Spandidos Publications Logo
  • About
    • About Spandidos
    • Aims and Scopes
    • Abstracting and Indexing
    • Editorial Policies
    • Reprints and Permissions
    • Job Opportunities
    • Terms and Conditions
    • Contact
  • Journals
    • All Journals
    • Oncology Letters
      • Oncology Letters
      • Information for Authors
      • Editorial Policies
      • Editorial Board
      • Aims and Scope
      • Abstracting and Indexing
      • Bibliographic Information
      • Archive
    • International Journal of Oncology
      • International Journal of Oncology
      • Information for Authors
      • Editorial Policies
      • Editorial Board
      • Aims and Scope
      • Abstracting and Indexing
      • Bibliographic Information
      • Archive
    • Molecular and Clinical Oncology
      • Molecular and Clinical Oncology
      • Information for Authors
      • Editorial Policies
      • Editorial Board
      • Aims and Scope
      • Abstracting and Indexing
      • Bibliographic Information
      • Archive
    • Experimental and Therapeutic Medicine
      • Experimental and Therapeutic Medicine
      • Information for Authors
      • Editorial Policies
      • Editorial Board
      • Aims and Scope
      • Abstracting and Indexing
      • Bibliographic Information
      • Archive
    • International Journal of Molecular Medicine
      • International Journal of Molecular Medicine
      • Information for Authors
      • Editorial Policies
      • Editorial Board
      • Aims and Scope
      • Abstracting and Indexing
      • Bibliographic Information
      • Archive
    • Biomedical Reports
      • Biomedical Reports
      • Information for Authors
      • Editorial Policies
      • Editorial Board
      • Aims and Scope
      • Abstracting and Indexing
      • Bibliographic Information
      • Archive
    • Oncology Reports
      • Oncology Reports
      • Information for Authors
      • Editorial Policies
      • Editorial Board
      • Aims and Scope
      • Abstracting and Indexing
      • Bibliographic Information
      • Archive
    • Molecular Medicine Reports
      • Molecular Medicine Reports
      • Information for Authors
      • Editorial Policies
      • Editorial Board
      • Aims and Scope
      • Abstracting and Indexing
      • Bibliographic Information
      • Archive
    • World Academy of Sciences Journal
      • World Academy of Sciences Journal
      • Information for Authors
      • Editorial Policies
      • Editorial Board
      • Aims and Scope
      • Abstracting and Indexing
      • Bibliographic Information
      • Archive
    • International Journal of Functional Nutrition
      • International Journal of Functional Nutrition
      • Information for Authors
      • Editorial Policies
      • Editorial Board
      • Aims and Scope
      • Abstracting and Indexing
      • Bibliographic Information
      • Archive
    • International Journal of Epigenetics
      • International Journal of Epigenetics
      • Information for Authors
      • Editorial Policies
      • Editorial Board
      • Aims and Scope
      • Abstracting and Indexing
      • Bibliographic Information
      • Archive
    • Medicine International
      • Medicine International
      • Information for Authors
      • Editorial Policies
      • Editorial Board
      • Aims and Scope
      • Abstracting and Indexing
      • Bibliographic Information
      • Archive
  • Articles
  • Information
    • Information for Authors
    • Information for Reviewers
    • Information for Librarians
    • Information for Advertisers
    • Conferences
  • Language Editing
Spandidos Publications Logo
  • About
    • About Spandidos
    • Aims and Scopes
    • Abstracting and Indexing
    • Editorial Policies
    • Reprints and Permissions
    • Job Opportunities
    • Terms and Conditions
    • Contact
  • Journals
    • All Journals
    • Biomedical Reports
      • Information for Authors
      • Editorial Policies
      • Editorial Board
      • Aims and Scope
      • Abstracting and Indexing
      • Bibliographic Information
      • Archive
    • Experimental and Therapeutic Medicine
      • Information for Authors
      • Editorial Policies
      • Editorial Board
      • Aims and Scope
      • Abstracting and Indexing
      • Bibliographic Information
      • Archive
    • International Journal of Epigenetics
      • Information for Authors
      • Editorial Policies
      • Editorial Board
      • Aims and Scope
      • Abstracting and Indexing
      • Bibliographic Information
      • Archive
    • International Journal of Functional Nutrition
      • Information for Authors
      • Editorial Policies
      • Editorial Board
      • Aims and Scope
      • Abstracting and Indexing
      • Bibliographic Information
      • Archive
    • International Journal of Molecular Medicine
      • Information for Authors
      • Editorial Policies
      • Editorial Board
      • Aims and Scope
      • Abstracting and Indexing
      • Bibliographic Information
      • Archive
    • International Journal of Oncology
      • Information for Authors
      • Editorial Policies
      • Editorial Board
      • Aims and Scope
      • Abstracting and Indexing
      • Bibliographic Information
      • Archive
    • Medicine International
      • Information for Authors
      • Editorial Policies
      • Editorial Board
      • Aims and Scope
      • Abstracting and Indexing
      • Bibliographic Information
      • Archive
    • Molecular and Clinical Oncology
      • Information for Authors
      • Editorial Policies
      • Editorial Board
      • Aims and Scope
      • Abstracting and Indexing
      • Bibliographic Information
      • Archive
    • Molecular Medicine Reports
      • Information for Authors
      • Editorial Policies
      • Editorial Board
      • Aims and Scope
      • Abstracting and Indexing
      • Bibliographic Information
      • Archive
    • Oncology Letters
      • Information for Authors
      • Editorial Policies
      • Editorial Board
      • Aims and Scope
      • Abstracting and Indexing
      • Bibliographic Information
      • Archive
    • Oncology Reports
      • Information for Authors
      • Editorial Policies
      • Editorial Board
      • Aims and Scope
      • Abstracting and Indexing
      • Bibliographic Information
      • Archive
    • World Academy of Sciences Journal
      • Information for Authors
      • Editorial Policies
      • Editorial Board
      • Aims and Scope
      • Abstracting and Indexing
      • Bibliographic Information
      • Archive
  • Articles
  • Information
    • For Authors
    • For Reviewers
    • For Librarians
    • For Advertisers
    • Conferences
  • Language Editing
Login Register Submit
  • This site uses cookies
  • You can change your cookie settings at any time by following the instructions in our Cookie Policy. To find out more, you may read our Privacy Policy.

    I agree
Search articles by DOI, keyword, author or affiliation
Search
Advanced Search
presentation
Oncology Letters
Join Editorial Board Propose a Special Issue
Print ISSN: 1792-1074 Online ISSN: 1792-1082
Journal Cover
November-2018 Volume 16 Issue 5

Full Size Image

Sign up for eToc alerts
Recommend to Library

Journals

International Journal of Molecular Medicine

International Journal of Molecular Medicine

International Journal of Molecular Medicine is an international journal devoted to molecular mechanisms of human disease.

International Journal of Oncology

International Journal of Oncology

International Journal of Oncology is an international journal devoted to oncology research and cancer treatment.

Molecular Medicine Reports

Molecular Medicine Reports

Covers molecular medicine topics such as pharmacology, pathology, genetics, neuroscience, infectious diseases, molecular cardiology, and molecular surgery.

Oncology Reports

Oncology Reports

Oncology Reports is an international journal devoted to fundamental and applied research in Oncology.

Experimental and Therapeutic Medicine

Experimental and Therapeutic Medicine

Experimental and Therapeutic Medicine is an international journal devoted to laboratory and clinical medicine.

Oncology Letters

Oncology Letters

Oncology Letters is an international journal devoted to Experimental and Clinical Oncology.

Biomedical Reports

Biomedical Reports

Explores a wide range of biological and medical fields, including pharmacology, genetics, microbiology, neuroscience, and molecular cardiology.

Molecular and Clinical Oncology

Molecular and Clinical Oncology

International journal addressing all aspects of oncology research, from tumorigenesis and oncogenes to chemotherapy and metastasis.

World Academy of Sciences Journal

World Academy of Sciences Journal

Multidisciplinary open-access journal spanning biochemistry, genetics, neuroscience, environmental health, and synthetic biology.

International Journal of Functional Nutrition

International Journal of Functional Nutrition

Open-access journal combining biochemistry, pharmacology, immunology, and genetics to advance health through functional nutrition.

International Journal of Epigenetics

International Journal of Epigenetics

Publishes open-access research on using epigenetics to advance understanding and treatment of human disease.

Medicine International

Medicine International

An International Open Access Journal Devoted to General Medicine.

Journal Cover
November-2018 Volume 16 Issue 5

Full Size Image

Sign up for eToc alerts
Recommend to Library

  • Article
  • Citations
    • Cite This Article
    • Download Citation
    • Create Citation Alert
    • Remove Citation Alert
    • Cited By
  • Similar Articles
    • Related Articles (in Spandidos Publications)
    • Similar Articles (Google Scholar)
    • Similar Articles (PubMed)
  • Download PDF
  • Download XML
  • View XML
Article Open Access

Expression of TRPM8 in human reactive lymphoid tissues and mature B‑cell neoplasms

  • Authors:
    • Akinori Hirai
    • Naing Ye Aung
    • Rintaro Ohe
    • Akiko Nishida
    • Tomoya Kato
    • Hongxue Meng
    • Kenichi Ishizawa
    • Junichi Fujii
    • Mitsunori Yamakawa
  • View Affiliations / Copyright

    Affiliations: Department of Pathological Diagnostics, Yamagata University Faculty of Medicine, Yamagata, Yamagata 990‑9585, Japan, Division of Pathology, Nihonkai General Hospital, Sakata, Yamagata 998‑8501, Japan, Third Department of Internal Medicine, Yamagata University Faculty of Medicine, Yamagata, Yamagata 990‑9585, Japan, Department of Biochemistry and Molecular Biology, Yamagata University Faculty of Medicine, Yamagata, Yamagata 990‑9585, Japan
    Copyright: © Hirai et al. This is an open access article distributed under the terms of Creative Commons Attribution License.
  • Pages: 5930-5938
    |
    Published online on: September 3, 2018
       https://doi.org/10.3892/ol.2018.9386
  • Expand metrics +
Metrics: Total Views: 0 (Spandidos Publications: | PMC Statistics: )
Metrics: Total PDF Downloads: 0 (Spandidos Publications: | PMC Statistics: )
Cited By (CrossRef): 0 citations Loading Articles...

This article is mentioned in:


Abstract

Transient receptor potential melastatin 8 (TRPM8) is a member of the transient receptor potential superfamily of Ca2+ channels. The aim of the present study was to clarify TRPM8 expression in reactive lymphoid tissues and mature B‑cell neoplasms. Reactive and neoplastic lymphoid tissues were used to evaluate TRPM8 expression by immunohistochemistry and reverse transcription‑polymerase chain reaction (RT‑PCR). TRPM8+ cells were frequently detected in the follicular light zone and marginal zone of reactive lymphoid tissues. Double immunostaining revealed that TRPM8+ cells co‑expressed cluster of differentiation (CD) 38, CD79a, CD138, interferon regulatory factor 4/melanoma associated antigen (mutated) 1, B cell CLL/lymphoma 6 and transmembrane activator and CAML interactor. TRPM8+ neoplastic cells were frequently detected in plasma cell myeloma. The positive band of TRPM8 mRNA was confirmed by RT‑PCR in cases of myeloma. The present study is, to the best of our knowledge, the first to demonstrate the expression of TRPM8 in reactive lymphoid tissues and mature B‑cell neoplasms, revealing that TRPM8 is frequently expressed in pre‑plasmablasts, plasmablasts, plasma cells and mature B‑cell lymphomas that are likely to differentiate into plasma cells.

Introduction

When naive B cells are activated by antigens, they differentiate into activated B cells (CD20+CD38±CD138−), pre-plasmablasts (CD20±CD38+CD138−), and plasmablasts (CD20−CD38+++CD138−) in lymphoid follicles, followed by early plasma cells (PCs; CD20−CD38+++CD138++) and then late PCs (CD19+CD20−CD38+++CD138+++) in extrafollicular areas, including bone marrow (1–3). PCs are mainly distributed in the lymphoepithelial symbiosis (SYM) /marginal zone (MZ) of the tonsils, the MZ and medullary cord of the lymph nodes (LN), and the dome of Peyer's patches.

Mature B-cell neoplasms correspond to the clonal proliferation of mature B cells derived from naive B cells to PCs in the normal B-cell differentiation pathway. Since the nature of neoplastic B cells may mimic that of normal B cells at each differentiation stage, the nomenclature and classification of these neoplasms are based on their differentiation stages (4). The clonal expansion of terminally differentiated B cells is generally called plasma cell neoplasm (PCN) (5). Although a number of antibodies that recognize PCN cells have been reported in the literature, only a few antibodies, including CD38, CD56, CD79a, CD117, CD138, and interferon-regulating factor 4/multiple myeloma oncogene 1 (IRF4/MUM-1), are valuable for and applicable to formalin-fixed and paraffin-embedded tissue sections (3,6–8).

Transient receptor potential melastatin 8 (TRPM8) is a member of the transient receptor potential (TRP) superfamily of Ca2+-permeable non-selective cation channels (9–11). This channel was identified by Tsavaler et al (12) as a novel prostate-specific protein that is up-regulated in prostate cancer (13,14). This protein was also identified in the sensory nerves of spinal dorsal root ganglia, and because it activates the cellular influx of Ca2+ across the plasma membrane with cold stimuli (8–28°C), including cooling agents such as menthol, this channel protein is regarded as a cold thermoreceptor (15–20).

TRPM8 has been found in approximately 10 types of malignant tumors including carcinomas derived from the prostate gland, mammary gland, oral cavity, colon, lung, skin, pancreas, and urinary bladder (12–14,21–26). Furthermore, murine lymphocytes express several subtypes of the TRP superfamily (27–29); however, it currently remains unclear whether TRPM8 localizes in human reactive lymphoid tissues and malignant lymphomas.

The aim of the present study was to clarify the expression of TRPM8 in reactive lymphoid tissues and mature B-cell neoplasms. We herein demonstrated for the first time that pre-plasmablasts and plasmablasts in germinal centers (GC), and PCs in the extrafollicular areas of reactive lymphoid tissues as well as some mature B-cell neoplasms express TRPM8.

Patients and methods

Patients and specimens

Tissue specimens resected from patients with chronic tonsillitis (n=5), reactive lymphadenitis (n=5), and acute appendicitis (n=5) were used as reactive lymphoid tissues. Tissue specimens were collected from LNs, bone marrow, gastrointestinal tract and kidney which were pathologically diagnosed as malignant B-cell neoplasms. Mature B-cell neoplasms included 3 cases of small lymphocytic lymphoma (SLL) [2 males, 1 female; median age, 46.7 years (range, 31–68)], 4 cases of lymphoplasmacytic lymphoma (LPL) [3 males, 1 female; median age, 65.0 years (range, 47–80)], 16 cases of PCN including 3 cases of monoclonal gammopathy of undetermined significance (MGUS) [3 females; median age, 62.0 years (range, 60–75)], 12 cases of plasma cell myeloma (PCM) including 6 cases of IgG type [3 males, 3 females; median age, 63.5 years (range, 40–83)], 6 cases of IgA type [4 males, 2 females; median age, 65.2 years (range, 19–81)], 1 case of extraosseous plasmacytoma [1 male; age, 73 years], 5 cases of extranodal MZ lymphoma of mucosa-associated lymphoid tissue (MALT lymphoma) [2 males, 3 females; median age, 70.0 (range, 53–80)], 5 cases of follicular lymphoma (FL) [only cases of a follicular pattern of >75% were selected, 1 male, 4 females; median age, 63.5 (range, 59–58)], 3 cases of mantle cell lymphoma (MCL) [except variants, 2 males, 1 female; median age, 69.0 (range, 62–73)], and 18 cases of the centroblastic and immunoblastic subtypes of common morphological variants of diffuse large B-cell lymphoma (DLBCL) including 7 cases of GC B-cell like (GCB) [3 males, 4 females; median age, 55.43 years (range, 8–81)] and 11 cases of non-GCB [5 males, 6 females; median age, 70.64 (range, 53–78)] as immunohistochemical subgroups (30). These tissue specimens were fixed in buffered 10% formalin at room temperature for 6–12 h, and then embedded in paraffin and used for immunohistochemistry. Formalin-fixed and paraffin-embedded tissue specimens resected from 4 patients with well-differentiated prostatic carcinoma were used as controls for immunohistochemistry and from one patient for the reverse transcription polymerase chain reaction (RT-PCR). Fresh-frozen tissue specimens obtained from patients with PCM (n=2) were used for RT-PCR.

Written informed consent was obtained from each patient. The use of tissues and clinical information study was approved by the Ethics Committee of Yamagata University School of Medicine (no. 23).

Immunohistochemistry

Immunohistochemistry was performed using a rabbit polyclonal anti-human TRPM8 antibody [Alomone, Jerusalem, Israel; diluted titer of 1/200; recognizes the peptide SDVD GTTYDFAHC corresponding to amino acid residues 917–929 in the 3rd extracellular loop of human TRPM8 (Accession Q7Z2W7)] (31) as a primary antibody. Regarding the specificity of TRPM8 immunostaining, the antibody was pre-incubated for 2 h with decreasing concentrations of the peptide to TRPM8 before incubating with the tissue section (antigen-preabsorption). In detail about antigen-preabsorption, the provided antigen of TRPM8 reacted with the antibodies in the used primary antibody. And then, the slides were incubated with this mixture and performed the continued steps of IHC. No positive reaction was confirmed in this IHC with antigen-preabsorption (data not shown). After that, other slides from same specimen had been performed by same immunohistochemistry (TRPM8) without antigen-preabsorption. The IHC of tissue sections without antigen-preabsorption showed positive reaction. It could be suggested that anti-TRPM-8 rabbit polyclonal antibody, used in this study, had high specificity on its own antigen (TRPM8). However, western blot by using cells lines or other specimens should be performed to verify the specificity of TRPM8. In this study, we could not perform western blot analysis to rule out non-specific staining. Furthermore, non-immune rabbit serum (Dako, Glostrup, Denmark) was used as a negative control.

Briefly, after the blocking of endogenous peroxidase activity, antigen retrieval was conducted in 0.01 M citrate buffer, pH 6.0 at 120°C for 20 min in an autoclave. After rinsing in 0.01 M phosphate-buffered saline (PBS), slides were incubated at 4°C for 6–8 h with the primary antibody. The streptavidin-biotin-peroxidase method was performed using an EnVision™/horseradish peroxidase-labeled anti-rabbit immunoglobulin antibody (Dako), and slides were incubated at room temperature for 1 h. A positive reaction was detected as brown coloration with 3,3′-diaminobenzidine (DAB; Dojin Chemicals, Kumamoto, Japan). Sections were counterstained with hematoxylin.

TRPM8+ cells in reactive lymphoid tissues were estimated in different areas, such as the SYM/MZ, mantle zone, outer zone, light zone, dark zone, and interfollicular area (T-cell zone) in the tonsils; the MZ, mantle zone, light zone, dark zone, paracortical/interfollicular area, and medullary cords in the LN; and the dome, mantle zone, light zone, dark zone, and interfollicular area in the appendix. The identification of each zone in secondary lymphoid follicles was performed on serial sections for immunostaining using anti-TRPM8 and CD23 (1B12; mouse IgG1κ, Novocastra, Newcastle upon Tyne, UK) antibodies as described previously (Fig. 1A) (32).

Figure 1.

Immunohistochemistry of TRPM8 and lymphocyte markers in tonsils and mature B-cell neoplasms. (A) The CD23 immunostain recognizes four different zones of a tonsillar lymphoid follicle, namely, the MaZ, outer zone (*), LZ, and DZ. MZ: SYM/MZ; IF: Interfollicular area (×40). (B) The TRPM8 immunostain in the same lymphoid follicle as (A). There are many TRPM8+ cells in the light zone and SYM/MZ (×40). (C) TRPM8+ cells in the light zone of a tonsillar lymphoid follicle (×200). (D) TRPM8+ cells in SYM/MZ (×400). (E) Double immunostain of IRF4/MUM-1 and TRPM8 in the tonsillar germinal center using digital photomicrographs. The nuclei of IRF4/MUM-1+ cells are shown as blue in a digital photo. The same tissue section was immunostained with TRPM8 and IRF4/MUM-1+ TRPM8+ cells, shown as red in the photo. The first photo was overlaid with the second photo. IRF4/MUM-1+ TRPM8+ cells are recognized as cells having a black-colored nucleus and red-colored cytoplasm (×200). (F) TRPM8+ neoplastic cells in plasma cell myeloma; immunostaining score=4 (×200). (G) TRPM8+ cells in lymphoplasmacytic lymphoma; immunostaining score=2 (×200). (H) TRPM8+ cells in mantle cell lymphoma; immunostaining score=0 (×200). All sections were counterstained with hematoxylin. SYM, lymphoepithelial symbiosis; MZ, marginal zone; TRPM8, transient receptor potential melastatin 8; DZ, dark zonel LZ, light zone; MaZ, mantle zone; IF: Interfollicular area.

In the estimation of the immunoreaction of TRPM8 in reactive lymphoid tissues, cells showing cell membrane and cytoplasmic staining equal to or greater than those of well-differentiated prostatic carcinoma cells and/or GC plasmablast-like cells in terms of intensity were judged as positive. At least 500 cells in each area of reactive lymphoid tissues were observed in 1–3 high-power-view fields (×400) and the percentage of TRPM8+ cells among all cells in each area was calculated. Similarly, 500–1,000 neoplastic cells in mature B-cell neoplasms were observed in 1–3 high-power-view fields, and the frequency of TRPM8+ cells was estimated as score 0, <1% of positive cells; score 1, 1–25%; score 2, 26–50%; score 3, 51–75%; and score 4, 76–100%. The frequencies of positive cells in reactive lymphoid tissues and B-cell neoplasms were evaluated by two independent observers (M.Y. and A.H.), and the mean values of their measurements were regarded as the results.

Double immunostaining in the tonsils

In the first step, tonsillar tissue sections were immunostained with 15 different types of lymphocyte markers to recognize B cells, T cells, natural killer cells, and plasma cells, such as antibodies against CD3 (PS1; mouse IgG2a), CD10 (56C6; mouse IgG1; both Nichirei, Tokyo, Japan), CD20 (L26; mouse IgG2κ; Dako), CD23 (1B12; mouse IgG1κ), CD38 (SPC32; mouse IgG1; both Novocastra), CD56 (1B6; mouse IgG1), CD79a (JCB117; mouse IgG1κ), CD117 (Rabbit polyclonal; all Nichirei) CD138 (MI15; mouse IgG1κ), IRF4/MUM-1 (MUM-1p; mouse IgG1κ; both Dako), BCL6 (rabbit polyclonal; Santa Cruz Biotechnology, Inc., Dallas, TX, USA), paired box protein 5 (PAX5; 8F9; mouse IgG1κ, Abgent, San Diego, CA, USA), programmed cell death 1 (PD1)/CD279 (NAT; mouse IgG1; Abcam, Cambridge, UK), BLIMP1 (3H2-E8; mouse IgG1; Thermo, Rockford, IL, USA), and transmembrane activator and calcium-signal modulating cyclophilin ligand interactor (TACI; 4976; mouse IgG, Santa Cruz Biotechnology, Inc.). A positive reaction was detected with the UltraTech HRP Streptavidin-Biotin Detection System (Beckman Coulter, Marseille, France) and DAB as a brown color. Digital photomicrographs were taken of high-power-view fields in the SYM/MZ and light zone, which contained a large number of TRPM8+ cells. In the second step, TRPM8 immunostaining was performed on the same tissue sections using the same method, and digital photomicrographs of the same fields as those in the first step were taken. Photos, bilayered by TRPM8 single immunostaining and TRPM8-lymphocyte marker double immunostaining, were created using image processing software (Adobe Photoshop Elements® 7.0, Adobe Systems, San Jose, CA, USA) (33). TRPM8 single-positive cells and double-positive cells in each of the 5 imaging photos of the SYM/MZ and light zone were counted and the ratio of double-positive cells to TRPM8+ cells was calculated.

RT-PCR

Frozen tissue specimens were obtained from 2 patients with PCM, stored at −80°C in a deep freezer, and a formalin-fixed paraffin-embedded tissue specimen with well-differentiated prostatic carcinoma was used as a positive control. In addition, formalin-fixed paraffin-embedded tissue specimens from PCM (n=5), FL (n=3) and MCL (n=2) were used. Undamaged mRNA was extracted from defrosted frozen cells by TRIzol® Reagent (Invitrogen; Thermo Fisher Scientific, Inc., Waltham, MA, USA). We used WaxFreeTM RNA (TrimGen, Sparks Glencoe, MD, USA) by which a sufficient volume of undamaged mRNA was successfully extracted from formalin-fixed paraffin-embedded prostatic carcinoma tissue specimens (34).

Extracted mRNA refined with water saturation phenol/chloroform was used for RT-PCR with the PrimeScript II 1st strand cDNA Synthesis kit (Takara Bio, Otsu, Japan). We used primer pairs designed by OriGene Technologies (Rockville, MD, USA) and produced by Fasmac (Atsugi, Japan); primer sequences were as follows: Sense, 5′-CTGGTTGCGAACTTCCGAAGAG-3′ and antisense, 5′-GGTGCCGAGTAATAGGAGACAC-3′. The primary sequences for β-actin were: Sense, 5′-CAGAGCAAGAGAGGCATCCT-3′ and antisense, 5′-ACGTACATGGCTGGGGTG-3′, and the primary sequences for GAPDH were sense, 5′-GCACCGTCAAGGCTGAGAAC-3′ and antisense, 5′-TGGTGAAGACGCCAGTGGA-3′. A mixture of 2 µl of primer pairs, 20 µl of dH2O, 3 µl of synthesized cDNA, and 25 µl of the EmeraldAmp™ PCR Master Mix (Takara Bio) was added to a 0.2-ml microtube. The mixture was heat-denatured at 94°C for 4 min on a thermal cycler (Veriti™; Applied Biosystems; Thermo Fisher Scientific, Inc.), at 94°C for 2 min (50 cycles), at 57°C for 2 min, at 72°C for 2 min, and finally at 72°C for 6 min. PCR products were stored at 4°C until electrophoresis. We used a 4.0% agarose gel (NuSieve® 3-1 Agarose, Lonza, Rockland, ME, USA), 1×TAE buffer, and ethidium bromide for electrophoresis. β-actin (227 bp) and GAPDH (138 bp) primers were used as housekeeping mRNA for internal control (normalization of RT-PCR) and distilled water was used as a negative control instead of reverse transcriptase.

Statistical analysis

Dr. SPSS II software for Windows was used in statistical analyses. Spearman's correlation coefficient was used to test the interobserver correlation of the first and second observers. We performed the Kruskal-Wallis test to analyze the TRPM8-positive ratio in reactive lymphoid tissues and the scores of the TRPM8-positive ratio of mature B-cell neoplasms, and when cases were considered to be significant, we performed Scheffé's multiple comparison tests. Differences with P<0.05 were considered to be significant in each case.

Results

Localization of TRPM8+ cells in reactive lymphoid tissues

There were significantly more TRPM8+ cells in the SYM/MZ and light zone (Fig. 1B-D) than in the mantle zone and interfollicular area of the tonsils (Table I). In the LN, more TRPM8+ cells were observed in the light zone and medullary cord in contrast to the mantle zone. Similarly, more TRPM8+ cells were found in the light zone and dome in contrast to the mantle zone in the appendix. Positive cells in the GC had morphological features similar to those of plasmablasts, while those in the SYM/MZ, medullary cord, and dome were morphologically similar to plasma cells.

Table I.

Expression of transient receptor potential melastatin 8 in reactive lymphoid tissues.

Table I.

Expression of transient receptor potential melastatin 8 in reactive lymphoid tissues.

Tissues/areasPositive cells/total cells in each area (%) (mean ± standard deviation)a
Tonsil
  SYM/marginal zone 8.73±2.05e
  Mantle zone 0.20±0.13b,e
  Outer zone2.82±0.90
  Light zone17.49±3.23
  Dark zone1.05±0.50
  Interfollicular area 0.76±0.27f
Lymph node
  Marginal zone2.70±0.83
  Mantle zone 0.46±0.19c,g
  Light zone 12.92±1.71g
  Dark zone1.08±0.48
  Paracortex/interfollicular area1.00±0.50
  Medullary cord 37.93±11.23c
Appendix
  Dome 5.75±2.15h
  Mantle zone 0.37±0.19d,h
  Light zone 9.34±2.18d
  Dark zone0.99±0.23
  Interfollicular area0.99±0.41

{ label (or @symbol) needed for fn[@id='tfn1-ol-0-0-9386'] } SYM, lymphoepithelial symbiosis.

a P<0.01 by Kruskal-Wallis test

b P<0.01 mantle zone vs. light zone in tonsil

c P<0.01 medullary cord vs. mantle zone in lymph node

d P<0.01 mantle zone vs. light zone in appendix

e P<0.05 SYM/marginal zone vs. mantle zone in tonsil

f P<0.05 light zone vs. interfollicular area in tonsil

g P<0.05 mantle zone vs. light zone in lymph node

h P<0.05 dome vs. mantle zone in appendix, respectively by Scheffé's multiple comparison test.

In addition, we confirmed TRPM8+ cancer cells in prostatic carcinoma tissues as positive controls and no positive cells in negative controls using non-immune rabbit serum instead of the primary antibody.

Double immunohistochemistry of the tonsils

TRPM8+ cells frequently co-expressed CD38, CD79a, IRF4/MUM-1, BCL6 (Fig. 1E), and TACI in the GC, and CD38, CD79a, CD138, IRF4/MUM-1, BCL6, and TACI in the SYM/MZ (Table II). On the other hand, TRPM8+ cells less frequently expressed CD10, CD20, and PAX5, and did not express CD3, CD23, CD56, CD117, PD1, or BLIMP1.

Table II.

Frequency of the co-expression of lymphocyte markers on TRPM8-positive cells in the reactive tonsillar germinal center and SYM/marginal zone by double immunostaining.

Table II.

Frequency of the co-expression of lymphocyte markers on TRPM8-positive cells in the reactive tonsillar germinal center and SYM/marginal zone by double immunostaining.

Frequency of co-expression of lymphocyte markers on TRPM8+ cells (%) (mean ± standard deviation)

AntibodiesGerminal centerSYM/marginal zone
CD3   0.00±0.00   0.00±0.00
CD1011.14±0.05   5.87±0.12
CD2017.82±3.70   8.52±4.95
CD23   0.00±0.00   0.00±0.00
CD3872.60±15.4674.87±10.71
CD56   0.00±0.00   0.00±0.00
CD79a59.57±2.7660.41±20.15
CD117   0.00±0.00   0.00±0.00
CD13832.29±5.6152.28±18.51
IRF4/MUM-169.12±23.4258.77±12.95
BCL669.75±18.3547.73±10.45
PAX5   0.74±0.65   4.09±3.55
PD1   0.00±0.00   0.00±0.00
BLIMP1   0.00±0.00   0.00±0.00
TACI62.54±1.4471.21±25.85

[i] IRF4/MUM-1, interferon-regulating factor 4/multiple myeloma oncogene 1; BCL6, B-cell CLL/lymphoma 6; PAX5, paired box protein 5; PD1, programmed cell death 1; BLIMP1, B lymphocyte maturation protein-1; TACI, transmembrane activator and calcium-signal modulating cyclophilin ligand interactor; TRPM8, transient receptor potential melastatin 8; SYM, lymphoepithelial symbiosis; CD, cluster of differentiation.

Expression of TRPM8 in mature B-cell neoplasms

In all types of PCN, such as MGUS, PCM, and extraosseous plasmacytoma, the immunostaining score was 4 (4.0±0.00), revealing that most neoplastic cells were TRPM8+ (Fig. 1F; Table III). No significant differences were observed in immunostaining scores between the IgG and IgA types of the PCM. The proportion of TRPM8+ cells/neoplastic cells of LPL (Fig. 1G) and MALT lymphoma was approximately 26–50%. The immunostaining score of DLBCL was low (<25%). Furthermore, no significant difference was observed in immunostaining scores between the GCB subtype and non-GCB subtype of DLBCL. Neither SLL, FL, nor MCL contained TRPM8+ neoplastic cells (Fig. 1H). In all lymphomas, TRPM8+ cells had an abundant cytoplasm and eccentric nucleus, resembling plasmablasts and PCs.

Table III.

Expression of TRPM8 in mature B-cell neoplasms.

Table III.

Expression of TRPM8 in mature B-cell neoplasms.

Types of lymphomas (number of cases)TRPM8 scores (mean ± standard deviation)a
Small lymphocytic lymphoma (n=3) 0.00±0.00c
Lymphoplasmacytic lymphoma (n=4)2.25±0.50
Plasma cell neoplasm (n=16) 4.00±0.00b,d,e
Extranodal marginal zone lymphoma (n=5)2.20±0.45
Follicular lymphoma (n=5) 0.00±0.00b
Mantle cell lymphoma (n=3) 0.00±0.00d
Diffuse large B-cell lymphoma (n=18) 0.72±0.83e
Germinal center B-cell-like (n=7)0.71±0.95
Non-germinal center B-cell-like (n=11)0.73±0.79

a Scores 0, 1, 2, 3 and 4 are 0%, 1–25%, 26–50%, 51–75% and 76–100% of all lymphoma cells, respectively. P<0.01 by the Kruskal-Wallis test

b P<0.01 plasma cell neoplasm vs. follicular lymphoma

c P<0.05 plasma cell neoplasm vs. small lymphocytic lymphoma

d P<0.05 plasma cell neoplasm vs. mantle cell lymphoma

e P<0.01 plasma cell neoplasm vs. diffuse large B-cell lymphoma, by Scheffé's multiple comparison test. TRPM8, transient receptor potential melastatin 8.

In the judgment of TRPM8+ cells in reactive lymphoid tissues and mature B-cell neoplasms, a good correlation was found between two observers; the interobserver correlations of the first and second observers were r=0.952 (P<0.001) in the tonsils (n=35), r=0.989 (P<0.001) in the LN (n=35), r=0.938 (P<0.001) in the appendix (n=36), and r=0.974 (P<0.001) in mature B-cell neoplasms (n=54).

Spearman's rank correlation coefficient in our DLBCL patients revealed a close relationship between TRPM8 and international prognostic index (IPI) scores (P=0.0135, r=−0.599), revealing that DLBCL patients with lower TRPM8 scores have higher IPI scores; however, the number of cases was small (Fig. 2).

Figure 2.

Relationship between IPI and TRPM8 scores. A close relationship was found between both scores (r=−0.598855, P=0.0135). TRPM8, transient receptor potential melastatin 8; IPI, international prognostic index.

RT-PCR

We recognized a positive band identical to TRPM8 mRNA at a length of 100 bp in a case of well-differentiated prostatic carcinoma (positive control), as well as in cases of PCM, but not in the negative control (Fig. 3A). In addition, positive band of TRPM8 was recognized in a case of PCM (1 out of 5 cases), but not in FL (n=3) and MCL (n=2) using FFPE specimens (Fig. 3B).

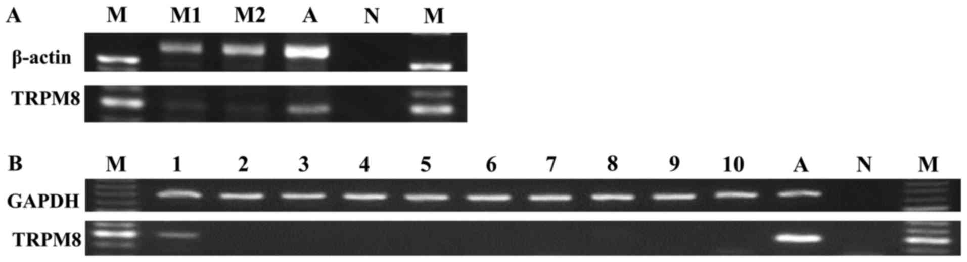
Figure 3.

RT-PCR of TRPM8 mRNA in plasma cell myeloma, follicular lymphoma and mantle cell lymphoma. (A) A positive band of 100 bp in length for TRPM8 mRNA was found in two cases of plasma cell myeloma (M1 & M2) using frozen tissue specimens. (B) A positive band of 100 bp in length for TRPM8 mRNA was found in one case of plasma cell myeloma (1–5; n=5), but not in follicular lymphoma (6,7 and 8; n=3) and mantle cell lymphoma (9,10; n=2) using FFPE tissue specimens. (M) Molecular markers, (N) negative control, (A) well-differentiated prostatic carcinoma as a positive control. TRPM8, transient receptor potential melastatin 8; RT-PCR, reverse transcription polymerase chain reaction.

Discussion

TRPM8 is a thermoreceptor that is sensitive to cold stimuli below 28°C and chemicals, such as menthol and icilin, that induce the sensation of cold (35,36). It localizes on the cell surface membrane and endoplasmic reticulum (ER). It is expressed in the male urogenital apparatus, such as the prostate gland, testis, and urinary bladder, as well as the liver and nervous system among normal organs, and is found in some malignant tumors, including androgen-dependent prostate cancer, pancreatic cancer, breast cancer, and melanoma (13,14,21–26). TRPM8 regulates the proliferation and apoptosis of prostatic epithelial cells, and cell death is induced by an inflow of Ca2+ into cells via TRPM8 (13,14). A previous study reported that murine B cells express TRPC1, C2, C6, V2, V4, M2, M4, M5, and M7 among the TRP superfamily (27).

To the best of our knowledge, this is the first study to demonstrate the expression of TRPM8 in reactive lymphoid tissues and mature B-cell neoplasms. In contrast to the mantle zone, the light zone had many TRPM8+ cells in all reactive lymphoid tissues (the tonsils, LN, and appendix). In addition, there were many TRPM8+ cells in the tonsillar SYM/MZ, LN medullary cord, and appendiceal dome. The morphology of positive cells in the light zone was similar to that of plasmablasts, and those in the SYM/MZ, medullary cord, and dome were carried out with PCs. In order to confirm these results, we performed double immunostaining and revealed that TRPM8+ cells in the follicular light zone and SYM/MZ often co-express CD38 (72 and 74%), CD79a (59 and 60%), IRF4/MUM-1 (69 and 58%), BCL6 (69 and 47%), TACI (62 and 71%), and sometimes CD138 (32 and 52%).

Jego et al (1) reported that the immunophenotypes of activated B cells, pre-plasmablasts, plasmablasts, and early PCs are CD20+CD38±CD138−, CD20±CD38+CD138−, CD20−CD38+++CD138−, and CD20−CD38+++CD138++, respectively. Harada et al (2) demonstrated that normal PCs are CD38++CD56−CD19+ by two-color flow cytometry. Thus, late PCs may be CD19+CD20−CD38+++CD138+++. CD79a is widely expressed from GC-B cells to PCs (4), IRF4/MUM-1 is found on CD20+CD38+ B cells (the intermediate of B-cell lymphoma 6 protein (BCL6)+ B cells and CD138+ B cells) in the follicular light zone (37), TACI is more likely to be expressed on late-stage B cells, such as plasmablasts and PCs (34,38), and PAX5 is a transcription factor indispensable for B-cell differentiation, but disappears from PCs (4). In the present study, TRPM8+ cells were negative for CD56 and CD117 appearing on PCN (32), and for PD1 appearing on follicular helper T-cells (39). Taken together, the vast majority of TRPM8+ cells in the follicular light zone may be compatible with pre-plasmablasts and/or plasmablasts and in the SYM/MZ with early and/or late PCs, indicating that TRPM8 may be expressed from pre-plasmablasts to late PCs Fig. 4), available as a potential supplementary plasma cell marker. CD38 expression levels significantly decrease in 80% of all myeloma cases, plasma cells expressing low levels of CD138 have frequently been reported, and CD138− plasma cells are present in the peripheral blood (3). As shown in Fig. 4, TRPM8 detected CD138− plasmablasts and CD38− or CD138− pre-plasmablasts.

Figure 4.

Scheme showing the relationship between normal B-cell differentiation (left) and markers including TRPM8 (right). Activated B cells, pre-plasmablasts, and plasmablasts in the germinal center are CD20+CD38±CD79a+, CD20±CD38±CD79a+IRF4/MUM-1+, and CD38+CD79a+TACI+IRF4/MUM-1+, respectively. Further differentiated early and late plasma cells in the extrafollicular area are CD38+CD79a+CD138+TACI+IRF4/MUM-1+ and CD38+CD79a+CD138+TACI+, respectively. The present study demonstrated that TRPM8 is expressed on cells differentiating from pre-plasmablasts to late plasma cells. TACI (+): 10–30%, (++); 30–50%, (+++); >50% of the co-expression ratio of lymphocyte markers on TRPM8+ cells. Dotted arrows: Often positive. TRPM8, transient receptor potential melastatin 8; CD, cluster of differentiation; MUM, multiple myeloma oncogene; TACI, transmembrane activator and calcium-signal modulating cyclophilin ligand interactor.

Based on the WHO classification, B-cell neoplasms have been further classified into precursor B-cell neoplasms, pre-GC neoplasms, GC neoplasms, and post-GC neoplasms (4). We examined TRPM8 immunostaining in MCL as pre-GC neoplasms, FL and DLBCL as GC neoplasms, and SLL, MALT lymphoma, LPL, DLBCL, and PCN as post-GC neoplasms. As a result, all PCN (n=16) were score 4 (76%), most LPL and MALT lymphomas score 2, and DLBCL score 0–1. The RT-PCR analysis conducted in the present study also confirmed TRPM8 mRNA expression in PCM tissues, not in FL and MCL. RT-PCR analysis on FFPE specimens of PCN (bone marrow aspirate) showed positive reaction in only one case. It may be because mass number of red blood cells in bone marrow may inhibit the RT-PCR analysis (40,41). Siebolts et al examined microRNAs on various tissue by quantitative PCR and showed little microRNA in bone marrow comparing with other tissues (42).

On the other hand, there were no TRPM8+ neoplastic cells in SLL, FL, or MCL. Therefore, TRPM8+ cells appear to localize in some GC neoplasms and most post-GC neoplasms, but not in pre-GC neoplasms and most GC neoplasms, further indicating that TRPM8 has potential as a marker to identify reactive plasmablasts/PCs and mature B-cell neoplasms that are likely to differentiate into PCs in a practical differential diagnosis using formalin-fixed and paraffin-embedded tissue sections.

TRPM8 is up-regulated in androgen-dependent prostate cancer, and affects the growth inhibition and dedifferentiation of neoplastic cells (13,14,21–26). TRPM8 was defined as an effective diagnostic and prognostic marker in prostate cancer (13,14,21). The present study also revealed a close relationship between TRPM8 and the IPI scores of DLBCL (P=0.0135, r=−0.599), demonstrating that DLBCL patients with lower TRPM8 scores have a worse prognosis; however, the number of cases tested was small.

Previous studies reported that TRPM8 facilitates the inflow of Ca2+ and Na+ across the plasma membrane and may mediate the release of Ca2+ from the ER because some TRPM8 is expressed in the ER as well as the plasma membrane (43,44). Tartakoff and Vassalli (45) showed that Na+ and Ca2+ homeostasis influences immunoglobulin secretion in plasma cells. Thus, TRPM8 may have a link with immunoglobulin secretion in plasma cells. Furthermore, the extracellular domain GLMKYIGEV region of TRPM8 may activate cytotoxic T-lymphocytes, which play a role in cell destruction, suggesting that TRPM8 has potential as an immunotherapeutic target (46). However, the precise function of TRPM8 expressed on pre-plasmablasts, plasmablasts, PCs, and neoplastic cells, such as PCN, currently remains unclear and, thus, future studies including cell culture and/or mouse study to detect the influencing effect of TRPM8 on plasma cell to produce antibodies in inflammation and in cancer surrounding environment, and influencing factors of TRPM8 on worst prognosis of malignancy, are needed.

The present study is the first to demonstrate the expression of TRPM8 in reactive lymphoid tissues and mature B-cell neoplasms, revealing that TRPM8 is frequently expressed on pre-plasmablasts, plasmablasts, PCs, and mature B-cell lymphomas that are likely to differentiate into PCs. TRPM8, as one of the plasmacytic differentiation markers, may serve as a useful supplementary tool in the differential diagnosis of mature B-cell neoplasms.

Acknowledgements

The authors would like to thank Mr. Hitoshi Suzuki, Ms. Kumiko Abe and Ms. Hiromi Murata of the Department of Diagnostic Pathology, Yamagata University Faculty of Medicine, for their technical support.

Funding

The present study was supported by Grants-in-Aid for Scientific Research (grant no. 17K08736) by the Ministry of Education, Culture, Sports, Science and Technology in Japan (https://www.jsps.go.jp/english/e-grants) and the Yamagata University Faculty of Medicine.

Availability of data and materials

The datasets used and/or analyzed during the current study are available from the corresponding author on reasonable request.

Authors' contributions

AH was involved in study conception, study design, experimentation, data analysis and manuscript writing. NYA was involved in study conception, study design, experimentation, data analysis and manuscript revision. RO and HM were involved in experimentation and data analysis. AN and TK were involved in study conception and experimentation. KI and JF were involved in study conception and reviewed the manuscript. MY was involved in study conception, study design, data analysis, manuscript writing and manuscript revision. All authors read and approved the manuscript.

Ethics approval and consent to participate

Written informed consent was obtained from each patient. The use of tissues and clinical information study was approved by the Ethics Committee of Yamagata University School of Medicine.

Patient consent for publication

Written informed consent was obtained from each patient.

Competing interests

The authors declare that they have no competing interests.

References

1 

Jego G, Bataille R and Pellat-Deceunynck C: Interleukin-6 is a growth factor for nonmalignant human plasmablasts. Blood. 97:1817–1822. 2001. View Article : Google Scholar : PubMed/NCBI

2 

Harada H, Kawano MM, Huang N, Harada Y, Iwato K, Tanabe O, Tanaka H, Sakai A, Asaoku H and Kuramoto A: Phenotypic difference of normal plasma cells from mature myeloma cells. Blood. 81:2658–2663. 1993.PubMed/NCBI

3 

Paiva B, Almeida J, Pérez-Andrés M, Mateo G, López A, Rasillo A, Vídriales MB, López-Berges MC, Miguel JF and Orfao A: Utility of flow cytometry immunophenotyping in multiple myeloma and other clonal plasma cell-related disorders. Cytometry B Clin Cytom. 78:239–252. 2010.PubMed/NCBI

4 

Jaffe ES, Campo E, Harris NL, Pileri SA, Stein H and Swerdlow SH: Introduction and overview of the classification of lymphoid neoplasmsWHO Classification of Tumours of Haematopoietic and Lymphoid Tissues. Revised 4th edition. Swerdlow SH, Campo E, Harris NL, Jaffe ES, Pileri SA, Stein H, Thiele J, Arber DA, Hasserjian RP, Le Beau MM, Orazi A, Siebert R. International Agency for Research on Cancer (IARC); Lyon: pp. 190–198. 2017

5 

McKenna RW, Kyle RA, Kuehl WM, Harris NL, Coupland RW and Fend F: Plasma cell neoplasmsWHO Classification of Tumours of Haematopoietic and Lymphoid Tissues. Revised 4th edition. Swerdlow SH, Campo E, Harris NL, Jaffe ES, Pileri SA, Stein H, Thiele J, Arber DA, Hasserjian RP, Le Beau MM, Orazi A, Siebert R. International Agency for Research on Cancer (IARC); Lyon: pp. 241–258. 2017

6 

Raja KR, Kovarova L and Hajek R: Review of phenotypic markers used in flow cytometric analysis of MGUS and MM, and applicability of flow cytometry in other plasma cell disorders. Br J Haematol. 149:334–351. 2010. View Article : Google Scholar : PubMed/NCBI

7 

Rawstron AC, Orfao A, Beksac M, Bezdickova L, Brooimans RA, Bumbea H, Dalva K, Fuhler G, Gratama J, Hose D, et al: Report of the European Myeloma Network on multiparametric flow cytometry in multiple myeloma and related disorders. Haematologica. 93:431–438. 2008. View Article : Google Scholar : PubMed/NCBI

8 

Bataille R, Jégo G, Robillard N, Barillé-Nion S, Harousseau JL, Moreau P, Amiot M and Pellat-Deceunynck C: The phenotype of normal, reactive and malignant plasma cells. Identification of ‘many and multiple myelomas’ and of new targets for myeloma therapy. Haematologica. 91:1234–1240. 2006.PubMed/NCBI

9 

Li H: TRP channel classification. Adv Exp Med Biol. 976:1–8. 2017. View Article : Google Scholar : PubMed/NCBI

10 

Yin Y, Wu M, Zubcevic L, Borschel WF, Lander GC and Lee SY: Structure of the cold- and menthol-sensing ion channel TRPM8. Science. 359:237–241. 2018. View Article : Google Scholar : PubMed/NCBI

11 

Seebacher F and Little AG: Plasticity of performance curves can buffer reaction rates from body temperature variation in active endotherms. Front Physiol. 8:5752017. View Article : Google Scholar : PubMed/NCBI

12 

Tsavaler L, Shapero MH, Morkowski S and Laus R: Trp-p8, a novel prostate-specific gene, is up-regulated in prostate cancer and other malignancies and shares high homology with transient receptor potential calcium channel proteins. Cancer Res. 61:3760–3769. 2001.PubMed/NCBI

13 

Grolez GP and Gkika D: TRPM8 puts the chill on prostate cancer. Pharmaceuticals (Basel). 9:pii: E44. 2016. View Article : Google Scholar : PubMed/NCBI

14 

Asuthkar S, Demirkhanyan L, Mueting SR, Cohen A and Zakharian E: High-throughput proteome analysis reveals targeted TRPM8 degradation in prostate cancer. Oncotarget. 8:12877–12890. 2017. View Article : Google Scholar : PubMed/NCBI

15 

Carrasquel-Ursulaez W, Moldenhauer H, Castillo JP, Latorre R and Alvarez O: Biophysical analysis of thermosensitive TRP channels with a special focus on the cold receptor TRPM8. Temperature (Austin). 2:188–200. 2015. View Article : Google Scholar : PubMed/NCBI

16 

Koh WU, Choi SS, Kim JH, Yoon HJ, Ahn HS, Lee SK, Leem JG, Song JG and Shin JW: The preventive effect of resiniferatoxin on the development of cold hypersensitivity induced by spinal nerve ligation: Involvement of TRPM8. BMC Neurosci. 17:382016. View Article : Google Scholar : PubMed/NCBI

17 

Borowiec AS, Sion B, Chalmel F, Rolland D A, Lemonnier L, De Clerck T, Bokhobza A, Derouiche S, Dewailly E, Slomianny C, et al: Cold/menthol TRPM8 receptors initiate the cold-shock response and protect germ cells from cold-shock-induced oxidation. FASEB J. 30:3155–3170. 2016. View Article : Google Scholar : PubMed/NCBI

18 

de Vega Pérez MJ, Gómez-Monterrey I, Ferrer-Montiel A and González-Muñiz R: Transient receptor potential melastatin 8 channel (TRPM8) modulation: Cool entryway for treating pain and cancer. J Med Chem. 59:10006–10029. 2016. View Article : Google Scholar : PubMed/NCBI

19 

Pan Y, Thapa D, Baldissera L Jr, Argunhan F, Aubdool AA and Brain SD: Relevance of TRPA1 and TRPM8 channels as vascular sensors of cold in the cutaneous microvasculature. Pflugers Arch. 470:779–786. 2018. View Article : Google Scholar : PubMed/NCBI

20 

Fujita T, Liu Y, Higashitsuji H, Itoh K, Shibasaki K, Fujita J and Nishiyama H: Involvement of TRPV3 and TRPM8 ion channel proteins in induction of mammalian cold-inducible proteins. Biochem Biophys Res Commun. 495:935–940. 2018. View Article : Google Scholar : PubMed/NCBI

21 

Yee NS: Roles of TRPM8 ion channels in cancer: Proliferation, survival, and invasion. Cancers (Basel). 7:2134–2146. 2015. View Article : Google Scholar : PubMed/NCBI

22 

Yee NS: TRPM8 ion channels as potential cancer biomarker and target in pancreatic cancer. Adv Protein Chem Struct Biol. 104:127–155. 2016. View Article : Google Scholar : PubMed/NCBI

23 

Liu Z, Wu H, Wei Z, Wang X, Shen P, Wang S, Wang A, Chen W and Lu Y: TRPM8: A potential target for cancer treatment. J Cancer Res Clin Oncol. 142:1871–1881. 2016. View Article : Google Scholar : PubMed/NCBI

24 

Ceylan GG, Önalan EE, Kuloğlu T, Aydoğ G, Keleş İ, Tonyali Ş and Ceylan C: Potential role of melastatin-related transient receptor potential cation channel subfamily M gene expression in the pathogenesis of urinary bladder cancer. Oncol Lett. 12:5235–5239. 2016. View Article : Google Scholar : PubMed/NCBI

25 

Ulăreanu R, Chiriţoiu G, Cojocaru F, Deftu A, Ristoiu V, Stănică L, Mihăilescu DF and Cucu D: N-glycosylation of the transient receptor potential melastatin 8 channel is altered in pancreatic cancer cells. Tumour Biol. 39:10104283177209402017. View Article : Google Scholar : PubMed/NCBI

26 

Burke RC, Bardet SM, Carr L, Romanenko S, Arnaud-Cormos D, Leveque P and O'Connor RP: Nanosecond pulsed electric fields depolarize transmembrane potential via voltage-gated K+, Ca2+ and TRPM8 channels in U87 glioblastoma cells. Biochim Biophys Acta. 1859:2040–2050. 2017. View Article : Google Scholar

27 

Inada H, Iida T and Tominaga M: Different expression patterns of TRP genes in murine B and T lymphocytes. Biochem Biophys Res Commun. 350:762–767. 2006. View Article : Google Scholar : PubMed/NCBI

28 

Schwarz EC, Wolfs MJ, Tonner S, Wenning AS, Quintana A, Griesemer D and Hoth M: TRP channels in lymphocytes. Handb Exp Pharmacol. 179:445–456. 2007. View Article : Google Scholar

29 

Zierler S, Hampe S and Nadolni W: TRPM channels as potential therapeutic targets against pro-inflammatory diseases. Cell Calcium. 67:105–115. 2017. View Article : Google Scholar : PubMed/NCBI

30 

Gascoyne RD, Chan JKC, Campo E, Rosenwald A, Jaffe ES, Stein H, Chan WC and Swerdlow SH: Diffuse large B-cell lymphoma, NOSWHO Classification of Tumours of Haematopoietic and Lymphoid Tissues. Revised 4th edition. Swerdlow SH, Campo E, Harris NL, Jaffe ES, Pileri SA, Stein H, Thiele J, Arber DA, Hasserjian RP, Le Beau MM, Orazi A, Siebert R. International Agency for Research on Cancer (IARC); Lyon: pp. 291–297. 2017

31 

El Karim IA, Linden GJ, Curtis TM, About I, McGahon MK, Irwin CR and Lundy FT: Human odontoblasts express functional thermo-sensitive TRP channels: Implications for dentin sensitivity. Pain. 152:2211–2223. 2011. View Article : Google Scholar : PubMed/NCBI

32 

Meng H, Li H, Ohe R, Naing YA, Yang S, Kabasawa T, Kato T, Osakabe M, Ohtake H, Ishida A, et al: Thymic stromal lymphopoietin in tonsillar follicular dendritic cells correlates with elevated serum immunoglobulin A titer by promoting tonsillar immunoglobulin A class switching in immunoglobulin A nephropathy. Transl Res. 176:1–17. 2016. View Article : Google Scholar : PubMed/NCBI

33 

Masuda A, Nishikawa T, Yamamoto T and Kobayashi M: Simple method for photoshop-aided double immunohistochemistry-usage of ‘image stack’ function. Histopathology. 53:609–610. 2008.PubMed/NCBI

34 

Wada K, Maeda K, Tajima K, Kato T, Kobata T and Yamakawa M: Expression of BAFF-R and TACI in reactive lymphoid tissues and B-cell lymphomas. Histopathology. 54:221–232. 2009. View Article : Google Scholar : PubMed/NCBI

35 

Yamamoto A, Takahashi K, Saito S, Tominaga M and Ohta T: Two different avian cold-sensitive sensory neurons: Transient receptor potential melastatin 8 (TRPM8)-dependent and -independent activation mechanisms. Neuropharmacology. 111:130–141. 2016. View Article : Google Scholar : PubMed/NCBI

36 

Weyer AD and Lehto SG: Development of TRPM8 antagonists to treat chronic pain and migraine. Pharmaceuticals (Basel). 10:pii: E37. 2017. View Article : Google Scholar : PubMed/NCBI

37 

Falini B, Fizzotti M, Pucciarini A, Bigerna B, Marafioti T, Gambacorta M, Pacini R, Alunni C, Natali-Tanci L, Ugolini B, et al: A monoclonal antibody (MUM-1p) detects expression of the MUM-1/IRF4 protein in a subset of germinal center B cells, plasma cells, and activated T cells. Blood. 95:2084–2092. 2000.PubMed/NCBI

38 

Zhang X, Park CS, Yoon SO, Li L, Hsu YM, Ambrose C and Choi YS: BAFF supports human B cell differentiation in the lymphoid follicles through distinct receptors. Int Immunol. 17:779–788. 2005. View Article : Google Scholar : PubMed/NCBI

39 

Simon S and Labarriere N: PD-1 expression on tumor-specific T cells: Friend or foe for immunotherapy? Oncoimmunology. 14:e13648282017.

40 

Kang JE, Hwang SH, Lee JH, Park DY and Kim HH: Effects of RBC removal and TRIzol of peripheral blood samples on RNA stability. Clin Chim Acta. 412:1883–1885. 2011. View Article : Google Scholar : PubMed/NCBI

41 

Almeida SM, Raboni SM, Nogueira MB and Vidal LR: Red blood cells in cerebrospinal fluid as possible inhibitory factor for enterovirus RT-PCR. Arq Neuropsiquiatr. 74:810–815. 2016. View Article : Google Scholar : PubMed/NCBI

42 

Siebolts U, Varnholt H, Drebber U, Dienes HP, Wickenhauser C and Odenthal M: Tissues from routine pathology archives are suitable for microRNA analyses by quantitative PCR. J Clin Pathol. 62:84–88. 2009. View Article : Google Scholar : PubMed/NCBI

43 

Zhang L and Barritt GJ: TRPM8 in prostate cancer cells: A potential diagnostic and prognostic marker with a secretory function? Endocr Relat Cancer. 13:27–38. 2006. View Article : Google Scholar : PubMed/NCBI

44 

Chuang HH, Neuhausser WM and Julius D: The super-cooling agent icilin reveals a mechanism of coincidence detection by a temperature-sensitive TRP channel. Neuron. 43:859–869. 2004. View Article : Google Scholar : PubMed/NCBI

45 

Tartakoff AM and Vassalli P: Plasma cell immunoglobulin secretion: Arrest is accompanied by alterations of the golgi complex. J Exp Med. 146:1332–1345. 1977. View Article : Google Scholar : PubMed/NCBI

46 

Kiessling A, Stevanovic S, Füssel S, Weigle B, Rieger MA, Temme A, Rieber EP and Schmitz M: Identification of an HLA-A*0201-restricted T-cell epitope derived from the prostate cancer-associated protein prostein. Br J Cancer. 90:1034–1040. 2004. View Article : Google Scholar : PubMed/NCBI

Related Articles

  • Abstract
  • View
  • Download
  • Twitter
Copy and paste a formatted citation
Spandidos Publications style
Hirai A, Aung NY, Ohe R, Nishida A, Kato T, Meng H, Ishizawa K, Fujii J and Yamakawa M: Expression of TRPM8 in human reactive lymphoid tissues and mature B‑cell neoplasms. Oncol Lett 16: 5930-5938, 2018.
APA
Hirai, A., Aung, N.Y., Ohe, R., Nishida, A., Kato, T., Meng, H. ... Yamakawa, M. (2018). Expression of TRPM8 in human reactive lymphoid tissues and mature B‑cell neoplasms. Oncology Letters, 16, 5930-5938. https://doi.org/10.3892/ol.2018.9386
MLA
Hirai, A., Aung, N. Y., Ohe, R., Nishida, A., Kato, T., Meng, H., Ishizawa, K., Fujii, J., Yamakawa, M."Expression of TRPM8 in human reactive lymphoid tissues and mature B‑cell neoplasms". Oncology Letters 16.5 (2018): 5930-5938.
Chicago
Hirai, A., Aung, N. Y., Ohe, R., Nishida, A., Kato, T., Meng, H., Ishizawa, K., Fujii, J., Yamakawa, M."Expression of TRPM8 in human reactive lymphoid tissues and mature B‑cell neoplasms". Oncology Letters 16, no. 5 (2018): 5930-5938. https://doi.org/10.3892/ol.2018.9386
Copy and paste a formatted citation
x
Spandidos Publications style
Hirai A, Aung NY, Ohe R, Nishida A, Kato T, Meng H, Ishizawa K, Fujii J and Yamakawa M: Expression of TRPM8 in human reactive lymphoid tissues and mature B‑cell neoplasms. Oncol Lett 16: 5930-5938, 2018.
APA
Hirai, A., Aung, N.Y., Ohe, R., Nishida, A., Kato, T., Meng, H. ... Yamakawa, M. (2018). Expression of TRPM8 in human reactive lymphoid tissues and mature B‑cell neoplasms. Oncology Letters, 16, 5930-5938. https://doi.org/10.3892/ol.2018.9386
MLA
Hirai, A., Aung, N. Y., Ohe, R., Nishida, A., Kato, T., Meng, H., Ishizawa, K., Fujii, J., Yamakawa, M."Expression of TRPM8 in human reactive lymphoid tissues and mature B‑cell neoplasms". Oncology Letters 16.5 (2018): 5930-5938.
Chicago
Hirai, A., Aung, N. Y., Ohe, R., Nishida, A., Kato, T., Meng, H., Ishizawa, K., Fujii, J., Yamakawa, M."Expression of TRPM8 in human reactive lymphoid tissues and mature B‑cell neoplasms". Oncology Letters 16, no. 5 (2018): 5930-5938. https://doi.org/10.3892/ol.2018.9386
Follow us
  • Twitter
  • LinkedIn
  • Facebook
About
  • Spandidos Publications
  • Careers
  • Cookie Policy
  • Privacy Policy
How can we help?
  • Help
  • Live Chat
  • Contact
  • Email to our Support Team