Spandidos Publications Logo
  • About
    • About Spandidos
    • Aims and Scopes
    • Abstracting and Indexing
    • Editorial Policies
    • Reprints and Permissions
    • Job Opportunities
    • Terms and Conditions
    • Contact
  • Journals
    • All Journals
    • Oncology Letters
      • Oncology Letters
      • Information for Authors
      • Editorial Policies
      • Editorial Board
      • Aims and Scope
      • Abstracting and Indexing
      • Bibliographic Information
      • Archive
    • International Journal of Oncology
      • International Journal of Oncology
      • Information for Authors
      • Editorial Policies
      • Editorial Board
      • Aims and Scope
      • Abstracting and Indexing
      • Bibliographic Information
      • Archive
    • Molecular and Clinical Oncology
      • Molecular and Clinical Oncology
      • Information for Authors
      • Editorial Policies
      • Editorial Board
      • Aims and Scope
      • Abstracting and Indexing
      • Bibliographic Information
      • Archive
    • Experimental and Therapeutic Medicine
      • Experimental and Therapeutic Medicine
      • Information for Authors
      • Editorial Policies
      • Editorial Board
      • Aims and Scope
      • Abstracting and Indexing
      • Bibliographic Information
      • Archive
    • International Journal of Molecular Medicine
      • International Journal of Molecular Medicine
      • Information for Authors
      • Editorial Policies
      • Editorial Board
      • Aims and Scope
      • Abstracting and Indexing
      • Bibliographic Information
      • Archive
    • Biomedical Reports
      • Biomedical Reports
      • Information for Authors
      • Editorial Policies
      • Editorial Board
      • Aims and Scope
      • Abstracting and Indexing
      • Bibliographic Information
      • Archive
    • Oncology Reports
      • Oncology Reports
      • Information for Authors
      • Editorial Policies
      • Editorial Board
      • Aims and Scope
      • Abstracting and Indexing
      • Bibliographic Information
      • Archive
    • Molecular Medicine Reports
      • Molecular Medicine Reports
      • Information for Authors
      • Editorial Policies
      • Editorial Board
      • Aims and Scope
      • Abstracting and Indexing
      • Bibliographic Information
      • Archive
    • World Academy of Sciences Journal
      • World Academy of Sciences Journal
      • Information for Authors
      • Editorial Policies
      • Editorial Board
      • Aims and Scope
      • Abstracting and Indexing
      • Bibliographic Information
      • Archive
    • International Journal of Functional Nutrition
      • International Journal of Functional Nutrition
      • Information for Authors
      • Editorial Policies
      • Editorial Board
      • Aims and Scope
      • Abstracting and Indexing
      • Bibliographic Information
      • Archive
    • International Journal of Epigenetics
      • International Journal of Epigenetics
      • Information for Authors
      • Editorial Policies
      • Editorial Board
      • Aims and Scope
      • Abstracting and Indexing
      • Bibliographic Information
      • Archive
    • Medicine International
      • Medicine International
      • Information for Authors
      • Editorial Policies
      • Editorial Board
      • Aims and Scope
      • Abstracting and Indexing
      • Bibliographic Information
      • Archive
  • Articles
  • Information
    • Information for Authors
    • Information for Reviewers
    • Information for Librarians
    • Information for Advertisers
    • Conferences
  • Language Editing
Spandidos Publications Logo
  • About
    • About Spandidos
    • Aims and Scopes
    • Abstracting and Indexing
    • Editorial Policies
    • Reprints and Permissions
    • Job Opportunities
    • Terms and Conditions
    • Contact
  • Journals
    • All Journals
    • Biomedical Reports
      • Information for Authors
      • Editorial Policies
      • Editorial Board
      • Aims and Scope
      • Abstracting and Indexing
      • Bibliographic Information
      • Archive
    • Experimental and Therapeutic Medicine
      • Information for Authors
      • Editorial Policies
      • Editorial Board
      • Aims and Scope
      • Abstracting and Indexing
      • Bibliographic Information
      • Archive
    • International Journal of Epigenetics
      • Information for Authors
      • Editorial Policies
      • Editorial Board
      • Aims and Scope
      • Abstracting and Indexing
      • Bibliographic Information
      • Archive
    • International Journal of Functional Nutrition
      • Information for Authors
      • Editorial Policies
      • Editorial Board
      • Aims and Scope
      • Abstracting and Indexing
      • Bibliographic Information
      • Archive
    • International Journal of Molecular Medicine
      • Information for Authors
      • Editorial Policies
      • Editorial Board
      • Aims and Scope
      • Abstracting and Indexing
      • Bibliographic Information
      • Archive
    • International Journal of Oncology
      • Information for Authors
      • Editorial Policies
      • Editorial Board
      • Aims and Scope
      • Abstracting and Indexing
      • Bibliographic Information
      • Archive
    • Medicine International
      • Information for Authors
      • Editorial Policies
      • Editorial Board
      • Aims and Scope
      • Abstracting and Indexing
      • Bibliographic Information
      • Archive
    • Molecular and Clinical Oncology
      • Information for Authors
      • Editorial Policies
      • Editorial Board
      • Aims and Scope
      • Abstracting and Indexing
      • Bibliographic Information
      • Archive
    • Molecular Medicine Reports
      • Information for Authors
      • Editorial Policies
      • Editorial Board
      • Aims and Scope
      • Abstracting and Indexing
      • Bibliographic Information
      • Archive
    • Oncology Letters
      • Information for Authors
      • Editorial Policies
      • Editorial Board
      • Aims and Scope
      • Abstracting and Indexing
      • Bibliographic Information
      • Archive
    • Oncology Reports
      • Information for Authors
      • Editorial Policies
      • Editorial Board
      • Aims and Scope
      • Abstracting and Indexing
      • Bibliographic Information
      • Archive
    • World Academy of Sciences Journal
      • Information for Authors
      • Editorial Policies
      • Editorial Board
      • Aims and Scope
      • Abstracting and Indexing
      • Bibliographic Information
      • Archive
  • Articles
  • Information
    • For Authors
    • For Reviewers
    • For Librarians
    • For Advertisers
    • Conferences
  • Language Editing
Login Register Submit
  • This site uses cookies
  • You can change your cookie settings at any time by following the instructions in our Cookie Policy. To find out more, you may read our Privacy Policy.

    I agree
Search articles by DOI, keyword, author or affiliation
Search
Advanced Search
presentation
Oncology Letters
Join Editorial Board Propose a Special Issue
Print ISSN: 1792-1074 Online ISSN: 1792-1082
Journal Cover
October-2022 Volume 24 Issue 4

Full Size Image

Sign up for eToc alerts
Recommend to Library

Journals

International Journal of Molecular Medicine

International Journal of Molecular Medicine

International Journal of Molecular Medicine is an international journal devoted to molecular mechanisms of human disease.

International Journal of Oncology

International Journal of Oncology

International Journal of Oncology is an international journal devoted to oncology research and cancer treatment.

Molecular Medicine Reports

Molecular Medicine Reports

Covers molecular medicine topics such as pharmacology, pathology, genetics, neuroscience, infectious diseases, molecular cardiology, and molecular surgery.

Oncology Reports

Oncology Reports

Oncology Reports is an international journal devoted to fundamental and applied research in Oncology.

Experimental and Therapeutic Medicine

Experimental and Therapeutic Medicine

Experimental and Therapeutic Medicine is an international journal devoted to laboratory and clinical medicine.

Oncology Letters

Oncology Letters

Oncology Letters is an international journal devoted to Experimental and Clinical Oncology.

Biomedical Reports

Biomedical Reports

Explores a wide range of biological and medical fields, including pharmacology, genetics, microbiology, neuroscience, and molecular cardiology.

Molecular and Clinical Oncology

Molecular and Clinical Oncology

International journal addressing all aspects of oncology research, from tumorigenesis and oncogenes to chemotherapy and metastasis.

World Academy of Sciences Journal

World Academy of Sciences Journal

Multidisciplinary open-access journal spanning biochemistry, genetics, neuroscience, environmental health, and synthetic biology.

International Journal of Functional Nutrition

International Journal of Functional Nutrition

Open-access journal combining biochemistry, pharmacology, immunology, and genetics to advance health through functional nutrition.

International Journal of Epigenetics

International Journal of Epigenetics

Publishes open-access research on using epigenetics to advance understanding and treatment of human disease.

Medicine International

Medicine International

An International Open Access Journal Devoted to General Medicine.

Journal Cover
October-2022 Volume 24 Issue 4

Full Size Image

Sign up for eToc alerts
Recommend to Library

  • Article
  • Citations
    • Cite This Article
    • Download Citation
    • Create Citation Alert
    • Remove Citation Alert
    • Cited By
  • Similar Articles
    • Related Articles (in Spandidos Publications)
    • Similar Articles (Google Scholar)
    • Similar Articles (PubMed)
  • Download PDF
  • Download XML
  • View XML

  • Supplementary Files
    • Supplementary_Data.pdf
Article Open Access

Clinical impact of remnant lymphatic invasion on the recurrence of esophageal squamous cell carcinoma after esophagectomy with neoadjuvant chemotherapy

  • Authors:
    • Sho Okuda
    • Kenoki Ohuchida
    • Koji Shindo
    • Taiki Moriyama
    • Jun Kawata
    • Koji Tamura
    • Masafumi Sada
    • Kinuko Nagayoshi
    • Yusuke Mizuuchi
    • Naoki Ikenaga
    • Kohei Nakata
    • Yoshinao Oda
    • Masafumi Nakamura
  • View Affiliations / Copyright

    Affiliations: Department of Surgery and Oncology, Graduate School of Medical Sciences, Kyushu University, Fukuoka 812‑8582, Japan, Department of Anatomic Pathology, Pathological Sciences, Graduate School of Medical Sciences, Kyushu University, Fukuoka 812‑8582, Japan
    Copyright: © Okuda et al. This is an open access article distributed under the terms of Creative Commons Attribution License.
  • Article Number: 337
    |
    Published online on: August 11, 2022
       https://doi.org/10.3892/ol.2022.13457
  • Expand metrics +
Metrics: Total Views: 0 (Spandidos Publications: | PMC Statistics: )
Metrics: Total PDF Downloads: 0 (Spandidos Publications: | PMC Statistics: )
Cited By (CrossRef): 0 citations Loading Articles...

This article is mentioned in:



Abstract

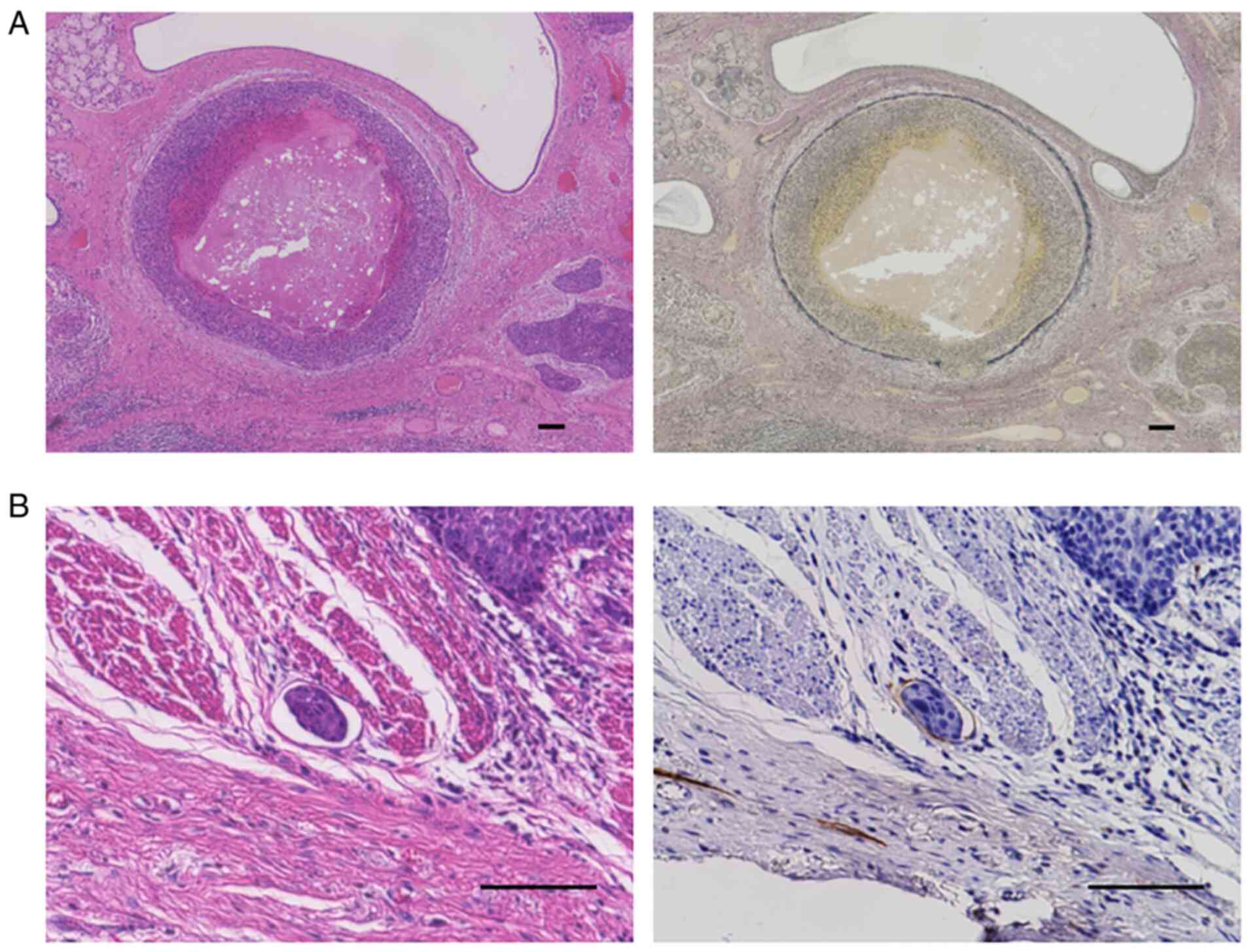
For stage II and III esophageal squamous cell carcinoma (ESCC), neoadjuvant chemotherapy (NAC) followed by esophagectomy is recommended in the Japanese guidelines for the diagnosis and treatment of esophageal cancer. However, recurrence of ESCC is common regardless of the NAC regimen and surgical method, and NAC demonstrates limited efficacy against recurrence. Therefore, the present study was conducted to identify risk factors of recurrence of ESCC with surgery after NAC. The outcomes of 51 patients who underwent esophagectomy for ESCC after NAC from 2010 to 2017 at Kyushu University Hospital were retrospectively analyzed. A total of 52 patients with ESCC without NAC followed by esophagectomy from 2001 to 2017 were selected for comparison. Among patients who underwent NAC followed by surgery, only lymphatic invasion (LY; hazard ratio, 2.761; 95% CI, 1.86‑6.43, P=0.018) was an independent factor significantly associated with 3‑year recurrence‑free survival in the multivariate analysis. In patients with pathologic lymph node metastasis (pN) and no LY after NAC, there was significantly less recurrence compared with patients with pN and LY (P=0.0085), whereas in patients without LY after NAC, the presence of pN was not significantly associated with recurrence (P=0.2401). There were significantly fewer LY (+) patients in the NAC (+) group (P=0.0158) compared with those in the NAC (‑) group. The presence of LY was an independent risk factor for recurrence of ESCC after esophagectomy following NAC. Overall, adjuvant treatment after surgery may be required in cases with remnant LY after NAC.
View Figures

Figure 1

Figure 2

Figure 3

Figure 4

Figure 5

View References

1 

Bray F, Ferlay J, Soerjomataram I, Siegel RL, Torre LA and Jemal A: Global cancer statistics 2018: GLOBOCAN estimates of incidence and mortality worldwide for 36 cancers in 185 countries. CA Cancer J Clin. 68:394–424. 2018. View Article : Google Scholar : PubMed/NCBI

2 

Watanabe M, Tachimori Y, Oyama T, Toh Y, Matsubara H, Ueno M, Kono K, Uno T, Ishihara R, Muro K, et al: Comprehensive registry of esophageal cancer in Japan, 2013. Esophagus. 18:1–24. 2021. View Article : Google Scholar : PubMed/NCBI

3 

Blackham AU, Yue B, Almhanna K, Saeed N, Fontaine JP, Hoffe S, Shridhar R, Frakes J, Coppola D and Pimiento JM: The prognostic value of residual nodal disease following neoadjuvant chemoradiation for esophageal cancer in patients with complete primary tumor response. J Surg Oncol. 112:597–602. 2015. View Article : Google Scholar : PubMed/NCBI

4 

Kamarajah SK, Navidi M, Wahed S, Immanuel A, Hayes N, Griffin SM and Phillips AW: Significance of neoadjuvant downstaging in carcinoma of esophagus and gastroesophageal junction. Ann Surg Oncol. 27:3182–3192. 2020. View Article : Google Scholar : PubMed/NCBI

5 

Bollschweiler E, Hölscher AH, Metzger R, Besch S, Mönig SP, Baldus SE and Drebber U: Prognostic significance of a new grading system of lymph node morphology after neoadjuvant radiochemotherapy for esophageal cancer. Ann Thorac Surg. 92:2020–2027. 2011. View Article : Google Scholar : PubMed/NCBI

6 

Berger AC, Farma J, Scott WJ, Freedman G, Weiner L, Cheng JD, Wang H and Goldberg M: Complete response to neoadjuvant chemoradiotherapy in esophageal carcinoma is associated with significantly improved survival. J Clin Oncol. 23:4330–4337. 2005. View Article : Google Scholar : PubMed/NCBI

7 

Matsuyama J, Doki Y, Yasuda T, Miyata H, Fujiwara Y, Takiguchi S, Yamasaki M, Makari Y, Matsuura N, Mano M and Monden M: The effect of neoadjuvant chemotherapy on lymph node micrometastases in squamous cell carcinomas of the thoracic esophagus. Surgery. 141:570–580. 2007. View Article : Google Scholar : PubMed/NCBI

8 

Hiraki Y, Kimura Y, Imano M, Kato H, Iwama M, Shiraishi O, Yasuda A, Shinkai M, Makino T, Motoori M, et al: Controlling lymph node micrometastases by neoadjuvant chemotherapy affects the prognosis in advanced esophageal squamous cell carcinoma. Surg Today. 51:118–126. 2021. View Article : Google Scholar : PubMed/NCBI

9 

Ando N, Kato H, Igaki H, Shinoda M, Ozawa S, Shimizu H, Nakamura T, Yabusaki H, Aoyama N, Kurita A, et al: A randomized trial comparing postoperative adjuvant chemotherapy with cisplatin and 5-fluorouracil versus preoperative chemotherapy for localized advanced squamous cell carcinoma of the thoracic esophagus (JCOG9907). Ann Surg Oncol. 19:68–74. 2012. View Article : Google Scholar : PubMed/NCBI

10 

Mariette C, Dahan L, Mornex F, Maillard E, Thomas PA, Meunier B, Boige V, Pezet D, Robb WB, Le Brun-Ly V, et al: Surgery alone versus chemoradiotherapy followed by surgery for stage I and II esophageal cancer: Final analysis of randomized controlled phase III trial FFCD 9901. J Clin Oncol. 32:2416–2422. 2014. View Article : Google Scholar : PubMed/NCBI

11 

Kitagawa Y, Uno T, Oyama T, Kato K, Kato H, Kawakubo H, Kawamura O, Kusano M, Kuwano H, Takeuchi H, et al: Esophageal cancer practice guidelines 2017 edited by the Japan esophageal society: Part 1. Esophagus. 16:1–24. 2019. View Article : Google Scholar : PubMed/NCBI

12 

Kitagawa Y, Uno T, Oyama T, Kato K, Kato H, Kawakubo H, Kawamura O, Kusano M, Kuwano H, Takeuchi H, et al: Esophageal cancer practice guidelines 2017 edited by the Japan esophageal society: Part 2. Esophagus. 16:25–43. 2019. View Article : Google Scholar : PubMed/NCBI

13 

Yamasaki M, Yasuda T, Yano M, Hirao M, Kobayashi K, Fujitani K, Tamura S, Kimura Y, Miyata H, Motoori M, et al: Multicenter randomized phase II study of cisplatin and fluorouracil plus docetaxel (DCF) compared with cisplatin and fluorouracil plus Adriamycin (ACF) as preoperative chemotherapy for resectable esophageal squamous cell carcinoma (OGSG1003). Ann Oncol. 28:116–120. 2017. View Article : Google Scholar : PubMed/NCBI

14 

Hsu PK, Chien LI, Wang LC and Chou TY; Taipei Veterans General Hospital Esophageal Cancer Panel, : Lymphovascular invasion and extracapsular invasion are risk factors for distant recurrence after preoperative chemoradiotherapy and oesophagectomy in patients with oesophageal squamous cell carcinoma. Eur J Cardiothorac Surg. 51:1188–1194. 2017. View Article : Google Scholar : PubMed/NCBI

15 

Tu CC, Hsu PK, Chien LI, Liu WC, Huang CS, Hsieh CC, Hsu HS and Wu YC: Prognostic histological factors in patients with esophageal squamous cell carcinoma after preoperative chemoradiation followed by surgery. BMC Cancer. 17:622017. View Article : Google Scholar : PubMed/NCBI

16 

Lagarde SM, Phillips AW, Navidi M, Disep B, Immanuel A and Griffin SM: The presence of lymphovascular and perineural infiltration after neoadjuvant therapy and oesophagectomy identifies patients at high risk for recurrence. Br J Cancer. 113:1427–1433. 2015. View Article : Google Scholar : PubMed/NCBI

17 

Lee PC, Mirza FM, Port JL, Stiles BM, Paul S, Christos P and Altorki NK: Predictors of recurrence and disease-free survival in patients with completely resected esophageal carcinoma. J Thorac Cardiovasc Surg. 141:1196–1206. 2011. View Article : Google Scholar : PubMed/NCBI

18 

Wang N, Jia Y, Wang J, Wang X, Bao C, Song Q, Tan B and Cheng Y: Prognostic significance of lymph node ratio in esophageal cancer. Tumour Biol. 36:2335–2341. 2015. View Article : Google Scholar : PubMed/NCBI

19 

Moon DH, Jeon JH, Yang HC, Kim YI, Lee JY, Kim MS, Lee JM and Lee GK: Intramural metastasis as a risk factor for recurrence in esophageal squamous cell carcinoma. Ann Thorac Surg. 106:249–256. 2018. View Article : Google Scholar : PubMed/NCBI

20 

Khan M, Urooj N, Syed AA, Khattak S, Kazmi A, Ashraf MI and Batool S: Prognostic factors for recurrence in esophageal cancer patients treated with neoadjuvant therapy and surgery: A single-institution analysis. Cureus. 12:e81082020.PubMed/NCBI

21 

Kang CH, Hwang Y, Lee HJ, Park IK and Kim YT: Risk factors for local recurrence and optimal length of esophagectomy in esophageal squamous cell carcinoma. Ann Thorac Surg. 102:1074–1080. 2016. View Article : Google Scholar : PubMed/NCBI

22 

Japan Esophageal Society: Japanese classification of esophageal cancer, 11th edition: Part I. Esophagus. 14:1–36. 2017. View Article : Google Scholar : PubMed/NCBI

23 

Japan Esophageal Society: Japanese classification of esophageal cancer, 11th edition: Part II and III. Esophagus. 14:37–65. 2017. View Article : Google Scholar : PubMed/NCBI

24 

Brierley J, Gospodarowicz MD and Wittekind CT: TNM Classification of Malignant Tumours. 8th Edition. Wiley; Oxford: pp. 57–62. 2017

25 

Markar SR, Gronnier C, Duhamel A, Pasquer A, Théreaux J, Chalret du Rieu M, Lefevre JH, Turner K, Luc G and Mariette C; FREGAT Working Group-FRENCH-AFC, . Significance of microscopically incomplete resection margin after esophagectomy for esophageal cancer. Ann Surg. 263:712–718. 2016. View Article : Google Scholar : PubMed/NCBI

26 

Hulshoff JB, Faiz Z, Karrenbeld A, Kats-Ugurlu G, Burgerhof JG, Smit JK and Plukker JT: Prognostic value of the circumferential resection margin in esophageal cancer patients after neoadjuvant chemoradiotherapy. Ann Surg Oncol. 22 (Suppl 3):S1301–S1309. 2015. View Article : Google Scholar : PubMed/NCBI

27 

Gilbert S, Martel AB, Seely AJ, Maziak DE, Shamji FM, Sundaresan SR and Villeneuve PJ: Prognostic significance of a positive radial margin after esophageal cancer resection. J Thorac Cardiovasc Surg. 149:548–555. 2015. View Article : Google Scholar : PubMed/NCBI

28 

Schlick CJR, Khorfan R, Odell DD, Merkow RP and Bentrem DJ: Margin positivity in resectable esophageal cancer: Are there modifiable risk factors? Ann Surg Oncol. 27:1496–1507. 2020. View Article : Google Scholar : PubMed/NCBI

29 

Yoshida N, Baba Y, Shigaki H, Harada K, Iwatsuki M, Sakamoto Y, Miyamoto Y, Kurashige J, Kosumi K, Tokunaga R, et al: Risk factors of early recurrence within 6 months after esophagectomy following neoadjuvant chemotherapy for resectable advanced esophageal squamous cell carcinoma. Int J Clin Oncol. 21:1071–1078. 2016. View Article : Google Scholar : PubMed/NCBI

30 

Zhang H, Chen X, Wang S, Fan J and Lu L: Poorer prognosis associated with simultaneous lymphatic and vascular invasion in patients with squamous carcinoma of the thoracic oesophagus. Eur J Cardiothorac Surg. 52:378–384. 2017. View Article : Google Scholar : PubMed/NCBI

31 

Inomata M, Shiroshita H, Uchida H, Bandoh T, Akira S, Yamaguchi S, Kurokawa Y, Seki Y, Eguchi S, Wada N, et al: Current status of endoscopic surgery in Japan: The 14th national survey of endoscopic surgery by the Japan society for endoscopic surgery. Asian J Endosc Surg. 13:7–18. 2020. View Article : Google Scholar : PubMed/NCBI

32 

Udagawa H: Past, present, and future of three-field lymphadenectomy for thoracic esophageal cancer. Ann Gastroenterol Surg. 4:324–330. 2020. View Article : Google Scholar : PubMed/NCBI

33 

Matsuda S, Takeuchi H, Kawakubo H and Kitagawa Y: Three-field lymph node dissection in esophageal cancer surgery. J Thorac Dis. 9 (Suppl 8):S731–S740. 2017. View Article : Google Scholar : PubMed/NCBI

34 

Shang QX, Chen LQ, Hu WP, Deng HY, Yuan Y and Cai J: Three-field lymph node dissection in treating the esophageal cancer. J Thorac Dis. 8:E1136–E1149. 2016. View Article : Google Scholar : PubMed/NCBI

35 

Ye T, Sun Y, Zhang Y, Zhang Y and Chen H: Three-field or two-field resection for thoracic esophageal cancer: A meta-analysis. Ann Thorac Surg. 96:1933–1941. 2013. View Article : Google Scholar : PubMed/NCBI

36 

Ma GW, Situ DR, Ma QL, Long H, Zhang LJ, Lin P and Rong TH: Three-field vs two-field lymph node dissection for esophageal cancer: A meta-analysis. World J Gastroenterol. 20:18022–18030. 2014. View Article : Google Scholar : PubMed/NCBI

37 

Altorki N, Kent M, Ferrara C and Port J: Three-field lymph node dissection for squamous cell and adenocarcinoma of the esophagus. Ann Surg. 236:177–183. 2002. View Article : Google Scholar : PubMed/NCBI

38 

Lerut T, Nafteux P, Moons J, Coosemans W, Decker G, De Leyn P, Van Raemdonck D and Ectors N: Three-field lymphadenectomy for carcinoma of the esophagus and gastroesophageal junction in 174 R0 resections: Impact on staging, disease-free survival, and outcome: A plea for adaptation of TNM classification in upper-half esophageal carcinoma. Ann Surg. 240:962–974. 2004. View Article : Google Scholar : PubMed/NCBI

39 

Reynolds JV, Muldoon C, Hollywood D, Ravi N, Rowley S, O'Byrne K, Kennedy J and Murphy TJ: Long-term outcomes following neoadjuvant chemoradiotherapy for esophageal cancer. Ann Surg. 245:707–716. 2007. View Article : Google Scholar : PubMed/NCBI

40 

Mariette C, Piessen G, Briez N and Triboulet JP: The number of metastatic lymph nodes and the ratio between metastatic and examined lymph nodes are independent prognostic factors in esophageal cancer regardless of neoadjuvant chemoradiation or lymphadenectomy extent. Ann Surg. 247:365–371. 2008. View Article : Google Scholar : PubMed/NCBI

41 

Koen Talsma A, Shapiro J, Looman CW, van Hagen P, Steyerberg EW, van der Gaast A, van Berge Henegouwen MI, Wijnhoven BP, van Lanschot JJ; CROSS Study Group, ; et al: Lymph node retrieval during esophagectomy with and without neoadjuvant chemoradiotherapy: Prognostic and therapeutic impact on survival. Ann Surg. 260:786–793. 2014. View Article : Google Scholar : PubMed/NCBI

42 

Chirieac LR, Swisher SG, Ajani JA, Komaki RR, Correa AM, Morris JS, Roth JA, Rashid A, Hamilton SR and Wu TT: Posttherapy pathologic stage predicts survival in patients with esophageal carcinoma receiving preoperative chemoradiation. Cancer. 103:1347–1355. 2005. View Article : Google Scholar : PubMed/NCBI

43 

Schneider PM, Baldus SE, Metzger R, Kocher M, Bongartz R, Bollschweiler E, Schaefer H, Thiele J, Dienes HP, Mueller RP and Hoelscher AH: Histomorphologic tumor regression and lymph node metastases determine prognosis following neoadjuvant radiochemotherapy for esophageal cancer: Implications for response classification. Ann Surg. 242:684–692. 2005. View Article : Google Scholar : PubMed/NCBI

44 

Miyata H, Tanaka K, Makino T, Yamasaki M, Miyazaki Y, Takahashi T, Kurokawa Y, Nakajima K, Takiguchi S, Morii E, et al: The impact of pathological tumor regression and nodal status on survival and systemic disease in patients undergoing neoadjuvant chemotherapy for esophageal squamous cell carcinoma. Ann Surg Oncol. 25:2409–2417. 2018. View Article : Google Scholar : PubMed/NCBI

45 

Mohammed RA, Martin SG, Gill MS, Green AR, Paish EC and Ellis IO: Improved methods of detection of lymphovascular invasion demonstrate that it is the predominant method of vascular invasion in breast cancer and has important clinical consequences. Am J Surg Pathol. 31:1825–1833. 2007. View Article : Google Scholar : PubMed/NCBI

46 

Liu J, Li H, Zhou P, Cai T, Tang Z, Wang Y, Cui Y, Sun Y and Wang X: Reevaluation of lymphovascular invasion in gastric cancer using endothelial markers D2-40 and EVG: Enhanced detection, better predictor of lymph node metastasis and biological aggressiveness. J Surg Oncol. 123:1736–1741. 2021. View Article : Google Scholar : PubMed/NCBI

Related Articles

  • Abstract
  • View
  • Download
  • Twitter
Copy and paste a formatted citation
Spandidos Publications style
Okuda S, Ohuchida K, Shindo K, Moriyama T, Kawata J, Tamura K, Sada M, Nagayoshi K, Mizuuchi Y, Ikenaga N, Ikenaga N, et al: Clinical impact of remnant lymphatic invasion on the recurrence of esophageal squamous cell carcinoma after esophagectomy with neoadjuvant chemotherapy. Oncol Lett 24: 337, 2022.
APA
Okuda, S., Ohuchida, K., Shindo, K., Moriyama, T., Kawata, J., Tamura, K. ... Nakamura, M. (2022). Clinical impact of remnant lymphatic invasion on the recurrence of esophageal squamous cell carcinoma after esophagectomy with neoadjuvant chemotherapy. Oncology Letters, 24, 337. https://doi.org/10.3892/ol.2022.13457
MLA
Okuda, S., Ohuchida, K., Shindo, K., Moriyama, T., Kawata, J., Tamura, K., Sada, M., Nagayoshi, K., Mizuuchi, Y., Ikenaga, N., Nakata, K., Oda, Y., Nakamura, M."Clinical impact of remnant lymphatic invasion on the recurrence of esophageal squamous cell carcinoma after esophagectomy with neoadjuvant chemotherapy". Oncology Letters 24.4 (2022): 337.
Chicago
Okuda, S., Ohuchida, K., Shindo, K., Moriyama, T., Kawata, J., Tamura, K., Sada, M., Nagayoshi, K., Mizuuchi, Y., Ikenaga, N., Nakata, K., Oda, Y., Nakamura, M."Clinical impact of remnant lymphatic invasion on the recurrence of esophageal squamous cell carcinoma after esophagectomy with neoadjuvant chemotherapy". Oncology Letters 24, no. 4 (2022): 337. https://doi.org/10.3892/ol.2022.13457
Copy and paste a formatted citation
x
Spandidos Publications style
Okuda S, Ohuchida K, Shindo K, Moriyama T, Kawata J, Tamura K, Sada M, Nagayoshi K, Mizuuchi Y, Ikenaga N, Ikenaga N, et al: Clinical impact of remnant lymphatic invasion on the recurrence of esophageal squamous cell carcinoma after esophagectomy with neoadjuvant chemotherapy. Oncol Lett 24: 337, 2022.
APA
Okuda, S., Ohuchida, K., Shindo, K., Moriyama, T., Kawata, J., Tamura, K. ... Nakamura, M. (2022). Clinical impact of remnant lymphatic invasion on the recurrence of esophageal squamous cell carcinoma after esophagectomy with neoadjuvant chemotherapy. Oncology Letters, 24, 337. https://doi.org/10.3892/ol.2022.13457
MLA
Okuda, S., Ohuchida, K., Shindo, K., Moriyama, T., Kawata, J., Tamura, K., Sada, M., Nagayoshi, K., Mizuuchi, Y., Ikenaga, N., Nakata, K., Oda, Y., Nakamura, M."Clinical impact of remnant lymphatic invasion on the recurrence of esophageal squamous cell carcinoma after esophagectomy with neoadjuvant chemotherapy". Oncology Letters 24.4 (2022): 337.
Chicago
Okuda, S., Ohuchida, K., Shindo, K., Moriyama, T., Kawata, J., Tamura, K., Sada, M., Nagayoshi, K., Mizuuchi, Y., Ikenaga, N., Nakata, K., Oda, Y., Nakamura, M."Clinical impact of remnant lymphatic invasion on the recurrence of esophageal squamous cell carcinoma after esophagectomy with neoadjuvant chemotherapy". Oncology Letters 24, no. 4 (2022): 337. https://doi.org/10.3892/ol.2022.13457
Follow us
  • Twitter
  • LinkedIn
  • Facebook
About
  • Spandidos Publications
  • Careers
  • Cookie Policy
  • Privacy Policy
How can we help?
  • Help
  • Live Chat
  • Contact
  • Email to our Support Team