Spandidos Publications Logo
  • About
    • About Spandidos
    • Aims and Scopes
    • Abstracting and Indexing
    • Editorial Policies
    • Reprints and Permissions
    • Job Opportunities
    • Terms and Conditions
    • Contact
  • Journals
    • All Journals
    • Oncology Letters
      • Oncology Letters
      • Information for Authors
      • Editorial Policies
      • Editorial Board
      • Aims and Scope
      • Abstracting and Indexing
      • Bibliographic Information
      • Archive
    • International Journal of Oncology
      • International Journal of Oncology
      • Information for Authors
      • Editorial Policies
      • Editorial Board
      • Aims and Scope
      • Abstracting and Indexing
      • Bibliographic Information
      • Archive
    • Molecular and Clinical Oncology
      • Molecular and Clinical Oncology
      • Information for Authors
      • Editorial Policies
      • Editorial Board
      • Aims and Scope
      • Abstracting and Indexing
      • Bibliographic Information
      • Archive
    • Experimental and Therapeutic Medicine
      • Experimental and Therapeutic Medicine
      • Information for Authors
      • Editorial Policies
      • Editorial Board
      • Aims and Scope
      • Abstracting and Indexing
      • Bibliographic Information
      • Archive
    • International Journal of Molecular Medicine
      • International Journal of Molecular Medicine
      • Information for Authors
      • Editorial Policies
      • Editorial Board
      • Aims and Scope
      • Abstracting and Indexing
      • Bibliographic Information
      • Archive
    • Biomedical Reports
      • Biomedical Reports
      • Information for Authors
      • Editorial Policies
      • Editorial Board
      • Aims and Scope
      • Abstracting and Indexing
      • Bibliographic Information
      • Archive
    • Oncology Reports
      • Oncology Reports
      • Information for Authors
      • Editorial Policies
      • Editorial Board
      • Aims and Scope
      • Abstracting and Indexing
      • Bibliographic Information
      • Archive
    • Molecular Medicine Reports
      • Molecular Medicine Reports
      • Information for Authors
      • Editorial Policies
      • Editorial Board
      • Aims and Scope
      • Abstracting and Indexing
      • Bibliographic Information
      • Archive
    • World Academy of Sciences Journal
      • World Academy of Sciences Journal
      • Information for Authors
      • Editorial Policies
      • Editorial Board
      • Aims and Scope
      • Abstracting and Indexing
      • Bibliographic Information
      • Archive
    • International Journal of Functional Nutrition
      • International Journal of Functional Nutrition
      • Information for Authors
      • Editorial Policies
      • Editorial Board
      • Aims and Scope
      • Abstracting and Indexing
      • Bibliographic Information
      • Archive
    • International Journal of Epigenetics
      • International Journal of Epigenetics
      • Information for Authors
      • Editorial Policies
      • Editorial Board
      • Aims and Scope
      • Abstracting and Indexing
      • Bibliographic Information
      • Archive
    • Medicine International
      • Medicine International
      • Information for Authors
      • Editorial Policies
      • Editorial Board
      • Aims and Scope
      • Abstracting and Indexing
      • Bibliographic Information
      • Archive
  • Articles
  • Information
    • Information for Authors
    • Information for Reviewers
    • Information for Librarians
    • Information for Advertisers
    • Conferences
  • Language Editing
Spandidos Publications Logo
  • About
    • About Spandidos
    • Aims and Scopes
    • Abstracting and Indexing
    • Editorial Policies
    • Reprints and Permissions
    • Job Opportunities
    • Terms and Conditions
    • Contact
  • Journals
    • All Journals
    • Biomedical Reports
      • Information for Authors
      • Editorial Policies
      • Editorial Board
      • Aims and Scope
      • Abstracting and Indexing
      • Bibliographic Information
      • Archive
    • Experimental and Therapeutic Medicine
      • Information for Authors
      • Editorial Policies
      • Editorial Board
      • Aims and Scope
      • Abstracting and Indexing
      • Bibliographic Information
      • Archive
    • International Journal of Epigenetics
      • Information for Authors
      • Editorial Policies
      • Editorial Board
      • Aims and Scope
      • Abstracting and Indexing
      • Bibliographic Information
      • Archive
    • International Journal of Functional Nutrition
      • Information for Authors
      • Editorial Policies
      • Editorial Board
      • Aims and Scope
      • Abstracting and Indexing
      • Bibliographic Information
      • Archive
    • International Journal of Molecular Medicine
      • Information for Authors
      • Editorial Policies
      • Editorial Board
      • Aims and Scope
      • Abstracting and Indexing
      • Bibliographic Information
      • Archive
    • International Journal of Oncology
      • Information for Authors
      • Editorial Policies
      • Editorial Board
      • Aims and Scope
      • Abstracting and Indexing
      • Bibliographic Information
      • Archive
    • Medicine International
      • Information for Authors
      • Editorial Policies
      • Editorial Board
      • Aims and Scope
      • Abstracting and Indexing
      • Bibliographic Information
      • Archive
    • Molecular and Clinical Oncology
      • Information for Authors
      • Editorial Policies
      • Editorial Board
      • Aims and Scope
      • Abstracting and Indexing
      • Bibliographic Information
      • Archive
    • Molecular Medicine Reports
      • Information for Authors
      • Editorial Policies
      • Editorial Board
      • Aims and Scope
      • Abstracting and Indexing
      • Bibliographic Information
      • Archive
    • Oncology Letters
      • Information for Authors
      • Editorial Policies
      • Editorial Board
      • Aims and Scope
      • Abstracting and Indexing
      • Bibliographic Information
      • Archive
    • Oncology Reports
      • Information for Authors
      • Editorial Policies
      • Editorial Board
      • Aims and Scope
      • Abstracting and Indexing
      • Bibliographic Information
      • Archive
    • World Academy of Sciences Journal
      • Information for Authors
      • Editorial Policies
      • Editorial Board
      • Aims and Scope
      • Abstracting and Indexing
      • Bibliographic Information
      • Archive
  • Articles
  • Information
    • For Authors
    • For Reviewers
    • For Librarians
    • For Advertisers
    • Conferences
  • Language Editing
Login Register Submit
  • This site uses cookies
  • You can change your cookie settings at any time by following the instructions in our Cookie Policy. To find out more, you may read our Privacy Policy.

    I agree
Search articles by DOI, keyword, author or affiliation
Search
Advanced Search
presentation
Oncology Letters
Join Editorial Board Propose a Special Issue
Print ISSN: 1792-1074 Online ISSN: 1792-1082
Journal Cover
October-2022 Volume 24 Issue 4

Full Size Image

Sign up for eToc alerts
Recommend to Library

Journals

International Journal of Molecular Medicine

International Journal of Molecular Medicine

International Journal of Molecular Medicine is an international journal devoted to molecular mechanisms of human disease.

International Journal of Oncology

International Journal of Oncology

International Journal of Oncology is an international journal devoted to oncology research and cancer treatment.

Molecular Medicine Reports

Molecular Medicine Reports

Covers molecular medicine topics such as pharmacology, pathology, genetics, neuroscience, infectious diseases, molecular cardiology, and molecular surgery.

Oncology Reports

Oncology Reports

Oncology Reports is an international journal devoted to fundamental and applied research in Oncology.

Experimental and Therapeutic Medicine

Experimental and Therapeutic Medicine

Experimental and Therapeutic Medicine is an international journal devoted to laboratory and clinical medicine.

Oncology Letters

Oncology Letters

Oncology Letters is an international journal devoted to Experimental and Clinical Oncology.

Biomedical Reports

Biomedical Reports

Explores a wide range of biological and medical fields, including pharmacology, genetics, microbiology, neuroscience, and molecular cardiology.

Molecular and Clinical Oncology

Molecular and Clinical Oncology

International journal addressing all aspects of oncology research, from tumorigenesis and oncogenes to chemotherapy and metastasis.

World Academy of Sciences Journal

World Academy of Sciences Journal

Multidisciplinary open-access journal spanning biochemistry, genetics, neuroscience, environmental health, and synthetic biology.

International Journal of Functional Nutrition

International Journal of Functional Nutrition

Open-access journal combining biochemistry, pharmacology, immunology, and genetics to advance health through functional nutrition.

International Journal of Epigenetics

International Journal of Epigenetics

Publishes open-access research on using epigenetics to advance understanding and treatment of human disease.

Medicine International

Medicine International

An International Open Access Journal Devoted to General Medicine.

Journal Cover
October-2022 Volume 24 Issue 4

Full Size Image

Sign up for eToc alerts
Recommend to Library

  • Article
  • Citations
    • Cite This Article
    • Download Citation
    • Create Citation Alert
    • Remove Citation Alert
    • Cited By
  • Similar Articles
    • Related Articles (in Spandidos Publications)
    • Similar Articles (Google Scholar)
    • Similar Articles (PubMed)
  • Download PDF
  • Download XML
  • View XML
Article Open Access

Immunoexpression of p62/SQSTM1/Sequestosome‑1 in human primary and recurrent IDH1/2 wild‑type glioblastoma: A pilot study

  • Authors:
    • Antonio Ieni
    • Cristina Pizzimenti
    • Giuseppe Broggi
    • Rosario Caltabiano
    • Antonino Germanò
    • Giuseppe Maria Vincenzo Barbagallo
    • Paolo Vigneri
    • Giuseppe Giuffrè
    • Giovanni Tuccari
  • View Affiliations / Copyright

    Affiliations: Department of Human Pathology in Adult and Developmental Age ‘Gaetano Barresi’, Section of Pathology, University of Messina, I‑98125 Messina, Italy, Department of Biomedical, Dental, Morphological and Functional Imaging Sciences, University of Messina, I‑98125 Messina, Italy, Department of Medical, Surgical Sciences and Advanced Technologies ‘G.F. Ingrassia’, Section of Anatomic Pathology, University of Catania, I‑95123 Catania, Italy, Department of Medical, Surgical Sciences and Advanced Technologies ‘G.F. Ingrassia’, Section of Anatomic Pathology, University of Catania, I‑95123 Catania, Italy, Department of Biomedical, Dental, Morphological and Functional Imaging Sciences, University of Messina, I‑98125 Messina, Italy, Department of Medical, Surgical Sciences and Advanced Technologies ‘G.F. Ingrassia’, Section of Neurological Surgery, Policlinico ‘Rodolico‑San Marco’ University Hospital, University of Catania, I‑95123 Catania, Italy, Department of Clinical and Experimental Medicine, University of Catania, I‑95123 Catania, Italy
    Copyright: © Ieni et al. This is an open access article distributed under the terms of Creative Commons Attribution License.
  • Article Number: 336
    |
    Published online on: August 11, 2022
       https://doi.org/10.3892/ol.2022.13456
  • Expand metrics +
Metrics: Total Views: 0 (Spandidos Publications: | PMC Statistics: )
Metrics: Total PDF Downloads: 0 (Spandidos Publications: | PMC Statistics: )
Cited By (CrossRef): 0 citations Loading Articles...

This article is mentioned in:



Abstract

p62/SQSTM1/Sequestosome‑1 is an autophagic protein that serves a crucial role in cellular metabolism, proliferation and malignant growth. Notably, autophagy may influence the development and resistance to therapy of numerous types of human cancer. In the present pilot study, the immunohistochemical pattern of p62 was analyzed in a cohort of patients with isocitrate dehydrogenase (IDH)1/2 wild‑type glioblastoma (GBM), in primary and recurrent samples, in order to verify the concordance or discordance between the primary and recurrent tumors. In addition, the association between p62, and patient outcome and O6‑methylguanine‑DNA methyltransferase (MGMT) status was assessed. The results revealed p62 immunoexpression in the nucleus and cytoplasm of neoplastic elements in 45% of primary and 55% of recurrent cases of GBM. A discordant p62 immunoreactivity was detected in 35% of cases, with a variation either with positive or negative conversion of p62 status. Statistically, p62 expression and MGMT status exhibited a significant prognostic value by univariate analysis, whereas only MGMT promoter methylation status emerged as an independent prognostic factor by multivariate analysis. Finally, the most favorable prognosis was documented when the same GBM case was positively concordant for both p62 expression and MGMT methylated status. Since little data are available regarding the association between p62 expression and MGMT in GBM, further investigations may be required to determine if new targeted therapies may be addressed against autophagy‑related proteins, such as p62.

Introduction

Autophagy, already defined as an intracellular catabolic phenomenon, is considered to be involved in many pathophysiological processes, such as infection, autoimmune disease, neurodegenerative disorders, aging, cell death, and cancer (1–4). In the neoplastic field, it is well established that autophagy may exert a dual role, suppressing or contributing to tumorigenesis (5–10). During the autophagic process, many important autophagy-related proteins (ATGs) are involved either in its induction or the assembly, formation, and degradation of autophagosomes (11–14). Among the ATGs, a multifunctional protein considered autophagy adaptor is represented by p62, also named sequestosome 1 (SQSTM 1) (15,16); in particular, this protein may directly interact with microtubule-associated protein light chain 3 (LC3), and further, it may be specifically degraded by autophagy (15). Contrastingly, a defective autophagic phenomenon may produce a p62 upregulation in human tumors (17,18). Some reports have documented an evident p62 expression in pancreatic, hepatocellular, mammary, and oral squamous carcinomas, in which aggressive clinicopathological features and poor prognosis have been referred (16–20). In the light of these observations, it has been hypothesized that p62 may promote the progression of cancer by repressing the apoptotic resistance and generating reactive oxygen species (ROS), thus, enhancing cell proliferation, tumorigenesis, and metastasis (20–23).

In the central nervous system (CNS), p62 has been mainly investigated in neurodegenerative disorders, such as Parkinson's and Alzheimer's diseases, as mitochondrial dysfunction is implicated in the pathogenesis of these disorders (24–26). Although previous reports have hypothesized the action of SQSTM1 as a regulator of mitochondrial function (27,28), additional studies on cell lines have raised some doubts concerning the exact role of p62 (29,30). Moreover, the function of p62 in the progression of glioma is not fully understood, even if in glioma stem-like cells, p62 should regulate invasion by modulating energy metabolism and affecting mitochondrial function (31,32). However, some data about p62 level in different glial neoplastic samples have been reported (15,33,34); remarkably, an increase in p62 expression has been progressively detected from low- to high-grade gliomas with prognostic value (15,33,34), although no correlation with isocitrate dehydrogenase (IDH) mutation status has been documented (15). In detail, a high p62 immunohistochemical expression has been reported in 34/81 primary high-grade gliomas and these patients had a lower mean of three years of overall survival (33). Moreover, a p62 immunoreactivity has been documented in 55/96 primary high grade (III and IV) gliomas with a positive correlation with overall survival and the proteins O6-methylguanine-DNA methyltransferase (MGMT) and telomerase reverse transcriptase (TERT) promoter (34).

Glioblastoma (GBM) represents the most aggressive entity in CNS tumors, in which the IDH-wild-type constitutes over 90% of GBM, with a median overall survival (OS) ranging from 12 to 18 months and the 5-year survival of about 5% (35–37). The gold standard for the treatment of newly diagnosed GBM consists of maximal surgical exeresis, followed by concurrent radiotherapy/temozolomide (TMZ) and six-monthly cycles of adjuvant TMZ (38–40). If the tumor progresses after first-line therapy, a recurrent GBM (rGBM) occurs which makes the treatment a challenge, although many new drugs have been tested for their efficacy (40).

MGMT, a DNA repair protein, removes the alkylation at the O6 position of guanine which is the most cytotoxic lesion induced by alkylating agent chemotherapy, such as nitrosoureas or temozolomide (TMZ) (8,9). However, some studies have compared the methylation status of the promoter for DNA repair protein MGMT in newly diagnosed tumors with matched recurrence samples after TMZ treatment (41–43). Low-level expression of MGMT protein impairs their ability to repair DNA. Hyper-methylation of MGMT gene promoter might result in silencing gene expression and further down-regulate protein concentrations (42,43). Few studies have analyzed if the MGMT methylation status of GBM might change during the disease course, with conflicting data and variable rates of change (5–40%) (41,42,44). Nevertheless, it is unclear whether this transition from methylated to unmethylated and vice versa in GBM recurrent tumors may be a result of TMZ treatment on MGMT status or due to the selection for a more drug-tolerant clone, or a mixture of both processes (43,45).

In the light of the above-mentioned well-known information concerning p62 immunoexpression and MGMT status, we have thought to perform as novelty an analysis regarding p62 immunohistochemical pattern in a cohort of IDH1/2 wild-type GBM, either in primary or recurrent, to verify if its expression is maintained or changed in relation to a potential association with relapse-free survival (RFS) or overall survival (OS). Additionally, the relationship between MGMT status and p62 immunoexpression in primary and corresponding recurrent IDH1/2 wild-type GBM has been analyzed, considering the rate of change of both parameters.

Materials and methods

Ethics approval

The study was conducted in accordance with Good Clinical Practice guidelines and the Declaration of Helsinki (1975, revised in 2013); its retrospective nature did not require any informed consent, although written informed consent had been obtained from each patient before surgical procedures. The clinical information had been retrieved from the patients' medical records and pathology reports. Patients' initials or other personal identifiers did not appear in any image. Finally, all samples were anonymized before histology and immunohistochemistry. Formal ethical approval was obtained from the Catania 1 Ethics Committee (Catania, Italy; protocol code: 166/2015/PO;17/12/2015).

Case selection

From the archives of the Department of Human Pathology of Adult and Evolutive Age (University of Messina, Messina, Italy) and the Department of Medical, Surgical Sciences, and Advanced Technologies ‘G.F. Ingrassia’ (University of Catania, Catania, Italy), 40 consecutive patients (26 men, 14 women; mean age, 55.85 years; range, 35–73 years) surgically treated for naȉve IDH1/2 wild-type GBM were included in the present analysis. Initially, during routine pathology diagnostics, IDH1/2 status was analyzed by immunohistochemistry utilizing mouse monoclonal antibody IDH1 R132H (work dilution 1:50, clone H09, Dianova GmbH, catalogue n. 075874). Furtherly, the IDH1/2 wild type status on the same casuistry was verified utilizing IDH1/2 mutation detection kit for real-time PCR (EntroGen, product code IDH-RT38). For all cases, primary as well as recurrent neoplasms were available and histologically reviewed by two independent observers according to World Health Organization (WHO) 2016 criteria. Clinical characteristics of each patient, including age, sex, MGMT promoter methylation status assessed by quantitative polymerase chain reaction, disease-free interval, and overall survival were available from the medical records of our institution.

Immunohistochemistry

For immunohistochemical procedures, 5-micron thick sections obtained from corresponding tissue blocks were deparaffinized, then washed in descending alcohol scale, treated with 3% hydrogen peroxide for 10 min, washed again in deionized water for three times, and incubated with normal sheep serum to prevent unspecific adherence of serum proteins for 30 min at room temperature. Subsequently, sections were washed with deionized water and incubated for 30 min at 37°C with commercially obtained against primary anti-human antisera mouse monoclonal anti-SQSTM1/p62 antibody (work dilution 1:200, clone 2C11, Abcam, catalogue n. ab 56416). Next, the sections were washed three times with PBS and incubated with a biotinylated goat anti-mouse IgG secondary antibody (1:300; Abcam, catalogue n. ab7064) for 20 min at room temperature, subsequently incubated with horseradish peroxidase-labeled secondary antibody for 30 min and developed with diaminobenzidine tetrahydrochloride and counterstained with hematoxylin using the ULTRA Staining system (Ventana Medical Systems). Negative controls were obtained by omitting the specific antisera and substituting PBS for the primary antibody. The assessment of p62 immunoreactivity was evaluated according to the intensity and percentage of positively stained cells, as elsewhere reported (2,4). The cytoplasmic and nuclear immunostaining intensity was rated as follows: 0, negative; 1, weak; and 2, strong. The percentage of positively stained cells was graded as follows: grade 0, 0–5%; grade 1, >5–25%; grade 2, >25–50%; grade 3, >50–75%; and grade 4, >75–100% for all antibodies. The immunoreactive score was calculated by adding the staining intensity score and the percentage score of positively stained cells (0–6). Tumors with an immunoreactive score of 0–3 were classified as negative, and those with a score of 4–6 were classified as positive. The immunohistochemical staining samples were independently scored by two pathologists (AI and GT), who were blinded to patient outcomes and other clinical findings, using a Zeiss Axioskop microscope (Carl Zeiss Microscopy GmbH) at 40× objective magnification. The interobserver agreement for p62 immunohistochemistry staining had a kappa value ranging from 0.73-0.80 (substantial agreement). One patient was considered p62 positive if primary or corresponding recurrent GBM showed protein expression.

MGMT pyrosequencing analysis

The MGMT analysis was done on the DNA extracted from paraffin-embedded tumor samples after bisulfite treatment and PCR amplification with primers specific for exon 1 of MGMT. Preliminarily, unmethylated cytosine residues were converted to uracil with bisulfite treatment of 500 ng DNA using the Epi Tect Bisulfite Kit (Qiagen) and the QiaCube automated purification system (Qiagen) according to the manufacturer's recommendation. The Therascreen MGMT Pyro Kit and the PyroMark Q24 system (Qiagen) were used to assess the methylation status of the MGMT gene promoter. Briefly, bisulfite-converted genomic DNA was amplified by PCR, the amplicons were immobilized on streptavidin beads, and single-stranded DNA was prepared, sequenced, and finally analyzed on the PyroMark Q24 System. The cut-off frequency for accepting methylation as positive was determined as elsewhere reported (46).

Statistical analysis

Statistical evaluation was performed using the SPSS version 13.0 software package (SPSS, Inc.). The association between p62 expression in GBM patients and clinicopathological features (age, sex, tumor site, MGMT status) was analyzed using the Chi-square (χ2) or Fisher exact test. Cancer-specific survival analysis was performed by the Kaplan-Meier method, and for comparison of the survival curves, the Mantel-Cox log-rank test was used. A multivariate analysis (Cox regression model) was utilized to determine the independent effects of variables on overall survival. P<0.05 was considered to indicate a statistically significant difference.

Results

Clinicopathological parameters, as well as immunohistochemical data on p62 expression, are summarized in Table I. In our cohort, the p62 immunoexpression was found in the nucleus and cytoplasm of neoplastic elements in 18/40 (45%) primary (Fig. 1A and B) and 22/40 (55%) recurrent GBM (Fig. 2). By contrast, 22 primary GBM, as well as 18 recurrent GBM were consistently unstained (Fig. 3). Moreover, healthy normal nervous tissue neighboring GBM exhibited a constant p62 negative immunostaining (Fig. 4).

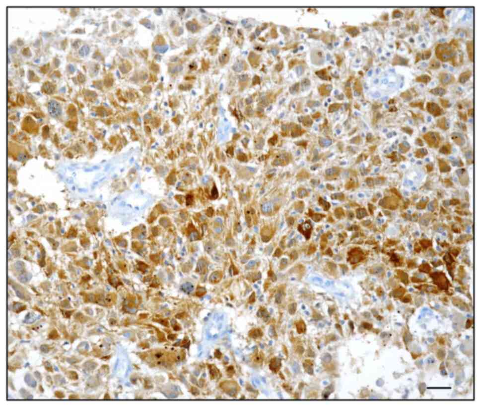
Figure 1.

An evident strong and diffuse nuclear/cytoplasmic immunoreactivity was documented in primary glioblastoma, either at (A) low (magnification, ×120) or (B) high (magnification, ×360) magnification (p62 antiserum, Mayer's nuclear counterstain). Scale bar, 50 µm.

Figure 2.

Diffuse homogeneous p62 immunopositivity was found in recurrent glioblastoma, (magnification, ×480; Mayer's nuclear counterstain). Scale bar, 50 µm.

Figure 3.

An absent uniform p62 immunoreactivity was evident in some glioblastoma (magnification, ×200; Mayer's nuclear counterstain). Scale bar, 50 µm.

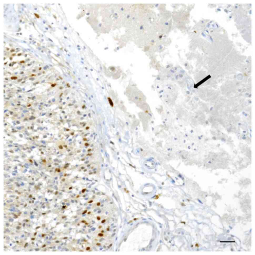
Figure 4.

Note the negative p62 immunostaining in the neighboring healthy nervous tissue (black arrow) in comparison to glioblastoma in the left corner (magnification, ×200; Mayer's nuclear counterstain). Scale bar, 50 µm. 3. An absent uniform p62 immunoreactivity was evident in some glioblastoma (magnification, ×200; Mayer's nuclear counterstain). Scale bar, 50 µm.

Table I.

Clinicopathological parameters in relation to p62 expression in 40 glioblastoma patients.

Table I.

Clinicopathological parameters in relation to p62 expression in 40 glioblastoma patients.

ParameterNo.p62 expression (%)P-value
Sex NS
  Male2618 (69.2)
  Female149 (64.3)
Tumour site NS
  Frontal107 (70)
  Parietal94 (44.4)
  Fronto-parietal53 (60)
  Temporal1613 (81.3)
MGMT promoter methylation status <0.001
  Methylated1818 (100)
  Unmethylated229 (40.9)

[i] NS, not significant; MGMT, O6-methylguanine-DNA methyltransferase.

Table II showed the concordance, either negative or positive, respectively in 13/40 (32.5%) and 13/40 (32.5%); moreover, a discordant p62 immunoreactivity was found in 14/40 (35%), of which in 5/40 (12.5%) a change from positive to negative was encountered, while in 9/40 (22.5%) a variation from negative to positive was found (Table II). In particular, the additional Table III offered p62 detailed ID score for all cases analyzed, either primary or recurrent. Therefore, analyzing the p62 expression in primary and recurrent GBMs, three subgroups may be identified: Positive concordant, negative concordant and discordant; the difference among them (χ2=6.814) was statistically significant (P=0.033). It merged that the most favorable prognosis was achieved when the same GBM case was positively concordant for both parameters, in comparison to other groups (χ2=14.538), exhibiting a significant statistical value (P=0.001), as shown in survival curves performed by the Kaplan-Mayer method (Fig. 5).

Figure 5.

Survival curves in relation to concordant/discordant status of MGMT/p62 expression in primary and corresponding recurrent glioblastoma. MGMT, O6-methylguanine-DNA methyltransferase.

Table II.

Sub-grouping for p62 immunoreactivity.

Table II.

Sub-grouping for p62 immunoreactivity.

Number of casesPrimary GBMRecurrent GBM
13ap62 +vep62 +ve
13bp62 -vep62 -ve
14c5 p62 +vep62 -ve
9 p62 -vep62 +ve

a Positive concordant group;

b negative concordant group;

c discordant groups. GBM, glioblastoma.

Table III.

Detailed information concerning p62 immunoreactive score either in primary or recurrent GBM.

Table III.

Detailed information concerning p62 immunoreactive score either in primary or recurrent GBM.

Case nr.Age, yearsSexLocationID score p62_primaryID scorep62_recurrence
161FTemporal00
262MParietal11
351FTemporal52
464FTemporal61
570FFrontal00
654MTemporal44
739MFrontal00
853M Fronto-parietal66
955FTemporal54
1053MTemporal65
1162M Fronto-parietal22
1235MFrontal55
1362MParietal40
1461MTemporal65
1563MTemporal45
1649FFrontal14
1749MTemporal55
1852MParietal25
1949MFrontal14
2049MTemporal05
2157FTemporal00
2270MParietal00
2373MTemporal16
2447M Fronto-parietal44
2557MParietal56
2637FTemporal40
2770FTemporal00
2850MFrontal66
2965MParietal11
3065MTemporal26
3166FFrontal55
3259MTemporal05
3366FParietal04
3445MFrontal11
3552FParietal00
3641MFrontal66
3752MParietal10
3865M Fronto-parietal00
3948F Fronto-parietal05
4056FFrontal40

[i] Tumors with an immunoreactive score of 0–3 were classified as negative while those with a score of 4–6 were considered positive. F, female; M, male.

Concerning MGMT status 18/40 cases showed a methylated profile (Fig. 6). In a univariate analysis of GBM patients, MGMT promoter methylation status (χ2=14.517) and p62 expression (χ2=6.590) showed a significant P-value (Table IV). By multivariate survival analysis, only MGMT promoter methylation status emerged as an independent prognostic parameter (Table V).

Figure 6.

Pyrogram of a glioblastoma O6-methylguanine-DNA methyltransferase methylated case.

Table IV.

Prognostic parameters examined in glioblastoma cases: A univariate analysis of cancer-specific mortality by Mantel-Cox log-rank test.

Table IV.

Prognostic parameters examined in glioblastoma cases: A univariate analysis of cancer-specific mortality by Mantel-Cox log-rank test.

Variableχ2dfP-value
MGMT methylation status14.5171<0.001
p62 expression6.59010.010

[i] df, degrees of freedom; MGMT, O6-methylguanine-DNA methyltransferase.

Table V.

Multivariate survival analysis by Cox regression model in glioblastoma patients.

Table V.

Multivariate survival analysis by Cox regression model in glioblastoma patients.

VariableβSEExp(β) RRCI 95% Exp(β)P-value
MGMT0.6120.1741.8431.311-2.592<0.001
methylation
status
p62----0.822
expression

[i] β, regression coefficient; SE, standard error Exp(β) RR, ratio of risk; CI, 95% confidence interval with lowest and highest values.

Discussion

In the present pilot study, we have analyzed the immunohistochemical expression of p62 in a cohort of GBM, considering each patient as positive when this autophagic protein was indifferently revealed in primary and/or corresponding recurrent GBM samples. We have found a p62 immunoreaction in the nucleus and cytoplasm of neoplastic elements in 45% of GMB primary and 55% recurrent cases. However, a variable rate of p62 immunostaining has been elsewhere reported in primary high-grade gliomas (33,34); specifically, the reported positive percentage ranged from 42 to 57% (33,34). These values are greatly superimposable with ours in primary and recurrent GBM. In addition, our data confirm that an increase in p62 protein was detected in about 50% of GBM cases analyzed, with a concordant rate of 65% between primary and recurrent GBM. Interestingly, a discordant p62 immunoreactivity was found in 35% of GBM cases, although a variation from negative to positive and vice versa has been documented. The occurrence of changes in biomarker expression in tumors represents biological evidence frequently observed in oncology. As largely documented in the literature, a lack of concordance of oncogene expression (i.e., HER2) has been reported between primary and metastatic/recurrent neoplasias, such as breast and gastric cancer (47–49); therefore, a similar phenomenon may also be suggested in brain gliomas. However, to explain the documented change in biomarker expression, many different mechanisms have been hypothesized such as intratumoral heterogeneity, clone selection promoted by cytotoxic treatments, and lastly analytical bias (47–49).

A progressive p62 enhancement moving from the WHO grade II to grade IV, as previously elsewhere suggested (15,33). Moreover, p62 overexpression has been reported also in glioma cell lines and no difference in p62 expression between IDH wild-type or IDH mutated groups was reported, suggesting that p62 function may be considered independent of IDH status (15,33). Consequently, it can be argued that p62 overexpression stimulates the classical autophagic pathway, allowing GBM cell survival by antagonizing apoptosis and producing drug resistance to proteasome inhibitors (17,50,51). Alternatively, an accumulation of the autophagy substrate p62 may reveal a defective process that cannot degrade its substrates. Therefore, p62 may act as a tumor promoter in glioma cells not only by the regulation of autophagy but also by interfering with proliferation, migration, and Temozolomide resistance (15).

The 2016 classification by WHO of brain tumors introduced new molecular markers in high-grade gliomas, such as MGMT methylation, IDH1, TP53, and TERT promoter mutation (52); this approach may represent a crucial point in the neoplastic strategy treatment, predicting the sensitivity of gliomas to chemotherapy as well as the prognosis (53–56). In the present paper, we have combined the p62 expression and MGMT promoter methylation status to evaluate if an association between these two parameters may be appreciable; in detail, in relation to this point, three groups may be identified: negative concordant, positive concordant and discordant. Taking into consideration the suggestion that MGMT promoter methylation presence has been considered as an independent favorable prognostic factor in GBM, we have documented the achievement of the most favorable prognosis when the same GBM case was positively concordant for both p62 expression and MGMT methylated status. Interestingly, this association is further emphasized by the comparative analysis of primary and corresponding recurrent GBM in relation to MGMT methylation. Therefore, a significant association between these latter two parameters should be hypothesized, similarly to that elsewhere reported (34). On the other hand, the univariate analysis allowed us to identify MGMT promoter methylation status as well as p62 expression as significant prognostic factors able to define GBM long survivors, although only MGMT methylation emerged as an independent marker in multivariate analysis. These data confirm recent findings that have demonstrated a worse prognostic behavior in GBM patients with high levels of autophagy-related genes and MGMT promoter unmethylated (57). However, autophagy can have a tumor suppressor function in GBM destroying damaging unfolded proteins, oncogenic protein substrates, and injured organelles (58,59). Recently, it has been reported that elevated levels of ATGs were linked to better survival in glioma patients (60–62). In particular, higher AKT and mTOR hyperphosphorylation has been reported in high-grade gliomas in comparison to low-grade ones (63,64). It has been suggested that mTOR signaling pathway activation is associated with autophagy inhibition, supporting the glioma stem cell proliferation, tumor infiltration, and therapeutic resistance (65,66).

Although the relationship between autophagy and programmed cell death is not fully elucidated, we may hypothesize that the capability to repair DNA damage should be reduced by a methylated MGMT status, and therefore, autophagy and apoptosis may interact with each other through several pathways. However, the coexistence observed by us of p62 expression and MGMT profile in GBM needs to be analyzed further in their putative prognostic role, since only a few data are available on the association between autophagy and other synchronized mutations and therefore, in the future, an extensive study on a larger cohort should be carried out as the next step.

Acknowledgements

The authors would like to thank Professor Sandra De Dominici for her assistance in reviewing the English style and grammar of the manuscript.

Funding

This research was funded by grants from the Italian Minister of Research and University (FFABR ANVUR 2021).

Availability of data and materials

The datasets used and/or analyzed during the current study are available from the corresponding author on reasonable request.

Authors' contributions

AI and GT designed the project and wrote the paper. CP, GB, AG, GMVB and PV contributed to data collection and analysis. RC and GG analyzed data and critically reviewed/edited the manuscript. AI and GT confirm the authenticity of all the raw data. All authors have read and approved the final manuscript.

Ethics approval and consent to participate

The study was conducted according to the guidelines of the Declaration of Helsinki, and approved by the Catania 1 Ethics Committee (Catania, Italy; protocol code: 166/2015/PO;17/12/2015).

Patient consent for publication

Not applicable.

Competing interests

The authors declare that they have no competing interests.

References

1 

Li X, He S and Ma B: Autophagy and autophagy-related proteins in cancer. Mol Cancer. 19:122020. View Article : Google Scholar : PubMed/NCBI

2 

Ieni A, Cardia R, Giuffrè G, Rigoli L, Caruso RA and Tuccari G: Immunohistochemical expression of autophagy-related proteins in advanced tubular gastric adenocarcinomas and its implications. Cancers (Basel). 11:3892019. View Article : Google Scholar : PubMed/NCBI

3 

Broggi G, Ieni A, Russo D, Varricchio S, Puzzo L, Russo A, Reibaldi M, Longo A, Tuccari G, Staibano S and Caltabiano R: The macro-autophagy-related protein beclin-1 immunohistochemical expression correlates with tumor cell type and clinical behavior of uveal melanoma. Front Oncol. 10:5898492020. View Article : Google Scholar : PubMed/NCBI

4 

Ieni A, Pizzimenti C, Giuffrè G, Caruso RA and Tuccari G: Autophagy-related prognostic signature in HER2 positive gastric carcinomas. Curr Mol Med. 22:809–818. 2022. View Article : Google Scholar : PubMed/NCBI

5 

Eskelinen EL: The dual role of autophagy in cancer. Curr Opin Pharmacol. 11:294–300. 2011. View Article : Google Scholar : PubMed/NCBI

6 

Chmurska A, Matczak K and Marczak A: Two faces of autophagy in the struggle against cancer. Int J Mol Sci. 22:29812021. View Article : Google Scholar : PubMed/NCBI

7 

Verma AK, Bharti PS, Rafat S, Bhatt D, Goyal Y, Pandey KK, Ranjan S, Almatroodi SA, Alsahli MA, Rahmani AH, et al: Autophagy paradox of cancer: Role, regulation, and duality. Oxid Med Cell Longev. 2021:88325412021. View Article : Google Scholar : PubMed/NCBI

8 

Gerada C and Ryan KM: Autophagy, the innate immune response and cancer. Mol Oncol. 14:1913–1929. 2020. View Article : Google Scholar : PubMed/NCBI

9 

Yun CW, Jeon J, Go G, Lee JH and Lee SH: The dual role of autophagy in cancer development and a therapeutic strategy for cancer by targeting autophagy. Int J Mol Sci. 22:1792020. View Article : Google Scholar : PubMed/NCBI

10 

Amaravadi RK, Kimmelman AC and Debnath J: Targeting autophagy in cancer: Recent advances and future directions. Cancer Discov. 9:1167–1181. 2019. View Article : Google Scholar : PubMed/NCBI

11 

Wang CW and Klionsky DJ: The molecular mechanism of autophagy. Mol Med. 9:65–76. 2003. View Article : Google Scholar : PubMed/NCBI

12 

Mizushimaa N and Komatsu M: Autophagy: Renovation of cells and tissues. Cell1. 147:728–741. 2011. View Article : Google Scholar : PubMed/NCBI

13 

Feng Y and Klionsky DJ: Autophagy regulates DNA repair through SQSTM1/p62. Autophagy. 13:995–996. 2017. View Article : Google Scholar : PubMed/NCBI

14 

Metur SP and Klionsky DJ: Autophagy under construction: Insights from in vitro reconstitution of autophagosome nucleation. Autophagy. 17:383–384. 2021. View Article : Google Scholar : PubMed/NCBI

15 

Deng D, Luo K, Liu H, Nie X, Xue L, Wang R, Xu Y, Cui J, Shao N and Zhi F: p62 acts as an oncogene and is targeted by miR-124-3p in glioma. Cancer Cell Int. 19:2802019. View Article : Google Scholar : PubMed/NCBI

16 

Chao X, Ni HM and Ding W: An unexpected tumor suppressor role of SQSTM1/p62 in liver tumorigenesis. Autophagy. 18:459–461. 2022. View Article : Google Scholar : PubMed/NCBI

17 

Tang J, Li Y, Xia S, Li J, Yang Q, Ding K and Zhang H: Sequestosome 1/p62: A multitasker in the regulation of malignant tumor aggression (Review). Int J Oncol. 59:772021. View Article : Google Scholar : PubMed/NCBI

18 

Li D, He C, Ye F, Ye E, He H, Chen G and Zhang J: p62 overexpression promotes bone metastasis of lung adenocarcinoma out of LC3-dependent autophagy. Front Oncol. 11:6095482021. View Article : Google Scholar : PubMed/NCBI

19 

Thongchot S, Vidoni C, Ferraresi A, Loilome W, Khuntikeo N, Sangkhamanon S, Titapun A, Isidoro C and Namwat N: Cancer-associated fibroblast-derived IL-6 determines unfavorable prognosis in cholangiocarcinoma by affecting autophagy-associated chemoresponse. Cancers (Basel). 13:21342021. View Article : Google Scholar : PubMed/NCBI

20 

Umemura A, He F, Taniguchi K, Nakagawa H, Yamachika S, Font-Burgada J, Zhong Z, Subramaniam S, Raghunandan S, Duran A, et al: p62, upregulated during preneoplasia, induces hepatocellular carcinogenesis by maintaining survival of stressed HCC-initiating cells. Cancer Cell. 29:935–948. 2016. View Article : Google Scholar : PubMed/NCBI

21 

Kim JW, Jun SY, Kim JM, Oh YH, Yoon G, Hong SM and Chung JY: Prognostic value of LC3B and p62 expression in small intestinal adenocarcinoma. J Clin Med. 10:53982021. View Article : Google Scholar : PubMed/NCBI

22 

Kim HM and Koo JS: Autophagy-related proteins are differentially expressed in adrenal cortical tumor/pheochromocytoma and associated with patient prognosis. Int J Mol Sci. 22:104902021. View Article : Google Scholar : PubMed/NCBI

23 

Perng DS, Hung CM, Lin HY, Morgan P, Hsu YC, Wu TC, Hsieh PM, Yeh JH, Hsiao P, Lee CY, et al: Role of autophagy-related protein in the prognosis of combined hepatocellular carcinoma and cholangiocarcinoma after surgical resection. BMC Cancer. 21:8282021. View Article : Google Scholar : PubMed/NCBI

24 

Haack TB, Ignatius E, Calvo-Garrido J, Iuso A, Isohanni P, Maffezzini C, Lönnqvist T, Suomalainen A, Gorza M, Kremer LS, et al: Absence of the autophagy adaptor SQSTM1/p62 causes childhood-onset neurodegeneration with ataxia, dystonia, and gaze palsy. Am J Hum Genet. 99:735–743. 2016. View Article : Google Scholar : PubMed/NCBI

25 

Muto V, Flex E, Kupchinsky Z, Primiano G, Galehdari H, Dehghani M, Cecchetti S, Carpentieri G, Rizza T, Mazaheri N, et al: Biallelic SQSTM1 mutations in early-onset, variably progressive neurodegeneration. Neurology. 91:e319–e330. 2018. View Article : Google Scholar : PubMed/NCBI

26 

Pytte J, Anderton RS, Flynn LL, Theunissen F, Jiang L, Pitout I, James I, Mastaglia FL, Saunders AM, Bedlack R, et al: Association of a structural variant within the SQSTM1 gene with amyotrophic lateral sclerosis. Neurol Genet. 6:e4062020. View Article : Google Scholar : PubMed/NCBI

27 

Seibenhener ML, Du Y, Diaz-Meco MT, Moscat J, Wooten MC and Wooten MW: A role for sequestosome 1/p62 in mitochondrial dynamics, import and genome integrity. Biochim Biophys Acta. 1833:452–459. 2013. View Article : Google Scholar : PubMed/NCBI

28 

Bartolome F, Esteras N, Martin-Requero A, Boutoleau-Bretonniere C, Vercelletto M, Gabelle A, Le Ber I, Honda T, Dinkova-Kostova AT, Hardy J, et al: Pathogenic p62/SQSTM1 mutations impair energy metabolism through limitation of mitochondrial substrates. Sci Rep. 7:16662017. View Article : Google Scholar : PubMed/NCBI

29 

Calvo-Garrido J, Maffezzini C, Schober FA, Clemente P, Uhlin E, Kele M, Stranneheim H, Lesko N, Bruhn H, Svenningsson P, et al: SQSTM1/p62-directed metabolic reprogramming is essential for normal neurodifferentiation. Stem Cell Reports. 12:696–711. 2019. View Article : Google Scholar : PubMed/NCBI

30 

Poon A, Saini H, Sethi S, O'Sullivan GA, Plun-Favreau H, Wray S, Dawson LA and McCarthy JM: The role of SQSTM1 (p62) in mitochondrial function and clearance in human cortical neurons. Stem Cell Reports. 16:1276–1289. 2021. View Article : Google Scholar : PubMed/NCBI

31 

Galavotti S, Bartesaghi S, Faccenda D, Shaked-Rabi M, Sanzone S, McEvoy A, Dinsdale D, Condorelli F, Brandner S, Campanella M, et al: The autophagy-associated factors DRAM1 and p62 regulate cell migration and invasion in glioblastoma stem cells. Oncogene. 32:699–712. 2013. View Article : Google Scholar : PubMed/NCBI

32 

Chang YL, Li YF, Chou CH, Huang LC, Wu YP, Kao Y and Tsai CK: Diosmin inhibits glioblastoma growth through inhibition of autophagic flux. Int J Mol Sci. 22:104532021. View Article : Google Scholar : PubMed/NCBI

33 

Jiang T and Wu Z: Immunohistochemical assessment of autophagic protein LC3B and p62 levels in glioma patients. Int J Clin Exp Pathol. 11:862–868. 2018.PubMed/NCBI

34 

Tamrakar S, Yashiro M, Kawashima T, Uda T, Terakawa Y, Kuwae Y, Ohsawa M and Ohata K: Clinicopathological significance of autophagy-related proteins and its association with genetic alterations in gliomas. Anticancer Res. 39:1233–1242. 2019. View Article : Google Scholar : PubMed/NCBI

35 

Ostrom QT, Adel Fahmideh M, Cote DJ, Muskens IS, Schraw JM, Scheurer ME and Bondy ML: Risk factors for childhood and adult primary brain tumors. Neuro Oncol. 21:1357–1375. 2019. View Article : Google Scholar : PubMed/NCBI

36 

Ostrom QT, Truitt G, Gittleman H, Brat DJ, Kruchko C, Wilson R and Barnholtz-Sloan JS: Relative survival after diagnosis with a primary brain or other central nervous system tumor in the national program of cancer registries, 2004 to 2014. Neurooncol Pract. 7:306–312. 2020.PubMed/NCBI

37 

Wen PY, Rodon JA, Mason W, Beck JT, DeGroot J, Donnet V, Mills D, El-Hashimy M and Rosenthal M: Phase I, open-label, multicentre study of buparlisib in combination with temozolomide or with concomitant radiation therapy and temozolomide in patients with newly diagnosed glioblastoma. ESMO Open. 5:e0006732020. View Article : Google Scholar : PubMed/NCBI

38 

Seyve A, Lozano-Sanchez F, Thomas A, Mathon B, Tran S, Mokhtari K, Giry M, Marie Y, Capelle L, Peyre M, et al: Initial surgical resection and long time to occurrence from initial diagnosis are independent prognostic factors in resected recurrent IDH wild-type glioblastoma. Clin Neurol Neurosurg. 196:1060062020. View Article : Google Scholar : PubMed/NCBI

39 

Le Rhun E and Weller M: Sex-specific aspects of epidemiology, molecular genetics and outcome: Primary brain tumours. ESMO Open. 5 (Suppl 4):e0010342020. View Article : Google Scholar : PubMed/NCBI

40 

Birzu C, French P, Caccese M, Cerretti G, Idbaih A, Zagonel V and Lombardi G: Recurrent glioblastoma: From molecular landscape to new treatment perspectives. Cancers (Basel). 13:472020. View Article : Google Scholar : PubMed/NCBI

41 

Brandes AA, Franceschi E, Tosoni A, Bartolini S, Bacci A, Agati R, Ghimenton C, Turazzi S, Talacchi A, Skrap M, et al: O(6)-methylguanine DNA-methyltransferase methylation status can change between first surgery for newly diagnosed glioblastoma and second surgery for recurrence: Clinical implications. Neuro Oncol. 12:283–288. 2010. View Article : Google Scholar : PubMed/NCBI

42 

Brandes AA, Franceschi E, Paccapelo A, Tallini G, De Biase D, Ghimenton C, Danieli D, Zunarelli E, Lanza G, Silini EM, et al: Role of MGMT methylation status at time of diagnosis and recurrence for patients with glioblastoma: Clinical implications. Oncologist. 22:432–437. 2017. View Article : Google Scholar : PubMed/NCBI

43 

Storey K, Leder K, Hawkins-Daarud A, Swanson K, Ahmed AU, Rockne RC and Foo J: Glioblastoma recurrence and the role of O6-methylguanine-DNA methyltransferase promoter methylation. JCO Clin Cancer Inform. 3:1–12. 2019. View Article : Google Scholar : PubMed/NCBI

44 

Felsberg J, Thon N, Eigenbrod S, Hentschel B, Sabel MC, Westphal M, Schackert G, Kreth FW, Pietsch T, Löffler M, et al: Promoter methylation and expression of MGMT and the DNA mismatch repair genes MLH1, MSH2, MSH6 and PMS2 in paired primary and recurrent glioblastomas. Int J Cancer. 129:659–670. 2011. View Article : Google Scholar : PubMed/NCBI

45 

Álvarez-Torres MDM, Fuster-García E, Balaña C, Puig J and García-Gómez JM: Lack of benefit of extending temozolomide treatment in patients with high vascular glioblastoma with methylated MGMT. Cancers (Basel). 13:54202021. View Article : Google Scholar : PubMed/NCBI

46 

Brigliadori G, Foca F, Dall'Agata M, Rengucci C, Melegari E, Cerasoli S, Amadori D, Calistri D and Faedi M: Defining the cutoff value of MGMT gene promoter methylation and its predictive capacity in glioblastoma. J Neurooncol. 128:333–339. 2016. View Article : Google Scholar : PubMed/NCBI

47 

Ieni A, Barresi V, Caltabiano R, Caleo A, Bonetti LR, Lanzafame S, Zeppa P, Caruso RA and Tuccari G: Discordance rate of HER2 status in primary gastric carcinomas and synchronous lymph node metastases: A multicenter retrospective analysis. Int J Mol Sci. 15:22331–22341. 2014. View Article : Google Scholar : PubMed/NCBI

48 

Ieni A, Barresi V, Caltabiano R, Cascone AM, Del Sordo R, Cabibi D, Zeppa P, Lanzafame S, Sidoni A, Franco V and Tuccari G: Discordance rate of HER2 status in primary breast carcinomas versus synchronous axillary lymph node metastases: A multicenter retrospective investigation. Onco Targets Ther. 7:1267–1272. 2014.PubMed/NCBI

49 

Ieni A, Cardia R, Pizzimenti C, Zeppa P and Tuccari G: HER2 heterogeneity in personalized therapy of gastro-oesophageal malignancies: An overview by different methodologies. J Pers Med. 10:102020. View Article : Google Scholar : PubMed/NCBI

50 

Zeng RX, Zhang YB, Fan Y and Wu GL: p62/SQSTM1 is involved in caspase-8 associated cell death induced by proteasome inhibitor MG132 in U87MG cells. Cell Biol Int. 38:1221–1226. 2014. View Article : Google Scholar : PubMed/NCBI

51 

Ivankovic D, Chau KY, Schapira AH and Gegg ME: Mitochondrial and lysosomal biogenesis are activated following PINK1/parkin-mediated mitophagy. J Neurochem. 136:388–402. 2016. View Article : Google Scholar : PubMed/NCBI

52 

Śledzińska P, Bebyn MG, Furtak J, Kowalewski J and Lewandowska MA: Prognostic and predictive biomarkers in gliomas. Int J Mol Sci. 22:103732021. View Article : Google Scholar : PubMed/NCBI

53 

Brandner S, McAleenan A, Kelly C, Spiga F, Cheng HY, Dawson S, Schmidt L, Faulkner CL, Wragg C, Jefferies S, et al: MGMT promoter methylation testing to predict overall survival in people with glioblastoma treated with temozolomide: A comprehensive meta-analysis based on a cochrane systematic review. Neuro Oncol. 23:1457–1469. 2021. View Article : Google Scholar : PubMed/NCBI

54 

Broggi G, Salvatorelli L, Barbagallo D, Certo F, Altieri R, Tirrò E, Massimino M, Vigneri P, Guadagno E, Maugeri G, et al: Diagnostic utility of the immunohistochemical expression of serine and arginine rich splicing factor 1 (SRSF1) in the differential diagnosis of adult gliomas. Cancers (Basel). 13:20862021. View Article : Google Scholar : PubMed/NCBI

55 

Certo F, Altieri R, Maione M, Schonauer C, Sortino G, Fiumanò G, Tirrò E, Massimino M, Broggi G, Vigneri P, et al: FLAIRectomy in supramarginal resection of glioblastoma correlates with clinical outcome and survival analysis: A prospective, single institution, case series. Oper Neurosurg (Hagerstown). 20:151–163. 2021. View Article : Google Scholar : PubMed/NCBI

56 

Stella M, Falzone L, Caponnetto A, Gattuso G, Barbagallo C, Battaglia R, Mirabella F, Broggi G, Altieri R, Certo F, et al: Serum extracellular vesicle-derived circHIPK3 and circSMARCA5 Are two novel diagnostic biomarkers for glioblastoma multiforme. Pharmaceuticals (Basel). 14:6182021. View Article : Google Scholar : PubMed/NCBI

57 

Wang QW, Liu HJ, Zhao Z, Zhang Y, Wang Z, Jiang T and Bao ZS: Prognostic correlation of autophagy-related gene expression-based risk signature in patients with glioblastoma. Onco Targets Ther. 13:95–107. 2020. View Article : Google Scholar : PubMed/NCBI

58 

Khan I, Baig MH, Mahfooz S, Rahim M, Karacam B, Elbasan EB, Ulasov I, Dong JJ and Hatiboglu MA: Deciphering the role of autophagy in treatment of resistance mechanisms in glioblastoma. Int J Mol Sci. 22:13182021. View Article : Google Scholar : PubMed/NCBI

59 

Batara DCR, Choi MC, Shin HU, Kim H and Kim SH: Friend or foe: Paradoxical roles of autophagy in gliomagenesis. Cells. 10:14112021. View Article : Google Scholar : PubMed/NCBI

60 

Shukla S, Patric IR, Patil V, Shwetha SD, Hegde AS, Chandramouli BA, Arivazhagan A, Santosh V and Somasundaram K: Methylation silencing of ULK2, an autophagy gene, is essential for astrocyte transformation and tumor growth. J Biol Chem. 289:22306–22318. 2014. View Article : Google Scholar : PubMed/NCBI

61 

Miracco C, Cosci E, Oliveri G, Luzi P, Pacenti L, Monciatti I, Mannucci S, De Nisi MC, Toscano M, Malagnino V, et al: Protein and mRNA expression of autophagy gene beclin 1 in human brain tumours. Int J Oncol. 30:429–436. 2007.PubMed/NCBI

62 

Aoki H, Kondo Y, Aldape K, Yamamoto A, Iwado E, Yokoyama T, Hollingsworth EF, Kobayashi R, Hess K, Shinojima N, et al: Monitoring autophagy in glioblastoma with antibody against isoform B of human microtubule-associated protein 1 light chain 3. Autophagy. 4:467–475. 2008. View Article : Google Scholar : PubMed/NCBI

63 

Mecca C, Giambanco I, Donato R and Arcuri C: Targeting mTOR in glioblastoma: Rationale and preclinical/clinical evidence. Dis Markers. 2018:92304792018. View Article : Google Scholar : PubMed/NCBI

64 

Li XY, Zhang LQ, Zhang XG, Li X, Ren YB, Ma XY, Li XG and Wang LX: Association between AKT/mTOR signalling pathway and malignancy grade of human gliomas. J Neurooncol. 103:453–458. 2011. View Article : Google Scholar : PubMed/NCBI

65 

Bao S, Wu Q, McLendon RE, Hao Y, Shi Q, Hjelmeland AB, Dewhirst MW, Bigner DD and Rich JN: Glioma stem cells promote radioresistance by preferential activation of the DNA damage response. Nature. 444:756–760. 2006. View Article : Google Scholar : PubMed/NCBI

66 

Jhanwar-Uniyal M, Jeevan D, Neil J, Shannon C, Albert L and Murali R: Deconstructing mTOR complexes in regulation of glioblastoma multiforme and its stem cells. Adv Biol Regul. 53:202–210. 2013. View Article : Google Scholar : PubMed/NCBI

Related Articles

  • Abstract
  • View
  • Download
  • Twitter
Copy and paste a formatted citation
Spandidos Publications style
Ieni A, Pizzimenti C, Broggi G, Caltabiano R, Germanò A, Barbagallo GM, Vigneri P, Giuffrè G and Tuccari G: Immunoexpression of p62/SQSTM1/Sequestosome‑1 in human primary and recurrent IDH1/2 wild‑type glioblastoma: A pilot study. Oncol Lett 24: 336, 2022.
APA
Ieni, A., Pizzimenti, C., Broggi, G., Caltabiano, R., Germanò, A., Barbagallo, G.M. ... Tuccari, G. (2022). Immunoexpression of p62/SQSTM1/Sequestosome‑1 in human primary and recurrent IDH1/2 wild‑type glioblastoma: A pilot study. Oncology Letters, 24, 336. https://doi.org/10.3892/ol.2022.13456
MLA
Ieni, A., Pizzimenti, C., Broggi, G., Caltabiano, R., Germanò, A., Barbagallo, G. M., Vigneri, P., Giuffrè, G., Tuccari, G."Immunoexpression of p62/SQSTM1/Sequestosome‑1 in human primary and recurrent IDH1/2 wild‑type glioblastoma: A pilot study". Oncology Letters 24.4 (2022): 336.
Chicago
Ieni, A., Pizzimenti, C., Broggi, G., Caltabiano, R., Germanò, A., Barbagallo, G. M., Vigneri, P., Giuffrè, G., Tuccari, G."Immunoexpression of p62/SQSTM1/Sequestosome‑1 in human primary and recurrent IDH1/2 wild‑type glioblastoma: A pilot study". Oncology Letters 24, no. 4 (2022): 336. https://doi.org/10.3892/ol.2022.13456
Copy and paste a formatted citation
x
Spandidos Publications style
Ieni A, Pizzimenti C, Broggi G, Caltabiano R, Germanò A, Barbagallo GM, Vigneri P, Giuffrè G and Tuccari G: Immunoexpression of p62/SQSTM1/Sequestosome‑1 in human primary and recurrent IDH1/2 wild‑type glioblastoma: A pilot study. Oncol Lett 24: 336, 2022.
APA
Ieni, A., Pizzimenti, C., Broggi, G., Caltabiano, R., Germanò, A., Barbagallo, G.M. ... Tuccari, G. (2022). Immunoexpression of p62/SQSTM1/Sequestosome‑1 in human primary and recurrent IDH1/2 wild‑type glioblastoma: A pilot study. Oncology Letters, 24, 336. https://doi.org/10.3892/ol.2022.13456
MLA
Ieni, A., Pizzimenti, C., Broggi, G., Caltabiano, R., Germanò, A., Barbagallo, G. M., Vigneri, P., Giuffrè, G., Tuccari, G."Immunoexpression of p62/SQSTM1/Sequestosome‑1 in human primary and recurrent IDH1/2 wild‑type glioblastoma: A pilot study". Oncology Letters 24.4 (2022): 336.
Chicago
Ieni, A., Pizzimenti, C., Broggi, G., Caltabiano, R., Germanò, A., Barbagallo, G. M., Vigneri, P., Giuffrè, G., Tuccari, G."Immunoexpression of p62/SQSTM1/Sequestosome‑1 in human primary and recurrent IDH1/2 wild‑type glioblastoma: A pilot study". Oncology Letters 24, no. 4 (2022): 336. https://doi.org/10.3892/ol.2022.13456
Follow us
  • Twitter
  • LinkedIn
  • Facebook
About
  • Spandidos Publications
  • Careers
  • Cookie Policy
  • Privacy Policy
How can we help?
  • Help
  • Live Chat
  • Contact
  • Email to our Support Team