Spandidos Publications Logo
  • About
    • About Spandidos
    • Aims and Scopes
    • Abstracting and Indexing
    • Editorial Policies
    • Reprints and Permissions
    • Job Opportunities
    • Terms and Conditions
    • Contact
  • Journals
    • All Journals
    • Oncology Letters
      • Oncology Letters
      • Information for Authors
      • Editorial Policies
      • Editorial Board
      • Aims and Scope
      • Abstracting and Indexing
      • Bibliographic Information
      • Archive
    • International Journal of Oncology
      • International Journal of Oncology
      • Information for Authors
      • Editorial Policies
      • Editorial Board
      • Aims and Scope
      • Abstracting and Indexing
      • Bibliographic Information
      • Archive
    • Molecular and Clinical Oncology
      • Molecular and Clinical Oncology
      • Information for Authors
      • Editorial Policies
      • Editorial Board
      • Aims and Scope
      • Abstracting and Indexing
      • Bibliographic Information
      • Archive
    • Experimental and Therapeutic Medicine
      • Experimental and Therapeutic Medicine
      • Information for Authors
      • Editorial Policies
      • Editorial Board
      • Aims and Scope
      • Abstracting and Indexing
      • Bibliographic Information
      • Archive
    • International Journal of Molecular Medicine
      • International Journal of Molecular Medicine
      • Information for Authors
      • Editorial Policies
      • Editorial Board
      • Aims and Scope
      • Abstracting and Indexing
      • Bibliographic Information
      • Archive
    • Biomedical Reports
      • Biomedical Reports
      • Information for Authors
      • Editorial Policies
      • Editorial Board
      • Aims and Scope
      • Abstracting and Indexing
      • Bibliographic Information
      • Archive
    • Oncology Reports
      • Oncology Reports
      • Information for Authors
      • Editorial Policies
      • Editorial Board
      • Aims and Scope
      • Abstracting and Indexing
      • Bibliographic Information
      • Archive
    • Molecular Medicine Reports
      • Molecular Medicine Reports
      • Information for Authors
      • Editorial Policies
      • Editorial Board
      • Aims and Scope
      • Abstracting and Indexing
      • Bibliographic Information
      • Archive
    • World Academy of Sciences Journal
      • World Academy of Sciences Journal
      • Information for Authors
      • Editorial Policies
      • Editorial Board
      • Aims and Scope
      • Abstracting and Indexing
      • Bibliographic Information
      • Archive
    • International Journal of Functional Nutrition
      • International Journal of Functional Nutrition
      • Information for Authors
      • Editorial Policies
      • Editorial Board
      • Aims and Scope
      • Abstracting and Indexing
      • Bibliographic Information
      • Archive
    • International Journal of Epigenetics
      • International Journal of Epigenetics
      • Information for Authors
      • Editorial Policies
      • Editorial Board
      • Aims and Scope
      • Abstracting and Indexing
      • Bibliographic Information
      • Archive
    • Medicine International
      • Medicine International
      • Information for Authors
      • Editorial Policies
      • Editorial Board
      • Aims and Scope
      • Abstracting and Indexing
      • Bibliographic Information
      • Archive
  • Articles
  • Information
    • Information for Authors
    • Information for Reviewers
    • Information for Librarians
    • Information for Advertisers
    • Conferences
  • Language Editing
Spandidos Publications Logo
  • About
    • About Spandidos
    • Aims and Scopes
    • Abstracting and Indexing
    • Editorial Policies
    • Reprints and Permissions
    • Job Opportunities
    • Terms and Conditions
    • Contact
  • Journals
    • All Journals
    • Biomedical Reports
      • Information for Authors
      • Editorial Policies
      • Editorial Board
      • Aims and Scope
      • Abstracting and Indexing
      • Bibliographic Information
      • Archive
    • Experimental and Therapeutic Medicine
      • Information for Authors
      • Editorial Policies
      • Editorial Board
      • Aims and Scope
      • Abstracting and Indexing
      • Bibliographic Information
      • Archive
    • International Journal of Epigenetics
      • Information for Authors
      • Editorial Policies
      • Editorial Board
      • Aims and Scope
      • Abstracting and Indexing
      • Bibliographic Information
      • Archive
    • International Journal of Functional Nutrition
      • Information for Authors
      • Editorial Policies
      • Editorial Board
      • Aims and Scope
      • Abstracting and Indexing
      • Bibliographic Information
      • Archive
    • International Journal of Molecular Medicine
      • Information for Authors
      • Editorial Policies
      • Editorial Board
      • Aims and Scope
      • Abstracting and Indexing
      • Bibliographic Information
      • Archive
    • International Journal of Oncology
      • Information for Authors
      • Editorial Policies
      • Editorial Board
      • Aims and Scope
      • Abstracting and Indexing
      • Bibliographic Information
      • Archive
    • Medicine International
      • Information for Authors
      • Editorial Policies
      • Editorial Board
      • Aims and Scope
      • Abstracting and Indexing
      • Bibliographic Information
      • Archive
    • Molecular and Clinical Oncology
      • Information for Authors
      • Editorial Policies
      • Editorial Board
      • Aims and Scope
      • Abstracting and Indexing
      • Bibliographic Information
      • Archive
    • Molecular Medicine Reports
      • Information for Authors
      • Editorial Policies
      • Editorial Board
      • Aims and Scope
      • Abstracting and Indexing
      • Bibliographic Information
      • Archive
    • Oncology Letters
      • Information for Authors
      • Editorial Policies
      • Editorial Board
      • Aims and Scope
      • Abstracting and Indexing
      • Bibliographic Information
      • Archive
    • Oncology Reports
      • Information for Authors
      • Editorial Policies
      • Editorial Board
      • Aims and Scope
      • Abstracting and Indexing
      • Bibliographic Information
      • Archive
    • World Academy of Sciences Journal
      • Information for Authors
      • Editorial Policies
      • Editorial Board
      • Aims and Scope
      • Abstracting and Indexing
      • Bibliographic Information
      • Archive
  • Articles
  • Information
    • For Authors
    • For Reviewers
    • For Librarians
    • For Advertisers
    • Conferences
  • Language Editing
Login Register Submit
  • This site uses cookies
  • You can change your cookie settings at any time by following the instructions in our Cookie Policy. To find out more, you may read our Privacy Policy.

    I agree
Search articles by DOI, keyword, author or affiliation
Search
Advanced Search
presentation
Oncology Letters
Join Editorial Board Propose a Special Issue
Print ISSN: 1792-1074 Online ISSN: 1792-1082
Journal Cover
December-2017 Volume 14 Issue 6

Full Size Image

Sign up for eToc alerts
Recommend to Library

Journals

International Journal of Molecular Medicine

International Journal of Molecular Medicine

International Journal of Molecular Medicine is an international journal devoted to molecular mechanisms of human disease.

International Journal of Oncology

International Journal of Oncology

International Journal of Oncology is an international journal devoted to oncology research and cancer treatment.

Molecular Medicine Reports

Molecular Medicine Reports

Covers molecular medicine topics such as pharmacology, pathology, genetics, neuroscience, infectious diseases, molecular cardiology, and molecular surgery.

Oncology Reports

Oncology Reports

Oncology Reports is an international journal devoted to fundamental and applied research in Oncology.

Experimental and Therapeutic Medicine

Experimental and Therapeutic Medicine

Experimental and Therapeutic Medicine is an international journal devoted to laboratory and clinical medicine.

Oncology Letters

Oncology Letters

Oncology Letters is an international journal devoted to Experimental and Clinical Oncology.

Biomedical Reports

Biomedical Reports

Explores a wide range of biological and medical fields, including pharmacology, genetics, microbiology, neuroscience, and molecular cardiology.

Molecular and Clinical Oncology

Molecular and Clinical Oncology

International journal addressing all aspects of oncology research, from tumorigenesis and oncogenes to chemotherapy and metastasis.

World Academy of Sciences Journal

World Academy of Sciences Journal

Multidisciplinary open-access journal spanning biochemistry, genetics, neuroscience, environmental health, and synthetic biology.

International Journal of Functional Nutrition

International Journal of Functional Nutrition

Open-access journal combining biochemistry, pharmacology, immunology, and genetics to advance health through functional nutrition.

International Journal of Epigenetics

International Journal of Epigenetics

Publishes open-access research on using epigenetics to advance understanding and treatment of human disease.

Medicine International

Medicine International

An International Open Access Journal Devoted to General Medicine.

Journal Cover
December-2017 Volume 14 Issue 6

Full Size Image

Sign up for eToc alerts
Recommend to Library

  • Article
  • Citations
    • Cite This Article
    • Download Citation
    • Create Citation Alert
    • Remove Citation Alert
    • Cited By
  • Similar Articles
    • Related Articles (in Spandidos Publications)
    • Similar Articles (Google Scholar)
    • Similar Articles (PubMed)
  • Download PDF
  • Download XML
  • View XML
Case Report

T cell acute lymphoblastic lymphoma complicated with myeloid sarcoma in an adult: A case report

  • Authors:
    • Ying Wang
    • Shupeng Wen
    • Zhiyun Niu
    • Lina Xing
    • Fuxu Wang
    • Xuejun Zhang
  • View Affiliations / Copyright

    Affiliations: Department of Hematology, The Second Hospital of Hebei Medical University, Shijiazhuang, Hebei 050000, P.R. China
  • Pages: 8178-8182
    |
    Published online on: October 16, 2017
       https://doi.org/10.3892/ol.2017.7187
  • Expand metrics +
Metrics: Total Views: 0 (Spandidos Publications: | PMC Statistics: )
Metrics: Total PDF Downloads: 0 (Spandidos Publications: | PMC Statistics: )
Cited By (CrossRef): 0 citations Loading Articles...

This article is mentioned in:



Abstract

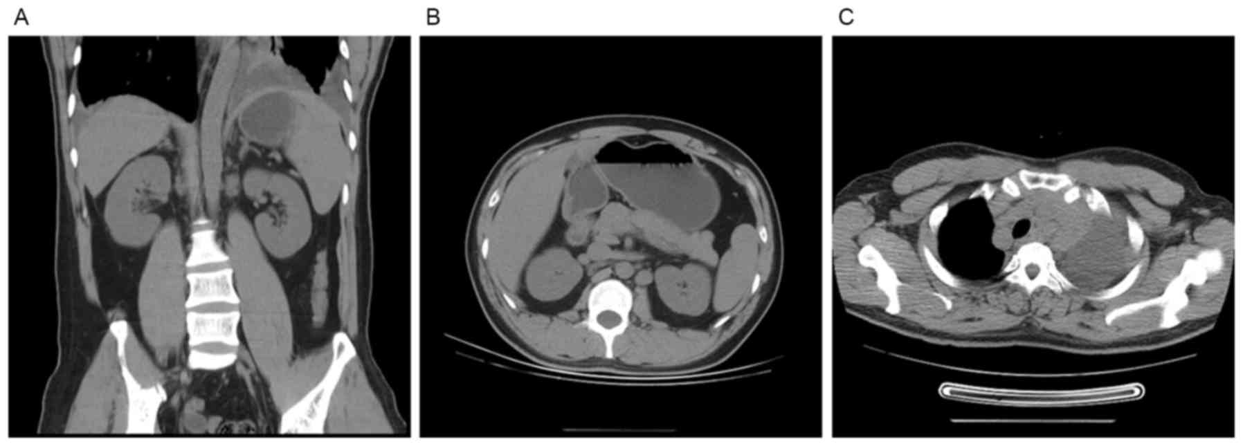
The present case report describes a rare case of T cell acute lymphoblastic lymphoma (T‑LBL) in the lymph node with myeloid sarcoma in the pericardium. A 33‑year‑old Chinese male was admitted to hospital on 4 July 2015 exhibiting a fever and having experienced wheezing and fatigue for the previous 7 days. Routine pathological, computed tomographic, cytological and immunophenotypic observations revealed a diagnosis of T‑LBL in the lymph node on 7 August 2015, without evidence of bone marrow (BM) involvement. The patient received induction chemotherapy for T‑LBL and achieved partial remission. The patient was identified to have multiple serous effusion and analysis of pericardial effusion cells revealed the diagnosis of T‑LBL with extramedullary myeloid sarcoma (without BM involvement) on 25 November 2015. On 30 December 2015, the patient was identified to exhibit proliferation of primary myeloid cells in the peripheral blood and BM, and an abnormal karyotype in BM cells, indicating that the complicated myeloid sarcoma involved the BM. No matched donor was available so the patient received chemotherapy to manage the disease. The patient was discharged on 31 January 2016 and ceased treatment. The patient succumbed on 19 February 2016 at home. To the best of our knowledge, T‑LBL complicated with myeloid sarcoma had not been previously reported in Chinese adult male patients. In addition, the involvement of the BM and aberrant karyotype of the complicated myeloid sarcoma in the patient were rare.
View Figures

Figure 1

Figure 2

Figure 3

Figure 4

View References

1 

Steven H, Elias, Campo NancyLee, Harris, et al: International Agency for Research on Cancer Lyon. WHO Classification of Tumours of Haematopoietic and Lymphoid Tissues. 1762008.

2 

Thomas DA, O'Brien S, Cortes J, Giles FJ, Faderl S, Verstovsek S, Ferrajoli A, Koller C, Beran M, Pierce S, et al: Outcome with the hyper-CVAD regimens in lymphoblastic lymphoma. Blood. 104:1624–1630. 2004. View Article : Google Scholar : PubMed/NCBI

3 

Marks DI, Paietta EM, Moorman AV, Richards SM, Buck G, DeWald G, Ferrando A, Fielding AK, Goldstone AH, Ketterling RP, et al: T-cell acute lymphoblastic leukemia in adults: Clinical features, immunophenotype, cytogenetics, and outcome from the large randomized prospective trial (UKALL XII/ECOG 2993). Blood. 114:5136–5145. 2009. View Article : Google Scholar : PubMed/NCBI

4 

Pileri SA, Ascani S, Cox MC, Campidelli C, Bacci F, Piccioli M, Piccaluga PP, Agostinelli C, Asioli S, Novero D, et al: Myeloid sarcoma: Clinico-pathologic, phenotypic and cytogenetic analysis of 92 adult patients. Leukemia. 21:340–350. 2007. View Article : Google Scholar : PubMed/NCBI

5 

Chen X, Rutledge JC, Wu D, Fang M, Opheim KE and Xu M: Chronic myelogenous leukemia presenting in blast phase with nodal, bilineal myeloid sarcoma and T-lymphoblastic lymphoma in a child. Pediatr Dev Pathol. 16:91–96. 2013. View Article : Google Scholar : PubMed/NCBI

6 

Verma RS and Lubs HA: A simple R banding technic. Am J Hum Genet. 27:110–117. 1975.PubMed/NCBI

7 

Borowitz MJ and Chan JKC: T lymphoblastic leukaemia/lymphomaSwerdlow SH, Campo E, Harris NL, Jaffe ES, Pileri SA, Stein H, et al: WHO classification of tumours of haematopoietic and lymphoid tissues. 4th edition. IARC Press; Lyon: pp. 176–178. 2008

8 

Takahashi H, Koh K, Kato M, Kishimoto H, Oguma E and Hanada R: Acute myeloid leukemia with mediastinal myeloid sarcoma refractory to acute myeloid leukemia therapy but responsive to L-asparaginase. Int J Hematol. 96:136–140. 2012. View Article : Google Scholar : PubMed/NCBI

9 

Bejar R, Lord A, Stevenson K, Bar-Natan M, Pérez-Ladaga A, Zaneveld J, Wang H, Caughey B, Stojanov P, Getz G, et al: TET2 mutations predict response to hypomethylating agents in myelodysplastic syndrome patients. Blood. 124:2705–2712. 2014. View Article : Google Scholar : PubMed/NCBI

10 

Bain BJ and Fletcher SH: Chronic eosinophilic leukemias and the myeloproliferative variant of the hypereosinophilic syndrome. Immunol Allergy Clin North Am. 27:377–388. 2007. View Article : Google Scholar : PubMed/NCBI

11 

Metzgeroth G, Walz C, Score J, Siebert R, Schnittger S, Haferlach C, Popp H, Haferlach T, Erben P, Mix J, et al: Recurrent finding of the FIP1L1-PDGFRA fusion gene in eosinophilia-associated acute myeloid leukemia and lymphoblastic T-cell lymphoma. Leukemia. 21:1183–1188. 2007. View Article : Google Scholar : PubMed/NCBI

12 

Tokita K, Maki K, Tadokoro J, Nakamura Y, Arai Y, Sasaki K, Eguchi-Ishimae M, Eguchi M and Mitani K: Chronic idiopathic myelofibrosis expressing a novel type of TEL-PDGFRB chimaera responded to imatinib mesylate therapy. Leukemia. 21:190–192. 2007. View Article : Google Scholar : PubMed/NCBI

13 

Pedersen-Bjergaard J, Christiansen DH, Desta F and Andersen MK: Alternative genetic pathways and cooperating genetic abnormalities in the pathogenesis of therapy-related myelodysplasia and acute myeloid leukemia. Leukemia. 20:1943–1949. 2006. View Article : Google Scholar : PubMed/NCBI

14 

Smith SM, Le Beau MM, Huo D, Karrison T, Sobecks RM, Anastasi J, Vardiman JW, Rowley JD and Larson RA: Clinical-cytogenetic associations in 306 patients with therapy-related myelodysplasia and myeloid leukemia: The university of Chicago series. Blood. 102:43–52. 2003. View Article : Google Scholar : PubMed/NCBI

15 

Abruzzo LV, Jaffe ES, Cotelingam JD, Whang-Peng J, Del Duca V Jr and Medeiros LJ: T-cell lymphoblastic lymphoma with eosinophilia associated with subsequent myeloid malignancy. Am J Surg Pathol. 16:236–245. 1992. View Article : Google Scholar : PubMed/NCBI

16 

Krishnan S, Sabai K, Chuah C and Tan SY: Bilineal T lymphoblastic and myeloid blast transformation in chronic myeloid leukemia with TP53 mutation-an uncommon presentation in adults. Curr Oncol. 21:e147–e150. 2014. View Article : Google Scholar : PubMed/NCBI

Related Articles

  • Abstract
  • View
  • Download
  • Twitter
Copy and paste a formatted citation
Spandidos Publications style
Wang Y, Wen S, Niu Z, Xing L, Wang F and Zhang X: T cell acute lymphoblastic lymphoma complicated with myeloid sarcoma in an adult: A case report. Oncol Lett 14: 8178-8182, 2017.
APA
Wang, Y., Wen, S., Niu, Z., Xing, L., Wang, F., & Zhang, X. (2017). T cell acute lymphoblastic lymphoma complicated with myeloid sarcoma in an adult: A case report. Oncology Letters, 14, 8178-8182. https://doi.org/10.3892/ol.2017.7187
MLA
Wang, Y., Wen, S., Niu, Z., Xing, L., Wang, F., Zhang, X."T cell acute lymphoblastic lymphoma complicated with myeloid sarcoma in an adult: A case report". Oncology Letters 14.6 (2017): 8178-8182.
Chicago
Wang, Y., Wen, S., Niu, Z., Xing, L., Wang, F., Zhang, X."T cell acute lymphoblastic lymphoma complicated with myeloid sarcoma in an adult: A case report". Oncology Letters 14, no. 6 (2017): 8178-8182. https://doi.org/10.3892/ol.2017.7187
Copy and paste a formatted citation
x
Spandidos Publications style
Wang Y, Wen S, Niu Z, Xing L, Wang F and Zhang X: T cell acute lymphoblastic lymphoma complicated with myeloid sarcoma in an adult: A case report. Oncol Lett 14: 8178-8182, 2017.
APA
Wang, Y., Wen, S., Niu, Z., Xing, L., Wang, F., & Zhang, X. (2017). T cell acute lymphoblastic lymphoma complicated with myeloid sarcoma in an adult: A case report. Oncology Letters, 14, 8178-8182. https://doi.org/10.3892/ol.2017.7187
MLA
Wang, Y., Wen, S., Niu, Z., Xing, L., Wang, F., Zhang, X."T cell acute lymphoblastic lymphoma complicated with myeloid sarcoma in an adult: A case report". Oncology Letters 14.6 (2017): 8178-8182.
Chicago
Wang, Y., Wen, S., Niu, Z., Xing, L., Wang, F., Zhang, X."T cell acute lymphoblastic lymphoma complicated with myeloid sarcoma in an adult: A case report". Oncology Letters 14, no. 6 (2017): 8178-8182. https://doi.org/10.3892/ol.2017.7187
Follow us
  • Twitter
  • LinkedIn
  • Facebook
About
  • Spandidos Publications
  • Careers
  • Cookie Policy
  • Privacy Policy
How can we help?
  • Help
  • Live Chat
  • Contact
  • Email to our Support Team