Spandidos Publications Logo
  • About
    • About Spandidos
    • Aims and Scopes
    • Abstracting and Indexing
    • Editorial Policies
    • Reprints and Permissions
    • Job Opportunities
    • Terms and Conditions
    • Contact
  • Journals
    • All Journals
    • Oncology Letters
      • Oncology Letters
      • Information for Authors
      • Editorial Policies
      • Editorial Board
      • Aims and Scope
      • Abstracting and Indexing
      • Bibliographic Information
      • Archive
    • International Journal of Oncology
      • International Journal of Oncology
      • Information for Authors
      • Editorial Policies
      • Editorial Board
      • Aims and Scope
      • Abstracting and Indexing
      • Bibliographic Information
      • Archive
    • Molecular and Clinical Oncology
      • Molecular and Clinical Oncology
      • Information for Authors
      • Editorial Policies
      • Editorial Board
      • Aims and Scope
      • Abstracting and Indexing
      • Bibliographic Information
      • Archive
    • Experimental and Therapeutic Medicine
      • Experimental and Therapeutic Medicine
      • Information for Authors
      • Editorial Policies
      • Editorial Board
      • Aims and Scope
      • Abstracting and Indexing
      • Bibliographic Information
      • Archive
    • International Journal of Molecular Medicine
      • International Journal of Molecular Medicine
      • Information for Authors
      • Editorial Policies
      • Editorial Board
      • Aims and Scope
      • Abstracting and Indexing
      • Bibliographic Information
      • Archive
    • Biomedical Reports
      • Biomedical Reports
      • Information for Authors
      • Editorial Policies
      • Editorial Board
      • Aims and Scope
      • Abstracting and Indexing
      • Bibliographic Information
      • Archive
    • Oncology Reports
      • Oncology Reports
      • Information for Authors
      • Editorial Policies
      • Editorial Board
      • Aims and Scope
      • Abstracting and Indexing
      • Bibliographic Information
      • Archive
    • Molecular Medicine Reports
      • Molecular Medicine Reports
      • Information for Authors
      • Editorial Policies
      • Editorial Board
      • Aims and Scope
      • Abstracting and Indexing
      • Bibliographic Information
      • Archive
    • World Academy of Sciences Journal
      • World Academy of Sciences Journal
      • Information for Authors
      • Editorial Policies
      • Editorial Board
      • Aims and Scope
      • Abstracting and Indexing
      • Bibliographic Information
      • Archive
    • International Journal of Functional Nutrition
      • International Journal of Functional Nutrition
      • Information for Authors
      • Editorial Policies
      • Editorial Board
      • Aims and Scope
      • Abstracting and Indexing
      • Bibliographic Information
      • Archive
    • International Journal of Epigenetics
      • International Journal of Epigenetics
      • Information for Authors
      • Editorial Policies
      • Editorial Board
      • Aims and Scope
      • Abstracting and Indexing
      • Bibliographic Information
      • Archive
    • Medicine International
      • Medicine International
      • Information for Authors
      • Editorial Policies
      • Editorial Board
      • Aims and Scope
      • Abstracting and Indexing
      • Bibliographic Information
      • Archive
  • Articles
  • Information
    • Information for Authors
    • Information for Reviewers
    • Information for Librarians
    • Information for Advertisers
    • Conferences
  • Language Editing
Spandidos Publications Logo
  • About
    • About Spandidos
    • Aims and Scopes
    • Abstracting and Indexing
    • Editorial Policies
    • Reprints and Permissions
    • Job Opportunities
    • Terms and Conditions
    • Contact
  • Journals
    • All Journals
    • Biomedical Reports
      • Information for Authors
      • Editorial Policies
      • Editorial Board
      • Aims and Scope
      • Abstracting and Indexing
      • Bibliographic Information
      • Archive
    • Experimental and Therapeutic Medicine
      • Information for Authors
      • Editorial Policies
      • Editorial Board
      • Aims and Scope
      • Abstracting and Indexing
      • Bibliographic Information
      • Archive
    • International Journal of Epigenetics
      • Information for Authors
      • Editorial Policies
      • Editorial Board
      • Aims and Scope
      • Abstracting and Indexing
      • Bibliographic Information
      • Archive
    • International Journal of Functional Nutrition
      • Information for Authors
      • Editorial Policies
      • Editorial Board
      • Aims and Scope
      • Abstracting and Indexing
      • Bibliographic Information
      • Archive
    • International Journal of Molecular Medicine
      • Information for Authors
      • Editorial Policies
      • Editorial Board
      • Aims and Scope
      • Abstracting and Indexing
      • Bibliographic Information
      • Archive
    • International Journal of Oncology
      • Information for Authors
      • Editorial Policies
      • Editorial Board
      • Aims and Scope
      • Abstracting and Indexing
      • Bibliographic Information
      • Archive
    • Medicine International
      • Information for Authors
      • Editorial Policies
      • Editorial Board
      • Aims and Scope
      • Abstracting and Indexing
      • Bibliographic Information
      • Archive
    • Molecular and Clinical Oncology
      • Information for Authors
      • Editorial Policies
      • Editorial Board
      • Aims and Scope
      • Abstracting and Indexing
      • Bibliographic Information
      • Archive
    • Molecular Medicine Reports
      • Information for Authors
      • Editorial Policies
      • Editorial Board
      • Aims and Scope
      • Abstracting and Indexing
      • Bibliographic Information
      • Archive
    • Oncology Letters
      • Information for Authors
      • Editorial Policies
      • Editorial Board
      • Aims and Scope
      • Abstracting and Indexing
      • Bibliographic Information
      • Archive
    • Oncology Reports
      • Information for Authors
      • Editorial Policies
      • Editorial Board
      • Aims and Scope
      • Abstracting and Indexing
      • Bibliographic Information
      • Archive
    • World Academy of Sciences Journal
      • Information for Authors
      • Editorial Policies
      • Editorial Board
      • Aims and Scope
      • Abstracting and Indexing
      • Bibliographic Information
      • Archive
  • Articles
  • Information
    • For Authors
    • For Reviewers
    • For Librarians
    • For Advertisers
    • Conferences
  • Language Editing
Login Register Submit
  • This site uses cookies
  • You can change your cookie settings at any time by following the instructions in our Cookie Policy. To find out more, you may read our Privacy Policy.

    I agree
Search articles by DOI, keyword, author or affiliation
Search
Advanced Search
presentation
Oncology Letters
Join Editorial Board Propose a Special Issue
Print ISSN: 1792-1074 Online ISSN: 1792-1082
Journal Cover
November-2018 Volume 16 Issue 5

Full Size Image

Sign up for eToc alerts
Recommend to Library

Journals

International Journal of Molecular Medicine

International Journal of Molecular Medicine

International Journal of Molecular Medicine is an international journal devoted to molecular mechanisms of human disease.

International Journal of Oncology

International Journal of Oncology

International Journal of Oncology is an international journal devoted to oncology research and cancer treatment.

Molecular Medicine Reports

Molecular Medicine Reports

Covers molecular medicine topics such as pharmacology, pathology, genetics, neuroscience, infectious diseases, molecular cardiology, and molecular surgery.

Oncology Reports

Oncology Reports

Oncology Reports is an international journal devoted to fundamental and applied research in Oncology.

Experimental and Therapeutic Medicine

Experimental and Therapeutic Medicine

Experimental and Therapeutic Medicine is an international journal devoted to laboratory and clinical medicine.

Oncology Letters

Oncology Letters

Oncology Letters is an international journal devoted to Experimental and Clinical Oncology.

Biomedical Reports

Biomedical Reports

Explores a wide range of biological and medical fields, including pharmacology, genetics, microbiology, neuroscience, and molecular cardiology.

Molecular and Clinical Oncology

Molecular and Clinical Oncology

International journal addressing all aspects of oncology research, from tumorigenesis and oncogenes to chemotherapy and metastasis.

World Academy of Sciences Journal

World Academy of Sciences Journal

Multidisciplinary open-access journal spanning biochemistry, genetics, neuroscience, environmental health, and synthetic biology.

International Journal of Functional Nutrition

International Journal of Functional Nutrition

Open-access journal combining biochemistry, pharmacology, immunology, and genetics to advance health through functional nutrition.

International Journal of Epigenetics

International Journal of Epigenetics

Publishes open-access research on using epigenetics to advance understanding and treatment of human disease.

Medicine International

Medicine International

An International Open Access Journal Devoted to General Medicine.

Journal Cover
November-2018 Volume 16 Issue 5

Full Size Image

Sign up for eToc alerts
Recommend to Library

  • Article
  • Citations
    • Cite This Article
    • Download Citation
    • Create Citation Alert
    • Remove Citation Alert
    • Cited By
  • Similar Articles
    • Related Articles (in Spandidos Publications)
    • Similar Articles (Google Scholar)
    • Similar Articles (PubMed)
  • Download PDF
  • Download XML
  • View XML
Article Open Access

Intra‑tumoral treatment with oxygen‑ozone in glioblastoma: A systematic literature search and results of a case series

  • Authors:
    • Richard Megele
    • Markus J. Riemenschneider
    • Frank Dodoo‑Schittko
    • Matthias Feyrer
    • Andrea Kleindienst
  • View Affiliations / Copyright

    Affiliations: Department of Neurosurgery, Klinikum St. Marien, D‑92224 Amberg, Germany, Department of Neuropathology, Regensburg University Hospital, D‑93053 Regensburg, Germany, Medical Sociology, Institute of Epidemiology and Preventative Medicine, University of Regensburg, D‑93053 Regensburg, Germany, Department of Radiology, Klinikum St. Marien, D‑92224 Amberg, Germany
    Copyright: © Megele et al. This is an open access article distributed under the terms of Creative Commons Attribution License.
  • Pages: 5813-5822
    |
    Published online on: September 5, 2018
       https://doi.org/10.3892/ol.2018.9397
  • Expand metrics +
Metrics: Total Views: 0 (Spandidos Publications: | PMC Statistics: )
Metrics: Total PDF Downloads: 0 (Spandidos Publications: | PMC Statistics: )
Cited By (CrossRef): 0 citations Loading Articles...

This article is mentioned in:



Abstract

Despite progress in surgery and radiochemotherapy, the prognosis of glioblastoma (GB) remains poor. GB cells exhibit a preference for hypoxia to maintain their tumor‑forming capacity. Treatment strategies utilizing oxygen (O2) or ozone (O3) and generating reactive oxygen species induce cell growth inhibition and apoptosis. The anti‑tumorigenic properties of O2‑O3 are accompanied by a key role in regulating immunogenicity. The present study reported a case series of an intra‑tumoral O2‑O3 application in recurrent GB. Following surgery in combination with standard radiochemotherapy, O2‑O3 (5 ml at 40 µg/ml) was applied every four weeks into the tumor vicinity. The patients received a median of 27 (range, 3‑44) O2‑O3 applications. In addition, a systematic literature search was performed in order to evaluate the role of O3 in the treatment of malignancies. The median overall survival rate was 40 (range, 16‑53) months. The median survival rate following the first recurrence or the initiation of the O2‑O3 treatment, respectively, was 34 (range, 12‑53) months. In one patient, a local infection and in another, hemorrhage occurred, necessitating in both the temporary removal of the reservoir. The data from the present study support the potential benefit of an intra‑tumoral O2‑O3 application in recurrent GB. The scientific literature revealed by the bibliographic search suggests that O3 may be considered a viable adjuvant therapy in oncological patients. The present study may serve as a starting point for further observational and clinical studies elucidating the cellular and systemic effects of O2 and/or O3 and demonstrating their efficacy and safety in larger patient samples.

Introduction

Despite significant advances in the basic understanding of tumor pathogenesis, improvement in surgical techniques and new adjunct treatment, the median overall survival rate of patients with glioblastoma (GB) has increased only by 3.3 months (from 11.3 to 14.6 months) until 2010 (1,2) with a long-term survival rate above three years of only 3 to 5% (3). During the past decade, the consistent implementation of surgical re-resection in recurrent GB has helped to improve this devastating figure resulting in up to 25 months of overall survival rate, and 11.9 months following the first resection (4). The main predictive factors of survival are tumor localization in eloquent areas of the brain and the functional performance and tumor volume of the patient.

In GB, a small cell population with stem cell-like properties is resistant to chemotherapy. These cells exhibit unique energy metabolic characteristics (5), including low mitochondrial respiration and a preference for hypoxia, to maintain their tumor-forming capacity (6). In vitro, hypoxia promotes the survival of these clonogenic cancer stem cells (7) and inhibits their differentiation even if the cultures are returned to normoxic conditions (8). Furthermore, approximately half of all human GB respond to hypoxia by inducing c-Met, with subsequent enhancement of tumor cell migration and invasion (9).

Treatment strategies utilizing reactive oxygen (O2) species induce cell death by autophagy and apoptosis in glioma cell cultures (10). Employing positron emission tomography (PET) or advanced magnetic resonance imaging (MRI) techniques such as MR spectroscopy enable the monitoring of local O2 levels (11). The intracellular in vivo oxymetry in rats implanted with the aggressive glioma cell line 9L demonstrates the preference for low tumor pO2 levels around 45 mmHg (12). Treatment with bischloroethylnitrosourea (BCNU) resulted in an immediate and significant increase in pO2 up to 140 mmHg (12). These anti-tumorigenic properties of oxygen are accompanied by its key role in regulating the immunogenicity of primary human glioma cells (13). Furthermore, the application of O2 plus ozone (O3) in two different human neuroblastoma cell lines (SK-N-SH and SK-N-DZ) induced cell growth inhibition at G2 phase and cell cycle perturbation in both cell lines (14).

Ozone is a gas that is produced endogenously by granulocytes. In the presence of an electron donor, reactive O2 species are produced, particularly hydrogen peroxide (15). Clinical O3 application has resulted in improved wound healing (16,17), and the improvement of radiation-induced proctitis (18) and cystis (19), as well as the improvement of osteonecrosis (20–22). The toxicity of inhaled O3 can be reduced by applying the gas for a calculated period and at lower doses (23–25) although certain genetic variance in the O3 response exist (26). However, O3 acts antineoplastically in the presence of carcinogens if administered by inhalation (27,28), intra-vesicular (29) or intra-peritoneal (30,31) instillation. Since O3 stimulates the release of immunoactive cytokines (32), these effects are more likely to be the result of an immune-mediated reaction rather than being a direct consequence of administration (33).

Studies have emphasized that O3 therapy can be considered a serious adjuvant therapy in oncological patients receiving radiochemotherapy (34). The present study reports data from the off-label application of O2-O3 into the tumor vicinity of GB following surgery in a limited series of patients. In addition, the results of a systematic literature search on O3 treatment following surgery for malignancies are presented.

Materials and methods

Between January 2012 and December 2013, patients diagnosed with GB at the Klinikum Amberg were offered an intra-tumoral treatment with O2-O3 extending the standard therapy as determined by the local tumor board. Following extensive information about their options and the possible side effects of the treatment, five patients provided their informed consent, and the ethical committee of the Bavarian National Medical Association approved the study, based on the Helsinki Declaration of 1964, revised 2013 (EK-Nr. 2013-125). Informed consent included publication of the case report and any accompanying images. Part of the illustrative case was presented as a poster on the Brain Tumor Meeting May 2013 in Berlin.

Treatment

Together with the re-resection in recurrent GB, a Rickham reservoir was implanted with the tip ending in the middle of the resection area. The exact catheter localization and the extent of tumor resection were confirmed by an early (<72 h post-operatively) contrast-enhanced MRI. Subsequently, five ml of O2-O3 were applied monthly through the reservoir at a concentration of 40 µg O3 per ml.

The standard adjuvant therapy following the initial surgery for GB consisted of radiotherapy with a local boost and chemotherapy according to Stupp et al (2); 75 mg/m2 body surface temozolomide followed by cycles with 150 mg/m2 body surface, five days per week for the irradiation period, followed by a three week off/one week on schedule. Following progression or recurrence and re-section, the patients were switched to PCV chemotherapy (procarbacine 60 mg/m2 day 8 to 21, CCNU 100 mg/m2 day and vincristine 1.4 mg/m2 day 8+29).

Histological assessment

Tumor biopsies at primary resection and recurrence(s) were evaluated by an experienced neuropathologist and classified according to the criteria of the WHO 2007 classification of tumors of the central nervous system. Prior to publication, the histological results were reviewed and adapted to the current WHO classification of 2016 (35). The standard work-up for diagnostics comprised routine histological stains, immunohistochemistry, including the p53 (BP53-12) and Ki-67 (Mib-1) antigens, and molecular diagnostics for O-6-methylguanine-DNA-methyltransferase (MGMT) promoter methylation and isocitrate dehydrogenase (IDH) 1/2 mutations. Additionally, immunohistochemistry for hypoxia-inducible factor (HIF)-1α and HIF-2α was performed for investigative purposes (Fig. 1). Immunohistochemistry on formalin-fixed and paraffin-embedded tissue samples was performed as described previously (36). In brief, 5-mm sections were cut and slides were deparaffinized and, following microwave antigen retrieval, stained using the EnVision+ Dual Link System-HRP (DAB+; K4065; Dako; Agilent Technologies GmbH, Waldbronn, Germany) according to the manufacturer's protocol. Anti-HIF-1α (NB100-123; Novus Biologicals, Ltd., Cambridge, UK) and anti HIF-2α ha (NB100-122; Novus Biologicals, Ltd.) primary antibodies were used at 1:50 in phosphate buffered saline supplemented with 1% bovine serum albumin. Pre-treatment for antigen retrieval was not applied.

Figure 1.

(A) The initial stereotactic biopsy showed a pleomorphic astrocytic tumor with focal necrosis (insert) corresponding to glioblastoma (WHO grade IV). (B) Also in the first recurrence (six months later) pleomorphic astrocytic tumor cells were present. Additionally, tumor vessels exhibited fibroid changes most likely as a therapy-induced alteration. (C) The first resection after application of O2-O3 showed CNS tissue with mainly reactive and resorptive changes. Note accumulation of macrophages (black arrowheads) that stain immunohistochemically for the CD68 (PGM1) antigen (insert). Only single scattered pleomorphic astrocytic (tumor) cells can be detected (white arrow). (D) Final resection about 3¼ years after the initial surgery presented with the histology of a full-blown cell-rich tumor recurrence. (E and F) HIF-2α staining at different time points: Note that there is markedly higher HIF-2α expression in the tissue from the first recurrence (prior to O2-O3) (E) than in the final resection immediately following O2-O3 treatment (F). HIF-2α is particularly expressed in blood vessels prior to O2-O3 (black arrowheads). No differences between biopsies were observed for HIF-1α immunostaining (data not shown). HIF, hypoxia-inducible factor.

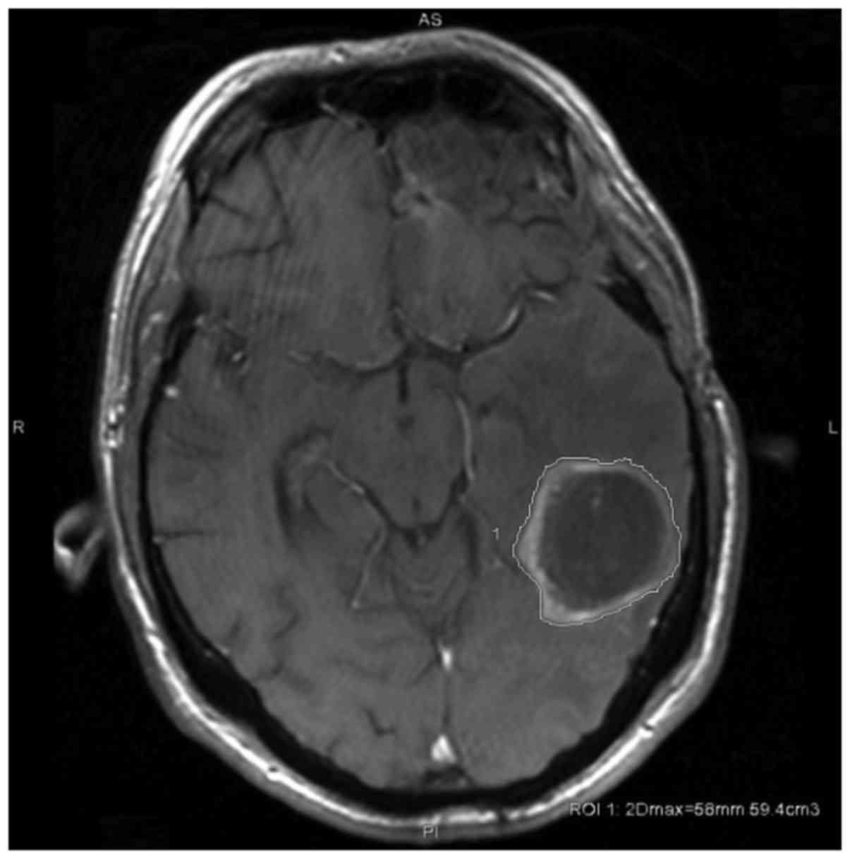
Magnetic resonance tumor volumetry. Volumetric analysis was performed on a GE Advantage Workstation (GE Healthcare Life Sciences, Little Chalfont, UK; version 4.7, Operation System 2.0 on a HELiOS 6.6.1 subsystem) by a radiologist. Tumor size and volume were calculated by semi-automated contouring of tumor borders on each T1 weighted-slice (post gadolinium) in cm3 and maximum 2D diameter in mm, as outlined in Fig. 2. Slice thickness was 1 and 5 mm, dependent on the subsequent protocols of MRI examination sequences applied between January 2012 and July 2017. Enhancing areas were considered as tumor with the exception of obvious vessels, artifacts or postoperative resection defects.

Figure 2.

Tumor size was calculated by semi-automated contouring of tumor borders on each T1 weighted-slice (post gadolinium) in cm3, and additionally maximum 2D diameter in mm.

Statistical analysis

Dichotomous or categorical parameters are presented in frequencies and percentages. Metric variables are provided as median and range. Statistical analyses were performed using SPSS version 21 (IBM Corp., Armonk, NY, USA).

Systematic literature search

A systematic literature search was performed for observational and clinical studies utilizing an O3 treatment for malignancies. Studies published between 01/01/1987 and 01/12/2017 were included, with no limitation regarding study type and sample unit (observational or experimental, animal or patient, in vitro or in vivo). The retrieval of studies was performed in PubMed using the combined filter and Medical Subject Headings (MeSH) term: [‘Ozone/surgery’ (Mesh) OR ‘Ozone/therapeutic use’ (Mesh) OR ‘Ozone/therapy’ (Mesh)) AND ‘Neoplasms’ (Mesh)] The records were screened based on title and abstract independently. Finally, the remaining records were evaluated by reading the full-text papers. All relevant characteristics (study type, disease, route of O3 application, unit of analysis, sample size and main findings) reported in the studies were extracted into an evidence table.

Results

The demographic and disease-related characteristics are summarized in Table I. The patient group comprised two women and three men with a median age of 48 years at diagnosis (range 31 to 68 years), the Karnofsky score (37) was 80% (range 50 to 90%).

Table I.

Detailed patient characteristics.

Table I.

Detailed patient characteristics.

Patient no.

Characteristic12345Median (range)
SexMFFMM
Age (years)5968483145  48 (31–68)
Karnofsky index (%)5070908090  80 (50–90)
Initial surgeryBiopsyBiopsyComplete tumor resection and reservoir implantationPartial tumor resectionSubtotal tumor resection
Surgery at progressionPartial tumor resection and reservoir implantationPartial tumor resection and reservoir implantation Subtotal tumor resection and reservoir implantationComplete tumor resection and reservoir implantation
Histology (WHO 2016)Glioblastoma, IDH-wildtype, WHO grade IVGlioblastoma, IDH-wildtype, WHO grade IVGlioblastoma, IDH-wildtype, WHO grade IV(Secondary) glioblastoma, IDH-mutant, WHO grade IVGlioblastoma, IDH-wildtype, WHO grade IV
MGMT promoter methylation5%10%5%25%Negative (<3%)  5% (3–25)
IDH mutationWTWTWTMutantWT
Ki67 proliferation index20%n.a. (Infiltrative rim, no solid tumour core)40%30%30%30% (20–40)
p53 nuclear accumulationSome0 (negative)10% (heterog.)70–80%10%10% (0–75)
Radiotherapy50 Gy+10 Gy boostNo50 Gy+10 Gy boost50 Gy+10 Gy boost46 Gy+14 Gy boost
ChemotherapyTemozolomideTemozolomideTemozolomideTemozolomideTemozolomide
Second-line chemotherapyPCVPCVNoneNonePCV
Tumor volume at diagnosis, cm310.513.444.113629.429.4 (10.5–136)
Tumor volume at progression before O2-O3, cm329.35.50n/a12.7Frontal, 8.63; parietal, 11.616.5 (5.50–29.3)
Tumor volume at start of O2-O3, cm313.303.030Frontal, 1.09; parietal, 5.503.0 cm3 (0–13.3)
Tumor volume at progression after O2-O3, cm325.514.4n/a27.5Frontal, 5.8; parietal 65.2,26.5 (14.4–71.0)
Progression-free survival, months3812532910  6 (4–53)
Overall survival, months4046533116  40 (16–53)
Number of O2-O3 applications313442710  27 (3–44)
Procedure related complicationsInfection–––Haemorrhage
Interval between diagnosis and start of O2-O3, months69044  4 (4–9)
Survival following O2-O3, months333750271134 (12–53)

[i] MGMT, O-6-methylguanine-DNA-methyltransferase; IDH, isocitrate dehydrogenase; Ki67, Mib-1 antigen; p53, BP53-12 antigen; O2, oxygen; O3, ozone; M, male; F, female; WT, wild-type; Gy, Gray; n/a, not available.

Primary treatment/initial surgery

In two patients the diagnosis was established following a biopsy, in two patients following a partial resection. In one patient the initial resection was complete and at her request the O2-O3 therapy was started following diagnosis.

In four out of five patients molecular neuropathology was IDH wild-type GB; in the youngest patient the GB exhibited an IDH mutation corresponding to (secondary) GB, IDH-mutant. The MGMT promoter methylation status ranged between <3 and 25%. The median Ki67 proliferation index was 30% (range 20 to 40%), and the median nuclear score for p53 positivity was 20% (range 0 to 75%).

Of the five patients, four received a radiotherapy with a median of 49 Gy (range, 46 to 50 Gy) accompanied by a local boost of 11 Gy (range, 10 to 14 Gy). In all patients, the initial chemotherapy was started with temozolomide according to Stupp et al (2).

Surgery for first recurrence/progression: Further treatment

The patient who insisted on receiving the O2-O3 treatment following the initial diagnosis remains in remission. In the other four patients, the first recurrence occurred in a median time of five months (range, 4 to 9 months). Together with the re-resection in recurrent GB, a Rickham reservoir for O2-O3 application was implanted. Five milliliter of O2-O3 were applied monthly through the reservoir at a concentration of 40 µg O3 per ml. The chemotherapy was changed in three out of four patients to PCV; one patient refused further chemotherapy.

Overall survival and survival following initiation of ozone treatment

The patients received a median of 27 (range, 3 to 44) O2-O3 applications. The overall median survival rate was 40 months (range, 16 to 53 months). The median survival rate following the first recurrence subsequent to the initiation of the O2-O3 treatment was 34 months (range, 12 to 53 months). The progression-free survival rate was positively associated with a more extensive surgical re-resection (P=0.021), while the tumor volume was negatively correlated (P=0.027).

In one patient, a local infection occurred resulting in temporary removal of the reservoir. In another patient, a hemorrhage in the tumor vicinity around the catheter four months following the implantation necessitated the temporary removal of the reservoir. Based on a total of 115 O2-O3 applications in five patients, the complication rate per application was 1.7%.

Illustrative case

A 59-year-old male patient developed a seizure with a persisting hemiparesis. MRI demonstrated a contrast-enhancing lesion in the motor cortex (10.5 cm3; Fig. 3A). The histological examination confirmed a GB, IDH wild-type with a Ki-67 proliferation rate of 20% and no relevant MGMT promoter methylation (Fig. 1A). The patient was treated with radiochemotherapy (50 Gy with local boost of 10 Gy), temozolomide at 75 mg/m2 body surface for four weeks, followed by one three weeks off and one cycle at 150 mg/m2. The symptoms worsened and a tumor progression was evident at six months with a volume of 29.3 cm3 (Fig. 3B). At the time of tumor resection, a catheter connected to a reservoir was placed in the area of the former tumor cavity (Fig. 3C). Histology was performed and again demonstrated pleomorphic astrocytic tumor cells and fibroid changes of tumor vessels as a probable therapy-induced alteration (Fig. 1B). In addition, HIF-2α staining could be observed (Fig. 1E). O2-O3 treatment was employed monthly together with a second-line PCV chemotherapy. Then, 13 months following surgery, the catheter was removed due to a local infection accompanied by seizures. The tissue demonstrated reactive and resorptive changes with an accumulation of macrophages (Fig. 1C). Next, six weeks later, the catheter was re-implanted and the intra-tumoral O2-O3 treatment was resumed together with the PCV chemotherapy. The patient returned to work and was in a stable neurological condition for almost 40 months. However, paresis of the arm worsened and MRI demonstrated tumor progression. A second re-section was performed, and presented with the histology of a full-blown cell-rich tumor recurrence (Fig. 1D) but with lowered HIF-2α immunostaining (Fig. 1F) compared with the first recurrence and the situation prior to O2-O3 treatment. Comparing the two time points, no differences could be observed in HIF-1α staining. The patient died 40 months after the initial diagnosis, and 33 months following the initiation of O2-O3 treatment. Another illustrative case is depicted in Fig. 4. This patient is still alive, more than 4 years after the diagnosis GB.

Figure 3.

Sagittal and transverse MR T1-weighted images post gadolinium images of Patient No. 1 (illustrative case) at diagnosis (A), at progression six months after the initial biopsy and standard radio-chemotherapy (B), and following tumor resection and implantation of the reservoir for the intra-tumoral O2-O3 treatment (C).

Figure 4.

Sagittal MR T1-weighted images post gadolinium images of Patient No. 3 in whom the O2-O3 treatment was started following the initial surgery and diagnosis of (A) GB. Six months later, some contrast enhancement was still visible (B), that was not apparent four years following diagnosis (C).

Findings from the literature search

The systematic literature search revealed 79 scientific studies. Following the screening of titles and abstracts, 20 articles fulfilled the criteria for eligibility. In three cases, no English full-text articles were available. Finally, a total of seven clinical and ten basic research studies met the eligibility criteria applied to the studies. Data extracted from these studies are shown in Table II.

Table II.

Clinical and experimental studies utilizing ozone.

Table II.

Clinical and experimental studies utilizing ozone.

Author (year)Study typeDiseaseRoute of O3 applicationUnit of analysisSample sizeFindings(Refs.)
Batinjan et al, 2014Case reportRadiation induced osteonecrosis of the jawAlveolus ozoningPatientsN=1O3 improved wound healing(16)
Brozoski et al, 2014Case seriesBiphoshonate induced osteonecrosis of the jawIrrigation with aqueous O3 4 mg/lPatientsN=2O3 improved wound healing(17)
Clavo et al, 2013Case seriesHemorrhagic radiation-induced proctitisRectal insufflation of O2-O3, O3 oilPatientsN=17 O2-O3 reduced endoscopic treatments (p< 0.063), reduced blood loss (p<0.001), reduced median toxicity grades (p<0.001)(18)
Clavo et al, 2005Case reportRadiation-induced cystitisIntra-vesicular instillation of O3 at 20–25 g/mlPatientsN=1O3 resulted in control of hematuria(19)
Ripamonti et al, 2011Prospective phase I–II studyOsteonecrosis of the jawO3 oil suspension for 10 min for 10 local applicationsPatientsN=10O3 induced spontaneous expulsion in 8 and new bone formation in 2 patients; in 2 patients no residual bone lesions were observed(20)
Ripamonti et al, 2012Case seriesOsteonecrosis of the jawO3 insufflation once daily for each pathological areaPatientsN=24O3 response rate was 75.0% (95% CI, 53.3–90.2%) in intention to treat and 100% (95% CI, 81.5–100%) in per protocol analysis. No relapse (follow-up mean 18 months, range 1–3 years)(21)
Petrucci et al, 2007Case seriesBiphoshonate induced osteonecrosis of the jawO3 once daily, 7 days before to 7 days after surgeryPatientsN=12O3 resulted in 8 (75%) in resolution of osteonecrosis, in 4 patients (25%) in improvement with persistence of lesio(22)
Herbert et al, 1996Basic researchLung tumor incidenceInhalation (O3 at 0.12, 0.5, 1.0 ppm, 6 h/day for lifetime)MiceN=100 totalO3 induced at the highest concentration the tumor incidence in female mice(23)
Ichinose et al, 1992Basic researchLung tumor incidenceInhalation (O3 at 0.05 ppm for 13 months)RatsN=36 per groupO3 at ambient level showed some tumor-enhancing action, although the effect was small(24)
Donaldson et al, 1991Basic researchLung tumor incidenceInhalation (O3 at 0.2–0.8 ppm, 7 h/day for up to 4 days)RatsN=3, 13 groupsO3 at higher doses decreased macrophages and increased neutrophils on day 1 and 2; macrophages were larger(25)
Hoogervorst et al, 2003Basic researchLung tumor incidenceInhalation (O3 at 0.08 ppm for 13 weeks)DNA repair-deficient Xpa miceN=20 per groupO3 induced cell proliferation and, dependent on the mouse strain, a slight increase in tumor incidence(26)
Witschi et al, 1993Basic researchLung tumor incidenceInhalation (O3 at 0.8 ppm, 23 h/day for 24 weeks)HamstersN=80 totalO3 increased the tumor incidence, but reduced the incidence following treatment with the carcinogen N-nitrosodiethylamine(27)
Last et al, 1987Basic researchLung tumor incidenceInhalation (O3 at 0.4 to 0.8 ppm, 7 h/day for 18 weeks)Different mice strainsN=31–37 per groupO3 at higher concentrations increased tumor incidence; following treatment with the carcinogen urethane, O3 inhibited the tumor development in A/J mice(28)
Kiziltan et al, 2015Basic researchPeritoneal carcinomatosisIntra-peritoneal O3 at 20 or 40 µg/ml ± radiotherapyMiceN=60 totalO3 and radiotherapy, either separately or concurrently, increased the survival rates(30)
Schulz et al, 2008Basic researchHead and neck squamous cell carcinomaIntra-peritoneal O2-O3 insufflationRabbitsN=59 total O2-O3 induced significant tumor regression; effect reversed by immune suppression (dexamethasone, cyclosporine A)(31)
Rossmann et al, 2014Basic research Papillomavirus-associated head and neck cancerIntra-peritoneal O2-O3 insufflationRabbitsN=20 total O2-O3 resulted in tumor eradication by immune ‘memory’ cells, and a significant increase of peripheral white blood cells and CD3+ T cells(32)

[i] O2, oxygen; O3, ozone; ppm, parts per million; CI, confidence interval.

All cohorts/samples were independent and no overlap of included individuals could be identified. Overall, the sample sizes of the clinical studies detected by the literature search ranged from case reports to a prospective phase I–II study including one to 24 patients. The basic research studies adopted the guidelines for the care and use of animals and included 20 to more than 100 animals.

Discussion

The rationale to perform an individual off-label treatment in GB patients was three-fold: There was i) in vitro and in vivo evidence for a preference for hypoxia in GB, ii) in vitro and in vivo evidence for the treatment efficacy of hyperoxia generating reactive O2 species in GB, and iii) in vivo evidence for the treatment effect of O3 in stimulating the immune system in other types of cancer (31,33).

Tumor cells, particularly those with stem cell-like properties, exhibit a preference for hypoxia (6,12). Therefore the intra-tumoral application of O2 was aimed at establishing normoxia, thereby inhibiting proliferation and migration (9) in addition to promoting differentiation (5,8). Whether this target was accomplished, was not verified. Five ml of O2-O3 were applied intra-tumorally at a concentration of 40 µg ozone per ml once per month. While direct intracellular oxymetry can be utilized in basic research models, the measurement of tissue O2 levels in the clinical setting is restricted to advanced and not readily available techniques such as PET or MR spectroscopy (11).

HIFs are transcription factors that respond to decreases in available O2 in the cellular environment, or hypoxia. HIF-1 consists of an O2-sensitive α-subunit and a constitutively expressed β-subunit, and belongs to a family of transcription factors [PER/aryl hydrocarbon receptor nuclear translocator (ARNT)/single minded (SIM)] (38–40). HIF-1α facilitates, together with HIF-2α, O2 delivery and cellular adaptation to hypoxia by stimulating multiple biological processes, including erythropoesis, angiogenesis and anaerobic glucose metabolism (41).

Histologically, following the intra-tumoral O2-O3 application mainly reactive and resorptive changes were identified (Fig. 1C). Notably, while relevant HIF-1α staining was not present prior to or following the intra-tumoral O2-O3 application, the HIF-2α expression (particularly in tumor blood vessels) was higher under the hypoxic conditions prior to, compared with following, the treatment (Fig. 1E and F).

Treatment strategies utilizing reactive O2 species in glioma cell cultures have been demonstrated to induce cell death by autophagy and apoptosis (10) or at least cell growth inhibition (14). Histologically, the present illustrative case identified mainly reactive and resorptive changes following the intra-tumoral O2-O3 application for a long time period. Only single scattered pleomorphic astrocytic tumor cells could be detected (Fig. 1C).

O3, a gas that is produced endogenously by granulocytes, induces the generation of reactive O2 species, stimulates the release of immunoactive cytokines (12) and regulates immunogenicity of human glioma cells (13). The intra-peritoneal insufflation of O2-O3 resulted in a tumoricidal immune response in experimental head and neck squamous carcinoma (32) with subsequent complete tumor remission (31). Oxidative stress converts the immune response from a tumor permissive to a tumoricidal one, probably through the stimulation of systemic T cells, resident macrophages and dendritic cells (32).

Human natural killer cells as part of a systemic immune response are most likely at least in part, responsible for the absence of metastases in GB patients (42). The exposure of peripheral blood mononuclear cells to a single dose of 1 µg/ml O3 increased the numbers of CD3-CD16+/56+ natural killer cells in vitro (43). In human GB tissue of long-term (>36 months) survivors, the number of CD 8, CD 20, CD 25 and CD 95 positive lymphocytes was significantly increased compared with short-term (<1 year) survivors. Therefore, the O2-O3 application in GB may act as an immunotherapy through the enhancement of human natural killer cells. Histologically, in this context an accumulation of macrophages was identified that immunohistochemically stained for the CD68 (PGM1) antigen following the intra-tumoral O2-O3 application in our illustrative case (Fig. 1C).

The intra-peritoneal application of 1 ml O3 at 20 or 40 µg/ml into the peritoneal cavity of mice has been performed without side effects in a control group confirming thereby the safety of the selected concentration (30). Andreula et al (44) safely injected four ml O3 at 27 µg/ml into the lumbar disc and periganglionic in 600 patients with clinical signs of lumbar disk nerve root compression. The present study applied five ml O3 at 40 µg/ml into the tumor cavity and could not identify any direct cell damage or necrosis around the cavity histologically. Nevertheless, the safety of this application has to be confirmed by cell culture of normal CNS tissue and glioma cells in addition to in vivo studies.

The median overall survival rate in our series comprising of five patients was 40 months. Since in one patient the O2-O3 treatment was started following diagnosis, the median survival following recurrence was 30.5 months (range, 12 to 37 months) in the remaining four patients. These data outperform previously published data (3) and the data from a recent multicenter trial including 505 patients from 20 institutions undergoing re-resection in recurrent GB (4). In that multicenter study, the median overall survival rate was 25 months and 11.9 months following the first resection. Furthermore, one of the patients in the present study treated with local O2-O3 in addition to the standard treatment following initial surgery remains alive, 53 months following the diagnosis of GB (Fig. 4A-C). The patients in our series did not differ substantially with regard to known prognostic factors: The median age at diagnosis was 48 years (range, 31 to 68 years), the median Karnofsky score at presentation 80% (range, 50 to 90%), the median proliferation index 30% (range, 20 to 40%) and the median quantitative MGMT promoter methylation was 5% (range, 3 to 25%).

However, the authors are aware that a study focusing on long-term survivors following GB presented even better data (45). That study retrospectively identified 50 long-term GB survivors (>36 months). In this selected cohort, the median progression-free survival rate was 25.4 months (range, 2.3 to 97.8 months) compared with six months (range, 4 to 52 months) in our series, and the overall survival rate of long-term survivors was 55.9 months (range, 38.2 to 98.6 months) compared with 40 months (range, 16 to 52 months) in our series.

The authors are aware of several limitations of the present study. The exact dose and the timing of the application were based on estimates and patient comfort. Optimization of both should be performed either in a basic research setting utilizing tissue oxymetry or mapping brain tissue O2 saturation in the clinical setting with PET or MRI. Furthermore, this off-label case series should be transferred into a clinical trial.

Taken together, the overall survival rate of our patient series is longer than obtained in an unselected multicenter study. Taking a closer look at a long-term GB survivor cohort (44), both progression-free survival and overall survival rate are slightly shorter. These results and the existing evidence revealed by the systematic literature search highlighted that O3 therapy could be considered a viable adjuvant therapy in oncological patients receiving radiochemotherapy (34). The case series of the present study indicated the potential benefit and efficacy of intra-tumoral O2-O3 application following surgery for GB. Following this descriptive approach, further observational and experimental research is warranted to elucidate cellular and systemic effects, in addition to ensuring safety by applying inference statistical analyses based on an appropriate sample size.

Acknowledgements

Part of the illustrative case was presented as a poster on the Brain Tumor Meeting May 2013 in Berlin (abstract no. 36).

Funding

No funding was received.

Availability of data and materials

The datasets generated and/or analyzed during the current study are available from the corresponding author on reasonable request.

Authors' contributions

RM designed the study. MJR performed the histological examination and contributed to the drafting and revision of the manuscript. FDS performed the literature search, data analysis and interpretation and contributed to writing the manuscript. MF analyzed and interpreted the radiological patient data. AK revised the study design, structured the data aquisition, analysed and interpreted the data and drafted the manuscript. All authors read and approved the final manuscript.

Ethics approval and consent to participate

The present study was approved by the ethical committee of the Bavarian National Medical Association (approval no. EK-Nr. 2013-125). All patients provided written informed consent.

Patient consent for publication

Following extensive information about their options and the possible side effects of the treatment, all patients provided their informed consent, including the publication of the case report and any accompanying images.

Competing interests

The authors declare that they have no competing interests.

References

1 

Park JK, Hodges T, Arko L, Shen M, Iacono Dello D, McNabb A, Bailey Olsen N, Kreisl TN, Iwamoto FM, Sul J, et al: Scale to predict survival after surgery for recurrent glioblastoma multiforme. J Clin Oncol. 28:3838–3843. 2010. View Article : Google Scholar : PubMed/NCBI

2 

Stupp R, Hegi ME, Mason WP, van den Bent MJ, Taphoorn MJ, Janzer RC, Ludwin SK, Allgeier A, Fisher B, Belanger K, et al: Effects of radiotherapy with concomitant and adjuvant temozolomide versus radiotherapy alone on survival in glioblastoma in a randomised phase III study: 5-year analysis of the EORTC-NCIC trial. Lancet Oncol. 10:459–466. 2009. View Article : Google Scholar : PubMed/NCBI

3 

Krex D, Klink B, Hartmann C, von Deimling A, Pietsch T, Simon M, Sabel M, Steinbach JP, Heese O, Reifenberger G, et al: Long-term survival with glioblastoma multiforme. Brain. 130:2596–2606. 2007. View Article : Google Scholar : PubMed/NCBI

4 

Ringel F, Pape H, Sabel M, Krex D, Bock HC, Misch M, Weyerbrock A, Westermaier T, Senft C, Schucht P, et al: Clinical benefit from resection of recurrent glioblastomas: Results of a multicenter study including 503 patients with recurrent glioblastomas undergoing surgical resection. Neuro Oncol. 18:96–104. 2016. View Article : Google Scholar : PubMed/NCBI

5 

Kathagen A, Schulte A, Balcke G, Phillips HS, Martens T, Matschke J, Günther HS, Soriano R, Modrusan Z, Sandmann T, et al: Hypoxia and oxygenation induce a metabolic switch between pentose phosphate pathway and glycolysis in glioma stem-like cells. Acta Neuropathol. 126:763–780. 2013. View Article : Google Scholar : PubMed/NCBI

6 

Seidel S, Garvalov BK, Wirta V, von Stechow L, Schänzer A, Meletis K, Wolter M, Sommerlad D, Henze AT, Nistér M, et al: A hypoxic niche regulates glioblastoma stem cells through hypoxia inducible factor 2 alpha. Brain. 133:983–995. 2010. View Article : Google Scholar : PubMed/NCBI

7 

Zhou Y, Zhou Y, Shingu T, Feng L, Chen Z, Ogasawara M, Keating MJ, Kondo S and Huang P: Metabolic alterations in highly tumorigenic glioblastoma cells: Preference for hypoxia and high dependency on glycolysis. J Biol Chem. 286:32843–32853. 2011. View Article : Google Scholar : PubMed/NCBI

8 

Bar EE, Lin A, Mahairaki V, Matsui W and Eberhart CG: Hypoxia increases the expression of stem-cell markers and promotes clonogenicity in glioblastoma neurospheres. Am J Pathol. 177:1491–1502. 2010. View Article : Google Scholar : PubMed/NCBI

9 

Eckerich C, Zapf S, Fillbrandt R, Loges S, Westphal M and Lamszus K: Hypoxia can induce c-Met expression in glioma cells and enhance SF/HGF-induced cell migration. Int J Cancer. 121:276–283. 2007. View Article : Google Scholar : PubMed/NCBI

10 

Trejo-Solis C, Jimenez-Farfan D, Rodriguez-Enriquez S, Fernandez-Valverde F, Cruz-Salgado A, Ruiz-Azuara L and Sotelo J: Copper compound induces autophagy and apoptosis of glioma cells by reactive oxygen species and JNK activation. BMC Cancer. 12:1562012. View Article : Google Scholar : PubMed/NCBI

11 

Mendichovszky I and Jackson A: Imaging hypoxia in gliomas. Br J Radiol. 84:S145–S158. 2011. View Article : Google Scholar : PubMed/NCBI

12 

Kadayakkara DK, Janjic JM, Pusateri LK, Young WB and Ahrens ET: In vivo observation of intracellular oximetry in perfluorocarbon-labeled glioma cells and chemotherapeutic response in the CNS using fluorine-19 MRI. Magn Reson Med. 64:1252–1259. 2010. View Article : Google Scholar : PubMed/NCBI

13 

Olin MR, Andersen BM, Litterman AJ, Grogan PT, Sarver AL, Robertson PT, Liang X, Chen W, Parney IF, Hunt MA, et al: Oxygen is a master regulator of the immunogenicity of primary human glioma cells. Cancer Res. 71:6583–6589. 2011. View Article : Google Scholar : PubMed/NCBI

14 

Cannizzaro A, Falzacappa Verga CV, Martinelli M, Misiti S, Brunetti E and Bucci B: O(2/3) exposure inhibits cell progression affecting cyclin B1/cdk1 activity in SK-N-SH while induces apoptosis in SK-N-DZ neuroblastoma cells. J Cell Physiol. 213:115–125. 2007. View Article : Google Scholar : PubMed/NCBI

15 

Bocci VA: Scientific and medical aspects of ozone therapy. State of the art. Arch Med Res. 37:425–435. 2006. View Article : Google Scholar : PubMed/NCBI

16 

Batinjan G, Zore Filipovic I, Vuletic M and Rupic I: The use of ozone in the prevention of osteoradionecrosis of the jaw. Saudi Med J. 35:1260–1263. 2014.PubMed/NCBI

17 

Brozoski MA, Lemos CA, Da Graca Naclério-Homem M and Deboni MC: Adjuvant aqueous ozone in the treatment of bisphosphonate induced necrosis of the jaws: report of two cases and long-term follow-up. Minerva Stomatol. 63:35–41. 2014.PubMed/NCBI

18 

Clavo B, Ceballos D, Gutierrez D, Rovira G, Suarez G, Lopez L, Pinar B, Cabezon A, Morales V, Oliva E, et al: Long-term control of refractory hemorrhagic radiation proctitis with ozone therapy. J Pain Symptom Manage. 46:106–112. 2013. View Article : Google Scholar : PubMed/NCBI

19 

Clavo B, Gutiérrez D, Martín D, Suárez G, Hernández MA and Robaina F: Intravesical ozone therapy for progressive radiation-induced hematuria. J Altern Complement Med. 11:539–541. 2005. View Article : Google Scholar : PubMed/NCBI

20 

Ripamonti CI, Cislaghi E, Mariani L and Maniezzo M: Efficacy and safety of medical ozone (O(3)) delivered in oil suspension applications for the treatment of osteonecrosis of the jaw in patients with bone metastases treated with bisphosphonates: Preliminary results of a phase I–II study. Oral Oncol. 47:185–190. 2011. View Article : Google Scholar : PubMed/NCBI

21 

Ripamonti CI, Maniezzo M, Boldini S, Pessi MA, Mariani L and Cislaghi E: Efficacy and tolerability of medical ozone gas insufflations in patients with osteonecrosis of the jaw treated with bisphosphonates-Preliminary data: Medical ozone gas insufflation in treating ONJ lesions. J Bone Oncol. 1:81–87. 2012. View Article : Google Scholar : PubMed/NCBI

22 

Petrucci MT, Gallucci C, Agrillo A, Mustazza MC and Foà R: Role of ozone therapy in the treatment of osteonecrosis of the jaws in multiple myeloma patients. Haematologica. 92:1289–1290. 2007. View Article : Google Scholar : PubMed/NCBI

23 

Herbert RA, Hailey JR, Grumbein S, Chou BJ, Sills RC, Haseman JK, Goehl T, Miller RA, Roycroft JH and Boorman GA: Two-year and lifetime toxicity and carcinogenicity studies of ozone in B6C3F1 mice. Toxicol Pathol. 24:539–548. 1996. View Article : Google Scholar : PubMed/NCBI

24 

Ichinose T and Sagai M: Combined exposure to NO2, O3 and H2SO4-aerosol and lung tumor formation in rats. Toxicology. 74:173–184. 1992. View Article : Google Scholar : PubMed/NCBI

25 

Donaldson K, Brown GM, Brown DM, Slight J, Maclaren WM and Davis JM: Leukocyte-mediated epithelial injury in ozone-exposed rat lung. Res Rep Health Eff Inst. 1–27. 1991.PubMed/NCBI

26 

Hoogervorst EM, de Vries A, Beems RB, van Oostrom CT, Wester PW, Vos JG, Bruins W, Roodbergen M, Cassee FR, Vijg J, et al: Combined oral benzo[a]pyrene and inhalatory ozone exposure have no effect on lung tumor development in DNA repair-deficient Xpa mice. Carcinogenesis. 24:613–619. 2003. View Article : Google Scholar : PubMed/NCBI

27 

Witschi H, Wilson DW and Plopper CG: Modulation of N-nitrosodiethylamine-induced hamster lung tumors by ozone. Toxicology. 77:193–202. 1993. View Article : Google Scholar : PubMed/NCBI

28 

Last JA, Warren DL, Pecquet-Goad E and Witschi H: Modification by ozone of lung tumor development in mice. J Natl Cancer Inst. 78:149–154. 1987. View Article : Google Scholar : PubMed/NCBI

29 

Teke K, Ozkan TA, Cebeci OO, Yilmaz H, Keles ME, Ozkan L, Dillioglugil MO, Yildiz DK and Dillioglugil O: Preventive effect of intravesical ozone supplementation on n-methyl-n-nitrosourea-induced non-muscle invasive bladder cancer in male rats. Exp Anim. 66:191–198. 2017. View Article : Google Scholar : PubMed/NCBI

30 

Kiziltan HŞ, Bayir AG, Yucesan G, Eris AH, İdin K, Karatoprak C, Aydin T, Akcakaya A and Mayadagli A: Medical ozone and radiotherapy in a peritoneal, Erlich-ascites, tumor-cell model. Altern Ther Health Med. 21:24–29. 2015.PubMed/NCBI

31 

Schulz S, Haussler U, Mandic R, Heverhagen JT, Neubauer A, Dünne AA, Werner JA, Weihe E and Bette M: Treatment with ozone/oxygen-pneumoperitoneum results in complete remission of rabbit squamous cell carcinomas. Int J Cancer. 122:2360–2367. 2008. View Article : Google Scholar : PubMed/NCBI

32 

Rossmann A, Mandic R, Heinis J, Höffken H, Küssner O, Kinscherf R, Weihe E and Bette M: Intraperitoneal oxidative stress in rabbits with papillomavirus-associated head and neck cancer induces tumoricidal immune response that is adoptively transferable. Clin Cancer Res. 20:4289–4301. 2014. View Article : Google Scholar : PubMed/NCBI

33 

Bocci V: Does ozone really ‘cure’ cancer? Int J Cancer. 123:12222008. View Article : Google Scholar : PubMed/NCBI

34 

Luongo M, Brigida AL, Mascolo L and Gaudino G: Possible therapeutic effects of ozone mixture on hypoxia in tumor development. Anticancer Res. 37:425–435. 2017. View Article : Google Scholar : PubMed/NCBI

35 

Louis DN, Perry A, Reifenberger G, von Deimling A, Figarella-Branger D, Cavenee WK, Ohgaki H, Wiestler OD, Kleihues P and Ellison DW: The 2016 World Health Organization Classification of tumors of the central nervous system: A summary. Acta Neuropathol. 131:803–820. 2016. View Article : Google Scholar : PubMed/NCBI

36 

Delic S, Lottmann N, Jetschke K, Reifenberger G and Riemenschneider MJ: Identification and functional validation of CDH11, PCSK6 and SH3GL3 as novel glioma invasion-associated candidate genes. Neuropathol Appl Neurobiol. 38:201–212. 2012. View Article : Google Scholar : PubMed/NCBI

37 

Karnofsky DA: The bases for cancer chemotherapy. Stanford Med Bull. 6:257–269. 1948.PubMed/NCBI

38 

Kewley RJ, Whitelaw ML and Chapman-Smith A: The mammalian basic helix-loop-helix/PAS family of transcriptional regulators. Int J Biochem Cell Biol. 36:189–204. 2004. View Article : Google Scholar : PubMed/NCBI

39 

Semenza GL: Regulation of mammalian O2 homeostasis by hypoxia-inducible factor 1. Annu Rev Cell Dev Biol. 15:551–578. 1999. View Article : Google Scholar : PubMed/NCBI

40 

Wenger RH, Stiehl DP and Camenisch G: Integration of oxygen signaling at the consensus HRE. Sci STKE. 2005:re122005.PubMed/NCBI

41 

Semenza GL: HIF-1 and mechanisms of hypoxia sensing. Curr Opin Cell Biol. 13:167–171. 2001. View Article : Google Scholar : PubMed/NCBI

42 

Lee SJ, Song L, Yang MC, Mao CP, Yang B, Yang A, Jeang J, Peng S, Wu TC and Hung CF: Local administration of granulocyte macrophage colony-stimulating factor induces local accumulation of dendritic cells and antigen-specific CD8+ T cells and enhances dendritic cell cross-presentation. Vaccine. 33:1549–1555. 2015. View Article : Google Scholar : PubMed/NCBI

43 

Kucuksezer UC, Zekiroglu E, Kasapoglu P, Adin-Cinar S, Aktas-Cetin E and Deniz G: A stimulatory role of ozone exposure on human natural killer cells. Immunol Invest. 43:1–12. 2014. View Article : Google Scholar : PubMed/NCBI

44 

Andreula CF, Simonetti L, De Santis F, Agati R, Ricci R and Leonardi M: Minimally invasive oxygen-ozone therapy for lumbar disk herniation. AJNR Am J Neuroradiol. 24:996–1000. 2003.PubMed/NCBI

45 

Adeberg S, Bostel T, König L, Welzel T, Debus J and Combs SE: A comparison of long-term survivors and short-term survivors with glioblastoma, subventricular zone involvement: A predictive factor for survival? Radiat Oncol. 9:952014. View Article : Google Scholar : PubMed/NCBI

Related Articles

  • Abstract
  • View
  • Download
  • Twitter
Copy and paste a formatted citation
Spandidos Publications style
Megele R, Riemenschneider MJ, Dodoo‑Schittko F, Feyrer M and Kleindienst A: Intra‑tumoral treatment with oxygen‑ozone in glioblastoma: A systematic literature search and results of a case series. Oncol Lett 16: 5813-5822, 2018.
APA
Megele, R., Riemenschneider, M.J., Dodoo‑Schittko, F., Feyrer, M., & Kleindienst, A. (2018). Intra‑tumoral treatment with oxygen‑ozone in glioblastoma: A systematic literature search and results of a case series. Oncology Letters, 16, 5813-5822. https://doi.org/10.3892/ol.2018.9397
MLA
Megele, R., Riemenschneider, M. J., Dodoo‑Schittko, F., Feyrer, M., Kleindienst, A."Intra‑tumoral treatment with oxygen‑ozone in glioblastoma: A systematic literature search and results of a case series". Oncology Letters 16.5 (2018): 5813-5822.
Chicago
Megele, R., Riemenschneider, M. J., Dodoo‑Schittko, F., Feyrer, M., Kleindienst, A."Intra‑tumoral treatment with oxygen‑ozone in glioblastoma: A systematic literature search and results of a case series". Oncology Letters 16, no. 5 (2018): 5813-5822. https://doi.org/10.3892/ol.2018.9397
Copy and paste a formatted citation
x
Spandidos Publications style
Megele R, Riemenschneider MJ, Dodoo‑Schittko F, Feyrer M and Kleindienst A: Intra‑tumoral treatment with oxygen‑ozone in glioblastoma: A systematic literature search and results of a case series. Oncol Lett 16: 5813-5822, 2018.
APA
Megele, R., Riemenschneider, M.J., Dodoo‑Schittko, F., Feyrer, M., & Kleindienst, A. (2018). Intra‑tumoral treatment with oxygen‑ozone in glioblastoma: A systematic literature search and results of a case series. Oncology Letters, 16, 5813-5822. https://doi.org/10.3892/ol.2018.9397
MLA
Megele, R., Riemenschneider, M. J., Dodoo‑Schittko, F., Feyrer, M., Kleindienst, A."Intra‑tumoral treatment with oxygen‑ozone in glioblastoma: A systematic literature search and results of a case series". Oncology Letters 16.5 (2018): 5813-5822.
Chicago
Megele, R., Riemenschneider, M. J., Dodoo‑Schittko, F., Feyrer, M., Kleindienst, A."Intra‑tumoral treatment with oxygen‑ozone in glioblastoma: A systematic literature search and results of a case series". Oncology Letters 16, no. 5 (2018): 5813-5822. https://doi.org/10.3892/ol.2018.9397
Follow us
  • Twitter
  • LinkedIn
  • Facebook
About
  • Spandidos Publications
  • Careers
  • Cookie Policy
  • Privacy Policy
How can we help?
  • Help
  • Live Chat
  • Contact
  • Email to our Support Team