Spandidos Publications Logo
  • About
    • About Spandidos
    • Aims and Scopes
    • Abstracting and Indexing
    • Editorial Policies
    • Reprints and Permissions
    • Job Opportunities
    • Terms and Conditions
    • Contact
  • Journals
    • All Journals
    • Oncology Letters
      • Oncology Letters
      • Information for Authors
      • Editorial Policies
      • Editorial Board
      • Aims and Scope
      • Abstracting and Indexing
      • Bibliographic Information
      • Archive
    • International Journal of Oncology
      • International Journal of Oncology
      • Information for Authors
      • Editorial Policies
      • Editorial Board
      • Aims and Scope
      • Abstracting and Indexing
      • Bibliographic Information
      • Archive
    • Molecular and Clinical Oncology
      • Molecular and Clinical Oncology
      • Information for Authors
      • Editorial Policies
      • Editorial Board
      • Aims and Scope
      • Abstracting and Indexing
      • Bibliographic Information
      • Archive
    • Experimental and Therapeutic Medicine
      • Experimental and Therapeutic Medicine
      • Information for Authors
      • Editorial Policies
      • Editorial Board
      • Aims and Scope
      • Abstracting and Indexing
      • Bibliographic Information
      • Archive
    • International Journal of Molecular Medicine
      • International Journal of Molecular Medicine
      • Information for Authors
      • Editorial Policies
      • Editorial Board
      • Aims and Scope
      • Abstracting and Indexing
      • Bibliographic Information
      • Archive
    • Biomedical Reports
      • Biomedical Reports
      • Information for Authors
      • Editorial Policies
      • Editorial Board
      • Aims and Scope
      • Abstracting and Indexing
      • Bibliographic Information
      • Archive
    • Oncology Reports
      • Oncology Reports
      • Information for Authors
      • Editorial Policies
      • Editorial Board
      • Aims and Scope
      • Abstracting and Indexing
      • Bibliographic Information
      • Archive
    • Molecular Medicine Reports
      • Molecular Medicine Reports
      • Information for Authors
      • Editorial Policies
      • Editorial Board
      • Aims and Scope
      • Abstracting and Indexing
      • Bibliographic Information
      • Archive
    • World Academy of Sciences Journal
      • World Academy of Sciences Journal
      • Information for Authors
      • Editorial Policies
      • Editorial Board
      • Aims and Scope
      • Abstracting and Indexing
      • Bibliographic Information
      • Archive
    • International Journal of Functional Nutrition
      • International Journal of Functional Nutrition
      • Information for Authors
      • Editorial Policies
      • Editorial Board
      • Aims and Scope
      • Abstracting and Indexing
      • Bibliographic Information
      • Archive
    • International Journal of Epigenetics
      • International Journal of Epigenetics
      • Information for Authors
      • Editorial Policies
      • Editorial Board
      • Aims and Scope
      • Abstracting and Indexing
      • Bibliographic Information
      • Archive
    • Medicine International
      • Medicine International
      • Information for Authors
      • Editorial Policies
      • Editorial Board
      • Aims and Scope
      • Abstracting and Indexing
      • Bibliographic Information
      • Archive
  • Articles
  • Information
    • Information for Authors
    • Information for Reviewers
    • Information for Librarians
    • Information for Advertisers
    • Conferences
  • Language Editing
Spandidos Publications Logo
  • About
    • About Spandidos
    • Aims and Scopes
    • Abstracting and Indexing
    • Editorial Policies
    • Reprints and Permissions
    • Job Opportunities
    • Terms and Conditions
    • Contact
  • Journals
    • All Journals
    • Biomedical Reports
      • Information for Authors
      • Editorial Policies
      • Editorial Board
      • Aims and Scope
      • Abstracting and Indexing
      • Bibliographic Information
      • Archive
    • Experimental and Therapeutic Medicine
      • Information for Authors
      • Editorial Policies
      • Editorial Board
      • Aims and Scope
      • Abstracting and Indexing
      • Bibliographic Information
      • Archive
    • International Journal of Epigenetics
      • Information for Authors
      • Editorial Policies
      • Editorial Board
      • Aims and Scope
      • Abstracting and Indexing
      • Bibliographic Information
      • Archive
    • International Journal of Functional Nutrition
      • Information for Authors
      • Editorial Policies
      • Editorial Board
      • Aims and Scope
      • Abstracting and Indexing
      • Bibliographic Information
      • Archive
    • International Journal of Molecular Medicine
      • Information for Authors
      • Editorial Policies
      • Editorial Board
      • Aims and Scope
      • Abstracting and Indexing
      • Bibliographic Information
      • Archive
    • International Journal of Oncology
      • Information for Authors
      • Editorial Policies
      • Editorial Board
      • Aims and Scope
      • Abstracting and Indexing
      • Bibliographic Information
      • Archive
    • Medicine International
      • Information for Authors
      • Editorial Policies
      • Editorial Board
      • Aims and Scope
      • Abstracting and Indexing
      • Bibliographic Information
      • Archive
    • Molecular and Clinical Oncology
      • Information for Authors
      • Editorial Policies
      • Editorial Board
      • Aims and Scope
      • Abstracting and Indexing
      • Bibliographic Information
      • Archive
    • Molecular Medicine Reports
      • Information for Authors
      • Editorial Policies
      • Editorial Board
      • Aims and Scope
      • Abstracting and Indexing
      • Bibliographic Information
      • Archive
    • Oncology Letters
      • Information for Authors
      • Editorial Policies
      • Editorial Board
      • Aims and Scope
      • Abstracting and Indexing
      • Bibliographic Information
      • Archive
    • Oncology Reports
      • Information for Authors
      • Editorial Policies
      • Editorial Board
      • Aims and Scope
      • Abstracting and Indexing
      • Bibliographic Information
      • Archive
    • World Academy of Sciences Journal
      • Information for Authors
      • Editorial Policies
      • Editorial Board
      • Aims and Scope
      • Abstracting and Indexing
      • Bibliographic Information
      • Archive
  • Articles
  • Information
    • For Authors
    • For Reviewers
    • For Librarians
    • For Advertisers
    • Conferences
  • Language Editing
Login Register Submit
  • This site uses cookies
  • You can change your cookie settings at any time by following the instructions in our Cookie Policy. To find out more, you may read our Privacy Policy.

    I agree
Search articles by DOI, keyword, author or affiliation
Search
Advanced Search
presentation
Oncology Letters
Join Editorial Board Propose a Special Issue
Print ISSN: 1792-1074 Online ISSN: 1792-1082
Journal Cover
May-2018 Volume 15 Issue 5

Full Size Image

Sign up for eToc alerts
Recommend to Library

Journals

International Journal of Molecular Medicine

International Journal of Molecular Medicine

International Journal of Molecular Medicine is an international journal devoted to molecular mechanisms of human disease.

International Journal of Oncology

International Journal of Oncology

International Journal of Oncology is an international journal devoted to oncology research and cancer treatment.

Molecular Medicine Reports

Molecular Medicine Reports

Covers molecular medicine topics such as pharmacology, pathology, genetics, neuroscience, infectious diseases, molecular cardiology, and molecular surgery.

Oncology Reports

Oncology Reports

Oncology Reports is an international journal devoted to fundamental and applied research in Oncology.

Experimental and Therapeutic Medicine

Experimental and Therapeutic Medicine

Experimental and Therapeutic Medicine is an international journal devoted to laboratory and clinical medicine.

Oncology Letters

Oncology Letters

Oncology Letters is an international journal devoted to Experimental and Clinical Oncology.

Biomedical Reports

Biomedical Reports

Explores a wide range of biological and medical fields, including pharmacology, genetics, microbiology, neuroscience, and molecular cardiology.

Molecular and Clinical Oncology

Molecular and Clinical Oncology

International journal addressing all aspects of oncology research, from tumorigenesis and oncogenes to chemotherapy and metastasis.

World Academy of Sciences Journal

World Academy of Sciences Journal

Multidisciplinary open-access journal spanning biochemistry, genetics, neuroscience, environmental health, and synthetic biology.

International Journal of Functional Nutrition

International Journal of Functional Nutrition

Open-access journal combining biochemistry, pharmacology, immunology, and genetics to advance health through functional nutrition.

International Journal of Epigenetics

International Journal of Epigenetics

Publishes open-access research on using epigenetics to advance understanding and treatment of human disease.

Medicine International

Medicine International

An International Open Access Journal Devoted to General Medicine.

Journal Cover
May-2018 Volume 15 Issue 5

Full Size Image

Sign up for eToc alerts
Recommend to Library

  • Article
  • Citations
    • Cite This Article
    • Download Citation
    • Create Citation Alert
    • Remove Citation Alert
    • Cited By
  • Similar Articles
    • Related Articles (in Spandidos Publications)
    • Similar Articles (Google Scholar)
    • Similar Articles (PubMed)
  • Download PDF
  • Download XML
  • View XML
Case Report

Penile metastasis secondary to nasal-type extranodal natural killer/T-cell lymphoma: A case report and review of the literature

  • Authors:
    • Yanan Li
    • Xiaorui Fu
    • Jingjing Wu
    • Chang Yu
    • Zhaoming Li
    • Zhenchang Sun
    • Jiaqin Yan
    • Feifei Nan
    • Xundong Zhang
    • Ling Li
    • Xin Li
    • Lei Zhang
    • Wencai Li
    • Guannan Wang
    • Mingzhi Zhang
  • View Affiliations / Copyright

    Affiliations: Lymphoma Diagnosis and Treatment Center, Department of Oncology, The First Affiliated Hospital of Zhengzhou University, Zhengzhou, Henan 450052, P.R. China, Department of Pathology, The First Affiliated Hospital of Zhengzhou University, Zhengzhou, Henan 450052, P.R. China
  • Pages: 8034-8038
    |
    Published online on: March 16, 2018
       https://doi.org/10.3892/ol.2018.8288
  • Expand metrics +
Metrics: Total Views: 0 (Spandidos Publications: | PMC Statistics: )
Metrics: Total PDF Downloads: 0 (Spandidos Publications: | PMC Statistics: )
Cited By (CrossRef): 0 citations Loading Articles...

This article is mentioned in:


Abstract

Extranodal natural killer/T-cell lymphoma (NKTL), nasal-type is one of the most aggressive lymphoid malignancies and is characterized by an extremely poor survival outcome. The present study reports the case of a 39‑year‑old Chinese male with history of extranodal NKTL who presented with a painless indurated mass in the glans penis. The results of an incisional biopsy revealed atypical cells that were positive for CD3, CD56, T‑cell‑restricted intracellular antigen‑1, granzyme B and Epstein‑Barr virus‑encoded RNA, and negative for CD20. A diagnosis of metastatic NKTL was determined. The patient was treated with systemic chemotherapy consisting of cisplatin, dexamethasone, gemcitabine and pegaspargase, which resulted in remission and regression of the mass. In addition, a review of the literature was performed, and the data for 13 cases of non‑B‑cell penile lymphoma, including the present case, are presented. To the best of our knowledge, this is first review of this entity.

Introduction

Extranodal NK/T-cell lymphoma (NKTL) is a highly aggressive neoplasm that commonly involves the nasal cavity, which accounts for 1–10% of all non-Hodgkin's lymphoma (1). The estimated 5-year overall survival rate is 40–50% (2). This type of tumor has distinct clinicopathological features and no standard treatment options. In the early stages, the disease often presents as a destructive lesion within the centrofacial region. However, in advanced cases, the disease may involve distant extranodal organs, frequently including the skin, liver, lung, testis or central nervous system (1,3). Penile involvement, whether primary or secondary, is extremely rare and seldom reported in the literature (4,5). Early diagnosis of lymphoma can aid in avoidance unnecessary penile amputation and allow for optimal management (6). The first English-language case report of extranodal NKTL with involvement of the penis was reported in 2008, and is the only study in English to describe this entity (7).

The present study reports the comprehensive clinical data of one case of extranodal NKTL with recurrence in the penis, and reviews the previously reported cases of non-B-cell penile lymphoma. Written informed consent for the publication of this report was obtained from the patient.

Case report

Ethical approval was obtained from the Scientific Research and Clinical Trial Ethics Committee of The First Affiliated Hospital of Zhengzhou University (Zhengzhou, China) and written informed consent was obtained from the patient. A 39-year-old Chinese male presented to The First Affiliated Hospital of Zhengzhou University (Zhengzhou, China) in February 2013 complaining of nasal congestion and purulent rhinorrhea that had lasted for 6 months. Upon physical examination, a mass was observed in the right nasal cavity, and an enlarged palpable lymph node was detected in the ipsilateral neck. A subsequent nasopharyngeal computed tomography (CT) scan revealed a right nasal tumor. Subsequently, an incisional biopsy of the right mass was performed. Tissue was fixed in 10% buffered formalin for 6 h at 37°C, dehydrated, embedded in paraffin and cut into 4-µm-thick sections. The sections were blocked in 3% hydrogen peroxide for 4 min at 37°C before incubation with antibodies. The primary antibodies used were CD56 (cat no. 56C04; Thermo Fisher Scientific, Inc., Waltham, MA, USA) in 1:200 dilution, CD3 (cat no. Kit-0003; MXB Biotechnologies, Inc., Fuzhou, China) in undiluted solution, granzyme B (cat no. ZA-0149; OriGene Technologies, Inc., Beijing, China) in undiluted solution, T-cell-restricted intracellular antigen-1 (TIA-1; cat no. MAB-0576; MXB Biotechnologies, Inc.) in undiluted solution, CD43 (cat no. MAB-0032; MXB Biotechnologies, Inc.) in undiluted solution, CD20 (cat no. ZM-0039; OriGene Technologies, Inc.) in 1:200 dilution and Ki-67 (cat no. Kit-0005; MXB Biotechnologies, Inc.) in undiluted solution. The section specimens were incubated with primary antibodies against CD56, CD3, TIA-1, CD43, CD20 or Ki67 for 36, 72, 64, 36, 36 or 64 min at 37°C respectively, then incubated with ultraView Universal DAB Detection kit (cat no. 760-500; Roche Diagnostics, Shanghai, China) that included anti-mouse and -rabbit secondary antibodies conjugated with horseradish peroxidase and DAB in undiluted solutions at 37°C for 16 min. Images were taken with a Leica DM4 B microscope (×400 magnification; Leica Microsystems GmbH, Wetzlar, Germany). The biopsy revealed atypical lymphocytes that were positive for CD56, CD3, granzyme B, TIA-1and CD43, and negative for CD20. Positive Ki-67 antigen staining, representing the proliferative activity, was identified in 70% of the cells. A routine ultrasound scan showed an enlarged lymph node, measuring 16×6 mm, in the right neck. Abdominal and pelvic ultrasound examinations were negative, and bone marrow smear and blood tests were unremarkable. These findings led to a diagnosis of NKTL stage IIE (involvement of nasal cavity and ipsilateral lymph nodes) according to the Ann Arbor classification (8), and the International Prognostic Index (IPI) (9) score was 1.

The patient received radiotherapy by radioisotope 60Co (200 cGy, 25 times; total, 5,000 cGy) followed by seven cycles of chemotherapy, consisting of cyclophosphamide (750 mg/m2; day 1), doxorubicin (25 mg/m2; days 1 and 2) and vincristine (2 mg; day 1), with fotemustine (100 mg/m2; day 3) for the first 5 cycles. Each cycle lasted 21 days. A complete remission was achieved, and the patient was disease-free for 16 months.

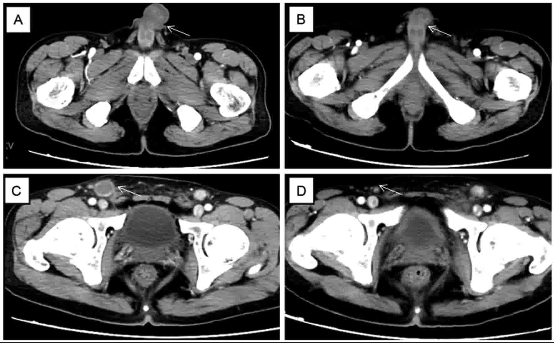
Subsequently, the patient presented with a painless indurated mass in the glans penis that had been present for 1 week. No fever, weight loss or night sweats were reported. The patient denied having had unprotected sexual intercourse, previous sexually transmitted diseases or recent trauma. The physical examination revealed a firm mass affecting the glans penis, without ulceration or swelling, and multiple enlarged palpable lymph nodes in the bilateral inguinal regions. The results of a blood test and biochemical analyses, including an analysis of Epstein-Barr virus (EBV) DNA copies, were in the normal ranges. Enhanced CT showed a soft tissue mass with obscure boundaries and moderate enhancement on the arterial phase, and enlarged inguinal lymph nodes with ring-like enhancement (Fig. 1). An incisional biopsy of the penis was performed as described previously, which led to a diagnosis of penile metastasis secondary to NKTL. Immunohistochemical staining revealed that the biopsy tissue was positive for CD3, CD56, CD43, TIA-1, granzyme B and CD-30 (cat no. ZM-0043; OriGene Technologies, Inc.; Fig. 2). Additionally, in situ hybridization analysis revealed positive expression of EBV-encoded RNA (EBER; cat no. ISH-5021; OriGene Technologies, Inc.), the CD20 (Fig. 2) andanaplastic lymphoma kinase staining results were negative, and staining for Ki-67 was positive in 90% of cells. Enhanced CT scans of the nasopharynx, chest and abdomen, an ultrasound scan of the superficial lymph node-bearing region, and bone marrow aspiration were performed, and no other lesions were detected. A diagnosis of recurrent extranodal NKTL was determined. The patient's clinical stage was IIE, and the IPI score was 1.

Figure 1.

Computed tomography scans. (A) The arrow showed a soft tissue mass with obscure boundaries and moderate enhancement in the glans penis on the arterial phase. (C) The arrow showed an enlarged inguinal lymph node with ring-like enhancement. (B and D) The arrows showed the mass and the lymph node regressed following chemotherapy.

Figure 2.

Microscopic findings. (A) Angiocentric and angioinvasive growth pattern of neoplastic cells with considerable necrosis (hematoxylin and eosin staining; magnification, ×400). Tumor cells were positive for (B) CD56, (C) Epstein-Barr virus-encoded RNA (assessed by in situ hybridization), and (D) CD3, but negative for (E) CD20 (EnVision method; magnification, ×400).

The patient then received three cycles of DDGP chemotherapy, consisting of cisplatin (20 mg/m2; days 1–4), dexamethasone (15 mg/m2; days 1–5), gemcitabine (0.8 g/m2; days 1 and 8) and pegaspargase (2,500 IU/m2; day 1). The penile mass decreased in size following the first cycle and a partial remission was achieved. After two cycles of chemotherapy, the mass in the glans penis and the inguinal lymph nodes had regressed (Fig. 1). Following a further cycle of chemotherapy, the patient remained in a stable condition. Follow-up with the patient was not possible as contact was lost following the last chemotherapy treatment.

Discussion

Extranodal NKTL, nasal type is a type of lymphoma that associated with EBV, and is more commonly observed in Asian populations than in people of European descent (1,3). This type of tumor has distinct clinicopathological features and no standard treatment options. In the early stages, the disease often presents as a destructive lesion within the centrofacial region. However, in advanced cases, the disease may involve distant extranodal organs, frequently the skin, liver, lung, testis, or CNS (1,3). The present study reports a rare case of primary nasal extranodal NKTL with metastasis to the penis. In this patient, the tissue biopsy obtained from the penile mass exhibited atypical lymph cells infiltrating and damaging blood vessels, with considerable necrosis, and cells positive for CD56, EBER, granzyme B and TIA-1, and negative for CD20. The morphological characteristics and immunohistochemical findings of these cells were similar to those of primary nasal extranodal NKTL, and were thus consistent with a diagnosis of penile metastasis from nasal extranodal NKTL.

Penile malignancy is extremely rare, despite the rich blood supply to this region, with a reported incidence ranging from 0.58 to 1.3 cases/100,000 individuals (4,5). Squamous cell carcinoma is the most common histological type (91.7%) (4,5). Involvement of the penis by lymphoma is an even more rare occurrence. Diffuse large B-cell lymphoma is the most common histological subtype among cases of penile lymphoma (10). Sun et al (10) reported 33 cases of penile lymphoma, only 9 of which had originated from T-cells. In the current study, a search of PubMed with the terms ‘lymphoma’ combined with ‘penis’ or ‘penile’ identified only 12 cases of non-B-cell penile lymphoma that have been reported since 1995, of which two cases were ultimately diagnosed as NKTL. Four of these reports were in published in Chinese. The clinical characteristics of these cases are summarized in Table I (6,7,11–20).

Table I.

Summary of reports of non-B-cell lymphoma cases involving the penis published since 1995.

Table I.

Summary of reports of non-B-cell lymphoma cases involving the penis published since 1995.

Authors, yearPatient age (years)PresentationTPD/TPRLymphadenopathyPathologyTreatmentFollow-upOutcome(Refs.)
Present casea39Mass1 month/16 monthsYesNK/TChemotherapy2 monthsPR–
Lan et al, 2008a48MassNR/5 yearsNRNK/TChemotherapyNRCR(7)
Yao et al, 200646Nodule, ulcer18 months (TPD)YesNK/TSurgery, chemotherapy1 yearNR(11)
Lin et al, 199976Ulcer6 months (TPD)NoLCEL (CD30+)CO2 laser excision18 monthsCR(6)
Terada et al, 201255MassNRNoCTCLChemotherapy and SCTNRNR(12)
Li et al, 201176Swelling, mass, ulcer2 months (TPD)NoTCELSurgery, chemotherapy and RT10 monthsDOD(13)
Zhou et al, 2008a49Erythema, ulcer, swelling2 months/10 yearsNoCTCLSurgery2 monthsDOD(14)
Shi et al, 200865Enlargement of the penis, ulcerNRYesPTCLChemotherapyNRNR(15)
Wang et al, 200370Mass6 months (TPD)NoTCELChemotherapy20 monthsCR(16)
Tomb et al, 2003a29Ulcer2 weeks/2 yearsNoTCEL (CD30+)Chemotherapy4 yearsCR(17)
Thorns et al, 200359Dysuria, oliguria, ulcer, phimosisNRNoCTCLCircumcisionNRNR(18)
Pomara et al, 200367Ulcerative swellingNRYesT-rich BChemotherapy19 monthsCR(19)
Allen and Walsh, 199677UlcerNRNoTCELChemotherapy, RT14 monthsDied(20)

a Metastatic penile lymphoma case. TPD, time from presentation to diagnosis; TPR, time from primary lymphoma to recurrence in the penis; NR, not reported; SCT, stem cell transplantation; DOD, died of disease; NK/T, natural killer/T-cell lymphoma; LCEL, large cell lymphoma; CTCL, cutaneous T-cell lymphoma; TCEL, T-cell lymphoma; PTCL, peripheral T-cell lymphoma; T-rich B, T-cell rich B-cell lymphoma; RT, radiotherapy; PR, partial remission; CR, complete remission.

The ages of the 13 patients (including the patient in the present case report) ranged from 29 to 77 years (median, 59 years). Of the 13 cases, 3 were extranodal NKTL, with 2 of these cases being metastatic tumors. In these 2 cases of metastatic NKTL, the time intervals between primary malignancy and recurrent penile lymphoma were 16 months and 5 years (7), and the primary lymphomas were located in nasal cavity in both cases. Following systemic chemotherapy, remissions were achieved in these 2 cases. While the majority of non-B-cell penile lymphoma cases respond to chemotherapy, 2 of the 13 patients reportedly succumbed to the disease.

The clinical presentations of penile lymphomas are often non-specific and subtle, and include nodules (11), masses (7,12,13,16), ulceration (6,11,13–15,17–20) and diffuse penile swelling (13,14,19); more rare symptoms include dysuria and phimosis (18). Among the reviewed cases, 69% (9/13 cases) exhibited ulceration during the course of the disease, which may be a sign that indicates a possible diagnosis of penile lymphoma. Lymph node involvement was reported in 31% of cases (4/13 patients).

The diagnosis of metastatic penile NKTL can be challenging, and the time between presentation and a final diagnosis can be as long as 18 months (11). A major differential diagnostic challenge is the distinction between this entity and non-malignant necrosis; necrosis is common in diagnostic biopsies, and may significantly delay diagnosis. Biopsies must include the edges of lesions in order to increase the chance of having viable tissue. The differential diagnosis also includes vasculitis, trauma, and sexually transmitted diseases (11,21). Therefore, a full personal history, physical examination and an incisional biopsy are essential to determine the correct diagnosis. Systemic radiological investigation, including CT, magnetic resonance imaging or positron emission tomography scans, as well as bone marrow aspiration or biopsy, should be undertaken.

Since metastases of nasal extranodal NKTL to the penis are rare, optimal treatment is not well established. Previous cases of lymphoma of the penis have been treated with chemotherapy (7,15–17,19), chemotherapy combined with radiotherapy (20), surgery (14,18) or a combination of these treatment modalities (6,11–13). Chemotherapy with or without radiotherapy is the optimal initial treatment to eradicate this type of tumor while preserving the physiology and function of the penis. Surgery should be reserved only for failures (17–20). In the present case, we opted to treat the patient aggressively with chemotherapy for the disseminated lesions. Furthermore, considering the patient's age, surgery or radiotherapy were not recommended due to possible disfigurement and loss of function. Selection of the optimal chemotherapeutic regimen is challenging due to the lack of published research, with no standard chemotherapy treatment established for NKTL, much less penile metastasis. Recent clinical studies have suggested that pegaspargase-based chemotherapy is a potential therapeutic option with a good remission rate for advanced NKTL (22,23). In the current case, the patient received three cycles chemotherapy of DDGP (including cisplatin, dexamethasone, gemcitabine, pegaspargase), and the penile mass was decreased after the first cycle. After two cycles of chemotherapy, a partial remission was achieved. The patient subsequently received another cycle of chemotherapy and remained in stable condition.

In conclusion, penile metastasis secondary to extranodal NKTL without recurrence at the primary site, although rare, should be considered in the differential diagnosis of a penile mass. Pegaspargase-based chemotherapy may produce a positive outcome in such cases, at least in the short-term.

Acknowledgements

Not applicable.

Funding

The present study was supported by the National Natural Science Foundation of China (grant no. 81570203).

Availability of data and materials

All data generated or analyzed during this study are included in this published article.

Authors' contributions

YL and XF wrote the manuscript. JW, CY, ZL, ZS and JY performed the literature review. FN, XZ, LL, XL and LZ organized the figures and tables. WL and GW performed the pathologic diagnosis. MZ directed the diagnosis and management procedure of the patient and revised the manuscript.

Ethics approval and consent to participate

Ethical approval was obtained from the Scientific Research and Clinical Trial Ethics Committee of The First Affiliated Hospital of Zhengzhou University (Zhengzhou, China) and written informed consent was obtained from the patient.

Consent for publication

Written informed consent was obtained from the patient for publication.

Competing interests

The authors declare that they have no competing interests.

References

1 

Haverkos BM, Pan Z, Gru AA, Freud AG, Rabinovitch R, Xu-Welliver M, Otto B, Barrionuevo C, Baiocchi RA, Rochford R and Porcu P: Extranodal NK/T cell lymphoma, nasal type (ENKTL-NT): An update on epidemiology, clinical presentation and natural history in North American and European cases. Curr Hematol Malig Rep. 11:514–527. 2016. View Article : Google Scholar : PubMed/NCBI

2 

Suzuki R: Pathogenesis and treatment of extranodal natural killer/T-cell lymphoma. Semin Hematol. 51:42–51. 2014. View Article : Google Scholar : PubMed/NCBI

3 

Au WY, Weisenburger DD, Intragumtornchai T, Nakamura S, Kim WS, Sng I, Vose J, Armitage JO and Liang R: International Peripheral T-Cell Lymphoma Project: Clinical differences between nasal and extranasal natural killer/T-cell lymphoma: A study of 136 cases from the international peripheral t-cell lymphoma project. Blood. 113:3931–3937. 2009. View Article : Google Scholar : PubMed/NCBI

4 

Baldur-Felskov B, Hannibal CG, Munk C and Kjaer SK: Increased incidence of penile cancer and high-grade penile intraepithelial neoplasia in denmark 1978–2008: A nationwide population-based study. Cancer Causes Control. 23:273–280. 2012. View Article : Google Scholar : PubMed/NCBI

5 

Barnholtz-Sloan JS, Maldonado JL, Pow-sang J, Giuliano AR and Guiliano AR: Incidence trends in primary malignant penile cancer. Urol Oncol. 25:361–367. 2007. View Article : Google Scholar : PubMed/NCBI

6 

Lin DW, Thorning DR and Krieger JN: Primary penile lymphoma: Diagnostic difficulties and management options. Urology. 54:3661999. View Article : Google Scholar : PubMed/NCBI

7 

Lan SK, Lin CW, Ho HC, Lee MS, Tzeng JE and Su YC: Penile metastasis secondary to nasal NK/T-cell lymphoma. Urology. 72:1014–1015. 2008. View Article : Google Scholar : PubMed/NCBI

8 

Lister TA, Crowther D, Sutcliffe SB, Glatstein E, Canellos GP, Young RC, Rosenberg SA, Coltman CA and Tubiana M: Report of a committee convened to discuss the evaluation and staging of patients with Hodgkin's disease: Cotswolds meeting. J Clin Oncol. 7:1630–1636. 1989. View Article : Google Scholar : PubMed/NCBI

9 

Lee J, Suh C, Park YH, Ko YH, Bang SM, Lee JH, Lee DH, Huh J, Oh SY, Kwon HC, et al: Extranodal natural killer T-cell lymphoma, nasal-type: A prognostic model from a retrospective multicenter study. J Clin Oncol. 24:612–618. 2006. View Article : Google Scholar : PubMed/NCBI

10 

Sun J, Medeiros LJ, Lin P, Lu G, Bueso-Ramos CE and You MJ: Plasmablastic lymphoma involving the penis: A previously unreported location of a case with aberrant CD3 expression. Pathology. 43:54–57. 2011. View Article : Google Scholar : PubMed/NCBI

11 

Yao HJ, Ying J, Wang Z, Yao DH, Ren XM and Bao YY: One case report of primary penile malignant lymphoma (with a review of 24 case reports). Zhonghua Nan Ke Xue. 12:520–524. 2006.PubMed/NCBI

12 

Terada T, Shirakashi Y and Sugiura M: T-cell lymphoma of the penis as the first manifestation of adult T-cell lymphoma/leukemia. Int J Dermatol. 51:973–975. 2012. View Article : Google Scholar : PubMed/NCBI

13 

Li YL, Wang QZ, Ding GF, Li LX, Ni Z and Wang XM: Primary non-Hodgkin's lymphoma of the testis and penis: Clinical analysis of 5 cases. Zhonghua Nan Ke Xue. 17:254–256. 2011.(In Chinese). PubMed/NCBI

14 

Zhou ZL, Wang CY, Xu ZS and Zheng BZ: Primary cutaneous T-cell lymphoma of the penis complicated by Fournier gangrene: A case report. Zhonghua Nan Ke Xue. 14:542–544. 2008.PubMed/NCBI

15 

Shi YL, Yin HL, Zhou XJ, Zhou HB and Lu ZF: Primary peripheral T-cell lymphoma of the penis: A case report and review of the literature. Zhonghua Nan Ke Xue. 14:1003–1006. 2008.(In Chinese). PubMed/NCBI

16 

Wang HT, Lo YS and Huang JK: Primary lymphoma of the penis. J Chin Med Assoc. 66:379–381. 2003.PubMed/NCBI

17 

Tomb RR, Stephan F, Klein-Tomb L, Chahine G and Grosshans E: Recurrent primary CD30+ lymphoma of the penis. Br J Dermatol. 149:903–905. 2003. View Article : Google Scholar : PubMed/NCBI

18 

Thorns C, Urban H, Remmler K, Dietel A, Lange K and Merz H: Primary cutaneous T-cell lymphoma of the penis. Histopathology. 42:513–514. 2003. View Article : Google Scholar : PubMed/NCBI

19 

Pomara G, Cuttano MG, Tripodo C, Carlino F and Selli C: Primary T-cell rich B-cell lymphoma of the penis: A first case. BJU Int. 91:8892003. View Article : Google Scholar : PubMed/NCBI

20 

Allen DC and Walsh MY: Malignant lymphoma of the scrotum and Wegener's granulomatosis of the penis-genital presentation of systemic disease. Ulster Med J. 65:169–172. 1996.PubMed/NCBI

21 

Yanagi H, Nakamura Y, Takagi D and Kubota K: Extranodal natural killer/T-cell lymphoma: A diagnostic dilemma. Rhinology. 50:325–331. 2012.PubMed/NCBI

22 

Zhou Z, Li X, Chen C, Li X, Zhang L, Li L, Wang X, Ma W, Fu X, Wu J, et al: Effectiveness of gemcitabine, pegaspargase, cisplatin and dexamethasone (DDGP) combination chemotherapy in the treatment of relapsed/refractory extranodal NK/T cell lymphoma: A retrospective study of 17 patients. Ann Hematol. 93:1889–1894. 2014. View Article : Google Scholar : PubMed/NCBI

23 

Wen JY, Li M, Li X, Chen J, Lin Q, Ma XK, Dong M, Wei L, Chen ZH and Wu XY: Efficacy and tolerance of pegaspargase-based chemotherapy in patients with nasal-type extranodal NK/T-cell lymphoma: A pilot study. Asian Pac J Cancer Prev. 15:6275–6281. 2014. View Article : Google Scholar : PubMed/NCBI

Related Articles

  • Abstract
  • View
  • Download
  • Twitter
Copy and paste a formatted citation
Spandidos Publications style
Li Y, Fu X, Wu J, Yu C, Li Z, Sun Z, Yan J, Nan F, Zhang X, Li L, Li L, et al: Penile metastasis secondary to nasal-type extranodal natural killer/T-cell lymphoma: A case report and review of the literature. Oncol Lett 15: 8034-8038, 2018.
APA
Li, Y., Fu, X., Wu, J., Yu, C., Li, Z., Sun, Z. ... Zhang, M. (2018). Penile metastasis secondary to nasal-type extranodal natural killer/T-cell lymphoma: A case report and review of the literature. Oncology Letters, 15, 8034-8038. https://doi.org/10.3892/ol.2018.8288
MLA
Li, Y., Fu, X., Wu, J., Yu, C., Li, Z., Sun, Z., Yan, J., Nan, F., Zhang, X., Li, L., Li, X., Zhang, L., Li, W., Wang, G., Zhang, M."Penile metastasis secondary to nasal-type extranodal natural killer/T-cell lymphoma: A case report and review of the literature". Oncology Letters 15.5 (2018): 8034-8038.
Chicago
Li, Y., Fu, X., Wu, J., Yu, C., Li, Z., Sun, Z., Yan, J., Nan, F., Zhang, X., Li, L., Li, X., Zhang, L., Li, W., Wang, G., Zhang, M."Penile metastasis secondary to nasal-type extranodal natural killer/T-cell lymphoma: A case report and review of the literature". Oncology Letters 15, no. 5 (2018): 8034-8038. https://doi.org/10.3892/ol.2018.8288
Copy and paste a formatted citation
x
Spandidos Publications style
Li Y, Fu X, Wu J, Yu C, Li Z, Sun Z, Yan J, Nan F, Zhang X, Li L, Li L, et al: Penile metastasis secondary to nasal-type extranodal natural killer/T-cell lymphoma: A case report and review of the literature. Oncol Lett 15: 8034-8038, 2018.
APA
Li, Y., Fu, X., Wu, J., Yu, C., Li, Z., Sun, Z. ... Zhang, M. (2018). Penile metastasis secondary to nasal-type extranodal natural killer/T-cell lymphoma: A case report and review of the literature. Oncology Letters, 15, 8034-8038. https://doi.org/10.3892/ol.2018.8288
MLA
Li, Y., Fu, X., Wu, J., Yu, C., Li, Z., Sun, Z., Yan, J., Nan, F., Zhang, X., Li, L., Li, X., Zhang, L., Li, W., Wang, G., Zhang, M."Penile metastasis secondary to nasal-type extranodal natural killer/T-cell lymphoma: A case report and review of the literature". Oncology Letters 15.5 (2018): 8034-8038.
Chicago
Li, Y., Fu, X., Wu, J., Yu, C., Li, Z., Sun, Z., Yan, J., Nan, F., Zhang, X., Li, L., Li, X., Zhang, L., Li, W., Wang, G., Zhang, M."Penile metastasis secondary to nasal-type extranodal natural killer/T-cell lymphoma: A case report and review of the literature". Oncology Letters 15, no. 5 (2018): 8034-8038. https://doi.org/10.3892/ol.2018.8288
Follow us
  • Twitter
  • LinkedIn
  • Facebook
About
  • Spandidos Publications
  • Careers
  • Cookie Policy
  • Privacy Policy
How can we help?
  • Help
  • Live Chat
  • Contact
  • Email to our Support Team