Spandidos Publications Logo
  • About
    • About Spandidos
    • Aims and Scopes
    • Abstracting and Indexing
    • Editorial Policies
    • Reprints and Permissions
    • Job Opportunities
    • Terms and Conditions
    • Contact
  • Journals
    • All Journals
    • Oncology Letters
      • Oncology Letters
      • Information for Authors
      • Editorial Policies
      • Editorial Board
      • Aims and Scope
      • Abstracting and Indexing
      • Bibliographic Information
      • Archive
    • International Journal of Oncology
      • International Journal of Oncology
      • Information for Authors
      • Editorial Policies
      • Editorial Board
      • Aims and Scope
      • Abstracting and Indexing
      • Bibliographic Information
      • Archive
    • Molecular and Clinical Oncology
      • Molecular and Clinical Oncology
      • Information for Authors
      • Editorial Policies
      • Editorial Board
      • Aims and Scope
      • Abstracting and Indexing
      • Bibliographic Information
      • Archive
    • Experimental and Therapeutic Medicine
      • Experimental and Therapeutic Medicine
      • Information for Authors
      • Editorial Policies
      • Editorial Board
      • Aims and Scope
      • Abstracting and Indexing
      • Bibliographic Information
      • Archive
    • International Journal of Molecular Medicine
      • International Journal of Molecular Medicine
      • Information for Authors
      • Editorial Policies
      • Editorial Board
      • Aims and Scope
      • Abstracting and Indexing
      • Bibliographic Information
      • Archive
    • Biomedical Reports
      • Biomedical Reports
      • Information for Authors
      • Editorial Policies
      • Editorial Board
      • Aims and Scope
      • Abstracting and Indexing
      • Bibliographic Information
      • Archive
    • Oncology Reports
      • Oncology Reports
      • Information for Authors
      • Editorial Policies
      • Editorial Board
      • Aims and Scope
      • Abstracting and Indexing
      • Bibliographic Information
      • Archive
    • Molecular Medicine Reports
      • Molecular Medicine Reports
      • Information for Authors
      • Editorial Policies
      • Editorial Board
      • Aims and Scope
      • Abstracting and Indexing
      • Bibliographic Information
      • Archive
    • World Academy of Sciences Journal
      • World Academy of Sciences Journal
      • Information for Authors
      • Editorial Policies
      • Editorial Board
      • Aims and Scope
      • Abstracting and Indexing
      • Bibliographic Information
      • Archive
    • International Journal of Functional Nutrition
      • International Journal of Functional Nutrition
      • Information for Authors
      • Editorial Policies
      • Editorial Board
      • Aims and Scope
      • Abstracting and Indexing
      • Bibliographic Information
      • Archive
    • International Journal of Epigenetics
      • International Journal of Epigenetics
      • Information for Authors
      • Editorial Policies
      • Editorial Board
      • Aims and Scope
      • Abstracting and Indexing
      • Bibliographic Information
      • Archive
    • Medicine International
      • Medicine International
      • Information for Authors
      • Editorial Policies
      • Editorial Board
      • Aims and Scope
      • Abstracting and Indexing
      • Bibliographic Information
      • Archive
  • Articles
  • Information
    • Information for Authors
    • Information for Reviewers
    • Information for Librarians
    • Information for Advertisers
    • Conferences
  • Language Editing
Spandidos Publications Logo
  • About
    • About Spandidos
    • Aims and Scopes
    • Abstracting and Indexing
    • Editorial Policies
    • Reprints and Permissions
    • Job Opportunities
    • Terms and Conditions
    • Contact
  • Journals
    • All Journals
    • Biomedical Reports
      • Information for Authors
      • Editorial Policies
      • Editorial Board
      • Aims and Scope
      • Abstracting and Indexing
      • Bibliographic Information
      • Archive
    • Experimental and Therapeutic Medicine
      • Information for Authors
      • Editorial Policies
      • Editorial Board
      • Aims and Scope
      • Abstracting and Indexing
      • Bibliographic Information
      • Archive
    • International Journal of Epigenetics
      • Information for Authors
      • Editorial Policies
      • Editorial Board
      • Aims and Scope
      • Abstracting and Indexing
      • Bibliographic Information
      • Archive
    • International Journal of Functional Nutrition
      • Information for Authors
      • Editorial Policies
      • Editorial Board
      • Aims and Scope
      • Abstracting and Indexing
      • Bibliographic Information
      • Archive
    • International Journal of Molecular Medicine
      • Information for Authors
      • Editorial Policies
      • Editorial Board
      • Aims and Scope
      • Abstracting and Indexing
      • Bibliographic Information
      • Archive
    • International Journal of Oncology
      • Information for Authors
      • Editorial Policies
      • Editorial Board
      • Aims and Scope
      • Abstracting and Indexing
      • Bibliographic Information
      • Archive
    • Medicine International
      • Information for Authors
      • Editorial Policies
      • Editorial Board
      • Aims and Scope
      • Abstracting and Indexing
      • Bibliographic Information
      • Archive
    • Molecular and Clinical Oncology
      • Information for Authors
      • Editorial Policies
      • Editorial Board
      • Aims and Scope
      • Abstracting and Indexing
      • Bibliographic Information
      • Archive
    • Molecular Medicine Reports
      • Information for Authors
      • Editorial Policies
      • Editorial Board
      • Aims and Scope
      • Abstracting and Indexing
      • Bibliographic Information
      • Archive
    • Oncology Letters
      • Information for Authors
      • Editorial Policies
      • Editorial Board
      • Aims and Scope
      • Abstracting and Indexing
      • Bibliographic Information
      • Archive
    • Oncology Reports
      • Information for Authors
      • Editorial Policies
      • Editorial Board
      • Aims and Scope
      • Abstracting and Indexing
      • Bibliographic Information
      • Archive
    • World Academy of Sciences Journal
      • Information for Authors
      • Editorial Policies
      • Editorial Board
      • Aims and Scope
      • Abstracting and Indexing
      • Bibliographic Information
      • Archive
  • Articles
  • Information
    • For Authors
    • For Reviewers
    • For Librarians
    • For Advertisers
    • Conferences
  • Language Editing
Login Register Submit
  • This site uses cookies
  • You can change your cookie settings at any time by following the instructions in our Cookie Policy. To find out more, you may read our Privacy Policy.

    I agree
Search articles by DOI, keyword, author or affiliation
Search
Advanced Search
presentation
Oncology Letters
Join Editorial Board Propose a Special Issue
Print ISSN: 1792-1074 Online ISSN: 1792-1082
Journal Cover
October-2022 Volume 24 Issue 4

Full Size Image

Sign up for eToc alerts
Recommend to Library

Journals

International Journal of Molecular Medicine

International Journal of Molecular Medicine

International Journal of Molecular Medicine is an international journal devoted to molecular mechanisms of human disease.

International Journal of Oncology

International Journal of Oncology

International Journal of Oncology is an international journal devoted to oncology research and cancer treatment.

Molecular Medicine Reports

Molecular Medicine Reports

Covers molecular medicine topics such as pharmacology, pathology, genetics, neuroscience, infectious diseases, molecular cardiology, and molecular surgery.

Oncology Reports

Oncology Reports

Oncology Reports is an international journal devoted to fundamental and applied research in Oncology.

Experimental and Therapeutic Medicine

Experimental and Therapeutic Medicine

Experimental and Therapeutic Medicine is an international journal devoted to laboratory and clinical medicine.

Oncology Letters

Oncology Letters

Oncology Letters is an international journal devoted to Experimental and Clinical Oncology.

Biomedical Reports

Biomedical Reports

Explores a wide range of biological and medical fields, including pharmacology, genetics, microbiology, neuroscience, and molecular cardiology.

Molecular and Clinical Oncology

Molecular and Clinical Oncology

International journal addressing all aspects of oncology research, from tumorigenesis and oncogenes to chemotherapy and metastasis.

World Academy of Sciences Journal

World Academy of Sciences Journal

Multidisciplinary open-access journal spanning biochemistry, genetics, neuroscience, environmental health, and synthetic biology.

International Journal of Functional Nutrition

International Journal of Functional Nutrition

Open-access journal combining biochemistry, pharmacology, immunology, and genetics to advance health through functional nutrition.

International Journal of Epigenetics

International Journal of Epigenetics

Publishes open-access research on using epigenetics to advance understanding and treatment of human disease.

Medicine International

Medicine International

An International Open Access Journal Devoted to General Medicine.

Journal Cover
October-2022 Volume 24 Issue 4

Full Size Image

Sign up for eToc alerts
Recommend to Library

  • Article
  • Citations
    • Cite This Article
    • Download Citation
    • Create Citation Alert
    • Remove Citation Alert
    • Cited By
  • Similar Articles
    • Related Articles (in Spandidos Publications)
    • Similar Articles (Google Scholar)
    • Similar Articles (PubMed)
  • Download PDF
  • Download XML
  • View XML
Article Open Access

Radiological classification of meningiomas with hemorrhagic onset and its clinical significance

  • Authors:
    • Zuo-Run Xie
    • Hong-Cai Wang
    • Yi-Lei Tong
    • Shi-Wei Li
    • Mao-Song Chen
    • Bo-Ding Wang
  • View Affiliations / Copyright

    Affiliations: Department of Neurosurgery, The Affiliated Lihuili Hospital of Ningbo University, Ningbo, Zhejiang 315040, P.R. China, Department of Neurosurgery, Hwa Mei Hospital of University of Chinese Academy of Sciences, Ningbo, Zhejiang 315040, P.R. China
    Copyright: © Xie et al. This is an open access article distributed under the terms of Creative Commons Attribution License.
  • Article Number: 341
    |
    Published online on: August 12, 2022
       https://doi.org/10.3892/ol.2022.13461
  • Expand metrics +
Metrics: Total Views: 0 (Spandidos Publications: | PMC Statistics: )
Metrics: Total PDF Downloads: 0 (Spandidos Publications: | PMC Statistics: )
Cited By (CrossRef): 0 citations Loading Articles...

This article is mentioned in:



Abstract

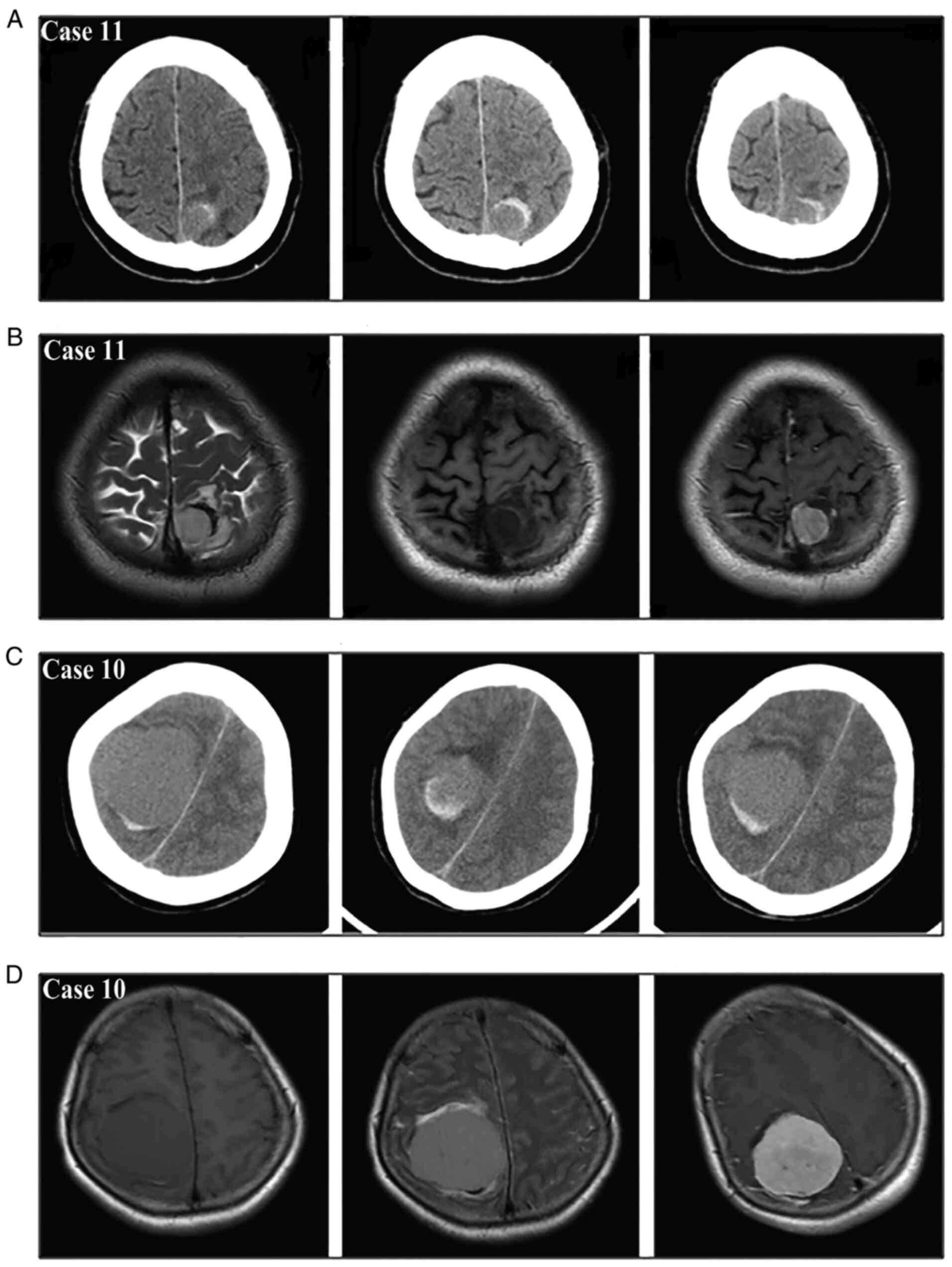
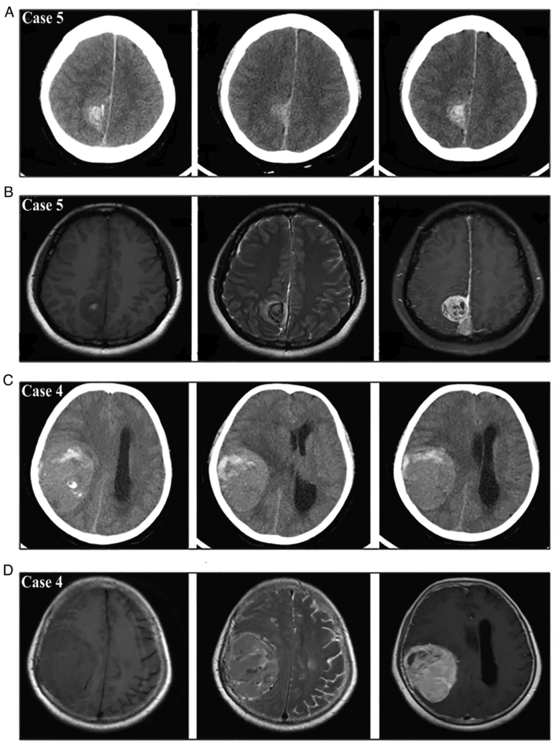
Meningiomas are the most common benign intracranial tumors and frequently present with a gradual onset of neurological deficits; conversely, their acute presentation with hemorrhagic onset appears to be a rare event. Nonetheless, as early surgical evacuation is the foundation of treatment, a timely diagnosis of this rare type of intracranial hemorrhage is necessary. The purpose of the present single‑center study was to investigate the radiological characteristics and propose a new bleeding classification for guiding the diagnosis and treatment. A total of 19 patients consecutively diagnosed with hemorrhagic meningioma were enrolled in this retrospective study. Intracranial extra‑axial mass, tumor‑associated hemorrhage and peritumoral brain edema were the three main radiological features of the hemorrhagic meningiomas. The site of tumor‑associated hemorrhage included the peritumoral space, subarachnoid space, subdural space, brain parenchyma and/or intratumor region. Based on the anatomical relationship between meningioma and hematoma, the spontaneous hemorrhage stemming from meningiomas was further summarized into three bleeding patterns involving purely intratumoral hemorrhage (type I), purely extratumoral hemorrhage (type II) and combined intra/extratumoral hemorrhage (type III); furthermore, the type III hemorrhage usually came from type I bleeding that extended into the surrounding regions. The symptoms in type I patients were generally mild and early surgery was performed following adequate preoperative evaluations. The symptoms in type II patients were mild in certain cases and moderate to severe in others, so early or emergency surgery was chosen according to the clinical status of the patient. Almost all type III patients had moderate to severe symptoms and these patients usually required emergency surgery. In addition, patients with different bleeding types may have different pathological mechanisms underlying the tumor bleeding. Apart from being convenient for diagnosis, this concise and practical bleeding classification may aid in the selection of the treatment strategy and facilitate the understanding of the associated mechanisms.
View Figures

Figure 1

Figure 2

Figure 3

Figure 4

Figure 5

Figure 6

Figure 7

Figure 8

Figure 9

View References

1 

Goldbrunner R, Minniti G, Preusser M, Jenkinson M, Sallabanda K, Houdart E, Deimling A, Stavrinou P, Lefranc F, Lund-Johansen M, et al: EANO guidelines for the diagnosis and treatment of meningiomas. Lancet Oncol. 17:e383–e912. 2016. View Article : Google Scholar : PubMed/NCBI

2 

Boŝnjak R, Derham C, Popović M and Ravnik J: Spontaneous intracranial meningioma bleeding: Clinicopathological features and outcome. J Neurosurg. 103:473–484. 2005. View Article : Google Scholar : PubMed/NCBI

3 

Pereira BJ, de Almeida AN, Paiva WS, de Aguiar PH, Teixeira MJ and Marie SK: Assessment of hemorrhagic onset on meningiomas: Systematic review. Clin Neurol Neurosurg. 199:1061752020. View Article : Google Scholar : PubMed/NCBI

4 

Kouyialis AT, Stranjalis G, Analyti R, Boviatsis EJ, Korfias S and Sakas DE: Peritumouralhaematoma and meningioma: A common tumour with an uncommon presentation. J Clin Neurosci. 11:906–909. 2004. View Article : Google Scholar : PubMed/NCBI

5 

Cheng MH and Lin JW: Intracranial meningioma with intratumoral hemorrhage. J Formos Med Assoc. 96:116–120. 1997.PubMed/NCBI

6 

Huang RB, Chen LJ, Su SY, Wu XJ, Zheng YG, Wang HP and Liu Y: Misdiagnosis and delay of diagnosis in hemorrhagic meningioma: A case series and review of the literature. World Neurosurg. 155:e836–e846. 2021. View Article : Google Scholar : PubMed/NCBI

7 

Aloraidi A, Abbas M, Fallatah B, Alkhaibary A, Ahmed ME and Alassiri AH: Meningioma presenting with spontaneous subdural hematoma: A report of two cases and literature review. World Neurosurg. 127:150–154. 2019. View Article : Google Scholar : PubMed/NCBI

8 

Pressman E, Penn D and Patel NJ: Intracranial hemorrhage from meningioma: 2 novel risk factors. World Neurosurg. 135:217–221. 2020. View Article : Google Scholar : PubMed/NCBI

9 

Hambra DV, Danilo de P, Alessandro R, Sara M and Juan GR: Meningioma associated with acute subdural hematoma: A review of the literature. Surg Neurol Int. 5 (Suppl 12):S469–S471. 2014. View Article : Google Scholar : PubMed/NCBI

10 

Han S, Yang Y, Yang Z, Liu N, Qi X, Yan C and Yu C: Continuous progression of hemorrhage of sphenoid ridge meningioma causing cerebral hernia: A case report and literature review. Oncol Lett. 20:785–793. 2020. View Article : Google Scholar : PubMed/NCBI

11 

Wang HC, Wang BD, Chen MS, Li SW, Chen H, Xu W and Zhang JM: An underlying pathological mechanism of meningiomas with intratumoral hemorrhage: Undifferentiated microvessels. World Neurosurg. 94:319–327. 2016. View Article : Google Scholar : PubMed/NCBI

12 

Krisht KM, Altay T and Couldwell WT: Myxoid meningioma: A rare metaplastic meningioma variant in a patient presenting with intratumoral hemorrhage: Case report. J Neurosurg. 116:861–865. 2012. View Article : Google Scholar : PubMed/NCBI

13 

Bitzer M, Topka H, Morgalla M, Friese S, Wöckel L and Voigt K: Tumor-related venous obstruction and development of peritumoral brain edema in meningiomas. Neurosurgery. 42:724–728. 1998. View Article : Google Scholar : PubMed/NCBI

14 

Schrader B, Barth H, Lang EW, Buhl R, Hugo HH, Biederer J and Mehdorn HM: Spontaneous intracranial haematomas caused by neoplasms. Acta Neurochir (Wien). 142:979–985. 2000. View Article : Google Scholar : PubMed/NCBI

15 

Kim DG, Park CK, Paek SH, Choe GY, Gwak HS, Yoo H and Jung HW: Meningioma manifesting intracerebral haemorrhage: A possible mechanism of haemorrhage. Acta Neurochir (Wien). 142:165–168. 2000. View Article : Google Scholar : PubMed/NCBI

16 

Niiro M, Ishimaru K, Hirano H, Yunoue S and Kuratsu J: Clinico-pathological study of meningiomas with haemorrhagic onset. Acta Neurochir (Wien). 145:767–772. 2003. View Article : Google Scholar : PubMed/NCBI

17 

Jr SS, Shuangshoti S and Vajragupt L: Meningiomas associated with hemorrhage: A report of two cases with a review of the literature. Neuropathology. 19:150–160. 1999. View Article : Google Scholar

18 

Lin RH and Shen CC: Meningioma with purely intratumoral hemorrhage mimicked intracerebral hemorrhage: Case report and literature review. J Med Sci. 36:1582016. View Article : Google Scholar

19 

Yamaguchi N, Kawase T, Sagoh M, Ohira T, Shiga H and Toya S: Prediction of consistency of meningiomas with preoperative magnetic resonance imaging. Surg Neurol. 48:579–583. 1997. View Article : Google Scholar : PubMed/NCBI

20 

Kim JH, Gwak HS, Hong EK, Bang CW, Lee SH and Yoo H: A case of benign meningioma presented with subdural hemorrhage. Brain Tumor Res Treat. 3:30–33. 2015. View Article : Google Scholar : PubMed/NCBI

21 

Sasagawa Y, Tachibana O, Iida T and Iizuka H: Oncocytic meningioma presenting with intratumoral hemorrhage. J Clin Neurosci. 20:1622–1624. 2013. View Article : Google Scholar : PubMed/NCBI

22 

Dang DD, Mugge L, Awan O, Dang J and Shenai M: Spontaneous or traumatic intratumoral hemorrhage? A rare presentation of parafalcine meningioma. Cureus. 12:e114862020.PubMed/NCBI

23 

Agazzi S, Burkhardt K and Rilliet B: Acute haemorrhagic presentation of an intracranial meningioma. J Clin Neurosci. 6:242–245. 1999. View Article : Google Scholar : PubMed/NCBI

24 

Motegi H, Kobayashi H, Terasaka S, Ishii N, Ito M, Shimbo D and Houkin K: Hemorrhagic onset of rhabdoid meningioma after initiating treatment for infertility. Brain Tumor Patholo. 29:240–244. 2012. View Article : Google Scholar : PubMed/NCBI

25 

Lefranc F, Nagy N, Dewitte O, Balériaux D and Brotchi J: Intracranial meningiomas revealed by non-traumatic subdural haematomas: A series of four cases. Acta Neurochir (Wien). 143:977–983. 2001. View Article : Google Scholar : PubMed/NCBI

26 

Mangubat EZ and Byrne RW: Major Intratumoral hemorrhage of a petroclival atypical meningioma: Case report and review of literature. Skull Base. 20:469–474. 2010. View Article : Google Scholar : PubMed/NCBI

Related Articles

  • Abstract
  • View
  • Download
  • Twitter
Copy and paste a formatted citation
Spandidos Publications style
Xie Z, Wang H, Tong Y, Li S, Chen M and Wang B: Radiological classification of meningiomas with hemorrhagic onset and its clinical significance. Oncol Lett 24: 341, 2022.
APA
Xie, Z., Wang, H., Tong, Y., Li, S., Chen, M., & Wang, B. (2022). Radiological classification of meningiomas with hemorrhagic onset and its clinical significance. Oncology Letters, 24, 341. https://doi.org/10.3892/ol.2022.13461
MLA
Xie, Z., Wang, H., Tong, Y., Li, S., Chen, M., Wang, B."Radiological classification of meningiomas with hemorrhagic onset and its clinical significance". Oncology Letters 24.4 (2022): 341.
Chicago
Xie, Z., Wang, H., Tong, Y., Li, S., Chen, M., Wang, B."Radiological classification of meningiomas with hemorrhagic onset and its clinical significance". Oncology Letters 24, no. 4 (2022): 341. https://doi.org/10.3892/ol.2022.13461
Copy and paste a formatted citation
x
Spandidos Publications style
Xie Z, Wang H, Tong Y, Li S, Chen M and Wang B: Radiological classification of meningiomas with hemorrhagic onset and its clinical significance. Oncol Lett 24: 341, 2022.
APA
Xie, Z., Wang, H., Tong, Y., Li, S., Chen, M., & Wang, B. (2022). Radiological classification of meningiomas with hemorrhagic onset and its clinical significance. Oncology Letters, 24, 341. https://doi.org/10.3892/ol.2022.13461
MLA
Xie, Z., Wang, H., Tong, Y., Li, S., Chen, M., Wang, B."Radiological classification of meningiomas with hemorrhagic onset and its clinical significance". Oncology Letters 24.4 (2022): 341.
Chicago
Xie, Z., Wang, H., Tong, Y., Li, S., Chen, M., Wang, B."Radiological classification of meningiomas with hemorrhagic onset and its clinical significance". Oncology Letters 24, no. 4 (2022): 341. https://doi.org/10.3892/ol.2022.13461
Follow us
  • Twitter
  • LinkedIn
  • Facebook
About
  • Spandidos Publications
  • Careers
  • Cookie Policy
  • Privacy Policy
How can we help?
  • Help
  • Live Chat
  • Contact
  • Email to our Support Team