Spandidos Publications Logo
  • About
    • About Spandidos
    • Aims and Scopes
    • Abstracting and Indexing
    • Editorial Policies
    • Reprints and Permissions
    • Job Opportunities
    • Terms and Conditions
    • Contact
  • Journals
    • All Journals
    • Oncology Letters
      • Oncology Letters
      • Information for Authors
      • Editorial Policies
      • Editorial Board
      • Aims and Scope
      • Abstracting and Indexing
      • Bibliographic Information
      • Archive
    • International Journal of Oncology
      • International Journal of Oncology
      • Information for Authors
      • Editorial Policies
      • Editorial Board
      • Aims and Scope
      • Abstracting and Indexing
      • Bibliographic Information
      • Archive
    • Molecular and Clinical Oncology
      • Molecular and Clinical Oncology
      • Information for Authors
      • Editorial Policies
      • Editorial Board
      • Aims and Scope
      • Abstracting and Indexing
      • Bibliographic Information
      • Archive
    • Experimental and Therapeutic Medicine
      • Experimental and Therapeutic Medicine
      • Information for Authors
      • Editorial Policies
      • Editorial Board
      • Aims and Scope
      • Abstracting and Indexing
      • Bibliographic Information
      • Archive
    • International Journal of Molecular Medicine
      • International Journal of Molecular Medicine
      • Information for Authors
      • Editorial Policies
      • Editorial Board
      • Aims and Scope
      • Abstracting and Indexing
      • Bibliographic Information
      • Archive
    • Biomedical Reports
      • Biomedical Reports
      • Information for Authors
      • Editorial Policies
      • Editorial Board
      • Aims and Scope
      • Abstracting and Indexing
      • Bibliographic Information
      • Archive
    • Oncology Reports
      • Oncology Reports
      • Information for Authors
      • Editorial Policies
      • Editorial Board
      • Aims and Scope
      • Abstracting and Indexing
      • Bibliographic Information
      • Archive
    • Molecular Medicine Reports
      • Molecular Medicine Reports
      • Information for Authors
      • Editorial Policies
      • Editorial Board
      • Aims and Scope
      • Abstracting and Indexing
      • Bibliographic Information
      • Archive
    • World Academy of Sciences Journal
      • World Academy of Sciences Journal
      • Information for Authors
      • Editorial Policies
      • Editorial Board
      • Aims and Scope
      • Abstracting and Indexing
      • Bibliographic Information
      • Archive
    • International Journal of Functional Nutrition
      • International Journal of Functional Nutrition
      • Information for Authors
      • Editorial Policies
      • Editorial Board
      • Aims and Scope
      • Abstracting and Indexing
      • Bibliographic Information
      • Archive
    • International Journal of Epigenetics
      • International Journal of Epigenetics
      • Information for Authors
      • Editorial Policies
      • Editorial Board
      • Aims and Scope
      • Abstracting and Indexing
      • Bibliographic Information
      • Archive
    • Medicine International
      • Medicine International
      • Information for Authors
      • Editorial Policies
      • Editorial Board
      • Aims and Scope
      • Abstracting and Indexing
      • Bibliographic Information
      • Archive
  • Articles
  • Information
    • Information for Authors
    • Information for Reviewers
    • Information for Librarians
    • Information for Advertisers
    • Conferences
  • Language Editing
Spandidos Publications Logo
  • About
    • About Spandidos
    • Aims and Scopes
    • Abstracting and Indexing
    • Editorial Policies
    • Reprints and Permissions
    • Job Opportunities
    • Terms and Conditions
    • Contact
  • Journals
    • All Journals
    • Biomedical Reports
      • Information for Authors
      • Editorial Policies
      • Editorial Board
      • Aims and Scope
      • Abstracting and Indexing
      • Bibliographic Information
      • Archive
    • Experimental and Therapeutic Medicine
      • Information for Authors
      • Editorial Policies
      • Editorial Board
      • Aims and Scope
      • Abstracting and Indexing
      • Bibliographic Information
      • Archive
    • International Journal of Epigenetics
      • Information for Authors
      • Editorial Policies
      • Editorial Board
      • Aims and Scope
      • Abstracting and Indexing
      • Bibliographic Information
      • Archive
    • International Journal of Functional Nutrition
      • Information for Authors
      • Editorial Policies
      • Editorial Board
      • Aims and Scope
      • Abstracting and Indexing
      • Bibliographic Information
      • Archive
    • International Journal of Molecular Medicine
      • Information for Authors
      • Editorial Policies
      • Editorial Board
      • Aims and Scope
      • Abstracting and Indexing
      • Bibliographic Information
      • Archive
    • International Journal of Oncology
      • Information for Authors
      • Editorial Policies
      • Editorial Board
      • Aims and Scope
      • Abstracting and Indexing
      • Bibliographic Information
      • Archive
    • Medicine International
      • Information for Authors
      • Editorial Policies
      • Editorial Board
      • Aims and Scope
      • Abstracting and Indexing
      • Bibliographic Information
      • Archive
    • Molecular and Clinical Oncology
      • Information for Authors
      • Editorial Policies
      • Editorial Board
      • Aims and Scope
      • Abstracting and Indexing
      • Bibliographic Information
      • Archive
    • Molecular Medicine Reports
      • Information for Authors
      • Editorial Policies
      • Editorial Board
      • Aims and Scope
      • Abstracting and Indexing
      • Bibliographic Information
      • Archive
    • Oncology Letters
      • Information for Authors
      • Editorial Policies
      • Editorial Board
      • Aims and Scope
      • Abstracting and Indexing
      • Bibliographic Information
      • Archive
    • Oncology Reports
      • Information for Authors
      • Editorial Policies
      • Editorial Board
      • Aims and Scope
      • Abstracting and Indexing
      • Bibliographic Information
      • Archive
    • World Academy of Sciences Journal
      • Information for Authors
      • Editorial Policies
      • Editorial Board
      • Aims and Scope
      • Abstracting and Indexing
      • Bibliographic Information
      • Archive
  • Articles
  • Information
    • For Authors
    • For Reviewers
    • For Librarians
    • For Advertisers
    • Conferences
  • Language Editing
Login Register Submit
  • This site uses cookies
  • You can change your cookie settings at any time by following the instructions in our Cookie Policy. To find out more, you may read our Privacy Policy.

    I agree
Search articles by DOI, keyword, author or affiliation
Search
Advanced Search
presentation
Oncology Letters
Join Editorial Board Propose a Special Issue
Print ISSN: 1792-1074 Online ISSN: 1792-1082
Journal Cover
October-2022 Volume 24 Issue 4

Full Size Image

Sign up for eToc alerts
Recommend to Library

Journals

International Journal of Molecular Medicine

International Journal of Molecular Medicine

International Journal of Molecular Medicine is an international journal devoted to molecular mechanisms of human disease.

International Journal of Oncology

International Journal of Oncology

International Journal of Oncology is an international journal devoted to oncology research and cancer treatment.

Molecular Medicine Reports

Molecular Medicine Reports

Covers molecular medicine topics such as pharmacology, pathology, genetics, neuroscience, infectious diseases, molecular cardiology, and molecular surgery.

Oncology Reports

Oncology Reports

Oncology Reports is an international journal devoted to fundamental and applied research in Oncology.

Experimental and Therapeutic Medicine

Experimental and Therapeutic Medicine

Experimental and Therapeutic Medicine is an international journal devoted to laboratory and clinical medicine.

Oncology Letters

Oncology Letters

Oncology Letters is an international journal devoted to Experimental and Clinical Oncology.

Biomedical Reports

Biomedical Reports

Explores a wide range of biological and medical fields, including pharmacology, genetics, microbiology, neuroscience, and molecular cardiology.

Molecular and Clinical Oncology

Molecular and Clinical Oncology

International journal addressing all aspects of oncology research, from tumorigenesis and oncogenes to chemotherapy and metastasis.

World Academy of Sciences Journal

World Academy of Sciences Journal

Multidisciplinary open-access journal spanning biochemistry, genetics, neuroscience, environmental health, and synthetic biology.

International Journal of Functional Nutrition

International Journal of Functional Nutrition

Open-access journal combining biochemistry, pharmacology, immunology, and genetics to advance health through functional nutrition.

International Journal of Epigenetics

International Journal of Epigenetics

Publishes open-access research on using epigenetics to advance understanding and treatment of human disease.

Medicine International

Medicine International

An International Open Access Journal Devoted to General Medicine.

Journal Cover
October-2022 Volume 24 Issue 4

Full Size Image

Sign up for eToc alerts
Recommend to Library

  • Article
  • Citations
    • Cite This Article
    • Download Citation
    • Create Citation Alert
    • Remove Citation Alert
    • Cited By
  • Similar Articles
    • Related Articles (in Spandidos Publications)
    • Similar Articles (Google Scholar)
    • Similar Articles (PubMed)
  • Download PDF
  • Download XML
  • View XML
Case Report Open Access

Metastatic ovarian tumor from pancreatic cancer treated with combined immunotherapy: A case report

  • Authors:
    • Yiying Tao
    • Lei Tang
    • Li Zuo
    • Yue Ma
    • Fengchun Zhang
    • Yingchun Xu
  • View Affiliations / Copyright

    Affiliations: Department of Oncology, Renji Hospital, Shanghai Jiaotong University School of Medicine, Shanghai 200127, P.R. China, Department of Oncology, Suzhou Kowloon Hospital, Shanghai Jiaotong University School of Medicine, Suzhou, Jiangsu 215000, P.R. China, Department of Oncology, Fudan University Shanghai Cancer Center, Minhang Branch, Shanghai 201100, P.R. China
    Copyright: © Tao et al. This is an open access article distributed under the terms of Creative Commons Attribution License.
  • Article Number: 344
    |
    Published online on: August 17, 2022
       https://doi.org/10.3892/ol.2022.13464
  • Expand metrics +
Metrics: Total Views: 0 (Spandidos Publications: | PMC Statistics: )
Metrics: Total PDF Downloads: 0 (Spandidos Publications: | PMC Statistics: )
Cited By (CrossRef): 0 citations Loading Articles...

This article is mentioned in:



Abstract

Pancreatic cancer (PC) is a fatal disease with a high mortality rate due to difficulties in early diagnosis and metastasis. Common sites of metastasis from PC include the liver, lung, stomach and kidney. Patients diagnosed at already the metastatic stages on presentation constitute 50‑55% of the cases, with a 5‑year survival rate of 3%. By contrast, secondary ovarian metastases account for 10‑25% of all ovarian malignancies, though an accurate diagnosis remain challenging. The present study reports the rare case of a 42‑year‑old woman with primary hepatic metastasis and secondary ovarian metastasis from PC treated with two lines of immunotherapy, who is also experiencing severe treatment‑associated toxicity. The patient first received combined immunotherapy consisting of camrelizumab (200 mg; day 1; every 3 weeks) and chemotherapy with nab‑paclitaxel (125 mg/m2; days 1 and 8; every 3 weeks) and gemcitabine (1,000 mg/m2; days 1 and 8; every 3 weeks). She then exhibited a partial response following 4 months of treatment. However, 9 months after the initial treatment, the disease progressed with ovarian involvement, which was confirmed by surgery. Second‑line treatment included immunotherapy, targeted therapy and oral chemotherapy (200 mg sintilimab on day 1; 50 mg tegafur from days 1‑14, twice daily; and 8 mg anlotinib from days 1‑14, every 3 weeks). The progression‑free survival time from this second‑line treatment was 6 months. Immunotherapy was permanently aborted due to severe intestinal inflammation, where four lines of combined treatments were recommended. The patient remains on treatment with a good quality of life in July 2022, and a current overall survival time of >24 months. In conclusion, the diagnosis of metastatic PC leads to a poor prognosis, but ovarian metastasis from PC is rare. Furthermore, the combination of immunotherapy with chemotherapy or antiangiogenic inhibitors shows promise as a treatment strategy for advanced stages of PC.

Introduction

Pancreatic cancer (PC) is one of the most aggressive and lethal types of cancer worldwide, where it is the seventh leading cause of cancer-associated mortality in both sexes (1). At present, there is a lack of effective screening tools for early-stage PC due to the lack of typical early symptoms (2). The majority of patients with PC present already with locally advanced (30–35%) or metastatic (50–55%) disease at diagnosis and are therefore not eligible for curative surgery, leading to poor clinical outcomes (3). This poor prognosis resulted in the similar number of deaths (466,003) to the number of diagnosed cases (495,774) across 185 countries in 2020 (2). In addition, patients with PC have the lowest survival rates among all cancer types, with only ~4% surviving beyond 5 years (4). The histology of PC is characterized by its aggressiveness, leading to early infiltration and a high propensity for systemic dissemination (5). The most common site of PC metastasis is the liver (40–50%) (6), with other commonly affected organs include the lungs, bones, adrenal glands, stomach lying adjacent to the pancreas, duodenum, transverse colon and left kidney (7). Compared with the aforementioned target organs, the ovary is an uncommon site for PC metastasis (5). Secondary ovarian malignancies account for 10–25% of all ovarian tumors (8), where the mechanism of dissemination may be through implantation, lymphatic and/or hematological metastasis (5).

The present report describes a case of PC diagnosed by pancreatic puncture, with ovarian metastasis subsequently confirmed by surgery. The patient responded favorably to combination immunotherapy treatment [including use of a programmed cell death protein-1 (PD-1) inhibitor, nab-paclitaxel and gemcitabine]. Therefore, further exploration of anti-PD-1 therapy for PC treatment is warranted in the future.

Case report

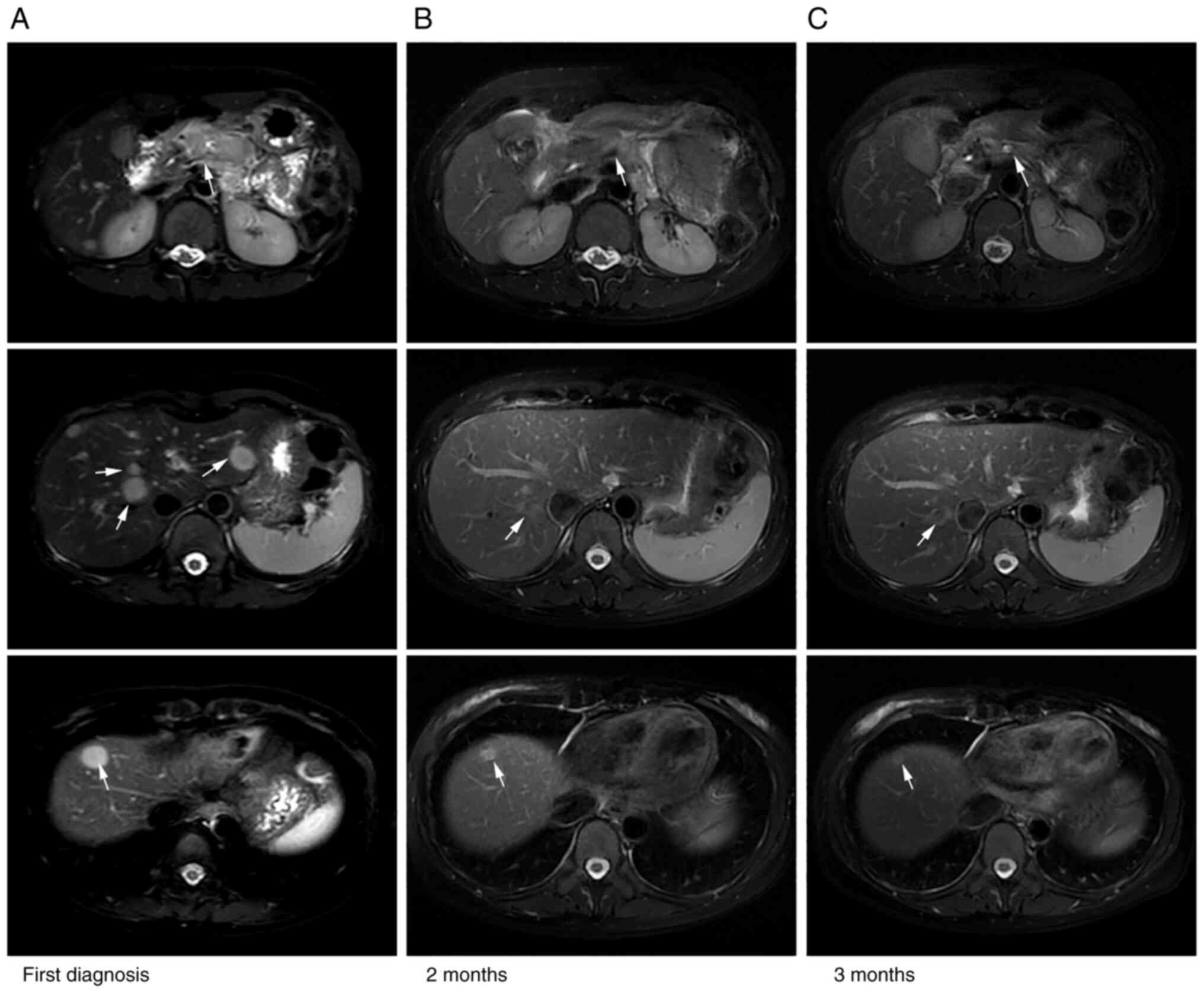
A 42-year-old woman presented with increased levels of serum tumor markers, including carbohydrate antigen (CA)19-9 (3,793 U/ml; normal range, 0–27 U/ml) and carcinoembryonic antigen (CEA; 58.6 ng/ml; normal range, 0–4.7 ng/ml), during a routine physical examination in June 2020, with no obvious symptoms. Enhanced MRI in Renji Hospital (Shanghai, China) 5 days later revealed a mass (49×26 mm) in the pancreatic body and multiple hepatic lesions (Fig. 1A). Next, MRI-guided biopsy of the pancreatic tumor was performed, following which somatic adenocarcinoma of the pancreas was diagnosed. The staging was cT3NxM1, stage IV according to the 8th edition of the American Joint Committee on Cancer for Pancreas and Hepatobiliary Cancers (9). Therefore, the patient was eligible to take part in a single-arm clinical trial assessing the combination of doublet chemotherapy [nab-paclitaxel and gemcitabine (AG)] and the novel PD-1 inhibitor camrelizumab (formerly SHR-1210) for the first-line treatment of metastatic pancreatic carcinoma (ClinicalTrials.gov identifier: NCT04181645; Table I). Therefore, the patient was prescribed first-line immunotherapy treatment of AG + anti-PD-1 immunotherapy 2 weeks after admission for six cycles. The regimen included nab-paclitaxel (Abraxane; 125 mg/m2) and gemcitabine (1,000 mg/m2) on days 1 and 8, along with camrelizumab (200 mg) on day 1 every 3 weeks. Repeat imaging assessment after two and four cycles of this combination treatment revealed a significant reduction in the size of the pancreatic and liver lesions (Fig. 1B). In addition, subsequent MRI scans (Fig. 1C) showed further shrinkage of the tumor and partial response (PR) was concluded using the modified Response Evaluation Criteria in Solid Tumors assessment criteria (Fig. 1) (10). The tumor markers CA19-9 and CEA were restored to the normal ranges. According to the Common Terminology Criteria for Adverse Events (version 4.03) (11), adverse events occurred, which included grade 1–2 rash, edema of the bilateral ankles and eyelids, knee pain, hyperhidrosis and grade 1 anemia. However, no treatment-related grade 3 or 4 adverse events were observed. The patient was next administered six cycles of first-line anti-PD-1 immune maintenance therapy (200 mg camrelizumab on day 1 every 3 weeks) 4 months after admission. After two cycles, a continuous PR was obtained. After the fourth cycle, the pancreatic mass increased slightly in size, and the PR of the liver lesions persisted. The toxicity parameter of transient hyperthyroidism appeared during this period. Afterwards, hypothyroidism was detected, which was controlled by supplementation with levothyroxine sodium tablets (100 µg every day). The progression-free survival (PFS) time from this first-line therapy was 9 months.

Figure 1.

Comparison of abdominal MRI before and after the first-line treatment. MRI images from (A) the time of admission and after first-line treatment at (B) 2 and (C) 3 months post-diagnosis. The pancreatic mass and liver metastases were reduced in size after treatment. Arrows indicate the tumors and lesions.

Table I.

Ongoing clinical trials of camrelizumab (formerly SHR-1210) in pancreatic cancer treatment in China.

Table I.

Ongoing clinical trials of camrelizumab (formerly SHR-1210) in pancreatic cancer treatment in China.

ClinicalTrials.gov identifierStudy phaseTrial armConditionSubjects, nStudy statusLocation
NCT04181645NASHR-1210 + gemcitabine + paclitaxel-albuminPancreatic cancer stage IV20RecruitingRenji Hospital, Shanghai, China
NCT04498689IICamrelizumab + nab paclitaxel + gemcitabine injectionMetastatic pancreatic cancer117RecruitingFudan University, Shanghai, China
NCT04420130NACamrelizumab + chemotherapy + ablationPancreatic cancer; liver metastasis34Not yet recruitingHarbin Medical University, Harbin, China
NCT04415385IICamrelizumab + apatinibPancreatic cancer48RecruitingZhejiang Cancer Hospital, Hangzhou, China
NCT04674956IIICamrelizumab + paclitaxel (albumin-bound) and gemcitabine vs. placebo + paclitaxel (albumin-bound) and gemcitabinePancreatic cancer stage IV; pancreatic metastatic cancer401Not yet recruitingRenji Hospital, Shanghai, China
NCT05218889IISurufatinib + camrelizumab + nab paclitaxel + S-1 vs. nab paclitaxel + gemcitabinePancreatic cancer68Not yet recruitingChinese People's Liberation Army General Hospital, Beijing, China
NCT04723030IICarleilizumab + apathy mesylate + radiotherapy + paclitaxel (albumin-bound)Locally advanced pancreatic cancer30Not yet recruitingPeking University Cancer Hospital and Institute, Beijing, China
NCT04932187ICamrelizumab + capecitabineHepatobiliary, pancreatic and other gastrointestinal carcinoma (non-stomach, non-esophageal)20RecruitingRuijin Hospital, Shanghai, China

[i] NA, not applicable.

At 10 months post-diagnosis, enhanced CT of the low abdomen demonstrated a large irregular mass (28 mm in diameter) with scatted dot enhancement in the bilateral adnexa area. Since the new mass was suspected to be metastatic, another PET-CT was performed. The size of the pancreatic body mass was similar to the previous result (9 months ago) but showed a markedly decreased fluorodeoxyglucose (FDG) uptake. According to the sizes of the hepatic metastatic lesions and the hilar and para-aortic lymphatic metastases, a PR was achieved and the FDG uptake was low. By contrast, the newly discovered bilateral adnexal mass showed increased FDG uptake, suggesting that it may be prone to tumor metastasis. However, primary ovarian carcinoma should not be ruled out either. The multidisciplinary therapy (MDT) team suggested a right adnexectomy to confirm the origin of the mass pathologically. After 10 days, a right adnexectomy was successfully performed using single-port laparoscopy. The right ovary was enlarged by ~5 cm, whereas the right oviduct and left adnexa appeared normal. H&E and immunohistochemical staining were subsequently performed.

The tissue samples derived from resected and core needle biopsy specimens were fixed in 10% formalin at room temperature for 24 h, paraffin embedded and subjected to histological or immunohistochemical analysis. Sections (4-µm thick) were heated at 58°C for 2 h and then deparaffinized in xylene and hydrated with a series of graded alcohols, including anhydrous ethanol for 5 min, 95% ethanol for 2 min, 90% ethanol for 2 min, 80% ethanol for 2 min and 70% ethanol for 2 min. H&E staining was then used for histological analysis. Hematoxylin staining was performed for 5 min at room temperature and eosin staining for 1 min at room temperature.

For immunohistochemistry, after 3 min of blocking at room temperature with the blocking reagent (working fluid; cat. no. DM841; Dako; Agilent Technologies, Inc.), antigen recovery was performed by heating and immersing the slides in citrate buffer (0.01 M, pH 9.0) in a microwave oven (121°C) for 10 min twice. Endogenous peroxidase activity was blocked using 3% hydrogen peroxide for 30 min at 20°C and the sections were incubated with primary antibodies against Ki-67 (1:100; cat. no. MIB-1; Dako; Agilent Technologies, Inc.), tumor protein 53 (p53; working fluid; cat. no. MAB-0674; Fuzhou Maixin Biotech Co., Ltd.), cytokeratin (CK)7 (1:50; cat. no. OV-TL12/30; Dako; Agilent Technologies, Inc.), vimentin (VIM; working fluid; cat. no. MAB-0735; Fuzhou Maixin Biotech Co., Ltd.), estrogen receptor [ER; working fluid; cat. no. 790-4325; Roche Diagnostics (Shanghai) Co., Ltd.], progesterone receptor [PR; working fluid; cat. no. 790-4296; Roche Diagnostics (Shanghai) Co., Ltd.], Wilm's tumor-1 (WT-1; working fluid; cat. no. MAB-0678; Fuzhou Maixin Biotech Co., Ltd.), hepatocyte nuclear factor 1 homeobox B (HNF-1B; working fluid; cat. no. ZA-0129; Origene Technologies, Inc.), CA125 (working fluid; cat. no. MAB-0007; Fuzhou Maixin Biotech Co., Ltd.), p16 (working fluid; cat. no. MAB-0673; Fuzhou Maixin Biotech Co., Ltd.), CK20 (1:80; cat. no. M7019; Dako; Agilent Technologies, Inc.), caudal-related homeobox transcription factor 2 (CDX2; working fluid; cat. no. RMA-0631; Fuzhou Maixin Biotech Co., Ltd.), special AT-rich binding protein 2 (SATB2; working fluid; cat. no. RMA-0750; Fuzhou Maixin Biotech Co., Ltd.), post-meiotic segregation increased 2 (PMS2; working fluid; cat. no. IR087; Dako; Agilent Technologies, Inc.), mut L homolog 1 (MLH1; working fluid; cat. no. IR079; Dako; Agilent Technologies, Inc.), mut S homolog (MSH)2 (working fluid; cat. no. IR085; Dako; Agilent Technologies, Inc.), MSH6 (working fluid; cat. no. IR086; Dako; Agilent Technologies, Inc.), programmed death ligand 1 (PD-L1; working fluid; cat. no. M3666; Dako; Agilent Technologies, Inc.), paired-box gene (PAX)-2 (working fluid; cat. no. RMA-0816; Fuzhou Maixin Biotech Co., Ltd.), PAX-8 (working fluid; cat. no. RMA-0817; Fuzhou Maixin Biotech Co., Ltd.), mucin 1 (MUC1; 1:50; cat. no. MRQ-17; Aimeijie Technology Co., Ltd.) at 4°C overnight. Subsequently, the sections were washed with PBS three times for 2 min and incubated with a biotinylated anti-mouse/rabbit secondary antibody (1:500; cat. no. D0486 and D0487, conjugated to alkaline phosphatase; Dako; Agilent Technologies, Inc.) at 37°C for 15 min. The signals was detected using a 3,3′diaminobenzidine kit (Dako; Agilent Technologies, Inc.). Finally, the sections were counterstained with hematoxylin at room temperature for between 3 sec and 5 min. The positively stained cells were then counted and imaged under a light microscope (Olympus BX43; Olympus Corporation) with ×100 and ×400 magnification. The negative control was conducted by replacing the primary antibody with 0.1% bovine sum albumin (cat. no. BAH62-0100; AmyJet Scientific, Inc.) or PBS. Cells with brown granule staining of the membrane/cytoplasm/nucleus were considered positive. For Ki-67 and p53, percentages of labeled positive cells within the investigated cell population are stated.

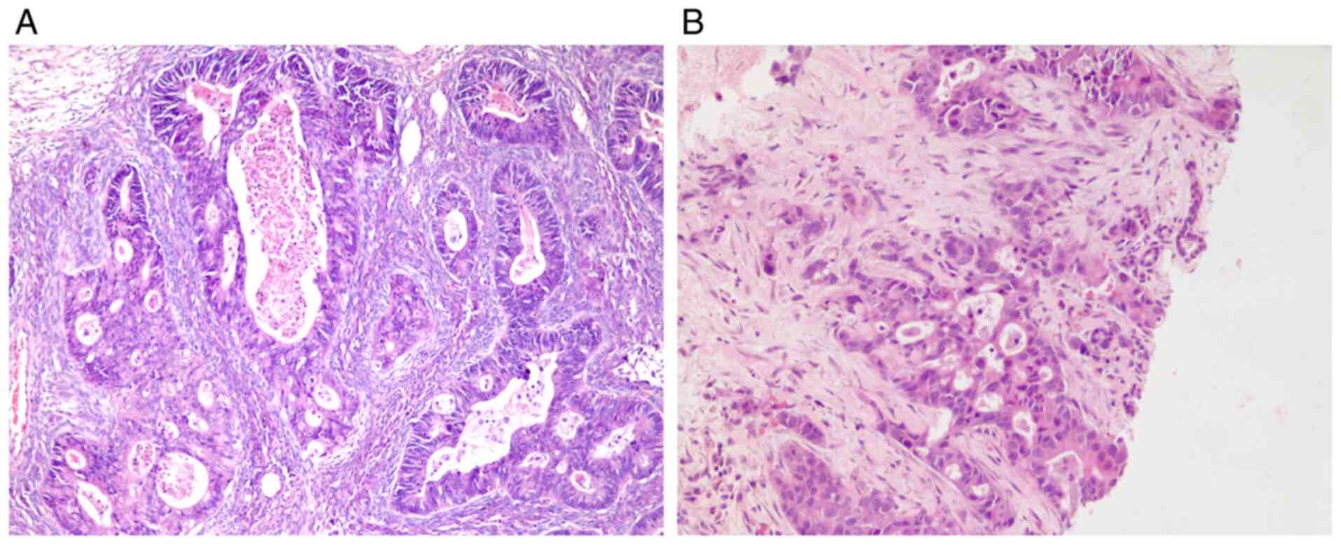
The results revealed a right ovarian adenocarcinoma (maximum 8 cm in diameter; Fig. 2) and the serosa of the right oviduct was congested due to tumor obstruction. Immunohistochemistry (IHC) analysis (Fig. 3) provided the following results: Ki-67 (60%), p53(75%), CK7(+), VIM(−), ER(−), PR(−), WT-1(+), HNF-1B(−), CA125(−), p16(+), CK20(+), CDX2(+), SATB2(+), PMS2(+), MLH1(+), MSH2(+), MSH6(+), PD-L1(−), PAX-2(−), PAX-8(−) and MUC1(+). Pathological review diagnosed metastatic adenocarcinoma of pancreatic origin based on IHC of the ovarian mass [CK20(+) and CA125(−)].

Figure 2.

Pathology of the ovarian tumor and fine-needle aspiration biopsy of the pancreas. (A) H&E staining of the ovarian tumor at ×100 magnification. Lesions infiltrated the ovary and exhibited marked cytological atypia, organized in cribriform-like glandular structures. (B) H&E staining of the fine-needle aspiration biopsy of the pancreas at ×200 magnification. Lesions showed infiltration to the adjacent tissues with hypo-differentiated cells forming cribriform-like structures.

Figure 3.

IHC of the ovarian tumor. IHC showing positive results for (A) CK7, (B) CK20, (C) caudal-related homeobox transcription factor 2 and (D) mucin 1. Negative IHC staining results for (E) estrogen receptor, (F) progesterone receptor and (G) paired box gene 8. (H) Ki-67 staining at 60%. Original magnification, ×100. IHC, immunohistochemistry; CK, cytokeratin.

Systemic antineoplastic chemotherapy was suggested but the patient refused intravenous chemotherapy due to poor tolerance. The patient accepted four cycles of second-line combination treatment 10 months after admission, including immunotherapy, targeted therapy and oral chemotherapy (200 mg sintilimab on day 1; 50 mg tegafur on days 1–14, two times a day; and 8 mg anlotinib on days 1–14 every 3 weeks). A follow-up CT scan after the second and fourth cycles showed that the morphology of the pancreatic tumor and the metastatic lesions did not change markedly, suggesting stable disease (SD) (Fig. 4). Nevertheless, the patient experienced grade 3 diarrhea after the fourth cycle of treatment. Stool smears and cultures tested negative for fungus, Staphylococcus, acid-fast bacillus, Salmonella, Shigella, Staphylococcus aureus, Escherichia coli O-157, Vibrio cholerae, Vibrio parahaemolyticus and Clostridium difficile. Colonoscopy revealed multiple ulcers, with autoimmune enteritis as the pathological diagnosis. Considering this immune-induced toxicity, vedolizumab (300 mg on day 1) was prescribed and sintilimab was stopped permanently. However, the patient exhibited a high fever, with a thermal spike of 40°C. Therefore, 40 mg methylprednisolone was administered for 6 days for the immunological fever. Subsequently, 30 mg/day prednisolone was taken orally, tapered off 5 mg each time and eventually discontinued in 18 days. According to the recommendation of the gastroenterologist, 2 g/day mesalazine was also prescribed to reduce intestinal inflammation. The patient recovered after 1 week, before the treatment plan was changed to oral chemotherapy and targeted therapy (50 mg tegafur on days 1–14, two times a day; and 8 mg anlotinib on days 1–14 every 3 weeks). During this period, the patient suffered a Candida tropicalis infection diagnosed by stool culture. Therefore, oral fluconazole at 100 mg/day was administered for 1 week. Then diarrhea and jaundice occurred during the sixth cycle of therapy. Endoscopic sphinctopapillotomy, endoscopic papillary balloon dilation and endoscopic retrograde biliary drainage were completed successfully, where bile drainage was unobstructed following the surgery. Methylprednisolone was prescribed at 35 mg/day orally for 1 month. PFS time after this second-line therapy was 6 months.

Figure 4.

Comparison of abdominal magnetic resonance imaging before and after the second-line treatment. MRI from (A) before second-line treatment at 10 months post-diagnosis, and after second-line treatment at (B) 12 and (C) 14 months post-diagnosis. (A and B) The pancreatic lesion and liver metastases were small. (C) However, after autoimmune enteritis, the size of the lesions remained unchanged. The patient was recorded with stable disease. Arrows indicate the tumors and lesions.

The disease was now considered to be at progressive disease (PD) due to the increasing lesion size in the liver (maximum diameter 2.7 cm) and the target mass in the pancreas (4.3×2.1 cm; Fig. 5A) being similar to that measured previously (4.3×2.0 cm; Fig. 4C) at month 16 after first diagnosis. Since the patient had benefited greatly (evaluated as PR) from the nab-paclitaxel therapy and it had been discontinued for >6 months, the third-line mono-chemotherapy of nab-paclitaxel (125 mg/m2; days 1 and 8; every 3 weeks) was recommended. The patient tolerated this regimen adequately, but the disease progressed and the size of metastases in the liver grew bigger rapidly after two cycles of nab-paclitaxel (Fig. 5B).

Figure 5.

Comparison of abdominal MRI before and after the fourth-line treatment. MRI from (A) before fourth-line treatment at 16 months, and after treatment at (B) 18 and (C) 20 months post-diagnosis. The pancreatic mass appeared to be smaller during the fourth-line treatment, but there was (A) an obstruction in the pancreaticobiliary duct, an accumulation of fluid in the gallbladder, larger liver metastases and larger lymph nodes in the retroperitoneum. (B) The pancreatic mass and liver metastases were enlarged compared with previously (A). (C) The pancreatic mass was large and the liver metastases were small. Arrows indicate the tumors and lesions.

The fourth-line treatment of irinotecan (240 mg; day 1) and anlotinib (8 mg; days 1–14 every 3 weeks) was well tolerated and applied to treat the progressive disease (PD) status (Fig. 5B). The patient accepted tomotherapy palliative radiotherapy (60 Gy over 12 fractions) for the hepatic metastasis. Repeat imaging assessment after four cycles of combination treatment showed a significant reduction in the size of the liver lesions (Fig. 5C). The tumor size continued to decrease and the disease remained stable with no clinical evidence of progression. The tumor marker levels of CA19-9, CA242 and CEA, in addition to those of the inflammatory marker IL-6, decreased again (Fig. 6A-D) and the overall survival (OS) time was extended to 24 months and counting. The general status of the patient is good in July 2022 and the patient will be followed up every 45 days.

Figure 6.

Trends in patient (A) CEA, (B) IL-6, (C) CA-199 and (D) CA-242 levels since the onset of the disease. IL-6 is a marker for inflammation. CEA, carcinoembryonic antigen; CA, carbohydrate antigen.

Discussion

Pancreatic ductal adenocarcinoma (PDAC) is a lethal disease with a dismal 5-year survival rate of 5–10% and the highest incidence-to-mortality ratio of any solid tumors (12). This poor outcome is mainly due to delayed diagnosis and the aggressive nature of the disease, with a high likelihood of early systemic dissemination (13). Currently, there are two recommendations for the first-line systemic treatment of metastatic PC that have demonstrated good performance (i.e., Eastern Cooperative Oncology Group 0–1) (14). The first recommendation is the regimen of fluorouracil, leucovorin, irinotecan and oxaliplatin (FOLFIRINOX) or modified FOLFIRINOX (15), which improved the median OS time from 6 to 8.7 months compared with gemcitabine monotherapy. The other recommendation is gemcitabine plus nab-paclitaxel (16), which markedly improved the median OS time from 6 to 11.1 months compared with gemcitabine monotherapy. However, the selected patients did not benefit sufficiently and could not achieve long-term survival outcomes. Therefore, novel effective systemic treatments remain in urgent demand.

In recent years, immune checkpoint blocking agents have been assessed for their efficacy in PDAC (17). Immune checkpoint blockade of the PD-1 pathway has been proposed to be a potentially viable treatment strategy due to encouraging phase II trial results for pembrolizumab (18). Similar results were reported in the single-arm phase II keynote-158 study, which included patients with PC. The median PFS time was 4.1 months and the median OS time was 23.5 months (19). As a result of these promising data, pembrolizumab was provided with accelerated FDA approval in 2017 for patients with unresectable, metastatic solid tumors harboring microsatellite instability-high (MSI-H) or deficient mismatch repair (dMMR) who exhibited progression following initial treatment, but no longer have any alternative treatment options (20). In addition, the National Comprehensive Cancer Network (NCCN) panel recommended this drug as an option for advanced PDAC with MSI-H or dMMR (21).

Camrelizumab is an anti-PD-1 receptor antibody that blocks the interaction of the receptor with PD-L1 and PD-L2, reversing the PD-1-mediated inhibition of the immune response. This strategy was approved by the National Medical Products Administration (NMPA) of China in December 2018 for Hodgkin's lymphoma, locally advanced or metastatic esophageal squamous cell carcinoma, hepatocellular carcinoma and nasopharyngeal carcinoma after systemic treatment failure (22). Preclinical and clinical data have provided supporting rationale for establishing immunotherapy combined with AG as a first-line treatment for metastatic PDAC (23,24). Data supporting the current regimens of an anti-PD-1-based (camrelizumab) combinatory strategy for PC are summarized in Table I. In addition, the MDT panel of Renji Hospital speculated that significant participation in clinical trials is critical for deepening the understanding into this disease. Therefore, participation in clinical trials assessing the effects of standard or accepted therapy would be encouraged for this patient. In the present case, the original lesions shrank and the liver lesions almost disappeared after four cycles of treatment. Notably, the patient also exhibited relatively high levels of tolerance towards these combined antitumor drugs, especially with only mild PD-1 inhibitor-related immune adverse events.

In the present case, the patient developed new ovarian lesions, identified by PET-CT scans after 9 months of treatment. Therefore, it is crucial to distinguish between primary ovarian diseases and metastatic progression from primary PC for appropriate treatment. Currently, imaging modalities cannot distinguish between the two types of lesions, necessitating a histopathological evaluation. Putative disease recurrence was determined after careful review of the imaging data by the MDT team and a confirmatory biopsy following surgery. Subsequently, a dedicated pathologist conducted a histopathological review of the ovarian lesions and IHC labeling to deduce that the origin of these lesions is the PDAC.

Statistically, 10–25% of all ovarian malignancies are secondary tumors, and the most common primary malignant tumors causing ovarian metastases include breast, colorectal, endometrial, gastric and appendiceal cancer (25). At present, three routes of ovarian metastasis have been identified: Lymphatic, implantation and blood metastasis. Reticular lymphatic tissues are abundant in ovaries, and cancer cells can metastasize through the retroperitoneal lymph nodes to the lumbar lymph nodes before metastasizing to the ovaries in a retrograde manner, which is considered to be the most likely mode of metastasis (26,27). Patients with ovarian metastases tend to be younger compared with those with primary ovarian cancer (8). Notably, ovarian metastasis is more frequently observed in non-menopausal women, which may be attributed to the nutrient-rich and more functionally active ovaries suitable for metastases. In addition, the secondary metastasis ovarian cancer tends to be bilateral and often causes interstitial changes in the ovary, which in turn promotes hematogenous metastases (28). In terms of implantation metastases, it has been proposed that when the tumor invades the serosal membrane, the cancer cells are shed into the peritoneal cavity and metastasize with the flow of the peritoneal fluid, spreading to the ovaries to develop metastases (29). Implantation metastases are frequently accompanied with extensive peritoneal spread (29). The present patient did not have ascites or peritoneal metastases. Based on the medical history, both lymph node and hematogenous metastases may have been involved in the development of the ovarian metastases.

The accurate diagnosis of secondary ovarian tumors can be challenging, since they can be easily misdiagnosed as primary ovarian cancer, especially in cases of mucinous adenocarcinoma (30). Several features would indicate metastases, including lesions of a small size (<10–12 cm), bilateralism, nodular growth patterns and presence on the surface and/or in the superficial cortex of the ovary (25). According to the gross morphology, the present patient fulfilled the aforementioned features that indicate ovarian metastases. An ovarian tumor with an irregular glandular tube-like structure and poorly differentiated cells formed the focal intraglandular cribriform architecture. Compared with the samples from the fine-needle aspiration biopsy of the pancreas, there was similar cribriform architecture and cell morphology. The cells are predominantly columnar with apical mucinous cytoplasm and show moderate nuclear atypia in the primary mucinous adenocarcinoma (30). However, due to diagnostic difficulty, it is necessary to set up a broad-spectrum IHC investigation to distinguish between secondary metastatic ovarian tumor and primary ovarian endometrioid or mucinous adenocarcinomas. PC does not have sensitive markers that can be used for routine clinical use and immunophenotyping can only be used to determine an origin from the pancreaticobiliary duct (31). Positive MUC1 indicates tumor cells from the pancreaticobiliary duct, whereas positive CK20, SATB2 and CDX2 would indicate a lower gastrointestinal tract origin (32–34). In the present report, IHC on the pathological ovarian sections showed positive MUC1, CK20, SATB2 and CDX2 staining. By contrast, primary ovarian endometrioid adenocarcinomas are typically diffusely positive for CK7 and CA125, but negative for CK20 and CDX2 (26). In the present report, CK7 expression was partially positive on the cell membrane, CA125 was negative whereas CK20 and CDX2 were positive. Other IHC markers, such as ER, PR and PAX8, are positive in primary tumors of the female genital system, while a negative result of these three markers was shown in the present case, indicating a metastatic ovarian tumor.

According to the gross morphology, histology and IHC results, the present study reported a rare case of ovarian metastasis from PC. However, a definitive diagnosis of metastatic PC in the ovary could not be established until the pathology of the ovarian tumor was confirmed as that from the PDAC. The present case highlights the importance of considering metastases when distinct masses are detected in a range of organs in order to administer different treatments.

The present patient was treated with immunotherapy-targeted therapy and oral chemotherapy (200 mg sintilimab on day 1; 50 mg tegafur on days 1–14, twice daily; and 8 mg anlotinib on days 1–14, every 3 weeks). The PFS time from this second-line treatment was 6 months, with severe life-threatening treatment-related toxicity. The initial benefit of the first-line immunotherapy was significant for this patient, with a stable condition recorded after oophorectomy of the ovarian metastases. The complication of autoimmune enteritis happened in the second-line treatment and was finally controlled. However, the disease progressed after the third-line chemotherapy and was therefore switched to fourth-line targeted therapy and palliative radiotherapy. Currently, the patient is stable with an improved quality of life. The trends in inflammatory factor (IL-6) levels and tumor marker levels (CEA, CA-199 and CA-242) were consistent with the changes in the condition of the patient.

Due to the rarity, heterogeneity and lack of evidence, guidelines for the optimal management of patients with PDAC and ovarian metastasis remain elusive. The findings of the present case suggested that high-quality imaging is essential for detecting subclinical disease. This also emphasizes the significance of a multidisciplinary approach involving gynecology, oncology, radiology, pathology and surgical oncology for an optimal work-up and disease management. Although the combination of resection and immunotherapy-based systemic treatment resulted in survival benefits for the present patient, there are few such cases in the literature. Therefore, there is a need for further treatment options for PC patients with ovarian metastasis.

Acknowledgements

Not applicable.

Funding

The present study was funded by the National Natural Science Foundation of China (grant nos. 81172522 and 81301858), the Suzhou Science and Technology Project (grant nos. SYS201508 and SYS201308) and the Jiangsu Natural Science Foundation Project (grant no. BK20181186).

Availability of data and materials

The datasets used and/or analyzed during the current study are available from the corresponding author on reasonable request.

Authors' contributions

YT, LT and LZ wrote the manuscript, formatted the figures and table, and analyzed the patient data. YM performed the surgery, obtained the medical images and advised on the patient treatment. YX and FZ collected clinical information, assisted with drafting the manuscript, and they both contributed to the conceptualization, overall design and quality control of the study. FZ and YX confirm the authenticity of all the raw data. All authors read and approved the final manuscript.

Ethics approval and consent to participate

The present study was approved by the Ethics Committee of Suzhou Kowloon Hospital (Suzhou, China; approval no. BL-2022-001).

Patient consent for publication

Written informed consent for the publication of clinical details and images was obtained from the patient.

Competing interests

The authors declare that they have no competing interests.

References

1 

Sung H, Ferlay J, Siegel RL, Laversanne M, Soerjomataram I, Jemal A and Bray F: Global cancer statistics 2020: GLOBOCAN estimates of incidence and mortality worldwide for 36 cancers in 185 countries. CA Cancer J Clin. 71:209–249. 2021. View Article : Google Scholar : PubMed/NCBI

2 

Yang J, Xu R, Wang C, Qiu J, Ren B and You L: Early screening and diagnosis strategies of pancreatic cancer: A comprehensive review. Cancer Commun (Lond). 41:1257–1274. 2021. View Article : Google Scholar : PubMed/NCBI

3 

Park W, Chawla A and O'Reilly EM: Pancreatic cancer: A review. JAMA. 326:851–862. 2021. View Article : Google Scholar : PubMed/NCBI

4 

Vincent A, Herman J, Schulick R, Hruban RH and Goggins M: Pancreatic cancer. Lancet. 378:607–620. 2011. View Article : Google Scholar : PubMed/NCBI

5 

Habib JR, Pasha S, Khan S, Kinny-Köster B, Shoucair S, Thompson ED, Yu J, Lafaro K, Burkhart RA, Burns WR, et al: Ovarian metastasis from pancreatic ductal adenocarcinoma. World J Surg. 45:3157–3164. 2021. View Article : Google Scholar : PubMed/NCBI

6 

Jin T, Dai C and Xu F: Surgical and local treatment of hepatic metastasis in pancreatic ductal adenocarcinoma: Recent advances and future prospects. Ther Adv Med Oncol. Jun 23–2020.(Epub ahead of print). View Article : Google Scholar

7 

Shah A, Korrapati P, Siegel J and Kasmin F: Rare metastasis of primary pancreatic adenocarcinoma to the bladder. ACG Case Rep J. 5:e272018. View Article : Google Scholar : PubMed/NCBI

8 

de Waal YR, Thomas CM, Oei AL, Sweep FC and Massuger LF: Secondary ovarian malignancies: Frequency, origin, and characteristics. Int J Gynecol Cancer. 19:1160–1165. 2009. View Article : Google Scholar : PubMed/NCBI

9 

Chun YS, Pawlik TM and Vauthey JN: 8th edition of the AJCC cancer staging manual: Pancreas and hepatobiliary cancers. Ann Surg Oncol. 25:845–847. 2018. View Article : Google Scholar : PubMed/NCBI

10 

Schwartz LH, Seymour L, Litière S, Ford R, Gwyther S, Mandrekar S, Shankar L, Bogaerts J, Chen A, Dancey J, et al: RECIST 1.1-standardisation and disease-specific adaptations: Perspectives from the RECIST working group. Eur J Cancer. 62:138–145. 2016. View Article : Google Scholar : PubMed/NCBI

11 

U.S. Department of Health and Human Services; National Institutes of Health and the National Cancer Institute, : Commn Terminology Criteria for Adverse Events (CTCAE). V4.03. https://evs.nci.nih.gov/ftp1/CTCAE/CTCAE_4.03/CTCAE_4.03_2010-06-14_QuickReference_5×7.pdfMay 17–2010

12 

Siegel RL, Miller KD, Fuchs HE and Jemal A: Cancer statistics, 2022. CA Cancer J Clin. 72:7–33. 2022. View Article : Google Scholar : PubMed/NCBI

13 

Chu LC, Goggins MG and Fishman EK: Diagnosis and detection of pancreatic cancer. Cancer J. 23:333–342. 2017. View Article : Google Scholar : PubMed/NCBI

14 

Oken MM, Creech RH, Tormey DC, Horton J, Davis TE, McFadden ET and Carbone PP: Toxicity and response criteria of the eastern cooperative oncology group. Am J Clin Oncol. 5:649–655. 1982. View Article : Google Scholar : PubMed/NCBI

15 

Gourgou-Bourgade S, Bascoul-Mollevi C, Desseigne F, Ychou M, Bouché O, Guimbaud R, Bécouarn Y, Adenis A, Raoul JL, Boige V, et al: Impact of FOLFIRINOX compared with gemcitabine on quality of life in patients with metastatic pancreatic cancer: Results from the PRODIGE 4/ACCORD 11 randomized trial. J Clin Oncol. 31:23–29. 2013. View Article : Google Scholar : PubMed/NCBI

16 

Von Hoff DD, Ervin T, Arena FP, Chiorean EG, Infante J, Moore M, Seay T, Tjulandin SA, Ma WW, Saleh MN, et al: Increased survival in pancreatic cancer with nab-paclitaxel plus gemcitabine. N Engl J Med. 369:1691–1703. 2013. View Article : Google Scholar : PubMed/NCBI

17 

Christenson ES, Jaffee E and Azad NS: Current and emerging therapies for patients with advanced pancreatic ductal adenocarcinoma: A bright future. Lancet Oncol. 21:e135–e145. 2020. View Article : Google Scholar : PubMed/NCBI

18 

Patnaik A, Kang SP, Rasco D, Papadopoulos KP, Elassaiss-Schaap J, Beeram M, Drengler R, Chen C, Smith L, Espino G, et al: Phase I study of pembrolizumab (MK-3475; Anti-PD-1 monoclonal antibody) in patients with advanced solid tumors. Clin Cancer Res. 21:4286–4293. 2015. View Article : Google Scholar : PubMed/NCBI

19 

Marabelle A, Le DT, Ascierto PA, Di Giacomo AM, De Jesus-Acosta A, Delord JP, Geva R, Gottfried M, Penel N, Hansen AR, et al: Efficacy of pembrolizumab in patients with noncolorectal high microsatellite instability/mismatch repair-deficient cancer: Results from the phase II KEYNOTE-158 study. J Clin Oncol. 38:31–10. 2020. View Article : Google Scholar

20 

Marabelle A, Fakih M, Lopez J, Shah M, Shapira-Frommer R, Nakagawa K, Chung HC, Kindler HL, Lopez-Martin JA, Miller WH Jr, et al: Association of tumour mutational burden with outcomes in patients with advanced solid tumours treated with pembrolizumab: Prospective biomarker analysis of the multicohort, open-label, phase 2 KEYNOTE-158 study. Lancet Oncol. 21:1353–1365. 2020. View Article : Google Scholar : PubMed/NCBI

21 

Tempero MA: NCCN guidelines updates: Pancreatic cancer. J Natl Compr Canc Netw. 17:603–605. 2019.PubMed/NCBI

22 

Markham A and Keam SJ: Camrelizumab: First global approval. Drugs. 79:1355–1361. 2019. View Article : Google Scholar : PubMed/NCBI

23 

Padrón LJ, Maurer DM, O'Hara MH, O'Reilly EM, Wolff RA, Wainberg ZA, Ko AH, Fisher G, Rahma O, Lyman JP, et al: Sotigalimab and/or nivolumab with chemotherapy in first-line metastatic pancreatic cancer: Clinical and immunologic analyses from the randomized phase 2 PRINCE trial. Nat Med. 28:1167–1177. 2022. View Article : Google Scholar : PubMed/NCBI

24 

Tempero M, Oh DY, Tabernero J, Reni M, Van Cutsem E, Hendifar A, Waldschmidt DT, Starling N, Bachet JB, Chang HM, et al: Ibrutinib in combination with nab-paclitaxel and gemcitabine for first-line treatment of patients with metastatic pancreatic adenocarcinoma: Phase III RESOLVE study. Ann Oncol. 32:600–608. 2021. View Article : Google Scholar : PubMed/NCBI

25 

Kubeček O, Laco J, Špaček J, Petera J, Kopecký J, Kubečková A and Filip S: The pathogenesis, diagnosis, and management of metastatic tumors to the ovary: A comprehensive review. Clin Exp Metastasis. 34:295–307. 2017. View Article : Google Scholar : PubMed/NCBI

26 

Al-Agha OM and Nicastri AD: An in-depth look at krukenberg tumor: An overview. Arch Pathol Lab Med. 130:1725–1730. 2006. View Article : Google Scholar : PubMed/NCBI

27 

Yamanishi Y, Koshiyama M, Ohnaka M, Ueda M, Ukita S, Hishikawa K, Nagura M, Kim T, Hirose M, Ozasa H and Shirase T: Pathways of metastases from primary organs to the ovaries. Obstet Gynecol Int. 2011:6128172011. View Article : Google Scholar : PubMed/NCBI

28 

Prat J: Ovarian carcinomas, including secondary tumors: Diagnostically challenging areas. Mod Pathol. 18 (Suppl 2):S99–S111. 2005. View Article : Google Scholar : PubMed/NCBI

29 

Sodek KL, Murphy KJ, Brown TJ and Ringuette MJ: Cell-cell and cell-matrix dynamics in intraperitoneal cancer metastasis. Cancer Metastasis Rev. 31:397–414. 2012. View Article : Google Scholar : PubMed/NCBI

30 

Taylor EC, Irshaid L and Mathur M: Multimodality imaging approach to ovarian neoplasms with pathologic correlation. Radiographics. 41:289–315. 2021. View Article : Google Scholar : PubMed/NCBI

31 

Ansari D, Rosendahl A, Elebro J and Andersson R: Systematic review of immunohistochemical biomarkers to identify prognostic subgroups of patients with pancreatic cancer. Br J Surg. 98:1041–1055. 2011. View Article : Google Scholar : PubMed/NCBI

32 

Nath S, Daneshvar K, Roy LD, Grover P, Kidiyoor A, Mosley L, Sahraei M and Mukherjee P: MUC1 induces drug resistance in pancreatic cancer cells via upregulation of multidrug resistance genes. Oncogenesis. 2:e512013. View Article : Google Scholar : PubMed/NCBI

33 

Park JH and Kim JH: Pathologic differential diagnosis of metastatic carcinoma in the liver. Clin Mol Hepatol. 25:12–20. 2019. View Article : Google Scholar : PubMed/NCBI

34 

Dabir PD, Svanholm H and Christiansen JJ: SATB2 is a supplementary immunohistochemical marker to CDX2 in the diagnosis of colorectal carcinoma metastasis in an unknown primary. APMIS. 126:494–500. 2018. View Article : Google Scholar : PubMed/NCBI

Related Articles

  • Abstract
  • View
  • Download
  • Twitter
Copy and paste a formatted citation
Spandidos Publications style
Tao Y, Tang L, Zuo L, Ma Y, Zhang F and Xu Y: Metastatic ovarian tumor from pancreatic cancer treated with combined immunotherapy: A case report. Oncol Lett 24: 344, 2022.
APA
Tao, Y., Tang, L., Zuo, L., Ma, Y., Zhang, F., & Xu, Y. (2022). Metastatic ovarian tumor from pancreatic cancer treated with combined immunotherapy: A case report. Oncology Letters, 24, 344. https://doi.org/10.3892/ol.2022.13464
MLA
Tao, Y., Tang, L., Zuo, L., Ma, Y., Zhang, F., Xu, Y."Metastatic ovarian tumor from pancreatic cancer treated with combined immunotherapy: A case report". Oncology Letters 24.4 (2022): 344.
Chicago
Tao, Y., Tang, L., Zuo, L., Ma, Y., Zhang, F., Xu, Y."Metastatic ovarian tumor from pancreatic cancer treated with combined immunotherapy: A case report". Oncology Letters 24, no. 4 (2022): 344. https://doi.org/10.3892/ol.2022.13464
Copy and paste a formatted citation
x
Spandidos Publications style
Tao Y, Tang L, Zuo L, Ma Y, Zhang F and Xu Y: Metastatic ovarian tumor from pancreatic cancer treated with combined immunotherapy: A case report. Oncol Lett 24: 344, 2022.
APA
Tao, Y., Tang, L., Zuo, L., Ma, Y., Zhang, F., & Xu, Y. (2022). Metastatic ovarian tumor from pancreatic cancer treated with combined immunotherapy: A case report. Oncology Letters, 24, 344. https://doi.org/10.3892/ol.2022.13464
MLA
Tao, Y., Tang, L., Zuo, L., Ma, Y., Zhang, F., Xu, Y."Metastatic ovarian tumor from pancreatic cancer treated with combined immunotherapy: A case report". Oncology Letters 24.4 (2022): 344.
Chicago
Tao, Y., Tang, L., Zuo, L., Ma, Y., Zhang, F., Xu, Y."Metastatic ovarian tumor from pancreatic cancer treated with combined immunotherapy: A case report". Oncology Letters 24, no. 4 (2022): 344. https://doi.org/10.3892/ol.2022.13464
Follow us
  • Twitter
  • LinkedIn
  • Facebook
About
  • Spandidos Publications
  • Careers
  • Cookie Policy
  • Privacy Policy
How can we help?
  • Help
  • Live Chat
  • Contact
  • Email to our Support Team