0.1760±0.0197c 0.0902±0.0051c

{ label (or @symbol) needed for fn[@id='tfn5-ol-0-0-5856'] } Results are represented as the mean ± standard deviation.

a P<0.05 vs. involuting hemangioma

b P>0.05 vs. healthy surrounding skin

c P<0.05 vs. proliferative hemangioma.

Discussion

Infantile cutaneous hemangioma is a common type of benign tumor, and is characterized by the rapid growth of endothelial cells at birth, followed by a slow involuting phase that lasts for a number of years, and this may lead to the tumor completely disappearing (16). Vascular endothelial cells serve an important role in the development of hemangioma through the modulation of the expression of a series of positive and negative regulators (9–11). It is typically understood that the proliferation and regression of vascular endothelial cells is the primary reason for the growth and involution of hemangioma (31). Apoptosis is the process of spontaneous cell death through gene regulation in order to regulate the development of organisms and maintain a stable environment (32). Under certain conditions, the activation of enzymes, such as endogenous DNA incision enzymes, can induce cell death through a series of signaling cascade reactions via exogenous or endogenous processes. The Bcl-2 protein, encoded by the Bcl-2 gene, serves an essential role in the formation of a variety of malignant tumors. Bcl-2 does not promote cell proliferation, however it inhibits apoptosis, which is the opposite of other members of the Bcl-2 family such as Bad, Bid and Bax that promote cellular apoptosis (33,34). Bcl-2 was first isolated by Tsujimoto et al (35) from follicular non-Hodgkin's lymphoma B cells and is one of the most well investigated apoptosis-regulating genes. The results of a study performed by McDonnell et al (36) on Bcl-2 transgenic mice demonstrated that high expression of Bcl-2 can inhibit the apoptosis of cells.

From the results of previous studies and the present study, it can be hypothesized that the important role of Bcl-2 serves in inhibiting apoptosis accounts for its association with hemangioma formation. The results of a study by Turner et al (37) demonstrated that the expression of Bcl-2 was positively correlated with tumor microvessel density in pituitary tumors. In addition, the results of a study by Gazzaniga et al (38) revealed that the expression of Bcl-2 was positively correlated with VEGF and bFGF expression, indicating that Bcl-2 is associated with tumor angiogenesis. Furthermore, a previous study identified higher VEGF and bFGF expression in the proliferative stage of hemangioma compared with the involuting stage (39).

The present study demonstrated that the expression of Bcl-2 in the endothelial cells of proliferative stage hemangioma samples was significantly increased compared with the expression in involuting stage hemangioma samples and healthy skin tissue samples. It has been suggested that Bcl-2 inhibits the apoptosis of endothelial cells, resulting in an imbalance between cell proliferation and apoptosis. An increase in cell proliferation and inhibition of cell apoptosis are involved in the formation and development of hemangioma.

p53 is tumor suppressor protein that is associated with tumor development and serves an essential role in the regulation of cell cycle progression, cell differentiation and apoptosis. Previous studies have revealed that >50% of tumors are associated with p53 gene mutation (40–43). p53 is ~53 kDa and is encoded by the TP53 gene. p53 is important for the maintenance of normal cell growth and inhibition of malignant proliferation. The primary mechanisms of action of p53 are the regulation of the cell cycle and induction of cell death. In the case of DNA damage, increased p53 expression can induce cell cycle arrest at the G1 stage to allow for DNA damage repair and if the damage cannot be repaired, then cell apoptosis is induced. p53 has wild-type (wt-TP53) and mutant (mt-TP53) forms. mt-TP53 cannot inhibit cell proliferation and induce apoptosis, enabling malignant cells to proliferate. In a previous study, the expression of wt-p53 in healthy tissue surrounding a hemangioma was low and only mt-p53 was detected through immunohistochemistry and quantum dot analyses (44).

In the present study, the presence of mt-p53 in human hemangioma tissue was detected through immunohistochemical and quantum dot analysis in 38 cases, and relatively accurate staging was conducted through measuring PCNA expression. The results of the current study demonstrated that compared with healthy skin tissue samples there was no significant difference in endothelial cell p53 expression in involuting stage hemangioma. Proliferative stage hemangioma endothelial cell p53 expression was significantly increased compared with involuting stage hemangioma. The expression of p53 was relatively low in the involuting stage, but relatively high in the proliferative stage. These results were consistent with results on the expression of VEGF in different stages of hemangioma (45,46). A number of studies have indicated that p53 can promote the expression of VEGF, increasing tumor angiogenesis; in addition, coexpression and a positive correlation between p53 and VEGF expression have been identified in a number of tumor types (47–49). Therefore, p53 may promote the formation of hemangioma through upregulation of VEGF expression. p53 can influence apoptosis by regulating Bcl-2 and BCL2 associated X apoptosis regulator (BAX) gene expression. p53 can specifically inhibit the expression of Bcl-2 and promote the expression of BAX. p53 is a direct transcription-activating factor of BAX. Therefore, if p53 mutation occurs, it will reduce the apoptosis of cells.

In conclusion, Bcl-2 can cause an imbalance between cell proliferation and apoptosis in endothelial cells through the inhibition of endothelial cell apoptosis. In addition, p53 may promote the proliferation of endothelial cells in proliferating cutaneous hemangioma and contribute to the generation of a large number of vascular endothelial cells. The results of the present study have provided future directions for the study of tumor angiogenesis. Understanding the role of these regulatory factors in tumor angiogenesis may aid in the development of novel treatments to inhibit tumor angiogenesis.

Acknowledgements

The present study was supported by the National Natural Science Foundation of China (grant nos. 30872688 and 81402242.

References

1 

Kilcline C and Frieden IJ: Infantile hemangiomas: How common are they? A systematic review of the medical literature. Pediatr Dermatol. 25:168–173. 2008. View Article : Google Scholar : PubMed/NCBI

2 

Takahashi K, Mulliken JB, Kozakewich HP, Rogers RA, Folkman J and Ezekowitz RA: Cellular markers that distinguish the phases of hemangioma during infancy and childhood. J Clin Invest. 93:2357–2364. 1994. View Article : Google Scholar : PubMed/NCBI

3 

Mulliken JB and Young AE: Vascular birthmarks: Hemangiomas and malformations. W. B. Saunders Co.; Philadelphia: 1988

4 

Risau W and Flamme I: Vasculogenesis. Annu Rev Cell Dev Biol. 11:73–91. 1995. View Article : Google Scholar : PubMed/NCBI

5 

Risau W: Mechanisms of angiogenesis. Nature. 386:671–674. 1997. View Article : Google Scholar : PubMed/NCBI

6 

Flamme I, Frölich T and Risau W: Molecular mechanisms of vasculogenesis and embryonic angiogenesis. J Cell Physiol. 173:206–210. 1997. View Article : Google Scholar : PubMed/NCBI

7 

Carmeliet P: Angiogenesis in health and disease. Nat Med. 9:653–660. 2003. View Article : Google Scholar : PubMed/NCBI

8 

Folkman J: Angiogenesis in cancer, vascular, rheumatoid and other disease. Nat Med. 1:27–31. 1995. View Article : Google Scholar : PubMed/NCBI

9 

Brandling-Bennett HA, Metry DW, Baselga E, Lucky AW, Adams DM, Cordisco MR and Frieden IJ: Infantile hemangiomas with unusually prolonged growth phase: A case series. Arch Dermatol. 144:1632–1637. 2008. View Article : Google Scholar : PubMed/NCBI

10 

Stiles J, Amaya C, Pham R, Rowntree RK, Lacaze M, Mulne A, Bischoff J, Kokta V, Boucheron LE, Mitchell DC and Bryan BA: Propranolol treatment of infantile hemangioma endothelial cells: A molecular analysis. Exp Ther Med. 4:594–604. 2012.PubMed/NCBI

11 

Bourdelat D, Melki E, Mazzola C and Marreel A: Congenital prenatal hemangioma: Diagnosis and treatment. Arch Pediatr. 17:383–386. 2010.(In French). View Article : Google Scholar : PubMed/NCBI

12 

Yuan WL, Qin XJ and Wang XK: Expression and correlation of mast cell, Clusterin/apoJ and transforming growth factor-beta in the different stages of human dermal hemangioma. Hua Xi Kou Qiang Yi Xue Za Zhi. 27:361–365. 2009.(In Chinese). PubMed/NCBI

13 

Chang J, Most D, Bresnick S, Mehrara B, Steinbrech DS, Reinisch J, Longaker MT and Turk AE: Proliferative hemangiomas: Analysis of cytokine gene expression and angiogenesis. Plast Reconstr Surg. 103:1–10. 1999. View Article : Google Scholar : PubMed/NCBI

14 

Tan ST, Wallis RA, He Y and Davis PF: Mast cells and hemangioma. Plast Reconstr Surg. 113:999–1011. 2004. View Article : Google Scholar : PubMed/NCBI

15 

Shan S, Shan G and Zhang D: Treatment of hemangioma by transfection of antisense VEGF gene. J Huazhong Univ Sci Technolog Med Sci. 29:335–339. 2009. View Article : Google Scholar : PubMed/NCBI

16 

Shan G, Tang T and Zhang D: Expression of HLA-G in hemangioma and its clinical significance. J Huazhong Univ Sci Technolog Med Sci. 32:713–718. 2012. View Article : Google Scholar : PubMed/NCBI

17 

Razon MJ, Kräling BM, Mulliken JB and Bischoff J: Increased apoptosis coincides with onset of involution in infantile hemangioma. Microcirculation. 5:189–195. 1998. View Article : Google Scholar : PubMed/NCBI

18 

Cook BD, Ferrari G, Pintucci G and Mignatti P: TGF-beta1 induces rearrangement of FLK-1-VE-cadherin-beta-catenin complex at the adherens junction through VEGF-mediated signaling. J Cell Biochem. 105:1367–1373. 2008. View Article : Google Scholar : PubMed/NCBI

19 

Sharma MR, Tuszynski GP and Sharma MC: Angiostatin-induced inhibition of endothelial cell proliferation/apoptosis is associated with the down-regulation of cell cycle regulatory protein cdk5. J Cell Biochem. 91:398–409. 2004. View Article : Google Scholar : PubMed/NCBI

20 

Ola MS, Nawaz M and Ahsan H: Role of Bcl-2 family proteins and caspases in the regulation of apoptosis. Mol Cell Biochem. 351:41–58. 2011. View Article : Google Scholar : PubMed/NCBI

21 

Tobiume K: Involvement of Bcl-2 family proteins in p53-induced apoptosis. J Nippon Med Sch. 72:192–193. 2005. View Article : Google Scholar : PubMed/NCBI

22 

Vaseva AV and Moll UM: The mitochondrial p53 pathway. Biochim Biophys Acta. 1787:414–420. 2009. View Article : Google Scholar : PubMed/NCBI

23 

Crowe DL and Sinha UK: P53 apoptotic response to DNA damage dependent on bcl2 but not bax in head and neck squamous cell carcinoma lines. Head Neck. 28:15–23. 2006. View Article : Google Scholar : PubMed/NCBI

24 

Hainaut P: The tumor suppressor protein p53: A receptor to genotoxic stress that controls cell growth and survival. Curr Opin Oncol. 7:76–82. 1995. View Article : Google Scholar : PubMed/NCBI

25 

Han Z, Chatterjee D, He DM, Early J, Pantazis P, Wyche JH and Hendrickson EA: Evidence for a G2 checkpoint in p53-independent apoptosis induction by X-irradiation. Mol Cell Biol. 15:5849–5857. 1995. View Article : Google Scholar : PubMed/NCBI

26 

Marinaş MC, Mogoş DG, Simionescu CE, Stepan A and Tănase F: The study of p53 and p16 immunoexpression in serous borderline and malignant ovarian tumors. Rom J Morphol Embryol. 53:1021–1025. 2012.PubMed/NCBI

27 

Cheok CF and Lane DP: Seeking synergy in p53 transcriptional activation for cancer therapy. Discov Med. 14:263–271. 2012.PubMed/NCBI

28 

Jayaraman B, Valiathan GM, Jayakumar K, Palaniyandi A, Thenumgal SJ and Ramanathan A: Lack of mutation in p53 and H-ras genes in phenytoin induced gingival overgrowth suggests its non cancerous nature. Asian Pac J Cancer Prev. 13:5535–5538. 2012. View Article : Google Scholar : PubMed/NCBI

29 

Martina JD, Simmons C and Jukic DM: High-definition hematoxylin and eosin staining in a transition to digital pathology. J Pathol Inform. 2:452011. View Article : Google Scholar : PubMed/NCBI

30 

Mulliken JB and Glowacki J: Hemangiomas and vascular malformations in infants and children: A classification based on endothelial characteristics. Plast Reconstr Surg. 69:412–422. 1982. View Article : Google Scholar : PubMed/NCBI

31 

Tomek M, Akiyama T and Dass CR: Role of Bcl-2 in tumour cell survival and implications for pharmacotherapy. J Pharm Pharmacol. 64:1695–1702. 2012. View Article : Google Scholar : PubMed/NCBI

32 

Xiao Z, Shan J, Li C, Luo L, Lu J, Li S, Long D and Li Y: Mechanisms of cyclosporine-induced renal cell apoptosis: A systematic review. Am J Nephrol. 37:30–40. 2013. View Article : Google Scholar : PubMed/NCBI

33 

Sermeus A, Genin M, Maincent A, Fransolet M, Notte A, Leclere L, Riquier H, Arnould T and Michiels C: Hypoxia-induced modulation of apoptosis and BCL-2 family proteins in different cancer cell types. PLoS One. 7:e475192012. View Article : Google Scholar : PubMed/NCBI

34 

Shu R, Liu DL and Wang Q: Effect of remifentanil on expression of Bcl-2 and caspase-3 in ratscerebral cortex following Ischemia-reperfusion injury. Acta Medicinae Universitatis Scientiae et Technologiae Huazhong. 41:72–75. 2012.(In Chinese).

35 

Tsujimoto Y, Finger LR, Yunis J, Nowell PC and Croce CM: Cloning of the chromosome breakpoint of neoplastic B cells with the t(14;18) chromosome translocation. Science. 226:1097–1099. 1984. View Article : Google Scholar : PubMed/NCBI

36 

McDonnell TJ, Deane N, Platt FM, Nunez G, Jaeger U, McKearn JP and Korsmeyer SJ: bcl-2-immunoglobulin transgenic mice demonstrate extended B cell survival and follicular lymphoproliferation. Cell. 57:79–88. 1989. View Article : Google Scholar : PubMed/NCBI

37 

Turner HE, Nagy Z, Gatter KC, Esiri MM, Wass JA and Harris AL: Proliferation, bcl-2 expression and angiogenesis in pituitary adenomas: Relationship to tumour behaviour. Br J Cancer. 82:1441–1445. 2000. View Article : Google Scholar : PubMed/NCBI

38 

Gazzaniga P, Gandini O, Gradilone A, Silvestri I, Giuliani L, Magnanti M, Gallucci M, Saccani G, Frati L and Agliano AM: Detection of basic fibroblast growth factor mRNA in urinary bladder cancer: Correlation with local relapses. Int J Oncol. 14:1123–1127. 1999.PubMed/NCBI

39 

Bielenberg DR, Bucana CD, Sanchez R, Mulliken JB, Folkman J and Fidler IJ: Progressive growth of infantile cutaneous hemangiomas is directly correlated with hyperplasia and angiogenesis of adjacent epidermis and inversely correlated with expression of the endogenous angiogenesis inhibitor, IFN-beta. Int J Oncol. 14:401–408. 1999.PubMed/NCBI

40 

Halasi M, Pandit B and Gartel AL: Proteasome inhibitors suppress the protein expression of mutant p53. Cell Cycle. 13:3202–3206. 2014. View Article : Google Scholar : PubMed/NCBI

41 

Giurgea LN, Ungureanu C and Mihailovici MS: The immunohistochemical expression of p53 and Ki67 in ovarian epithelial borderline tumors. Correlation with clinicopathological factors. Rom J Morphol Embryol. 53:967–973. 2012.PubMed/NCBI

42 

Rao Z and Ding Y: Ubiquitin pathway and ovarian cancer. Curr Oncol. 19:324–328. 2012. View Article : Google Scholar : PubMed/NCBI

43 

Ji Y, Li K, Xiao X, Zheng S, Xu T and Chen S: Effects of propranolol on the proliferation and apoptosis of hemangioma-derived endothelial cells. J Pediatr Surg. 47:2216–2223. 2012. View Article : Google Scholar : PubMed/NCBI

44 

Porter PL, Gown AM, Kramp SG and Coltrera MD: Widespread p53 overexpression in human malignant tumors. An immunohistochemical study using methacarn-fixed, embedded tissue. Am J Pathol. 140:145–153. 1992.PubMed/NCBI

45 

Itahana Y and Itahana K: Emerging roles of mitochondrial p53 and ARF. Curr Drug Targets. 13:1633–1640. 2012. View Article : Google Scholar : PubMed/NCBI

46 

Crasta JA, Mishra S and Vallikad E: Ovarian serous carcinoma: Relationship of p53 and bcl-2 with tumor angiogenesis and VEGF expression. Int J Gynecol Pathol. 30:521–526. 2011. View Article : Google Scholar : PubMed/NCBI

47 

Kang SM, Maeda K, Onoda N, Chung YS, Nakata B, Nishiguchi Y and Sowa M: Combined analysis of p53 and vascular endothelial growth factor expression in colorectal carcinoma for determination of tumor vascularity and liver metastasis. Int J Cancer. 74:502–507. 1997. View Article : Google Scholar : PubMed/NCBI

48 

Koide N, Nishio A, Hiraguri M, Hanazaki K, Adachi W and Amano J: Coexpression of vascular endothelial growth factor and p53 protein in squamous cell carcinoma of the esophagus. Am J Gastroenterol. 96:1733–1740. 2001. View Article : Google Scholar : PubMed/NCBI

49 

Tian Y, Ding RY, Zhi YH, Guo RX and Wu SD: Analysis of p53 and vascular endothelial growth factor expression in human gallbladder carcinoma for the determination of tumor vascularity. World J Gastroenterol. 12:415–419. 2006. View Article : Google Scholar : PubMed/NCBI

Related Articles

  • Abstract
  • View
  • Download
  • Twitter
Copy and paste a formatted citation
Spandidos Publications style
Tang T and Zhang DL: Detection of p53 and Bcl-2 expression in cutaneous hemangioma through the quantum dot technique. Oncol Lett 13: 2937-2944, 2017.
APA
Tang, T., & Zhang, D. (2017). Detection of p53 and Bcl-2 expression in cutaneous hemangioma through the quantum dot technique. Oncology Letters, 13, 2937-2944. https://doi.org/10.3892/ol.2017.5856
MLA
Tang, T., Zhang, D."Detection of p53 and Bcl-2 expression in cutaneous hemangioma through the quantum dot technique". Oncology Letters 13.5 (2017): 2937-2944.
Chicago
Tang, T., Zhang, D."Detection of p53 and Bcl-2 expression in cutaneous hemangioma through the quantum dot technique". Oncology Letters 13, no. 5 (2017): 2937-2944. https://doi.org/10.3892/ol.2017.5856
Copy and paste a formatted citation
x
Spandidos Publications style
Tang T and Zhang DL: Detection of p53 and Bcl-2 expression in cutaneous hemangioma through the quantum dot technique. Oncol Lett 13: 2937-2944, 2017.
APA
Tang, T., & Zhang, D. (2017). Detection of p53 and Bcl-2 expression in cutaneous hemangioma through the quantum dot technique. Oncology Letters, 13, 2937-2944. https://doi.org/10.3892/ol.2017.5856
MLA
Tang, T., Zhang, D."Detection of p53 and Bcl-2 expression in cutaneous hemangioma through the quantum dot technique". Oncology Letters 13.5 (2017): 2937-2944.
Chicago
Tang, T., Zhang, D."Detection of p53 and Bcl-2 expression in cutaneous hemangioma through the quantum dot technique". Oncology Letters 13, no. 5 (2017): 2937-2944. https://doi.org/10.3892/ol.2017.5856
Follow us
  • Twitter
  • LinkedIn
  • Facebook
About
  • Spandidos Publications
  • Careers
  • Cookie Policy
  • Privacy Policy
How can we help?
  • Help
  • Live Chat
  • Contact
  • Email to our Support Team