Spandidos Publications Logo
  • About
    • About Spandidos
    • Aims and Scopes
    • Abstracting and Indexing
    • Editorial Policies
    • Reprints and Permissions
    • Job Opportunities
    • Terms and Conditions
    • Contact
  • Journals
    • All Journals
    • Oncology Letters
      • Oncology Letters
      • Information for Authors
      • Editorial Policies
      • Editorial Board
      • Aims and Scope
      • Abstracting and Indexing
      • Bibliographic Information
      • Archive
    • International Journal of Oncology
      • International Journal of Oncology
      • Information for Authors
      • Editorial Policies
      • Editorial Board
      • Aims and Scope
      • Abstracting and Indexing
      • Bibliographic Information
      • Archive
    • Molecular and Clinical Oncology
      • Molecular and Clinical Oncology
      • Information for Authors
      • Editorial Policies
      • Editorial Board
      • Aims and Scope
      • Abstracting and Indexing
      • Bibliographic Information
      • Archive
    • Experimental and Therapeutic Medicine
      • Experimental and Therapeutic Medicine
      • Information for Authors
      • Editorial Policies
      • Editorial Board
      • Aims and Scope
      • Abstracting and Indexing
      • Bibliographic Information
      • Archive
    • International Journal of Molecular Medicine
      • International Journal of Molecular Medicine
      • Information for Authors
      • Editorial Policies
      • Editorial Board
      • Aims and Scope
      • Abstracting and Indexing
      • Bibliographic Information
      • Archive
    • Biomedical Reports
      • Biomedical Reports
      • Information for Authors
      • Editorial Policies
      • Editorial Board
      • Aims and Scope
      • Abstracting and Indexing
      • Bibliographic Information
      • Archive
    • Oncology Reports
      • Oncology Reports
      • Information for Authors
      • Editorial Policies
      • Editorial Board
      • Aims and Scope
      • Abstracting and Indexing
      • Bibliographic Information
      • Archive
    • Molecular Medicine Reports
      • Molecular Medicine Reports
      • Information for Authors
      • Editorial Policies
      • Editorial Board
      • Aims and Scope
      • Abstracting and Indexing
      • Bibliographic Information
      • Archive
    • World Academy of Sciences Journal
      • World Academy of Sciences Journal
      • Information for Authors
      • Editorial Policies
      • Editorial Board
      • Aims and Scope
      • Abstracting and Indexing
      • Bibliographic Information
      • Archive
    • International Journal of Functional Nutrition
      • International Journal of Functional Nutrition
      • Information for Authors
      • Editorial Policies
      • Editorial Board
      • Aims and Scope
      • Abstracting and Indexing
      • Bibliographic Information
      • Archive
    • International Journal of Epigenetics
      • International Journal of Epigenetics
      • Information for Authors
      • Editorial Policies
      • Editorial Board
      • Aims and Scope
      • Abstracting and Indexing
      • Bibliographic Information
      • Archive
    • Medicine International
      • Medicine International
      • Information for Authors
      • Editorial Policies
      • Editorial Board
      • Aims and Scope
      • Abstracting and Indexing
      • Bibliographic Information
      • Archive
  • Articles
  • Information
    • Information for Authors
    • Information for Reviewers
    • Information for Librarians
    • Information for Advertisers
    • Conferences
  • Language Editing
Spandidos Publications Logo
  • About
    • About Spandidos
    • Aims and Scopes
    • Abstracting and Indexing
    • Editorial Policies
    • Reprints and Permissions
    • Job Opportunities
    • Terms and Conditions
    • Contact
  • Journals
    • All Journals
    • Biomedical Reports
      • Information for Authors
      • Editorial Policies
      • Editorial Board
      • Aims and Scope
      • Abstracting and Indexing
      • Bibliographic Information
      • Archive
    • Experimental and Therapeutic Medicine
      • Information for Authors
      • Editorial Policies
      • Editorial Board
      • Aims and Scope
      • Abstracting and Indexing
      • Bibliographic Information
      • Archive
    • International Journal of Epigenetics
      • Information for Authors
      • Editorial Policies
      • Editorial Board
      • Aims and Scope
      • Abstracting and Indexing
      • Bibliographic Information
      • Archive
    • International Journal of Functional Nutrition
      • Information for Authors
      • Editorial Policies
      • Editorial Board
      • Aims and Scope
      • Abstracting and Indexing
      • Bibliographic Information
      • Archive
    • International Journal of Molecular Medicine
      • Information for Authors
      • Editorial Policies
      • Editorial Board
      • Aims and Scope
      • Abstracting and Indexing
      • Bibliographic Information
      • Archive
    • International Journal of Oncology
      • Information for Authors
      • Editorial Policies
      • Editorial Board
      • Aims and Scope
      • Abstracting and Indexing
      • Bibliographic Information
      • Archive
    • Medicine International
      • Information for Authors
      • Editorial Policies
      • Editorial Board
      • Aims and Scope
      • Abstracting and Indexing
      • Bibliographic Information
      • Archive
    • Molecular and Clinical Oncology
      • Information for Authors
      • Editorial Policies
      • Editorial Board
      • Aims and Scope
      • Abstracting and Indexing
      • Bibliographic Information
      • Archive
    • Molecular Medicine Reports
      • Information for Authors
      • Editorial Policies
      • Editorial Board
      • Aims and Scope
      • Abstracting and Indexing
      • Bibliographic Information
      • Archive
    • Oncology Letters
      • Information for Authors
      • Editorial Policies
      • Editorial Board
      • Aims and Scope
      • Abstracting and Indexing
      • Bibliographic Information
      • Archive
    • Oncology Reports
      • Information for Authors
      • Editorial Policies
      • Editorial Board
      • Aims and Scope
      • Abstracting and Indexing
      • Bibliographic Information
      • Archive
    • World Academy of Sciences Journal
      • Information for Authors
      • Editorial Policies
      • Editorial Board
      • Aims and Scope
      • Abstracting and Indexing
      • Bibliographic Information
      • Archive
  • Articles
  • Information
    • For Authors
    • For Reviewers
    • For Librarians
    • For Advertisers
    • Conferences
  • Language Editing
Login Register Submit
  • This site uses cookies
  • You can change your cookie settings at any time by following the instructions in our Cookie Policy. To find out more, you may read our Privacy Policy.

    I agree
Search articles by DOI, keyword, author or affiliation
Search
Advanced Search
presentation
Oncology Letters
Join Editorial Board Propose a Special Issue
Print ISSN: 1792-1074 Online ISSN: 1792-1082
Journal Cover
October-2018 Volume 16 Issue 4

Full Size Image

Sign up for eToc alerts
Recommend to Library

Journals

International Journal of Molecular Medicine

International Journal of Molecular Medicine

International Journal of Molecular Medicine is an international journal devoted to molecular mechanisms of human disease.

International Journal of Oncology

International Journal of Oncology

International Journal of Oncology is an international journal devoted to oncology research and cancer treatment.

Molecular Medicine Reports

Molecular Medicine Reports

Covers molecular medicine topics such as pharmacology, pathology, genetics, neuroscience, infectious diseases, molecular cardiology, and molecular surgery.

Oncology Reports

Oncology Reports

Oncology Reports is an international journal devoted to fundamental and applied research in Oncology.

Experimental and Therapeutic Medicine

Experimental and Therapeutic Medicine

Experimental and Therapeutic Medicine is an international journal devoted to laboratory and clinical medicine.

Oncology Letters

Oncology Letters

Oncology Letters is an international journal devoted to Experimental and Clinical Oncology.

Biomedical Reports

Biomedical Reports

Explores a wide range of biological and medical fields, including pharmacology, genetics, microbiology, neuroscience, and molecular cardiology.

Molecular and Clinical Oncology

Molecular and Clinical Oncology

International journal addressing all aspects of oncology research, from tumorigenesis and oncogenes to chemotherapy and metastasis.

World Academy of Sciences Journal

World Academy of Sciences Journal

Multidisciplinary open-access journal spanning biochemistry, genetics, neuroscience, environmental health, and synthetic biology.

International Journal of Functional Nutrition

International Journal of Functional Nutrition

Open-access journal combining biochemistry, pharmacology, immunology, and genetics to advance health through functional nutrition.

International Journal of Epigenetics

International Journal of Epigenetics

Publishes open-access research on using epigenetics to advance understanding and treatment of human disease.

Medicine International

Medicine International

An International Open Access Journal Devoted to General Medicine.

Journal Cover
October-2018 Volume 16 Issue 4

Full Size Image

Sign up for eToc alerts
Recommend to Library

  • Article
  • Citations
    • Cite This Article
    • Download Citation
    • Create Citation Alert
    • Remove Citation Alert
    • Cited By
  • Similar Articles
    • Related Articles (in Spandidos Publications)
    • Similar Articles (Google Scholar)
    • Similar Articles (PubMed)
  • Download PDF
  • Download XML
  • View XML
Case Report Open Access

Serum ProGRP and NSE levels predicting small cell lung cancer transformation in a patient with ALK rearrangement‑positive non‑small cell lung cancer: A case report

  • Authors:
    • Yuko Oya
    • Tatsuya Yoshida
    • Takehiro Uemura
    • Yoshiko Murakami
    • Yoshitaka Inaba
    • Toyoaki Hida
  • View Affiliations / Copyright

    Affiliations: Department of Thoracic Oncology, Aichi Cancer Center Hospital, Nagoya, Aichi 464‑8681, Japan, Department of Pathology and Molecular Diagnostics, Aichi Cancer Center Hospital, Nagoya, Aichi 464‑8681, Japan, Department of Diagnostic and Interventional Radiology, Aichi Cancer Center Hospital, Nagoya, Aichi 464‑8681, Japan
    Copyright: © Oya et al. This is an open access article distributed under the terms of Creative Commons Attribution License.
  • Pages: 4219-4222
    |
    Published online on: July 17, 2018
       https://doi.org/10.3892/ol.2018.9158
  • Expand metrics +
Metrics: Total Views: 0 (Spandidos Publications: | PMC Statistics: )
Metrics: Total PDF Downloads: 0 (Spandidos Publications: | PMC Statistics: )
Cited By (CrossRef): 0 citations Loading Articles...

This article is mentioned in:



Abstract

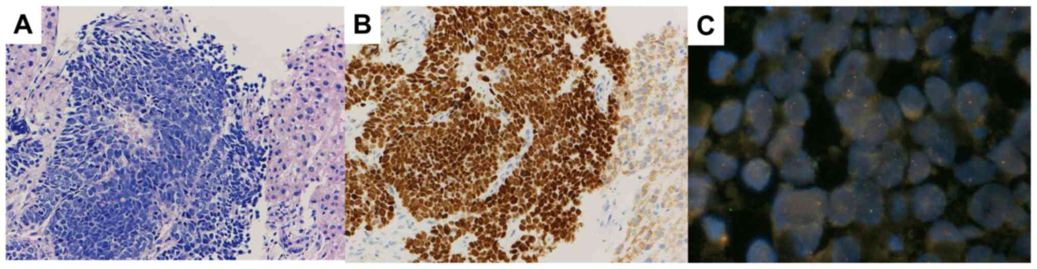
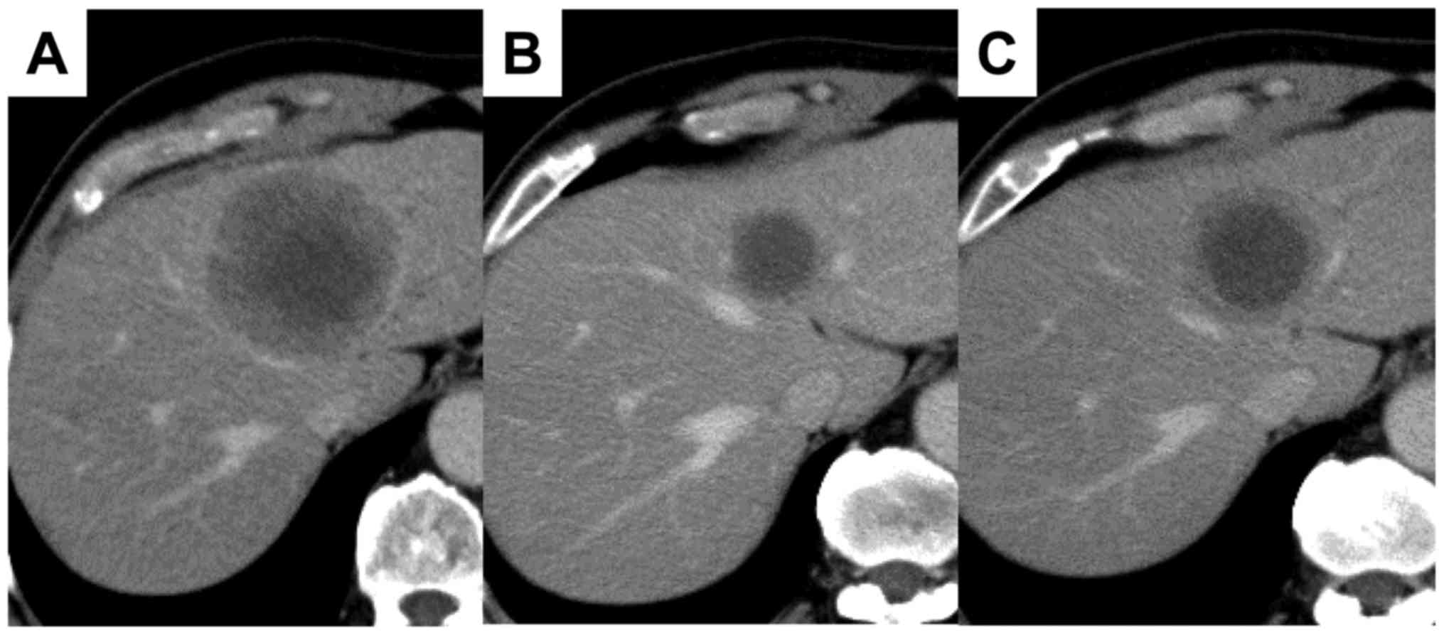
The resistance mechanisms to anaplastic lymphoma kinase (ALK) inhibitors comprise ALK gene variations, such as ALK point mutations and copy‑number gains, the activation of bypass signaling through the activation of other oncogenes and small cell lung cancer (SCLC) transformation. To date, few studies have investigated whether tumor markers for SCLC correlate with the SCLC transformation in EGFR‑mutant NSCLC and ALK‑positive non‑SCLC (NSCLC). The present case study reported a patient with SCLC transformation after alectinib treatment. The patient exhibited elevation of pro‑gastrin‑releasing peptide precursor and neuron‑specific enolase levels, which may be predictive of SCLC transformation during the resistance to ALK‑tyrosine kinase inhibitors.
View Figures

Figure 1

Figure 2

Figure 3

View References

1 

Katayama R, Khan TM, Benes C, Lifshits E, Ebi H, Rivera VM, Shakespeare WC, Iafrate AJ, Engelman JA and Shaw AT: Therapeutic strategies to overcome crizotinib resistance in non-small cell lung cancers harboring the fusion oncogene EML4-ALK. Proc Natl Acad Sci USA. 108:7535–7540. 2011. View Article : Google Scholar : PubMed/NCBI

2 

Katayama R, Shaw AT, Khan TM, Mino-Kenudson M, Solomon BJ, Halmos B, Jessop NA, Wain JC, Yeo AT, Benes C, et al: Mechanisms of acquired crizotinib resistance in ALK-rearranged lung cancers. Sci Transl Med. 4:120ra172012. View Article : Google Scholar : PubMed/NCBI

3 

Sasaki T, Koivunen J, Ogino A, Yanagita M, Nikiforow S, Zheng W, Lathan C, Marcoux JP, Du J, Okuda K, et al: A novel ALK secondary mutation and EGFR signaling cause resistance to ALK kinase inhibitors. Cancer Res. 71:6051–6060. 2011. View Article : Google Scholar : PubMed/NCBI

4 

Lovly CM, McDonald NT, Chen H, Ortiz-Cuaran S, Heukamp LC, Yan Y, Florin A, Ozretić L, Lim D, Wang L, et al: Rationale for co-targeting IGF-1R and ALK in ALK fusion-positive lung cancer. Nat Med. 20:1027–1034. 2014. View Article : Google Scholar : PubMed/NCBI

5 

Fujita S, Masago K, Katakami N and Yatabe Y: Transformation to SCLC after treatment with the ALK inhibitor alectinib. J Thorac Oncol. 11:e67–e72. 2016. View Article : Google Scholar : PubMed/NCBI

6 

Ou SI, Lee TK, Young L, Fernandez-Rocha MY, Pavlick D, Schrock AB, Zhu VW, Milliken J, Ali SM and Gitlitz BJ: Dual occurrence of ALK G1202R solvent front mutation and small cell lung cancer transformation as resistance mechanisms to second generation ALK inhibitors without prior exposure to crizotinib. Pitfall of solely relying on liquid re-biopsy? Lung Cancer. 106:110–114. 2017.PubMed/NCBI

7 

Stieber P, Dienemann H, Schalhorn A, Schmitt UM, Reinmiedl J, Hofmann K and Yamaguchi K: Pro-gastrin-releasing peptide (ProGRP)-a useful marker in small cell lung carcinomas. Anticancer Res. 19:2673–2678. 1999.PubMed/NCBI

8 

Gainor JF, Dardaei L, Yoda S, Friboulet L, Leshchiner I, Katayama R, Dagogo-Jack I, Gadgeel S, Schultz K, Singh M, et al: Molecular mechanisms of resistance to first- and second-generation ALK inhibitors in ALK-rearranged lung cancer. Cancer Discov. 6:1118–1133. 2016. View Article : Google Scholar : PubMed/NCBI

9 

Paweletz CP, Sacher AG, Raymond CK, Alden RS, O'Connell A, Mach SL, Kuang Y, Gandhi L, Kirschmeier P, English JM, et al: Bias-corrected targeted next-generation sequencing for rapid, multiplexed detection of actionable alterations in cell-free DNA from advanced lung cancer patients. Clin Cancer Res. 22:915–922. 2016. View Article : Google Scholar : PubMed/NCBI

10 

Lodrini M, Sprüssel A, Astrahantseff K, Tiburtius D, Konschak R, Lode HN, Fischer M, Keilholz U, Eggert A and Deubzer HE: Using droplet digital PCR to analyze MYCN and ALK copy number in plasma from patients with neuroblastoma. Oncotarget. 8:85234–85251. 2017. View Article : Google Scholar : PubMed/NCBI

11 

Johnson AC, Dô P, Richard N, Dubos C, Michels JJ, Bonneau J and Gervais R: Identification of I1171N resistance mutation in ALK-positive non-small-cell lung cancer tumor sample and circulating tumor DNA. Lung Cancer. 99:38–40. 2016. View Article : Google Scholar : PubMed/NCBI

12 

Bordi P, Tiseo M, Rofi E, Petrini I, Restante G, Danesi R and Del Re M: Detection of ALK and KRAS mutations in circulating tumor DNA of patients with advanced ALK-positive NSCLC with disease progression during crizotinib treatment. Clin Lung Cancer. 18:692–697. 2017. View Article : Google Scholar : PubMed/NCBI

Related Articles

  • Abstract
  • View
  • Download
  • Twitter
Copy and paste a formatted citation
Spandidos Publications style
Oya Y, Yoshida T, Uemura T, Murakami Y, Inaba Y and Hida T: Serum ProGRP and NSE levels predicting small cell lung cancer transformation in a patient with ALK rearrangement‑positive non‑small cell lung cancer: A case report. Oncol Lett 16: 4219-4222, 2018.
APA
Oya, Y., Yoshida, T., Uemura, T., Murakami, Y., Inaba, Y., & Hida, T. (2018). Serum ProGRP and NSE levels predicting small cell lung cancer transformation in a patient with ALK rearrangement‑positive non‑small cell lung cancer: A case report. Oncology Letters, 16, 4219-4222. https://doi.org/10.3892/ol.2018.9158
MLA
Oya, Y., Yoshida, T., Uemura, T., Murakami, Y., Inaba, Y., Hida, T."Serum ProGRP and NSE levels predicting small cell lung cancer transformation in a patient with ALK rearrangement‑positive non‑small cell lung cancer: A case report". Oncology Letters 16.4 (2018): 4219-4222.
Chicago
Oya, Y., Yoshida, T., Uemura, T., Murakami, Y., Inaba, Y., Hida, T."Serum ProGRP and NSE levels predicting small cell lung cancer transformation in a patient with ALK rearrangement‑positive non‑small cell lung cancer: A case report". Oncology Letters 16, no. 4 (2018): 4219-4222. https://doi.org/10.3892/ol.2018.9158
Copy and paste a formatted citation
x
Spandidos Publications style
Oya Y, Yoshida T, Uemura T, Murakami Y, Inaba Y and Hida T: Serum ProGRP and NSE levels predicting small cell lung cancer transformation in a patient with ALK rearrangement‑positive non‑small cell lung cancer: A case report. Oncol Lett 16: 4219-4222, 2018.
APA
Oya, Y., Yoshida, T., Uemura, T., Murakami, Y., Inaba, Y., & Hida, T. (2018). Serum ProGRP and NSE levels predicting small cell lung cancer transformation in a patient with ALK rearrangement‑positive non‑small cell lung cancer: A case report. Oncology Letters, 16, 4219-4222. https://doi.org/10.3892/ol.2018.9158
MLA
Oya, Y., Yoshida, T., Uemura, T., Murakami, Y., Inaba, Y., Hida, T."Serum ProGRP and NSE levels predicting small cell lung cancer transformation in a patient with ALK rearrangement‑positive non‑small cell lung cancer: A case report". Oncology Letters 16.4 (2018): 4219-4222.
Chicago
Oya, Y., Yoshida, T., Uemura, T., Murakami, Y., Inaba, Y., Hida, T."Serum ProGRP and NSE levels predicting small cell lung cancer transformation in a patient with ALK rearrangement‑positive non‑small cell lung cancer: A case report". Oncology Letters 16, no. 4 (2018): 4219-4222. https://doi.org/10.3892/ol.2018.9158
Follow us
  • Twitter
  • LinkedIn
  • Facebook
About
  • Spandidos Publications
  • Careers
  • Cookie Policy
  • Privacy Policy
How can we help?
  • Help
  • Live Chat
  • Contact
  • Email to our Support Team