Spandidos Publications Logo
  • About
    • About Spandidos
    • Aims and Scopes
    • Abstracting and Indexing
    • Editorial Policies
    • Reprints and Permissions
    • Job Opportunities
    • Terms and Conditions
    • Contact
  • Journals
    • All Journals
    • Oncology Letters
      • Oncology Letters
      • Information for Authors
      • Editorial Policies
      • Editorial Board
      • Aims and Scope
      • Abstracting and Indexing
      • Bibliographic Information
      • Archive
    • International Journal of Oncology
      • International Journal of Oncology
      • Information for Authors
      • Editorial Policies
      • Editorial Board
      • Aims and Scope
      • Abstracting and Indexing
      • Bibliographic Information
      • Archive
    • Molecular and Clinical Oncology
      • Molecular and Clinical Oncology
      • Information for Authors
      • Editorial Policies
      • Editorial Board
      • Aims and Scope
      • Abstracting and Indexing
      • Bibliographic Information
      • Archive
    • Experimental and Therapeutic Medicine
      • Experimental and Therapeutic Medicine
      • Information for Authors
      • Editorial Policies
      • Editorial Board
      • Aims and Scope
      • Abstracting and Indexing
      • Bibliographic Information
      • Archive
    • International Journal of Molecular Medicine
      • International Journal of Molecular Medicine
      • Information for Authors
      • Editorial Policies
      • Editorial Board
      • Aims and Scope
      • Abstracting and Indexing
      • Bibliographic Information
      • Archive
    • Biomedical Reports
      • Biomedical Reports
      • Information for Authors
      • Editorial Policies
      • Editorial Board
      • Aims and Scope
      • Abstracting and Indexing
      • Bibliographic Information
      • Archive
    • Oncology Reports
      • Oncology Reports
      • Information for Authors
      • Editorial Policies
      • Editorial Board
      • Aims and Scope
      • Abstracting and Indexing
      • Bibliographic Information
      • Archive
    • Molecular Medicine Reports
      • Molecular Medicine Reports
      • Information for Authors
      • Editorial Policies
      • Editorial Board
      • Aims and Scope
      • Abstracting and Indexing
      • Bibliographic Information
      • Archive
    • World Academy of Sciences Journal
      • World Academy of Sciences Journal
      • Information for Authors
      • Editorial Policies
      • Editorial Board
      • Aims and Scope
      • Abstracting and Indexing
      • Bibliographic Information
      • Archive
    • International Journal of Functional Nutrition
      • International Journal of Functional Nutrition
      • Information for Authors
      • Editorial Policies
      • Editorial Board
      • Aims and Scope
      • Abstracting and Indexing
      • Bibliographic Information
      • Archive
    • International Journal of Epigenetics
      • International Journal of Epigenetics
      • Information for Authors
      • Editorial Policies
      • Editorial Board
      • Aims and Scope
      • Abstracting and Indexing
      • Bibliographic Information
      • Archive
    • Medicine International
      • Medicine International
      • Information for Authors
      • Editorial Policies
      • Editorial Board
      • Aims and Scope
      • Abstracting and Indexing
      • Bibliographic Information
      • Archive
  • Articles
  • Information
    • Information for Authors
    • Information for Reviewers
    • Information for Librarians
    • Information for Advertisers
    • Conferences
  • Language Editing
Spandidos Publications Logo
  • About
    • About Spandidos
    • Aims and Scopes
    • Abstracting and Indexing
    • Editorial Policies
    • Reprints and Permissions
    • Job Opportunities
    • Terms and Conditions
    • Contact
  • Journals
    • All Journals
    • Biomedical Reports
      • Information for Authors
      • Editorial Policies
      • Editorial Board
      • Aims and Scope
      • Abstracting and Indexing
      • Bibliographic Information
      • Archive
    • Experimental and Therapeutic Medicine
      • Information for Authors
      • Editorial Policies
      • Editorial Board
      • Aims and Scope
      • Abstracting and Indexing
      • Bibliographic Information
      • Archive
    • International Journal of Epigenetics
      • Information for Authors
      • Editorial Policies
      • Editorial Board
      • Aims and Scope
      • Abstracting and Indexing
      • Bibliographic Information
      • Archive
    • International Journal of Functional Nutrition
      • Information for Authors
      • Editorial Policies
      • Editorial Board
      • Aims and Scope
      • Abstracting and Indexing
      • Bibliographic Information
      • Archive
    • International Journal of Molecular Medicine
      • Information for Authors
      • Editorial Policies
      • Editorial Board
      • Aims and Scope
      • Abstracting and Indexing
      • Bibliographic Information
      • Archive
    • International Journal of Oncology
      • Information for Authors
      • Editorial Policies
      • Editorial Board
      • Aims and Scope
      • Abstracting and Indexing
      • Bibliographic Information
      • Archive
    • Medicine International
      • Information for Authors
      • Editorial Policies
      • Editorial Board
      • Aims and Scope
      • Abstracting and Indexing
      • Bibliographic Information
      • Archive
    • Molecular and Clinical Oncology
      • Information for Authors
      • Editorial Policies
      • Editorial Board
      • Aims and Scope
      • Abstracting and Indexing
      • Bibliographic Information
      • Archive
    • Molecular Medicine Reports
      • Information for Authors
      • Editorial Policies
      • Editorial Board
      • Aims and Scope
      • Abstracting and Indexing
      • Bibliographic Information
      • Archive
    • Oncology Letters
      • Information for Authors
      • Editorial Policies
      • Editorial Board
      • Aims and Scope
      • Abstracting and Indexing
      • Bibliographic Information
      • Archive
    • Oncology Reports
      • Information for Authors
      • Editorial Policies
      • Editorial Board
      • Aims and Scope
      • Abstracting and Indexing
      • Bibliographic Information
      • Archive
    • World Academy of Sciences Journal
      • Information for Authors
      • Editorial Policies
      • Editorial Board
      • Aims and Scope
      • Abstracting and Indexing
      • Bibliographic Information
      • Archive
  • Articles
  • Information
    • For Authors
    • For Reviewers
    • For Librarians
    • For Advertisers
    • Conferences
  • Language Editing
Login Register Submit
  • This site uses cookies
  • You can change your cookie settings at any time by following the instructions in our Cookie Policy. To find out more, you may read our Privacy Policy.

    I agree
Search articles by DOI, keyword, author or affiliation
Search
Advanced Search
presentation
Oncology Letters
Join Editorial Board Propose a Special Issue
Print ISSN: 1792-1074 Online ISSN: 1792-1082
Journal Cover
November-2017 Volume 14 Issue 5

Full Size Image

Sign up for eToc alerts
Recommend to Library

Journals

International Journal of Molecular Medicine

International Journal of Molecular Medicine

International Journal of Molecular Medicine is an international journal devoted to molecular mechanisms of human disease.

International Journal of Oncology

International Journal of Oncology

International Journal of Oncology is an international journal devoted to oncology research and cancer treatment.

Molecular Medicine Reports

Molecular Medicine Reports

Covers molecular medicine topics such as pharmacology, pathology, genetics, neuroscience, infectious diseases, molecular cardiology, and molecular surgery.

Oncology Reports

Oncology Reports

Oncology Reports is an international journal devoted to fundamental and applied research in Oncology.

Experimental and Therapeutic Medicine

Experimental and Therapeutic Medicine

Experimental and Therapeutic Medicine is an international journal devoted to laboratory and clinical medicine.

Oncology Letters

Oncology Letters

Oncology Letters is an international journal devoted to Experimental and Clinical Oncology.

Biomedical Reports

Biomedical Reports

Explores a wide range of biological and medical fields, including pharmacology, genetics, microbiology, neuroscience, and molecular cardiology.

Molecular and Clinical Oncology

Molecular and Clinical Oncology

International journal addressing all aspects of oncology research, from tumorigenesis and oncogenes to chemotherapy and metastasis.

World Academy of Sciences Journal

World Academy of Sciences Journal

Multidisciplinary open-access journal spanning biochemistry, genetics, neuroscience, environmental health, and synthetic biology.

International Journal of Functional Nutrition

International Journal of Functional Nutrition

Open-access journal combining biochemistry, pharmacology, immunology, and genetics to advance health through functional nutrition.

International Journal of Epigenetics

International Journal of Epigenetics

Publishes open-access research on using epigenetics to advance understanding and treatment of human disease.

Medicine International

Medicine International

An International Open Access Journal Devoted to General Medicine.

Journal Cover
November-2017 Volume 14 Issue 5

Full Size Image

Sign up for eToc alerts
Recommend to Library

  • Article
  • Citations
    • Cite This Article
    • Download Citation
    • Create Citation Alert
    • Remove Citation Alert
    • Cited By
  • Similar Articles
    • Related Articles (in Spandidos Publications)
    • Similar Articles (Google Scholar)
    • Similar Articles (PubMed)
  • Download PDF
  • Download XML
  • View XML
Case Report

Yolk sac tumor of upper lip: A case report

  • Authors:
    • Zhanwei Chen
    • Peihui Zheng
    • Shengyun Huang
    • Dongsheng Zhang
  • View Affiliations / Copyright

    Affiliations: Department of Oral and Maxillofacial Surgery, Shandong Provincial Hospital Affiliated to Shandong University, Jinan, Shandong 250000, P.R. China
  • Pages: 6238-6242
    |
    Published online on: September 8, 2017
       https://doi.org/10.3892/ol.2017.6918
  • Expand metrics +
Metrics: Total Views: 0 (Spandidos Publications: | PMC Statistics: )
Metrics: Total PDF Downloads: 0 (Spandidos Publications: | PMC Statistics: )
Cited By (CrossRef): 0 citations Loading Articles...

This article is mentioned in:



Abstract

Yolk sac tumors (YSTs) are a type of malignant germ cell tumor that usually grow in the gonads. They are difficult to recognize at other sites outside the gonads, and no case has been reported involving the upper lip. The present study reported the case of a 13‑month‑old girl exhibiting an isolated YST occurring in the upper lip. The histology and elevation of α‑fetoprotein were typical for a YST. The patient was cured following effective chemotherapy and surgery resection. After 36 months of follow‑up, there was no sign of recurrence or metastasis. A total of 20 cases of primary YSTs of the head and neck extracranial region since 1997 were reviewed. The present study aims to inform the scientific community of the clinical and pathologic features of this patient.

Introduction

Yolk sac tumors (YSTs), also referred to as endodermal sinus tumors, are a type of malignant germ cell tumor that usually grow in the gonads (1). In 1959, the tumor was identified in the ovaries and testes of young patients, and defined as a specific form of malignant germ cell neoplasm by Telium (2). YSTs are difficult to identify in other sites outside the gonads. However, between 10 and 15% of YST occur in the midline structures of the mediastinum, retroperitoneum and sacrococcygeal areas (3). Certain cases have been reported in other location such as in the pineal region and head and neck (4,5). No case has been reported involving the upper lip. The present study reports the case of a child with an isolated YST occurring in the upper lip, and reviews 20 cases of primary YST of the head and neck region, not including the intracranial and orbit regions, from the literature since 1997.

Case report

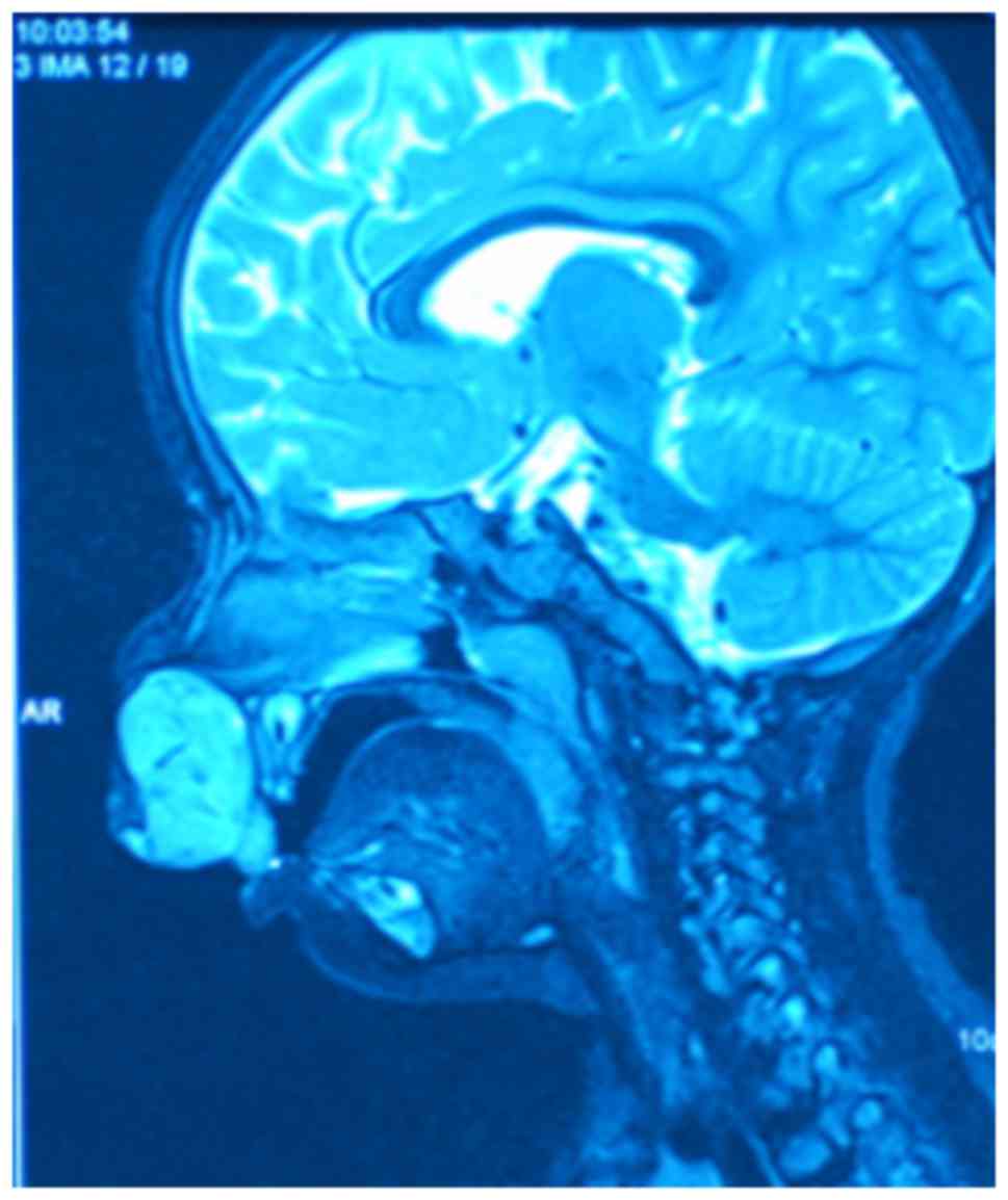
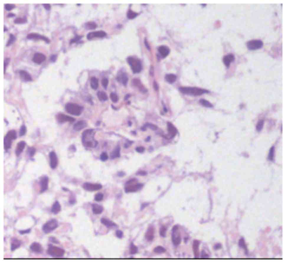
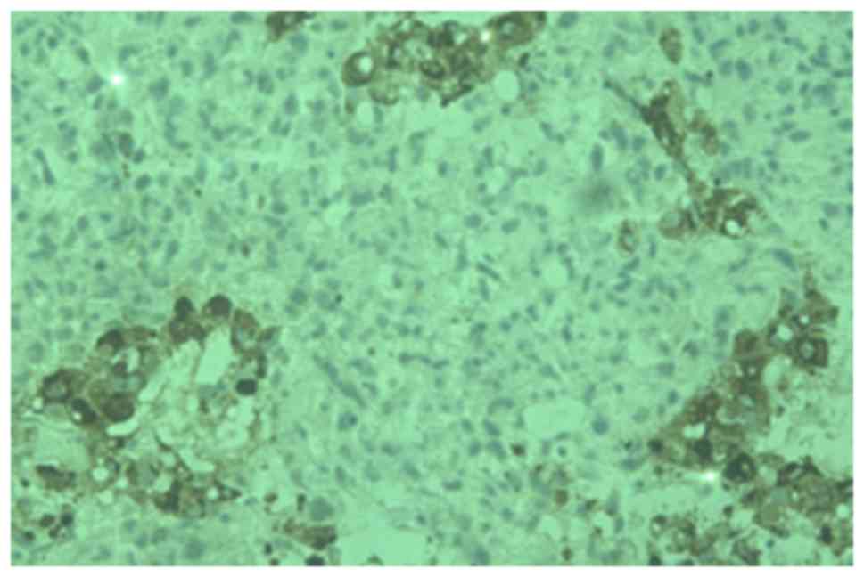
A 13-month-old female damaged her upper lip upon falling and the hematoma formed 2 months prior to admission to hospital. The patient underwent a hematoma puncture drainage at Juxian People's Hospital (Rizhao, Cina), but the mass recurred quickly. Upon examination, an exogenous reddish mass measuring 4×5 cm in diameter was revealed at the midline of the upper lip. The surface of the tumor was bleeding and scabby, as demonstrated in Fig. 1. Magnetic resonance imaging demonstrated a strong signal mass on the fat suppression imaging T2 weighted image in the upper lip with a clear border, as illustrated in Fig. 2. A biopsy sample was obtained from the fleshy mass under general anesthesia and the results confirmed the diagnosis of a YST. The biopsy sample was cut into pathological sections (4 µm thick). Certain pathological sections underwent hematoxylin-eosin staining (stained with hematoxylin-eosin at 60°C for 60 sec) and others underwent immunohistochemical staining with α-fetoprotein (incubated with anti-α-fetoprotein at 37°C for 2 h). Subsequently, the tissue sections were observed using a biological microscope at a magnification of ×400. Microscopic analysis revealed the characteristic reticular pattern and eosinophilic ball, as demonstrated in Fig. 3, Schiller-Duval bodies, as illustrated in Fig. 4, and immunohistochemical staining positive for α-fetoprotein (AFP), as demonstrated in Fig. 5. Laboratory screening revealed an AFP level >1,308 µg/l, with 1–30 µg/l being the normal range. Computerized tomography scans of the head, neck and thoracic regions and ultrasonography of the abdominal and pelvic areas demonstrated no signs of metastasis. Initial treatment comprised two cycles of Adriamycin (30 mg/m2, day 2,9), vincristine (1.5 mg/m2, day 1,8), cyclophosphamide (300 mg/m2, day 1–3) and cisplatin (90 mg/m2, day 1) (AVCP) chemotherapy and 1 cycle of ifosfamide (1.5 g/m2, day 1–5), etoposide (100 mg/m2, day 1–5) and vincristine (1.5 mg/m2, day 1,8) (IEV) chemotherapy. Subsequent to this regimen, the mass in the upper lip reduced to ~1×2 cm in diameter. The patient then underwent surgical resection. The biopsies of the resected area revealed only fibrosis, without any residual tumor tissue. The AFP level was measured subsequent to chemotherapy and resection, and exhibited a decline to within the normal range. After 36 months, there were no signs of recurrence or metastasis at follow-up examination.

Figure 1.

Yolk sac tumor in the upper lip of the patient.

Figure 2.

Magnetic resonance imaging demonstrated a strong signal mass on the sagittal section of the fat suppression T2 image in the upper lip with a clear border.

Figure 3.

Characteristic reticular pattern and arrow highlights the eosinophilic balls of the hematoxylin-eosin stained tumor cells, at magnification, ×400 using an Olympus CX23 microscope.

Figure 4.

Cuboidal or low columnar-shaped tumor cells around the blood vessels forming characteristic Schiller-Duval body. Hematoxylin-eosin staining, at magnification, ×400 using an Olympus CX23 microscope.

Figure 5.

Immunohistochemical staining was positive for α-fetoprotein, at magnification, ×400 using an Olympus CX23 microscope.

Discussion

YSTs are one of the most common types of malignant germ cell tumor exhibited within the pediatric age group, particularly in females (4,6). To the best of our knowledge, few cases of YST in the head and neck have been reported, whilst no cases have been reported involving the upper lip. Devaney and Ferlito (5) reviewed 27 patients with primary YSTs of the head and neck extracranial regions prior to 1997, and Kamal et al (7) reviewed 16 patients with primary orbital YST, yet there has been no review of those cases subsequent to 1997. Therefore, the present study reviewed 20 patients with primary YST of the head and neck region, not including intracranial and orbit region, occurring subsequent to 1997, and discussed the clinical and pathological features of YSTs, as summarized in Table I.

Table I.

Clinical features of 20 patients with head and neck yolk sac tumors.

Table I.

Clinical features of 20 patients with head and neck yolk sac tumors.

Study/year reportedGender (M/F)Age (y)Primary siteTreatmentFollow-up periodaOutcome and survival(Refs.)
Kusamakumari, et al 1997M1.5PalateSurgical excision, chemotherapyLost to follow-upUnknown(13)
Kusamakumari, et al 1997F1NeckIncisional biopsy, chemotherapyUnknownDied of infection(13)
Choufani, et al 1998F26 moEarSurgical excision3 monthsDied of disease(21)
Kutluhan, et al 1998F7 moGingivalIncisional biopsy17 daysDied of disease(14)
Gangopadhyay, et al 1999M4Maxillary sinusIncisional biopsy, chemotherapy, radiotherapy15 yearsAlive, no evidence of disease(22)
Frank, et al 2000M2.5Temporal boneRecurrence after surgical excision, chemotherapy6 monthsAlive, no evidence of disease(23)
Gábris, et al 2001F3 y 9 moNasal cavityIncisional biopsy, surgical excision, chemotherapy, radiotherapy7 yearsAlive, no evidence of disease(24)
Westerveld, et al 2001F3Maxillary sinusIncisional biopsy, surgical excision, chemotherapy10 monthsDied of disease(17)
Sredni, et al 2004F16 moParotid glandSurgical excision, chemotherapy2 yearsAlive, no evidence of disease(25)
Mishra, et al 2008M59Paranasal sinusesIncisional biopsy, chemotherapy, surgical excision, radiotherapy1 yearAlive, no evidence of disease(26)
Filho, et al 2008M48Nasal cavitySurgical excision, radiotherapy7 yearsAlive, no evidence of disease(27)
Steinbacher, et al 2008F8 moMandibleIncisional biopsy, chemotherapy, surgical excision8 monthsAlive, no evidence of disease(20)
Pasricha, et al 2010F9 moFaceIncisional biopsy, chemotherapyLost to follow-upUnknown(28)
Furtado, et al 2011F10Thyroid glandFine needle biopsy, surgical excision, chemotherapy4 monthsAlive, no evidence of disease(19)
Jin, et al 2011F6Floor of mouthSurgical excision2 monthsDied of lung metastasis(9)
Mamoon, et al 2011M4Parapharyngeal spaceSurgical excision, chemotherapy1 yearAlive, no evidence of disease(29)
Rozbahany, et al 2012F2PostauricularIncisional biopsy, surgical excision9 monthsAlive, no evidence of disease(30)
Zhang, et al 2013F14 moFloor of mouthSurgical excision4 monthsDied of disease(15)
Chuang, et al 2014F1 y 3 moSinonasalSurgical excision, chemotherapy13 monthsAlive, no evidence of disease(31)
Mei, et al 2015F58SinonasalIncisional biopsy, surgical excision, chemotherapy8 monthsAlive, no evidence of disease(32)

a Times given are post-diagnosis. Age: y, years; mo, months.

The mechanisms underlying primitive yolk sac cell migration to the upper lip remain unknown. There are two principal theories that have been put forward to explain the origin of extragonadal germ cell tumors (EGCTs) (8). The first hypothesizes that during embryonic development, those EGCTs arising from primordial germ cells are caused by defects in the cell migration pathways. In the 4-week-old embryo, primordial germ cells first appear in the wall of the yolk sac and migrate along the dorsal mesentery to the genital ridge during embryogenesis (9). Certain germ cells may not complete this migration, resulting in retention at several sites along the dorsal wall of the embryo near the midline (9). This provides the basis for the midline propensity of the case reported in the present study, but does not explain the development of EGCTs in the out-of-midline regions. The second theory suggests that EGCTs arise from totipotential cells, which are scattered throughout numerous areas of the body during embryonic development and normally remain dormant. However, these cells possess the potential for additional growth and differentiation when suitably stimulated, leading to the formation of EGCTs (8).

In the rare case discussed in the present study the diagnosis was established by histological and immunohistochemical examinations. The major pathologic characteristics of YSTs include a reticular pattern, a solid pattern, a hepatoid pattern with hyaline globules, a festoon pattern, enteric differentiation, Schiller-Duval bodies, the presence of a granulomatous tissue reaction and a polyvesicular vitelline pattern (10,11). Schiller-Duval bodies have been reported as a common feature to extragonadal YSTs, as observed in large quantities in a previous study (12). Typical Schiller-Duval bodies comprise cuboidal or low columnar-shaped tumor cells surrounding the capillaries of a thin-walled sinus (13,14). Immunohistochemically, AFP is an important tumor biomarker for diagnosis (15). Immunofluorescent techniques have been developed to localize the site of AFP synthesis in YST samples (16). The serum level of AFP was elevated in the patient of the present study, and reduced subsequent to excision of the tumor. The serum levels of the protein may be used as a tumor biomarker during diagnosis, and in the follow-up of patients with YST (14,17).

Similar to testicular tumors, YSTs generally exhibit a poor prognosis as they tend to recur locally and demonstrate a high incidence of metastasis (18). Consequently, therapy includes extensive surgical resection, an intensive combination of chemotherapies and occasionally radiation therapy (19). Chemotherapy may improve the prognosis between 20–50% for YSTs (18). The combination of cisplatin, bleomycin and etoposide has been demonstrated to be effective, and is the most common type of chemotherapeutic regimen (4). The patient of the present study was administered AVCP chemotherapy. When the first cycle of AVCP chemotherapy was completed, the patient exhibited bone marrow suppression associated with an infection and high fever. Consequently, treatment was altered temporarily to IEV chemotherapy. Subsequent to 3 cycles of chemotherapy, the tumor mass of our case almost entirely disappeared and the patient was eligible for surgical resection All cases of YST should receive adjuvant chemotherapy except primary testicular tumors, which exhibit excellent responses to surgery alone (20).

The present study reported the first case of an isolated YST in the upper lip. The histology and AFP elevation were typical for this tumor. In the case of the present study, the YST was cured through effective chemotherapy and surgical resection. The patient remained asymptomatic after 36 months and exhibited no sign of recurrence or metastasis. According to data of previous studies, multimodal therapy including surgery, chemotherapy and radiotherapy may achieve a good prognosis.

References

1 

Brodeur GM, Howarth CB, Pratt CB, Caces J and Hustu HO: Malignant germ cell tumors in 57 children and adolescents. Cancer. 48:1890–1898. 1981. View Article : Google Scholar : PubMed/NCBI

2 

Telium G: Endodermal sinus tumors of the ovary and testes. Comparative morphogenesis of the so-called mesonephroma ovarii (Schiller) and extraembryonic (yolk sac-allantoic) structures of the rat's placenta. Cancer. 12:1092–1105. 1959. View Article : Google Scholar : PubMed/NCBI

3 

Shebib S, Sabbah RS, Sackey K, Akhtar M and Aur RJ: Endodermal sinus (yolk sac) tumor in infants and children. A clinical and pathological study: An 11 year review. Am J Pediatr Hematol Oncol. 11:36–39. 1989. View Article : Google Scholar : PubMed/NCBI

4 

Devaney KO, Perlito A and Rinaldo A: Endodermal sinus tumor (yolk sac tumor) of the temporal bone: An exotic disease for otorhinolaryngologists and head and neck surgeons. Acta Otolaryngol. 123:747–748. 2003. View Article : Google Scholar : PubMed/NCBI

5 

Devaney KO and Ferlito A: Yolk sac tumors (endodermal sinus tumors) of the extracranial head and neck regions. Ann Otol Rhinol Laryngol. 106:254–260. 1997. View Article : Google Scholar : PubMed/NCBI

6 

Harms D and Jänig U: Germ cell tumours of childhood. Report of 170 cases including 59 pure and partial yolk-sac tumours. Virchows Arch A Pathol Anat Histopathol. 409:223–239. 1986. View Article : Google Scholar : PubMed/NCBI

7 

Kamal S, Kaliki S, Sreedhar A and Mishra DK: Primary orbital yolk sac tumor: Report of a case and review of literature. Int Ophthalmol. 36:435–444. 2016. View Article : Google Scholar : PubMed/NCBI

8 

Brown NJ: Teratomas and yolk-sac tumors. J Clin Pathol. 29:1021–1025. 1976. View Article : Google Scholar : PubMed/NCBI

9 

Jin X, Han C and Sun H: Primary yolk sac tumor in floor of mouth in a child. J Oral Maxillofac Surg. 69:1973–1977. 2011. View Article : Google Scholar : PubMed/NCBI

10 

Narita T, Moriyama Y and Ito Y: Endodermal sinus (yolk sac) tumor of the liver. A case report and review of the literature. J Pathol. 155:41–47. 1988. View Article : Google Scholar : PubMed/NCBI

11 

Robban JT and Zaloudek C: Ovarian yolk sac tumors. Pathol Case Rev. 11:50–57. 2006. View Article : Google Scholar

12 

Juckes AW, Fraser MM and Detxer D: Endodermal sinus (yolk sac) tumors in infants and children. J Pediatr Surg. 14:520–524. 1979. View Article : Google Scholar : PubMed/NCBI

13 

Kusumakumari P, Geetha N, Chellam VG and Nair MK: Endodermal sinus tumors in the head and neck region. Med Pediatr Oncol. 29:303–307. 1997. View Article : Google Scholar : PubMed/NCBI

14 

Kutluhan A, Uğraş S and Akman E: Endodermal sinus (yolk sac) tumor of oral cavity originating from gingiva. Auris Nasus Larynx. 25:459–462. 1998. View Article : Google Scholar : PubMed/NCBI

15 

Zhang Q, Huang Y, Bao CY and Li LJ: Yolk sac tumour involving floor of mouth: Case report. Br J Oral Maxillofac Surg. 51:e67–e69. 2013. View Article : Google Scholar : PubMed/NCBI

16 

Wold LE, Kramer SA and Farrow GM: Testicular yolk sac and embryonal carcinomas in pediatric patients: Comparative immunohistochemical and clinicopathologic study. Am J Clin Pathol. 81:427–435. 1984. View Article : Google Scholar : PubMed/NCBI

17 

Westerveld GJ, Quak JJ, Bresters D, Zwaan CM, van der Valk P and Leemans CR: Endodermal sinus tumor of the maxillary sinus. Otolaryngol Head Neck Surg. 124:691–692. 2001. View Article : Google Scholar : PubMed/NCBI

18 

Ablin AR, Krailo MD, Ramsay NK, Malogolowkin MH, Isaacs H, Raney RB, Adkins J, Hays DM, Benjamin DR, Grosfeld JL, et al: Results of treatment of malignant germ cell tumors in 93 children: A report from the Children's Cancer Study Group. J Clin Oncol. 9:1782–1792. 1991. View Article : Google Scholar : PubMed/NCBI

19 

Furtado LV, Leventaki V, Layfield LJ, Lowichik A, Muntz HR and Pysher TJ: Yolk sac tumor of the thyroid gland: A case report. Pediatr Dev Pathol. 14:475–479. 2011. View Article : Google Scholar : PubMed/NCBI

20 

Steinbacher DM, Upton J, Rahbar R and Ferraro NF: Yolk sac tumor of the mandible. J Oral Maxillofac Surg. 66:151–153. 2008. View Article : Google Scholar : PubMed/NCBI

21 

Choufani G, Saussez S, Detemmerman D, Salmon I, Tainmont J, Louryan S, Remmelink M and Hassid S: Yolk sac tumor of the ear in a child. Am J Otol. 19:298–300. 1998.PubMed/NCBI

22 

Gangopadhyay K, McArthur PD, Martin JM and Saleem M: Endodermal sinus tumor of the maxillary sinus: A case report. Ear Nose Throat J. 78(376–377): 381–382. 1999.

23 

Frank TC, Anand VK and Subramony C: Yolk sac tumor of the temporal bone: Report of a case. Ear Nose Throat J. 79(183): 187–188, 191–192. 2000.

24 

Gábris K, Orosz M and Suba Z: The effects on teeth of radiotherapy for nasal endodermal sinus tumor (yolk sac tumor) in childhood. Int J Oral Maxillofac Surg. 30:356–358. 2001. View Article : Google Scholar : PubMed/NCBI

25 

Sredni ST, da Cunha IW, de Carvalho Filho NP, Magrin J, Pinto CA and Lopes LF: Endodermal sinus tumor of the parotid gland in a child. Pediatr Dev Pathol. 7:77–80. 2004. View Article : Google Scholar : PubMed/NCBI

26 

Mishra A, El-Naggar AK, DeMonte F and Hanna EY: Endodermal sinus tumor of the paranasal sinuses. Head Neck. 30:539–543. 2008. View Article : Google Scholar : PubMed/NCBI

27 

Filho BC, McHugh JB, Carrau RL and Kassam AB: Yolk sac tumor in the nasal cavity. Am J Otolaryngol. 29:250–254. 2008. View Article : Google Scholar : PubMed/NCBI

28 

Pasricha S, Gupta A, Shah M and Vadodaria H: Extragonadal yolk sac tumor of face in a female infant: A case report. Indian J Pathol Microbiol. 53:592–593. 2010. View Article : Google Scholar : PubMed/NCBI

29 

Mamoon N, Jaffri SA, Ilahi F, Muzaffar K, Iqbal Y, Akhter N, Nasir H and Ahmad IN: Yolk sac tumour arising in mature teratoma in the parapharyngeal space. J Pak Med Assoc. 61:1025–1027. 2011.PubMed/NCBI

30 

Rozbahany NA, Hasanzadazar M, Latifi H, Mohammadi A, Ilkhanizadeh B and Ghasemi-Rad M: Yolk-sac tumor of the postauricular region: Case report and review of the literature. J Oral Maxillofac Surg. 70:1891–1895. 2012. View Article : Google Scholar : PubMed/NCBI

31 

Chuang HC, Kang CJ and Lee LY: Sinonasal pure yolk sac tumor: A case report and literature review. Fetal Pediatr Pathol. 33:127–134. 2014. View Article : Google Scholar : PubMed/NCBI

32 

Mei X, Xia Y, Sasano H and Gao H: Sinonasal yolk sac (Endodermal sinus) tumor in an adult female-A case report and review of the literature. APMIS. 123:810–814. 2015. View Article : Google Scholar : PubMed/NCBI

Related Articles

  • Abstract
  • View
  • Download
  • Twitter
Copy and paste a formatted citation
Spandidos Publications style
Chen Z, Zheng P, Huang S and Zhang D: Yolk sac tumor of upper lip: A case report. Oncol Lett 14: 6238-6242, 2017.
APA
Chen, Z., Zheng, P., Huang, S., & Zhang, D. (2017). Yolk sac tumor of upper lip: A case report. Oncology Letters, 14, 6238-6242. https://doi.org/10.3892/ol.2017.6918
MLA
Chen, Z., Zheng, P., Huang, S., Zhang, D."Yolk sac tumor of upper lip: A case report". Oncology Letters 14.5 (2017): 6238-6242.
Chicago
Chen, Z., Zheng, P., Huang, S., Zhang, D."Yolk sac tumor of upper lip: A case report". Oncology Letters 14, no. 5 (2017): 6238-6242. https://doi.org/10.3892/ol.2017.6918
Copy and paste a formatted citation
x
Spandidos Publications style
Chen Z, Zheng P, Huang S and Zhang D: Yolk sac tumor of upper lip: A case report. Oncol Lett 14: 6238-6242, 2017.
APA
Chen, Z., Zheng, P., Huang, S., & Zhang, D. (2017). Yolk sac tumor of upper lip: A case report. Oncology Letters, 14, 6238-6242. https://doi.org/10.3892/ol.2017.6918
MLA
Chen, Z., Zheng, P., Huang, S., Zhang, D."Yolk sac tumor of upper lip: A case report". Oncology Letters 14.5 (2017): 6238-6242.
Chicago
Chen, Z., Zheng, P., Huang, S., Zhang, D."Yolk sac tumor of upper lip: A case report". Oncology Letters 14, no. 5 (2017): 6238-6242. https://doi.org/10.3892/ol.2017.6918
Follow us
  • Twitter
  • LinkedIn
  • Facebook
About
  • Spandidos Publications
  • Careers
  • Cookie Policy
  • Privacy Policy
How can we help?
  • Help
  • Live Chat
  • Contact
  • Email to our Support Team