Spandidos Publications Logo
  • About
    • About Spandidos
    • Aims and Scopes
    • Abstracting and Indexing
    • Editorial Policies
    • Reprints and Permissions
    • Job Opportunities
    • Terms and Conditions
    • Contact
  • Journals
    • All Journals
    • Oncology Letters
      • Oncology Letters
      • Information for Authors
      • Editorial Policies
      • Editorial Board
      • Aims and Scope
      • Abstracting and Indexing
      • Bibliographic Information
      • Archive
    • International Journal of Oncology
      • International Journal of Oncology
      • Information for Authors
      • Editorial Policies
      • Editorial Board
      • Aims and Scope
      • Abstracting and Indexing
      • Bibliographic Information
      • Archive
    • Molecular and Clinical Oncology
      • Molecular and Clinical Oncology
      • Information for Authors
      • Editorial Policies
      • Editorial Board
      • Aims and Scope
      • Abstracting and Indexing
      • Bibliographic Information
      • Archive
    • Experimental and Therapeutic Medicine
      • Experimental and Therapeutic Medicine
      • Information for Authors
      • Editorial Policies
      • Editorial Board
      • Aims and Scope
      • Abstracting and Indexing
      • Bibliographic Information
      • Archive
    • International Journal of Molecular Medicine
      • International Journal of Molecular Medicine
      • Information for Authors
      • Editorial Policies
      • Editorial Board
      • Aims and Scope
      • Abstracting and Indexing
      • Bibliographic Information
      • Archive
    • Biomedical Reports
      • Biomedical Reports
      • Information for Authors
      • Editorial Policies
      • Editorial Board
      • Aims and Scope
      • Abstracting and Indexing
      • Bibliographic Information
      • Archive
    • Oncology Reports
      • Oncology Reports
      • Information for Authors
      • Editorial Policies
      • Editorial Board
      • Aims and Scope
      • Abstracting and Indexing
      • Bibliographic Information
      • Archive
    • Molecular Medicine Reports
      • Molecular Medicine Reports
      • Information for Authors
      • Editorial Policies
      • Editorial Board
      • Aims and Scope
      • Abstracting and Indexing
      • Bibliographic Information
      • Archive
    • World Academy of Sciences Journal
      • World Academy of Sciences Journal
      • Information for Authors
      • Editorial Policies
      • Editorial Board
      • Aims and Scope
      • Abstracting and Indexing
      • Bibliographic Information
      • Archive
    • International Journal of Functional Nutrition
      • International Journal of Functional Nutrition
      • Information for Authors
      • Editorial Policies
      • Editorial Board
      • Aims and Scope
      • Abstracting and Indexing
      • Bibliographic Information
      • Archive
    • International Journal of Epigenetics
      • International Journal of Epigenetics
      • Information for Authors
      • Editorial Policies
      • Editorial Board
      • Aims and Scope
      • Abstracting and Indexing
      • Bibliographic Information
      • Archive
    • Medicine International
      • Medicine International
      • Information for Authors
      • Editorial Policies
      • Editorial Board
      • Aims and Scope
      • Abstracting and Indexing
      • Bibliographic Information
      • Archive
  • Articles
  • Information
    • Information for Authors
    • Information for Reviewers
    • Information for Librarians
    • Information for Advertisers
    • Conferences
  • Language Editing
Spandidos Publications Logo
  • About
    • About Spandidos
    • Aims and Scopes
    • Abstracting and Indexing
    • Editorial Policies
    • Reprints and Permissions
    • Job Opportunities
    • Terms and Conditions
    • Contact
  • Journals
    • All Journals
    • Biomedical Reports
      • Information for Authors
      • Editorial Policies
      • Editorial Board
      • Aims and Scope
      • Abstracting and Indexing
      • Bibliographic Information
      • Archive
    • Experimental and Therapeutic Medicine
      • Information for Authors
      • Editorial Policies
      • Editorial Board
      • Aims and Scope
      • Abstracting and Indexing
      • Bibliographic Information
      • Archive
    • International Journal of Epigenetics
      • Information for Authors
      • Editorial Policies
      • Editorial Board
      • Aims and Scope
      • Abstracting and Indexing
      • Bibliographic Information
      • Archive
    • International Journal of Functional Nutrition
      • Information for Authors
      • Editorial Policies
      • Editorial Board
      • Aims and Scope
      • Abstracting and Indexing
      • Bibliographic Information
      • Archive
    • International Journal of Molecular Medicine
      • Information for Authors
      • Editorial Policies
      • Editorial Board
      • Aims and Scope
      • Abstracting and Indexing
      • Bibliographic Information
      • Archive
    • International Journal of Oncology
      • Information for Authors
      • Editorial Policies
      • Editorial Board
      • Aims and Scope
      • Abstracting and Indexing
      • Bibliographic Information
      • Archive
    • Medicine International
      • Information for Authors
      • Editorial Policies
      • Editorial Board
      • Aims and Scope
      • Abstracting and Indexing
      • Bibliographic Information
      • Archive
    • Molecular and Clinical Oncology
      • Information for Authors
      • Editorial Policies
      • Editorial Board
      • Aims and Scope
      • Abstracting and Indexing
      • Bibliographic Information
      • Archive
    • Molecular Medicine Reports
      • Information for Authors
      • Editorial Policies
      • Editorial Board
      • Aims and Scope
      • Abstracting and Indexing
      • Bibliographic Information
      • Archive
    • Oncology Letters
      • Information for Authors
      • Editorial Policies
      • Editorial Board
      • Aims and Scope
      • Abstracting and Indexing
      • Bibliographic Information
      • Archive
    • Oncology Reports
      • Information for Authors
      • Editorial Policies
      • Editorial Board
      • Aims and Scope
      • Abstracting and Indexing
      • Bibliographic Information
      • Archive
    • World Academy of Sciences Journal
      • Information for Authors
      • Editorial Policies
      • Editorial Board
      • Aims and Scope
      • Abstracting and Indexing
      • Bibliographic Information
      • Archive
  • Articles
  • Information
    • For Authors
    • For Reviewers
    • For Librarians
    • For Advertisers
    • Conferences
  • Language Editing
Login Register Submit
  • This site uses cookies
  • You can change your cookie settings at any time by following the instructions in our Cookie Policy. To find out more, you may read our Privacy Policy.

    I agree
Search articles by DOI, keyword, author or affiliation
Search
Advanced Search
presentation
Oncology Letters
Join Editorial Board Propose a Special Issue
Print ISSN: 1792-1074 Online ISSN: 1792-1082
Journal Cover
January-2022 Volume 23 Issue 1

Full Size Image

Sign up for eToc alerts
Recommend to Library

Journals

International Journal of Molecular Medicine

International Journal of Molecular Medicine

International Journal of Molecular Medicine is an international journal devoted to molecular mechanisms of human disease.

International Journal of Oncology

International Journal of Oncology

International Journal of Oncology is an international journal devoted to oncology research and cancer treatment.

Molecular Medicine Reports

Molecular Medicine Reports

Covers molecular medicine topics such as pharmacology, pathology, genetics, neuroscience, infectious diseases, molecular cardiology, and molecular surgery.

Oncology Reports

Oncology Reports

Oncology Reports is an international journal devoted to fundamental and applied research in Oncology.

Experimental and Therapeutic Medicine

Experimental and Therapeutic Medicine

Experimental and Therapeutic Medicine is an international journal devoted to laboratory and clinical medicine.

Oncology Letters

Oncology Letters

Oncology Letters is an international journal devoted to Experimental and Clinical Oncology.

Biomedical Reports

Biomedical Reports

Explores a wide range of biological and medical fields, including pharmacology, genetics, microbiology, neuroscience, and molecular cardiology.

Molecular and Clinical Oncology

Molecular and Clinical Oncology

International journal addressing all aspects of oncology research, from tumorigenesis and oncogenes to chemotherapy and metastasis.

World Academy of Sciences Journal

World Academy of Sciences Journal

Multidisciplinary open-access journal spanning biochemistry, genetics, neuroscience, environmental health, and synthetic biology.

International Journal of Functional Nutrition

International Journal of Functional Nutrition

Open-access journal combining biochemistry, pharmacology, immunology, and genetics to advance health through functional nutrition.

International Journal of Epigenetics

International Journal of Epigenetics

Publishes open-access research on using epigenetics to advance understanding and treatment of human disease.

Medicine International

Medicine International

An International Open Access Journal Devoted to General Medicine.

Journal Cover
January-2022 Volume 23 Issue 1

Full Size Image

Sign up for eToc alerts
Recommend to Library

  • Article
  • Citations
    • Cite This Article
    • Download Citation
    • Create Citation Alert
    • Remove Citation Alert
    • Cited By
  • Similar Articles
    • Related Articles (in Spandidos Publications)
    • Similar Articles (Google Scholar)
    • Similar Articles (PubMed)
  • Download PDF
  • Download XML
  • View XML
Article

Correlation between promoter methylation of the LDH‑C4 gene and DNMT expression in breast cancer and their prognostic significance

  • Authors:
    • Jiandong Zhang
    • Fengxia Zhang
    • Fengqin Zhang
    • Hua Wu
    • Bei Zhang
    • Xiangyun Wu
  • View Affiliations / Copyright

    Affiliations: Clinical Laboratory, The Third Hospital of Hebei Medical University, Shijiazhuang, Hebei 050011, P.R. China, Nursing Department, Hengshui Health School, Hengshui, Hebei 050000, P.R. China, Pathology Department, Hengshui People's Hospital of Hebei Medical University, Hengshui, Hebei 050000, P.R. China
  • Article Number: 35
    |
    Published online on: December 1, 2021
       https://doi.org/10.3892/ol.2021.13153
  • Expand metrics +
Metrics: Total Views: 0 (Spandidos Publications: | PMC Statistics: )
Metrics: Total PDF Downloads: 0 (Spandidos Publications: | PMC Statistics: )
Cited By (CrossRef): 0 citations Loading Articles...

This article is mentioned in:



Abstract

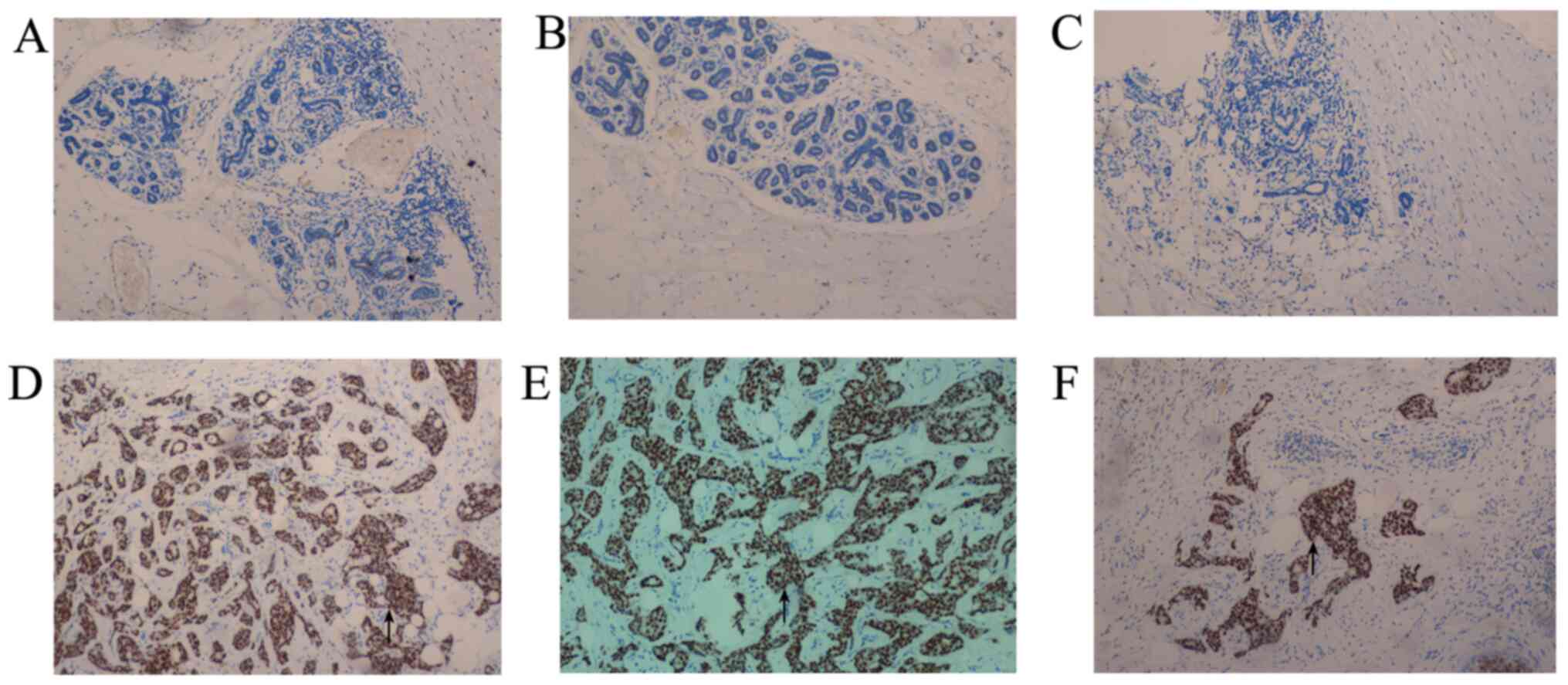
DNA methylation plays an important role in tumorigenesis and development. The potential of aberrant DNA methylation to act as a biomarker for tumor diagnosis and prognostic evaluation is currently being explored. Lactate dehydrogenase C4 (LDH‑C4) is a member of the cancer/testis antigen family that is expressed in a broad range of human tumor types, with particularly high expression patterns observed in lung cancer, melanoma and breast cancer. However, whether the methylation of the promoter region of LDH‑C4 can be used as a tumor marker and its association with prognosis remain poorly understood. The present study aimed to determine the potential of the methylation status of LDH‑C4 and DNA methyltransferase (DNMT) expression to be biological markers for the prognostic evaluation of breast cancer. Methylation‑specific PCR was conducted to evaluate alterations in the methylation levels of LDH‑C4. Immunohistochemical analysis was performed to assess the expression levels of DNMTs in breast cancer tissues. The association between the methylation status of LDH‑C4 or the expression of DNMTs, and clinical pathological parameters was also evaluated. The results of the present study revealed that the demethylation rate of LDH‑C4 in breast cancer tissues was significantly increased compared with that of adjacent tissues, and associations were identified between the demethylation of LDH‑C4 and the histological grade, estrogen receptor, progesterone receptor and HER‑2 status, and lymph node metastasis. The level of LDH‑C4 demethylation was negatively correlated with the expression of DNMTs. Demethylation of the LDH‑C4 promoter and DNMT expression predicted an unfavorable prognosis of patients with breast cancer. In addition, demethylation of the LDH‑C4 promoter, high expression of DNMT3a and DNMT3b, histological grade and lymph node metastasis were all discovered to be independent prognostic factors in patients with breast cancer. In conclusion, results of the present study indicated that the demethylation of LDH‑C4 and DNMT expression levels may be closely associated with the occurrence and development of breast cancer, in addition to lymph node metastasis. Thus, both may be used to assist the clinical evaluation of prognosis.
View Figures

Figure 1

Figure 2

Figure 3

View References

1 

Sung H, Ferlay J, Siegel RL, Laversanne M, Soerjomataram I, Jemal A and Bray F: Global Cancer Statistics 2020: GLOBOCAN Estimates of Incidence and Mortality Worldwide for 36 Cancers in 185 Countries. CA Cancer J Clin. 71:209–249. 2021. View Article : Google Scholar : PubMed/NCBI

2 

Reis-Filho JS and Pusztai L: Gene expression profiling in breast cancer: Classification, prognostication, and prediction. Lancet. 378:1812–1823. 2011. View Article : Google Scholar : PubMed/NCBI

3 

Lnning PE: Breast cancer prognostication and prediction: Are we making progress. Ann Oncol. 18 (Suppl 8):viii3–7. 2007. View Article : Google Scholar : PubMed/NCBI

4 

Shao Y, Sun X, He Y, Liu C and Liu H: Elevated Levels of Serum Tumor Markers CEA and CA15-3 Are Prognostic Parameters for Different Molecular Subtypes of Breast Cancer. PLoS One. 10:e01338302015. View Article : Google Scholar : PubMed/NCBI

5 

Kong L, Du W, Cui Z, Wang L, Yang Z, Zhang H and Lin D: Expression of lactate dehydrogenase C in MDA MB 231 cells and its role in tumor invasion and migration. Mol Med Rep. 13:3533–3538. 2016. View Article : Google Scholar : PubMed/NCBI

6 

Goldberg E, Eddy EM, Duan C and Odet F: LDHC: the ultimate testis-specific gene. J Androl. 31:86–94. 2010. View Article : Google Scholar : PubMed/NCBI

7 

Woodford MR, Chen VZ, Backe SJ, Bratslavsky G and Mollapour M: Structural and functional regulation of lactate dehydrogenase-A in cancer. Future Med Chem. 12:439–455. 2020. View Article : Google Scholar : PubMed/NCBI

8 

Tang H and Goldberg E: Homo sapiens lactate dehydrogenase c (Ldhc) gene expression in cancer cells is regulated by transcription factor Sp1, CREB, and CpG island methylation. J Androl. 30:157–167. 2009. View Article : Google Scholar : PubMed/NCBI

9 

Tang H, Kung A and Goldberg E: Regulation of murine lactate dehydrogenase C (Ldhc) gene expression. Biol Reprod. 78:455–461. 2008. View Article : Google Scholar : PubMed/NCBI

10 

Ding W, Chen G and Shi T: Integrative analysis identifies potential DNA methylation biomarkers for pan-cancer diagnosis and prognosis. Epigenetics. 14:67–80. 2019. View Article : Google Scholar : PubMed/NCBI

11 

Jin B and Robertson KD: DNA methyltransferases, DNA damage repair, and cancer. Adv Exp Med Biol. 754:3–29. 2013. View Article : Google Scholar : PubMed/NCBI

12 

Lam TW, Tong JH, To KF, Chan A, Liew CT, Lai PB and Wong N: Correlative Analysis of DNA Methyltransferase Expression and Promoter Hypermethylation of Tumor Suppressor Genes in Hepatocellular Carcinoma. Cancer Genomics Proteomics. 3:271–277. 2006.PubMed/NCBI

13 

Mirza S, Sharma G, Parshad R, Gupta SD, Pandya P and Ralhan R: Expression of DNA methyltransferases in breast cancer patients and to analyze the effect of natural compounds on DNA methyltransferases and associated proteins. J Breast Cancer. 16:23–31. 2013. View Article : Google Scholar : PubMed/NCBI

14 

Aman NA, Doukoure B, Koffi KD, Koui BS, Traore ZC, Kouyate M, Toure I and Effi AB: Immunohistochemical Evaluation of Ki-67 and Comparison with Clinicopathologic Factors in Breast Carcinomas. Asian Pac J Cancer Prev. 20:73–79. 2019. View Article : Google Scholar : PubMed/NCBI

15 

Parambil NA, Philip S, Tripathy JP, Philip PM, Duraisamy K and Balasubramanian S: Community engaged breast cancer screening program in Kannur District, Kerala, India: A ray of hope for early diagnosis and treatment. Indian J Cancer. 56:222–227. 2019. View Article : Google Scholar : PubMed/NCBI

16 

Banin Hirata BK, Oda JM, Losi Guembarovski R, Ariza CB, de Oliveira CE and Watanabe MA: Molecular markers for breast cancer: prediction on tumor behavior. Dis Markers. 2014.5131582014. PubMed/NCBI

17 

Duan C and Goldberg E: Inhibition of lactate dehydrogenase C4 (LDH-C4) blocks capacitation of mouse sperm in vitro. Cytogenet Genome Res. 103:352–359. 2003. View Article : Google Scholar : PubMed/NCBI

18 

Hogrefe HH, Kaumaya PT and Goldberg E: Immunogenicity of synthetic peptides corresponding to flexible and antibody-accessible segments of mouse lactate dehydrogenase (LDH)-C4. J Biol. 264:10513–10519. 1989.PubMed/NCBI

19 

Grunwald C, Koslowski M, Arsiray T, Dhaene K, Praet M, Victor A, Morresi-Hauf A, Lindner M, Passlick B, Lehr HA, et al: Expression of multiple epigenetically regulated cancer/germline genes in non-small cell lung cancer. Int J Cancer. 118:2522–2528. 2006. View Article : Google Scholar : PubMed/NCBI

20 

Chen L, Wu Q, Xu X, Yang C, You J, Chen F and Zeng Y: Cancer/testis antigen LDHC promotes proliferation and metastasis by activating the PI3K/Akt/GSK-3β-signaling pathway and the in lung adenocarcinoma. Exp Cell Res. 398:1124142021. View Article : Google Scholar : PubMed/NCBI

21 

Cui Z and Chen Y, Hu M, Lin Y, Zhang S, Kong L and Chen Y: Diagnostic and prognostic value of the cancer-testis antigen lactate dehydrogenase C4 in breast cancer. Clin Chim Acta. 503:203–209. 2020. View Article : Google Scholar : PubMed/NCBI

22 

Hua Y, Liang C, Zhu J, Miao C, Yu Y, Xu A, Zhang J, Li P, Li S, Bao M, et al: Expression of lactate dehydrogenase C correlates with poor prognosis in renal cell carcinoma. Tumour Biol. 39:10104283176959682017. View Article : Google Scholar : PubMed/NCBI

23 

Kroft TL, Jethanandani P, McLean DJ and Goldberg E: Methylation of CpG dinucleotides alters binding and silences testis-specific transcription directed by the mouse lactate dehydrogenase C promoter. Biol Reprod. 65:1522–1527. 2001. View Article : Google Scholar : PubMed/NCBI

24 

Hervouet E, Peixoto P, Delage-Mourroux R, Boyer-Guittaut M and Cartron PF: Specific or not specific recruitment of DNMTs for DNA methylation, an epigenetic dilemma. Clin Epigenetics. 10:172018. View Article : Google Scholar : PubMed/NCBI

25 

He M, Fan J, Jiang R, Tang WX and Wang ZW: Expression of DNMTs and genomic DNA methylation in gastric signet ring cell carcinoma. Mol Med Rep. 8:942–948. 2013. View Article : Google Scholar : PubMed/NCBI

26 

Supic G, Kozomara R, Zeljic K, Jovic N and Magic Z: Prognostic value of the DNMTs mRNA expression and genetic polymorphisms on the clinical outcome in oral cancer patients. Clin Oral Investig. 21:173–182. 2017. View Article : Google Scholar : PubMed/NCBI

27 

Wu J, Shuang Z, Zhao J, Tang H, Liu P, Zhang L, Xie X and Xiao X: Linc00152 promotes tumorigenesis by regulating DNMTs in triple-negative breast cancer. Biomed Pharmacother. 97:1275–1281. 2018. View Article : Google Scholar : PubMed/NCBI

28 

Turek-Plewa J and Jagodziński PP: The role of mammalian DNA methyltransferases in the regulation of gene expression. Cell Mol Biol Lett. 10:631–647. 2005.PubMed/NCBI

29 

Jahangiri R, Jamialahmadi K, Gharib M, Emami Razavi A and Mosaffa F: Expression and clinicopathological significance of DNA methyltransferase 1, 3A and 3B in tamoxifen-treated breast cancer patients. Gene. 685:24–31. 2019. View Article : Google Scholar : PubMed/NCBI

Related Articles

  • Abstract
  • View
  • Download
  • Twitter
Copy and paste a formatted citation
Spandidos Publications style
Zhang J, Zhang F, Zhang F, Wu H, Zhang B and Wu X: Correlation between promoter methylation of the LDH‑C4 gene and DNMT expression in breast cancer and their prognostic significance. Oncol Lett 23: 35, 2022.
APA
Zhang, J., Zhang, F., Zhang, F., Wu, H., Zhang, B., & Wu, X. (2022). Correlation between promoter methylation of the LDH‑C4 gene and DNMT expression in breast cancer and their prognostic significance. Oncology Letters, 23, 35. https://doi.org/10.3892/ol.2021.13153
MLA
Zhang, J., Zhang, F., Zhang, F., Wu, H., Zhang, B., Wu, X."Correlation between promoter methylation of the LDH‑C4 gene and DNMT expression in breast cancer and their prognostic significance". Oncology Letters 23.1 (2022): 35.
Chicago
Zhang, J., Zhang, F., Zhang, F., Wu, H., Zhang, B., Wu, X."Correlation between promoter methylation of the LDH‑C4 gene and DNMT expression in breast cancer and their prognostic significance". Oncology Letters 23, no. 1 (2022): 35. https://doi.org/10.3892/ol.2021.13153
Copy and paste a formatted citation
x
Spandidos Publications style
Zhang J, Zhang F, Zhang F, Wu H, Zhang B and Wu X: Correlation between promoter methylation of the LDH‑C4 gene and DNMT expression in breast cancer and their prognostic significance. Oncol Lett 23: 35, 2022.
APA
Zhang, J., Zhang, F., Zhang, F., Wu, H., Zhang, B., & Wu, X. (2022). Correlation between promoter methylation of the LDH‑C4 gene and DNMT expression in breast cancer and their prognostic significance. Oncology Letters, 23, 35. https://doi.org/10.3892/ol.2021.13153
MLA
Zhang, J., Zhang, F., Zhang, F., Wu, H., Zhang, B., Wu, X."Correlation between promoter methylation of the LDH‑C4 gene and DNMT expression in breast cancer and their prognostic significance". Oncology Letters 23.1 (2022): 35.
Chicago
Zhang, J., Zhang, F., Zhang, F., Wu, H., Zhang, B., Wu, X."Correlation between promoter methylation of the LDH‑C4 gene and DNMT expression in breast cancer and their prognostic significance". Oncology Letters 23, no. 1 (2022): 35. https://doi.org/10.3892/ol.2021.13153
Follow us
  • Twitter
  • LinkedIn
  • Facebook
About
  • Spandidos Publications
  • Careers
  • Cookie Policy
  • Privacy Policy
How can we help?
  • Help
  • Live Chat
  • Contact
  • Email to our Support Team