International Journal of Molecular Medicine is an international journal devoted to molecular mechanisms of human disease.
International Journal of Oncology is an international journal devoted to oncology research and cancer treatment.
Covers molecular medicine topics such as pharmacology, pathology, genetics, neuroscience, infectious diseases, molecular cardiology, and molecular surgery.
Oncology Reports is an international journal devoted to fundamental and applied research in Oncology.
Experimental and Therapeutic Medicine is an international journal devoted to laboratory and clinical medicine.
Oncology Letters is an international journal devoted to Experimental and Clinical Oncology.
Explores a wide range of biological and medical fields, including pharmacology, genetics, microbiology, neuroscience, and molecular cardiology.
International journal addressing all aspects of oncology research, from tumorigenesis and oncogenes to chemotherapy and metastasis.
Multidisciplinary open-access journal spanning biochemistry, genetics, neuroscience, environmental health, and synthetic biology.
Open-access journal combining biochemistry, pharmacology, immunology, and genetics to advance health through functional nutrition.
Publishes open-access research on using epigenetics to advance understanding and treatment of human disease.
An International Open Access Journal Devoted to General Medicine.
Heart failure affected 40 million people worldwide in 2015 (1). In developing countries, the morbidity and mortality of cardiovascular disease continue to increase annually, which threatens the lives and quality of life of patients (2). Until now, ventricular remodeling has been considered as an important pathological process in the occurrence and development of heart failure (3). The main pathological manifestations of ventricular remodeling are myocardial microcirculation, apoptosis and necrosis of myocardial cells, progressive myocardial collagen network remodeling and myocardial interstitial fibrosis (4). Myocardial fibrosis represents excessive deposition of extracellular matrix in normal myocardial tissue caused by various pathological factors. The characteristics of myocardial fibrosis are numerous, including enhanced collagen concentration and volume fraction, the imbalance in the proportion of various types of collagen, and disordered arrangement of collagen (5). The pathological basis of myocardial fibrosis is that the percentage of myocardial interstitium in myocardial tissue is increased. Cardiac muscle fiber connective tissue is mainly comprised of fibroblasts, myocardial fibroblasts, valvular mesenchymal cells and extracellular matrix. Additionally, extracellular matrix of the myocardium, such as collagen, is mainly synthesized by fibroblasts (6,7). However, in the past, research has focused on the study of myocardial cells, ignoring the importance of myocardial fibroblasts (MFBs). MFBs have a strong ability to split and to secrete matrix proteins, collagen-I (COL-I) and COL-III under various pathological conditions, including hypoxic-ischemic injury, local inflammatory cytokine stimulation and neuroendocrine factor secretion (8,9). Therefore, MFBs serve an important role in the myocardial fibrosis of MFBs.
Bone morphogenetic proteins (BMPs) serve as a multi-potent family of proteins regulating the growth and differentiation of cells. Studies have demonstrated that BMPs may reverse fibrosis progression (10,11). BMP2 overexpression significantly suppressed the fibrosis induced by transforming growth factor β1 (TGF-β1) in renal interstitial fibroblasts (12). Furthermore, it has been proven that upregulation of BMP2 may enhance myocardial fibrotic signaling through activation of the Smurf1/Smad6 complex (13). Additionally, a large volume of evidence has suggested that the Smad family is associated with the pathological mechanisms underlying fibrosis (14–16). Therefore, it was hypothesized that BMP2 and Smad may participate in the development and progression of myocardial fibrosis.
SPARC-related modular calcium binding 1 (SMOC1) represents a vital member of the SPARC matricellular protein family that regulates cell-matrix interactions through binding to cell-surface receptors, including growth factors and the components of extracellular matrix (17,18). SMOC1 is widely expressed in numerous tissue types, and it has been revealed that SMOC1 is mainly located at the basement membrane (18,19). A previous study has demonstrated that Xenopus SMOC protein, also known as the ortholog of human SMOC1, acted as a BMP antagonist (20). These results suggested that human SMOC1 may also regulate BMP signaling. However, knowledge is insufficient regarding the biological function of SMOC1 in BMP pathway regulation in myocardial fibrosis.
The present study analyzed the association between SMOC1 silencing and the fibrosis of mouse MFBs. Furthermore, the exact roles and molecular mechanisms of SMOC1 silencing and the BMP2/Smad pathway in the fibrosis of angiotensin II (Ang II)-treated MFBs were also investigated.
Mouse MFBs (MIC-iCell-c002, iCell Bioscience Inc., Shanghai) were maintained in Dulbecco's modified Eagle's medium (DMEM; Gibco; Thermo Fisher Scientific, Inc., Waltham, MA, USA) supplemented with 10% fetal bovine serum (FBS; Gibco; Thermo Fisher Scientific, Inc.) in a 5% CO2 atmosphere at 37°C. The cells were observed with an inverted microscope (×40 magnification). si-SMOC1 (GGGAAGTCAAGGTCAGTACG) or si-negative control (NC) (GGGAAGTCAAGGTCAGTACG), was cloned into the psiRNA-h7SK vector (Biovector Science Lab, Inc.). The plasmid (1 µg) was transfected into the cells with Lipofectamine 3000 (Invitrogen; Thermo Fisher Scientific, Inc.). The cells were incubated at 37°C for 6 h; and then the cells were transferred into fresh DMEM and maintained for 18 h at 37°C. Then the cells were used to perform the following experiments.
Six treatment groups were created in the present research, including a control group (MFBs without treatment), a negative control (NC) group (MFBs transfected with an empty vector), an si-SMOC1 group (MFBs transfected with si-SMOC1), an Ang II group [MFBs treated with 1 µM Ang II (Sigma-Aldrich; Merck KGaA, Darmstadt, Germany) for 18 h at 37°C], an Ang II+NC group (MFBs transfected with an empty vector and then treated with 1 µM Ang II) and an Ang II+si-SMOC1 group (MFBs transfected with si-SMOC1 and then treated with 1 µM Ang II).
A Cell Counting kit-8 assay (CCK-8; Beyotime Institute of Biotechnology, Haimen, China) was performed to measure cell viability. Approximately 6×104 MFBs/ml in the logarithmic phase were seeded into 96-well plates and maintained in an incubator at 37°C in 5% CO2 for 12 h. Subsequently, cells were divided into the aforementioned treatment groups. Cells were maintained for 12, 24 and 48 h, respectively. Subsequently, 10 µl CCK-8 reagent was added to each well and cells were maintained for 3 h at 37°C. A microplate reader (Bio-Rad Laboratories, Inc., Hercules, CA, USA) was used to measure the absorbance at 450 nm. Cell viability was evaluated by the percentage of surviving cells compared with the control.
MFBs were trypsinized by 0.25% trypsin (Beyotime Institute of Biotechnology) and collected in Eppendorf tubes. Cells were then washed with PBS. Subsequently, cells were re-suspended with serum-free Dulbecco's modified Eagle medium (Gibco; Thermo Fisher Scientific, Inc.) supplemented with 2′-7′-dichlorofluorescin diacetate (D6883, Sigma-Aldrich; Merck KGaA, Darmstadt, Germany) at a density of 1×106 cells/ml and incubated for 0.5 h at 37°C. Following centrifugation at 224 × g for 1 min at room temperature, the supernatant was discarded and cells were collected. Cells were re-suspended with PBS and a FACSCalibur flow cytometer with CellQuest software version 3.3 (BD Biosciences, Franklin Lakes, NJ, USA) was used to assess the reactive oxygen species (ROS) content.
The following kits were used: LDH assay kit (Abcam, Cambridge, UK), MDA assay kit (Beyotime Institute of Biotechnology, Haimen, China) and SOD assay kit (Sigma-Aldrich; Merck KGaA). All assays were performed according to the manufacturer's protocol.
The expression of TGF-β1, COL-I and COL-III were determined by ELISA kits: Mouse TGF-β1 ELISA Kit (E-EL-M0051c; Elabscience, Wuhan, Hubei, China), COL1 ELISA kit (E-EL-M0325c; Elabscience) and COL-III ELISA kit (E-EL-M0316; Elabscience). According to the manufacturer's protocol, MFBs (6×103/well) were added into 96-well plate. The plates were sealed with adhesive tape and maintained at 37°C for 90 min. Subsequently, 100 µl biotinylated antibody fluids were added. The plates were sealed with adhesive tape and maintained at 37°C for 60 min. Next, 100 µl HRP conjugate enzyme binding solutions were added. The plates were sealed with adhesive tape and maintained at 37°C for 30 min. Substrate regent (100 µl) was added and plates were maintained for 10–15 min in the dark at 37°C. Subsequently, stop solution was added and mixed in for 10 min immediately. The OD450 value was detected using a microplate reader (Bio-Rad Laboratories, Inc.).
The proteins were isolated with NP40 lysis buffer (Beyotime Institute of Biotechnology). The protein concentration was measured by bicinchoninic assay protein assay kit (Pierce; Thermo Fisher Scientific Inc.). 20 µg protein was separated by 12% SDS-PAGE and then transferred onto polyvinylidene difluoride membranes (EMD Millipore, Billerica, MA, USA). The membranes were blocked with 5% skimmed milk at room temperature for 2 h. The primary antibodies were incubated with the membranes at 4°C overnight. Western blotting was performed using the following specific antibodies: Rabbit anti-mouse anti-SMOC1 (dilution, 1:500; catalog no., ab200219; Abcam, Cambridge, MA, USA), rabbit anti-mouse anti-fibronectin (FN) (dilution, 1:1,000; catalog no., ab131390; Abcam), rabbit anti-mouse anti-TGF-β1 (dilution, 1:1,000; catalog no., ab92486; Abcam), rabbit anti-mouse anti-COL-I (dilution, 1:500; catalog no., ab64883; Abcam), rabbit anti-mouse anti-COL-III (dilution, 1:5,000; catalog no., ab7778; Abcam), rabbit anti-mouse anti-BMP2 (dilution, 1:500; catalog no., ab14933; Abcam), rabbit anti-mouse anti-Smad2 (dilution, 1:1,000; catalog no., ab33875; Abcam), rabbit anti-mouse anti-p-Smad2 (dilution, 1:1,000; catalog no., ab53100; Abcam), and rabbit anti-mouse anti-actin (dilution, 1:5,000; catalog no., ab179467; Abcam). The membranes were subsequently incubated with a horseradish peroxidase-conjugated goat anti-rabbit secondary antibody (dilution, 1:2,000; catalog no., ab205718; Abcam) at room temperature for 1 h. Enhanced chemiluminescent (ECL) reagents (EMD Millipore) and an ECL system (GE Healthcare, Chicago, IL, USA) were used to assess the results. The density of the blots was analyzed by Quantity One software version 4.6.9 (Bio-Rad Laboratories).
Total RNA was extracted from cultured MFBs using TRIzol reagent (Thermo Fisher Scientific, Inc.). RNA was reverse transcribed to cDNA using a Reverse Transcription kit (Sigma-Aldrich; Merck KGaA), according to the manufacturer's protocols. RT-qPCR was performed using SYBR-Green PCR master mix (Vazyme, Piscataway, NJ, USA) on ABI 7500 Thermocycler (Applied Biosystems; Thermo Fisher Scientific, Inc.). The thermocycling conditions were as follows: 5 min pretreatment at 95°C; 94°C for 15 sec, 60°C for 45 sec (35 cycles); final extension at 76°C for 10 min and maintenance at 4°C. Actin was used as the control of the input RNA level. The method of quantification was according to 2−∆∆Cq method (21). The primers used, designed by Invitrogen; Thermo Fisher Scientific, Inc., were as follows: SMOC1 forward, 5′-CCAAGCCCAAGAAATGTGCC-3′ and reverse, 5′-AGTCCTGTCTCCTCGGAGTT-3′ (227 bp); FN forward, 5′-TGACAACTGCCGTAGACCTG-3′ and reverse, 5′-CACTGGGGTGTGGATTGACC-3′ (232 bp); TGF-β1 forward, 5′-GTCCAAACTAAGGCTCGCCA-3′ and reverse, 5′-ATAGATGGCGTTGTTGCGGT-3′ (202 bp); COL-I forward, 5′-ATTTGTGCGTCGGTTGGGTA-3′ and reverse, 5′-GTTGTGTTCTGAAGCCACGG-3′ (298 bp); COL-III, forward, 5′-GCTACAGGCCTTTTGTTGGC-3′ and reverse, 5′-CCACAGAATGGGTGGGAGAC-3′ (222 bp); and actin, forward, 5′-TGCCCGGTGCTTTAGACTAC-3′ and reverse, 5′-AAATAATGAACCCAGCCAGCC-3′ (171 bp).
The results of the present study are presented as the mean ± standard error of the mean of at least three independent experiments. All of the experimental data were analyzed by one-way analysis of variance following Tukey's test. P<0.05 was considered to indicate a statistically significant difference. GraphPad Prism 6 (GraphPad Software, Inc., La Jolla, CA, USA) was used for data analysis.
Over the course of the present study, mouse MFBs were cultured with DMEM containing 10% FBS. As demonstrated in Fig. 1, the morphology of the MFBs was spindle-shaped and polygonal. Furthermore, large nuclei and clear cytoplasms were observed in the MFBs. Therefore, MFBs were harvested and used for the subsequent experiments.
A siRNA vector targeting SMOC1, si-SMOC1, was constructed in the present study. The knockdown efficiency was ~75% in MFBs following stable transfection with si-SMOC1 (P<0.01; Fig. 2A). According to the results of western blot analysis, it was revealed that, following transfection with si-SMOC1, the protein expression level of SMOC1 was significantly reduced (P<0.01; Fig. 2B). Therefore, a CCK-8 assay was performed to measure the cell viability of MFBs separated into the six treatment groups described earlier. The results demonstrated that, the cell viability was inhibited in si-SMOC1 group compared to Ang II group (Fig. 2C).
Additionally, the ROS content in MFBs of the previously described treatment groups was also assessed. A significant increase in ROS content was observed in the Ang II group compared with the NC group (P<0.01; Fig. 3). However, it was also revealed that the ROS content in Ang II-induced MFBs was significantly reduced by transfection with si-SMOC1 (P<0.01; Fig. 3). Therefore, it has been determined that SMOC1 silencing is able to reduce the production of ROS in MFBs treated with Ang II.
The MDA and LDH content in MFBs treated with Ang II were significantly higher than in the NC group (P<0.01; Fig. 4A-B). However, significant decrease in MDA and LDH content in Ang II-treated MFBs transfected with si-SMOC1 were observed (P<0.05; Fig. 4A-B). Nevertheless, Ang II was revealed to inhibit the activity of SOD in MFBs. In the SMOC1-silenced group, the SOD activity in Ang II-treated MFBs was significantly enhanced (P<0.05; Fig. 4C). In summary, it was confirmed that SMOC1 silencing reduced the MDA and LDH content, whereas enhancing SOD activity in Ang II-induced MFBs. Therefore, SMOC1 silencing mitigated oxidative stress in MFBs induced by Ang II.
Furthermore, the present study investigated the molecular mechanisms underlying fibrosis in MFBs and the expression levels of fibrosis-associated proteins, including FN, TGF-β1, COL-I and COL-III in MFBs. On the basis of ELISA data, it was revealed that SMOC1 silencing significantly decreased the expression of TGF-β1, COL-I and COL-III in Ang II-treated MFBs (P<0.05; Fig. 5A). Furthermore, the RT-qPCR results indicated that the expression levels of FN, TGF-β1, COL-I and COL-III in Ang II-treated MFBs were significantly downregulated in response to si-SMOC1 (P<0.05; Fig. 5B). Western blot analysis results also revealed similar trends in the expression of fibrosis-associated proteins in MFBs from each group (Fig. 5C). Based on these results, it was confirmed that SMOC1 silencing suppressed fibrosis of Ang II-treated MFBs through downregulating the expression levels of FN, TGF-β1, COL-I and COL-III.
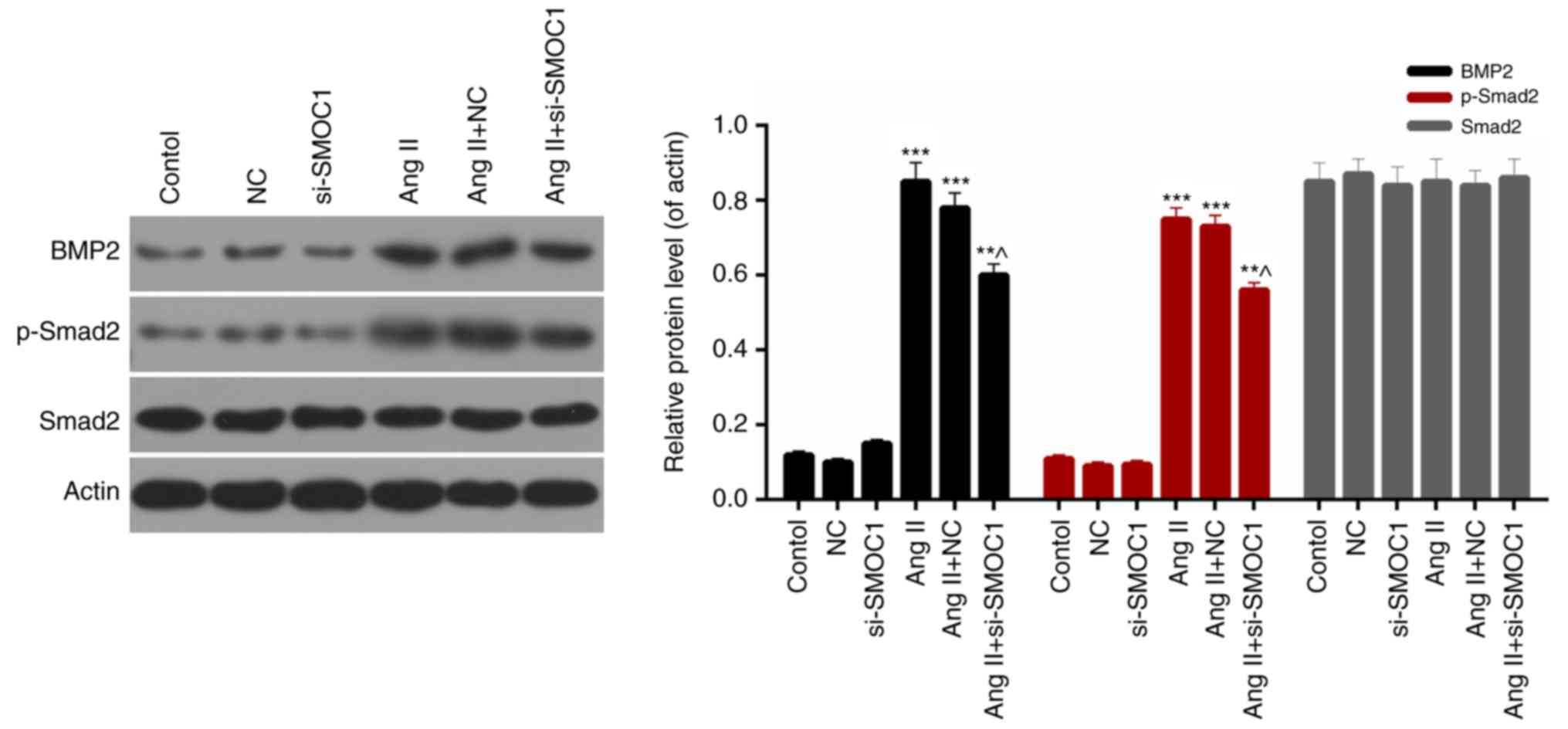
Finally, the expression levels of BMP2, phosphorylated Smad2 and Smad2 in MFBs from each group were evaluated. Western blot analysis results revealed that the expression levels of BMP2 and phosphorylated Smad2 in Ang II-treated MFBs were significantly downregulated in response to si-SMOC1 (P<0.05; Fig. 6). Therefore, it was determined that SMOC1 silencing was able to suppress the phosphorylation of Smad2 in Ang II-treated MFBs. Additionally, there was no significant difference in the Smad2 expression in MFBs from each group (Fig. 6). Therefore, it was concluded that SMOC1 silencing affected the BMP2/Smad pathway in Ang II-treated MFBs.
Ang II serves as the most crucial component of the renin-angiotensin system, which is usually associated with hypertension and renal failure (22). It has been demonstrated that Ang II is able to increase the expression level of TGF-β1, promote the DNA synthesis of fibroblasts and facilitate the proliferation of fibroblasts (23,24). Numerous studies have demonstrated that Ang II not only induced atherosclerosis by promoting the migration of human umbilical vein endothelial cells to the intima (25), but also led to hepatic fibrosis via promoting hepatic stellate cell migration and myocardial fibrosis via accelerating the migration of MFBs (26,27). Therefore, Ang II was selected as the inducer to establish the model of myocardial fibrosis on mouse MFBs.
SMOC1, a member of the matricellular protein family, is mainly expressed in the basement membrane of different tissues (18,19,28,29). Knowledge is limited regarding the roles of SMOC1 in physiology or pathophysiology, while studies have proven that the expression of SMOC1 was enhanced in several types of cancer (30,31). To the best of our knowledge, the function of SMOC1 in the prevention and therapy of myocardial fibrosis has not yet been studied. In the present study, the plasmid cloned with SMOC1 siRNA was prepared and named si-SMOC1. The knockdown efficiency of SMOC1 was ~75% in MFBs following stable transfection with si-SMOC1, according to the RT-qPCR and western blot analyses. Initially, the cell viability of untreated MFBs, MFBs transfected with an empty vector, and Ang II-induced MFBs transfected with an empty vector or si-SMOC1 was assessed. The results revealed that Ang II markedly enhanced the cell viability of MFBs, while SMOC1 silencing suppressed the cell viability of Ang II-induced MFBs.
Oxidative stress refers to the overproduction of highly reactive molecules, including ROS, when the organism is subjected to various harmful stimuli, which exceeds the scavenging activity of the organism and further results in tissue damage (32). As a second messenger of intracellular signal transduction, ROS is often involved in cell proliferation, apoptosis and accumulation. In vivo, physiological quantities of ROS can destroy pathogenic microorganisms and possess defensive physiological functions. However, sustained high concentrations of ROS may cause oxidation reactions with the surrounding macromolecular substances, and further impair the structure and function of cells (33,34). In the cardiovascular system, Ang II has been identified to cause the activation of NADPH oxidase to produce ROS, and to be involved in the migration of vascular smooth muscle cells (35). Therefore, the content of ROS and the levels of oxidative stress markers in the MFBs from all the treatment groups were evaluated. Based on the results, it was confirmed that SMOC1 silencing significantly reduced the ROS content in Ang II-induced MFBs. In addition, it was revealed that SMOC1 silencing also lessened the content of MDA and LDH, and strengthened the activity of SOD in Ang II-induced MFBs. According to these results, it was concluded that SMOC1 silencing reduced oxidative stress in Ang II-induced MFBs.
In order to investigate the accurate roles and mechanisms of SMOC1 in myocardial fibrosis, several fibrosis-associated proteins were further selected as the objects of the present study. Based on previous studies, the expression levels of FN, TGF-β1, COL-I and COL-III in MFBs treated with Ang II and transfected with si-SMOC1 were assessed (34–37). In accordance with the ELISA data, it was revealed that SMOC1 silencing markedly decreased the TGF-β1, COL-I and COL-III expression levels in Ang II-induced MFBs. Additionally, RT-qPCR and western blot analysis results also suggested that SMOC1 silencing markedly downregulated the expression levels of FN, TGF-β1, COL-I and COL-III in Ang II-induced MFBs. Therefore, it was confirmed that SMOC1 silencing was able to downregulate the expression levels of fibrosis-associated proteins in Ang II-induced MFBs. Therefore, it was determined that SMOC1 silencing suppressed the fibrosis of MFBs induced by Ang II. Studies have reported that BMPs and Smad family proteins were associated with the development and progression of myocardial fibrosis (13,36–38). However, the regulatory mechanism of the BMP2/Smad pathway in MFBs remains unclear. Therefore, the present study measured the expression levels of BMP2, phosphorylated Smad2 and Smad2 in MFBs treated with Ang II and si-SMOC1. The western blot results indicated that Ang II increased the expression level of BMP2 and the phosphorylation of Smad2 in MFBs. Additionally, it was revealed that SMOC1 silencing decreased the expression of BMP2 and the phosphorylation of Smad2 in MFBs in Ang II-induced MFBs. However, no significant difference in Smad2 expression was observed. Taken together, these results indicated that SMOC1 silencing affected the BMP2/Smad pathway in Ang II-induced MFBs. Based on the aforementioned results, it was hypothesized that SMOC1 silencing suppressed the fibrosis of MFBs induced by Ang II by affecting the BMP2/Smad pathway. Nevertheless, the present study only investigated the effects of SMOC1 silencing on Ang II-induced myocardial fibrosis. At present, knowledge regarding the roles and mechanisms of SMOC1 overexpression on Ang II-induced myocardial fibrosis remains insufficient. Future studies should consider the effects of overexpressing SMOC1.
Taken together, the results of the present study demonstrated that SMOC1 silencing suppressed the Ang II-induced myocardial fibrosis of MFBs through affecting the BMP2/Smad pathway. Additionally, the observations of the present study provided novel insight for comprehending the pathogenesis of myocardial fibrosis and enabling an alternative approach for the therapy of myocardial fibrosis.
In summary, the present study indicated that SMOC1 silencing suppressed the Ang II-induced myocardial fibrosis of MFBs through affecting the BMP2/Smad pathway. The results of the present study have crucial influence on the mechanisms of SMOC1 and Ang II-induced MFBs. The potential effects of SMOC1 on the myocardial fibrosis of Ang II-induced MFBs suggested that SMOC1 may be an effective target for myocardial fibrosis therapies.
Not applicable.
No funding was received.
All data generated and/or analyzed during this study are included in this published article
YW wrote the main manuscript and analyzed the data. XW performed the experiments. YW designed the study. All authors read and approved the final manuscript.
Not applicable.
Not applicable.
The authors declare that they have no competing interests.
|
GBD 2016 Disease and Injury Incidence and Prevalence Collaborators. Global, regional, and national incidence, prevalence, and years lived with disability for 328 diseases and injuries for 195 countries, 1990–2016: A systematic analysis for the Global Burden of Disease Study 2016. Lancet. 390:1211–1259. 2017. View Article : Google Scholar : PubMed/NCBI | |
|
Dunlay SM and Roger VL: Understanding the epidemic of heart failure: Past, present, and future. Curr Heart Fail Rep. 11:404–415. 2014. View Article : Google Scholar : PubMed/NCBI | |
|
Lebrin F, Goumans MJ, Jonker L, Carvalho RL, Valdimarsdottir G, Thorikay M, Mummery C, Arthur HM and ten Dijke P: Endoglin promotes endothelial cell proliferation and TGF-beta/ALK1 signal transduction. Embo J. 23:4018–4028. 2004. View Article : Google Scholar : PubMed/NCBI | |
|
McCain ML, Agarwal A, Nesmith HW, Nesmith AP and Parker KK: Micromolded gelatin hydrogels for extended culture of engineered cardiac tissues. Biomaterials. 35:5462–5471. 2014. View Article : Google Scholar : PubMed/NCBI | |
|
Daniels A, van Bilsen M, Goldschmeding R, van der Vusse GJ and van Nieuwenhoven FA: Connective tissue growth factor and cardiac fibrosis. Acta Physiol. 195:321–338. 2009. View Article : Google Scholar | |
|
Fan D, Takawale A, Lee J and Kassiri Z: Cardiac fibroblasts, fibrosis and extracellular matrix remodeling in heart disease. Fibrogenesis Tissue Repair. 5:152012. View Article : Google Scholar : PubMed/NCBI | |
|
Segura AM, Frazier OH and Buja LM: Fibrosis and heart failure. Heart Fail Rev. 19:173–185. 2014. View Article : Google Scholar : PubMed/NCBI | |
|
Fan D, Takawale A, Basu R, Patel V, Lee J, Kandalam V, Wang X, Oudit GY and Kassiri Z: Differential role of TIMP2 and TIMP3 in cardiac hypertrophy, fibrosis, and diastolic dysfunction. Cardiovasc Res. 103:268–280. 2014. View Article : Google Scholar : PubMed/NCBI | |
|
Ma Y, Halade GV and Lindsey ML: Extracellular matrix and fibroblast communication following myocardial infarction. J Cardiovasc Transl Res. 5:848–857. 2012. View Article : Google Scholar : PubMed/NCBI | |
|
Yang YL, Liu YS, Chuang LY, Guh JY, Lee TC, Liao TN, Hung MY and Chiang TA: Bone morphogenetic protein-2 antagonizes renal interstitial fibrosis by promoting catabolism of type I transforming growth factor-beta receptors. Endocrinology. 150:727–740. 2009. View Article : Google Scholar : PubMed/NCBI | |
|
Zeisberg M, Bottiglio C, Kumar N, Maeshima Y, Strutz F, Muller GA and Kalluri R: Bone morphogenic protein-7 inhibits progression of chronic renal fibrosis associated with two genetic mouse models. Am J Physiol Renal Physiol. 285:F1060–F1067. 2003. View Article : Google Scholar : PubMed/NCBI | |
|
Yang YL, Ju HZ, Liu SF, Lee TC, Shih YW, Chuang LY, Guh JY, Yang YY, Liao TN, Hung TJ and Hung MY: BMP-2 suppresses renal interstitial fibrosis by regulating epithelial-mesenchymal transition. J Cell Biochem. 112:2558–2565. 2011. View Article : Google Scholar : PubMed/NCBI | |
|
Wang S, Sun A, Li L, Zhao G, Jia J, Wang K, Ge J and Zou Y: Up-regulation of BMP-2 antagonizes TGF-β1/ROCK-enhanced cardiac fibrotic signalling through activation of Smurf1/Smad6 complex. J Cell Mol Med. 16:2301–2310. 2012. View Article : Google Scholar : PubMed/NCBI | |
|
Flanders KC: Smad3 as a mediator of the fibrotic response. Int J Exp Pathol. 85:47–64. 2004. View Article : Google Scholar : PubMed/NCBI | |
|
Kim KK, Wei Y, Szekeres C, Kugler MC, Wolters PJ, Hill ML, Frank JA, Brumwell AN, Wheeler SE, Kreidberg JA and Chapman HA: Epithelial cell alpha3beta1 integrin links beta-catenin and Smad signaling to promote myofibroblast formation and pulmonary fibrosis. J Clin Invest. 119:213–224. 2009.PubMed/NCBI | |
|
Lan HY: Diverse roles of TGF-beta/Smads in renal fibrosis and inflammation. Int J Biol Sci. 7:1056–1067. 2011. View Article : Google Scholar : PubMed/NCBI | |
|
Bornstein P and Sage EH: Matricellular proteins: Extracellular modulators of cell function. Curr Opin Cell Biol. 14:608–616. 2002. View Article : Google Scholar : PubMed/NCBI | |
|
Vannahme C, Smyth N, Miosge N, Gosling S, Frie C, Paulsson M, Maurer P and Hartmann U: Characterization of SMOC-1, a novel modular calcium-binding protein in basement membranes. J Biol Chem. 277:37977–37986. 2002. View Article : Google Scholar : PubMed/NCBI | |
|
Gersdorff N, Müller M, Schall A and Miosge N: Secreted modular calcium-binding protein-1 localization during mouse embryogenesis. Histochem Cell Biol. 126:705–712. 2006. View Article : Google Scholar : PubMed/NCBI | |
|
Thomas JT, Canelos P, Luyten FP and Moos M Jr: Xenopus SMOC-1 Inhibits bone morphogenetic protein signaling downstream of receptor binding and is essential for postgastrulation development in Xenopus. J Biol Chem. 284:18994–19005. 2009. View Article : Google Scholar : PubMed/NCBI | |
|
Livak KJ and Schmittgen TD: Analysis of relative gene expression data using real-time quantitative PCR and the 2−ΔΔCT method. Methods. 25:402–408. 2001. View Article : Google Scholar : PubMed/NCBI | |
|
Phillips MI and Kagiyama S: Angiotensin II as a pro-inflammatory mediator. Curr Opin Investig Drugs. 3:569–577. 2002.PubMed/NCBI | |
|
Marshall RP, McAnulty RJ and Laurent GJ: Angiotensin II is mitogenic for human lung fibroblasts via activation of the type 1 receptor. Am J Respir Crit Care Med. 161:1999–2004. 2000. View Article : Google Scholar : PubMed/NCBI | |
|
Uhal BD, Kim JK, Li X and Molina-Molina M: Angiotensin-TGF-beta 1 crosstalk in human idiopathic pulmonary fibrosis: Autocrine mechanisms in myofibroblasts and macrophages. Curr Pharm Des. 13:1247–1256. 2007. View Article : Google Scholar : PubMed/NCBI | |
|
Zhu M, Chen D, Li D, Ding H, Zhang T, Xu T and Zhang Y: Luteolin inhibits angiotensin II-induced human umbilical vein endothelial cell proliferation and migration through downregulation of Src and Akt phosphorylation. Circ J. 77:772–779. 2013. View Article : Google Scholar : PubMed/NCBI | |
|
Rosin NL, Sopel M, Falkenham A, Myers TL and Legare JF: Myocardial migration by fibroblast progenitor cells is blood pressure dependent in a model of angII myocardial fibrosis. Hypertens Res. 35:449–456. 2012. View Article : Google Scholar : PubMed/NCBI | |
|
Yang L, Zhu QJ, Zhou W, Ye J, Qian W, Zhu R, Hu TH and Hou XH: Effect of beta-elemene on the proliferation, migration and RhoA expression of hepatic stellate cells induced by angiotensin II. Zhonghua Gan Zang Bing Za Zhi. 16:748–751. 2008.(In Chinese). PubMed/NCBI | |
|
Bradshaw AD: Diverse biological functions of the SPARC family of proteins. Int J Biochem Cell Biol. 44:480–488. 2012. View Article : Google Scholar : PubMed/NCBI | |
|
Choi YA, Lim J, Kim KM, Acharya B, Cho JY, Bae YC, Shin HI, Kim SY and Park EK: Secretome analysis of human BMSCs and identification of SMOC1 as an important ECM protein in osteoblast differentiation. J Proteome Res. 9:2946–2956. 2010. View Article : Google Scholar : PubMed/NCBI | |
|
Boon K, Edwards JB, Eberhart CG and Riggins GJ: Identification of astrocytoma associated genes including cell surface markers. BMC Cancer. 4:392004. View Article : Google Scholar : PubMed/NCBI | |
|
Brellier F, Ruggiero S, Zwolanek D, Martina E, Hess D, Brown-Luedi M, Hartmann U, Koch M, Merlo A, Lino M and Chiquet-Ehrismann R: SMOC1 is a tenascin-C interacting protein over-expressed in brain tumors. Matrix Biol. 30:225–233. 2011. View Article : Google Scholar : PubMed/NCBI | |
|
Schieber M and Chandel NS: ROS function in redox signaling and oxidative stress. Curr Biol. 24:R453–462. 2014. View Article : Google Scholar : PubMed/NCBI | |
|
Kliment CR, Englert JM, Gochuico BR, Yu G, Kaminski N, Rosas I and Oury TD: Oxidative stress alters syndecan-1 distribution in lungs with pulmonary fibrosis. J Biol Chem. 284:3537–3545. 2009. View Article : Google Scholar : PubMed/NCBI | |
|
Papaharalambus CA and Griendling KK: Basic mechanisms of oxidative stress and reactive oxygen species in cardiovascular injury. Trends Cardiovasc Med. 17:48–54. 2007. View Article : Google Scholar : PubMed/NCBI | |
|
Montezano AC, Callera GE, Yogi A, He Y, Tostes RC, He G, Schiffrin EL and Touyz RM: Aldosterone and angiotensin II synergistically stimulate migration in vascular smooth muscle cells through c-Src-regulated redox-sensitive RhoA pathways. Arterioscler Thromb Vasc Biol. 28:1511–1518. 2008. View Article : Google Scholar : PubMed/NCBI | |
|
Sun B, Huo R, Sheng Y, Li Y, Xie X, Chen C, Liu HB, Li N, Li CB, Guo WT, et al: Bone morphogenetic protein-4 mediates cardiac hypertrophy, apoptosis, and fibrosis in experimentally pathological cardiac hypertrophy. Hypertension. 61:352–360. 2013. View Article : Google Scholar : PubMed/NCBI | |
|
Voloshenyuk TG, Landesman ES, Khoutorova E, Hart AD and Gardner JD: Induction of cardiac fibroblast lysyl oxidase by TGF-β1 requires PI3K/Akt, Smad3, and MAPK signaling. Cytokine. 55:90–97. 2011. View Article : Google Scholar : PubMed/NCBI | |
|
Wang B, Hao J, Jones SC, Yee MS, Roth JC and Dixon IM: Decreased Smad 7 expression contributes to cardiac fibrosis in the infarcted rat heart. Am J Physiol Heart Circ Physiol. 282:H1685–H1696. 2002. View Article : Google Scholar : PubMed/NCBI |