Spandidos Publications Logo
  • About
    • About Spandidos
    • Aims and Scopes
    • Abstracting and Indexing
    • Editorial Policies
    • Reprints and Permissions
    • Job Opportunities
    • Terms and Conditions
    • Contact
  • Journals
    • All Journals
    • Oncology Letters
      • Oncology Letters
      • Information for Authors
      • Editorial Policies
      • Editorial Board
      • Aims and Scope
      • Abstracting and Indexing
      • Bibliographic Information
      • Archive
    • International Journal of Oncology
      • International Journal of Oncology
      • Information for Authors
      • Editorial Policies
      • Editorial Board
      • Aims and Scope
      • Abstracting and Indexing
      • Bibliographic Information
      • Archive
    • Molecular and Clinical Oncology
      • Molecular and Clinical Oncology
      • Information for Authors
      • Editorial Policies
      • Editorial Board
      • Aims and Scope
      • Abstracting and Indexing
      • Bibliographic Information
      • Archive
    • Experimental and Therapeutic Medicine
      • Experimental and Therapeutic Medicine
      • Information for Authors
      • Editorial Policies
      • Editorial Board
      • Aims and Scope
      • Abstracting and Indexing
      • Bibliographic Information
      • Archive
    • International Journal of Molecular Medicine
      • International Journal of Molecular Medicine
      • Information for Authors
      • Editorial Policies
      • Editorial Board
      • Aims and Scope
      • Abstracting and Indexing
      • Bibliographic Information
      • Archive
    • Biomedical Reports
      • Biomedical Reports
      • Information for Authors
      • Editorial Policies
      • Editorial Board
      • Aims and Scope
      • Abstracting and Indexing
      • Bibliographic Information
      • Archive
    • Oncology Reports
      • Oncology Reports
      • Information for Authors
      • Editorial Policies
      • Editorial Board
      • Aims and Scope
      • Abstracting and Indexing
      • Bibliographic Information
      • Archive
    • Molecular Medicine Reports
      • Molecular Medicine Reports
      • Information for Authors
      • Editorial Policies
      • Editorial Board
      • Aims and Scope
      • Abstracting and Indexing
      • Bibliographic Information
      • Archive
    • World Academy of Sciences Journal
      • World Academy of Sciences Journal
      • Information for Authors
      • Editorial Policies
      • Editorial Board
      • Aims and Scope
      • Abstracting and Indexing
      • Bibliographic Information
      • Archive
    • International Journal of Functional Nutrition
      • International Journal of Functional Nutrition
      • Information for Authors
      • Editorial Policies
      • Editorial Board
      • Aims and Scope
      • Abstracting and Indexing
      • Bibliographic Information
      • Archive
    • International Journal of Epigenetics
      • International Journal of Epigenetics
      • Information for Authors
      • Editorial Policies
      • Editorial Board
      • Aims and Scope
      • Abstracting and Indexing
      • Bibliographic Information
      • Archive
    • Medicine International
      • Medicine International
      • Information for Authors
      • Editorial Policies
      • Editorial Board
      • Aims and Scope
      • Abstracting and Indexing
      • Bibliographic Information
      • Archive
  • Articles
  • Information
    • Information for Authors
    • Information for Reviewers
    • Information for Librarians
    • Information for Advertisers
    • Conferences
  • Language Editing
Spandidos Publications Logo
  • About
    • About Spandidos
    • Aims and Scopes
    • Abstracting and Indexing
    • Editorial Policies
    • Reprints and Permissions
    • Job Opportunities
    • Terms and Conditions
    • Contact
  • Journals
    • All Journals
    • Biomedical Reports
      • Information for Authors
      • Editorial Policies
      • Editorial Board
      • Aims and Scope
      • Abstracting and Indexing
      • Bibliographic Information
      • Archive
    • Experimental and Therapeutic Medicine
      • Information for Authors
      • Editorial Policies
      • Editorial Board
      • Aims and Scope
      • Abstracting and Indexing
      • Bibliographic Information
      • Archive
    • International Journal of Epigenetics
      • Information for Authors
      • Editorial Policies
      • Editorial Board
      • Aims and Scope
      • Abstracting and Indexing
      • Bibliographic Information
      • Archive
    • International Journal of Functional Nutrition
      • Information for Authors
      • Editorial Policies
      • Editorial Board
      • Aims and Scope
      • Abstracting and Indexing
      • Bibliographic Information
      • Archive
    • International Journal of Molecular Medicine
      • Information for Authors
      • Editorial Policies
      • Editorial Board
      • Aims and Scope
      • Abstracting and Indexing
      • Bibliographic Information
      • Archive
    • International Journal of Oncology
      • Information for Authors
      • Editorial Policies
      • Editorial Board
      • Aims and Scope
      • Abstracting and Indexing
      • Bibliographic Information
      • Archive
    • Medicine International
      • Information for Authors
      • Editorial Policies
      • Editorial Board
      • Aims and Scope
      • Abstracting and Indexing
      • Bibliographic Information
      • Archive
    • Molecular and Clinical Oncology
      • Information for Authors
      • Editorial Policies
      • Editorial Board
      • Aims and Scope
      • Abstracting and Indexing
      • Bibliographic Information
      • Archive
    • Molecular Medicine Reports
      • Information for Authors
      • Editorial Policies
      • Editorial Board
      • Aims and Scope
      • Abstracting and Indexing
      • Bibliographic Information
      • Archive
    • Oncology Letters
      • Information for Authors
      • Editorial Policies
      • Editorial Board
      • Aims and Scope
      • Abstracting and Indexing
      • Bibliographic Information
      • Archive
    • Oncology Reports
      • Information for Authors
      • Editorial Policies
      • Editorial Board
      • Aims and Scope
      • Abstracting and Indexing
      • Bibliographic Information
      • Archive
    • World Academy of Sciences Journal
      • Information for Authors
      • Editorial Policies
      • Editorial Board
      • Aims and Scope
      • Abstracting and Indexing
      • Bibliographic Information
      • Archive
  • Articles
  • Information
    • For Authors
    • For Reviewers
    • For Librarians
    • For Advertisers
    • Conferences
  • Language Editing
Login Register Submit
  • This site uses cookies
  • You can change your cookie settings at any time by following the instructions in our Cookie Policy. To find out more, you may read our Privacy Policy.

    I agree
Search articles by DOI, keyword, author or affiliation
Search
Advanced Search
presentation
Oncology Letters
Join Editorial Board Propose a Special Issue
Print ISSN: 1792-1074 Online ISSN: 1792-1082
Journal Cover
February-2019 Volume 17 Issue 2

Full Size Image

Sign up for eToc alerts
Recommend to Library

Journals

International Journal of Molecular Medicine

International Journal of Molecular Medicine

International Journal of Molecular Medicine is an international journal devoted to molecular mechanisms of human disease.

International Journal of Oncology

International Journal of Oncology

International Journal of Oncology is an international journal devoted to oncology research and cancer treatment.

Molecular Medicine Reports

Molecular Medicine Reports

Covers molecular medicine topics such as pharmacology, pathology, genetics, neuroscience, infectious diseases, molecular cardiology, and molecular surgery.

Oncology Reports

Oncology Reports

Oncology Reports is an international journal devoted to fundamental and applied research in Oncology.

Experimental and Therapeutic Medicine

Experimental and Therapeutic Medicine

Experimental and Therapeutic Medicine is an international journal devoted to laboratory and clinical medicine.

Oncology Letters

Oncology Letters

Oncology Letters is an international journal devoted to Experimental and Clinical Oncology.

Biomedical Reports

Biomedical Reports

Explores a wide range of biological and medical fields, including pharmacology, genetics, microbiology, neuroscience, and molecular cardiology.

Molecular and Clinical Oncology

Molecular and Clinical Oncology

International journal addressing all aspects of oncology research, from tumorigenesis and oncogenes to chemotherapy and metastasis.

World Academy of Sciences Journal

World Academy of Sciences Journal

Multidisciplinary open-access journal spanning biochemistry, genetics, neuroscience, environmental health, and synthetic biology.

International Journal of Functional Nutrition

International Journal of Functional Nutrition

Open-access journal combining biochemistry, pharmacology, immunology, and genetics to advance health through functional nutrition.

International Journal of Epigenetics

International Journal of Epigenetics

Publishes open-access research on using epigenetics to advance understanding and treatment of human disease.

Medicine International

Medicine International

An International Open Access Journal Devoted to General Medicine.

Journal Cover
February-2019 Volume 17 Issue 2

Full Size Image

Sign up for eToc alerts
Recommend to Library

  • Article
  • Citations
    • Cite This Article
    • Download Citation
    • Create Citation Alert
    • Remove Citation Alert
    • Cited By
  • Similar Articles
    • Related Articles (in Spandidos Publications)
    • Similar Articles (Google Scholar)
    • Similar Articles (PubMed)
  • Download PDF
  • Download XML
  • View XML
Article Open Access

Orbital precursor B‑lymphoblastic lymphoma involving the extraocular muscles in a 56‑year‑old male and a review of the literature

  • Authors:
    • Rasmus Ejstrup
    • Lauge Hjorth Mikkelsen
    • Mette Klarskov Andersen
    • Erik Clasen‑Linde
    • Lise Mette Rahbek Gjerdrum
    • Setareh Safavi
    • Steffen Heegaard
  • View Affiliations / Copyright

    Affiliations: Department of Ophthalmology, Rigshospitalet, Copenhagen University Hospital, 2100 Copenhagen, Denmark, Department of Clinical Genetics, Rigshospitalet, Copenhagen University Hospital, 2100 Copenhagen, Denmark, Department of Pathology, Rigshospitalet, Copenhagen University Hospital, 2100 Copenhagen, Denmark, Department of Pathology, Zealand University Hospital, 4000 Roskilde, Denmark
    Copyright: © Ejstrup et al. This is an open access article distributed under the terms of Creative Commons Attribution License.
  • Pages: 1477-1482
    |
    Published online on: November 19, 2018
       https://doi.org/10.3892/ol.2018.9725
  • Expand metrics +
Metrics: Total Views: 0 (Spandidos Publications: | PMC Statistics: )
Metrics: Total PDF Downloads: 0 (Spandidos Publications: | PMC Statistics: )
Cited By (CrossRef): 0 citations Loading Articles...

This article is mentioned in:



Abstract

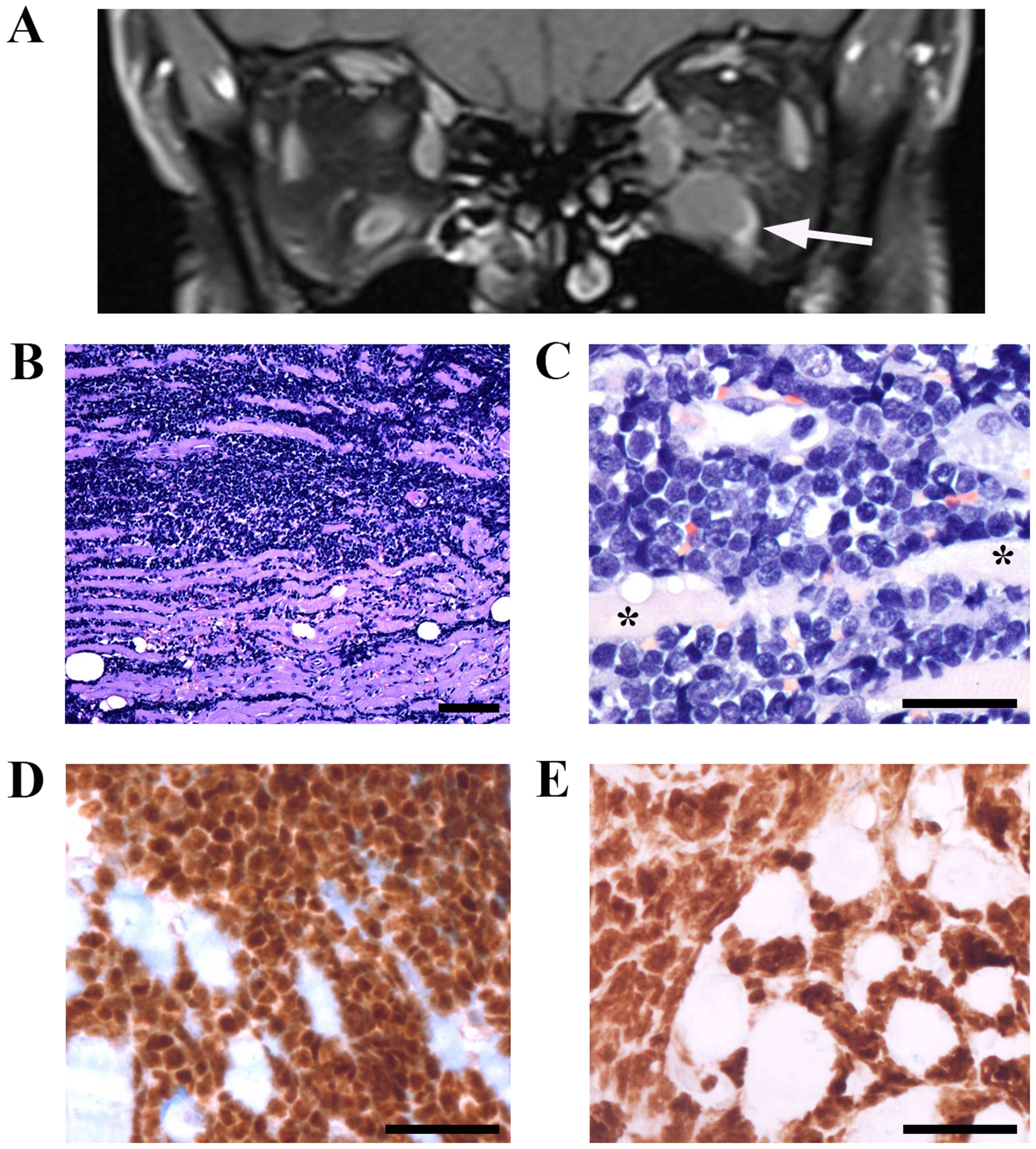
The aim of the present study was to describe a rare case of orbital precursor B‑lymphoblastic lymphoma (B‑LBL) in an adult. A 56‑year‑old male in complete remission of a gastric precursor B‑LBL was referred to our orbital clinic due to rapid development of left‑sided painless periorbital swelling, diplopia, and proptosis. Complete ophthalmoplegia was observed. Notably, magnetic resonance imaging showed swelling of the medial and inferior rectus muscles in the left orbit and biopsies were performed. Following histological diagnosis of precursor B‑LBL, the patient was treated with radiotherapy (2Gy x 20) and chemotherapy according to the NOPHO ALL 2008 protocol. The disease progressed and the patient succumbed after 5 months. Histomorphologically, a lymphoblastic infiltrate was observed within the skeletal muscle tissue. The tumor cells were small and immature, and stained strongly for cluster of differentiating (CD)10, CD79a, paired box 5 and B cell lymphoma‑2. The Ki‑67 proliferative index was 90%. Multiplex ligation‑dependent probe amplification and array comparative genomic hybridization detected whole chromosomal gain of X and 12, and both hemizygous and homozygous deletion on 9p comprising cyclin dependent kinase inhibitor 2A/B. Furthermore, array comparative genomic hybridization detected copy number imbalances consisting of focal or smaller deletions on chromosomes 1, 9, 10, 11 and 20. The final diagnosis was precursor B‑LBL relapse in the extraocular muscles. Orbital precursor B‑LBL is extremely rare in adults, and the diagnosis may be challenging to make. It is recommended to obtain material for cytogenetic and molecular analyses.
View Figures

Figure 1

Figure 2

Figure 3

Figure 4

View References

1 

Bassan R, Maino E and Cortelazzo S: Lymphoblastic lymphoma: An updated review on biology, diagnosis, and treatment. Eur J Haematol. 96:447–460. 2016. View Article : Google Scholar : PubMed/NCBI

2 

Thakker MM, Rubin PA and Chang E: Pre-B-cell acute lymphoblastic leukemia presenting as an orbital mass in an 8-month-old. Ophthalmology. 113:343–346. 2006. View Article : Google Scholar : PubMed/NCBI

3 

Chou YC, Shih IH, Yang CP, Kuo TT and Hong HS: Concurrent mycosis fungoides and precursor B cell lymphoblastic lymphoma in a 6-year-old child. Pediatr Dermatol. 22:23–25. 2005. View Article : Google Scholar : PubMed/NCBI

4 

Alford MA, Nerad JA, Conlan RM, Comito M and Giller RH: Precursor B-cell lymphoblastic lymphoma presenting as an orbital mass. Orbit. 18:17–24. 1999. View Article : Google Scholar : PubMed/NCBI

5 

Faridpooya K, Mulder MM, Merks JH, de Smet MD, Pals ST and Saeed P: Precursor B lymphoblastic lymphoma of the orbit in a child: An unusual presentation of a non-Hodgkin lymphoma. Orbit. 25:153–157. 2006. View Article : Google Scholar : PubMed/NCBI

6 

Ferry JA, Fung CY, Zukerberg L, Lucarelli MJ, Hasserjian RP, Preffer FI and Harris NL: Lymphoma of the ocular adnexa: A study of 353 cases. Am J Surg Pathol. 31:170–184. 2007. View Article : Google Scholar : PubMed/NCBI

7 

Ramamoorthy J, Jain R, Trehan A, Saxena AK and Ahluwalia J: Orbital mass in a child with acute lymphoblastic leukemia: A case report and review of the literature. J Pediatr Hematol Oncol. 38:646–648. 2016. View Article : Google Scholar : PubMed/NCBI

8 

Watkins LM, Carter KD and Nerad JA: Ocular adnexal lymphoma of the extraocular muscles: Case series from the University of Iowa and review of the literature. Ophthalmic Plast Reconstr Surg. 27:471–476. 2011. View Article : Google Scholar : PubMed/NCBI

9 

Chin EK, Granier A, Hunter AA III, Dwyre DM and Lin LK: Extraocular muscle enlargement leading to the diagnoses of Burkitt lymphoma and acquired immune deficiency syndrome. Ophthalmic Plast Reconstr Surg. 29:e157–e159. 2013. View Article : Google Scholar : PubMed/NCBI

10 

Dias JS, Dittrich MA, Sousa JM, Teixeira LF and Manso PG: Medial rectus muscle myositis as an atypical presentation of mucosa-associated lymphatic tissue lymphoma: A case report. Arq Bras Oftalmol. 77:116–168. 2014. View Article : Google Scholar : PubMed/NCBI

11 

Guo PD, Xian JF, Man FY, Liu ZH, Yan F, Zhao J and Wang ZC: Magnetic resonance imaging features of extraocular muscle lymphoma in five cases. Chin Med J (Engl). 129:2384–2385. 2016. View Article : Google Scholar : PubMed/NCBI

12 

Stenman L, Persson M, Enlund F, Clasen-Linde E, Stenman G and Heegaard S: Primary orbital precursor T-cell lymphoblastic lymphoma: Report of a unique case. Mol Clin Oncol. 5:593–595. 2016. View Article : Google Scholar : PubMed/NCBI

13 

Jain P, Kantarjian H, Jain N, Short NJ, Yin CC, Kanagal-Shamanna R, Khoury J, Konopleva M, Sasaki K, Kadia TM, et al: Clinical characteristics and outcomes of previously untreated patients with adult onset T-acute lymphoblastic leukemia and T-lymphoblastic lymphoma with hyper-CVAD based regimens. Am J Hematol. 92:E595–E597. 2017. View Article : Google Scholar : PubMed/NCBI

14 

Toft N, Birgens H, Abrahamsson J, Bernell P, Griškevičius L, Hallböök H, Heyman M, Holm MS, Hulegårdh E, Klausen TW, et al: Risk group assignment differs for children and adults 1–45 yr with acute lymphoblastic leukemia treated by the NOPHO ALL-2008 protocol. Eur J Haematol. 90:404–412. 2013. View Article : Google Scholar : PubMed/NCBI

15 

Mikkelsen LH, Andreasen S, Melchior LC, Persson M, Andersen JD, Pereira V, Toft PB, Morling N, Stenman G and Heegaard S: Genomic and immunohistochemical characterisation of a lacrimal gland oncocytoma and review of literature. Oncol Lett. 14:4176–4182. 2017. View Article : Google Scholar : PubMed/NCBI

16 

Schejbel L, Schmidt IM, Kirchhoff M, Andersen CB, Marquart HV, Zipfel P and Garred P: Complement factor H deficiency and endocapillary glomerulonephritis due to paternal isodisomy and a novel factor H mutation. Genes Immun. 12:90–99. 2011. View Article : Google Scholar : PubMed/NCBI

17 

Björklund E, Mazur J, Söderhäll S and Porwit-MacDonald A: Flow cytometric follow-up of minimal residual disease in bone marrow gives prognostic information in children with acute lymphoblastic leukemia. Leukemia. 17:138–148. 2003. View Article : Google Scholar : PubMed/NCBI

18 

Bonn BR, Rohde M, Zimmermann M, Krieger D, Oschlies I, Niggli F, Wrobel G, Attarbaschi A, Escherich G, Klapper W, et al: Incidence and prognostic relevance of genetic variations in T-cell lymphoblastic lymphoma in childhood and adolescence. Blood. 121:3153–3160. 2013. View Article : Google Scholar : PubMed/NCBI

19 

Swerdlow SH, Campo E, Harris NL, Jaffe ES, Pileri SA, Stein H and Thiele J: WHO classification of tumours of haematopoietic and lymphoid tissues. Revised 4th edition. Lyon: IARC; 2017

20 

Safavi S, Hansson M, Karlsson K, Biloglav A, Johansson B and Paulsson K: Novel gene targets detected by genomic profiling in a consecutive series of 126 adults with acute lymphoblastic leukemia. Haematologica. 100:55–61. 2015. View Article : Google Scholar : PubMed/NCBI

21 

Ou Z, Sherer M, Casey J, Bakos HA, Vitullo K, Hu J, Friehling E, Gollin SM, Surti U and Yatsenko SA: The genomic landscape of PAX5, IKZF1, and CDKN2A/B alterations in B-cell precursor acute lymphoblastic leukemia. Cytogenet Genome Res. 150:242–252. 2016. View Article : Google Scholar : PubMed/NCBI

Related Articles

  • Abstract
  • View
  • Download
  • Twitter
Copy and paste a formatted citation
Spandidos Publications style
Ejstrup R, Mikkelsen LH, Andersen MK, Clasen‑Linde E, Gjerdrum LM, Safavi S and Heegaard S: Orbital precursor B‑lymphoblastic lymphoma involving the extraocular muscles in a 56‑year‑old male and a review of the literature. Oncol Lett 17: 1477-1482, 2019.
APA
Ejstrup, R., Mikkelsen, L.H., Andersen, M.K., Clasen‑Linde, E., Gjerdrum, L.M., Safavi, S., & Heegaard, S. (2019). Orbital precursor B‑lymphoblastic lymphoma involving the extraocular muscles in a 56‑year‑old male and a review of the literature. Oncology Letters, 17, 1477-1482. https://doi.org/10.3892/ol.2018.9725
MLA
Ejstrup, R., Mikkelsen, L. H., Andersen, M. K., Clasen‑Linde, E., Gjerdrum, L. M., Safavi, S., Heegaard, S."Orbital precursor B‑lymphoblastic lymphoma involving the extraocular muscles in a 56‑year‑old male and a review of the literature". Oncology Letters 17.2 (2019): 1477-1482.
Chicago
Ejstrup, R., Mikkelsen, L. H., Andersen, M. K., Clasen‑Linde, E., Gjerdrum, L. M., Safavi, S., Heegaard, S."Orbital precursor B‑lymphoblastic lymphoma involving the extraocular muscles in a 56‑year‑old male and a review of the literature". Oncology Letters 17, no. 2 (2019): 1477-1482. https://doi.org/10.3892/ol.2018.9725
Copy and paste a formatted citation
x
Spandidos Publications style
Ejstrup R, Mikkelsen LH, Andersen MK, Clasen‑Linde E, Gjerdrum LM, Safavi S and Heegaard S: Orbital precursor B‑lymphoblastic lymphoma involving the extraocular muscles in a 56‑year‑old male and a review of the literature. Oncol Lett 17: 1477-1482, 2019.
APA
Ejstrup, R., Mikkelsen, L.H., Andersen, M.K., Clasen‑Linde, E., Gjerdrum, L.M., Safavi, S., & Heegaard, S. (2019). Orbital precursor B‑lymphoblastic lymphoma involving the extraocular muscles in a 56‑year‑old male and a review of the literature. Oncology Letters, 17, 1477-1482. https://doi.org/10.3892/ol.2018.9725
MLA
Ejstrup, R., Mikkelsen, L. H., Andersen, M. K., Clasen‑Linde, E., Gjerdrum, L. M., Safavi, S., Heegaard, S."Orbital precursor B‑lymphoblastic lymphoma involving the extraocular muscles in a 56‑year‑old male and a review of the literature". Oncology Letters 17.2 (2019): 1477-1482.
Chicago
Ejstrup, R., Mikkelsen, L. H., Andersen, M. K., Clasen‑Linde, E., Gjerdrum, L. M., Safavi, S., Heegaard, S."Orbital precursor B‑lymphoblastic lymphoma involving the extraocular muscles in a 56‑year‑old male and a review of the literature". Oncology Letters 17, no. 2 (2019): 1477-1482. https://doi.org/10.3892/ol.2018.9725
Follow us
  • Twitter
  • LinkedIn
  • Facebook
About
  • Spandidos Publications
  • Careers
  • Cookie Policy
  • Privacy Policy
How can we help?
  • Help
  • Live Chat
  • Contact
  • Email to our Support Team