Spandidos Publications Logo
  • About
    • About Spandidos
    • Aims and Scopes
    • Abstracting and Indexing
    • Editorial Policies
    • Reprints and Permissions
    • Job Opportunities
    • Terms and Conditions
    • Contact
  • Journals
    • All Journals
    • Oncology Letters
      • Oncology Letters
      • Information for Authors
      • Editorial Policies
      • Editorial Board
      • Aims and Scope
      • Abstracting and Indexing
      • Bibliographic Information
      • Archive
    • International Journal of Oncology
      • International Journal of Oncology
      • Information for Authors
      • Editorial Policies
      • Editorial Board
      • Aims and Scope
      • Abstracting and Indexing
      • Bibliographic Information
      • Archive
    • Molecular and Clinical Oncology
      • Molecular and Clinical Oncology
      • Information for Authors
      • Editorial Policies
      • Editorial Board
      • Aims and Scope
      • Abstracting and Indexing
      • Bibliographic Information
      • Archive
    • Experimental and Therapeutic Medicine
      • Experimental and Therapeutic Medicine
      • Information for Authors
      • Editorial Policies
      • Editorial Board
      • Aims and Scope
      • Abstracting and Indexing
      • Bibliographic Information
      • Archive
    • International Journal of Molecular Medicine
      • International Journal of Molecular Medicine
      • Information for Authors
      • Editorial Policies
      • Editorial Board
      • Aims and Scope
      • Abstracting and Indexing
      • Bibliographic Information
      • Archive
    • Biomedical Reports
      • Biomedical Reports
      • Information for Authors
      • Editorial Policies
      • Editorial Board
      • Aims and Scope
      • Abstracting and Indexing
      • Bibliographic Information
      • Archive
    • Oncology Reports
      • Oncology Reports
      • Information for Authors
      • Editorial Policies
      • Editorial Board
      • Aims and Scope
      • Abstracting and Indexing
      • Bibliographic Information
      • Archive
    • Molecular Medicine Reports
      • Molecular Medicine Reports
      • Information for Authors
      • Editorial Policies
      • Editorial Board
      • Aims and Scope
      • Abstracting and Indexing
      • Bibliographic Information
      • Archive
    • World Academy of Sciences Journal
      • World Academy of Sciences Journal
      • Information for Authors
      • Editorial Policies
      • Editorial Board
      • Aims and Scope
      • Abstracting and Indexing
      • Bibliographic Information
      • Archive
    • International Journal of Functional Nutrition
      • International Journal of Functional Nutrition
      • Information for Authors
      • Editorial Policies
      • Editorial Board
      • Aims and Scope
      • Abstracting and Indexing
      • Bibliographic Information
      • Archive
    • International Journal of Epigenetics
      • International Journal of Epigenetics
      • Information for Authors
      • Editorial Policies
      • Editorial Board
      • Aims and Scope
      • Abstracting and Indexing
      • Bibliographic Information
      • Archive
    • Medicine International
      • Medicine International
      • Information for Authors
      • Editorial Policies
      • Editorial Board
      • Aims and Scope
      • Abstracting and Indexing
      • Bibliographic Information
      • Archive
  • Articles
  • Information
    • Information for Authors
    • Information for Reviewers
    • Information for Librarians
    • Information for Advertisers
    • Conferences
  • Language Editing
Spandidos Publications Logo
  • About
    • About Spandidos
    • Aims and Scopes
    • Abstracting and Indexing
    • Editorial Policies
    • Reprints and Permissions
    • Job Opportunities
    • Terms and Conditions
    • Contact
  • Journals
    • All Journals
    • Biomedical Reports
      • Information for Authors
      • Editorial Policies
      • Editorial Board
      • Aims and Scope
      • Abstracting and Indexing
      • Bibliographic Information
      • Archive
    • Experimental and Therapeutic Medicine
      • Information for Authors
      • Editorial Policies
      • Editorial Board
      • Aims and Scope
      • Abstracting and Indexing
      • Bibliographic Information
      • Archive
    • International Journal of Epigenetics
      • Information for Authors
      • Editorial Policies
      • Editorial Board
      • Aims and Scope
      • Abstracting and Indexing
      • Bibliographic Information
      • Archive
    • International Journal of Functional Nutrition
      • Information for Authors
      • Editorial Policies
      • Editorial Board
      • Aims and Scope
      • Abstracting and Indexing
      • Bibliographic Information
      • Archive
    • International Journal of Molecular Medicine
      • Information for Authors
      • Editorial Policies
      • Editorial Board
      • Aims and Scope
      • Abstracting and Indexing
      • Bibliographic Information
      • Archive
    • International Journal of Oncology
      • Information for Authors
      • Editorial Policies
      • Editorial Board
      • Aims and Scope
      • Abstracting and Indexing
      • Bibliographic Information
      • Archive
    • Medicine International
      • Information for Authors
      • Editorial Policies
      • Editorial Board
      • Aims and Scope
      • Abstracting and Indexing
      • Bibliographic Information
      • Archive
    • Molecular and Clinical Oncology
      • Information for Authors
      • Editorial Policies
      • Editorial Board
      • Aims and Scope
      • Abstracting and Indexing
      • Bibliographic Information
      • Archive
    • Molecular Medicine Reports
      • Information for Authors
      • Editorial Policies
      • Editorial Board
      • Aims and Scope
      • Abstracting and Indexing
      • Bibliographic Information
      • Archive
    • Oncology Letters
      • Information for Authors
      • Editorial Policies
      • Editorial Board
      • Aims and Scope
      • Abstracting and Indexing
      • Bibliographic Information
      • Archive
    • Oncology Reports
      • Information for Authors
      • Editorial Policies
      • Editorial Board
      • Aims and Scope
      • Abstracting and Indexing
      • Bibliographic Information
      • Archive
    • World Academy of Sciences Journal
      • Information for Authors
      • Editorial Policies
      • Editorial Board
      • Aims and Scope
      • Abstracting and Indexing
      • Bibliographic Information
      • Archive
  • Articles
  • Information
    • For Authors
    • For Reviewers
    • For Librarians
    • For Advertisers
    • Conferences
  • Language Editing
Login Register Submit
  • This site uses cookies
  • You can change your cookie settings at any time by following the instructions in our Cookie Policy. To find out more, you may read our Privacy Policy.

    I agree
Search articles by DOI, keyword, author or affiliation
Search
Advanced Search
presentation
Oncology Letters
Join Editorial Board Propose a Special Issue
Print ISSN: 1792-1074 Online ISSN: 1792-1082
Journal Cover
September-2018 Volume 16 Issue 3

Full Size Image

Sign up for eToc alerts
Recommend to Library

Journals

International Journal of Molecular Medicine

International Journal of Molecular Medicine

International Journal of Molecular Medicine is an international journal devoted to molecular mechanisms of human disease.

International Journal of Oncology

International Journal of Oncology

International Journal of Oncology is an international journal devoted to oncology research and cancer treatment.

Molecular Medicine Reports

Molecular Medicine Reports

Covers molecular medicine topics such as pharmacology, pathology, genetics, neuroscience, infectious diseases, molecular cardiology, and molecular surgery.

Oncology Reports

Oncology Reports

Oncology Reports is an international journal devoted to fundamental and applied research in Oncology.

Experimental and Therapeutic Medicine

Experimental and Therapeutic Medicine

Experimental and Therapeutic Medicine is an international journal devoted to laboratory and clinical medicine.

Oncology Letters

Oncology Letters

Oncology Letters is an international journal devoted to Experimental and Clinical Oncology.

Biomedical Reports

Biomedical Reports

Explores a wide range of biological and medical fields, including pharmacology, genetics, microbiology, neuroscience, and molecular cardiology.

Molecular and Clinical Oncology

Molecular and Clinical Oncology

International journal addressing all aspects of oncology research, from tumorigenesis and oncogenes to chemotherapy and metastasis.

World Academy of Sciences Journal

World Academy of Sciences Journal

Multidisciplinary open-access journal spanning biochemistry, genetics, neuroscience, environmental health, and synthetic biology.

International Journal of Functional Nutrition

International Journal of Functional Nutrition

Open-access journal combining biochemistry, pharmacology, immunology, and genetics to advance health through functional nutrition.

International Journal of Epigenetics

International Journal of Epigenetics

Publishes open-access research on using epigenetics to advance understanding and treatment of human disease.

Medicine International

Medicine International

An International Open Access Journal Devoted to General Medicine.

Journal Cover
September-2018 Volume 16 Issue 3

Full Size Image

Sign up for eToc alerts
Recommend to Library

  • Article
  • Citations
    • Cite This Article
    • Download Citation
    • Create Citation Alert
    • Remove Citation Alert
    • Cited By
  • Similar Articles
    • Related Articles (in Spandidos Publications)
    • Similar Articles (Google Scholar)
    • Similar Articles (PubMed)
  • Download PDF
  • Download XML
  • View XML
Article

Anti‑Condyloma acuminata mechanism of microRNAs‑375 modulates HPV in cervical cancer cells via the UBE3A and IGF‑1R pathway

  • Authors:
    • Shuying Wu
    • Hong Chen
  • View Affiliations / Copyright

    Affiliations: Department of Dermatology, Tianjin Union Medical Center, Tianjin 300121, P.R. China
  • Pages: 3241-3247
    |
    Published online on: June 18, 2018
       https://doi.org/10.3892/ol.2018.8983
  • Expand metrics +
Metrics: Total Views: 0 (Spandidos Publications: | PMC Statistics: )
Metrics: Total PDF Downloads: 0 (Spandidos Publications: | PMC Statistics: )
Cited By (CrossRef): 0 citations Loading Articles...

This article is mentioned in:



Abstract

The present study aimed to identify the probable anti‑Condyloma acuminata (CA) mechanism of microRNA‑375 (miRNA‑375) in human papillomavirus (HPV). Firstly, the overexpression of miRNA‑375 significantly suppressed cell proliferation, increased lactate dehydrogenase activity and induced apoptosis in HPV‑18(+) cervical cancer cells. The overexpression of miRNA‑375 significantly increased caspase‑3 and caspase‑9 activities, induced B‑cell lymphoma 2 (Bcl‑2)/Bcl‑2‑associated X protein, tumor protein 53 and cyclin‑dependent kinase inhibitor 1 protein expression and suppressed cyclin D1 and survivin protein expression in HPV‑18(+) cervical cancer cells. The overexpression of miRNA‑375 significantly suppressed the levels of protein expression of ubiquitin‑protein ligase E3A (UBE3A) and Insulin‑like growth factor‑1 receptor (IGF‑1R) in HPV‑18(+) cervical cancer cells. To conclude, it was identified that the probable anti‑CA mechanism of miRNA‑375 modulates HPV through the UBE3A and IGF‑1R pathway in cervical cancer cells.

Introduction

Condyloma acuminata (CA), a common sexually transmitted disease, is caused by human papillomavirus (HPV) (1). CA grows rapidly and recurs easily and it causes physical pain and psychological issues in patients. HPV is a type of epithelial DNA virus, which has many subtypes, among which HPV6 and HPV11 cause CA (2,3). CA is caused by the epithelial-associated proteins found in the genomes of each subtype (2,3).

HPV promotes latency and consequently does not cause a disease phenotype following initial infection by an immune evasion response reaction, featuring binding to epithelial cells and integrating into the host genome, resulting in the proliferation of epidermal cells containing the viral genome and neovascularization (3). However, the regulatory mechanisms of HPV infection and consequent immune escape reaction, persistent infection and cell proliferation and the regulatory mechanisms of vascular proliferation are poorly understood and require additional investigation (4).

MicroRNA (miRNA) molecules, a series of single-stranded non-coding RNA chains measuring 20–25 nucleotides in length, regulate gene expression at the transcriptional level by complementary pairing with target gene mRNA (5). The expression of genes through miRNA is regulated by endogenous regulatory pathways, resulting in high stability and biocompatibility (5). miRNA provides a unique source of gene therapy as a broad-spectrum molecule against viruses (5).

Ubiquitin-protein ligase E3A (UBE3A; E6-AP) is an important member of the ubiquitin proteasome system and a type of ubiquitin protein ligase (E3 enzyme) (6). UBE3A is associated with cervical cancer and may combine with the E6 proto-oncogene encoded by HPV16 within cervical cancer cells to form the E6/E6-AP protein complex through the ubiquitin proteasome pathway (4). Previous studies have identified that UBE3A exhibits abnormal expression in numerous tumor cells, including prostate, cervical and breast cancer (6,7). In addition, numerous important cellular proteins, such as B-cell lymphoma-2 homologous antagonist/killer, Myc proto-oncogene protein, cyclin-dependent kinase inhibitor 1B, DNA replication licensing factor MCM-7, retinoblastoma 1 and Annexin A1, are degenerated through the UBE3A-mediated ubiquitin proteasome pathway (7).

Insulin-like growth factor-1 (IGF-1), synthesized and secreted by human hepatocytes, is the primary regulator of insulin and serves an important function in regulating the growth and development of the body (8). It affects cell proliferation, differentiation and inhibits apoptosis, and its role in tumor development has received attention (9). Overexpression of IGF-1 in serum and tissue alters the growth of normal cells and causes uncontrolled proliferation, inhibits differentiation and reduces apoptosis, resulting in the incidence and development of malignant tumors (10). Therefore, detecting the expression of IGF-1 assists in determining the biological behavior of tumors (10). The present study attempted to identify and characterize the probable anti-CA mechanism of miRNA-375 on HPV.

Materials and methods

Cell culture

HPV-18-positive (+) HeLa cervical cancer cell were obtained from the Cell Bank of Type Culture Collection of Chinese Academy of Sciences (Shanghai, China) and cultured with Dulbecco's modified Eagle's medium (DMEM; Hyclone; GE Healthcare Life Sciences, Logan, UT, USA) supplemented with 10% fetal bovine serum (FBS; Hyclone; GE Healthcare Life Sciences), 100 U/ml penicillin and 100 mg/ml streptomycin at 37°C with 5% CO2.

miRNA and transfections

miRNA-375 mimics and the negative control were obtained from the Union Medical University Center for Basic Medical Cells (Beijing, China). HeLa cells were transfected with 50–200 ng miRNA-375 mimics (sense, 5′-UUUGUUCGUUCGGCUCGCGUG-3′ and antisense, 5′-ACGCGAGCCGAACGAACAA-3′) and the negative control (sense, 5′-UUCUCCGAACGUGUCACGUTT-3′ and antisense, 5′-ACGCGAGCCGAACGAACAA-3′) using Lipofectamine® 2000 (Invitrogen; Thermo Fisher Scientific, Inc., Waltham, MA, USA) at 37°C. After transfection for 4 h, the old medium was removed, replaced with DMEM and cultivated at 24, 48 and 72 h for MTT assay, cultivated at 48 h for lactate dehydrogenase (LDH) release activity, apoptosis analysis, caspase activity and western blot analysis.

MTT assay and LDH release activity

Following transfection at 4 h, HeLa cells (1×103 cells/well) were plated with DMEM supplemented with 10% FBS in 96-well plates for 24, 48 and 72 h at 37°C. MTT (Sigma-Aldrich; Merck KGaA, Darmstadt, Germany; 5 mg/ml) was added to cells for 4 h at 37°C. Subsequently, 150 µl dimethyl sulfoxide (99.99%) was added to the cells for dissolution at 37°C for 20 min. The optical density values were measured using a microplate reader (model no. 680; Bio-Rad Laboratories, Inc., Hercules, CA, USA) at 492 nm. LDH release was measured using an LDH Cytotoxicity Assay kit (C0016; Beyotime Institute of Biotechnology, Haimen, China) at 600 nm.

Apoptosis analysis and caspase activity

Following transfection, HeLa cells (1×105 cells/well) were plated at in 6-well plates for 48 h. Cells were stained with 10 µl Annexin V-fluorescein isothiocyanate Apoptosis Detection kit and 5 µl propidium iodide (both BD Biosciences; Franklin Lakes, NJ, USA) in darkness for 15 min at room temperature. Cell apoptosis was measured by using a flow cytometer (FACSCalibur; BD Biosciences) and analyzed using FlowJo software (version 7.6.1; FlowJo LLC, Ashland, OR, USA).

Following transfection, HeLa cells (1×105 cells/well) were plated in 6-well plates for 48 h. Total protein from cells was extracted using radioimmunoprecipitation (RIPA) buffer and total protein concentration was measured using a BCA protein assay (both Beyotime Institute of Biotechnology). A total of 5 µg total protein from each sample was used to analyze caspase-3/9 activity using Caspase 3 Activity Assay kit (cat. no. C1116) and Caspase 9 Activity Assay kit (cat. no. C1158; both Beyotime Institute of Biotechnology) according to the protocol of the manufacturer. The optical density values were measured using a microplate reader (model no. 680; Bio-Rad Laboratories, Inc.) at 405 nm.

Western blot analysis

Following transfection, HeLa cells (1×105 cells/well) were plated in 6-well plates for 48 h. Total protein from cells was extracted using RIPA buffer at 4°C for 15 min, and total protein concentration was measured using a BCA protein assay (both Beyotime Institute of Biotechnology, Haimen, China). A total of 50–60 µg total protein from each sample was separated on an 8–12% gel using SDS-PAGE and transferred to polyvinylidene difluoride membranes (EMD Millipore, Billerica, MA, USA). B-cell lymphoma 2 (Bcl-2; sc-783; 1:1,000), Bcl-2-associated X protein (Bax; sc-6236; 1:1,000), tumor protein (p)53 (sc-6243; 1:1,000), cyclin-dependent kinase inhibitor 1 (p21; sc-397; 1:1,000; all Santa Cruz Biotechnology, Inc., Dallas, TX, USA), UBE3A (ab126765; 1:1,000; Abcam, Cambridge, USA) and Insulin-like growth factor-1 receptor (IGF-1R; sc-7952; 1:1,000) and GAPDH (cat no. sc-25778; 1:5,000; both Santa Cruz Biotechnology) antibodies were incubated with the membrane overnight at 4°C subsequent to blocking with 5%-skim milk powder TBST for 1 h at 37°C. Horseradish peroxidase-conjugated anti-rabbit immunoglobulin G was used as a secondary antibody (cat no. sc-2004; 1:5,000; Santa Cruz Biotechnology) and incubated for 1 h at 37°C. Protein bands were visualized using enhanced chemiluminescent Blotting Detection Reagents (cat no. NCI4106; Pierce; Thermo Fisher Scientific, Inc.), the ImageQuant™ LAS 4000 mini system (GE Healthcare Life Sciences, Chalfont, UK) and analyzed using Image Lab 3.0 (Bio-Rad Laboratories, Inc.).

Statistical analysis

Data are presented as mean ± standard deviation. All data were analyzed with GraphPad Prism 5 software (Graph Pad, Inc., La Jolla, CA, USA) using one-way analysis of variance and a Tukey's post-hoc test. P<0.05 was considered to indicate a statistically significant difference.

Results

Overexpression of miRNA-375 suppresses cell viability and LDH activity of HPV-18(+) cervical cancer cells. Firstly, it was determined if the overexpression of miRNA-375 suppressed cell proliferation and induced apoptosis in HPV-18(+) cervical cancer cells. As demonstrated in Fig. 1A, 100 (P=0.0098 for 24 h, 0.0085 for 48 h and 0.0056 for 72 h), 200 ng miRNA-375 mimics (P=0.0088 for 24 h, 0.0073 for 48 h and 0.0037 for 72 h) decreased cell viability of HPV-18(+) cervical cancer cells for 24, 48 and 72 h, and 50 ng (P=0.0121 for 24 h, 0.0078 for 48 h and 0.0056 for 72 h) miRNA-375 mimics also decreased cell proliferation of HPV-18(+) cervical cancer cells at 48 and 72 h. Concurrently, 100 ng miRNA-375 mimics increased LDH activity (P=0.0036) of HPV-18(+) cervical cancer cells for 48 h, compared with the negative group (Fig. 1B).

Figure 1.

(A) Overexpression of miR-375 suppressed cell proliferation and (B) LDH activity in HPV-18(+) cervical cancer cells. **P<0.01 vs. control group. miR-375, microRNA-375; NE, negative group; LDH, lactate dehydrogenase; HPV, human papillomavirus.

Overexpression of miRNA-375 increases rates of apoptosis, caspase-3 and caspase-9 activities of HPV-18(+) cervical cancer cells. To identify the effects of miRNA-375 on cell apoptosis of HPV-18(+) cervical cancer cells, the rates of apoptosis, caspase-3 and caspase-9 activities were analyzed. A total of 100 ng miRNA-375 mimics increased the rate of apoptosis (P=0.0078) and promoted caspase-3 (P=0.0082) and caspase-9 activities (P=0.0094) of HPV-18(+) cervical cancer cells for 48 h, compared with the negative group (Fig. 2).

Figure 2.

Overexpression of miR-375 increased (A) apoptosis, (B) flow cytometry, (C) caspase-3 and (D) caspase-9 activities in HPV-18(+) cervical cancer cells. **P<0.01 vs. control group. miR-375, microRNA-375; HPV, human papillomavirus; NE, negative group.

Overexpression of miRNA-375-induced Bax/Bcl-2 of HPV-18(+) cervical cancer cells. To study the molecular mechanisms associating miRNA-375 expression with apoptosis in HPV-18(+) cervical cancer cells, Bax/Bcl-2 protein expression was assessed. Fig. 3 demonstrates that treatment with 100 ng miRNA-375 mimics for 48 h increased Bax/Bcl-2 ratio (P=0.0038), compared with the negative group.

Figure 3.

Overexpression of miR-375 suppressed Bax/Bcl-2 ratio by (A) western blotting assays and (B) statistical analysis of Bax/Bcl-2 protein expression of HPV-18(+) cervical cancer cells. **P<0.01 vs. control group. miR-375, microRNA-375; Bcl-2, B-cell lymphoma 2; Bax, Bcl-2-associated X protein; HPV, human papillomavirus; NE, negative group.

Overexpression of miRNA-375 suppressed cyclin D1 and survivin protein expression in HPV-18(+) cervical cancer cells. To assess the effects of miRNA-375 on apoptosis in HPV-18(+) cervical cancer cells, levels of cyclin D1 and survivin protein expression in HPV-18(+) cervical cancer cells were measured using western blot analysis. The overexpression of miRNA-375 suppressed cyclin D1 (P=0.0089) and survivin (P=0.0008) protein expression in the HPV-18(+) cervical cancer cells for 48 h, compared with the negative group (Fig. 4).

Figure 4.

Overexpression of miR-375 suppressed Cyclin D1 and survivin protein expression by (A) western blotting assays and statistical analysis of (B) Cyclin D1 and (C) survivin protein expression in HPV-18(+) cervical cancer cells. **P<0.01 vs. control group. miR-375, microRNA-375; HPV, human papillomavirus; NE, negative group.

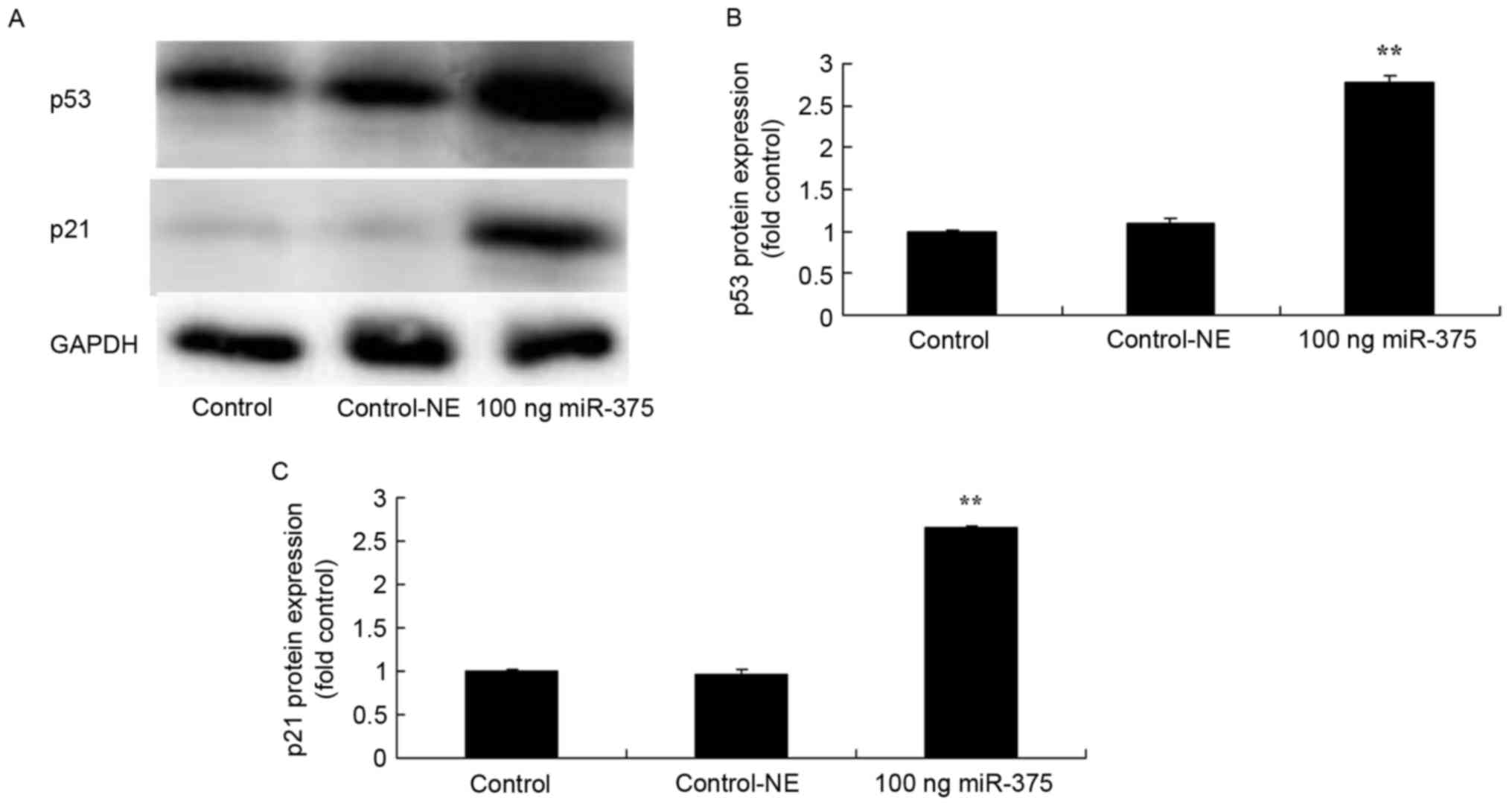
Overexpression of miRNA-375 induced p53 and p21 protein expression in HPV-18(+) cervical cancer cells. To evaluate the molecular mechanisms associating miRNA-375 expression with apoptosis in HPV-18(+) cervical cancer cells, p53 and p21 protein expression of HPV-18(+) cervical cancer cells was analyzed using western blot analysis. The results indicated that the overexpression of miRNA-375 induced p53 (P=0.0069) and p21 (P=0.0016) protein expression of HPV-18(+) cervical cancer cells (Fig. 5).

Figure 5.

Overexpression of miR-375 suppressed p53 and p21 protein expression by (A) western blotting assays and statistical analysis of (B) p53 and (C) p21 protein expression in HPV-18(+) cervical cancer cells. **P<0.01 vs. control group. miR-375, microRNA-375; p53, tumor protein 53; p21, cyclin-dependent kinase inhibitor 1; HPV, human papillomavirus; NE, negative group.

Overexpression of miRNA-375 suppressed UBE3A and IGF-1R protein expression of HPV-18(+) cervical cancer cells. To evaluate the effects of miRNA-375 on apoptosis in HPV-18(+) cervical cancer cells, the levels of UBE3A and IGF-1R protein expression in HPV-18(+) cervical cancer cells were measured using western blot analysis. A total of 100 ng miRNA-375 mimics suppressed UBE3A (P=0.0000) and IGF-1R (P=0.0011) protein expression in HPV-18(+) cervical cancer cells for 48 h, compared with the negative group (Fig. 6).

Figure 6.

Overexpression of miR-375 suppressed UBE3A and IGF-1R protein expression by (A) western blotting assays and statistical analysis of (B) UBE3A and (C) IGF-1R protein expression in HPV-18(+) cervical cancer cells. **P<0.01 vs. control group. miR-375, microRNA-375; UBE3A, ubiquitin-protein ligase E3A; IGF-1R, insulin-like growth factor-1 receptor; HPV, human papillomavirus; NE, negative group.

Discussion

CA, also known as Condyloma acuminata and Condyloma accuminatum, is a proliferative lesion in the skin mucosa of genital and perianal areas caused by HPV infection (5). HPV is a type of common epithelial DNA virus 50–55 nm in diameter (11). Modern molecular biology technology has identified >100 HPV subtypes, 34 of which are associated with CA; the most common subtypes include HPV6, HPV11, HPV16 and HPV18 (12). Based on differences in pathogenicity, HPV subtypes are divided into low-risk and high-risk genotype groups, with low-risk genotypes (HPV6 and 11) primarily causing genital warts, including Condyloma, and high-risk genotypes (HPV16 and 18) being associated with genital neoplasms (2). In the present study, miRNA-375 overexpression suppressed cell proliferation and increased LDH activity in HPV-18(+) cervical cancer cells, compared with the negative group.

miRNA molecules regulate gene expression at the transcriptional level through complementary pairing with target miRNA, consequently resulting in the degradation or inhibition of the translation of mRNA (5). A previous study demonstrated that miRNAs serve important functions in gene regulatory networks, being associated with cell proliferation and apoptosis, differentiation, development and the stress response, virus pathogenicity and the incidence of tumors (13). Therefore, identifying these miRNA molecules and their target genes is becoming an important avenue of research and an important topic in the field of gene regulation (13). In the present study, it was observed that miRNA-375 overexpression significantly increased the apoptosis rate and promoted caspase-3 and caspase-9 activities in HPV-18(+) cervical cancer cells.

The UBE3A gene, also known as human papillomavirus E6-associated protein (E6-AP) gene, is an important component of the ubiquitin proteasome system (6). The human UBE3A gene is located on chromosome 15 with a protein molecular weight of ~100 kDa. Its gene products primarily exist in the nucleus and cytoplasm, and is expressed in normal tissues of the prostate, testis, ovary, uterus, breast and brain (14). The UBE3A gene serves an important function in the incidence and development of multiple diseases; its abnormal change may result in the incidence and development of tumors (6). The present study identified that miRNA-375 significantly suppressed levels of survivin and UBE3A protein expression in HPV-18(+) cervical cancer cells. Jung et al (15) verified that miRNA-375 is a key tumor suppressor of HPV-associated carcinogenesis, through the suppression of p53, p21 and UBE3A protein expression.

The ubiquitin proteasome system is associated with multiple metabolic processes in eukaryotic cells, including carcinomatous changes, tumor progression, immunological surveillance escape and tumor drug resistance (16). E3 is an enzyme that specifically regulates the degradation of its target proteins by recognizing and binding to specific target protein sequences in the ubiquitin proteasome system; the E3 enzyme is associated with the selection and specificity of target proteins (17,18). E6 protein binds to intracellular UBE3A to form complexes that exhibit ubiquitin protein ligase activity and specifically binds with wild type p53 and then is degenerated by the ubiquitin-mediated pathway, consequently blocking p53 to inhibit apoptosis and induce cell proliferation (16). The present study also demonstrated that the overexpression of miRNA-375 significantly induced Bax, p53 and p21 protein expression, compared with the negative group. Liu et al (4) demonstrated that miRNA-375 targeted p53 to regulate the response to ionizing radiation and etoposide treatment.

As for the mechanism of IGF-1 promoting tumor invasion and metastasis, there are 3 major hypotheses: i) IGF-1 significantly increases the concentration of vascular endothelial growth factor in tumor cells and promotes tumor angiogenesis, therefore facilitating tumor invasion and metastasis; ii) IGF-1 directly activates urokinase plasminogen activator-1 (UPA) and upregulates its expression, thereby improving the invasiveness of malignant tumors; iii) IGF-1 promotes the synthesis of cadherin, laminin and other adhesion molecules in tumor cells to increase the adhesion of tumor cells to endothelial cells and bone marrow, so as to promote the metastasis of tumor cells (19,20). In the present study, it was identified that miRNA-375 overexpression significantly suppressed IGF-1R protein expression in HPV-18(+) cervical cancer cells, compared with the negative group. Meng et al (21) indicated that miRNA-30a-5p overexpression decreased non-small cell lung cancer cell growth regulation through the IGF-1R and phosphoinositide 3-kinase/protein kinase B signaling pathway.

To conclude, the present study demonstrated that the anti-CA mechanism of miRNA-375 may result in the suppression of cell proliferation and induction of apoptosis, an increase in caspase-3 and caspase-9 activities, an induction of Bax, p53 and p21 protein expression and a suppression of survivin protein expression in HPV-18(+) cervical cancer cells. The present in vitro study described a suitable model for anti-CA study in HPV-18(+).

Acknowledgements

Not applicable.

Funding

No funding was received.

Availability of data and materials

The analyzed data sets generated during the study are available from the corresponding author on reasonable request.

Authors' contributions

HC designed the experiment, SW and HC performed the experiments, SW and HC analyzed the data and HC wrote the manuscript.

Ethics approval and consent to participate

Not applicable.

Patient consent for publication

Not applicable.

Competing interests

The authors declare that they have no competing interests.

References

1 

Mukhamedshina YO, Akhmetzyanova ER, Kostennikov AA, Zakirova EY, Galieva LR, Garanina EE, Rogozin AA, Kiassov AP and Rizvanov AA: Adipose-derived mesenchymal stem cell application combined with fibrin matrix promotes structural and functional recovery following spinal cord injury in rats. Front Pharmacol. 9:3432018. View Article : Google Scholar : PubMed/NCBI

2 

Nakazawa M, Matsubara H, Matsushita Y, Watanabe M, Vo N, Yoshida H, Yamaguchi M and Kataoka T: The human Bcl-2 family member Bcl-rambo localizes to mitochondria and induces apoptosis and morphological aberrations in drosophila. PLoS One. 11:e01578232016. View Article : Google Scholar : PubMed/NCBI

3 

Zhuo SM, Li SC, Lin YQ, Yu HB and Li N: The effects of anti-Fas ribozyme on T lymphocyte apoptosis in mice model with chronic obstructive pulmonary disease. Iran J Basic Med Sci. 20:1102–1108. 2017.PubMed/NCBI

4 

Liu Y, Xing R, Zhang X, Dong W, Zhang J, Yan Z, Li W, Cui J and Lu Y: miR-375 targets the p53 gene to regulate cellular response to ionizing radiation and etoposide in gastric cancer cells. DNA Repair (Amst). 12:741–750. 2013. View Article : Google Scholar : PubMed/NCBI

5 

Guo J, Zhang CD, An JX, Xiao YY, Shao S, Zhou NM and Dai DQ: Expression of miR-634 in gastric carcinoma and its effects on proliferation, migration and invasion of gastric cancer cells. Cancer Med. 7:776–787. 2018. View Article : Google Scholar : PubMed/NCBI

6 

Gao S, Fang L, Phan LM, Qdaisat A, Yeung SC and Lee MH: COP9 signalosome subunit 6 (CSN6) regulates E6AP/UBE3A in cervical cancer. Oncotarget. 6:28026–28041. 2015. View Article : Google Scholar : PubMed/NCBI

7 

Hu Y, Ye F, Lu W, Hong D, Wan X and Xie X: HPV16 E6-induced and E6AP-dependent inhibition of the transcriptional coactivator hADA3 in human cervical carcinoma cells. Cancer Invest. 27:298–306. 2009. View Article : Google Scholar : PubMed/NCBI

8 

Kuramoto H, Hongo A, Liu YX, Ojima Y, Nakamura K, Seki N, Kodama J and Hiramatsu Y: Immunohistochemical evaluation of insulin-like growth factor I receptor status in cervical cancer specimens. Acta Med Okayama. 62:251–259. 2008.PubMed/NCBI

9 

Kwasniewski W, Gozdzicka-Jozefiak A, Kotarska M, Polak G, Barczynski B, Broniarczyk J, Nowak W, Wolun-Cholewa M, Kwasniewska A and Kotarski J: Analysis of cytosine-adenine repeats in P1 promoter region of IGF-1 gene in peripheral blood cells and cervical tissue samples of females with cervical intraepithelial lesions and squamous cervical cancer. Mol Med Rep. 11:766–774. 2015. View Article : Google Scholar : PubMed/NCBI

10 

Jozefiak A, Pacholska-Bogalska J, Myga-Nowak M, Kedzia W, Kwasniewska A, Luczak M, Kedzia H and Gozdzicka-Jozefiak A: Serum and tissue levels of insulin-like growth factor-I in women with dysplasia and HPV-positive cervical cancer. Mol Med Rep. 1:231–237. 2008.PubMed/NCBI

11 

Zhang MJ, Su H, Yan JY, Li N, Song ZY, Wang HJ, Huo LG, Wang F, Ji WS, Qu XJ and Qu MH: Chemopreventive effect of Myricetin, a natural occurring compound, on colonic chronic inflammation and inflammation-driven tumorigenesis in mice. Biomed Pharmacother. 97:1131–1137. 2018. View Article : Google Scholar : PubMed/NCBI

12 

Cui X, Wang S, Cai H, Lin Y, Zheng X, Zhang B and Xia C: Overexpression of microRNA-634 suppresses survival and matrix synthesis of human osteoarthritis chondrocytes by targeting PIK3R1. Sci Rep. 6:231172016. View Article : Google Scholar : PubMed/NCBI

13 

Fujiwara N, Inoue J, Kawano T, Tanimoto K, Kozaki K and Inazawa J: miR-634 activates the mitochondrial apoptosis pathway and enhances chemotherapy-induced cytotoxicity. Cancer Res. 75:3890–3901. 2015. View Article : Google Scholar : PubMed/NCBI

14 

Bailus BJ, Pyles B, McAlister MM, O'Geen H, Lockwood SH, Adams AN, Nguyen JT, Yu A, Berman RF and Segal DJ: Protein delivery of an artificial transcription factor restores widespread ube3a expression in an angelman syndrome mouse brain. Mol Ther. 24:548–555. 2016. View Article : Google Scholar : PubMed/NCBI

15 

Jung HM, Phillips BL and Chan EK: miR-375 activates p21 and suppresses telomerase activity by coordinately regulating HPV E6/E7, E6AP, CIP2A and 14-3-3zeta. Mol Cancer. 13:802014. View Article : Google Scholar : PubMed/NCBI

16 

LaSalle JM, Reiter LT and Chamberlain SJ: Epigenetic regulation of UBE3A and roles in human neurodevelopmental disorders. Epigenomics. 7:1213–1228. 2015. View Article : Google Scholar : PubMed/NCBI

17 

Ansari T, Brimer N and Vande Pol SB: Peptide interactions stabilize and restructure human papillomavirus type 16 E6 to interact with p53. J Virol. 86:11386–11391. 2012. View Article : Google Scholar : PubMed/NCBI

18 

Chan AL, Grossman T, Zuckerman V, Di Giammartino Campigli D, Moshel O, Scheffner M, Monahan B, Pilling P, Jiang YH, Haupt S, et al: c-Abl phosphorylates E6AP and regulates its E3 ubiquitin ligase activity. Biochemistry. 52:3119–3129. 2013. View Article : Google Scholar : PubMed/NCBI

19 

Amichay K, Kidron D, Attias-Geva Z, Schayek H, Sarfstein R, Fishman A, Werner H and Bruchim I: BRCA1 is expressed in uterine serous carcinoma (USC) and controls insulin-like growth factor I receptor (IGF-IR) gene expression in USC cell lines. Int J Gynecol Cancer. 22:748–754. 2012. View Article : Google Scholar : PubMed/NCBI

20 

Lee SW, Lee SY, Lee SR, Ju W and Kim SC: Plasma levels of insulin-like growth factor-1 and insulin-like growth factor binding protein-3 in women with cervical neoplasia. J Gynecol Oncol. 21:174–180. 2010. View Article : Google Scholar : PubMed/NCBI

21 

Meng F, Wang F, Wang L, Wong SC, Cho WC and Chan LW: MiR-30a-5p overexpression may overcome EGFR-inhibitor resistance through regulating PI3K/AKT signaling pathway in non-small cell lung cancer cell lines. Front Genet. 7:1972016. View Article : Google Scholar : PubMed/NCBI

Related Articles

  • Abstract
  • View
  • Download
  • Twitter
Copy and paste a formatted citation
Spandidos Publications style
Wu S and Chen H: Anti‑Condyloma acuminata mechanism of microRNAs‑375 modulates HPV in cervical cancer cells via the UBE3A and IGF‑1R pathway. Oncol Lett 16: 3241-3247, 2018.
APA
Wu, S., & Chen, H. (2018). Anti‑Condyloma acuminata mechanism of microRNAs‑375 modulates HPV in cervical cancer cells via the UBE3A and IGF‑1R pathway. Oncology Letters, 16, 3241-3247. https://doi.org/10.3892/ol.2018.8983
MLA
Wu, S., Chen, H."Anti‑Condyloma acuminata mechanism of microRNAs‑375 modulates HPV in cervical cancer cells via the UBE3A and IGF‑1R pathway". Oncology Letters 16.3 (2018): 3241-3247.
Chicago
Wu, S., Chen, H."Anti‑Condyloma acuminata mechanism of microRNAs‑375 modulates HPV in cervical cancer cells via the UBE3A and IGF‑1R pathway". Oncology Letters 16, no. 3 (2018): 3241-3247. https://doi.org/10.3892/ol.2018.8983
Copy and paste a formatted citation
x
Spandidos Publications style
Wu S and Chen H: Anti‑Condyloma acuminata mechanism of microRNAs‑375 modulates HPV in cervical cancer cells via the UBE3A and IGF‑1R pathway. Oncol Lett 16: 3241-3247, 2018.
APA
Wu, S., & Chen, H. (2018). Anti‑Condyloma acuminata mechanism of microRNAs‑375 modulates HPV in cervical cancer cells via the UBE3A and IGF‑1R pathway. Oncology Letters, 16, 3241-3247. https://doi.org/10.3892/ol.2018.8983
MLA
Wu, S., Chen, H."Anti‑Condyloma acuminata mechanism of microRNAs‑375 modulates HPV in cervical cancer cells via the UBE3A and IGF‑1R pathway". Oncology Letters 16.3 (2018): 3241-3247.
Chicago
Wu, S., Chen, H."Anti‑Condyloma acuminata mechanism of microRNAs‑375 modulates HPV in cervical cancer cells via the UBE3A and IGF‑1R pathway". Oncology Letters 16, no. 3 (2018): 3241-3247. https://doi.org/10.3892/ol.2018.8983
Follow us
  • Twitter
  • LinkedIn
  • Facebook
About
  • Spandidos Publications
  • Careers
  • Cookie Policy
  • Privacy Policy
How can we help?
  • Help
  • Live Chat
  • Contact
  • Email to our Support Team