Spandidos Publications Logo
  • About
    • About Spandidos
    • Aims and Scopes
    • Abstracting and Indexing
    • Editorial Policies
    • Reprints and Permissions
    • Job Opportunities
    • Terms and Conditions
    • Contact
  • Journals
    • All Journals
    • Oncology Letters
      • Oncology Letters
      • Information for Authors
      • Editorial Policies
      • Editorial Board
      • Aims and Scope
      • Abstracting and Indexing
      • Bibliographic Information
      • Archive
    • International Journal of Oncology
      • International Journal of Oncology
      • Information for Authors
      • Editorial Policies
      • Editorial Board
      • Aims and Scope
      • Abstracting and Indexing
      • Bibliographic Information
      • Archive
    • Molecular and Clinical Oncology
      • Molecular and Clinical Oncology
      • Information for Authors
      • Editorial Policies
      • Editorial Board
      • Aims and Scope
      • Abstracting and Indexing
      • Bibliographic Information
      • Archive
    • Experimental and Therapeutic Medicine
      • Experimental and Therapeutic Medicine
      • Information for Authors
      • Editorial Policies
      • Editorial Board
      • Aims and Scope
      • Abstracting and Indexing
      • Bibliographic Information
      • Archive
    • International Journal of Molecular Medicine
      • International Journal of Molecular Medicine
      • Information for Authors
      • Editorial Policies
      • Editorial Board
      • Aims and Scope
      • Abstracting and Indexing
      • Bibliographic Information
      • Archive
    • Biomedical Reports
      • Biomedical Reports
      • Information for Authors
      • Editorial Policies
      • Editorial Board
      • Aims and Scope
      • Abstracting and Indexing
      • Bibliographic Information
      • Archive
    • Oncology Reports
      • Oncology Reports
      • Information for Authors
      • Editorial Policies
      • Editorial Board
      • Aims and Scope
      • Abstracting and Indexing
      • Bibliographic Information
      • Archive
    • Molecular Medicine Reports
      • Molecular Medicine Reports
      • Information for Authors
      • Editorial Policies
      • Editorial Board
      • Aims and Scope
      • Abstracting and Indexing
      • Bibliographic Information
      • Archive
    • World Academy of Sciences Journal
      • World Academy of Sciences Journal
      • Information for Authors
      • Editorial Policies
      • Editorial Board
      • Aims and Scope
      • Abstracting and Indexing
      • Bibliographic Information
      • Archive
    • International Journal of Functional Nutrition
      • International Journal of Functional Nutrition
      • Information for Authors
      • Editorial Policies
      • Editorial Board
      • Aims and Scope
      • Abstracting and Indexing
      • Bibliographic Information
      • Archive
    • International Journal of Epigenetics
      • International Journal of Epigenetics
      • Information for Authors
      • Editorial Policies
      • Editorial Board
      • Aims and Scope
      • Abstracting and Indexing
      • Bibliographic Information
      • Archive
    • Medicine International
      • Medicine International
      • Information for Authors
      • Editorial Policies
      • Editorial Board
      • Aims and Scope
      • Abstracting and Indexing
      • Bibliographic Information
      • Archive
  • Articles
  • Information
    • Information for Authors
    • Information for Reviewers
    • Information for Librarians
    • Information for Advertisers
    • Conferences
  • Language Editing
Spandidos Publications Logo
  • About
    • About Spandidos
    • Aims and Scopes
    • Abstracting and Indexing
    • Editorial Policies
    • Reprints and Permissions
    • Job Opportunities
    • Terms and Conditions
    • Contact
  • Journals
    • All Journals
    • Biomedical Reports
      • Information for Authors
      • Editorial Policies
      • Editorial Board
      • Aims and Scope
      • Abstracting and Indexing
      • Bibliographic Information
      • Archive
    • Experimental and Therapeutic Medicine
      • Information for Authors
      • Editorial Policies
      • Editorial Board
      • Aims and Scope
      • Abstracting and Indexing
      • Bibliographic Information
      • Archive
    • International Journal of Epigenetics
      • Information for Authors
      • Editorial Policies
      • Editorial Board
      • Aims and Scope
      • Abstracting and Indexing
      • Bibliographic Information
      • Archive
    • International Journal of Functional Nutrition
      • Information for Authors
      • Editorial Policies
      • Editorial Board
      • Aims and Scope
      • Abstracting and Indexing
      • Bibliographic Information
      • Archive
    • International Journal of Molecular Medicine
      • Information for Authors
      • Editorial Policies
      • Editorial Board
      • Aims and Scope
      • Abstracting and Indexing
      • Bibliographic Information
      • Archive
    • International Journal of Oncology
      • Information for Authors
      • Editorial Policies
      • Editorial Board
      • Aims and Scope
      • Abstracting and Indexing
      • Bibliographic Information
      • Archive
    • Medicine International
      • Information for Authors
      • Editorial Policies
      • Editorial Board
      • Aims and Scope
      • Abstracting and Indexing
      • Bibliographic Information
      • Archive
    • Molecular and Clinical Oncology
      • Information for Authors
      • Editorial Policies
      • Editorial Board
      • Aims and Scope
      • Abstracting and Indexing
      • Bibliographic Information
      • Archive
    • Molecular Medicine Reports
      • Information for Authors
      • Editorial Policies
      • Editorial Board
      • Aims and Scope
      • Abstracting and Indexing
      • Bibliographic Information
      • Archive
    • Oncology Letters
      • Information for Authors
      • Editorial Policies
      • Editorial Board
      • Aims and Scope
      • Abstracting and Indexing
      • Bibliographic Information
      • Archive
    • Oncology Reports
      • Information for Authors
      • Editorial Policies
      • Editorial Board
      • Aims and Scope
      • Abstracting and Indexing
      • Bibliographic Information
      • Archive
    • World Academy of Sciences Journal
      • Information for Authors
      • Editorial Policies
      • Editorial Board
      • Aims and Scope
      • Abstracting and Indexing
      • Bibliographic Information
      • Archive
  • Articles
  • Information
    • For Authors
    • For Reviewers
    • For Librarians
    • For Advertisers
    • Conferences
  • Language Editing
Login Register Submit
  • This site uses cookies
  • You can change your cookie settings at any time by following the instructions in our Cookie Policy. To find out more, you may read our Privacy Policy.

    I agree
Search articles by DOI, keyword, author or affiliation
Search
Advanced Search
presentation
Oncology Letters
Join Editorial Board Propose a Special Issue
Print ISSN: 1792-1074 Online ISSN: 1792-1082
Journal Cover
October-2022 Volume 24 Issue 4

Full Size Image

Sign up for eToc alerts
Recommend to Library

Journals

International Journal of Molecular Medicine

International Journal of Molecular Medicine

International Journal of Molecular Medicine is an international journal devoted to molecular mechanisms of human disease.

International Journal of Oncology

International Journal of Oncology

International Journal of Oncology is an international journal devoted to oncology research and cancer treatment.

Molecular Medicine Reports

Molecular Medicine Reports

Covers molecular medicine topics such as pharmacology, pathology, genetics, neuroscience, infectious diseases, molecular cardiology, and molecular surgery.

Oncology Reports

Oncology Reports

Oncology Reports is an international journal devoted to fundamental and applied research in Oncology.

Experimental and Therapeutic Medicine

Experimental and Therapeutic Medicine

Experimental and Therapeutic Medicine is an international journal devoted to laboratory and clinical medicine.

Oncology Letters

Oncology Letters

Oncology Letters is an international journal devoted to Experimental and Clinical Oncology.

Biomedical Reports

Biomedical Reports

Explores a wide range of biological and medical fields, including pharmacology, genetics, microbiology, neuroscience, and molecular cardiology.

Molecular and Clinical Oncology

Molecular and Clinical Oncology

International journal addressing all aspects of oncology research, from tumorigenesis and oncogenes to chemotherapy and metastasis.

World Academy of Sciences Journal

World Academy of Sciences Journal

Multidisciplinary open-access journal spanning biochemistry, genetics, neuroscience, environmental health, and synthetic biology.

International Journal of Functional Nutrition

International Journal of Functional Nutrition

Open-access journal combining biochemistry, pharmacology, immunology, and genetics to advance health through functional nutrition.

International Journal of Epigenetics

International Journal of Epigenetics

Publishes open-access research on using epigenetics to advance understanding and treatment of human disease.

Medicine International

Medicine International

An International Open Access Journal Devoted to General Medicine.

Journal Cover
October-2022 Volume 24 Issue 4

Full Size Image

Sign up for eToc alerts
Recommend to Library

  • Article
  • Citations
    • Cite This Article
    • Download Citation
    • Create Citation Alert
    • Remove Citation Alert
    • Cited By
  • Similar Articles
    • Related Articles (in Spandidos Publications)
    • Similar Articles (Google Scholar)
    • Similar Articles (PubMed)
  • Download PDF
  • Download XML
  • View XML

  • Supplementary Files
    • Supplementary_Data.pdf
Case Report Open Access

Long‑term survival in a patient with extensive‑stage small cell lung cancer treated with multiple courses of salvage stereotactic radiation after whole brain radiotherapy: A case report

  • Authors:
    • Andrea Vucetic
    • Belal Ahmad
    • Terence Tang
  • View Affiliations / Copyright

    Affiliations: Schulich School of Medicine and Dentistry, Western University, London, ON N6A 5C1, Canada, Department of Radiation Oncology, London Regional Cancer Program, London Health Sciences Centre, London, ON N6A 5W9, Canada
    Copyright: © Vucetic et al. This is an open access article distributed under the terms of Creative Commons Attribution License.
  • Article Number: 335
    |
    Published online on: August 9, 2022
       https://doi.org/10.3892/ol.2022.13454
  • Expand metrics +
Metrics: Total Views: 0 (Spandidos Publications: | PMC Statistics: )
Metrics: Total PDF Downloads: 0 (Spandidos Publications: | PMC Statistics: )
Cited By (CrossRef): 0 citations Loading Articles...

This article is mentioned in:



Abstract

Intracranial recurrence following initial cranial irradiation for extensive‑stage small cell lung cancer (ES‑SCLC) can often be a treatment dilemma given the aggressive nature of the disease, the overall poor prognosis and concerns regarding re‑treatment toxicity. The present report describes the case of a 62‑year‑old man diagnosed with ES‑SCLC and synchronous brain metastases who initially underwent whole brain radiotherapy, chemotherapy and consolidative thoracic radiotherapy. The patient was found to have a solitary intracranial recurrence at both 3.5 and 6 years after his diagnosis. On both occasions, the patient received salvage stereotactic radiation, 30 Gy in 5 fractions, and continues to remain functionally independent. Overall, the present case demonstrates that with the appropriate patient selection, aggressive local salvage of recurrent intracranial ES‑SCLC with stereotactic radiation can yield excellent and durable clinical outcomes.

Introduction

Small cell lung cancer (SCLC) is a poorly differentiated pulmonary neuroendocrine carcinoma that is characterized by its rapid doubling time, high growth fraction, early development of widespread metastases, and high sensitivity to initial chemotherapy and radiotherapy (1). Approximately two-thirds of patients present with extensive stage disease (ES-SCLC), which has been classically defined as tumour or nodal volume that cannot be safely encompassed within a single radiation field. Even with treatment, ES-SCLC has a poor prognosis with a median survival of 8 to 13 months and a 5-year survival of 3% relative to the overall population (2–4).

Brain metastases, in particular, are found in 20% of patients at the time of diagnosis (5,6). Notably, whole brain radiotherapy (WBRT) has historically been preferred over stereotactic approaches in SCLC due to the frequent occurrence of multiple metastases and high likelihood of occult disease, as demonstrated by often rapid and diffuse central nervous system (CNS) progression (7). Despite its radiosensitivity, intracranial recurrence after cranial irradiation can occur in up to 30% of patients, and this risk increases with prolonged survival (8–10). In the literature, the rates of intracranial recurrence are reported primarily after prophylactic cranial irradiation (PCI) and usually occur between 4 and 27 months post-PCI (6,10–13).

Treatment decisions for intracranial recurrence are often complex and should account for a variety of factors including volume of disease, extent of extracranial disease, symptom burden, previous therapy, performance status, and patient preference (10). For patients previously treated with WBRT, stereotactic approaches including stereotactic radiosurgery are often advantageous in providing local control while reducing the volume of brain re-irradiated and thus overall toxicity. In this article, we present a case of a patient with ES-SCLC experiencing long-term survival following initial WBRT and subsequent salvage stereotactic radiation for multiple intracranial recurrences.

Case report

A 62-year-old man with a 40-pack-year smoking history presented to the Emergency Department in 2015 with acute-on-chronic dyspnea and a 5-week history of right-sided sensory changes in both the upper and lower extremities. Physical exam findings confirmed right-sided focal neurological deficits but preserved cranial nerve and cerebellar function. His Eastern Cooperative Oncology Group (ECOG) performance status score was 1.

MRI of the head revealed 7 intracranial metastases within the left cerebral hemisphere, the largest of which measured 2 cm in diameter and was located in the left postcentral gyrus (Fig. 1A). Staging investigations demonstrated an 8.1 cm mass in the right apex of the lung with involvement of the chest wall and mediastinum, with no further distant metastases. Pathology from a CT-guided core biopsy of the lung mass revealed small cell carcinoma with positive immunohistochemical staining for synaptophysin, thyroid transcription factor 1, and cytokeratin AE1/AE3, with a perinuclear dot staining pattern. The malignant cells were negative for p63 and cytokeratin 5/6. Therefore, the patient was diagnosed with ES-SCLC.

Figure 1.

(A) Axial T1-weighted MRI of the head with contrast showing an enhancing mass in the superior medial aspect of the left postcentral gyrus. (B) Axial CT of the head with contrast showing no evidence of intracranial metastases following completion of whole brain radiotherapy and 6 cycles of chemotherapy.

In the context of numerous symptomatic brain metastases, palliative WBRT was delivered to a total dose of 20 Gy in 5 fractions. The patient then completed 6 cycles of palliative chemotherapy with cisplatin and etoposide. He endorsed overall improvement in his symptoms and functional abilities with treatment. Subsequent imaging showed interval reduction in the size of the right lung mass with no evidence of brain metastases on CT head (Fig. 1B). The patient then completed consolidative thoracic radiotherapy to a total dose of 30 Gy in 10 fractions. Regular follow-up imaging over the next 40 months revealed no evidence of disease progression in the thorax or CNS.

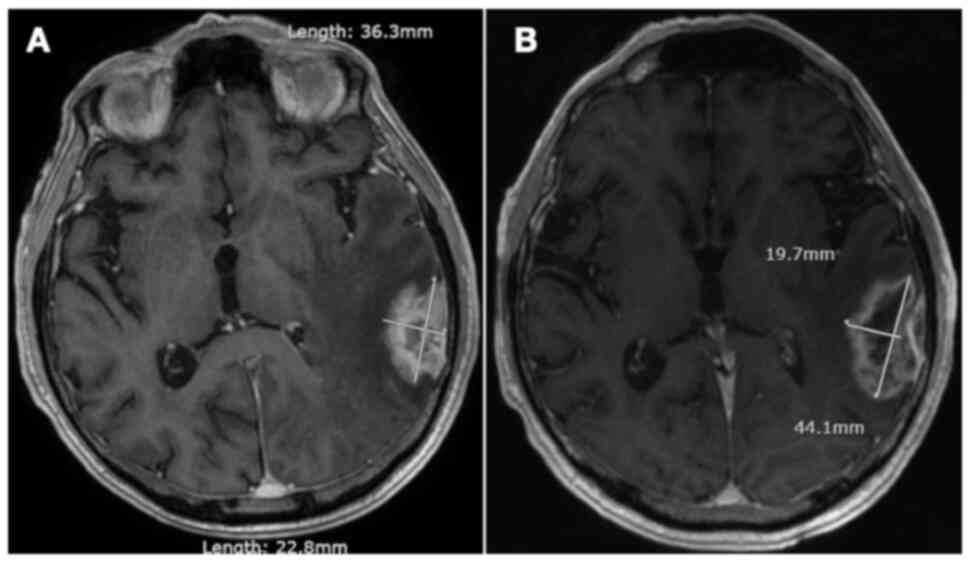
In mid-2019, approximately 3 years post-treatment, the patient began to notice a persistent, left-sided headache accompanied by short-term memory deficits. Physical examination demonstrated left-sided cerebellar dysfunction with nystagmus and clumsiness on heel-to-toe walking. Restaging investigations identified a new solitary mass measuring 3.6 cm with a broad dural base overlying the lateral left temporal and occipital lobe (Fig. 2A). No other evidence of intrathoracic or intraabdominal disease was appreciated. Neurosurgery was consulted but did not recommend surgical resection given the high risk of morbidity, particularly Wernicke's aphasia. The patient thus underwent stereotactic radiation to the solitary brain metastasis, 30 Gy in 5 fractions (Table SI). Follow-up MRI imaging demonstrated positive response to treatment with a gradual decrease in the size of the mass. However, there was also subsequent evidence of evolving radiation necrosis in the treated area, associated with mild memory loss and word-finding difficulties (Fig. 2B). As these symptoms were overall quite minor and improved spontaneously with time, no specific treatments for radionecrosis were implemented.

Figure 2.

(A) Axial T1-weighted MRI of the head with contrast showing a large mass with a broad dural base overlying the lateral left temporal and occipital lobe. (B) Axial T1-weighted MRI of the head with contrast showing an area of heterogenous enhancement within the left temporal lobe representing radionecrosis 8 months after completion of stereotactic radiation.

In late 2021, almost 6 years from his initial diagnosis, the patient began to experience episodes of transient aphasia. Repeat imaging of the head revealed a new enhancing mass in the right parietooccipital lobe measuring 1.1 cm in diameter, with no evidence of residual metastasis in the left hemisphere (Fig. 3). Further staging investigations did not identify any extracranial disease progression. Notably, the previous area of radionecrosis remained stable over time and the patient continued to deny any significant neurologic symptoms that would necessitate intervention. He went on to receive a second course of stereotactic radiotherapy, 30 Gy in 5 fractions, and will be monitored for treatment response. At the present time, the patient is functionally independent, ambulatory, and continues to participate within his local community by teaching firearm safety. His ECOG performance status remains unchanged. The timeline of the present case is shown in Fig. 4.

Figure 3.

Axial and coronal T1-weighted MRI of the head with contrast showing an ovoid enhancing mass in the subcortical white matter of the right parietooccipital lobe.

Figure 4.

Timeline depicting the events surrounding the initial diagnosis and management of the patient, and the subsequent identification and treatment of two intracranial recurrences over the course of 6 years. CNS, central nervous system; ER, emergency room; RT, radiotherapy; WBRT, whole brain radiotherapy.

Discussion

Following initial WBRT in ES-SCLC, repeat WBRT has been a conventional consideration for intracranial recurrence given the high likelihood of occult disease. However, the life expectancy for such patients is already quite poor, and even with salvage WBRT, median survival ranges from 2 to 5 months (14–16). Furthermore, re-irradiation of the whole brain raises concerns regarding cumulative tissue toxicity impacting cognition and quality of life (17).

In contrast, stereotactic treatments deliver high dose and precisely targeted radiation to attain local control while limiting dose to surrounding normal structures (18). It has become increasingly popular in the treatment of limited intracranial disease for non-small cell histologies, although the literature supporting its use in SCLC is sparse. Retrospective studies, however, suggest local control rates upwards of 70% and minimal toxicity even after prior WBRT. Yet, median overall survival remains poor, ranging from 3 to 14 months following salvage stereotactic radiotherapy (8,18–25). Furthermore, despite the decent local control rates, distant brain failure occurs in the majority of patients. In these instances, further retreatment with stereotactic radiation is often feasible and represents an additional advantage of stereotactic approaches over repeat WBRT.

One of the largest retrospective studies investigating outcomes of re-irradiation for intracranial recurrence in the setting of SCLC comes from the MD Anderson Cancer Center (9). Salvage stereotactic radiation was associated with a significant overall survival benefit at 6 months compared to salvage WBRT (58 vs. 21%; P<0.001), although this is likely confounded by selection bias (9). On multivariate analysis, poor performance status and uncontrolled extracranial disease were associated with worse overall survival. Other important prognostic factors include the receipt of chemotherapy prior to intracranial recurrence, tumour volume, and time between initial WBRT and salvage therapy (9,18,21,23). The patient presented in this case report had many positive prognostic factors, highlighting the importance of not only control of systemic disease, but also aggressive management of intracranial recurrence in maximizing CNS control, overall survival, and quality of life (10,23).

While salvage stereotactic radiation can reduce the cumulative radiation dose to the entire brain compared to repeat WBRT, stereotactic approaches do still carry a risk of neurologic morbidity from radiation necrosis (10,26). The patient presented here was no exception. Radionecrosis rates following salvage stereotactic radiation after previous WBRT or PCI range from 0 to 12.5% and can lead to adverse symptoms such as hemiparesis, imbalance, aphasia, and loss of vision (21,23,25,27). However, fractionated stereotactic regimens can reduce the risk of radionecrosis particularly for larger brain metastases (28). For neuroendocrine tumours that are inherently radiosensitive, using a lower stereotactic dose may further minimize late effects while still providing reasonable disease control. The specific dose and fractionation used in this case report, 30 Gy in 5 fractions, was selected with this in mind, and is in fact one of several standard regimens for intact brain metastases at the institution where this patient was treated. Ultimately, optimizing radiation dose and fractionation is necessary to balance local control with treatment-related toxicity, though more data is still required to better understand the long-term effects of stereotactic radiation.

In conclusion, we present a case of a patient with ES-SCLC who has survived over 6 years following initial WBRT and multiple courses of salvage stereotactic radiation for separate intracranial recurrences. This case challenges commonly held notions that intracranial recurrence in SCLC is always diffuse and associated with simultaneous systemic disease progression or clinical deterioration. Amongst patients with isolated intracranial recurrence, it is important to identify appropriate candidates for salvage stereotactic radiation in order to maintain quality of life, expand re-treatment options, and ultimately prolong survival.

Supplementary Material

Supporting Data

Acknowledgements

The authors would like to acknowledge Mr. Gabriel Boldt, clinical research librarian at London Health Sciences Centre (London, ON, Canada), for his assistance in performing the initial literature search.

Funding

Funding: No funding was received.

Availability of data and materials

The datasets used and/or analysed during the current study are available from the corresponding author on reasonable request.

Authors' contributions

AV acquired and collected patient data, performed the literature review and data interpretation, and drafted the manuscript. BA conceived and designed the present study, revised the manuscript, and was responsible for the treatment of the patient. TT contributed to the conceptualization of the case report and manuscript drafting, and provided critical revisions on the intellectual content. AV, BA and TT confirm the authenticity of all the raw data. All authors read and approved the final manuscript.

Ethics approval and consent to participate

Not applicable.

Patient consent for publication

Written informed consent was provided by the patient for publication of the case report in all formats, including publication of all clinical details and diagnostic images.

Competing interests

The authors declare that they have no competing interests.

Glossary

Abbreviations

Abbreviations:

CNS

central nervous system

ECOG

Eastern Cooperative Oncology Group

ES

extensive-stage

PCI

prophylactic cranial irradiation

SCLC

small cell lung cancer

WBRT

whole brain radiotherapy

References

1 

Elias AD: Small cell lung cancer: State-of-the-art therapy in 1996. Chest. 112 (Suppl 4):251S–258S. 1997. View Article : Google Scholar : PubMed/NCBI

2 

Jett JR, Schild SE, Kesler KA and Kalemkerian GP: Treatment of small cell lung cancer: Diagnosis and management of lung cancer, 3rd ed: American college of chest physicians evidence-based clinical practice guidelines. Chest. 143 (Suppl 5):e400S–e419S. 2013. View Article : Google Scholar : PubMed/NCBI

3 

Demedts IK, Vermaelen KY and van Meerbeeck JP: Treatment of extensive-stage small cell lung carcinoma: Current status and future prospects. Eur Respir J. 35:202–215. 2010. View Article : Google Scholar : PubMed/NCBI

4 

Howlader N NA, Krapcho M, Miller D, Brest A, Yu M, Ruhl J, Tatalovich Z, Mariotto A, Lewis DR, Chen HS, Feuer EJ and Cronin KA: SEER cancer statistics review. 5-Year Survival Rates National Cancer Institute; Bethesda: MD1975. 2017

5 

Seute T, Leffers P, ten Velde GP and Twijnstra A: Neurologic disorders in 432 consecutive patients with small cell lung carcinoma. Cancer. 100:801–806. 2004. View Article : Google Scholar : PubMed/NCBI

6 

Slotman B, Faivre-Finn C, Kramer G, Rankin E, Snee M, Hatton M, Postmus P, Collette L, Musat E and Senan S; EORTC Radiation Oncology Group and Lung Cancer Group, : Prophylactic cranial irradiation in extensive small-cell lung cancer. N Engl J Med. 357:664–672. 2007. View Article : Google Scholar : PubMed/NCBI

7 

Tsao MN, Lloyd N, Wong RK, Chow E, Rakovitch E, Laperriere N, Xu W and Sahgal A: Whole brain radiotherapy for the treatment of newly diagnosed multiple brain metastases. Cochrane Database Syst Rev. 2012:CD0038692012.PubMed/NCBI

8 

Bernhardt D, Adeberg S, Bozorgmehr F, Opfermann N, Hoerner-Rieber J, König L, Kappes J, Thomas M, Herth F, Heußel CP, et al: Outcome and prognostic factors in patients with brain metastases from small-cell lung cancer treated with whole brain radiotherapy. J Neurooncol. 134:205–212. 2017. View Article : Google Scholar : PubMed/NCBI

9 

Suzuki R, Wei X, Allen PK, Welsh JW, Cox JD, Komaki R and Lin SH: Outcomes of re-irradiation for brain recurrence after prophylactic or therapeutic whole-brain irradiation for small cell lung Cancer: A retrospective analysis. Radiat Oncol. 13:2582018. View Article : Google Scholar : PubMed/NCBI

10 

Fairchild A, Guest N, Letcher A, Mazure B, Ghosh S, Gabos Z, Chu KP, Debenham B, Nijjar T, Severin D, et al: Should stereotactic radiosurgery be considered for salvage of intracranial recurrence after prophylactic cranial irradiation or whole brain radiotherapy in small cell lung cancer? A population-based analysis and literature review. J Med Imaging Radiat Sci. 51:75–87.e2. 2020. View Article : Google Scholar : PubMed/NCBI

11 

Arriagada R, Le Chevalier T, Rivière A, Chomy P, Monnet I, Bardet E, Santos-Miranda JA, Péhoux CL, Tarayre M, Benhamou S and Laplanche A: Patterns of failure after prophylactic cranial irradiation in small-cell lung cancer: Analysis of 505 randomized patients. Ann Oncol. 13:748–754. 2002. View Article : Google Scholar : PubMed/NCBI

12 

Ramlov A, Tietze A, Khalil AA and Knap MM: Prophylactic cranial irradiation in patients with small cell lung cancer. A retrospective study of recurrence, survival and morbidity. Lung Cancer. 77:561–566. 2012. View Article : Google Scholar : PubMed/NCBI

13 

Aupérin A, Arriagada R, Pignon JP, Péchoux CL, Gregor A, Stephens RJ, Kristjansen PE, Johnson BE, Ueoka H, Wagner H and Aisner J: Prophylactic cranial irradiation for patients with small-cell lung cancer in complete remission. New Engl J Med. 341:476–484. 1999. View Article : Google Scholar : PubMed/NCBI

14 

Postmus PE, Haaxma-Reiche H, Gregor A, Groen HJ, Lewinski T, Scolard T, Kirkpatrick A, Curran D, Sahmoud T and Giaccone G: Brain-only metastases of small cell lung cancer; efficacy of whole brain radiotherapy. An EORTC phase II study. Radiother Oncol. 46:29–32. 1998. View Article : Google Scholar : PubMed/NCBI

15 

Bernhardt D, Adeberg S, Bozorgmehr F, Opfermann N, Hörner-Rieber J, König L, Kappes J, Thomas M, Unterberg A, Herth F, et al: Outcome and prognostic factors in single brain metastases from small-cell lung cancer. Strahlenther Onkol. 194:98–106. 2018. View Article : Google Scholar : PubMed/NCBI

16 

Bernhardt D, Bozorgmehr F, Adeberg S, Opfermann N, von Eiff D, Rieber J, Kappes J, Foerster R, König L, Thomas M, et al: Outcome in patients with small cell lung cancer re-irradiated for brain metastases after prior prophylactic cranial irradiation. Lung Cancer. 101:76–81. 2016. View Article : Google Scholar : PubMed/NCBI

17 

Son CH, Jimenez R, Niemierko A, Loeffler JS, Oh KS and Shih HA: Outcomes after whole brain reirradiation in patients with brain metastases. Int J Radiat Oncol Biol Phys. 82:e167–e172. 2012. View Article : Google Scholar : PubMed/NCBI

18 

Sheehan J, Kondziolka D, Flickinger J and Lunsford LD: Radiosurgery for patients with recurrent small cell lung carcinoma metastatic to the brain: Outcomes and prognostic factors. J Neurosurg. 102:247–254. 2005. View Article : Google Scholar : PubMed/NCBI

19 

Wegner RE, Olson AC, Kondziolka D, Niranjan A, Lundsford LD and Flickinger JC: Stereotactic radiosurgery for patients with brain metastases from small cell lung cancer. Int J Radiat Oncol Biol Phys. 81:e21–e27. 2011. View Article : Google Scholar : PubMed/NCBI

20 

Nakazaki K, Higuchi Y, Nagano O and Serizawa T: Efficacy and limitations of salvage gamma knife radiosurgery for brain metastases of small-cell lung cancer after whole-brain radiotherapy. Acta Neurochir (Wien). 155:107–114. 2013. View Article : Google Scholar : PubMed/NCBI

21 

Harris S, Chan MD, Lovato JF, Ellis TL, Tatter SB, Bourland JD, Munley MT, deGuzman AF, Shaw EG, Urbanic JJ and McMullen KP: Gamma knife stereotactic radiosurgery as salvage therapy after failure of whole-brain radiotherapy in patients with small-cell lung cancer. Int J Radiat Oncol Biol Phys. 83:e53–59. 2012. View Article : Google Scholar : PubMed/NCBI

22 

Nakazaki K, Yomo S, Kondoh T, Serizawa T, Kenai H, Kawagishi J, Sato S, Nagano O, Aiyama H, Kawai H, et al: Salvage gamma knife radiosurgery for active brain metastases from small-cell lung cancer after whole-brain radiation therapy: A retrospective multi-institutional study (JLGK1701). J Neurooncol. 147:67–76. 2020. View Article : Google Scholar : PubMed/NCBI

23 

Rava P, Sioshansi S, DiPetrillo T, Cosgrove R, Melhus C, Wu J, Mignano J, Wazer DE and Hepel JT: Local recurrence and survival following stereotactic radiosurgery for brain metastases from small cell lung cancer. Pract Radiat Oncol. 5:e37–e44. 2015. View Article : Google Scholar : PubMed/NCBI

24 

Li XP, Xiao JP, Chen XJ, Jiang XS, Zhang Y and Xu YJ: Fractionated stereotactic radiotherapy for small-cell lung cancer patients with brain metastases. J Cancer Res Ther. 10:597–602. 2014.PubMed/NCBI

25 

Olson AC, Wegner RE, Rwigema JC, Heron DE, Burton SA and Mintz AH: Clinical outcomes of reirradiation of brain metastases from small cell lung cancer with Cyberknife stereotactic radiosurgery. J Cancer Res Ther. 8:411–416. 2012. View Article : Google Scholar : PubMed/NCBI

26 

Blonigen BJ, Steinmetz RD, Levin L, Lamba MA, Warnick RE and Breneman JC: Irradiated volume as a predictor of brain radionecrosis after linear accelerator stereotactic radiosurgery. Int J Radiat Oncol Biol Phys. 77:996–1001. 2010. View Article : Google Scholar : PubMed/NCBI

27 

Faramand A, Niranjan A, Kano H, Flickinger J and Lunsford LD: Primary or salvage stereotactic radiosurgery for brain metastatic small cell lung cancer. J Neurooncol. 144:217–225. 2019. View Article : Google Scholar : PubMed/NCBI

28 

Minniti G, D'Angelillo RM, Scaringi C, Trodella LE, Clarke E, Matteucci P, Osti MF, Ramella S, Enrici RM and Trodella L: Fractionated stereotactic radiosurgery for patients with brain metastases. J Neurooncol. 117:295–301. 2014. View Article : Google Scholar : PubMed/NCBI

Related Articles

  • Abstract
  • View
  • Download
  • Twitter
Copy and paste a formatted citation
Spandidos Publications style
Vucetic A, Ahmad B and Tang T: Long‑term survival in a patient with extensive‑stage small cell lung cancer treated with multiple courses of salvage stereotactic radiation after whole brain radiotherapy: A case report. Oncol Lett 24: 335, 2022.
APA
Vucetic, A., Ahmad, B., & Tang, T. (2022). Long‑term survival in a patient with extensive‑stage small cell lung cancer treated with multiple courses of salvage stereotactic radiation after whole brain radiotherapy: A case report. Oncology Letters, 24, 335. https://doi.org/10.3892/ol.2022.13454
MLA
Vucetic, A., Ahmad, B., Tang, T."Long‑term survival in a patient with extensive‑stage small cell lung cancer treated with multiple courses of salvage stereotactic radiation after whole brain radiotherapy: A case report". Oncology Letters 24.4 (2022): 335.
Chicago
Vucetic, A., Ahmad, B., Tang, T."Long‑term survival in a patient with extensive‑stage small cell lung cancer treated with multiple courses of salvage stereotactic radiation after whole brain radiotherapy: A case report". Oncology Letters 24, no. 4 (2022): 335. https://doi.org/10.3892/ol.2022.13454
Copy and paste a formatted citation
x
Spandidos Publications style
Vucetic A, Ahmad B and Tang T: Long‑term survival in a patient with extensive‑stage small cell lung cancer treated with multiple courses of salvage stereotactic radiation after whole brain radiotherapy: A case report. Oncol Lett 24: 335, 2022.
APA
Vucetic, A., Ahmad, B., & Tang, T. (2022). Long‑term survival in a patient with extensive‑stage small cell lung cancer treated with multiple courses of salvage stereotactic radiation after whole brain radiotherapy: A case report. Oncology Letters, 24, 335. https://doi.org/10.3892/ol.2022.13454
MLA
Vucetic, A., Ahmad, B., Tang, T."Long‑term survival in a patient with extensive‑stage small cell lung cancer treated with multiple courses of salvage stereotactic radiation after whole brain radiotherapy: A case report". Oncology Letters 24.4 (2022): 335.
Chicago
Vucetic, A., Ahmad, B., Tang, T."Long‑term survival in a patient with extensive‑stage small cell lung cancer treated with multiple courses of salvage stereotactic radiation after whole brain radiotherapy: A case report". Oncology Letters 24, no. 4 (2022): 335. https://doi.org/10.3892/ol.2022.13454
Follow us
  • Twitter
  • LinkedIn
  • Facebook
About
  • Spandidos Publications
  • Careers
  • Cookie Policy
  • Privacy Policy
How can we help?
  • Help
  • Live Chat
  • Contact
  • Email to our Support Team