Spandidos Publications Logo
  • About
    • About Spandidos
    • Aims and Scopes
    • Abstracting and Indexing
    • Editorial Policies
    • Reprints and Permissions
    • Job Opportunities
    • Terms and Conditions
    • Contact
  • Journals
    • All Journals
    • Oncology Letters
      • Oncology Letters
      • Information for Authors
      • Editorial Policies
      • Editorial Board
      • Aims and Scope
      • Abstracting and Indexing
      • Bibliographic Information
      • Archive
    • International Journal of Oncology
      • International Journal of Oncology
      • Information for Authors
      • Editorial Policies
      • Editorial Board
      • Aims and Scope
      • Abstracting and Indexing
      • Bibliographic Information
      • Archive
    • Molecular and Clinical Oncology
      • Molecular and Clinical Oncology
      • Information for Authors
      • Editorial Policies
      • Editorial Board
      • Aims and Scope
      • Abstracting and Indexing
      • Bibliographic Information
      • Archive
    • Experimental and Therapeutic Medicine
      • Experimental and Therapeutic Medicine
      • Information for Authors
      • Editorial Policies
      • Editorial Board
      • Aims and Scope
      • Abstracting and Indexing
      • Bibliographic Information
      • Archive
    • International Journal of Molecular Medicine
      • International Journal of Molecular Medicine
      • Information for Authors
      • Editorial Policies
      • Editorial Board
      • Aims and Scope
      • Abstracting and Indexing
      • Bibliographic Information
      • Archive
    • Biomedical Reports
      • Biomedical Reports
      • Information for Authors
      • Editorial Policies
      • Editorial Board
      • Aims and Scope
      • Abstracting and Indexing
      • Bibliographic Information
      • Archive
    • Oncology Reports
      • Oncology Reports
      • Information for Authors
      • Editorial Policies
      • Editorial Board
      • Aims and Scope
      • Abstracting and Indexing
      • Bibliographic Information
      • Archive
    • Molecular Medicine Reports
      • Molecular Medicine Reports
      • Information for Authors
      • Editorial Policies
      • Editorial Board
      • Aims and Scope
      • Abstracting and Indexing
      • Bibliographic Information
      • Archive
    • World Academy of Sciences Journal
      • World Academy of Sciences Journal
      • Information for Authors
      • Editorial Policies
      • Editorial Board
      • Aims and Scope
      • Abstracting and Indexing
      • Bibliographic Information
      • Archive
    • International Journal of Functional Nutrition
      • International Journal of Functional Nutrition
      • Information for Authors
      • Editorial Policies
      • Editorial Board
      • Aims and Scope
      • Abstracting and Indexing
      • Bibliographic Information
      • Archive
    • International Journal of Epigenetics
      • International Journal of Epigenetics
      • Information for Authors
      • Editorial Policies
      • Editorial Board
      • Aims and Scope
      • Abstracting and Indexing
      • Bibliographic Information
      • Archive
    • Medicine International
      • Medicine International
      • Information for Authors
      • Editorial Policies
      • Editorial Board
      • Aims and Scope
      • Abstracting and Indexing
      • Bibliographic Information
      • Archive
  • Articles
  • Information
    • Information for Authors
    • Information for Reviewers
    • Information for Librarians
    • Information for Advertisers
    • Conferences
  • Language Editing
Spandidos Publications Logo
  • About
    • About Spandidos
    • Aims and Scopes
    • Abstracting and Indexing
    • Editorial Policies
    • Reprints and Permissions
    • Job Opportunities
    • Terms and Conditions
    • Contact
  • Journals
    • All Journals
    • Biomedical Reports
      • Information for Authors
      • Editorial Policies
      • Editorial Board
      • Aims and Scope
      • Abstracting and Indexing
      • Bibliographic Information
      • Archive
    • Experimental and Therapeutic Medicine
      • Information for Authors
      • Editorial Policies
      • Editorial Board
      • Aims and Scope
      • Abstracting and Indexing
      • Bibliographic Information
      • Archive
    • International Journal of Epigenetics
      • Information for Authors
      • Editorial Policies
      • Editorial Board
      • Aims and Scope
      • Abstracting and Indexing
      • Bibliographic Information
      • Archive
    • International Journal of Functional Nutrition
      • Information for Authors
      • Editorial Policies
      • Editorial Board
      • Aims and Scope
      • Abstracting and Indexing
      • Bibliographic Information
      • Archive
    • International Journal of Molecular Medicine
      • Information for Authors
      • Editorial Policies
      • Editorial Board
      • Aims and Scope
      • Abstracting and Indexing
      • Bibliographic Information
      • Archive
    • International Journal of Oncology
      • Information for Authors
      • Editorial Policies
      • Editorial Board
      • Aims and Scope
      • Abstracting and Indexing
      • Bibliographic Information
      • Archive
    • Medicine International
      • Information for Authors
      • Editorial Policies
      • Editorial Board
      • Aims and Scope
      • Abstracting and Indexing
      • Bibliographic Information
      • Archive
    • Molecular and Clinical Oncology
      • Information for Authors
      • Editorial Policies
      • Editorial Board
      • Aims and Scope
      • Abstracting and Indexing
      • Bibliographic Information
      • Archive
    • Molecular Medicine Reports
      • Information for Authors
      • Editorial Policies
      • Editorial Board
      • Aims and Scope
      • Abstracting and Indexing
      • Bibliographic Information
      • Archive
    • Oncology Letters
      • Information for Authors
      • Editorial Policies
      • Editorial Board
      • Aims and Scope
      • Abstracting and Indexing
      • Bibliographic Information
      • Archive
    • Oncology Reports
      • Information for Authors
      • Editorial Policies
      • Editorial Board
      • Aims and Scope
      • Abstracting and Indexing
      • Bibliographic Information
      • Archive
    • World Academy of Sciences Journal
      • Information for Authors
      • Editorial Policies
      • Editorial Board
      • Aims and Scope
      • Abstracting and Indexing
      • Bibliographic Information
      • Archive
  • Articles
  • Information
    • For Authors
    • For Reviewers
    • For Librarians
    • For Advertisers
    • Conferences
  • Language Editing
Login Register Submit
  • This site uses cookies
  • You can change your cookie settings at any time by following the instructions in our Cookie Policy. To find out more, you may read our Privacy Policy.

    I agree
Search articles by DOI, keyword, author or affiliation
Search
Advanced Search
presentation
Oncology Letters
Join Editorial Board Propose a Special Issue
Print ISSN: 1792-1074 Online ISSN: 1792-1082
Journal Cover
September-2019 Volume 18 Issue 3

Full Size Image

Sign up for eToc alerts
Recommend to Library

Journals

International Journal of Molecular Medicine

International Journal of Molecular Medicine

International Journal of Molecular Medicine is an international journal devoted to molecular mechanisms of human disease.

International Journal of Oncology

International Journal of Oncology

International Journal of Oncology is an international journal devoted to oncology research and cancer treatment.

Molecular Medicine Reports

Molecular Medicine Reports

Covers molecular medicine topics such as pharmacology, pathology, genetics, neuroscience, infectious diseases, molecular cardiology, and molecular surgery.

Oncology Reports

Oncology Reports

Oncology Reports is an international journal devoted to fundamental and applied research in Oncology.

Experimental and Therapeutic Medicine

Experimental and Therapeutic Medicine

Experimental and Therapeutic Medicine is an international journal devoted to laboratory and clinical medicine.

Oncology Letters

Oncology Letters

Oncology Letters is an international journal devoted to Experimental and Clinical Oncology.

Biomedical Reports

Biomedical Reports

Explores a wide range of biological and medical fields, including pharmacology, genetics, microbiology, neuroscience, and molecular cardiology.

Molecular and Clinical Oncology

Molecular and Clinical Oncology

International journal addressing all aspects of oncology research, from tumorigenesis and oncogenes to chemotherapy and metastasis.

World Academy of Sciences Journal

World Academy of Sciences Journal

Multidisciplinary open-access journal spanning biochemistry, genetics, neuroscience, environmental health, and synthetic biology.

International Journal of Functional Nutrition

International Journal of Functional Nutrition

Open-access journal combining biochemistry, pharmacology, immunology, and genetics to advance health through functional nutrition.

International Journal of Epigenetics

International Journal of Epigenetics

Publishes open-access research on using epigenetics to advance understanding and treatment of human disease.

Medicine International

Medicine International

An International Open Access Journal Devoted to General Medicine.

Journal Cover
September-2019 Volume 18 Issue 3

Full Size Image

Sign up for eToc alerts
Recommend to Library

  • Article
  • Citations
    • Cite This Article
    • Download Citation
    • Create Citation Alert
    • Remove Citation Alert
    • Cited By
  • Similar Articles
    • Related Articles (in Spandidos Publications)
    • Similar Articles (Google Scholar)
    • Similar Articles (PubMed)
  • Download PDF
  • Download XML
  • View XML
Article

Cryptotanshinone inhibits lung cancer invasion via microRNA‑133a/matrix metalloproteinase 14 regulation

  • Authors:
    • Huijuan Wang
    • Yanshan Zhang
    • Yingguo Zhang
    • Wenling Liu
    • Jihong Wang
  • View Affiliations / Copyright

    Affiliations: Department of Tumor Chemotherapy, Tumor Hospital of Wuwei, Wuwei, Gansu 733000, P.R. China, Department of Thoracic Surgery, Tumor Hospital of Wuwei, Wuwei, Gansu 733000, P.R. China
  • Pages: 2554-2559
    |
    Published online on: July 5, 2019
       https://doi.org/10.3892/ol.2019.10580
  • Expand metrics +
Metrics: Total Views: 0 (Spandidos Publications: | PMC Statistics: )
Metrics: Total PDF Downloads: 0 (Spandidos Publications: | PMC Statistics: )
Cited By (CrossRef): 0 citations Loading Articles...

This article is mentioned in:



Abstract

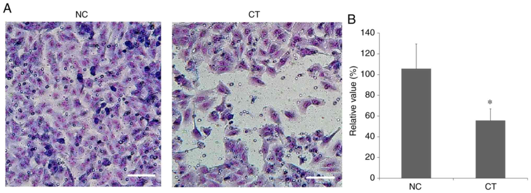
Cryptotanshinone inhibits the proliferative and colony formation abilities of human non‑small cell lung cancer cells (NSCLCs). The present study reported that signal transducer and activator of transcription 3 is not the only target of cryptotanshinone during the inhibition of human NSCLCs. It was identified that cryptotanshinone upregulates the expression levels of microRNA (miR)‑30d‑5p, miR‑126‑3p, miR‑133a, miR‑338‑3p and miR‑451a, and downregulates miR‑21‑5p, miR‑96‑5p, miR‑182‑5p and miR‑205‑5p. Among these, miR‑133a was the most significantly upregulated. miR‑133a targets and downregulates the expression of matrix metalloproteinase (MMP)14; however, MMP15, MMP16 and MMP24 were determined to be unaffected. This process was identified to be independent of tissue inhibitor of metalloproteinases 2. Cryptotanshinone also suppresses the invasion of human NSCLCs, which may be due to the inhibited expression of MMP14. In conclusion, cryptotanshinone may serve as a potential therapeutic agent in the treatment of lung cancer.
View Figures

Figure 1

Figure 2

Figure 3

Figure 4

Figure 5

View References

1 

Korrodi-Gregório L, Soto-Cerrato V, Vitorino R, Fardilha M and Pérez-Tomás R: From Proteomic Analysis to Potential Therapeutic Targets: Functional Profile of Two Lung Cancer Cell Lines, A549 and SW900, Widely Studied in Pre-Clinical Research. PLoS One. 11:e01659732016. View Article : Google Scholar : PubMed/NCBI

2 

Bray F, Ferlay J, Soerjomataram I, Siegel RL, Torre LA and Jemal A: Global cancer statistics 2018: GLOBOCAN estimates of incidence and mortality worldwide for 36 cancers in 185 countries. CA Cancer J Clin. 68:394–424. 2018. View Article : Google Scholar : PubMed/NCBI

3 

Maj E, Filip-Psurska B, Milczarek M, Psurski M, Kutner A and Wietrzyk J: Vitamin D derivatives potentiate the anticancer and anti-angiogenic activity of tyrosine kinase inhibitors in combination with cytostatic drugs in an A549 non-small cell lung cancer model. Int J Oncol. 52:337–366. 2018.PubMed/NCBI

4 

Chen W, Lu Y, Chen G and Huang S: Molecular evidence of cryptotanshinone for treatment and prevention of human cancer. Anticancer Agents Med Chem. 13:979–987. 2013. View Article : Google Scholar : PubMed/NCBI

5 

Chen L, Wang HJ, Xie W, Yao Y, Zhang YS and Wang H: Cryptotanshinone inhibits lung tumorigenesis and induces apoptosis in cancer cells in vitro and in vivo. Mol Med Rep. 9:2447–2452. 2014. View Article : Google Scholar : PubMed/NCBI

6 

Lu L, Zhang S, Li C, Zhou C, Li D, Liu P, Huang M and Shen X: Cryptotanshinone inhibits human glioma cell proliferation in vitro and in vivo through SHP-2-dependent inhibition of STAT3 activation. Cell Death Dis. 8:e27672017. View Article : Google Scholar : PubMed/NCBI

7 

Shen L and Zhang G, Lou Z, Xu G and Zhang G: Cryptotanshinone enhances the effect of Arsenic trioxide in treating liver cancer cell by inducing apoptosis through downregulating phosphorylated- STAT3 in vitro and in vivo. BMC Complement Altern Med. 17:1062017. View Article : Google Scholar : PubMed/NCBI

8 

Macfarlane LA and Murphy PR: MicroRNA: Biogenesis, Function and Role in Cancer. Curr Genomics. 11:537–561. 2010. View Article : Google Scholar : PubMed/NCBI

9 

Pratap P, Raza ST, Abbas S and Mahdi F: MicroRNA-associated carcinogenesis in lung carcinoma. J Cancer Res Ther. 14:249–254. 2018.PubMed/NCBI

10 

Castro D, Moreira M, Gouveia AM, Pozza DH and De Mello RA: MicroRNAs in lung cancer. Oncotarget. 8:81679–81685. 2017. View Article : Google Scholar : PubMed/NCBI

11 

Osada H and Takahashi T: let-7 and miR-17-92: small-sized major players in lung cancer development. Cancer Sci. 102:9–17. 2011. View Article : Google Scholar : PubMed/NCBI

12 

Kim YH, Lee WK, Lee EB, Son JW, Kim DS and Park JY: Combined Effect of Metastasis-Related MicroRNA, miR-34 and miR-124 Family, Methylation on Prognosis of Non-Small-Cell Lung Cancer. Clin Lung Cancer. 18:e13–e20. 2017. View Article : Google Scholar : PubMed/NCBI

13 

Zhou Y, Wu D, Tao J, Qu P, Zhou Z and Hou J: MicroRNA-133 inhibits cell proliferation, migration and invasion by targeting epidermal growth factor receptor and its downstream effector proteins in bladder cancer. Scand J Urol. 47:423–432. 2013. View Article : Google Scholar : PubMed/NCBI

14 

Guttilla IK and White BA: Coordinate regulation of FOXO1 by miR-27a, miR-96, and miR-182 in breast cancer cells. J Biol Chem. 284:23204–23216. 2009. View Article : Google Scholar : PubMed/NCBI

15 

Ortmann RA, Cheng T, Visconti R, Frucht DM and O'Shea JJ: Janus kinases and signal transducers and activators of transcription: Their roles in cytokine signaling, development and immunoregulation. Arthritis Res. 2:16–32. 2000. View Article : Google Scholar : PubMed/NCBI

16 

Pastuszak-Lewandoska D, Domańska-Senderowska D, Kordiak J, Antczak A, Czarnecka KH, Migdalska-Sęk M, Nawrot E, Kiszałkiewicz JM and Brzeziańska-Lasota E: Immunoexpression analysis of selected JAK/STAT pathway molecules in patients with non- small-cell lung cancer. Pol Arch Intern Med. 127:758–764. 2017.PubMed/NCBI

17 

Zhang Y, Chen L, Li F, Wang H, Yao Y, Shu J and Ying MZ: Cryptotanshinone protects against adriamycin-induced mitochondrial dysfunction in cardiomyocytes. Pharm Biol. 54:237–242. 2016. View Article : Google Scholar : PubMed/NCBI

18 

Chiba T, Nishimoto I, Aiso S and Matsuoka M: Neuroprotection against neurodegenerative diseases: Development of a novel hybrid neuroprotective peptide Colivelin. Mol Neurobiol. 35:55–84. 2007. View Article : Google Scholar : PubMed/NCBI

19 

Wu W: MicroRNA, Noise, and Gene Expression Regulation. Methods Mol Biol. 1699:91–96. 2018. View Article : Google Scholar : PubMed/NCBI

20 

Stankevicius V, Kuodyte K, Schveigert D, Bulotiene D, Paulauskas T, Daniunaite K and Suziedelis K: Gene and miRNA expression profiles of mouse Lewis lung carcinoma LLC1 cells following single or fractionated dose irradiation. Oncol Lett. 13:4190–4200. 2017. View Article : Google Scholar : PubMed/NCBI

21 

Tallant C, Marrero A and Gomis-Rüth FX: Matrix metalloproteinases: Fold and function of their catalytic domains. Biochim Biophys Acta. 1803:20–28. 2010. View Article : Google Scholar : PubMed/NCBI

22 

Li S, Lu J, Chen Y, Xiong N, Li L, Zhang J, Yang H, Wu C, Zeng H and Liu Y: MCP-1-induced ERK/GSK-3β/Snail signaling facilitates the epithelial-mesenchymal transition and promotes the migration of MCF-7 human breast carcinoma cells. Cell Mol Immunol. 14:621–630. 2017. View Article : Google Scholar : PubMed/NCBI

23 

Jabłońska-Trypuć A, Matejczyk M and Rosochacki S: Matrix metalloproteinases (MMPs), the main extracellular matrix (ECM) enzymes in collagen degradation, as a target for anticancer drugs. J Enzyme Inhib Med Chem. 31 (Supp 1):177–183. 2016. View Article : Google Scholar : PubMed/NCBI

24 

Chen Q, Jin M, Yang F, Zhu J, Xiao Q and Zhang L: Matrix metalloproteinases: Inflammatory regulators of cell behaviors in vascular formation and remodeling. Mediators Inflamm. 2013:9283152013. View Article : Google Scholar : PubMed/NCBI

25 

Xu J, Liu XJ, Li L, Zhang SH, Li Y, Gao RJ and Zhen YS: An engineered TIMP2-based and enediyne-integrated fusion protein for targeting MMP-14 shows potent antitumor efficacy. Oncotarget. 6:26322–26334. 2015. View Article : Google Scholar : PubMed/NCBI

26 

Prideaux M, Staines KA, Jones ER, Riley GP, Pitsillides AA and Farquharson C: MMP and TIMP temporal gene expression during osteocytogenesis. Gene Expr Patterns. 18:29–36. 2015. View Article : Google Scholar : PubMed/NCBI

27 

Xu M and Wang YZ: miR 133a suppresses cell proliferation, migration and invasion in human lung cancer by targeting MMP 14. Oncol Rep. 30:1398–1404. 2013. View Article : Google Scholar : PubMed/NCBI

28 

Zhang Y, Yao Y, Wang H, Guo Y, Zhang H and Chen L: Effects of salidroside on glioma formation and growth inhibition together with improvement of tumor microenvironment. Chin J Cancer Res. 25:520–526. 2013.PubMed/NCBI

29 

Yao Y, Liu S, Wang Y, Yuan W, Ding X, Cheng T, Shen Q and Gu J: Suppression of cytochrome P450 reductase expression promotes astrocytosis in subventricular zone of adult mice. Neurosci Lett. 548:84–89. 2013. View Article : Google Scholar : PubMed/NCBI

30 

Guan X: Cancer metastases: Challenges and opportunities. Acta Pharm Sin B. 5:402–418. 2015. View Article : Google Scholar : PubMed/NCBI

31 

Perlikos F, Harrington KJ and Syrigos KN: Key molecular mechanisms in lung cancer invasion and metastasis: A comprehensive review. Crit Rev Oncol Hematol. 87:1–11. 2013. View Article : Google Scholar : PubMed/NCBI

32 

Pawelek JM and Chakraborty AK: The cancer cell - leukocyte fusion theory of metastasis. Adv Cancer Res. 101:397–444. 2008. View Article : Google Scholar : PubMed/NCBI

Related Articles

  • Abstract
  • View
  • Download
  • Twitter
Copy and paste a formatted citation
Spandidos Publications style
Wang H, Zhang Y, Zhang Y, Liu W and Wang J: Cryptotanshinone inhibits lung cancer invasion via microRNA‑133a/matrix metalloproteinase 14 regulation. Oncol Lett 18: 2554-2559, 2019.
APA
Wang, H., Zhang, Y., Zhang, Y., Liu, W., & Wang, J. (2019). Cryptotanshinone inhibits lung cancer invasion via microRNA‑133a/matrix metalloproteinase 14 regulation. Oncology Letters, 18, 2554-2559. https://doi.org/10.3892/ol.2019.10580
MLA
Wang, H., Zhang, Y., Zhang, Y., Liu, W., Wang, J."Cryptotanshinone inhibits lung cancer invasion via microRNA‑133a/matrix metalloproteinase 14 regulation". Oncology Letters 18.3 (2019): 2554-2559.
Chicago
Wang, H., Zhang, Y., Zhang, Y., Liu, W., Wang, J."Cryptotanshinone inhibits lung cancer invasion via microRNA‑133a/matrix metalloproteinase 14 regulation". Oncology Letters 18, no. 3 (2019): 2554-2559. https://doi.org/10.3892/ol.2019.10580
Copy and paste a formatted citation
x
Spandidos Publications style
Wang H, Zhang Y, Zhang Y, Liu W and Wang J: Cryptotanshinone inhibits lung cancer invasion via microRNA‑133a/matrix metalloproteinase 14 regulation. Oncol Lett 18: 2554-2559, 2019.
APA
Wang, H., Zhang, Y., Zhang, Y., Liu, W., & Wang, J. (2019). Cryptotanshinone inhibits lung cancer invasion via microRNA‑133a/matrix metalloproteinase 14 regulation. Oncology Letters, 18, 2554-2559. https://doi.org/10.3892/ol.2019.10580
MLA
Wang, H., Zhang, Y., Zhang, Y., Liu, W., Wang, J."Cryptotanshinone inhibits lung cancer invasion via microRNA‑133a/matrix metalloproteinase 14 regulation". Oncology Letters 18.3 (2019): 2554-2559.
Chicago
Wang, H., Zhang, Y., Zhang, Y., Liu, W., Wang, J."Cryptotanshinone inhibits lung cancer invasion via microRNA‑133a/matrix metalloproteinase 14 regulation". Oncology Letters 18, no. 3 (2019): 2554-2559. https://doi.org/10.3892/ol.2019.10580
Follow us
  • Twitter
  • LinkedIn
  • Facebook
About
  • Spandidos Publications
  • Careers
  • Cookie Policy
  • Privacy Policy
How can we help?
  • Help
  • Live Chat
  • Contact
  • Email to our Support Team