Spandidos Publications Logo
  • About
    • About Spandidos
    • Aims and Scopes
    • Abstracting and Indexing
    • Editorial Policies
    • Reprints and Permissions
    • Job Opportunities
    • Terms and Conditions
    • Contact
  • Journals
    • All Journals
    • Oncology Letters
      • Oncology Letters
      • Information for Authors
      • Editorial Policies
      • Editorial Board
      • Aims and Scope
      • Abstracting and Indexing
      • Bibliographic Information
      • Archive
    • International Journal of Oncology
      • International Journal of Oncology
      • Information for Authors
      • Editorial Policies
      • Editorial Board
      • Aims and Scope
      • Abstracting and Indexing
      • Bibliographic Information
      • Archive
    • Molecular and Clinical Oncology
      • Molecular and Clinical Oncology
      • Information for Authors
      • Editorial Policies
      • Editorial Board
      • Aims and Scope
      • Abstracting and Indexing
      • Bibliographic Information
      • Archive
    • Experimental and Therapeutic Medicine
      • Experimental and Therapeutic Medicine
      • Information for Authors
      • Editorial Policies
      • Editorial Board
      • Aims and Scope
      • Abstracting and Indexing
      • Bibliographic Information
      • Archive
    • International Journal of Molecular Medicine
      • International Journal of Molecular Medicine
      • Information for Authors
      • Editorial Policies
      • Editorial Board
      • Aims and Scope
      • Abstracting and Indexing
      • Bibliographic Information
      • Archive
    • Biomedical Reports
      • Biomedical Reports
      • Information for Authors
      • Editorial Policies
      • Editorial Board
      • Aims and Scope
      • Abstracting and Indexing
      • Bibliographic Information
      • Archive
    • Oncology Reports
      • Oncology Reports
      • Information for Authors
      • Editorial Policies
      • Editorial Board
      • Aims and Scope
      • Abstracting and Indexing
      • Bibliographic Information
      • Archive
    • Molecular Medicine Reports
      • Molecular Medicine Reports
      • Information for Authors
      • Editorial Policies
      • Editorial Board
      • Aims and Scope
      • Abstracting and Indexing
      • Bibliographic Information
      • Archive
    • World Academy of Sciences Journal
      • World Academy of Sciences Journal
      • Information for Authors
      • Editorial Policies
      • Editorial Board
      • Aims and Scope
      • Abstracting and Indexing
      • Bibliographic Information
      • Archive
    • International Journal of Functional Nutrition
      • International Journal of Functional Nutrition
      • Information for Authors
      • Editorial Policies
      • Editorial Board
      • Aims and Scope
      • Abstracting and Indexing
      • Bibliographic Information
      • Archive
    • International Journal of Epigenetics
      • International Journal of Epigenetics
      • Information for Authors
      • Editorial Policies
      • Editorial Board
      • Aims and Scope
      • Abstracting and Indexing
      • Bibliographic Information
      • Archive
    • Medicine International
      • Medicine International
      • Information for Authors
      • Editorial Policies
      • Editorial Board
      • Aims and Scope
      • Abstracting and Indexing
      • Bibliographic Information
      • Archive
  • Articles
  • Information
    • Information for Authors
    • Information for Reviewers
    • Information for Librarians
    • Information for Advertisers
    • Conferences
  • Language Editing
Spandidos Publications Logo
  • About
    • About Spandidos
    • Aims and Scopes
    • Abstracting and Indexing
    • Editorial Policies
    • Reprints and Permissions
    • Job Opportunities
    • Terms and Conditions
    • Contact
  • Journals
    • All Journals
    • Biomedical Reports
      • Information for Authors
      • Editorial Policies
      • Editorial Board
      • Aims and Scope
      • Abstracting and Indexing
      • Bibliographic Information
      • Archive
    • Experimental and Therapeutic Medicine
      • Information for Authors
      • Editorial Policies
      • Editorial Board
      • Aims and Scope
      • Abstracting and Indexing
      • Bibliographic Information
      • Archive
    • International Journal of Epigenetics
      • Information for Authors
      • Editorial Policies
      • Editorial Board
      • Aims and Scope
      • Abstracting and Indexing
      • Bibliographic Information
      • Archive
    • International Journal of Functional Nutrition
      • Information for Authors
      • Editorial Policies
      • Editorial Board
      • Aims and Scope
      • Abstracting and Indexing
      • Bibliographic Information
      • Archive
    • International Journal of Molecular Medicine
      • Information for Authors
      • Editorial Policies
      • Editorial Board
      • Aims and Scope
      • Abstracting and Indexing
      • Bibliographic Information
      • Archive
    • International Journal of Oncology
      • Information for Authors
      • Editorial Policies
      • Editorial Board
      • Aims and Scope
      • Abstracting and Indexing
      • Bibliographic Information
      • Archive
    • Medicine International
      • Information for Authors
      • Editorial Policies
      • Editorial Board
      • Aims and Scope
      • Abstracting and Indexing
      • Bibliographic Information
      • Archive
    • Molecular and Clinical Oncology
      • Information for Authors
      • Editorial Policies
      • Editorial Board
      • Aims and Scope
      • Abstracting and Indexing
      • Bibliographic Information
      • Archive
    • Molecular Medicine Reports
      • Information for Authors
      • Editorial Policies
      • Editorial Board
      • Aims and Scope
      • Abstracting and Indexing
      • Bibliographic Information
      • Archive
    • Oncology Letters
      • Information for Authors
      • Editorial Policies
      • Editorial Board
      • Aims and Scope
      • Abstracting and Indexing
      • Bibliographic Information
      • Archive
    • Oncology Reports
      • Information for Authors
      • Editorial Policies
      • Editorial Board
      • Aims and Scope
      • Abstracting and Indexing
      • Bibliographic Information
      • Archive
    • World Academy of Sciences Journal
      • Information for Authors
      • Editorial Policies
      • Editorial Board
      • Aims and Scope
      • Abstracting and Indexing
      • Bibliographic Information
      • Archive
  • Articles
  • Information
    • For Authors
    • For Reviewers
    • For Librarians
    • For Advertisers
    • Conferences
  • Language Editing
Login Register Submit
  • This site uses cookies
  • You can change your cookie settings at any time by following the instructions in our Cookie Policy. To find out more, you may read our Privacy Policy.

    I agree
Search articles by DOI, keyword, author or affiliation
Search
Advanced Search
presentation
Oncology Letters
Join Editorial Board Propose a Special Issue
Print ISSN: 1792-1074 Online ISSN: 1792-1082
Journal Cover
June-2017 Volume 13 Issue 6

Full Size Image

Sign up for eToc alerts
Recommend to Library

Journals

International Journal of Molecular Medicine

International Journal of Molecular Medicine

International Journal of Molecular Medicine is an international journal devoted to molecular mechanisms of human disease.

International Journal of Oncology

International Journal of Oncology

International Journal of Oncology is an international journal devoted to oncology research and cancer treatment.

Molecular Medicine Reports

Molecular Medicine Reports

Covers molecular medicine topics such as pharmacology, pathology, genetics, neuroscience, infectious diseases, molecular cardiology, and molecular surgery.

Oncology Reports

Oncology Reports

Oncology Reports is an international journal devoted to fundamental and applied research in Oncology.

Experimental and Therapeutic Medicine

Experimental and Therapeutic Medicine

Experimental and Therapeutic Medicine is an international journal devoted to laboratory and clinical medicine.

Oncology Letters

Oncology Letters

Oncology Letters is an international journal devoted to Experimental and Clinical Oncology.

Biomedical Reports

Biomedical Reports

Explores a wide range of biological and medical fields, including pharmacology, genetics, microbiology, neuroscience, and molecular cardiology.

Molecular and Clinical Oncology

Molecular and Clinical Oncology

International journal addressing all aspects of oncology research, from tumorigenesis and oncogenes to chemotherapy and metastasis.

World Academy of Sciences Journal

World Academy of Sciences Journal

Multidisciplinary open-access journal spanning biochemistry, genetics, neuroscience, environmental health, and synthetic biology.

International Journal of Functional Nutrition

International Journal of Functional Nutrition

Open-access journal combining biochemistry, pharmacology, immunology, and genetics to advance health through functional nutrition.

International Journal of Epigenetics

International Journal of Epigenetics

Publishes open-access research on using epigenetics to advance understanding and treatment of human disease.

Medicine International

Medicine International

An International Open Access Journal Devoted to General Medicine.

Journal Cover
June-2017 Volume 13 Issue 6

Full Size Image

Sign up for eToc alerts
Recommend to Library

  • Article
  • Citations
    • Cite This Article
    • Download Citation
    • Create Citation Alert
    • Remove Citation Alert
    • Cited By
  • Similar Articles
    • Related Articles (in Spandidos Publications)
    • Similar Articles (Google Scholar)
    • Similar Articles (PubMed)
  • Download PDF
  • Download XML
  • View XML
Article Open Access

A low serum Tat-interacting protein 30 level is a diagnostic and prognostic biomarker for hepatocellular carcinoma

  • Authors:
    • Sha‑Sha Fan
    • Chu‑Shu Liao
    • You‑De Cao
    • Pei‑Ling Xiao
    • Tan Deng
    • Rong‑Cheng Luo
    • Hua‑Xin Duan
  • View Affiliations / Copyright

    Affiliations: Department of Oncology, Hunan Provincial People's Hospital, The First Affiliated Hospital of Hunan Normal University, Changsha, Hunan 410005, P.R. China, Blood Disease Laboratory, Hunan Provincial People's Hospital, The First Affiliated Hospital of Hunan Normal University, Changsha, Hunan 410005, P.R. China, Medical Clinical Laboratory, Hunan Provincial People's Hospital, The First Affiliated Hospital of Hunan Normal University, Changsha, Hunan 410005, P.R. China, Department of Oncology, Traditional Chinese Medicine‑Integrated Hospital, Southern Medical University, Guangzhou, Guangdong 510315, P.R. China
    Copyright: © Fan et al. This is an open access article distributed under the terms of Creative Commons Attribution License.
  • Pages: 4208-4214
    |
    Published online on: April 11, 2017
       https://doi.org/10.3892/ol.2017.6024
  • Expand metrics +
Metrics: Total Views: 0 (Spandidos Publications: | PMC Statistics: )
Metrics: Total PDF Downloads: 0 (Spandidos Publications: | PMC Statistics: )
Cited By (CrossRef): 0 citations Loading Articles...

This article is mentioned in:



Abstract

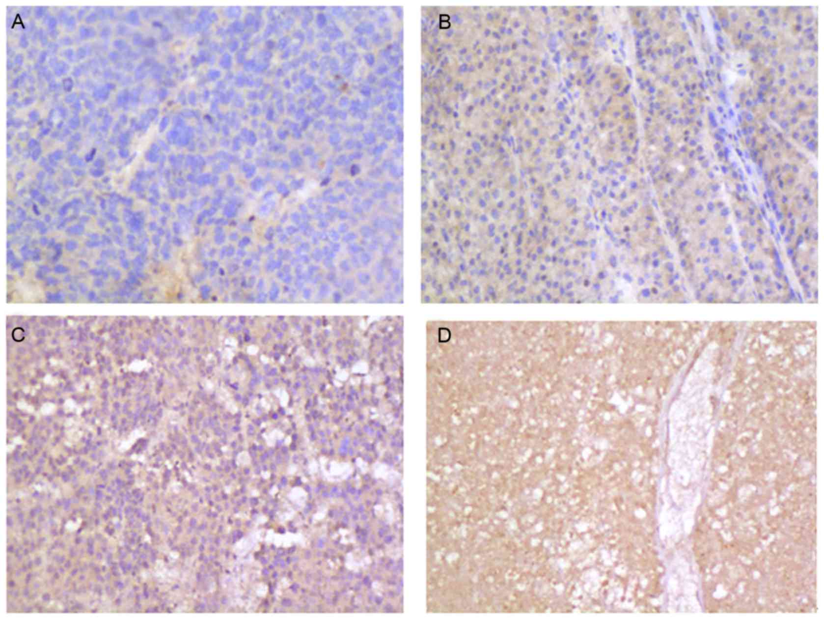
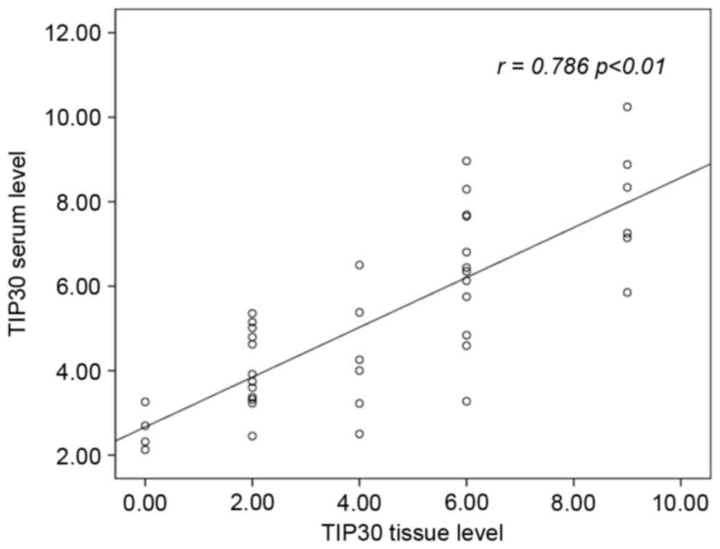
The present study aimed to evaluate the diagnostic and prognostic value of Tat‑interacting protein 30 (HTATIP2/TIP30) levels alone and in combination with α-fetoprotein (AFP) for the evaluation of hepatocellular carcinoma (HCC) patients. ELISA and immunohistochemical measurements on the serum and tissue of HTATIP2/TIP30 protein from HCC patients and normal controls were made. Receiver operating characteristic (ROC) curve analyses of AFP and HTATIP2/TIP30 were performed, as well as logistic regression analysis of APF combined with HTATIP2/TIP30. Log‑rank analysis was used to correlate the prognosis with various levels of HTATIP2/TIP30. HTATIP2/TIP30 levels were significantly lower in the HCC group compared with the control group (4.50±2.63 vs. 9.50±2.04 ng/ml, P<0.001). ROC analysis revealed an optimal cut‑off point at 7.27 ng/ml HTATIP2/TIP30 for separating the HCC from the control groups. The sensitivity and specificity were 84.6 and 93.7% (P<0.001), respectively. ROC areas of HTATIP2/TIP30 (0.928, P<0.001) were significantly higher than those for AFP (P<0.001). The area under the curve of the HTATIP2/TIP30 and AFP combination was 0.950 (P<0.001). Log‑rank tests revealed that the recurrence‑free survival time of the group with HTATIP2/TIP30>5.71 ng/ml was significantly higher than that of the control group (P<0.001). This is the first study to demonstrate that HTATIP2/TIP30 levels in serum may be an effective biomarker for the diagnosis and prognosis of HCC.
View Figures

Figure 1

Figure 2

Figure 3

Figure 4

Figure 5

Figure 6

View References

1 

Kudo M, Han KH, Kokudo N, Cheng AL, Choi BI, Furuse J, Izumi N, Park JW, Poon RT and Sakamoto M: Liver cancer working group report. Jpn J Clin Oncol. 40 Suppl 1:i19–i27. 2010. View Article : Google Scholar : PubMed/NCBI

2 

Yau T, Chan P, Epstein R and Poon RT: Management of advanced hepatocellular carcinoma in the era of targeted therapy. Liver Int. 29:10–17. 2009. View Article : Google Scholar : PubMed/NCBI

3 

Song P, Tobe RG, Inagaki Y, Kokudo N, Hasegawa K, Sugawara Y and Tang W: The management of hepatocellular carcinoma around the world: A comparison of guidelines from 2001 to 2011. Liver Int. 32:1053–1063. 2012. View Article : Google Scholar : PubMed/NCBI

4 

Farinati F, Marino D, de Giorgio M, Baldan A, Cantarini M, Cursaro C, Rapaccini G, Del Poggio P, Di Nolfo MA, Benvegnù L, et al: Diagnostic and prognostic role of alpha-fetoprotein in hepatocellular carcinoma: Both or neither? Am J Gastroenterol. 101:524–532. 2006. View Article : Google Scholar : PubMed/NCBI

5 

Villanueva A, Minguez B, Forner A, Reig M and Llovet JM: Hepatocellular carcinoma: Novel molecular approaches for diagnosis, prognosis and therapy. Annu Rev Med. 61:317–328. 2010. View Article : Google Scholar : PubMed/NCBI

6 

Xiao H, Tao Y, Greenblatt J and Roeder RG: A cofactor, TIP30, specifically enhances HIV-1 Tat-activated transcription. Proc Natl Acad Sci USA. 95:pp. 2146–2151. 1998; View Article : Google Scholar : PubMed/NCBI

7 

Morán S, Rodríguez-Leal G, Marín-López E, Arista J, Poo JL, Vargas-Vorackova F, Kershenobich D and Uribe M: Primary biliary cirrhosis: Clinical features and survival of a mexican population. Rev Gastroenterol Mex. 61:212–219. 1996.(In Spanish). PubMed/NCBI

8 

Zhang C, Mori M, Gao S, Li A, Hoshino I, Aupperlee MD, Haslam SZ and Xiao H: Tip30 deletion in MMTV-Neu mice leads to enhanced EGFR signaling and development of estrogen receptor-positive and progesterone receptor-negative mammary tumors. Cancer Res. 70:10224–10233. 2010. View Article : Google Scholar : PubMed/NCBI

9 

Ito M, Jiang C, Krumm K, Zhang X, Pecha J, Zhao J, Guo Y, Roeder RG and Xiao H: TIP30 deficiency increases susceptibility to tumorigenesis. Cancer Res. 63:8763–8767. 2003.PubMed/NCBI

10 

Zhao J, Zhang X, Shi M, Xu H, Jin J, Ni H, Yang S, Dai J, Wu M and Guo Y: TIP30 inhibits growth of HCC cell lines and inhibits HCC xenografts in mice in combination with 5-FU. Hepatology. 44:205–215. 2006. View Article : Google Scholar : PubMed/NCBI

11 

Kumtepe Y, Halici Z, Sengul O, Kunak CS, Bayir Y, Kilic N, Cadirci E, Pulur A and Bayraktutan Z: High serum HTATIP2/TIP30 level in serous ovarian cancer as prognostic or diagnostic marker. Eur J Med Res. 18:182013. View Article : Google Scholar : PubMed/NCBI

12 

Tong X, Li K, Luo Z, Lu B, Liu X, Wang T, Pang M, Liang B, Tan M, Wu M, et al: Decreased TIP30 expression promotes tumor metastasis in lung cancer. Am J Pathol. 174:1931–1939. 2009. View Article : Google Scholar : PubMed/NCBI

13 

Guo S, Jing W, Hu X, Zhou X, Liu L, Zhu M, Yin F, Chen R, Zhao J and Guo Y: Decreased TIP30 expression predicts poor prognosis in pancreatic cancer patients. Int J Cancer. 134:1369–1378. 2014. View Article : Google Scholar : PubMed/NCBI

14 

Shi M, Yan SG, Xie ST and Wang HN: Tip30-induced apoptosis requires translocation of Bax and involves mitochondrial release of cytochrome c and Smac/DIABLO in hepatocellular carcinoma cells. Biochim Biophys Acta. 1783:263–274. 2008. View Article : Google Scholar : PubMed/NCBI

15 

Zhao J, Chen J, Lu B, Dong L, Wang H, Bi C, Wu G, Guo H, Wu M and Guo Y: TIP30 induces apoptosis under oxidative stress through stabilization of p53 messenger RNA in human hepatocellular carcinoma. Cancer Res. 68:4133–4141. 2008. View Article : Google Scholar : PubMed/NCBI

16 

Zhao J, Lu B, Xu H, Tong X, Wu G, Zhang X, Liang A, Cong W, Dai J, Wang H, et al: Thirty-kilodalton Tat-interacting protein suppresses tumor metastasis by inhibition of osteopontin transcription in human hepatocellular carcinoma. Hepatology. 48:265–275. 2008. View Article : Google Scholar : PubMed/NCBI

17 

Jiang C, Pecha J, Hoshino I, Ankrapp D and Xiao H: TIP30 mutant derived from hepatocellular carcinoma specimens promotes growth of HepG2 cells through up-regulation of N-cadherin. Cancer Res. 67:3574–3582. 2007. View Article : Google Scholar : PubMed/NCBI

18 

Lu B, Ma Y, Wu G, Tong X, Guo H, Liang A, Cong W, Liu C, Wang H, Wu M, et al: Methylation of Tip30 promoter is associated with poor prognosis in human hepatocellular carcinoma. Clin Cancer Res. 14:7405–7412. 2008. View Article : Google Scholar : PubMed/NCBI

19 

Song C, Wang F, Cheng K, Wei X, Bian Y, Wang K, Tan Y, Wang H, Ye M and Zou H: Large-scale quantification of single amino-acid variations by a variation-associated database search strategy. J Proteome Res. 13:241–248. 2014. View Article : Google Scholar : PubMed/NCBI

20 

Shtivelman E: A link between metastasis and resistance to apoptosis of variant small cell lung carcinoma. Oncogene. 14:2167–2173. 1997. View Article : Google Scholar : PubMed/NCBI

21 

Li J, Zhang C, Xing Y, Janicki JS, Yamamoto M, Wang XL, Tang DQ and Cui T: Up-regulation of p27 (kip1) contributes to Nrf2-mediated protection against angiotensin II-induced cardiac hypertrophy. Cardiovasc Res. 90:315–324. 2011. View Article : Google Scholar : PubMed/NCBI

22 

Xiao H, Palhan V, Yang Y and Roeder RG: TIP30 has an intrinsic kinase activity required for up-regulation of a subset of apoptotic genes. EMBO J. 19:956–963. 2000. View Article : Google Scholar : PubMed/NCBI

23 

Berasain C and Avila MA: The EGFR signalling system in the liver: From hepatoprotection to hepatocarcinogenesis. J Gastroenterol. 49:9–23. 2014. View Article : Google Scholar : PubMed/NCBI

24 

Huang P, Xu X, Wang L, Zhu B, Wang X and Xia J: The role of EGF-EGFR signalling pathway in hepatocellular carcinoma inflammatory microenvironment. J Cell Mol Med. 18:218–230. 2014. View Article : Google Scholar : PubMed/NCBI

25 

Zhang C, Li A, Gao S, Zhang X and Xiao H: The TIP30 protein complex, arachidonic acid and coenzyme A are required for vesicle membrane fusion. PLoS One. 6:e212332011. View Article : Google Scholar : PubMed/NCBI

26 

Li A, Zhang C, Gao S, Chen F, Yang C, Luo R and Xiao H: TIP30 loss enhances cytoplasmic and nuclear EGFR signaling and promotes lung adenocarcinogenesis in mice. Oncogene. 32:2273–2281, 2281e. 1–12. 2013. View Article : Google Scholar : PubMed/NCBI

27 

Shan SG, Gao YT, Xu YJ, Huang Y, Zhang Q, Zhai DK, Li JB, Wang FM, Jing X, Du Z and Wang YJ: Gradually increased Golgi protein 73 expression in the progression of benign liver diseases to precancerous lesions and hepatocellular carcinoma correlates with prognosis of patients. Hepatol Res. 43:1199–1210. 2013. View Article : Google Scholar : PubMed/NCBI

28 

Chen TM, Lin CC, Huang PT and Wen CF: Neutrophil-to-lymphocyte ratio associated with mortality in early hepatocellular carcinoma patients after radiofrequency ablation. J Gastroenterol Hepatol. 27:553–561. 2012. View Article : Google Scholar : PubMed/NCBI

29 

Huang ZL, Luo J, Chen MS, Li JQ and Shi M: Blood neutrophil-to-lymphocyte ratio predicts survival in patients with unresectable hepatocellular carcinoma undergoing transarterial chemoembolization. J Vasc Interv Radiol. 22:702–709. 2011. View Article : Google Scholar : PubMed/NCBI

30 

Bai F, Yano Y, Fukumoto T, Takebe A, Tanaka M, Kuramitsu K, Anggorowati N, Rinonce HT, Widasari DI, Saito M, et al: Quantification of pregenomic RNA and covalently closed circular DNA in hepatitis B virus-related hepatocellular carcinoma. Int J Hepatol. 2013:8492902013. View Article : Google Scholar : PubMed/NCBI

31 

Yang HI, Sherman M, Su J, Chen PJ, Liaw YF, Iloeje UH and Chen CJ: Nomograms for risk of hepatocellular carcinoma in patients with chronic hepatitis B virus infection. J Clin Oncol. 28:2437–2444. 2010. View Article : Google Scholar : PubMed/NCBI

32 

Mittal S and El-Serag HB: Epidemiology of hepatocellular carcinoma: Consider the population. J Clin Gastroenterol. 47 Suppl:S2–S6. 2013. View Article : Google Scholar : PubMed/NCBI

33 

Zipprich A, Garcia-Tsao G, Rogowski S, Fleig WE, Seufferlein T and Dollinger MM: Prognostic indicators of survival in patients with compensated and decompensated cirrhosis. Liver Int. 32:1407–1414. 2012. View Article : Google Scholar : PubMed/NCBI

34 

Colli A, Fraquelli M, Casazza G, Massironi S, Colucci A, Conte D and Duca P: Accuracy of ultrasonography, spiral CT, magnetic resonance and alpha-fetoprotein in diagnosing hepatocellular carcinoma: A systematic review. Am J Gastroenterol. 101:513–523. 2006. View Article : Google Scholar : PubMed/NCBI

Related Articles

  • Abstract
  • View
  • Download
  • Twitter
Copy and paste a formatted citation
Spandidos Publications style
Fan SS, Liao CS, Cao YD, Xiao PL, Deng T, Luo RC and Duan HX: A low serum Tat-interacting protein 30 level is a diagnostic and prognostic biomarker for hepatocellular carcinoma. Oncol Lett 13: 4208-4214, 2017.
APA
Fan, S., Liao, C., Cao, Y., Xiao, P., Deng, T., Luo, R., & Duan, H. (2017). A low serum Tat-interacting protein 30 level is a diagnostic and prognostic biomarker for hepatocellular carcinoma. Oncology Letters, 13, 4208-4214. https://doi.org/10.3892/ol.2017.6024
MLA
Fan, S., Liao, C., Cao, Y., Xiao, P., Deng, T., Luo, R., Duan, H."A low serum Tat-interacting protein 30 level is a diagnostic and prognostic biomarker for hepatocellular carcinoma". Oncology Letters 13.6 (2017): 4208-4214.
Chicago
Fan, S., Liao, C., Cao, Y., Xiao, P., Deng, T., Luo, R., Duan, H."A low serum Tat-interacting protein 30 level is a diagnostic and prognostic biomarker for hepatocellular carcinoma". Oncology Letters 13, no. 6 (2017): 4208-4214. https://doi.org/10.3892/ol.2017.6024
Copy and paste a formatted citation
x
Spandidos Publications style
Fan SS, Liao CS, Cao YD, Xiao PL, Deng T, Luo RC and Duan HX: A low serum Tat-interacting protein 30 level is a diagnostic and prognostic biomarker for hepatocellular carcinoma. Oncol Lett 13: 4208-4214, 2017.
APA
Fan, S., Liao, C., Cao, Y., Xiao, P., Deng, T., Luo, R., & Duan, H. (2017). A low serum Tat-interacting protein 30 level is a diagnostic and prognostic biomarker for hepatocellular carcinoma. Oncology Letters, 13, 4208-4214. https://doi.org/10.3892/ol.2017.6024
MLA
Fan, S., Liao, C., Cao, Y., Xiao, P., Deng, T., Luo, R., Duan, H."A low serum Tat-interacting protein 30 level is a diagnostic and prognostic biomarker for hepatocellular carcinoma". Oncology Letters 13.6 (2017): 4208-4214.
Chicago
Fan, S., Liao, C., Cao, Y., Xiao, P., Deng, T., Luo, R., Duan, H."A low serum Tat-interacting protein 30 level is a diagnostic and prognostic biomarker for hepatocellular carcinoma". Oncology Letters 13, no. 6 (2017): 4208-4214. https://doi.org/10.3892/ol.2017.6024
Follow us
  • Twitter
  • LinkedIn
  • Facebook
About
  • Spandidos Publications
  • Careers
  • Cookie Policy
  • Privacy Policy
How can we help?
  • Help
  • Live Chat
  • Contact
  • Email to our Support Team