Spandidos Publications Logo
  • About
    • About Spandidos
    • Aims and Scopes
    • Abstracting and Indexing
    • Editorial Policies
    • Reprints and Permissions
    • Job Opportunities
    • Terms and Conditions
    • Contact
  • Journals
    • All Journals
    • Oncology Letters
      • Oncology Letters
      • Information for Authors
      • Editorial Policies
      • Editorial Board
      • Aims and Scope
      • Abstracting and Indexing
      • Bibliographic Information
      • Archive
    • International Journal of Oncology
      • International Journal of Oncology
      • Information for Authors
      • Editorial Policies
      • Editorial Board
      • Aims and Scope
      • Abstracting and Indexing
      • Bibliographic Information
      • Archive
    • Molecular and Clinical Oncology
      • Molecular and Clinical Oncology
      • Information for Authors
      • Editorial Policies
      • Editorial Board
      • Aims and Scope
      • Abstracting and Indexing
      • Bibliographic Information
      • Archive
    • Experimental and Therapeutic Medicine
      • Experimental and Therapeutic Medicine
      • Information for Authors
      • Editorial Policies
      • Editorial Board
      • Aims and Scope
      • Abstracting and Indexing
      • Bibliographic Information
      • Archive
    • International Journal of Molecular Medicine
      • International Journal of Molecular Medicine
      • Information for Authors
      • Editorial Policies
      • Editorial Board
      • Aims and Scope
      • Abstracting and Indexing
      • Bibliographic Information
      • Archive
    • Biomedical Reports
      • Biomedical Reports
      • Information for Authors
      • Editorial Policies
      • Editorial Board
      • Aims and Scope
      • Abstracting and Indexing
      • Bibliographic Information
      • Archive
    • Oncology Reports
      • Oncology Reports
      • Information for Authors
      • Editorial Policies
      • Editorial Board
      • Aims and Scope
      • Abstracting and Indexing
      • Bibliographic Information
      • Archive
    • Molecular Medicine Reports
      • Molecular Medicine Reports
      • Information for Authors
      • Editorial Policies
      • Editorial Board
      • Aims and Scope
      • Abstracting and Indexing
      • Bibliographic Information
      • Archive
    • World Academy of Sciences Journal
      • World Academy of Sciences Journal
      • Information for Authors
      • Editorial Policies
      • Editorial Board
      • Aims and Scope
      • Abstracting and Indexing
      • Bibliographic Information
      • Archive
    • International Journal of Functional Nutrition
      • International Journal of Functional Nutrition
      • Information for Authors
      • Editorial Policies
      • Editorial Board
      • Aims and Scope
      • Abstracting and Indexing
      • Bibliographic Information
      • Archive
    • International Journal of Epigenetics
      • International Journal of Epigenetics
      • Information for Authors
      • Editorial Policies
      • Editorial Board
      • Aims and Scope
      • Abstracting and Indexing
      • Bibliographic Information
      • Archive
    • Medicine International
      • Medicine International
      • Information for Authors
      • Editorial Policies
      • Editorial Board
      • Aims and Scope
      • Abstracting and Indexing
      • Bibliographic Information
      • Archive
  • Articles
  • Information
    • Information for Authors
    • Information for Reviewers
    • Information for Librarians
    • Information for Advertisers
    • Conferences
  • Language Editing
Spandidos Publications Logo
  • About
    • About Spandidos
    • Aims and Scopes
    • Abstracting and Indexing
    • Editorial Policies
    • Reprints and Permissions
    • Job Opportunities
    • Terms and Conditions
    • Contact
  • Journals
    • All Journals
    • Biomedical Reports
      • Information for Authors
      • Editorial Policies
      • Editorial Board
      • Aims and Scope
      • Abstracting and Indexing
      • Bibliographic Information
      • Archive
    • Experimental and Therapeutic Medicine
      • Information for Authors
      • Editorial Policies
      • Editorial Board
      • Aims and Scope
      • Abstracting and Indexing
      • Bibliographic Information
      • Archive
    • International Journal of Epigenetics
      • Information for Authors
      • Editorial Policies
      • Editorial Board
      • Aims and Scope
      • Abstracting and Indexing
      • Bibliographic Information
      • Archive
    • International Journal of Functional Nutrition
      • Information for Authors
      • Editorial Policies
      • Editorial Board
      • Aims and Scope
      • Abstracting and Indexing
      • Bibliographic Information
      • Archive
    • International Journal of Molecular Medicine
      • Information for Authors
      • Editorial Policies
      • Editorial Board
      • Aims and Scope
      • Abstracting and Indexing
      • Bibliographic Information
      • Archive
    • International Journal of Oncology
      • Information for Authors
      • Editorial Policies
      • Editorial Board
      • Aims and Scope
      • Abstracting and Indexing
      • Bibliographic Information
      • Archive
    • Medicine International
      • Information for Authors
      • Editorial Policies
      • Editorial Board
      • Aims and Scope
      • Abstracting and Indexing
      • Bibliographic Information
      • Archive
    • Molecular and Clinical Oncology
      • Information for Authors
      • Editorial Policies
      • Editorial Board
      • Aims and Scope
      • Abstracting and Indexing
      • Bibliographic Information
      • Archive
    • Molecular Medicine Reports
      • Information for Authors
      • Editorial Policies
      • Editorial Board
      • Aims and Scope
      • Abstracting and Indexing
      • Bibliographic Information
      • Archive
    • Oncology Letters
      • Information for Authors
      • Editorial Policies
      • Editorial Board
      • Aims and Scope
      • Abstracting and Indexing
      • Bibliographic Information
      • Archive
    • Oncology Reports
      • Information for Authors
      • Editorial Policies
      • Editorial Board
      • Aims and Scope
      • Abstracting and Indexing
      • Bibliographic Information
      • Archive
    • World Academy of Sciences Journal
      • Information for Authors
      • Editorial Policies
      • Editorial Board
      • Aims and Scope
      • Abstracting and Indexing
      • Bibliographic Information
      • Archive
  • Articles
  • Information
    • For Authors
    • For Reviewers
    • For Librarians
    • For Advertisers
    • Conferences
  • Language Editing
Login Register Submit
  • This site uses cookies
  • You can change your cookie settings at any time by following the instructions in our Cookie Policy. To find out more, you may read our Privacy Policy.

    I agree
Search articles by DOI, keyword, author or affiliation
Search
Advanced Search
presentation
Oncology Letters
Join Editorial Board Propose a Special Issue
Print ISSN: 1792-1074 Online ISSN: 1792-1082
Journal Cover
July-2017 Volume 14 Issue 1

Full Size Image

Sign up for eToc alerts
Recommend to Library

Journals

International Journal of Molecular Medicine

International Journal of Molecular Medicine

International Journal of Molecular Medicine is an international journal devoted to molecular mechanisms of human disease.

International Journal of Oncology

International Journal of Oncology

International Journal of Oncology is an international journal devoted to oncology research and cancer treatment.

Molecular Medicine Reports

Molecular Medicine Reports

Covers molecular medicine topics such as pharmacology, pathology, genetics, neuroscience, infectious diseases, molecular cardiology, and molecular surgery.

Oncology Reports

Oncology Reports

Oncology Reports is an international journal devoted to fundamental and applied research in Oncology.

Experimental and Therapeutic Medicine

Experimental and Therapeutic Medicine

Experimental and Therapeutic Medicine is an international journal devoted to laboratory and clinical medicine.

Oncology Letters

Oncology Letters

Oncology Letters is an international journal devoted to Experimental and Clinical Oncology.

Biomedical Reports

Biomedical Reports

Explores a wide range of biological and medical fields, including pharmacology, genetics, microbiology, neuroscience, and molecular cardiology.

Molecular and Clinical Oncology

Molecular and Clinical Oncology

International journal addressing all aspects of oncology research, from tumorigenesis and oncogenes to chemotherapy and metastasis.

World Academy of Sciences Journal

World Academy of Sciences Journal

Multidisciplinary open-access journal spanning biochemistry, genetics, neuroscience, environmental health, and synthetic biology.

International Journal of Functional Nutrition

International Journal of Functional Nutrition

Open-access journal combining biochemistry, pharmacology, immunology, and genetics to advance health through functional nutrition.

International Journal of Epigenetics

International Journal of Epigenetics

Publishes open-access research on using epigenetics to advance understanding and treatment of human disease.

Medicine International

Medicine International

An International Open Access Journal Devoted to General Medicine.

Journal Cover
July-2017 Volume 14 Issue 1

Full Size Image

Sign up for eToc alerts
Recommend to Library

  • Article
  • Citations
    • Cite This Article
    • Download Citation
    • Create Citation Alert
    • Remove Citation Alert
    • Cited By
  • Similar Articles
    • Related Articles (in Spandidos Publications)
    • Similar Articles (Google Scholar)
    • Similar Articles (PubMed)
  • Download PDF
  • Download XML
  • View XML
Case Report

β-human chorionic gonadotropin-secreting intracranial germ-cell tumor associated with high testosterone in an adult man: A case report

  • Authors:
    • Wen‑Ping Yang
    • Hung‑Yu Chien
    • Yi‑Chun Lin
  • View Affiliations / Copyright

    Affiliations: Section of Endocrinology and Metabolism, Department of Medicine, Taipei City Hospital Ren‑Ai Branch, Taipei 106, Taiwan, R.O.C., Section of Endocrinology and Metabolism, Department of Medicine, Taipei Veterans General Hospital, Taipei 112, Taiwan, R.O.C.
  • Pages: 1129-1132
    |
    Published online on: May 19, 2017
       https://doi.org/10.3892/ol.2017.6213
  • Expand metrics +
Metrics: Total Views: 0 (Spandidos Publications: | PMC Statistics: )
Metrics: Total PDF Downloads: 0 (Spandidos Publications: | PMC Statistics: )
Cited By (CrossRef): 0 citations Loading Articles...

This article is mentioned in:



Abstract

A 38-year-old male patient presented with general weakness, polydipsia and a body weight loss of 10 kg in two years. Hypopituitarism with central hypothyroidism and central adrenal insufficiency were noted at Taipei City Hospital (Taipei, Taiwan). However, hypogonadotropic hypergonadism was also observed. The patient was diagnosed with an intracranial β‑human chorionic gonadotropin (β‑hCG) secreting germ‑cell tumor, and brain magnetic resonance imaging revealed that the tumor involved the pineal gland, stalk, posterior pituitary gland, right basal ganglion, hypothalamus, corpus callosum and posterior hippocampus. The cerebrospinal fluid (CSF) β‑hCG level was 1936 IU/l, while the α-fetoprotein (AFP) level was <0.24 ng/ml. The serum AFP level of the patient was 3.28 ng/ml, and the β‑hCG level was 178 IU/l with a CSF:serum β‑hCG ratio >2:1. The patient was successfully treated with chemotherapy and radiotherapy, as demonstrated by a marked decrease in size of the tumor and in the serum β‑hCG levels. Intracranial β‑hCG secreting germ‑cell tumors are rare in adults and manifest differently compared with patients of early pubertal age. In contrast with the precocious puberty frequently observed in young patients, the diagnosis of adult patients is often delayed and the symptoms are associated with tumor size and location. The present case report described an adult male with an intracranial β‑hCG secreting GCT, demonstrating hypopituitarism and asymptomatic hyperandrogenemia, and reviews and discusses the literature relevant to the case.

Introduction

Primary intracranial germ-cell tumors (GCT) are rare tumors. They account for ~0.5–3% of all pediatric primary central nervous system (CNS) tumors in Western regions, but are observed at higher frequencies among pediatric CNS tumors in Asia, accounting for up to 10% (1). The incidence in the Far East area of Japan is 0.1–0.17 per 100,000 per year, according to the Brain Tumor Registry of Japan (2), slightly higher than the incidence rate of 0.1 per 100,000 per year in the United States (3). Primary intracranial GCT typically occurs in children or young adults, with the majority of patients (60–70%) aged under 20 (4). The peak incidence of intracranial germ-cell tumors is in the early pubertal period with a median age of diagnosis at 10–12 years (5). The disease occurs primarily in males, with the ratio of male to female between 2:1 and 3:1 (6). The World Health Organization had classified intracranial germ-cell tumors into three groups as follows: Germinomas, non-germinomatous germ-cell tumors (NGGCTs) and mixed germ-cell tumors (7). The diseases are heterogeneous in terms of histology, tumor characteristics, treatment response and tumor marker secretion. Among NGGCTs, choriocarcinoma secretes β-human chorionic gonadotropin (β-HCG) into the serum and/or the cerebrospinal fluid (CSF), with high levels detected, while yolk sac tumors secrete α-fetoprotein (AFP). Elevation of AFP levels, combined with characteristic magnetic resonance imaging (MRI) results, is diagnostic for NGGCT (8). In pure germinomas, AFP is never elevated, but certain germinomas may secrete β-HCG at levels seldom >50 IU/l (9).

Due to of the rarity of this disease, reports of adult intracranial GCTs are scarce. The clinical features of GCT in adult patients are likely to be different from those in children. The present study described a rare case of β-hCG secreting primary intracranial GCT in a 38 year-old man involving the pineal gland, the stalk and posterior pituitary gland, the right basal ganglion, the hypothalamus, the corpus callosum and posterior hippocampus, with presentations of hypogonadotropic hypergonadism, panhypopituitarism, diabetes insipidus (DI) and psychological symptoms.

Case report

The present study was approved by the Ethics Committee of Taipei City Hospital and written informed consent was obtained from the patient.

A 38-year-old male patient with alcoholic liver disease and chronic hepatitis B presented with general weakness and body weight loss of 10 kg in 2 years was admitted to Department of Medicine, Taipei City Hospital Ren-Ai Branch (Taipei, Taiwan) in March 2012. The patient suffered poor work performance, emotional instability, lack of energy, insomnia and decreased libido for 1 year. Polydipsia was also noted during this period.

A physical examination revealed a man of chronically-ill appearance with normal development of the testis, pubic hair and axillary hair without gynecomastia. The daily urine output of the patient was >10,000 ml, which did not decrease following fluid restriction. Low urine density and mild hypernatremia suggested a diagnosis of DI, but it was not possible to perform a water deprivation test due to the agitated mood and behavior of the patient.

Laboratory evaluation of an 8AM sample on admission revealed the presence of adrenocorticotropic hormone [14.3 pg/ml (10–65 pg/ml)], cortisol [1.34 µg/dl (5–14 µg/dl)], thyroxine stimulating hormone [0.12 µIU/ml (0.1–4.5 µIU/ml)], free thyroxine [0.68 ng/dl (0.7–1.75 ng/dl)], follicle-stimulating hormone (FSH; <0.1 mIU/ml), luteinizing hormone (LH; 0.17 mIU/ml), testosterone [1,480 ng/dl (70–620 ng/dl)], prolactin (56 ng/ml), insulin-like growth factor-1 [52.4 ng/ml (109.0–284.0 ng/ml)]. Panhypopituitarism-associated central hypoadrenalism, central hypothyroidism and growth hormone deficiency were also noted. However, it was not possible to explain the hypogonadotropic hypergonadism.

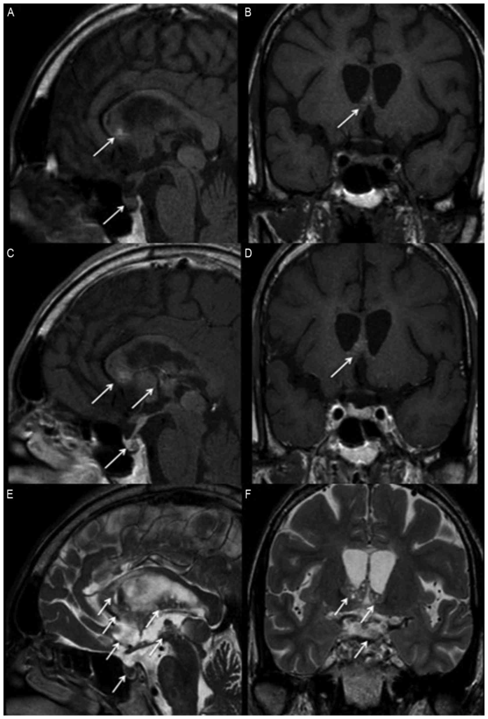
A brain MRI scan revealed the presence of a heterogeneous lesion involved in the right basal ganglion, hypothalamus, and the extension to the corpus callosum and to the posterior hippocampus. The pineal gland, stalk and posterior pituitary gland were also involved (Fig 1). A lumber puncture was performed and CSF cytology revealed no malignant cells, but CSF β-hCG levels of 1,936 IU/l and AFP levels <0.24 ng/ml. The serum AFP level was 3.28 ng/ml, and the β-hCG level was 178 IU/l, with a CSF:serum β-hCG ratio >2:1. Neck to pelvis computed tomography excluded the presence of metastatic lesions. It was not possible to obtain a pathological diagnosis due to the deep location of the tumors. However, a β-hCG secreting suprasella GCT was suspected due to imaging and tumor markers.

Figure 1.

Magnetic resonance imaging of sella prior to treatment. Heterogeneous lesions are indicated by arrows and are present in the basal ganglion, hypothalamus, corpus callosum, posterior hippocampus, pineal gland, stalk and posterior pituitary gland in (A) non-contrast sagittal, (B) coronal, (C) contrast sagittal and (D) coronal T1 weighted images, as well as (E) T2 weighted sagittal and (F) coronal images.

The patient underwent hormone replacement therapy consisting of 10 mcg of minirin nasal spray, 100 µg thyroxin and 5 mg prednisolone per day from March 2012. First cycle of chemotherapy with BEP regimen (30 mg bleomycin in 0.9% saline as a total of 100 ml on day 1, 8 and 15; 100 mg/m2 etoposide per day for days 1–5 as a 4-h infusion in 0.9% sodium chloride in a total of 500 ml; 20 mg/m2 cisplatin per day for days 1–5 as a 4-h infusion with 0.9% sodium chloride in a total of 500 ml) was performed at Taipei City Hospital Ren-Ai Branch (Taipei, Taiwan). After 2 cycles of this chemotherapy from April to May 2012, the serum β-hCG levels of the patient decreased to 22.2 IU/l in May 2012. Intensity modulation radiation therapy was performed with 25.2 Gy to the whole ventricle and a radiation treatment boost to administer an overall total of 45 Gy to the GCT site from June to August 2012.

Following 6 cycles of chemotherapy and radiotherapy, a brain MRI scan revealed that the tumors markedly decreased in size (Fig 2). The serum β-hCG levels of the patient fell to 0.3 IU/l and hyperandrogenemia subsided, with testosterone levels recorded as 84 ng/dl. However, the psychological symptoms of the patient, including irritability and emotional instability, only improved a little.

Figure 2.

Magnetic resonance imaging of suprasella two years following treatment. The tumors over the basal ganglion, hypothalamus, corpus callosum, posterior hippocampus, pineal gland, stalk and posterior pituitary gland have disappeared, as indicated by arrows, in (A) non-contrast sagittal, (B) coronal, (C) contrast sagittal and (D) coronal T1 weighted images, as well as (E) T2 weighted sagittal and (F) coronal images.

Discussion

β-hCG-secreting intracranial GCTs are primarily diagnosed by young adolescence. The majority of patients are diagnosed with presentation of precocious puberty due to excess testosterone, which permits physicians to detect the disease earlier (10). Reports of adult β-hCG secreting intracranial GCTs are rare, the clinical characteristics are likely to be nonspecific and differ from those observed in children. To the best of our knowledge, there are no prior published case reports concerning patients older than 30 years that have been diagnosed with β-hCG secreting intracranial GCTs. Therefore, the present study will be the first to report a patient with this later age of onset.

GCTs are a varied group of neoplasms derived from the primordial germ cells, and they are classified as extragonadal, if there is no evidence of a primary tumor in either the testes or the ovaries. In adults, intracranial GCTs are the most well-known extragonadal GCT. However, primary intracranial GCT are still rare, accounting for 2% of all primary intracranial neoplasms in the USA and Europe, and 3–10% of brain tumors in children from Asian countries (1). Males are affected more than females, at a ratio of 2:1 to 3:1. The majority of patients (60–70%) are <20 years old, and 53% of patients are between 10 and 19 years old at the point of diagnosis. The disease is rare in patients >35 years old (4).

Intracranial GCTs are heterogeneous with respect to histology, biological profile, response to treatment and secretion of AFP and β-HCG into the serum and/or CSF (11). For the majority of patients with presumed intracranial GCTs, clinical manifestation and neurological image results are not specific enough to provide a definitive diagnosis. Clinical presentation depends upon the size and the localization of the tumor. Intracranial GCTs may be situated over the pineal and suprasellar regions and spread along the neuroaxis, with ~15% demonstrating the involvement of multiple sites (12). The majority of GCTs are located at the pineal region, followed by the suprasellar region (12). Patients with pineal germinoma may present with insomnia, but interference with pituitary function is rarely observed (13). Pineal tumors often manifest with symptoms of obstructive hydrocephalus (14) and Parinaud's syndrome, characterized by the paralysis of upward gaze and convergence, may occur in 50% of patients (15). Suprasellar tumors are often characterized as endocrinopathies due to the disruption of the hypothalamic-pituitary axis (16). Hypothalamic-pituitary dysfunction may include DI, delayed pubertal development, isolated growth hormone deficiency, hypogonadotropic hypogonadism and any aspect of hypopituitarism, including central hypothyroidism and adrenal insufficiency. DI is the most common and is often the first presentation. Ophthalmic abnormalities, including bilateral hemianopsia, may also develop due to chiasmic or optic nerve compression (13). Delays in diagnosis are common and may exceed 12 months, in particular when patients present with symptoms associated with endocrinopathy, and this results in higher incidences of disseminated disease.

Histologically, germinomas are the most common subtype of intracranial GCTs, accounting for 70–80% of all GCTs, and they are histologically identical to testicular seminoma and dysgerminoma of the ovary (7,17). Non-germinomatous GCTs account for 20–30% of intracranial GCTs, including embryonal carcinoma, yolk sac tumors, choriocarcinoma and teratoma (7). Patients with pure germinoma may have mildly elevated β-hCG in contrast to the marked elevation of β-hCG observed in choriocarcinoma, but AFP is never elevated in germinoma. The latter is secreted by yolk sac tumors. When β-hCG is secreted by GCTs, it causes gonadotropin-independent hypergonadism with low LH/FSH and high testosterone due to the stimulating effect of β-hCG on the LH receptor in the testes. When this occurs in young male patients, which make up the majority of cases, precocious puberty will occur. In adult male patients, there are no reports of clinical features of androgen excess associated with β-hCG secreting intracranial GCTs. Fung et al (18) reported a 32-year old male with testicular seminoma with β-hCG secretion and associated hyperandrogenism. The patient presented with worsening in acne and increased muscle bulk (18). Other case reports of testosterone excess by seminoma in testes or mediastinum shared clinical features with gynecomastia or male infertility in adult male patients (19–21).

The present study concerns a well-developed adult patient with two daughters. In contrast with the symptoms of hyperandrogenemia, the symptoms of the patient were decreased libido, motivation and vitality. The aggressive behavior and irritable mood exhibited by the patient were initially attributed to high testosterone levels, but these symptoms did not disappear when testosterone levels decreased. Structural damage to brain tumor tissue and late effects following radiotherapy may be the explanation. A debate remains concerning late neurocognitive dysfunction following radiotherapy. The neurocognitive function of the patient deteriorated to mirror child-like behavior, but improved half a year later. The previous symptoms, including fatigue and weakness, improved following hormone replacement with eltroxin and prednisolone.

Radiological diagnosis of intracranial GCT with MRI or computed tomography is a useful tool, with MRI being the optimal modality. MRI demonstrates soft tissue masses with isointense or slightly hyperintense signals in T1 weighted images, which may be accompanied with calcification or cyst formation in T2 weighted images (22). Definitive diagnosis of GCT is performed through the histopathology approach: The majority of GCTs demonstrate immunohistochemical staining for placenta-like alkaline phophatase and c-Kit, otherwise known as CD117, which is an important mitogen for normal germ cells (11). Unfortunately, a biopsy is not possible for patients where the tumor location is inaccessible. CSF β-hCG assays reflect the intensity of intracranial β-hCG secretion and are more sensitive than serum β-hCG levels (23). A β-hCG concentration in CSF >50 IU/l and a CSF/serum β-hCG ratio ≥2 has been suggested to be an indicator of the presence of a CNS GCT (24), which was observed in the patient enrolled in the present study.

Intracranial GCTs are sensitive to chemotherapy and radiotherapy. Cranio-spinal irradiation or whole ventricular radiotherapy to a dose of 25–35 Gy followed by a primary tumor boost for a total dose of 45–50 Gy is associated with a superior outcome, with a 5-year survival rate of 80–99.5% in retrospective and prospective studies (25). Chemotherapy agents including cyclophosphamide, ifosfamide, etoposide, cisplatin, and carboplatin are also highly active in CNS GCTs (26). The brain MRI of the patient enrolled in the present study following treatment revealed that the tumors markedly decreased in size, and β-hCG levels were within normal range. The patient has maintained a stable disease status since August 2015 in Taipei City Hospital Ren-Ai Branch.

In conclusion, the incidence of adult β-hCG secreting intracranial GCT is low. Compared with the majority patients, who are diagnosed in early pubertal years upon presentation of precocious puberty, the symptoms in adult patients are primarily associated with tumor size and location, with pituitary hormone deficiency rather than symptoms associated with testosterone excess.

References

1 

Echevarría ME, Fangusaro J and Goldman S: Pediatric central nervous system germ cell tumors: A review. Oncologist. 13:690–699. 2008. View Article : Google Scholar : PubMed/NCBI

2 

Nakamura H, Makino K, Yano S and Kuratsu J; Kumamoto Brain Tumor Research Group, : Epidemiological study of primary intracranial tumors: A regional survey in Kumamoto prefecture in southern Japan-20-year study. Int J Clin Oncol. 16:314–321. 2011. View Article : Google Scholar : PubMed/NCBI

3 

Ostrom QT, Gittleman H, Liao P, Rouse C, Chen Y, Dowling J, Wolinsky Y, Kruchko C and Barnholtz-Sloan J: CBTRUS statistical report: Primary brain and central nervous system tumors diagnosed in the United States in 2007–2011. Neuro Oncol. 16 Suppl 4:iv1–iv63. 2014. View Article : Google Scholar : PubMed/NCBI

4 

McCarthy BJ, Shibui S, Kayama T, Miyaoka E, Narita Y, Murakami M, Matsuda A, Matsuda T, Sobue T, Palis BE, et al: Primary CNS germ cell tumors in Japan and the United States: An analysis of 4 tumor registries. Neuro Oncol. 14:1194–1200. 2012. View Article : Google Scholar : PubMed/NCBI

5 

Jennings MT, Gelman R and Hochberg F: Intracranial germ-cell tumors: Natural history and pathogenesis. J Neurosurg. 63:155–167. 1985. View Article : Google Scholar : PubMed/NCBI

6 

Hoffman HJ, Otsubo H, Hendrick EB, Humphreys RP, Drake JM, Becker LE, Greenberg M and Jenkin D: Intracranial germ-cell tumors in children. J Neurosurg. 74:545–551. 1991. View Article : Google Scholar : PubMed/NCBI

7 

Louis DN, Ohgaki H, Wiestler OD, Cavenee WK, Burger PC, Jouvet A, Scheithauer BW and Kleihues P: The 2007 WHO classification of tumours of the central nervous system. Acta Neuropathol. 114:97–109. 2007. View Article : Google Scholar : PubMed/NCBI

8 

Calaminus G, Bamberg M, Harms D, Jürgens H, Kortmann RD, Sörensen N, Wiestler OD and Göbel U: AFP/beta-HCG secreting CNS germ cell tumors: Long-term outcome with respect to initial symptoms and primary tumor resection. Results of the cooperative trial MAKEI 89. Neuropediatrics. 36:71–77. 2005. View Article : Google Scholar : PubMed/NCBI

9 

Ogino H, Shibamoto Y, Takanaka T, Suzuki K, Ishihara S, Yamada T, Sugie C, Nomoto Y and Mimura M: CNS germinoma with elevated serum human chorionic gonadotropin level: Clinical characteristics and treatment outcome. Int J Radiat Oncol Biol Phys. 62:803–808. 2005. View Article : Google Scholar : PubMed/NCBI

10 

Marshall GA, McMahon SK, Nicholls W, Pretorius CJ and Ungerer JP: Gonadotrophin-independent precocious puberty in an eight-year-old boy due to ectopic human chorionic gonadotrophin from the central nervous system. Ann Clin Biochem. 47:271–274. 2010. View Article : Google Scholar : PubMed/NCBI

11 

Bromberg JE, Baumert BG, De Vos F, Gijtenbeek JM, Kurt E, Westermann AM and Wesseling P: Primary intracranial germ-cell tumors in adults: A practical review. J Neurooncol. 113:175–183. 2013. View Article : Google Scholar : PubMed/NCBI

12 

Matsutani M, Sano K, Takakura K, Fujimaki T, Nakamura O, Funata N and Seto T: Primary intracranial germ cell tumors: A clinical analysis of 153 histologically verified cases. J Neurosurg. 86:446–455. 1997. View Article : Google Scholar : PubMed/NCBI

13 

Loto MG, Danilowicz K, González Abbati S, Torino R and Misiunas A: Germinoma with involvement of midline and off-midline intracranial structures. Case Rep Endocrinol. 2014:9369372014.PubMed/NCBI

14 

Sethi RV, Marino R, Niemierko A, Tarbell NJ, Yock TI and MacDonald SM: Delayed diagnosis in children with intracranial germ cell tumors. J Pediatr. 163:1448–1453. 2013. View Article : Google Scholar : PubMed/NCBI

15 

Chao CK, Lee ST, Lin FJ, Tang SG and Leung WM: A multivariate analysis of prognostic factors in management of pineal tumor. Int J Radiat Oncol Biol Phys. 27:1185–1191. 1993. View Article : Google Scholar : PubMed/NCBI

16 

Crawford JR, Santi MR, Vezina G, Myseros JS, Keating RF, LaFond DA, Rood BR, MacDonald TJ and Packer RJ: CNS germ cell tumor (CNSGCT) of childhood: Presentation and delayed diagnosis. Neurology. 68:1668–1673. 2007. View Article : Google Scholar : PubMed/NCBI

17 

Kamoshima Y and Sawamura Y: Update on current standard treatments in central nervous system germ cell tumors. Curr Opin Neurol. 23:571–575. 2010. View Article : Google Scholar : PubMed/NCBI

18 

Fung LC, Honey RJ and Gardiner GW: Testicular seminoma presenting with features of androgen excess. Urology. 44:927–929. 1994. View Article : Google Scholar : PubMed/NCBI

19 

Nagi DK, Jones WG and Belchetz PE: Gynecomastia caused by a primary mediastinal seminoma. Clin Endocrinol (Oxf). 40:545–549. 1994. View Article : Google Scholar : PubMed/NCBI

20 

Lefebvre H, Laquerriere A, Cleret JM and Kuhn JM: A hCG-secreting testicular seminoma revealed by male infertility: Mechanism of hCG-evoked endocrine disturbances. Andrologia. 25:283–287. 1993. View Article : Google Scholar : PubMed/NCBI

21 

Djaladat H, Nichols C and Daneshmand S: Androgen-producing testicular germ cell tumors. J Clin Oncol. 29:e634–e635. 2011. View Article : Google Scholar : PubMed/NCBI

22 

Kanagaki M, Miki Y, Takahashi JA, Shibamoto Y, Takahashi T, Ueba T, Hashimoto N and Konishi J: MRI and CT findings of neurohypophyseal germinoma. Eur J Radiol. 49:204–211. 2004. View Article : Google Scholar : PubMed/NCBI

23 

Tian C, Shi Q, Pu C, Huang X, Yu S, Zhang J, Huang D, Wang X and Liu R: Re-evaluation of the significance of cerebrospinal fluid human chorionic gonadotropin in detecting intracranial ectopic germinomas. J Clin Neurosci. 18:223–226. 2011. View Article : Google Scholar : PubMed/NCBI

24 

Katagami H, Hashida S, Yamaguchi H, Yazawa S, Nakano S and Wakisaka S: Diagnosis and course of treatment of CNS germinoma assessed by highly sensitive immune complex transfer enzyme immunoassay to detect HCG. Horumon to Rinsho. 51:196–206. 2003.

25 

Kortmann RD: Current concepts and future strategies in the management of intracranial germinoma. Expert Rev Anticancer Ther. 14:105–119. 2014. View Article : Google Scholar : PubMed/NCBI

26 

Lim DH, Yoo KH, Lee NH, Lee SH, Sung KW, Koo HH, Kim JH, Suh YL, Joung YS and Shin HJ: Intensive chemotherapy followed by reduced-dose radiotherapy for biopsy-proven CNS germinoma with elevated beta-human chorionic gonadotropin. J Neurooncol. 117:279–285. 2014. View Article : Google Scholar : PubMed/NCBI

Related Articles

  • Abstract
  • View
  • Download
  • Twitter
Copy and paste a formatted citation
Spandidos Publications style
Yang WP, Chien HY and Lin YC: β-human chorionic gonadotropin-secreting intracranial germ-cell tumor associated with high testosterone in an adult man: A case report. Oncol Lett 14: 1129-1132, 2017.
APA
Yang, W., Chien, H., & Lin, Y. (2017). β-human chorionic gonadotropin-secreting intracranial germ-cell tumor associated with high testosterone in an adult man: A case report. Oncology Letters, 14, 1129-1132. https://doi.org/10.3892/ol.2017.6213
MLA
Yang, W., Chien, H., Lin, Y."β-human chorionic gonadotropin-secreting intracranial germ-cell tumor associated with high testosterone in an adult man: A case report". Oncology Letters 14.1 (2017): 1129-1132.
Chicago
Yang, W., Chien, H., Lin, Y."β-human chorionic gonadotropin-secreting intracranial germ-cell tumor associated with high testosterone in an adult man: A case report". Oncology Letters 14, no. 1 (2017): 1129-1132. https://doi.org/10.3892/ol.2017.6213
Copy and paste a formatted citation
x
Spandidos Publications style
Yang WP, Chien HY and Lin YC: β-human chorionic gonadotropin-secreting intracranial germ-cell tumor associated with high testosterone in an adult man: A case report. Oncol Lett 14: 1129-1132, 2017.
APA
Yang, W., Chien, H., & Lin, Y. (2017). β-human chorionic gonadotropin-secreting intracranial germ-cell tumor associated with high testosterone in an adult man: A case report. Oncology Letters, 14, 1129-1132. https://doi.org/10.3892/ol.2017.6213
MLA
Yang, W., Chien, H., Lin, Y."β-human chorionic gonadotropin-secreting intracranial germ-cell tumor associated with high testosterone in an adult man: A case report". Oncology Letters 14.1 (2017): 1129-1132.
Chicago
Yang, W., Chien, H., Lin, Y."β-human chorionic gonadotropin-secreting intracranial germ-cell tumor associated with high testosterone in an adult man: A case report". Oncology Letters 14, no. 1 (2017): 1129-1132. https://doi.org/10.3892/ol.2017.6213
Follow us
  • Twitter
  • LinkedIn
  • Facebook
About
  • Spandidos Publications
  • Careers
  • Cookie Policy
  • Privacy Policy
How can we help?
  • Help
  • Live Chat
  • Contact
  • Email to our Support Team