Spandidos Publications Logo
  • About
    • About Spandidos
    • Aims and Scopes
    • Abstracting and Indexing
    • Editorial Policies
    • Reprints and Permissions
    • Job Opportunities
    • Terms and Conditions
    • Contact
  • Journals
    • All Journals
    • Oncology Letters
      • Oncology Letters
      • Information for Authors
      • Editorial Policies
      • Editorial Board
      • Aims and Scope
      • Abstracting and Indexing
      • Bibliographic Information
      • Archive
    • International Journal of Oncology
      • International Journal of Oncology
      • Information for Authors
      • Editorial Policies
      • Editorial Board
      • Aims and Scope
      • Abstracting and Indexing
      • Bibliographic Information
      • Archive
    • Molecular and Clinical Oncology
      • Molecular and Clinical Oncology
      • Information for Authors
      • Editorial Policies
      • Editorial Board
      • Aims and Scope
      • Abstracting and Indexing
      • Bibliographic Information
      • Archive
    • Experimental and Therapeutic Medicine
      • Experimental and Therapeutic Medicine
      • Information for Authors
      • Editorial Policies
      • Editorial Board
      • Aims and Scope
      • Abstracting and Indexing
      • Bibliographic Information
      • Archive
    • International Journal of Molecular Medicine
      • International Journal of Molecular Medicine
      • Information for Authors
      • Editorial Policies
      • Editorial Board
      • Aims and Scope
      • Abstracting and Indexing
      • Bibliographic Information
      • Archive
    • Biomedical Reports
      • Biomedical Reports
      • Information for Authors
      • Editorial Policies
      • Editorial Board
      • Aims and Scope
      • Abstracting and Indexing
      • Bibliographic Information
      • Archive
    • Oncology Reports
      • Oncology Reports
      • Information for Authors
      • Editorial Policies
      • Editorial Board
      • Aims and Scope
      • Abstracting and Indexing
      • Bibliographic Information
      • Archive
    • Molecular Medicine Reports
      • Molecular Medicine Reports
      • Information for Authors
      • Editorial Policies
      • Editorial Board
      • Aims and Scope
      • Abstracting and Indexing
      • Bibliographic Information
      • Archive
    • World Academy of Sciences Journal
      • World Academy of Sciences Journal
      • Information for Authors
      • Editorial Policies
      • Editorial Board
      • Aims and Scope
      • Abstracting and Indexing
      • Bibliographic Information
      • Archive
    • International Journal of Functional Nutrition
      • International Journal of Functional Nutrition
      • Information for Authors
      • Editorial Policies
      • Editorial Board
      • Aims and Scope
      • Abstracting and Indexing
      • Bibliographic Information
      • Archive
    • International Journal of Epigenetics
      • International Journal of Epigenetics
      • Information for Authors
      • Editorial Policies
      • Editorial Board
      • Aims and Scope
      • Abstracting and Indexing
      • Bibliographic Information
      • Archive
    • Medicine International
      • Medicine International
      • Information for Authors
      • Editorial Policies
      • Editorial Board
      • Aims and Scope
      • Abstracting and Indexing
      • Bibliographic Information
      • Archive
  • Articles
  • Information
    • Information for Authors
    • Information for Reviewers
    • Information for Librarians
    • Information for Advertisers
    • Conferences
  • Language Editing
Spandidos Publications Logo
  • About
    • About Spandidos
    • Aims and Scopes
    • Abstracting and Indexing
    • Editorial Policies
    • Reprints and Permissions
    • Job Opportunities
    • Terms and Conditions
    • Contact
  • Journals
    • All Journals
    • Biomedical Reports
      • Information for Authors
      • Editorial Policies
      • Editorial Board
      • Aims and Scope
      • Abstracting and Indexing
      • Bibliographic Information
      • Archive
    • Experimental and Therapeutic Medicine
      • Information for Authors
      • Editorial Policies
      • Editorial Board
      • Aims and Scope
      • Abstracting and Indexing
      • Bibliographic Information
      • Archive
    • International Journal of Epigenetics
      • Information for Authors
      • Editorial Policies
      • Editorial Board
      • Aims and Scope
      • Abstracting and Indexing
      • Bibliographic Information
      • Archive
    • International Journal of Functional Nutrition
      • Information for Authors
      • Editorial Policies
      • Editorial Board
      • Aims and Scope
      • Abstracting and Indexing
      • Bibliographic Information
      • Archive
    • International Journal of Molecular Medicine
      • Information for Authors
      • Editorial Policies
      • Editorial Board
      • Aims and Scope
      • Abstracting and Indexing
      • Bibliographic Information
      • Archive
    • International Journal of Oncology
      • Information for Authors
      • Editorial Policies
      • Editorial Board
      • Aims and Scope
      • Abstracting and Indexing
      • Bibliographic Information
      • Archive
    • Medicine International
      • Information for Authors
      • Editorial Policies
      • Editorial Board
      • Aims and Scope
      • Abstracting and Indexing
      • Bibliographic Information
      • Archive
    • Molecular and Clinical Oncology
      • Information for Authors
      • Editorial Policies
      • Editorial Board
      • Aims and Scope
      • Abstracting and Indexing
      • Bibliographic Information
      • Archive
    • Molecular Medicine Reports
      • Information for Authors
      • Editorial Policies
      • Editorial Board
      • Aims and Scope
      • Abstracting and Indexing
      • Bibliographic Information
      • Archive
    • Oncology Letters
      • Information for Authors
      • Editorial Policies
      • Editorial Board
      • Aims and Scope
      • Abstracting and Indexing
      • Bibliographic Information
      • Archive
    • Oncology Reports
      • Information for Authors
      • Editorial Policies
      • Editorial Board
      • Aims and Scope
      • Abstracting and Indexing
      • Bibliographic Information
      • Archive
    • World Academy of Sciences Journal
      • Information for Authors
      • Editorial Policies
      • Editorial Board
      • Aims and Scope
      • Abstracting and Indexing
      • Bibliographic Information
      • Archive
  • Articles
  • Information
    • For Authors
    • For Reviewers
    • For Librarians
    • For Advertisers
    • Conferences
  • Language Editing
Login Register Submit
  • This site uses cookies
  • You can change your cookie settings at any time by following the instructions in our Cookie Policy. To find out more, you may read our Privacy Policy.

    I agree
Search articles by DOI, keyword, author or affiliation
Search
Advanced Search
presentation
Oncology Letters
Join Editorial Board Propose a Special Issue
Print ISSN: 1792-1074 Online ISSN: 1792-1082
Journal Cover
September-2022 Volume 24 Issue 3

Full Size Image

Sign up for eToc alerts
Recommend to Library

Journals

International Journal of Molecular Medicine

International Journal of Molecular Medicine

International Journal of Molecular Medicine is an international journal devoted to molecular mechanisms of human disease.

International Journal of Oncology

International Journal of Oncology

International Journal of Oncology is an international journal devoted to oncology research and cancer treatment.

Molecular Medicine Reports

Molecular Medicine Reports

Covers molecular medicine topics such as pharmacology, pathology, genetics, neuroscience, infectious diseases, molecular cardiology, and molecular surgery.

Oncology Reports

Oncology Reports

Oncology Reports is an international journal devoted to fundamental and applied research in Oncology.

Experimental and Therapeutic Medicine

Experimental and Therapeutic Medicine

Experimental and Therapeutic Medicine is an international journal devoted to laboratory and clinical medicine.

Oncology Letters

Oncology Letters

Oncology Letters is an international journal devoted to Experimental and Clinical Oncology.

Biomedical Reports

Biomedical Reports

Explores a wide range of biological and medical fields, including pharmacology, genetics, microbiology, neuroscience, and molecular cardiology.

Molecular and Clinical Oncology

Molecular and Clinical Oncology

International journal addressing all aspects of oncology research, from tumorigenesis and oncogenes to chemotherapy and metastasis.

World Academy of Sciences Journal

World Academy of Sciences Journal

Multidisciplinary open-access journal spanning biochemistry, genetics, neuroscience, environmental health, and synthetic biology.

International Journal of Functional Nutrition

International Journal of Functional Nutrition

Open-access journal combining biochemistry, pharmacology, immunology, and genetics to advance health through functional nutrition.

International Journal of Epigenetics

International Journal of Epigenetics

Publishes open-access research on using epigenetics to advance understanding and treatment of human disease.

Medicine International

Medicine International

An International Open Access Journal Devoted to General Medicine.

Journal Cover
September-2022 Volume 24 Issue 3

Full Size Image

Sign up for eToc alerts
Recommend to Library

  • Article
  • Citations
    • Cite This Article
    • Download Citation
    • Create Citation Alert
    • Remove Citation Alert
    • Cited By
  • Similar Articles
    • Related Articles (in Spandidos Publications)
    • Similar Articles (Google Scholar)
    • Similar Articles (PubMed)
  • Download PDF
  • Download XML
  • View XML

  • Supplementary Files
    • Supplementary_Data1.pdf
    • Supplementary_Data2.pdf
Article Open Access

Clinicopathological and histological analysis of secondary malignant giant cell tumors of bone without radiotherapy

  • Authors:
    • Eiji Nakata
    • Hotaka Kawai
    • Tomohiro Fujiwara
    • Toshiyuki Kunisada
    • Hirofumi Inoue
    • Mashu Futagawa
    • Haruyoshi Katayama
    • Takuto Itano
    • Toshifumi Ozaki
  • View Affiliations / Copyright

    Affiliations: Department of Orthopedic Surgery, Okayama University Hospital, Okayama 700‑8558, Japan, Department of Oral Pathology and Medicine, Graduate School of Medicine, Dentistry and Pharmaceutical Sciences, Okayama University, Okayama 700‑8558, Japan, Department of Pathology, Okayama University Hospital, Okayama 700‑8558, Japan, Department of Clinical Genomic Medicine, Graduate School of Medicine, Dentistry and Pharmaceutical Sciences, Okayama University, Okayama 700‑8558, Japan
    Copyright: © Nakata et al. This is an open access article distributed under the terms of Creative Commons Attribution License.
  • Article Number: 319
    |
    Published online on: July 19, 2022
       https://doi.org/10.3892/ol.2022.13439
  • Expand metrics +
Metrics: Total Views: 0 (Spandidos Publications: | PMC Statistics: )
Metrics: Total PDF Downloads: 0 (Spandidos Publications: | PMC Statistics: )
Cited By (CrossRef): 0 citations Loading Articles...

This article is mentioned in:



Abstract

Giant cell tumor of bone (GCTB) is an intermediate bone tumor that rarely undergoes malignant transformation. Secondary malignant GCTB (SMGCTB) is defined as a lesion in which high‑grade sarcoma occurs at the site of previously treated GCTB. The present study retrospectively reviewed the medical records of patients with GCTB treated at Okayama University Hospital between April 1986 and April 2020. The clinicopathological and histological features of patients with SMGCTB without prior radiotherapy were investigated. A total of three patients (4%) with SMGCTB were detected, and the tumor sites were the distal ulna, distal femur and sacrum. Two of the patients had been treated with curettage and bone graft, and one had been treated with denosumab. In all cases, the lesions were made up of two components, the conventional GCTB component and the malignant component. The Ki67 labeling index was higher in the malignant components of SMGCTB and metastatic lesions compared with that in primary and recurrent conventional GCTB, or the conventional GCTB component of SMGCTB. Moreover, p53 expression was higher in these same components in patients who underwent curettage and bone grafting; however, there was no difference in the patient that received denosumab treatment. In this patient, clinical cancer genomic profiling revealed loss of CDKN2A, CDKN2B and MTAP expression. All three patients developed distant metastasis. The patients with SMGCTB in the ulna and femur died 13 and 54 months after detection of malignant transformation, respectively. The patient with SMGCTB in the sacrum received carbon‑ion radiotherapy to the sacrum and pazopanib; the treatment was effective and the patient was alive at the last follow‑up 3 years later. In conclusion, p53 may be associated with malignant transformation in GCTB. Future studies should investigate the association of between denosumab treatment and malignant transformation, as well as molecular targeted therapy to improve the clinical outcomes of SMGCTB.

Introduction

Giant cell tumor of bone (GCTB) is an intermediate bone tumor occurring in the sacrum or other vertebral bones, as well as the epiphysis of long bones, including the distal femur, proximal tibia, distal radius, and proximal humerus (1–3). Moreover, GCTB is relatively rare, accounting for about 3–5% of all primary bone tumors and is most common in patients 20–40 years of age (1–3). GCTB is composed of two types of cells: multinucleated giant cells expressing receptor activator of nuclear factor-kB (RANK) and neoplastic mononuclear stromal cells expressing RANK ligand (RANKL) (4). The interactions between these two cell types induce bone destruction.

Treatment of GCTB often includes curettage and adjuvants such as argon, phenol, alcohol, or polymethylmethacrylate. A bone graft is used to overcome the bone defect. Other procedures, such as radiotherapy (RT) and embolization may be employed in cases where surgery is not possible. However, it is locally aggressive, and recurrence is observed in 15–50% of cases, usually within 3 years after treatment (1–3). Some clinical trials have shown that denosumab, a monoclonal antibody inhibitor of RANKL, is effective in patients with recurrent or unresectable giant cell tumors, although recent studies have demonstrated that it may increase the risk of recurrence (5–7).

Rarely, GCTB undergoes transformation into a malignant tumor, becoming primary or secondary malignant GCTB (SMGCTB) (8–11). Primary malignant GCTB (PMGCTB) is defined as a lesion in which a high-grade sarcoma component appears simultaneously next to the conventional GCTB component at the time of first presentation. SMGCTB is defined as a lesion in which a high-grade sarcoma component occurs at the site of previously treated GCTB. Most MGCTBs are secondary and occur after RT, multiple local recurrences after surgery for GCTB, or late local recurrence (8). The incidence of MGCTB, PMGCTB, and SMGCTB was reported to be 1.1–11.3, 0.5–9.7, and 1.3–5%, respectively among GCTB patients (8). Moreover, because most cases of SMGCTB occur post-RT, they should be classified as radiation-induced sarcomas. True spontaneous SMGCTB following surgery without prior RT treatment is extremely uncommon with an incidence rate of 0.5-1.5% among GCTB cases and has been reported in less than 150 cases (9–31). Furthermore, recent studies have reported the occurrence of SMGCTB following denosumab treatment, with a total of less than 20 cases (6,7,32–40).

Notably, p53 has been proposed to be a cause of SMGCTB development, and it has been reported that p53 is overexpressed in these tumors (41,42). However, there are no reports on continuous changes in p53 expression at the time of primary cancer, recurrence, malignant change, or metastasis.

Surgical resection is the definitive management for resectable SMGCTB (8). However, while resection with wide margins is an achievable goal for SMGCTB located in the limbs, it is more challenging for sacrum or vertebral lesions due to their anatomical complexity (28). Furthermore, chemotherapy is performed for advanced SMGCTB, but only limited data is available regarding the role of chemotherapy in SMGCTB due to its rarity (8). Clinical outcomes of SMGCTB are poor, with a distant metastasis rate of 33–80%, a 5-year disease-free survival rate of 32%, and a 5-year overall survival rate of 40% (8,16,20,30,31). However, these reports include patients treated with various modalities, including RT in most cases, and only a few reports have assessed the clinical outcomes of SMGCTB (30,31). Moreover, evaluation of clinical cancer genomic profiling and the effects of molecular targeted therapy and proton ion therapy have not been reported.

Therefore, we investigated the clinicopathologic and histologic features of SMGCTB in patients not previously treated with RT. We specifically asked the following questions: i) How about the rate of SMGCTB in patients treated with surgery or denosumab? ii) What are the changes of the immunohistochemical features and expression of p53 and Ki67, including primary, recurrence, malignant change, and metastasis? iii) What is the role of clinical cancer genomic profiling and heavy iron treatment and molecular targeted therapy? Furthermore, we reviewed the clinical features of SMGCTB in patients not previously treated with RT and the clinical effects of denosumab.

Patients and methods

Patients

We retrospectively evaluated the medical records of 75 patients with pathologically proven GCTB treated at Okayama University Hospital (Okayama, Japan) between March 1986 and August 2020. The inclusion criterion was a pathologically proven diagnosis of sarcoma. Patients excluded were those followed up for less than one year after surgery, patients with PMGCTB, or treated in other institution. Additionally, 48 patients underwent curettage, and 19 patients underwent resection. None of the patients received RT. We examined the rate of SMGCTB in these patients.

Imaging

Plain X-ray, computed tomography (CT), and magnetic resonance (MR) imaging (MRI) were utilized for initial examination in all cases. CT (Discovery CT750 HD, GE) images, obtained at 120 kV and with a slice thickness of 5 mm, were viewed in the axial, sagittal, and coronal planes. Results of MRI (MEGNETOM Prisma, Siemens) consisted of T1-weighted images, and T2-weighted images were obtained in the axial, sagittal, and coronal planes. In two cases of SMGCTB, we utilized 2-deoxy-2[18F] fluoro-D-glucose positron emission tomography-computed tomography (FDG PET-CT) (Biograph 16; Siemens Medical Solution USA, Knoxville, TN, USA) at a diagnostic imaging center adjacent to our institution. After fasting for at least 5 h, the patients received an intravenous injection of 3.7 MBq/kg 18F-FDG. PET image acquisition was started 90 min after injection of 18F-FDG, with the patient in a relaxed supine position. First, a total-body low-dose CT scan for the calculation of attenuation correction was performed, using a standardized protocol involving 120 kV, auto mA mode, rotation time of 0.5 sec, pitch of 0.8, section thickness of 3 mm, and scan field from the head to the mid-thigh level. Thereafter, PET imaging consisting of 6–8 bed positions with 2.4 min per position over the same region was performed. The PET images were reconstructed with an ordered-subset expectation maximization iterative reconstruction algorithm. Integrated, co-registered PET/CT images were obtained using a workstation that enables image fusion and analysis (syngo. via; Siemens Medical Solution USA).

Pathologic findings of SMGCTB
Preparation for histologic evaluation

All cases were immediately fixed in 4% paraformaldehyde for 12 h then decalcified in 10% ethylenediaminetetraacetic acid at 4°C for 14 days. The tissue was routinely embedded in paraffin, and five thick serial sections were prepared. The sections were subjected to hematoxylin-eosin (HE) and immunohistochemistry (IHC) staining.

Immunohistochemistry

Following antigen retrieval in a cooker heating for 1 or 8 min in 0.01 M Dako Target Retrieval Solution (pH 9; cat. no. S2367; Agilent Technologies, Inc. USA), 5-µm sections were blocked with 10% normal serum (Vector Laboratories, Inc. USA) for 20 min at room temperature and incubated with primary antibodies, including ki67 (cat. no. A0047; 1:50; DAKO, USA), p53 (M7001; 1:50; DAKO, USA) overnight at 4°C. Signals were enhanced using the avidin-biotin complex method (Vector Lab, Burlingame, CA, USA). Color development was performed using 3,3′-diaminobenzidine (Histofine, Nichirei, Tokyo, Japan), and the staining results were observed with an optical microscope (BX53, Olympus, Tokyo, Japan).

Quantification and statistical analysis

To compare the tissue characteristics throughout each time of GCTB progression in the same patient, cell counting was performed in each area. After counterstaining with hematoxylin, the sections were examined microscopically at ×400 magnification. Five areas were chosen randomly in each sample, one hundred cells were counted in each area, and the percentage of positive cells was calculated and compared among the groups. Counting was performed by a pathologist specializing in tumor evaluation. All statistical analyses were conducted using GraphPad Prism 9.1.1. Repeated measures ANOVA followed by Sidak's multiple comparison post hoc test was used to compare differences among more than two groups where necessary. Differences were considered significant at P<0.05. Data are presented as mean ± SD.

Clinical cancer genomic profiling

One patient (Case 3; patient with stage IIA sacral MGCTB) underwent clinical cancer genomic profiling using the FoundationOne Medicine (Cambridge, MA, USA; http://www.foundationmedicine.com/) platform to identify potential targetable molecular aberrations. The FoundationOne®CDx assay is the first and only comprehensive companion diagnostic for all solid tumors approved by the Ministry of Health, Labor, and Welfare in Japan (43). This assay evaluates 309 genes involved in substitutions, insertions/deletions, copy number (CN) alterations, as well as introns of 36 genes related to rearrangements. Genomic DNA was isolated from the formalin-fixed paraffin-embedded tissue samples (excised specimen of the sacrum), and its purity and concentration were determined.

Brief literature review

We performed a literature review to identify other published cases and describe the clinical characteristics of SMGCTB. Searches through the PubMed database were conducted through December 2021, identifying the reports published till April 2021. Keywords employed in the search process included: giant cell tumor, malignancy, and secondary malignant giant cell tumor. The literature search was further limited to articles published in English. We also searched ‘related articles’ of included studies suggested by PubMed.

Results

The frequency of SMGCTB

Eighteen patients experienced local recurrence, and twenty-two patients had received denosumab among 75 patients. Moreover, we investigated SMGCTB in patients without prior RT treatment and detected three patients (4%) with SMGCTB. The patient characteristics are summarized in Table I. Two of the three cases of SMGCTB occurred after surgery and one of the cases occurred after denosumab treatment. There were two men and one woman. The tumors were located in the distal ulna (case 1), distal femur (case 2), and sacrum (case 3). The follow-up periods were 12, 4, and 13 years. Moreover, for initial treatment of GCTB, the patient with the tumor in the distal ulna underwent tumor resection, the patient with the tumor in the distal femur underwent curettage and artificial bone graft, and the patient with the tumor in the sacrum underwent conservative embolization followed by denosumab and resection.

Table I.

Patient characteristics.

Table I.

Patient characteristics.

CaseGenderAge at Presentation, yearsLocationCampanacci classificationInitial treatmentTime to SMGCTB, yearsTreatmentRecurrenceMetastasesOutcome
1Male61Ulna3Surgery7Surgery+Lung and boneDead
2Male23Femur2Surgery3Surgery and chemotherapy-LungDead
3Female23Sacrum3Embolization10Carbonion radio-therapy-Lung and heartAlive
Pathologic finding
Histologic findings of primary and recurrent lesion of conventional GCTB

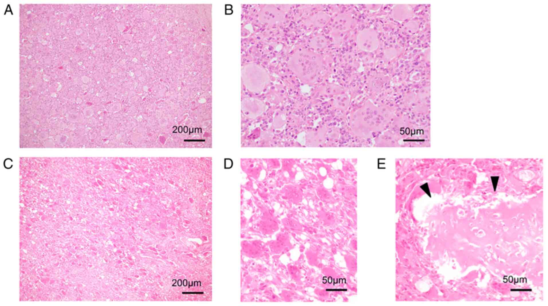
In all cases, the primary tumors were mainly composed of a proliferation of ovular or short, spindle-shaped stromal cells with evenly scattered, osteoclast-type giant cells, diagnosed as conventional GCTB. The tissue pattern was monogenous, and no necrosis was observed. Additionally, mitotic figures were not found in the tumor cells (Fig. 1A and B). The recurrent lesions had a similar pattern to that of the primary specimen (Fig. 1C). Moreover, the multinuclear giant cells were sparsely spread around the ovoid/round or spindle mononuclear stromal cells (Fig. 1D). Additionally, woven bone was observed and was considered to be the remaining artificial bone (Fig. 1E). Finally, no necrotic area or atypical findings were observed.

Figure 1.

Histologic evaluation of (A and B) primary and (C-E) recurrent lesions of conventional giant cell tumor of bone. (A) Low-power image of HE staining. Bar: 200 µm. (B) High-power image of HE staining. Multi-nucleolus giant cells were observed. Stromal cells were oval to short spindle-shaped. Bar: 50 µm. (C) Low-power image of HE staining. Bar: 200 µm. (D and E) High-power image of HE staining. Tissue findings were similar to those of the primary lesion. Woven bone was observed (arrowhead). Bar: 50 µm. HE, hematoxylin and eosin.

Histologic findings of lesion of malignant transformation

In all cases, the lesions of malignant transformation were composed of two components (Fig. 2A). One was a conventional GCTB component (Fig. 2B), and the other was a malignant component (Fig. 2C). In conventional GCTB component is composed of a proliferation of mononuclear, oval, or short, spindle-shaped stromal cells with evenly scattered, multi-nucleolus giant cells. Mitotic figures were not found in these tumor cells (Fig. 2B). In the fibrosarcoma component, there were interlacing fascicular pattern of proliferation of spindle-shaped tumor cells in a collagen background (Fig. 2C). Tumor cells were highly atypical and had hyperchromatic nuclei and atypical mitosis could also be found. Giant cells were banished. A wide necrotic section was observed in the fibrosarcomatous area, where it was possible to find cells that had more eosinophilic cytoplasm with irregular distribution, or flocculation of chromatin and fragmentation, or disappearance of nuclear (Fig. 2D). In the recurrent SMGCTB, fibrosarcomatous tissue was observed similar to that of the first specimen of malignant transformation (Fig. 3A and B). In addition, osteoid formation was observed in some areas (Fig. 3C). These findings were indicative of osteosarcoma. In the osteosarcoma component, the cells were highly anaplastic and pleomorphic with large hyperchromatic nuclei. Moreover, wide necrosis was observed in the specimen of recurrence of SMGCTB (Fig. 3D). No benign components were found. The specimens from lung metastasis were similar to those of recurrent SMGCTB (Fig. 3E) displaying a combination of fibrosarcomatous tissue (Fig. 3F) and osteosarcomatous tissue (Fig. 3G).

Figure 2.

Histologic evaluation of malignant transformation. (A) Low-power image of HE staining. Tissue was divided into three parts; B, benign area; C, malignant area; and D, necrotic area. Bar: 500 µm. (B) High-power image of HE staining in benign area. Multi-nucleolus giant cells were observed (arrowheads). Stromal cells were oval to short spindle-shaped. Bar: 50 µm. (C) High-power image of HE staining in malignant area. Atypical spindle tumor cells were observed, and giant cells were banished. Bar: 50 µm. (D) High-power image of HE staining in necrotic area. Bar: 50 µm. HE, hematoxylin and eosin.

Figure 3.

Histologic evaluation of recurrent and metastatic lesions of secondary malignant giant cell tumor. (A-D) Recurrent lesion. (A) Low-power image of HE staining. Bar: 500 µm. (B-D) High-power image of HE staining. Atypical spindle tumor cells proliferated densely, and small number of giant cells were observed. Bar: 50 µm. Placement of (B-D) was shown as squares in (A). (E-G) Metastatic lesion. (E) Low-power image of HE staining. Bar: 500 µm. (F and G) High-power image of HE staining. Atypical spindle tumor cells and woven bone were observed, and number of giant cells decreased. Placement of (F and G) are shown as squares in (E). Bar: 50 µm. HE, hematoxylin and eosin.

Immunohistochemical evaluation

To investigate the changes of malignant transformation within the same tumor, we performed Ki67 and p53 immunostaining. The Ki67 labeling index increased according to malignant transformation. Histologically, the Ki67 labeling index was low in primary and recurrent conventional GCTB (Fig. 4A and B) and the conventional GCTB component of SMGCTB (Fig. 4C). Meanwhile, it increased in the malignant component of SMGCTB (Fig. 4D) and recurrent and metastatic lesions (Fig. 4E and F). For example, the benign and malignant areas of case 1 displayed significantly different Ki67 labeling indices (Fig. 5). In the remaining two cases of SMGCTB, the index also increased significantly according to malignant changes (Fig. 5; Case 2 and 3, Fig. S1).

Figure 4.

Expression of Ki67 in case 1. (A) Primary lesion. (B) Recurrent lesion. (C) Conventional GCTB component of SMGCTB. (D) Malignant component of SMGCTB. (E) Recurrent lesion of SMGCTB. (F) Metastatic lesion of SMGCTB. Bar: 50 µm. Arrowheads, Ki67 positive cells.

Figure 5.

Comparison of Ki67 expression level in three cases. (A) Case 1. (B) Case 2. (C) Case 3. All data are shown as mean ± SD. Statistical analyses were performed using repeated measures ANOVA followed by Sidak's multiple comparison post hoc test. *P<0.05, **P<0.01, ***P<0.001, ****P<0.0001.

In case 1, the p53 expression level increased with malignant transformation. Specifically, p53 expression was very low in primary and recurrent (Fig. 6A and B) conventional GCTB. However, p53 expression level increased at malignant area of third surgery specimen of case 1 (Fig. 6D), although it was low in conventional GCT area in the same specimen (Fig. 6C). Interestingly, p53 expression pattern changed according to malignant transformation in the same specimen. And high expression levels were maintained in recurrent and metastatic lesions (Fig. 6E and F) of SMGCTB. Additionally, cell count quantification revealed that p53 expression levels were significantly different before and after malignant transformation (Fig. 7). Of particular importance was the significant change of p53 expression in MT (GCTB component) and MT (malignant component) in case 1, even though they were in the same sample. And after malignant transformation in case 2, p53 expression levels were significantly increased (Fig. S2A-C). However, no significant change in p53 expression was observed in patient 3 who received denosumab treatment (Fig. S2D-H).

Figure 6.

Expression of p53 in case 1. (A) Primary lesion. (B) Recurrent lesion. (C) Conventional GCTB component of SMGCTB. (D) Malignant component of SMGCTB. (E) Recurrent lesion of SMGCTB. (F) Metastatic lesion of SMGCTB. Bar: 50 µm. Arrowheads, p53 positive cells.

Figure 7.

Comparison of p53 expression level in three cases. (A) Case 1. (B) Case 2. (C) Case 3. All data are shown as mean ± SD. Statistical analyses were performed using repeated measures ANOVA followed by Sidak's multiple comparison post hoc test. *P<0.05, **P<0.01, ***P<0.001, ****P<0.0001.

Survival

All three patients with SMGCTB experienced local recurrence after 1, 1.5, or 36 months (Fig. 8). All patients developed distant metastasis to the lungs. Two patients also exhibited bone metastasis, and one patient developed heart metastasis. Two patients died 13 and 54 months after being found to have malignant transformation. One patient was alive at the last follow-up 3 years later.

Figure 8.

Swimmer plot. Clinical course of Case 1–3 of SMGCTB is shown. GCTB, giant cell tumor of bone; SMGCTB, secondary malignant GCTB.

Case report
Case 1

The patient was a 61-year-old man with GCTB in the left distal ulna. At first presentation, plain radiographs demonstrated a lytic lesion in the distal ulna (Fig. 9A). CT revealed an expanded, thinned, and partially discontinuous cortex (Fig. 9B). MRI revealed a large lesion of the distal ulna with low intensity on T1-weighted images (Fig. 9C) and high intensity on T2-weighted images (Fig. 9D). An open biopsy revealed conventional GCTB. The tumor was marginally resected. Eleven months post-operation, local recurrence was observed in the forearm. MRI revealed a mass with low intensity on T1-weighted images (Fig. 9E) and high intensity on T2-weighted images (Fig. 9F) and uniform enhancement on gadolinium-enhanced images (Fig. 9G). The lesion was resected and histologically determined to be conventional GCTB. Seven years after the primary surgery, MRI revealed a large mass in the left forearm with low intensity on T1-weighted images (Fig. 9H) and high intensity on T2-weighted images (Fig. 9I) and heterogeneous enhancement on gadolinium-enhanced images (Fig. 9J). The lesion was resected and histologically determined to be malignant transformation of GCTB. Ten years after the primary surgery, MRI revealed the same findings as those from 7 years post-operation (Fig. 9K-M). Forearm amputation was performed, and the lesion was histologically diagnosed as recurrent SMGCTB. Subsequent FDG PET-CT demonstrated a nodular opacity with high FDG uptake in the lung, suggesting metastasis (Fig. 9N). The patient underwent metastasectomy of the lung metastasis. After 4 months, chest CT revealed multiple nodular opacities in both lungs, suggesting metastasis. The patient refused treatment and died 11 months later.

Figure 9.

Radiologic findings of Case 1. (A) Plain radiographs and (B) CT demonstrating lytic lesion in the distal ulna at first presentation. (C) The tumor was low-to-intermediate intensity on T1-weighted images and (D) heterogeneously high intensity on T2-weighted images. MRI of local recurrence of GCTB with (E) low intensity on T1-weighted images, (F) high intensity on T2-weighted images and (G) uniform enhancement on gadolinium-enhanced MR images. MRI of SMGCTB with (H) low intensity on T1-weighted images, (I) high intensity on T2-weighted images and (J) uniform enhancement on gadolinium-enhanced MR images. Local recurrence of SMGCTB with (K) low intensity on T1-weighted images, (L) high intensity on T2-weighted images and (M) heterogeneous enhancement on gadolinium-enhanced MR images. (N) PET-CT demonstrating a nodular opacity with high FDG uptake in the lung, suggestive of metastasis.

Case 2

The patient was a 25-year-old man with GCTB in the left distal femur. Open biopsy revealed conventional GCTB, and curettage and bone grafting were performed. At the 18-month follow-up, local recurrence was revealed. Curettage and bone grafting were performed, and the lesion was histologically determined to be conventional GCTB. Three years after the primary surgery, CT revealed a lytic lesion at the site of operation. The lesion was curetted and revealed to be SMGCTB. Subsequent chest CT revealed multiple lung metastasis. The patient underwent below-knee amputation. He also received adjuvant chemotherapy with high-dose methotrexate (10 g/m2), cisplatin (120 mg/m2), adriamycin (60 mg/m2), and ifosfamide (14 g/m2). However, this treatment had no effect and the patient died 13 months after the development of SMGCTB.

Case 3

A 24-year-old woman was referred to our institution for further examination after undergoing minimal curettage for conventional GCTB at another hospital. Radiographs (Fig. 10A) and CT (Fig. 10B and C) showed a large mass in the sacrum displaying cortical destruction and extensive soft tissue involvement. MRI revealed a large lesion in the sacrum with low intensity on T1-weighted images and high intensity on T2-weighted images (Fig. 10D and E). Intra-arterial embolization was performed using femoral access to selectively embolize the main arteries feeding the tumor. Post-embolization, the patient experienced no recurrence, with intermittent complaints of pain. MRI revealed tumor shrinkage (Fig. 10F). Additionally, the tumor showed stable disease throughout the next 6 years. However, 6.5 years after the initial embolization, follow-up MRI revealed enlargement of the soft tissue mass adjacent to the sacrum, which caused suspicion of recurrence (Fig. 10G). CT-guided biopsy confirmed the presence of recurrent benign GCTB. The patient was started on subcutaneous denosumab (120 mg monthly). A reduction in tumor size was observed, and imaging over the next 2 years showed stable disease (Fig. 10H). However, a follow-up MRI scan revealed enlargement of the soft tissue mass adjacent to the sacrum with low intensity on T1-weighted images and high intensity on T2-weighted images (Fig. 10I and J), suggestive of regrowth. CT-guided biopsy confirmed the presence of benign GCTB. Denosumab therapy was discontinued and the lesion gradually enlarged and excised, revealing malignant transformation to osteosarcoma. Recurrence was noted 1.5 months later (Fig. 10K). PET-CT demonstrated high FDG uptake in the tumor (SUVmax, 7.0) (Fig. 10L). Carbon-ion RT was performed, and local control had been obtained for >3 years at the time of last follow-up (Fig. 10M). Nine months after the diagnosis of malignant transformation, CT revealed multiple lung metastasis. Subsequent PET-CT demonstrated a mass in the right atrium (Fig. 10N) and nodular opacities in bilateral lungs through high FDG uptake (Fig. 10O and P), suggesting metastasis. She underwent stereotactic radiosurgery of the right atrium and received pazopanib (800 mg). The treatment was effective, and tumor shrinkage and decreased FDG uptake were observed in the metastatic lesions of right atrium (Fig. 10Q) and lung (Fig. 10R and S). She received clinical cancer genomic profiling utilizing the excised specimen of the sacrum and the following CN alterations were detected: CDKN2A (CN=0), CDKN2B (CN=0), and MTAP (CN=0). The microsatellite instability status was stable, and the tumor mutation burden score was calculated to be 1.26. One lung metastasis regrowth was excised. The patient continued pazopanib treatment, and the other lesions were found to have remained stable at the last follow-up (3 years after the development of malignant transformation).

Figure 10.

Radiologic findings of Case 3. (A) Plain radiographs and (B and C) CT demonstrating lytic lesion in the distal ulna at first presentation. The tumor was (D) low-to-intermediate intensity on T1-weighted images and (E) heterogeneously high intensity on T2-weighted images. (F) MRI showed tumor shrinkage after selective embolization. (G) MRI of the recurrent lesion after selective embolization. (H) MRI of tumor reduction by denosumab. (I and J) MRI of the regrowth of the tumor during denosumab therapy, which was revealed to be malignant. (K) MRI and (L) PET-CT of secondary malignant giant cell tumor of bone recurrence. (M) PET-CT after 3 years of carbon-ion RT. PET-CT and CT demonstrating a metastasis in the right atrium and the lung (N-P) before and (Q-S) after RT and chemotherapy.

Discussion

The occurrence rate of SMGCTB after surgery among GCTB patients without prior RT treatment was reported to be 0.5-1.5% (8,18). We showed an occurrence rate of 4%. We performed a brief literature review using the PubMed database to identify other published cases and describe the clinical characteristics of SMGCTB (8–31). Less than 150 cases were included, and the clinical characteristics of these cases are summarized in Table SI. Furthermore, Picci et al reported that malignant transformation develops at a median of 22 years (range: 7–28) after primary surgery (24). Moreover, Bertoni et al reported a median latent period of 19 years (range: 7–28) (20). However, Liu et al reported a shorter median latent period of only 5.1 years (range: 0.5-25.6) (30). Additionally, Tsukamoto et al reported a longer interval from the last surgery to local recurrence with malignant transformation (median 15.2 years) than from the last surgery to conventional GCTB (median 1.3 years) (31). They also reported that multivariate analysis showed local recurrence to be an independent risk factor for unfavorable malignant transformation. In line with these studies, two of the three patients in the current study experienced recurrence of conventional GCTB, and the interval from the start of primary treatment to the development of malignant transformation was 3 and 7 years in these two patients. Therefore, tumor specimens should be carefully inspected for malignant transformation in patients with late recurrences and a history of multiple recurrences.

Recently, several reports have described cases of malignant transformation of GCTB during or after denosumab therapy (6,7). We performed a brief literature review using the PubMed database to identify other published cases and describe the clinical characteristics of SMGCTB treated with denosumab. Less than 20 cases were included, and the clinical characteristics of these cases are summarized in Table SII (6,7,18–23). Almost all of these patients developed SMGCTB 6 months to 4 years after starting denosumab therapy. In a phase II study evaluating the clinical benefits of monthly denosumab treatment in 37 patients with recurrent or unresectable GCTB, Thomas et al reported two patients who developed malignant transformation: one patient during denosumab treatment and the other 8 months after discontinuing denosumab (6). Chawla et al also reported five cases (1%) of SMGCTB in a phase II study showing the clinical benefits of denosumab treatment in 532 patients with GCTB (7). In the current study, 1 of 22 patients (4.5%) treated with denosumab developed SMGCTB. GCTB is characterized by stromal cells expressing RANKL and osteoclast-like giant cells expressing RANK (4,5). Denosumab binds to RANKL, substantially reducing or eliminating osteoclast-like giant cells (4,5). RANKL also plays an important role in lymphocyte differentiation and upregulates nuclear factor IB, a transcription factor that reduces susceptibility to nuclear oncogenes. Thus, inhibition of RANKL could increase the risk of malignancy through immunosuppression and increase susceptibility to nuclear oncogenes (32). However, patients treated with denosumab therapy likely have a history of multiple recurrences and long-term treatments, which can lead to a higher baseline risk for malignant transformation. Thus, additional controlled studies and long-term follow-up are needed before drawing definitive conclusions regarding the direct correlation between denosumab and malignant transformation.

Histologically, we found that lesions of malignant transformation were constructed by two components: the conventional GCTB component and the malignant component with features of osteosarcoma. This finding indicates that primary GCTB replaces the malignant component after transformation over time. Additionally, we found that the Ki67 labeling index increased according to malignant transformation. The Ki67 labeling index was low in primary and recurrent conventional GCTB and in the conventional GCTB component of SMGCTB. Meanwhile, the Ki67 index increased in all malignant areas, especially metastatic lesions. Ki67 is a nuclear protein found in proliferating cells, and its index is usually high in aggressive tumors; thus, it is regarded as a poor prognostic factor (44). In this study, we found that Ki67 labeling index increased with each event, such as malignant transformation and metastasis, suggesting that the tumor acquires a greater ability to proliferate.

Recently, several studies had been revealed the possible mechanism of malignant transformation of GCTB without previous RT (18,41–44). In these studies, mutations or LOH of p53 as well as p53 overexpression were found in malignant cases, though no p53 mutation nor overexpression was shown in the primary GCT (18,41–44). Okubo et al investigated the p53 mutations and expression of p53 in samples of SMGCTB and conventional GCTB in two patients. They found mutations of p53 and p53 overexpression in both patients with SMGCTB who received curettage for primary GCTB. However, no p53 mutation nor overexpression was shown in the primary GCT (42). Similarly, Oda et al reported a case of SMGCTB in which point mutation of p53 and p53 nuclear accumulation was observed in the atypical stromal cells of the SMGCTB, whereas no p53 mutation and no p53 nuclear accumulation was observed in stromal cells in the primary GCT (18). More recently, Ishihara et al performed next generation sequencing (NGS) and immunohistochemical analysis of SMGCTB. NGS of two SMGCTB revealed pathogenic mutations in TP53 and several other genes in both patients (45). Furthermore, three of four SMGCTB were immunohistochemically positive for p53. These results suggested that p53 alteration may play an important role in the malignant progression of GCTB. Interestingly, we found that p53 expression significantly increased when lesions underwent malignant transformation in patients who underwent curettage and bone graft. On the other hand, p53 expression was low in the primary and recurrent samples. However, high expression of p53 was also maintained in metastatic lesions. Numerous cases have been reported the secondary malignancy of bone and soft tissue tumor associated with mutation of p53 (46). Furthermore, the association between p53 mutations and tumorigenesis has been widely investigated in many malignancies (47,48). Molecular mechanisms of mutant p53 include; i) Mutant p53 interacts with DNA directly using mutant p53 binding elements or other regions on the DNA to regulate transcription. ii) Mutant p53 enhances transcription by forming a complex with transcription factors that can include transcriptional cofactors and other proteins. iii) Mutant p53 decreases transcription by binding transcription factors and/or transcriptional cofactors and other proteins, sometimes preventing their binding to DNA. iv) Mutant p53 interacts with other proteins, not directly involved in transcriptional regulation, and enhances or blocks their function (47,48). It has been found that p53 may play a role in the malignant transformation of GCTB in patients who undergo curettage. However, p53 overexpression was not observed in the patient who received denosumab treatment. In this patient, we performed clinical cancer genomic profiling using the FoundationOne®CDx assay containing 309 genes to identify potential driver genes of SMGCTB specific for denosumab treatment. We detected copy number alterations in CDKN2A (CN=0), CDKN2B (CN=0), and MTAP (CN=0). CDKN2A encodes two unrelated tumor suppressor proteins, p16INK4a and p14ARF, whereas CDKN2B encodes the tumor suppressor protein, p15INK4b (49). Both p15INK4b and p16INK4a inhibit CDK4 and CDK6, thereby maintaining the growth-suppressive activity of the Rb tumor suppressor. Therefore, the loss of p15INK4b and p16INK4a leads to dysregulation of the CDK4/6-cyclin-Rb pathway and loss of cell cycle control (49). Moreover, the tumor suppressive functions of p14ARF involve stabilization and activation of p53 via MDM2 inhibition. The loss of CDKN2A and CDKN2B can lead to tumorigenesis through uncontrolled proliferation. Finally, the mechanism of malignant transformation induced by denosumab can be different from that of due to surgery. The correlation between denosumab and malignant transformation should be investigated in additional controlled studies with long-term follow-up.

There are numerous reports that 91–95% of GCTB harbour pathogenic H3F3A mutation, which may be a driver for tumorgenesis of GCTB (50,51). Gong L reported that H3F3A mutations was found in 95% of GCTB, including glycine 34 to tryptophan (G34W, 91%), glycine 34 to leucine (G34L, 2%), glycine 34 to valine (G34V, 1%), and glycine 34 to arginine (G34R, 1%) by DNA sequencing analysis (50). H3F3A mutation is characteristic of GCTB and shown to be useful for the diagnosis of GCTB and differential diagnosis from other bone tumors (50,51). Recently, several studies revealed the absence of H3F3A G34W mutation in malignant giant cell tumor of bone, though it was present in the associated giant cell tumor tissues (38,52). Yoshida et al investigated H3F3A G34W mutation in seven SMGCTB following surgery for conventional GCTB using a combination of immunohistochemical and molecular methods (Sanger sequencing and pyrosequencing or next generation sequencing) (52). They found that 5 of 7 patients had absence of H3F3A G34W mutation in malignant giant cell tumor of bone, though it was present in the associated giant cell tumor tissues. Potential interpretations for this discordant mutation status include: i) incidental coexistence of two genetically distinct independent tumors; ii) clonal replacement, with a minor population of preexisting H3F3A G34-wild-type clone in giant cell tumor of bone outgrowing an H3F3A-mutant clone; and iii) loss of H3F3A mutation during linear clonal evolution. Hasenfratz et al analysed the samples of 2 patients with H3F3A-mutated GCTBs before and after denosumab treatment by histomorphology, immunohistochemistry, and next generation panel sequencing (38). The initial GCTB in the biopsy and in the recurrence was H3F3A-mutated, while the sarcoma was negative for this mutation as shown by sequencing and immunohistochemical staining. Sequencing revealed a persisting H3F3A mutation in one patient while the other lost the H3F3A mutation after malignant transformation. They speculated that one explanation is a transformation of the H3F3A-negative mononuclear cells residing in the tumor after denosumab treatment. In this study, we did not find H3F3A G34W mutation in SMGCTB by cancer genomic profiling. Although we did not investigate the genomic profiling of the primary GCTB lesion, H3F3A G34W mutation in this patient can be lost during progression to malignant transformation.

Although surgery is the standard of care for extreme SMGCTB, its issue is limited for patients with SMGCTB of the spine or sacrum due to the complex anatomical structures and neurological dysfunction associated with surgery to these locations. Yin et al reported that three out of six SMGCTB cases demonstrated local recurrence in the spine (28). Postoperative RT was performed in two cases; both patients experienced recurrence, denying the effectiveness of RT (28). In our literature review, four cases utilized RT, however, no information regarding its effectiveness was reported (11,16,19,31). Recently, carbon-ion RT has been proven to be effective in patients with unresectable sarcoma of the sacrum (53). Additionally, we utilized carbon-ion RT in the patient with SMGCTB in the sacrum and achieved good and prolonged local control for >3 years. In this patient (case 3), conventional RT also proved to be effective for metastatic lesions. Thus, the role of RT, including carbon-ion RT for sacral SMGCTB should be further investigated.

Clinical outcomes of SMGCTB are poor, with local recurrence rates of 20–50% and distant metastasis rates of 22–80%. Liu et al reported that in a total of 20 cases of SMGCTB, local recurrence occurred in 4 patients (20%), and 16 patients (80%) developed metastasis [lung (all cases), brain (1 case), and bone (2 cases)] (30). They also reported that 14 patients died before the last follow-up, with a 5-year OS rate of 40%. In our review, most patients with metastasis had poor survival and died within 12 months. In this study, we also identified that all patients developed distant metastasis, including to the lung and bone, and two out of three patients died before the last follow-up.

There is no consensus regarding optimal treatment for SMGCTB due to its low incidence. Current treatment strategies include surgery alone or surgery combined with chemotherapy and RT. Moreover, Liu et al reported that local recurrence occurred in 7 of 9 cases with inadequate margins and in 5 of 24 cases with adequate margins (P=0.006) in patients with PMGCTB and SMGCTB (30). Thus, resection should be performed with wide margins. However, patients have often previously undergone multiple surgeries with curettage and bone grafting, which leads to difficulty in limb sparing. In some studies of various series of SMGCTB cases, the rate of amputation was as high as 33–66% (16,24,30,31). Our two patients with extremity SMGCTB also underwent amputation for local control.

There are limited data regarding the role of systemic treatment in patients with SMGCTB (15,17). The role of chemotherapy for SMGCTB is controversial, and there is still insufficient evidence of survival benefits (15,17). Some authors used high-dose methotrexate, cisplatin, doxorubicin (MAP), and ifosfamide, and other used cisplatin and doxorubicin (AP) regimen similar to those used to treat osteosarcoma (15,17,18). Based on our review, we could not conclude the utility of chemotherapy because there is very little information about the regimen and its effectiveness against SMGCTB; only two case reports have described the effect of chemotherapy (15,17). First, Hefti et al utilized an MAP regimen for a patient with SMGCTB in the tibia with lung metastasis, but the patient experienced progressive disease and died 9 months later (15). Second, Mori et al utilized four cycles of an AP regimen for localized SMGCTB in the tibia preoperatively, which resulted in shrinkage of the extraskeletal mass and ossification (17). The patient later underwent resection and prosthetic replacement and was disease-free at the last follow-up. In the current study, we used chemotherapy in two patients who had distant metastasis. One patient received MAP and ifosfamide. However, the treatment had no effect and the patient died 13 months after SMGCTB development. The other patient received pazopanib, a multi-kinase inhibitor, which was effective, and the patient was alive for >3 years after the development of SMGCTB. Although the histology of SMGCTB is similar to that of osteosarcoma, the effect of the MAP regimen, which is the standard chemotherapy for osteosarcoma, is limited in SMGCTB. Therefore, a new regimen for SMGCTB should be developed.

This study has several limitations. First, there was a small sample size of only three patients. However, this limitation is common in the study of patients with SMGCTB, because it is an extremely rare malignancy. Second, we did not provide the figure of Western blotting. Since the GCTB and SMGCTB were bone tumors, we performed decalcification procedures. Decalcification methods employed hydrochloric acid to dissolve the calcium salts, which also might damage the protein of the samples. Then, we found that no band was detectable by samples from the formalin-fixed paraffin-embedded tissues. Another limitation is the inherent bias in the choice of treatment. Since standard treatment has not been established, we believe that multicenter studies will be necessary in the future.

In conclusion, high expression of p53 was found in SMGCTB, but not in conventional GCTB, and can be associated with tumorigenesis. The correlation between denosumab and malignant transformation should be investigated in additional controlled studies and long-term follow-up. The clinical behavior of SMGCTB is extremely aggressive, resulting in metastasis in all patients. New emerging treatments using molecular targeted therapy and carbon-ion RT should be further investigated to improve the clinical outcomes of SMGCTB.

Supplementary Material

Supporting Data
Supporting Data

Acknowledgements

Not applicable.

Funding

Funding: No funding was received.

Availability of data and materials

The datasets used and/or analyzed during the current study are available from the corresponding author on reasonable request.

Authors' contributions

EN, HoK, HI and TO designed the study, and collected and analyzed data. EN and TK confirm the authenticity of all the raw data. TK, TF, HaK, TI and MF analyzed data. EN, TK and TF treated the patients presented in this manuscript. All authors read and approved the final manuscript.

Ethics approval and consent to participate

This retrospective chart review study involving human participants was conducted in accordance with the ethical standards of the institutional and national research committee and with the 1964 Helsinki Declaration and its later amendments or comparable ethical standards. The Human Investigation Committee (IRB) of Okayama University Hospital approved this study (approval no. K 2103-040).

Patient consent for publication

Written informed consent was obtained from each participant included in this study.

Competing interests

The authors declare that they have no competing interests.

References

1 

Basu Mallick A and Chawla SP: Giant cell tumor of bone: An update. Curr Oncol Rep. 23:512021. View Article : Google Scholar : PubMed/NCBI

2 

Errani C, Tsukamoto S, Ciani G and Donati DM: Present day controversies and consensus in curettage for giant cell tumor of bone. J Clin Orthop Trauma. 10:1015–1020. 2019. View Article : Google Scholar : PubMed/NCBI

3 

Tsukamoto S, Mavrogenis AF, Kido A and Errani C: Current concepts in the treatment of giant cell tumors of bone. Cancers (Basel). 13:36472021. View Article : Google Scholar : PubMed/NCBI

4 

Gupta A, Durocher-Allen L, Popovic S, Tozer R, Yao X and Ghert M: The role of denosumab for surgical outcomes in patients with giant cell tumour of bone: A systematic review. Curr Oncol. 28:1302–1313. 2021. View Article : Google Scholar : PubMed/NCBI

5 

Li H, Gao J, Gao Y, Lin N, Zheng M and Ye Z: Denosumab in giant cell tumor of bone: Current status and pitfalls. Front Oncol. 10:5806052020. View Article : Google Scholar : PubMed/NCBI

6 

Thomas D, Henshaw R, Skubitz K, Chawla S, Staddon A, Blay JY, Roudier M, Smith J, Ye Z, Sohn W, et al: Denosumab in patients with giant-cell tumour of bone: An open-label, phase 2 study. Lancet Oncol. 11:275–280. 2010. View Article : Google Scholar : PubMed/NCBI

7 

Chawla S, Blay JY, Rutkowski P, Le Cesne A, Reichardt P, Gelderblom H, Grimer RJ, Choy E, Skubitz K, Seeger L, et al: Denosumab in patients with giant-cell tumour of bone: A multicentre, open-label, phase 2 study. Lancet Oncol. 20:1719–1729. 2019. View Article : Google Scholar : PubMed/NCBI

8 

Palmerini E, Picci P, Reichardt P and Downey G: Malignancy in giant cell tumor of bone: A review of the literature. Technol Cancer Res Treat. 18:15330338198400002019. View Article : Google Scholar : PubMed/NCBI

9 

Murphy WR and Ackerman LV: Benign and malignant giant-cell tumors of bone; a clinical-pathological evaluation of thirty-one cases. Cancer. 9:317–339. 1956. View Article : Google Scholar : PubMed/NCBI

10 

Mnaymneh WA, Dudley HR and Mnaymneh LG: Giant-cell tumor of bone: An analysis and follow-up study of the forty-one cases observed at the Massachusetts general hospital between 1925 and 1960. J Bone Joint Surg Am. 46:63–75. 1964. View Article : Google Scholar : PubMed/NCBI

11 

Dahlin DC, Cupps RE and Johnson EW: Giant-cell tumor: A study of 195 cases. Cancer. 25:1061–1070. 1970. View Article : Google Scholar : PubMed/NCBI

12 

Sundaram M, Martin AS and Tayob AA: Case report 182: Osteosarcoma arising in giant cell tumor of tibia. Skeletal Radiol. 7:282–285. 1982. View Article : Google Scholar : PubMed/NCBI

13 

Rock MG, Sim FH, Unni KK, Witrak GA, Frassica FJ, Schray MF, Beabout JW and Dahlin DC: Secondary malignant giant-cell tumor of bone. Clinicopathological assessment of nineteen patients. J Bone Joint Surg Am. 68:1073–1079. 1986. View Article : Google Scholar : PubMed/NCBI

14 

Gitelis S, Wang JW, Quast M, Schajowicz F and Templeton A: Recurrence of a giant-cell tumor with malignant transformation to a fibrosarcoma twenty-five years after primary treatment. A case report. J Bone Joint Surg Am. 71:757–761. 1989. View Article : Google Scholar : PubMed/NCBI

15 

Hefti FL, Gächter A, Remagen W and Nidecker A: Recurrent giant-cell tumor with metaplasia and malignant change, not associated with radiotherapy. A case report. J Bone Joint Surg Am. 74:930–934. 1992. View Article : Google Scholar : PubMed/NCBI

16 

Anract P, De Pinieux G, Cottias P, Pouillart P, Forest M and Tomeno B: Malignant giant-cell tumours of bone. Clinico-pathological types and prognosis: A review of 29 cases. Int Orthop. 22:19–26. 1998. View Article : Google Scholar : PubMed/NCBI

17 

Mori Y, Tsuchiya H, Karita M, Nonomura A, Nojima T and Tomita K: Malignant transformation of a giant cell tumor 25 years after initial treatment. Clin Orthop Relat Res. 381:185–191. 2000. View Article : Google Scholar : PubMed/NCBI

18 

Oda Y, Sakamoto A, Saito T, Matsuda S, Tanaka K, Iwamoto Y and Tsuneyoshi M: Secondary malignant giant-cell tumour of bone: Molecular abnormalities of p53 and H-ras gene correlated with malignant transformation. Histopathology. 39:629–637. 2001. View Article : Google Scholar : PubMed/NCBI

19 

Marui T, Yamamoto T, Yoshihara H, Kurosaka M, Mizuno K and Akamatsu T: De novo malignant transformation of giant cell tumor of bone. Skeletal Radiol. 30:104–108. 2001. View Article : Google Scholar : PubMed/NCBI

20 

Bertoni F, Bacchini P and Staals EL: Malignancy in giant cell tumor of bone. Cancer. 97:2520–2529. 2003. View Article : Google Scholar : PubMed/NCBI

21 

Hashimoto K, Hatori M, Hosaka M, Watanabe M, Hasegawa T and Kokubun S: Osteosarcoma arising from giant cell tumor of bone ten years after primary surgery: A case report and review of the literature. Tohoku J Exp Med. 208:157–162. 2006. View Article : Google Scholar : PubMed/NCBI

22 

Machinami R, Nishida K, Ishida T, Matsumoto S, Kuroda K, Kobayashi M, Takeuchi K and Ishikawa Y: Carcinosarcomatous malignancy, osteosarcoma and squamous cell carcinoma, in giant cell tumor of the right distal femur. Pathol Res Pract. 204:583–588. 2008. View Article : Google Scholar : PubMed/NCBI

23 

Miller IJ, Blank A, Yin SM, McNickle A, Gray R and Gitelis S: A case of recurrent giant cell tumor of bone with malignant transformation and benign pulmonary metastases. Diagn Pathol. 5:622010. View Article : Google Scholar : PubMed/NCBI

24 

Picci P, Sieberova G, Alberghini M, Balladelli A, Vanel D, Hogendoorn PC and Mercuri M: Late sarcoma development after curettage and bone grafting of benign bone tumors. Eur J Radiol. 77:19–25. 2011. View Article : Google Scholar : PubMed/NCBI

25 

Kadowaki M, Yamamoto S and Uchio Y: Late malignant transformation of giant cell tumor of bone 41 years after primary surgery. Orthopedics. 35:e1566–e1570. 2012. View Article : Google Scholar : PubMed/NCBI

26 

Muramatsu K, Ihara K, Miyoshi T, Kawakami Y, Nakashima D and Taguchi T: Late development of malignant fibrous histiocytoma at the site of a giant cell tumour 38 years after initial surgery. Acta Orthop Belg. 78:279–284. 2012.PubMed/NCBI

27 

Li J, Zhu Y and Wei Y: Fibrosarcoma development 15 years after curettage and bone grafting of giant cell tumor of bone. Orthopedics. 37:e512–e516. 2014. View Article : Google Scholar : PubMed/NCBI

28 

Yin H, Cheng M, Li B, Li B, Wang P, Meng T, Wang J, Zhou W, Yan W and Xiao J: Treatment and outcome of malignant giant cell tumor in the spine. J Neurooncol. 124:275–281. 2015. View Article : Google Scholar : PubMed/NCBI

29 

Takesako H, Osaka E, Yoshida Y, Sugitani M and Tokuhashi Y: Secondary malignant giant cell tumor of bone due to malignant transformation 40 years after surgery without radiation therapy, presenting as fever of unknown origin: A case report. J Med Case Rep. 10:472016. View Article : Google Scholar : PubMed/NCBI

30 

Liu W, Chan CM, Gong L, Bui MM, Han G, Letson GD, Yang Y and Niu X: Malignancy in giant cell tumor of bone in the extremities. J Bone Oncol. 26:1003342020. View Article : Google Scholar : PubMed/NCBI

31 

Tsukamoto S, Righi A, Mavrogenis AF, Akahane M, Honoki K, Tanaka Y, Donati DM and Errani C: Late local recurrence of bone giant cell tumors associated with an increased risk for malignant transformation. Cancers (Basel). 13:36442021. View Article : Google Scholar : PubMed/NCBI

32 

Alaqaili SI, Abduljabbar AM, Altaho AJ, Khan AA and Alherabi JA: Malignant sarcomatous transformation of benign giant cell tumor of bone after treatment with denosumab therapy: A literature review of reported cases. Cureus. 10:e37922018.PubMed/NCBI

33 

Rutkowski P, Ferrari S, Grimer RJ, Stalley PD, Dijkstra SP, Pienkowski A, Vaz G, Wunder JS, Seeger LL, Feng A, et al: Surgical downstaging in an open-label phase II trial of denosumab in patients with giant cell tumor of bone. Ann Surg Oncol. 22:2860–2868. 2015. View Article : Google Scholar : PubMed/NCBI

34 

Broehm CJ, Garbrecht EL, Wood J and Bocklage T: Two cases of sarcoma arising in giant cell tumor of bone treated with denosumab. Case Rep Med. 2015:7671982015. View Article : Google Scholar : PubMed/NCBI

35 

Aponte-Tinao LA, Piuzzi NS, Roitman P and Farfalli GL: A high-grade sarcoma arising in a patient with recurrent benign giant cell tumor of the proximal tibia while receiving treatment with denosumab. Clin Orthop Relat Res. 473:3050–3055. 2015. View Article : Google Scholar : PubMed/NCBI

36 

Park A, Cipriano CA, Hill K, Kyriakos M and McDonald DJ: Malignant transformation of a giant cell tumor of bone treated with denosumab: A case report. JBJS Case Connect. 6:e782016. View Article : Google Scholar : PubMed/NCBI

37 

Tsukamoto S, Righi A, Vanel D, Honoki K, Donati DM and Errani C: Development of high-grade osteosarcoma in a patient with recurrent giant cell tumor of the ischium while receiving treatment with denosumab. Jpn J Clin Oncol. 47:1090–1096. 2017. View Article : Google Scholar : PubMed/NCBI

38 

Hasenfratz M, Mellert K, Marienfeld R, von Baer A, Schultheiss M, Roitman PD, Aponte-Tinao LA, Lehner B, Möller P, Mechtersheimer G and Barth TFE: Profiling of three H3F3A-mutated and denosumab-treated giant cell tumors of bone points to diverging pathways during progression and malignant transformation. Sci Rep. 11:57092021. View Article : Google Scholar : PubMed/NCBI

39 

Yung D, Asano N, Hirozane T, Yamaguchi S, Mori T, Susa M, Okita H, Morioka H, Horiuchi K and Nakayama R: Malignant transformation of metastatic giant cell tumor of bone in a patient undergoing denosumab treatment: A case report. J Orthop Sci. S0949-2658(21)00222-0. 2021.(Epub ahead of print). View Article : Google Scholar

40 

Palmerini E, Seeger LL, Gambarotti M, Righi A, Reichardt P, Bukata S, Blay JY, Dai T, Jandial D and Picci P: Malignancy in giant cell tumor of bone: Analysis of an open-label phase 2 study of denosumab. BMC Cancer. 21:892021. View Article : Google Scholar : PubMed/NCBI

41 

Gong L, Liu W, Sun X, Sajdik C, Tian X, Niu X and Huang X: Histological and clinical characteristics of malignant giant cell tumor of bone. Virchows Arch. 460:327–334. 2012. View Article : Google Scholar : PubMed/NCBI

42 

Okubo T, Saito T, Mitomi H, Takagi T, Torigoe T, Suehara Y, Kaneko K and Yao T: p53 mutations may be involved in malignant transformation of giant cell tumor of bone through interaction with GPX1. Virchows Archiv. 463:67–77. 2013. View Article : Google Scholar : PubMed/NCBI

43 

Bieg-Bourne CC, Millis SZ, Piccioni DE, Fanta PT, Goldberg ME, Chmielecki J, Parker BA and Kurzrock R: Next-Generation sequencing in the clinical setting clarifies patient characteristics and potential actionability. Cancer Res. 77:6313–6320. 2017. View Article : Google Scholar : PubMed/NCBI

44 

Li LT, Jiang G, Chen Q and Zheng JN: Ki67 is a promising molecular target in the diagnosis of cancer (review). Mol Med Rep. 11:1566–1572. 2015. View Article : Google Scholar : PubMed/NCBI

45 

Ishihara S, Yamamoto H, Iwasaki T, Toda Y, Yamamoto T, Yoshimoto M, Ito Y, Susuki Y, Kawaguchi K, Kinoshita I, et al: Histological and immunohistochemical features and genetic alterations in the malignant progression of giant cell tumor of bone: A possible association with TP53 mutation and loss of H3K27 trimethylation. Mod Pathol. 35:640–648. 2022. View Article : Google Scholar : PubMed/NCBI

46 

Movahedinia S, Shooshtarizadeh T and Mostafavi H: Secondary malignant transformation of giant cell tumor of bone: Is it a fate? Iran J Pathol. 14:165–174. 2019. View Article : Google Scholar : PubMed/NCBI

47 

Miranda Alcalde B, Villa Alcázar M, Martínez Romera I and López Ibor B: The importance of Li-Fraumeni syndrome, a hereditary cancer predisposition disorder. Arch Argent Pediatr. 119:e11–e17. 2021.Mantovani F, Collavin L and Del Sal G: Mutant p53 as a guardian of the cancer cell. Cell Death Differ 26, 199–212, 2019. PubMed/NCBI

48 

Muller PA and Vousden KH: p53 mutations in cancer. Nat Cell Biol. 15:2–8. 2013. View Article : Google Scholar : PubMed/NCBI

49 

González-Gil C, Ribera J, Ribera JM and Genescà E: The Yin and Yang-like clinical implications of the CDKN2A/ARF/CDKN2B gene cluster in acute lymphoblastic leukemia. Genes (Basel). 12:792021. View Article : Google Scholar : PubMed/NCBI

50 

Gong L, Bui MM, Zhang W, Sun X, Zhang M and Yi D: H3F3A G34 mutation DNA sequencing and G34W immunohistochemistry analysis in 366 cases of giant cell tumors of bone and other bone tumors. Histol Histopathol. 36:61–68. 2021.PubMed/NCBI

51 

Behjati S, Tarpey PS, Presneau N, Scheipl S, Pillay N, Van Loo P, Wedge DC, Cooke SL, Gundem G, Davies H, et al: Distinct H3F3A and H3F3B driver mutations define chondroblastoma and giant cell tumor of bone. Nat Genet. 45:1479–1482. 2013. View Article : Google Scholar : PubMed/NCBI

52 

Yoshida KI, Nakano Y, Honda-Kitahara M, Wakai S, Motoi T, Ogura K, Sano N, Shibata T, Okuma T, Iwata S, et al: Absence of H3F3A mutation in a subset of malignant giant cell tumor of bone. Mod Pathol. 32:1751–1761. 2019. View Article : Google Scholar : PubMed/NCBI

53 

Imai R, Kamada T and Araki N; Working Group for Bone, . Soft Tissue Sarcomas: Carbon ion radiation therapy for unresectable sacral chordoma: An analysis of 188 cases. Int J Radiat Oncol Biol Phys. 95:322–327. 2016. View Article : Google Scholar : PubMed/NCBI

Related Articles

  • Abstract
  • View
  • Download
  • Twitter
Copy and paste a formatted citation
Spandidos Publications style
Nakata E, Kawai H, Fujiwara T, Kunisada T, Inoue H, Futagawa M, Katayama H, Itano T and Ozaki T: Clinicopathological and histological analysis of secondary malignant giant cell tumors of bone without radiotherapy. Oncol Lett 24: 319, 2022.
APA
Nakata, E., Kawai, H., Fujiwara, T., Kunisada, T., Inoue, H., Futagawa, M. ... Ozaki, T. (2022). Clinicopathological and histological analysis of secondary malignant giant cell tumors of bone without radiotherapy. Oncology Letters, 24, 319. https://doi.org/10.3892/ol.2022.13439
MLA
Nakata, E., Kawai, H., Fujiwara, T., Kunisada, T., Inoue, H., Futagawa, M., Katayama, H., Itano, T., Ozaki, T."Clinicopathological and histological analysis of secondary malignant giant cell tumors of bone without radiotherapy". Oncology Letters 24.3 (2022): 319.
Chicago
Nakata, E., Kawai, H., Fujiwara, T., Kunisada, T., Inoue, H., Futagawa, M., Katayama, H., Itano, T., Ozaki, T."Clinicopathological and histological analysis of secondary malignant giant cell tumors of bone without radiotherapy". Oncology Letters 24, no. 3 (2022): 319. https://doi.org/10.3892/ol.2022.13439
Copy and paste a formatted citation
x
Spandidos Publications style
Nakata E, Kawai H, Fujiwara T, Kunisada T, Inoue H, Futagawa M, Katayama H, Itano T and Ozaki T: Clinicopathological and histological analysis of secondary malignant giant cell tumors of bone without radiotherapy. Oncol Lett 24: 319, 2022.
APA
Nakata, E., Kawai, H., Fujiwara, T., Kunisada, T., Inoue, H., Futagawa, M. ... Ozaki, T. (2022). Clinicopathological and histological analysis of secondary malignant giant cell tumors of bone without radiotherapy. Oncology Letters, 24, 319. https://doi.org/10.3892/ol.2022.13439
MLA
Nakata, E., Kawai, H., Fujiwara, T., Kunisada, T., Inoue, H., Futagawa, M., Katayama, H., Itano, T., Ozaki, T."Clinicopathological and histological analysis of secondary malignant giant cell tumors of bone without radiotherapy". Oncology Letters 24.3 (2022): 319.
Chicago
Nakata, E., Kawai, H., Fujiwara, T., Kunisada, T., Inoue, H., Futagawa, M., Katayama, H., Itano, T., Ozaki, T."Clinicopathological and histological analysis of secondary malignant giant cell tumors of bone without radiotherapy". Oncology Letters 24, no. 3 (2022): 319. https://doi.org/10.3892/ol.2022.13439
Follow us
  • Twitter
  • LinkedIn
  • Facebook
About
  • Spandidos Publications
  • Careers
  • Cookie Policy
  • Privacy Policy
How can we help?
  • Help
  • Live Chat
  • Contact
  • Email to our Support Team